medigraphic.com
ENGLISH

Revista Mexicana de Anestesiología

ISSN 3061-8142 (Digital)
ISSN 0484-7903 (Impreso)
  • Mostrar índice
  • Números disponibles
  • Información
    • Información general        
    • Directorio
  • Publicar
    • Instrucciones para autores        
  • medigraphic.com
    • Inicio
    • Índice de revistas            
    • Registro / Acceso
  • Mi perfil

2024, Número 1

<< Anterior

Rev Mex Anest 2024; 47 (1)


Stents traqueales: un obstáculo para la intubación

García-Romar, Adrián1,2; González-Bardanca, Sonia1; Gulías-Soidán, Daniel3
Texto completo Cómo citar este artículo 10.35366/114099

DOI

DOI: 10.35366/114099
URL: https://dx.doi.org/10.35366/114099
Artículos similares

Idioma: Español
Referencias bibliográficas: 5
Paginas: 57-58
Archivo PDF: 230.63 Kb.


PALABRAS CLAVE

stent traqueal, vía aérea difícil, mascarilla laríngea, intubación guiada por fibrobroncoscopio.



Sr. Editor:

En los últimos años, cada vez son más los pacientes sometidos a la colocación de stents a nivel traqueal, una alternativa para restaurar la permeabilidad e integridad de la vía aérea ante diversos procesos de etiología benigna o maligna. De esta manera, patologías como tumores, fístulas traqueoesofágicas, o estenosis postintubación, entre otras, se han visto beneficiadas de la implantación de esta técnica(1). Sin embargo, la presencia de este dispositivo en la luz traqueal resulta una situación muy poco común en nuestra práctica diaria y que puede ocasionar un importante problema en la manipulación de la vía aérea si no se toman las medidas y precauciones adecuadas, llegando a ser causa de complicaciones que pongan en riesgo la vida del paciente.

Revisando la literatura, el manejo anestésico de portadores de stents traqueales para intervenciones quirúrgicas no relacionadas con la vía aérea es un tema insuficientemente descrito, limitándose a la publicación de diferentes registros de casos y sin existir protocolos definidos de práctica clínica. En 2004, Wei-Te Hung y colaboradores(2) describen una serie de tres casos clínicos donde emplean satisfactoriamente diversas mascarillas laríngeas para llevar a cabo anestesias generales en distintos procedimientos con estos pacientes: inserción de un catéter doble J, colocación de un drenaje ventrículo-peritoneal, e inserción de una yeyunostomía de alimentación. Dos años más tarde, Davis y asociados(3) publican cuatro situaciones que requirieron manejo avanzado de la vía aérea para la intubación o la inserción de cánulas de traqueostomía, bajo visión directa con broncoscopio rígido o flexible, y destacando las dificultades y complicaciones que se originaron debido a la presencia del stent en cada situación. Raval y su grupo(4) refieren la importancia de la evaluación previa del paciente y de la situación anatómica y estado del stent, aportando diferentes opciones de manejo de la vía aérea en función del procedimiento; mientras que Navas-Blanco JR y su equipo(5) destacan que la existencia de este dispositivo en la vía aérea supone la necesidad de tratar al paciente como "vía aérea difícil", en un caso clínico que finaliza con el fallecimiento del paciente en una situación de "no intubable-no ventilable" debido a la presencia del stent traqueal.

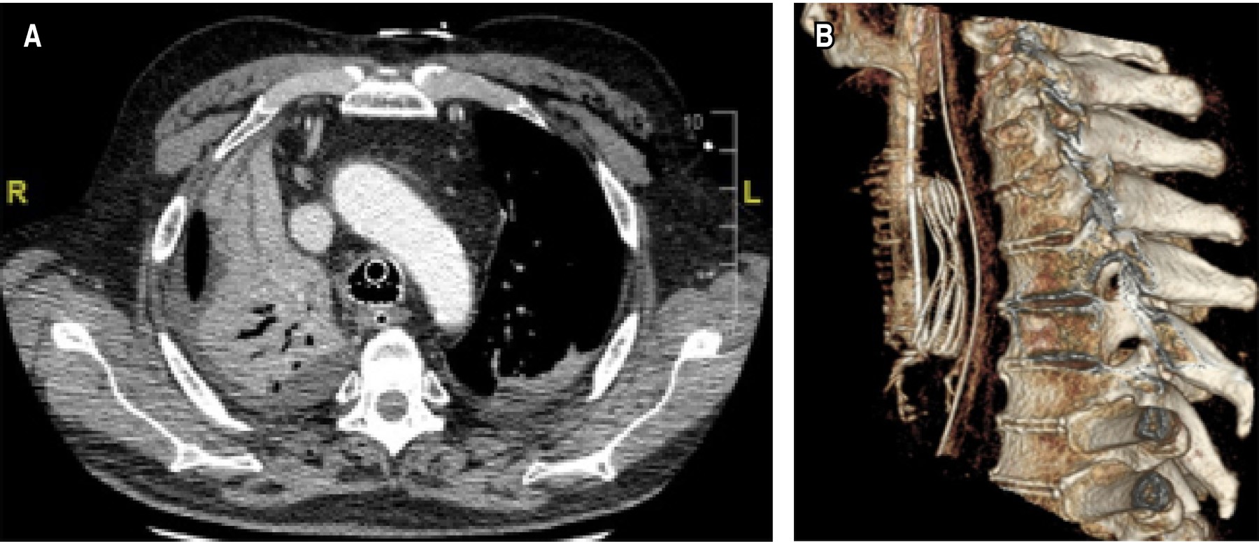
En nuestra experiencia, la intubación orotraqueal de estos pacientes, si no se realiza con las precauciones adecuadas, puede dar lugar a complicaciones como desplazamientos, falsas vías, neumotórax o roturas del stent. La presencia de un desplazamiento como el de la imagen (Figura 1) es una situación de extrema gravedad, tanto por la imposibilidad de ventilar al paciente de forma satisfactoria debido al sellado inadecuado de la vía aérea, como por la producción de un cuadro de neumotórax importante con posible amenaza para la vida. Además, el abordaje de la vía aérea de estos pacientes puede verse aún más dificultado si nos encontramos ante una situación emergente o con mala visualización glótica, donde la manipulación excesiva o a ciegas puede favorecer las lesiones traqueales y la migración del dispositivo, presentando también un obstáculo añadido para la realización de traqueostomías de emergencia. Las guías de vía aérea difícil suelen omitir a este subgrupo de pacientes entre los diferentes perfiles a tener en cuenta de cara a una posible intubación difícil, focalizándose más en aspectos que afectan a la vía aérea superior, y hacen que esta condición de la historia clínica del paciente pueda pasar desapercibida para el anestesiólogo, dando lugar, posteriormente, a una complicación fatal cuando se lleve a cabo una anestesia general.

Por todo ello, creemos que es necesario un consenso en el manejo anestésico de los pacientes portadores de stent traqueal y su mención en la elaboración de guías de vía aérea difícil, dando relevancia a la presencia de este elemento como potencial obstáculo a la manipulación de la vía aérea, tanto para intubación como para traqueostomía emergente de rescate. En nuestra experiencia, y de acuerdo con las series de casos existentes, en caso de precisar una anestesia general debemos distinguir entre procedimientos electivos y urgentes, evaluando además la facilidad de ventilación manual y el riesgo de aspiración de contenido gástrico. Las mascarillas laríngeas han demostrado su eficacia en estos pacientes ante situaciones electivas sin riesgo de broncoaspiración; mientras que, si es necesaria la intubación, será condición necesaria la visualización directa con fibrobroncoscopio flexible para un óptimo posicionamiento por encima o por el interior del stent, descartando al mismo tiempo la ausencia de complicaciones. Queremos destacar la idea de que la presencia de un stent traqueal debe ser una situación que ponga en alerta a todo anestesiólogo que se enfrente a una vía aérea, el cual deberá tomar las precauciones que estén en su mano para evitar complicaciones que pueden llegar a ser dramáticas.


REFERENCIAS (EN ESTE ARTÍCULO)

  1. Folch E, Keyes C. Airway stents. Ann Cardiothorac Surg. 2018;7:273-283.

  2. Hung WT, Liao SM, Su JM. Laryngeal mask airway in patients with tracheal stents who are undergoing non-airway related interventions: report of three cases. J Clin Anesth. 2004;16:214-216.

  3. Davis N, Madden BP, Sheth A, Crerar-Gilbert AJ. Airway management of patients with tracheobronchial stents. Br J Anaesth. 2006;96:132-135.

  4. Raval C, Sivagnanam S. Endo tracheal intubation (Airway Management) in a patient with tracheal stent. Sch J Appl Med Sci. 2015;3:2353-2357.

  5. Navas-Blanco JR, Uduman J, Diaz-Mendoza J. Emergent airway management in a patient with in situ tracheal stent: a lesson learned. Saudi J Anaesth. 2018;12:626-628.



AFILIACIONES

1 Servicio de Anestesiología, Reanimación y Terapéutica de Dolor. Complexo Hospitalario Universitario de A Coruña. A Coruña, Galicia, España.

2 ORCID: 0000-0001-6875-013X Complexo Hospitalario Universitario de A Coruña. A Coruña, Galicia, España.

3 Servicio de Radiodiagnóstico. Complexo Hospitalario Universitario de A Coruña. A Coruña, Galicia, España.



CORRESPONDENCIA

Dr. Adrián García-Romar. E-mail: adrian.garcia.romar@sergas.es


Figura 1

2020     |     www.medigraphic.com

Mi perfil

C?MO CITAR (Vancouver)

Rev Mex Anest. 2024;47

ARTíCULOS SIMILARES

CARGANDO ...