medigraphic.com
ENGLISH

Acta Ortopédica Mexicana

ISSN 2992-8036 (Digital)
ISSN 2306-4102 (Impreso)
Órgano Oficial del Colegio Mexicano de Ortopedia y Traumatología
  • Mostrar índice
  • Números disponibles
  • Información
    • Información general        
    • Directorio
  • Publicar
    • Instrucciones para autores        
  • medigraphic.com
    • Inicio
    • Índice de revistas            
    • Registro / Acceso
  • Mi perfil

2023, Número 5

<< Anterior Siguiente >>

Acta Ortop Mex 2023; 37 (5)


Osteosarcoma parostal de fémur y cirugía de salvamento con prótesis intercalar. Experiencia en una unidad de tercer nivel y técnica quirúrgica

Vilchis-Ramírez, M1; Álvarez-Martínez, FA2; Tena-Sanabria, ME2; Fuentes-Herrera, G2
Texto completo Cómo citar este artículo 10.35366/113966

DOI

DOI: 10.35366/113966
URL: https://dx.doi.org/10.35366/113966
Artículos similares

Idioma: Español
Referencias bibliográficas: 11
Paginas: 309-313
Archivo PDF: 212.08 Kb.


PALABRAS CLAVE

osteosarcoma, tumor, fémur, cirugía, tratamiento, prótesis.

RESUMEN

Introducción: el osteosarcoma parostal es un tumor óseo maligno extramedular en el cual las células tumorales producen osteoide. Representa menos de 5% de los osteosarcomas. Se presenta predominantemente en la mujer, entre la segunda y cuarta década de la vida. Su localización más frecuente es la región distal del fémur y proximal de la tibia. Clínicamente, se manifiesta con aumento de volumen y dolor en muslo o rodilla. Debido a su baja incidencia y características clínicas, se presenta un caso clínico de osteosarcoma parostal femoral con descripción de la técnica quirúrgica realizada. Caso clínico: femenino de 14 años edad con cuadro clínico caracterizado por aumento de volumen y dolor en muslo derecho de seis meses de evolución. Se realizaron radiografías de fémur derecho, encontrando lesión ósea con características compatibles de malignidad, por lo que es enviada a unidad de tercer nivel para iniciar protocolo oncológico; se realizan dos biopsias percutáneas con aguja de Jamshidi, ambas con reporte histológico negativo para células malignas. En tomografía pulmonar de alta resolución se observó presencia de metástasis y la gammagrafía ósea con Tc99 reportó actividad osteoblástica en fémur derecho. Se decide tratamiento con resección en bloque y colocación de prótesis intercalar más quimioterapia adyuvante. Conclusión: la prótesis intercalar resulta una opción terapéutica adecuada en la cirugía de salvamento de extremidad para pacientes con diagnóstico de osteosarcoma parostal femoral.



INTRODUCCIóN

El osteosarcoma es un tumor óseo maligno en el cual las células tumorales producen osteoide. La mayoría de los osteosarcomas son de origen intramedular y un porcentaje menor son de origen extramedular presentándose sobre la superficie externa del hueso (osteosarcomas de superficie).1,2,3 De acuerdo con la Organización Mundial de la Salud (OMS) existen tres variantes: parostal, periosteal y osteosarcoma superficial de alto grado, los cuales muestran un patrón de crecimiento diferente al de un osteosarcoma convencional.4 Descrito por primera vez en 1951 por Geschicker y Copeland, el osteosarcoma parostal representa menos de 5% de todos los osteosarcomas, siendo más frecuente en la mujer (3:1) entre la segunda y cuarta década de la vida.3 Con diagnóstico oportuno, llegan a presentar hasta 70% de supervivencia a cinco años.2,4

Anatómicamente, su localización más frecuente es la región posterior y distal del fémur, así como la región proximal de la tibia, siendo rara la presentación diafisaria.1,4,5,6 Clínicamente, se manifiesta como aumento de volumen y dolor en región de muslo o involucrando la articulación de la rodilla.1,4

Radiográficamente, se presenta como una lesión superficial del hueso, altamente mineralizada, que presenta unión estrecha en la cortical, con crecimiento longitudinal y radial con apariencia de masa en forma de "hongo".1,2,4 En más de 50% de los casos se observa una pequeña zona radiolúcida entre el tumor y la cortical, la cual es más evidente con la tomografía computarizada.2,3

Histológicamente, se visualizan como lesiones de bajo grado (grado 1/grado 2 de Broder) bien diferenciadas, compuestas de osteoide y células fusiformes, frecuentemente con involucro < 25% del canal medular.1,2,4

El tratamiento de elección para esta patología es quirúrgico, independientemente del grado de lesión. Al considerarse lesiones óseas de bajo grado y de crecimiento lento, los osteosarcomas parostales pueden ser tratados mediante resección quirúrgica con márgenes amplios, contemplando así la preservación de la extremidad afectada; sin embargo, en casos donde existe involucro neurovascular o múltiples recurrencias, puede llegar a requerirse tratamiento radical.1,2,3,5

Debido a su baja incidencia, características clínicas y amplio espectro de posibilidades terapéuticas, se presenta un caso clínico de osteosarcoma parostal, al igual que la descripción de la técnica quirúrgica realizada como tratamiento definitivo.



CASO CLíNICO

Femenino de 14 años de edad quien inició su padecimiento en Marzo de 2021, al presentar dolor en extremidad pélvica derecha con predominio en rodilla, de intensidad 8/10 en la escala visual analógica (EVA) que limitaba la deambulación, refiriendo al menos tres episodios previos. De manera que acude en julio del mismo año al Hospital Regional del estado de Veracruz, donde se le realizan radiografías de miembro pélvico derecho, encontrando lesión ósea en diáfisis femoral derecha. Por lo cual, sin estudios de extensión o laboratorios, es enviada al Hospital de Pediatría en la Unidad Médica de Alta Especialidad (UMAE) Centro Médico Nacional Siglo XXI para inicio de protocolo quirúrgico en Septiembre de 2021.

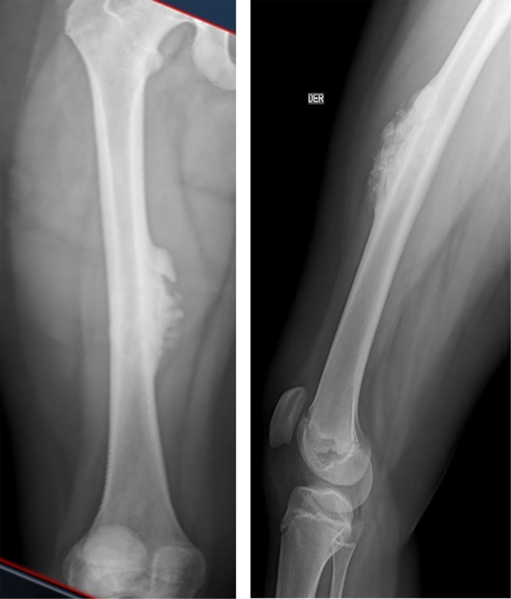
Se realizan radiografías de fémur derecho, donde se observa lesión ósea a nivel de tercio medio de diáfisis femoral, de bordes irregulares, con reacción perióstica en cortical anteromedial que mostraba zonas escleróticas con una zona de transición bien definida (Figura 1). En tomografía axial computarizada (TAC) de miembros pélvicos de Septiembre de 2021, se encuentra lesión ósea irregular en tercio medio de fémur derecho, en cara anteromedial, con patrón de esclerosis y osteólisis. Se realiza primera biopsia percutánea en quirófano en Septiembre de 2021, la cual es enviada a patología donde se reporta muestra insuficiente; se solicita valoración por el Servicio de Oncología Pediátrica, quien, ante resultado negativo, solicita nueva biopsia para normar conducta.

Se realiza gammagrama óseo con tecnecio 99 en Octubre de 2021, donde se observa incremento anormal de actividad osteoblástica en tercio medio de fémur. En TAC de tórax se encuentran metástasis paracardíaca derecha calcificada de aproximadamente 2 cm y metástasis periférica de 0.5 cm (Figura 2). En Octubre de 2021, se realiza segunda biopsia percutánea en quirófano, enviándose a patología, la cual reporta matriz extracelular amorfa con metaplasia ósea y escasa celularidad. Se realiza nueva valoración por el Servicio de Oncología Pediátrica, quien justifica, mediante resultado de biopsia, no cumplir con criterios para inicio de quimioterapia.

Posteriormente, en Diciembre de 2021, se decide tratamiento quirúrgico por parte del Servicio de Ortopedia Pediátrica. Durante la cirugía se encuentra tumoración en tercio medio de fémur de aproximadamente 13 cm de longitud por 3 cm de ancho, de consistencia firme, con bordes irregulares, coloración ocre y una zona de transición bien definida. Se realiza una resección tumoral con márgenes amplios (aproximadamente 15 cm) y colocación de prótesis intercalar de fémur. Enviándose pieza quirúrgica para estudio patológico definitivo. Dos semanas posteriores a procedimiento quirúrgico, se obtiene reporte de la pieza quirúrgica por parte del Servicio de Patología, el cual informa: osteosarcoma parostal de bajo grado histológico, hipocelular, positivo focalmente en superficie del componente fibroblástico, bordes óseos libres de lesión neoplásica.



TéCNICA QUIRúRGICA

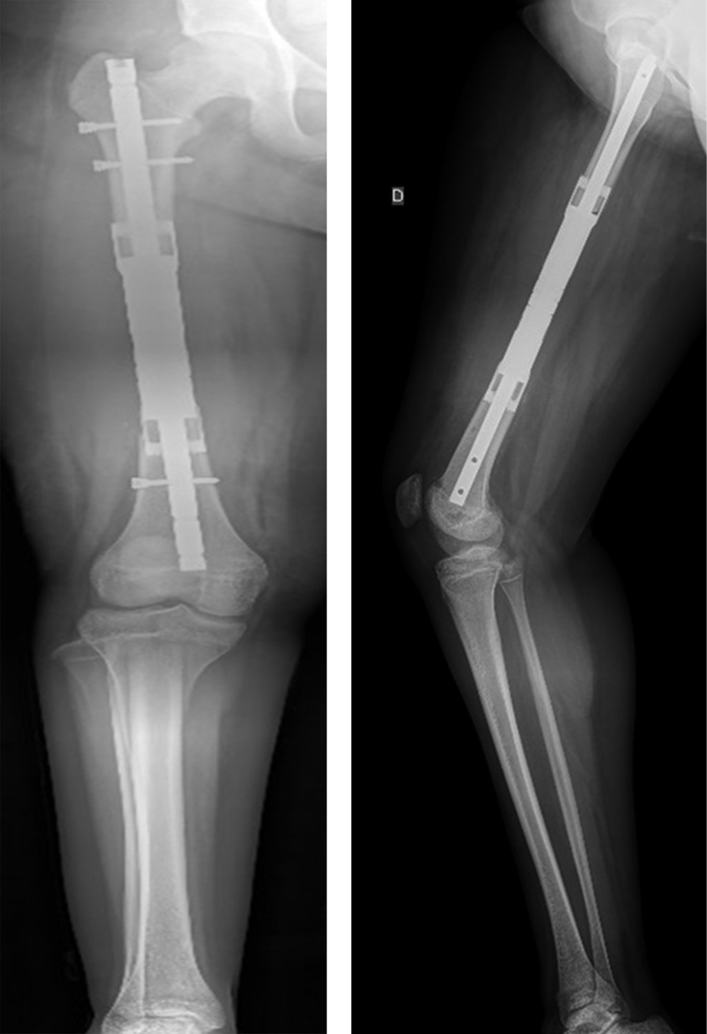
Con la paciente bajo anestesia general y en decúbito supino, se realiza asepsia, antisepsia y colocación de campos quirúrgicos estériles. Se opta por un abordaje anteromedial de fémur, mediante incisión longitudinal de aproximadamente 25 cm, disecando por planos hasta encontrar intervalo entre músculos recto femoral y vasto medial; después se encuentra el vasto intermedio, el cual se diseca hasta encontrar diáfisis femoral. Se observa tumoración en tercio medio de diáfisis femoral de aproximadamente 13 cm de longitud por 3 cm de ancho, el cual se reseca con bordes amplios, realizando osteotomía a 16 cm proximales de superficie articular de la rodilla (Figura 3); se envía muestra medular transquirúrgica, recibiendo confirmación de presencia de bordes libres por el Servicio de Patología. Se realiza segunda osteotomía a 16 cm distales del trocánter mayor, se envía segunda muestra de médula ósea, recibiendo reporte negativo para células malignas. Se realiza rimado de fémur proximal y distal con rimas diámetros 9, 10 y 10.5 hasta atravesar fosa digital proximalmente; se coloca asentador para hueso, regularizando el límite de la osteotomía. Se introduce clavo endomedular hasta limite distal establecido (Figuras 4 y 5) y se coloca prótesis diafisaria (Figura 6) con asentadores y coronas en extremos diafisarios, respectivamente. Se procede a colocar pernos de bloqueo, verificándose longitud de extremidad (Figura 7) comparando con la contralateral. Se repara intervalo entre recto femoral y vasto medial y se procede a cierre por planos.



DISCUSIóN

A pesar de tener una incidencia infrecuente,3 el osteosarcoma es una patología que requiere un diagnóstico oportuno y manejo multidisciplinario.7 Hoy en día, la supervivencia de los pacientes que llegan a padecerlo ha mejorado considerablemente gracias al desarrollo de nuevas técnicas de imagen para determinar la extensión de la enfermedad, así como a los avances de la cirugía oncológica.1

En la actualidad, la cirugía de salvamento constituye el objetivo principal de tratamiento en Ortopedia Oncológica para los tumores de huesos largos, preservando así la funcionalidad de la extremidad afectada.5,8 Entre las alternativas, contamos con el uso de reemplazo biológico o implantes no convencionales, lo que brinda mayores posibilidades de éxito.9,10,11 En el presente caso se observa un resultado funcional satisfactorio inmediato (Figura 8) con el uso de una prótesis intercalar de fémur, decidiendo este tratamiento con base en la experiencia adquirida en el Servicio de Ortopedia Pediátrica en la UMAE; ya que, con el uso de injerto óseo liofilizado de donador cadavérico, se ha presentado alta tasa de complicaciones, así como cierre de la fisis del fémur. Es necesario realizar evaluaciones de la funcionalidad a largo plazo de este tipo de implantes, asimismo, tomar en cuenta que las características clínicas y radiográficas iniciales en el osteosarcoma parostal pueden mostrar datos de baja agresividad, por lo que nuevamente se corrobora la importancia del diagnóstico histopatológico3 para el diagnóstico definitivo. Cabe resaltar que, en la literatura médica actual, no está indicado el uso de quimioterapia neoadyuvante en el tratamiento inicial en paciente adulto del osteosarcoma parostal de bajo grado; no obstante, al tratarse de un paciente en edad pediátrica, se decidió el uso de quimioterapia adyuvante por parte del Servicio de Oncología Pediátrica debido a la presencia de metástasis pulmonares y el reporte histopatológico definitivo de pieza quirúrgica (Figura 9).



CONCLUSIóN

El osteosarcoma parostal es una entidad poco frecuente, al igual que su presentación diafisaria. Debido a las características particulares de este osteosarcoma y el tratamiento médico y quirúrgico que se llevaron a cabo –resección en bloque, uso de prótesis intercalar y quimioterapia adyuvante– se consideró importante reportar este caso clínico.

En vista de la evolución satisfactoria de la paciente, podemos concluir que la prótesis intercalar resulta una opción terapéutica adecuada en la cirugía de salvamento de extremidad para pacientes con diagnóstico de osteosarcoma parostal femoral.

De igual modo, hacemos énfasis en la necesidad de un manejo interdisciplinario para integrar el diagnóstico de esta neoplasia, establecer un plan terapéutico eficaz de manera temprana y mejorar así el pronóstico y la calidad de vida en estos pacientes.


REFERENCIAS (EN ESTE ARTÍCULO)

  1. Kumar VS, Barwar N, Khan SA. Surface osteosarcomas: diagnosis, treatment and outcome. Indian J Orthop. 2014; 48(3): 255-61.

  2. Nouri H, Ben Maitigue M, Abid L, Nouri N, Abdelkader A, Bouaziz M, et al. Surface osteosarcoma: clinical features and therapeutic implications. J Bone Oncol. 2015; 4(4): 115-23.

  3. Sánchez-Torres LJ, Santos-Hernández M. Osteosarcoma. Rev Mex Ortop Ped. 2011; 13(1): 10-9.

  4. Lin HY, Hondar Wu HT, Wu PK, Wu CL, Chih-Hsueh Chen P, Chen WM, et al. Can imaging distinguish between low-grade and dedifferentiated parosteal osteosarcoma? J Chin Med Assoc. 2018; 81(10): 912-9.

  5. Laitinen M, Parry M, Albergo JI, Jeys L, Abudu A, Carter S, et al. The prognostic and therapeutic factors which influence the oncological outcome of parosteal osteosarcoma. Bone Joint J. 2015; 97-B(12): 1698-703.

  6. Clara-Altamirano MA, García-Ortega DY, Martínez-Tlahuel JL, Martínez-Said H, Caro-Sánchez CHS, García-Ruíz GC, et al. Osteosarcoma con presentación atípica en tercio medio de diáfisis de fémur. Reporte de un caso clínico y revisión de la literatura. Acta Ortop Mex. 2016; 30(1): 28-32.

  7. Yoshida A. Osteosarcoma: Old and new challenges. Surg Pathol Clin. 2021; 14(4): 567-83.

  8. Mei J, Zhu XZ, Wang ZY, Cai XS. Functional outcomes and quality of life in patients with osteosarcoma treated with amputation versus limb-salvage surgery: a systematic review and meta-analysis. Arch Orthop Trauma Surg. 2014; 134(11): 1507-16.

  9. Ahlmann ER, Menendez LR. Intercalary endoprosthetic reconstruction for diaphyseal bone tumours. J Bone Joint Surg Br. 2006; 88(11): 1487-91.

  10. Chen TH, Chen WM, Huang CK. Reconstruction after intercalary resection of malignant bone tumours: comparison between segmental allograft and extracorporeally-irradiated autograft. J Bone Joint Surg Br. 2005; 87(5): 704-9.

  11. Delgadillo-Alcaráz V, Cuevas-De Alba C, Flores-Navarro HH, Arana-Hernández EI, Gutiérrez-Ureña JA. Preservación de extremidad con aloinjerto óseo en un paciente pediátrico con osteosarcoma. Rev Med MD. 2018; 9(3): 275-8.



AFILIACIONES

1 Residente de 4o año de Ortopedia del Hospital General Xoco. México.

2 Cirujano Ortopedista Pediatra y Médico adscrito de Ortopedia Pediátrica de la Unidad Médica de Alta Especialidad, Centro Médico Nacional Siglo XXI, IMSS. México.



CORRESPONDENCIA

Dr. Mario Vilchis-Ramírez. E-mail: drmariovilchisr@hotmail.com




Recibido: 25-02-2022. Aceptado: 09-10-2023.

Figura 1
Figura 2
Figura 3
Figura 4
Figura 5
Figura 6
Figura 7
Figura 8
Figura 9

2020     |     www.medigraphic.com

Mi perfil

C?MO CITAR (Vancouver)

Acta Ortop Mex. 2023 Sep-Oct;37

ARTíCULOS SIMILARES

CARGANDO ...