medigraphic.com
ENGLISH

Acta Ortopédica Mexicana

ISSN 2992-8036 (Digital)
ISSN 2306-4102 (Impreso)
Órgano Oficial del Colegio Mexicano de Ortopedia y Traumatología
  • Mostrar índice
  • Números disponibles
  • Información
    • Información general        
    • Directorio
  • Publicar
    • Instrucciones para autores        
  • medigraphic.com
    • Inicio
    • Índice de revistas            
    • Registro / Acceso
  • Mi perfil

2023, Número 5

<< Anterior Siguiente >>

Acta Ortop Mex 2023; 37 (5)


Fracturas femorales atípicas por el uso de bifosfonatos. Experiencia de dos instituciones

Villegas, RI1; Melo-Durán, S2; Cevallos, A3; Barros-Prieto, EA4
Texto completo Cómo citar este artículo 10.35366/113960

DOI

DOI: 10.35366/113960
URL: https://dx.doi.org/10.35366/113960
Artículos similares

Idioma: Español
Referencias bibliográficas: 32
Paginas: 270-275
Archivo PDF: 181.90 Kb.


PALABRAS CLAVE

fracturas espontáneas, bifosfonatos, fracturas femorales proximales.

RESUMEN

Introducción: los bifosfonatos se usan para el manejo de osteoporosis postmenopáusica con riesgo elevado de fractura, osteoporosis inducida por glucocorticoides, enfermedad de Paget e hipercalcemia; así como coadyuvante para manejo del hiperparatiroidismo. Los bifosfonatos se han asociado a efectos adversos previamente desconocidos dentro de los que se encuentran fracturas de fémur de trazo atípico. Objetivo: analizar la relación del antecedente de uso de bifosfonatos (BF) como factor de riesgo para presentar fracturas atípicas de fémur (FAF). Material y métodos: se incluyeron pacientes de 40 años o más de dos centros hospitalarios atendidos desde 2009 a 2018 por fractura de fémur. Se revisaron los estudios radiográficos de 441 registros, de los cuales se definió el sitio de fractura. Se analizaron las fracturas de fémur subtrocantéricas (FS) y diafisarias (FD) aplicando los criterios del segundo reporte de la American Society for Bone and Mineral Research para la definición de caso de FAF. Finalmente, se indagó el consumo de bifosfonatos en estos grupos para para estimar una medida de asociación. Resultados: de los 441 registros clínicos, 98 (22.2%) fueron del sexo masculino y 343 (77.7%) del femenino, con edad promedio de 77.8 (40-103) años. Se identificaron 59 FS/FD, de las cuales 53% (31 registros) fueron catalogadas FAF. El consumo de BF se determinó en 80.6% de pacientes con FAF y en 3.57% con FS/FD. El uso de BF se asoció significativamente con la presencia de FAF (OR: 112, p ≤ 0.000, IC 95%: 12.6-1001). Conclusiones: el uso de BF aumenta significativamente el riesgo de presentar FAF. Las FAF en pacientes que usaron BF se presentó tras un consumo mínimo de 24 meses.



INTRODUCCIóN

En la década de los 70, se reportó la eficacia del uso de bifosfonatos (BF) para evitar la progresión del deterioro óseo en personas con fase activa de la enfermedad de Paget.1,2 Actualmente, su utilidad clínica se ha extendido para el manejo de osteoporosis postmenopáusica con riesgo elevado de fractura, osteoporosis inducida por glucocorticoides, enfermedad de Paget e hipercalcemia; así como coadyuvante para manejo del hiperparatiroidismo.3,4,5

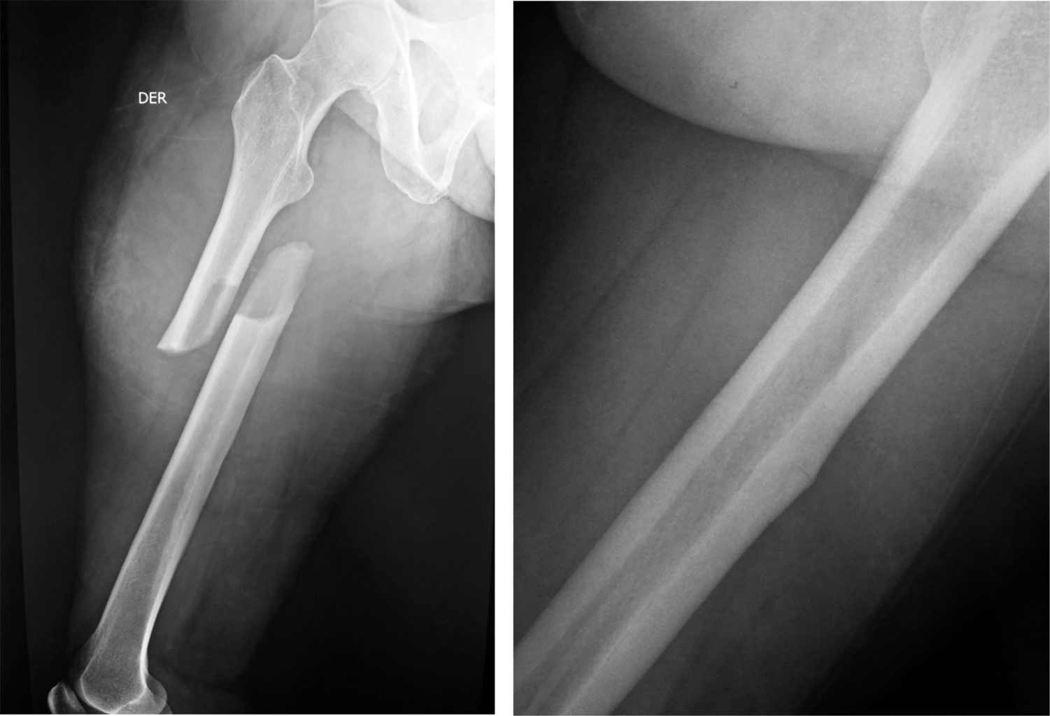
Dentro de su utilidad clínica destaca el efecto positivo que tiene para el manejo de la osteoporosis, siendo éste su principal motivo de prescripción.6,7 Los reportes e investigaciones realizadas posterior a la comercialización de los bifosfonatos han asociado la administración de estos fármacos con efectos adversos previamente desconocidos, dentro de los que se encuentran las fracturas de fémur de trazo atípico (Figura 1).8 Para identificar este tipo de fracturas, la American Society for Bone and Mineral Research ha propuesto una definición de caso basada en criterios que se detallan en la Tabla 1.9,10

Se estima que la incidencia de fracturas atípicas de fémur (FAF) es de 50-130 casos por cada 100,000 pacientes al año. Esta frecuencia se ha visto incrementada con el uso de bifosfonatos con una relación directa de la duración de la administración.9,11 Si bien, estudios recientes han demostrado un aumento en la asociación entre las FAF y el uso de bifosfonatos, al momento no se ha establecido una relación causa-efecto significante, debido a que el riesgo absoluto es bajo; además, su incidencia es baja comparada con las fracturas de fémur proximal.9,11 El presente estudio relaciona el antecedente de uso de bifosfonatos como factor de riesgo para presentar FAF en dos centros hospitalarios.



MATERIAL Y MéTODOS

Se realizó un estudio analítico observacional retrospectivo de casos y controles12,13 en dos hospitales de la ciudad de Quito, Ecuador. El proyecto fue presentado a los jefes del Servicio de Traumatología/Ortopedia y a los respectivos departamentos de investigación y docencia de cada hospital para su autorización y ejecución.

El universo lo constituyen los registros clínicos de pacientes de 40 años o más, egresados del Hospital Metropolitano de Quito desde Enero de 2009 hasta Mayo de 2018; y del Hospital Vozandes de Quito desde Febrero de 2016 a Mayo de 2018. Se incluyeron todos los registros que egresaron bajo uno de los siguientes: el diagnóstico de fractura de fémur (CIE 10: S72) y sus subdivisiones.

Se obtuvo un total de 323 registros del Hospital Metropolitano de Quito y 118 del Hospital Vozandes de Quito. Posteriormente se revisaron los exámenes radiológicos de los registros para clasificarlos en una de las siguientes categorías, según su ubicación: intertrocantérica, cuello de fémur, datos insuficientes, diáfisis de fémur, periprotésica, fémur distal, subtrocantérica, pseudoartrosis, fractura múltiple del fémur y cabeza femoral. Dos casos fueron clasificados como "no aplica" (N/A), ya que se trataban de un paciente que ingresó para retiro de material de osteosíntesis y otro con consolidación viciosa de fémur.

Una vez realizada dicha clasificación, se analizaron únicamente las fracturas de fémur subtrocantéricas (FS) y diafisarias (FD); y se aplicaron los criterios de la American Society for Bone and Mineral Research para la definición de caso de "fractura atípica de fémur" (FAF) en cada uno de los registros, por tres investigadores diferentes, realizando consenso en aquellos casos que existía diferencia de criterio. De tal forma se conformaron dos grupos: "fracturas atípicas de fémur" (FAF) y "fracturas diafisarias/subtrocantéricas de fémur" (FD/FS) (Figura 2).

Se realizó una revisión de la historia clínica de cada uno de los registros para indagar la edad a la fecha del evento, sexo del paciente, fecha de admisión al hospital, uso de BF, tiempo de uso de BF, fármaco utilizado, trauma de baja energía.

Análisis estadístico. Los datos obtenidos fueron ingresados en el sistema Epi InfoTM 7 para ejecutar el análisis. Se realizó una distribución de frecuencias para cada una de las variables, constituyendo una fase descriptiva. La segunda fase fue de carácter analítico en la cual se realizó una tabla de contingencia (2 × 2) para encontrar asociaciones entre las variables de exposición y la variable resultado "FAF" determinando la razón de momios como medida de asociación. Para verificar la significancia se utilizó χ2 y el valor p < 0.05.



RESULTADOS

Se analizó un total de 441 registros clínicos, de los cuales 98 (22.2%) eran del sexo masculino y 343 (77.7%) del femenino. Posterior a la revisión de los estudios radiológicos y clasificación de la ubicación de las fracturas en el fémur, se constató un total de 51 FS/FD. Tras la aplicación de los criterios de definición de FAF, se determinó la existencia de 31 casos (Figura 3).

La distribución de la ubicación de las fracturas varía de acuerdo con los grupos de edad. Las FS presenta una distribución dual, siendo mayor a los 40-49 años y, posteriormente, a los 80-99 años; las FD tienen una presentación máxima a los 70-79 años seguido de personas comprendidos entre los 40-49 años; y las FAF se presentan principalmente a la edad de 60-69 años y 70-79 años (Figura 4).

En el caso de distribución por sexo, las FAF fueron exclusivas del sexo femenino, mientras que las FD y FS se presentaron tanto en el sexo masculino como en el femenino (Figura 5).

El consumo de bifosfonatos se observó en 80.6% de pacientes con FAF y en 3.57% con FS/FD. El tiempo de consumo de BF fue determinado en 15 de los 25 pacientes con FAF y fue desde 24 hasta 180 meses, con media de 71.3 meses; 75% de estos pacientes tuvo un consumo de 48 meses o más (Figura 6).

Al realizar una tabla de contingencia de los casos y controles (Tabla 2), el análisis estadístico demostró la asociación del consumo de BF y la presencia de FAF, con una razón de momios (OR) de 112, con valor de significancia p ≤ 0.000.



DISCUSIóN

La presente investigación ha establecido una asociación significativa entre el uso de BF y el desarrollo de FAF, al igual que la mayoría de estudios que han incluido la lectura de exámenes radiológicos para la definición de caso de FAF. La asociación (OR) entre el uso de BF y el desarrollo de FAF, así como la incidencia de FAF es mayor en relación con estudios similares.14,15,16,17,18,19,20,21 Esto sugiere que la población del presente estudio es más susceptible para el desarrollo de FAF, que otras previamente estudiadas. Esta susceptibilidad puede deberse a factores predisponentes que han sido manifestados en otros estudios como la raza de la población, estado socioeconómico, hábitos, enfermedades concomitantes.15,22,23,24,25 El diseño de la presente investigación limita el análisis de los factores mencionados, por lo que insta a un estudio más profundo de esta susceptibilidad en mujeres latinas con características sociodemográficas y biológicas similares a la población de estudio.

Existió relación directa entre el uso prolongado de BF y el desarrollo de FAF, se demostró que este tipo de fracturas se presentaron en personas con uso mayor a dos años; con mayor número de casos conforme aumenta el tiempo de consumo, similar a lo reportado en otros estudios.9,11,25

La prescripción de BF ha aumentado y, al realizarlo de una forma inadecuada, puede promover al desarrollo de FAF en las personas que reciben estos fármacos. Registros de Estados Unidos han constatado una mayor prescripción de estos fármacos en pacientes con diagnóstico de osteopenia.26 Moncayo determinó que 89.6% de pacientes recibieron tratamiento para osteoporosis sin diagnóstico de densitometría ósea y 67.3% recibió tratamiento innecesariamente.27 Este hecho es de relevancia en Ecuador debido a que la osteoporosis es la enfermedad más frecuente en las mujeres mayores de 60 años y la tercera en varones mayores de 60 años después de las enfermedades cardíacas y diabetes.28

Las FAF se presentaron exclusivamente en mujeres, especialmente en la quinta y sexta década de vida, en donde las fracturas por fragilidad u osteoporosis no representan su máxima incidencia, por lo que se asume que el consumo de bifosfonatos provoca cambios en la estructura del fémur haciendo que disminuya su capacidad para resistir a fuerzas que, en condiciones normales, no causarían fracturas.

El suspender la administración de bifosfonatos se ha asociado con disminución en el riesgo de presentar una fractura atípica de fémur. El riesgo absoluto de fractura atípica de fémur es muy bajo, en comparación con el número de fracturas que se previenen con la prescripción adecuada de bifosfonatos.25 Por lo que la prescripción de BF deberá tomar en cuenta el riesgo-beneficio de la administración de la medicación y la inclusión de vacaciones farmacológicas.25,29,30,31,32



CONCLUSIONES

El uso de BF y el desarrollo FAF tiene una asociación significativa, presentándose de forma exclusiva en mujeres, especialmente en su sexta década de vida y con un consumo superior a los 24 meses.



AGRADECIMIENTOS

A los departamentos de Docencia e Investigación, Estadística e Imagen de los hospitales "Metropolitano" y "Vozandes" de la ciudad de Quito por su amable colaboración para la realización del presente estudio.


REFERENCIAS (EN ESTE ARTÍCULO)

  1. Francis MD, Valent DJ. Historical perspectives on the clinical development of bisphosphonates in the treatment of bone diseases. J Musculoskelet Neuronal Interact [Internet]. 2007; 7(1): 2-8. Available in: http://www.ncbi.nlm.nih.gov/pubmed/17396000

  2. Smith R, Russell RGG, Bishop M. Diphosphonates and Paget's disease of bone. Lancet. 1971; 297(7706): 945-7.

  3. Drake MT, Clarke BL, Khosla S. Bisphosphonates: mechanism of action and role in clinical practice. Mayo Clin Proc [Internet]. 2008; 83(9): 1032-45. Available in: http://www.ncbi.nlm.nih.gov/pubmed/18775204

  4. Papapoulos SE, Quandt SA, Liberman UA, Hochberg MC, Thompson DE. Meta-analysis of the efficacy of alendronate for the prevention of hip fractures in postmenopausal women. Osteoporos Int [Internet]. 2005; 16: 468-74. Available in: http://link.springer.com/10.1007/s00198-004-1725-z

  5. Giger EV, Castagner B, Leroux JC. Biomedical applications of bisphosphonates. J Control Release. 2013; 167(2): 175-88.

  6. Maraka S, Kennel KA. Bisphosphonates for the prevention and treatment of osteoporosis. BMJ [Internet]. 2015; 331(h3783): h3783. Available in: http://www.bmj.com/lookup/doi/10.1136/bmj.h3783

  7. Jansen JP, Bergman GJD, Huels J, Olson M. The efficacy of bisphosphonates in the prevention of vertebral, hip, and nonvertebral-nonhip fractures in osteoporosis: a network meta-analysis. Semin Arthritis Rheum [Internet]. 2011; 40(4): 275-84.e2. Available in: http://www.ncbi.nlm.nih.gov/pubmed/20828791

  8. Brown J, Morin S, Leslie W, Papaioannou A, Cheung A. Bisphosphonates for treatment of osteoporosis. Can Fam Physician. 2014; 60: 324-33.

  9. Shane E, Burr D, Abrahamsen B, Adler RA, Brown TD, Cheung AM, et al. Atypical subtrochanteric and diaphyseal femoral fractures: Second report of a task force of the American Society for Bone and Mineral Research. J Bone Miner Res. 2014; 29(1): 1-23.

  10. Laura Asillo EG, Román Pérez FJ, Azucena Castro V, Hernández Sanz A. Fractura atípica de fémur secundaria al uso de bifosfonatos. Rev Clin Med Fam [Internet]. 2017; 10(2): 141-4. Disponible en: http://scielo.isciii.es/pdf/albacete/v10n2/1699-695X-albacete-10-02-141.pdf

  11. Starr J, Tay YKD, Shane E. Current understanding of epidemiology, pathophysiology, and management of atypical femur fractures. Curr Osteoporos Rep [Internet]. 2018; 16(4): 519-29. Available in: http://www.ncbi.nlm.nih.gov/pubmed/29951870

  12. Zeng X, Zhang Y, Kwong JSW, Zhang C, Li S, Sun F, et al. The methodological quality assessment tools for preclinical and clinical studies, systematic review and meta-analysis, and clinical practice guideline: a systematic review. J Evid Based Med [Internet]. 2015; 8(1): 2-10. Available in: http://doi.wiley.com/10.1111/jebm.12141

  13. Song JW, Chung KC. Observational studies: cohort and case-control studies. Plast Reconstr Surg [Internet]. 2010; 126(6): 2234-42. Available in: http://www.ncbi.nlm.nih.gov/pubmed/20697313

  14. Girgis CM, Sher D, Seibel MJ. Atypical femoral fractures and bisphosphonate use. N Engl J Med [Internet]. 2010; 362(19): 1848-9. Available in: http://www.nejm.org/doi/abs/10.1056/NEJMc0910389

  15. Lo JC, Huang SY, Lee GA, Khandewal S, Provus J, Ettinger B, et al. Clinical correlates of atypical femoral fracture. Bone [Internet]. 2012; 51(1): 181-4. Available in: http://www.ncbi.nlm.nih.gov/pubmed/22414379

  16. Giusti A, Hamdy NAT, Dekkers OM, Ramautar SR, Dijkstra S, Papapoulos SE. Atypical fractures and bisphosphonate therapy: A cohort study of patients with femoral fracture with radiographic adjudication of fracture site and features. Bone [Internet]. 2011; 48(5): 966-71. Available in: http://www.ncbi.nlm.nih.gov/pubmed/21195812

  17. Schilcher J, Michaelsson K, Aspenberg P. Bisphosphonate use and atypical fractures of the femoral shaft. N Engl J Med [Internet]. 2011; 364(18): 1728-37. Available in: http://www.ncbi.nlm.nih.gov/pubmed/21542743

  18. Schilcher J, Koeppen V, Aspenberg P, Michaelsson K. Risk of atypical femoral fracture during and after bisphosphonate use. N Engl J Med [Internet]. 2014; 371(10): 974-6. Available in: http://www.nejm.org/doi/abs/10.1056/NEJMc1403799

  19. Thompson RN, Phillips JRA, McCauley SHJ, Elliott JRM, Moran CG. Atypical femoral fractures and bisphosphonate treatment. J Bone Joint Surg Br [Internet]. 2012; 94-B(3): 385-90. Available in: http://www.ncbi.nlm.nih.gov/pubmed/22371548

  20. Meling T, Nawab A, Harboe K, Fosse L. Atypical femoral fractures in elderly women. Bone Joint J [Internet]. 2014; 96-B(8): 1035-40. Available in: http://online.boneandjoint.org.uk/doi/10.1302/0301-620X.96B8.33306

  21. Clout A, Narayanasamy N, Harris I. Trends in the incidence of atypical femoral fractures and bisphosphonate therapy. J Orthop Surg [Internet]. 2016; 24(1): 36-40. Available in: http://www.ncbi.nlm.nih.gov/pubmed/27122510

  22. Lee YK, Ahn S, Kim KM, Suh CS, Koo KH. Incidence rate of atypical femoral fracture after bisphosphonates treatment in Korea. J Korean Med Sci [Internet]. 2018; 33(5): e38. Available in: http://www.ncbi.nlm.nih.gov/pubmed/29349947

  23. Marcano A, Taormina D, Egol KA, Peck V, Tejwani NC. Are race and sex associated with the occurrence of atypical femoral fractures? Clin Orthop Relat Res [Internet]. 2014; 472(3): 1020-7. Available in: http://www.ncbi.nlm.nih.gov/pubmed/24166075

  24. Takakubo Y, Ohta D, Ishi M, Ito J, Oki H, Naganuma Y, et al. The incidence of atypical femoral fractures in patients with rheumatic disease: yamagata prefectural committee of atypical femoral fractures (YamaCAFe) study. Tohoku J Exp Med [Internet]. 2017; 242(4): 327-34. Available in: http://www.ncbi.nlm.nih.gov/pubmed/28883214

  25. Black DM, Geiger EJ, Eastell R, Vittinghoff E, Li BH, Ryan DS, et al. Atypical femur fracture risk versus fragility fracture prevention with bisphosphonates. N Engl J Med [Internet]. 2020; 383(8): 743-53. Available in: https://www.nejm.org/doi/10.1056/NEJMoa1916525

  26. Wysowski DK, Greene P. Trends in osteoporosis treatment with oral and intravenous bisphosphonates in the United States, 2002-2012. Bone [Internet]. 2013; 57(2): 423-8. Available in: http://www.ncbi.nlm.nih.gov/pubmed/24063946

  27. Moncayo Bravo SD, López Gutiérrez JJ. Evaluación del manejo farmacológico de la Osteoporosis y la Osteopenia en una institución de régimen especial de Bogotá. Rev Salud Pública [Internet]. 2015; 17(4): 565-77. Disponible en: http://www.revistas.unal.edu.co/index.php/revsaludpublica/article/view/38450

  28. Instituto Nacional de Estadística y Censos. Salud, bienestar y envejecimiento [Internet]. 2009 [citado el 27 de enero de 2017]. Disponible en: http://www.ecuadorencifras.gob.ec/wp-content/descargas/Presentaciones/estadisticas_adulto_mayor.pdf

  29. Larsen MS, Schmal H. The enigma of atypical femoral fractures. EFORT Open Rev [Internet]. 2018; 3(9): 494-500. Available in: https://online.boneandjoint.org.uk/doi/abs/10.1302/2058-5241.3.170070

  30. Diab DL, Watts NB. Bisphosphonate drug holiday: who, when and how long. Ther Adv Musculoskelet Dis [Internet]. 2013; 5(3): 107-11. Available in: https://pubmed.ncbi.nlm.nih.gov/23858334/

  31. Hayes KN, Winter EM, Cadarette SM, Burden AM. Duration of bisphosphonate drug holidays in osteoporosis patients: a narrative review of the evidence and considerations for decision-making. J Clin Med [Internet]. 2021; 10(5): 1140. Available in: https://pubmed.ncbi.nlm.nih.gov/33803095/

  32. Marchand D, Loshak H. Duration of bisphosphonate treatment for patients with osteoporosis: a review of clinical effectiveness and guidelines [Internet]. Ottawa (ON): Canadian Agency for Drugs and Technologies in Health; 2019. Available in: https://www.ncbi.nlm.nih.gov/books/NBK551872/



AFILIACIONES

1 Especialista en Traumatología y Ortopedia. Estudiante de Doctorado, Universidad de Sao Paulo, Brasil. ORCID: 0000-0002-9982-1655

2 Especialista en Traumatología y Ortopedia. Universidad de Sao Paulo, Brasil. ORCID: 0009-0006-6174-1680

3 Especialista en Traumatología y Ortopedia. Hospital General "San Vicente de Paúl".

4 Especialista en Traumatología y Ortopedia. Hospital Vozandes Quito. ORCID: 0000-0002-6311-5476



Conflicto de intereses: los autores declaran no tener ningún conflicto de intereses.

Fuentes de apoyo financiero: recursos propios.



NIVEL DE EVIDENCIA

III



CORRESPONDENCIA

Robin Israel Villegas. E-mail: robinvillegas89@hotmail.com




Recibido: 15-09-2023. Aceptado: 09-10-2023.

Figura 1
Figura 2
Figura 3
Figura 4
Figura 5
Figura 6
Tabla 1
Tabla 2

2020     |     www.medigraphic.com

Mi perfil

C?MO CITAR (Vancouver)

Acta Ortop Mex. 2023 Sep-Oct;37

ARTíCULOS SIMILARES

CARGANDO ...