medigraphic.com
ENGLISH

Salud Jalisco

ISSN 2448-8747 (Impreso)
Publicación cuatrimestral editada por la Secretaría de Salud Jalisco
  • Mostrar índice
  • Números disponibles
  • Información
    • Información general        
    • Directorio
  • Publicar
    • Instrucciones para autores        
  • medigraphic.com
    • Inicio
    • Índice de revistas            
    • Registro / Acceso
  • Mi perfil

2023, Número 3

<< Anterior Siguiente >>

Sal Jal 2023; 10 (3)


Micosis pulmonar: cuándo sospecharla

Juárez-Campos, César Eduardo1; Hinojosa-Curiel, Sayda1; Baeza-Casillas, Javier Abel1; Reyes-Gómez, Ulises2,3; López-Cruz, Gerardo2; Reyes-Hernández, Katy Lizeth3; Santos-Hernández, José E4; Alonso-Pérez, Nancy Carmencita4; García-Carrillo, Laura Érika4; Vargas-Mosso, María Elena4; Mercado-Díaz, Carlos Uriel4; Quero-Hernández, Armando2
Texto completo Cómo citar este artículo 10.35366/113308

DOI

DOI: 10.35366/113308
URL: https://dx.doi.org/10.35366/113308
Artículos similares

Idioma: Español
Referencias bibliográficas: 27
Paginas: 173-178
Archivo PDF: 212.40 Kb.


PALABRAS CLAVE

diagnóstico, micosis, neumonía tórpida, niños, inmunosupresión, inmunocompromiso.

RESUMEN

El estudio de las micosis pulmonares conlleva un reto diagnóstico vital en pediatría, ya que las manifestaciones iniciales se caracterizan como cualquier otro proceso neumónico ocasionado por otro agente infeccioso sea éste: virus, bacteria o parasito. Se debe de sospechar esta etiología en aquella neumonía que no mejora pese al manejo tradicional y el contar con antecedentes importantes, tales como inmunosupresión o visita a zonas endémicas. Ello ubica al médico en una situación en la que debe reconocer con la clínica, los estudios de imagen e interpretar los resultados microbiológicos. La presente revisión es básica y aplicable al primer nivel de atención primaria a la salud.



INTRODUCCIóN

Se calculan alrededor de 200,000 especies de hongos en la naturaleza, pero se cree que hay más de un millón y medio, de los cuales menos de 100 son patógenos para el humano.1

Los hongos son organismos eucariotas, aclorófilos y heterótrofos que se reproducen sexual y asexualmente, envueltos por una pared celular compuesta de quitina glucano, manano y otros polisacáridos y forman parte de un único reino: Fungi. Morfológicamente se clasifican en tres grupos: 1) hongos unicelulares o levaduras como lo son Candida sp., Cryptococcus sp. y Pneumocystis sp., 2) hongos pluricelulares o filamentosos (mohos) como Mucor sp., Aspergillus sp. y Fusarium sp., y 3) hongos dismórficos como Histoplasma sp., Coccidioides sp. y Blastomyces sp.; estos últimos ingresan al organismo en forma filamentosa y cambian a levadura durante el proceso infeccioso.2

Las micosis son enfermedades infecciosas producidas por hongos. Las podemos clasificar de la siguiente manera:

Sitio afección: superficiales y profundas.

Epidemiológica: endémicas y oportunistas (Tabla 1).

Las micosis superficiales son aquellas que involucran tejidos como la piel y mucosas (micosis mucocutánea). Las micosis profundas, también conocidas como sistémicas, en las que el hongo avanza hacia los órganos. Dentro de estas últimas se encuentran aquellas que afectan al tejido pulmonar o micosis pulmonares. Éstas se pueden subclasificar con base en el grado de invasión en: cavidades, bronquiectasias o parenquimatosa.



EPIDEMIOLOGíA

Las micosis profundas son enfermedades que en general las podemos encontrar tanto en países desarrollados como en vías de desarrollo. En Norteamérica predominan casos de coccidioidomicosis, histoplasmosis y blastomicosis (conocidas como micosis endémicas). Al norte de México predominan los casos de histoplasmosis y, en segundo lugar, coccidioidomicosis. En América del Sur en países como: Brasil, Argentina, Colombia y Ecuador, se han reportado casos de paracoccidioidomicosis.3,4

Las micosis oportunistas tienen distribución mundial, ya que los agentes causales son ubicuos y sólo se van a manifestar en aquellos que cuenten con factores de riesgo (Tabla 2).

A diferencia de las neumonías ocasionadas por virus, bacterias o parásitos, existen pocos datos con respecto a la incidencia de las micosis profundas (endémicas y profundas) en América Latina. En 2012, en Chile, Cruz reporta 39 casos de micosis pulmonares, siendo neumocistosis en 54% la de mayor incidencia.5 En 2011, Vázquez y colaboradores evaluaron la incidencia de micosis pulmonares en niños durante un periodo de 10 años (1998-2008) en México; encontraron 100 casos, de los cuales 54% correspondían a aspergilosis invasiva, 26% a neumocistosis, 7% a histoplasmosis, 6% a mucormicosis y 7% a candidiasis.6



FISIOPATOLOGíA

Los pulmones son los sitios diana para el desarrollo de las micosis profundas. La anatomía de las vías respiratorias conlleva una barrera anatómica constituida por: epitelio respiratorio (mucociliar) que en conjunto con los macrófagos alveolares son la primera línea de defensa. En segundo lugar, contamos con las diferentes células del sistema inmune (células dendríticas, monocitos y neutrófilos), las que juegan un papel importante en la destrucción de diversos patógenos que invaden al tracto respiratorio.

La vía de infección es a través de la inhalación de esporas, a excepción de la candidiasis cuya diseminación es por vía hematógena o a través de accesos vasculares.

En el momento en que la inmunidad está intacta, la inhalación de mohos es contenida por los macrófagos alveolares. En algunas ocasiones puede producir una reacción inflamatoria granulomatosa localizada, la que en 90% de los casos remite de manera espontánea y en 10% entra a una "fase latente", también conocida como primoinfección, que puede cursar con enfermedad aguda o crónica.7 En cambio, si la inmunidad se encuentra alterada no existen mecanismos que contrarresten y su diseminación es inevitable. Las alteraciones de la fagocitosis condicionan a la aparición de micosis oportunistas (aspergilosis, mucormicosis, criptococosis); en cuanto a la disfunción de células T, encontramos formas graves de micosis endémicas (histoplasmosis, coccidioidomicosis y blastomicosis).8,9



MANIFESTACIONES CLíNICAS

El cuadro clínico de las micosis pulmonares es similar al ocasionado por otros agentes patógenos (virales, bacterianos o parasitarios) siendo frecuente: fiebre, escalofríos, taquipnea, tos productiva, dificultad respiratoria y, con menor frecuencia, astenia, adinamia, cefalea.10 Sin embargo, la sospecha diagnóstica debe ser en aquel paciente que persista con los síntomas respiratorios a pesar del tratamiento habitual y cuente con factores de riesgo para infección fúngica. También es importante considerar el antecedente de viaje o residencia en zonas endémicas.

Podemos encontrar otras manifestaciones que pueden acompañar a estos cuadros, tales como:11,12

Criptococosis: meningitis o crisis convulsivas.

Candidiasis: lesiones mucocutáneas.

Aspergilosis: sinusitis y sistema nervioso central.

Blastomicosis: lesiones cutáneas (pápulas).

Histoplasmosis: lesiones granulomatosas y hepatomegalia.

Mucormicosis: signo de escara negra, afección senos paranasales.

Neumocistosis: síndrome constitucional y pérdida de peso.



DIAGNóSTICO

El diagnóstico de las micosis pulmonares se realiza con base en el cuadro clínico (al contar con los antecedentes mencionados) y estudios paraclínicos.



ESTUDIOS DE IMAGEN

La radiografía de tórax muestra hallazgos como: consolidación lobar (43%), nódulos múltiples (35%), cavitaciones (30%), derrame pleural (25%) y, en menor frecuencia, adenopatías. Es importante mencionar que la mayoría de las micosis pulmonares se pueden manifestar con dos o más alteraciones.13

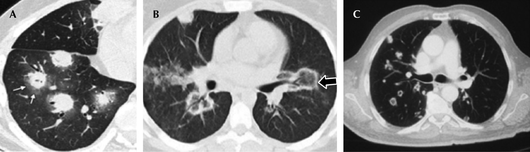
Los hallazgos tomográficos pueden ser variados, predominan la presencia de engrosamiento bronquial, engrosamiento de los septos interlobulillares y sobreafección multinodular.14,15 Existen hallazgos específicos en aspergilosis y mucormicosis, como signo de halo descrito como un nódulo pulmonar rodeado por un patrón en vidrio esmerilado secundario a hemorragia por angioinvasión fúngica (Figura 1A y B). Otro hallazgo consiste en las cavitaciones ocasionadas por la necrosis concéntrica de los nódulos pulmonares, frecuente en las coccidioidomicosis (Figura 1C).



ESTUDIO MICROBIOLóGICO

Puede ser directo e indirecto. Los estudios directos son la microscopia y el cultivo, en donde se determina la presencia de un germen específico (en tejido, lavado broncoalveolar, esputo y líquido de aspiración). Los estudios indirectos consisten en la detección de antígenos o anticuerpos (IgG e IgM). La presencia microscópica de hifas, esporas o fragmentos de micelios va a establecer el diagnóstico al examen directo; sin embargo, es el cultivo el que confirma en definitiva el diagnóstico. La desventaja es que el reporte del cultivo tarda de tres a seis semanas y la sensibilidad es en general baja para todas las micosis pulmonares, por lo que se deben implementar otras estrategias diagnósticas.

Histoplasmosis: la determinación de antígeno sérico/urinario mediante ELISA tiene una sensibilidad > 90% en pacientes inmunocomprometidos, mientras que el cultivo y estudio histopatológico tienen una sensibilidad de 70%, los estudios serológicos tienen poca utilidad.16

Coccidioidomicosis: el estudio serológico tiene alta sensibilidad diagnostica (> 82%) al determinarse IgG por inmunodifusión con valores > 1:64; sin embargo, estos valores son obtenidos después de cuatro semanas. La determinación de antígeno específico mediante ELISA tiene una sensibilidad de 71% y especificidad de 98%.17

Blastomicosis: su diagnóstico se basa en la determinación de antígeno urinario y el estudio histopatológico (sensibilidad de 93 y 90%, respectivamente); el cultivo tiene baja sensibilidad (60%) y el estudio serológico no tiene utilidad diagnostica.18

Aspergilosis: la determinación de antígeno galactomanano en lavado broncoalveolar (> 0.86) tiene una sensibilidad de 86% y especificidad de 100% para el diagnóstico de aspergilosis invasora. Existen otras opciones como el cultivo; sin embargo, éstas son de baja sensibilidad y especificidad.19-21

Candidiasis: a diferencia del resto de las micosis pulmonares, una gran herramienta diagnóstica es el hemocultivo debido a su diseminación sistémica (hematógena). La determinación de (1-3)-β-D-glucano con valor > 2.119 pg/ml en lavado broncoalveolar es muy sugestivo de candidiasis invasiva, pero es la determinación de reacción en cadena de la polimerasa (PCR) la que tiene mayor valor diagnóstico con una sensibilidad de 95% y especificidad de 100%.22

Criptococosis: la detección del antígeno capsular de Cryptococcus con reporte de títulos > 1:8 indican enfermedad activa con una sensibilidad en 95 y 100% en muestras de sangre y líquido cefalorraquídeo (LCR).23

Mucormicosis: el estudio ideal para su diagnóstico es la determinación de PCR en lavado broncoalveolar con una sensibilidad y especificidad de 95%. El reporte de (1-3)-β-D-glucano en lavado broncoalveolar cuenta con baja sensibilidad, al igual que el cultivo, por lo que no se recomiendan.24

Neumocistosis: el análisis de PCR (cuantitativa en tiempo real) en lavado broncoalveolar ha permitido distinguir entre colonización de la infección. En pacientes VIH (+), la sensibilidad y especificidad de estas pruebas superan en 95%. En enfermos VIH (-), la sensibilidad es inferior, con valores predictivos positivos de 50% y negativo de 98%.24,25



TRATAMIENTO

El manejo de las micosis pulmonares debe ser específico para cada aislamiento. Debemos considerar el antifúngico más adecuado, valorar la posibilidad de un posible manejo quirúrgico (debridación) y, sobre todo, controlar la enfermedad de base (Tablas 3 y 4).26,27



CONCLUSIóN

El diagnóstico y tratamiento precoces son factores cruciales para mejorar el pronóstico de estas enfermedades. Anfotericina B liposomal es el tratamiento de primera línea en la mayoría de las micosis pulmonares; sin embargo, ésta se debe adecuar con base en la evolución y el control del proceso infeccioso. El manejo quirúrgico está indicado en algunas micosis invasivas (aspergilosis, mucormicosis, criptococosis). El control de la enfermedad de base será importante para el manejo conjunto de estas patologías.


REFERENCIAS (EN ESTE ARTÍCULO)

  1. Arenas R. Taxonomía y clasificación. Micología Médica Ilustrada. 5a edición. México: McGraw-Hill Educación; 2014. pp. 11-42.

  2. Ryan KJ, Ray C. Cryptococcus, Histoplasma, Coccidioides y otros hongos patógenos sistémicos. En: Ryan KJ, Ray C. Sherris. Microbiología médica. 6a ed. México: McGraw-Hill; 2017.

  3. Fleta J, Bueno M. Enfermedades importadas. Bol Pediatr Arag Rioj Sor. 1999;29:56-57.

  4. Hsu LY, Ng ES, Koh LP. Common and emerging fungal pulmonary infections. Infect Dis Clin North Am. 2010;24(3):557-577. doi: 10.1016/j.idc.2010.04.003.

  5. Cruz CHR, Vieille OP, Fuentes HD, Ponce EE, Piontelli LE. Frequency of pulmonary mycoses determined by analyzing lung secretion samples. Rev Med Chil. 2012;140(5):595-601.

  6. Vázquez O, Campos T, Ovando J. Micosis en vías respiratorias en niños. Rev Enfer Infec Pediatr. 2011;24(95):1-3.

  7. Carrillo RVM. Micosis pulmonares en niños. un enfoque diagnóstico. Neumol Pediatr. 2021;13(1):5-10.

  8. García-Vidal C, Carratalá J. Patagonia de la infección fúngica invasora. Enferm Infecc Microbiol Clin. 2012;30(3):151-158.

  9. García-Vidal C, Carratalá J. Patogenia de la infección fúngica invasora. Enferm Infecc Microbiol Clin. 2012;30(3):151-158.

  10. Cid Chávez DM, Ruiz Pedraza MD, Sánchez Sánchez LM, Staines Boone AT, Castro Pineda J, Palacios Saucedo GC. Características clínicas e inmunológicas en pacientes pediátricos con coccidioidomicosis del noreste de México. Gac Méd Méx. 2013;149:541-547.

  11. Figueras C. Recomendaciones de la Sociedad Española de Infectología Pediátrica sobre el diagnóstico y tratamiento de las candidiasis invasivas. Asociación Española de Pediatría. An Pediatr (Barc). 2011;74(5):337.e1-337.e17.

  12. Kappe R. Fungal pulmonary infections. Curr Opin Infect. 2007;10:1237.

  13. Wheat LJ. Approach to the diagnosis of endemic mycoses. Clin Chest Med. 2009;30(2):379-389.

  14. Tamai K, Koyama T, Kondo T, Takaori A, Mizumoto C, Manabe T, et al. High-resolution computed tomography findings of diffuse pulmonary involvement by mycosis fungoides. J Thorac Imaging. 2007;22(4):366-368.

  15. Ketai L, Jordan K, Busby KH. Imaging infection. Clin Chest Med. 2015;36(2):197-217, viii.

  16. Fortún J, Meije Y, Fresco G, Moreno S. Aspergilosis. Formas clínicas y tratamiento. Enferm Infecc Microbiol Clin. 2012;30(4):201-208.

  17. Vázquez Tsuji O, Campos Rivera T, Martínez Barbabosa I. Histoplasmosis. Abordaje diagnóstico. Acta Pediatr Mex. 2004;25(6):349-353.

  18. Avni T, Leibovici L, Paul M. PCR diagnosis of invasive candidiasis: systematic review and meta-analysis. J Clin Microbiol. 2011;49(2):665-670.

  19. Fortún J, Meije Y, Fresco G, Moreno S. Aspergilosis. Formas clínicas y tratamiento. Enferm Infecc Microbiol Clin. 2012;30(4):201-208.

  20. Mengoli C, Cruciani M, Barnes RA, Loeffler J, Donnelly JP. Use of PCR for diagnosis of invasive aspergillosis: systematic review and meta-analysis. Lancet Infect Dis. 2009;9(2):89-96.

  21. Pappas PG, Kauffman CA, Andes DR, Clancy CJ, Marr KA, Ostrosky-Zeichner L, et al. Clinical practice guideline for the management of candidiasis: 2016 update by the Infectious Diseases Society of America. Clin Infect Dis. 2016;62(4):e1-50.

  22. Curbelo J, Galván JM, Aspa J. Actualización sobre Aspergillus, Pneumocystis y otras micosis pulmonares oportunista. Arch Bronconeumol. 2015;51(12):647-653.

  23. Walsh TJ, Hiemenz JW, Anaissie E. Recent progress and current problems in treatment of invasive fungal infections in neutropenic patients. Infect Dis Clin North Am. 1996;10(2):365-400.

  24. García J, Pemán J. Diagnóstico microbiológico de las micosis invasivas. Rev Iberoam Micol. 2018;35(4):179-185.

  25. Buitrago MJ, Cuenca-Estrella M. Epidemiología actual y diagnóstico de laboratorio de las micosis endémicas en España. Enferm Infecc Microbiol Clin. 2012;30(7):407-413.

  26. Vargas S. Micosis sistémicas en el paciente pediátrico. Medwave. 2005. doi: 10.5867/medwave.2005.09.3553.

  27. Ramos JT, Francisco L, Daoud Z. Infección fúngica invasora en niños: diferencias y homologías con el adulto. Rev Esp Quimioter. 2016;29(Suppl. 1):59-65.



AFILIACIONES

1 Servicio de Infectología Pediátrica, Hospital General de Occidente de la Secretaría de Salud. Jalisco, México.

2 Facultad de Medicina de la Universidad Autónoma Benito Juárez de Oaxaca. Academia Mexicana de Pediatría capítulo Centro. México.

3 Unidad de Investigación en Pediatría, Instituto Pedagógico San Rafael. San Luis Potosí, México.

4 Infectólogo pediatra del Grupo de Investigación en Infectología Pediátrica, A.C. México.



CORRESPONDENCIA

Dr. César Eduardo Juárez-Campos. E-mail: drcesarjc@gmail.com




Recibido: 13/01/2023. Aceptado: 09/09/2023.

Figura 1
Tabla 1
Tabla 2
Tabla 3
Tabla 4

2020     |     www.medigraphic.com

Mi perfil

C?MO CITAR (Vancouver)

Sal Jal. 2023;10

ARTíCULOS SIMILARES

CARGANDO ...