medigraphic.com
ENGLISH

Revista Mexicana de Cirugía Endoscópica

ISSN 1665-2576 (Impreso)
  • Mostrar índice
  • Números disponibles
  • Información
    • Información general        
    • Directorio
  • Publicar
    • Instrucciones para autores        
    • Envío de artículos
  • medigraphic.com
    • Inicio
    • Índice de revistas            
    • Registro / Acceso
  • Mi perfil

2023, Número 1-4

<< Anterior Siguiente >>

Rev Mex Cir Endoscop 2023; 24 (1-4)


Utilidad de la laparoscopía en perforación intestinal por traumatismo contuso de abdomen en paciente con hernia inguinal. Reporte de un caso

Sagui-de la Fuente, Lucía1; Álvarez-Barragán, Ana Fernanda2; Gaytán-Montoya, Sharon Selene3; Rangel-Rodarte, Roger4; Román-Sandoval, José de Jesús5; Schumm-Espino, Ángel Rubén5
Texto completo Cómo citar este artículo 10.35366/114310

DOI

DOI: 10.35366/114310
URL: https://dx.doi.org/10.35366/114310
Artículos similares

Idioma: Español
Referencias bibliográficas: 20
Paginas: 44-48
Archivo PDF: 218.04 Kb.


PALABRAS CLAVE

perforación de intestino delgado, traumatismo contuso abdominal, hernia inguinal, laparoscopía.

RESUMEN

Introducción: el intestino es la tercera víscera más lesionada por trauma contuso, con incidencia de 3.1 a 5%, aumentando a 34% si existen lesiones de tres o más órganos sólidos. Las perforaciones y los desgarros de intestino en pacientes con hernia inguinal posterior a trauma abdominal contuso son poco frecuentes, presentándose en 16% de las lesiones, y son un reto diagnóstico. Los mecanismos de lesión más frecuentes son aplastamiento, desgarro, avulsión o estallido. Reporte de caso: paciente masculino de 86 años de edad, que acudió a urgencias por presentar dolor abdominal de ocho horas de evolución posterior a caída de su propia altura, con traumatismo contuso de abdomen y pelvis. El ultrasonido abdominal mostró líquido libre perihepático y periesplénico, se realizó tomografía axial computarizada con reporte de neumoperitoneo y contenido epiploico en hernia inguinal izquierda, se pasó a laparoscopía diagnóstica con hallazgo de perforación ileal con eversión de más de 50% de la mucosa. Se efectuó resección intestinal con anastomosis, dejando la reparación de la hernia inguinal para después por abdomen contaminado. Conclusiones: el diagnóstico oportuno de lesión de órgano hueco sigue siendo un reto en el traumatismo cerrado de abdomen, la presencia conjunta de hernia inguinal en el paciente con traumatismo aumenta el riesgo de lesión intestinal. Se muestran las ventajas de la laparoscopía en estas situaciones y sirve para discutir las opciones terapéuticas tanto de la perforación intestinal como de las hernias inguinales con abdomen contaminado.



INTRODUCCIóN

El intestino es la tercera víscera más lesionada por traumatismo contuso, con incidencia de 3.1 a 5%, aumentando a 34% si existen lesiones de tres o más órganos sólidos.1 Las perforaciones y los desgarros de intestino en pacientes con hernia inguinal posterior a un trauma abdominal contuso son poco frecuentes, presentándose en 16% de las lesiones, lo cual representa un reto diagnóstico.2,3 Los mecanismos de lesión más frecuentes son: aplastamiento (fuerza directa), desgarro (desaceleración brusca), el intestino presenta avulsión cerca de los puntos de fijación o bridas y estallido (intestino lleno de líquido u otro contenido se somete bruscamente a presión).1

El abordaje por laparotomía se asocia a alta morbilidad, de hasta 20-40%, por lo que se prefiere evitar de no ser necesario; de forma gradual la laparoscopía ha sido aceptada como herramienta tanto diagnóstica como terapéutica en pacientes con estado hemodinámico estable, con trauma abdominal penetrante o contuso, presentando casos de diagnóstico erróneo o tardío sólo en 0.52% y tasa de conversión a laparotomía de 18%.4,5 Este caso es un ejemplo de los beneficios que puede representar la laparoscopía en el manejo de este tipo de situaciones.



PRESENTACIóN DEL CASO

Paciente masculino de 86 años de edad, con antecedentes de hipertensión, apendicectomía y hernioplastia abierta izquierda, que acudió a urgencias por presentar dolor abdominal agudo 7/10 en la escala visual análoga (EVA), de ocho horas de evolución, el cual inició posterior a caída de su propia altura con trauma contuso de abdomen y pelvis. A la exploración física presentó: TA 166/69 mmHg, FC 92 lpm, FR 17 rpm, temperatura 37.2 °C, palidez de tegumentos generalizada, mucosas subhidratadas, abdomen blando, poco distendido, con dolor a la palpación profunda en ambos hipocondrios y abdomen inferior, signo de Blumberg (-), signo de Deaver (+), sin resistencia muscular, timpánico a la percusión y peristalsis disminuida, presencia de hernia inguinal incarcerada.

El reporte de laboratorio fue: hemoglobina (Hb) 13.6 g/dL, leucocitos 1,500/mm3, neutrófilos 1.26 × 103/μL, glucosa 172.95 mg/dL, nitrógeno ureico en sangre 27 mg/dL, urea 57.7 mg/dL, creatinina 1.4 mg/dL.

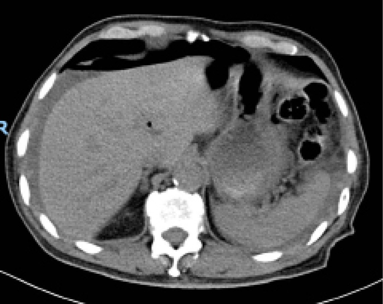
Se realizó ultrasonido de abdomen total reportando líquido libre perihepático, periesplénico y en hueco pélvico, por lo que se solicitó tomografía axial computarizada (TAC) de abdomen en la que se observó abundante líquido libre, neumoperitoneo (Figura 1) y hernia inguinal bilateral con contenido epiploico en la izquierda.

Se pasó a quirófano de manera urgente para laparoscopía diagnóstica, se llevó a cabo neumoperitoneo con técnica de Hasson, se colocó trocar umbilical para cámara con lente de 30 grados, se observó liquido intestinal abundante con datos de peritonitis química (Figura 2), una hernia inguinal izquierda incarcerada con epiplón (Figura 3) y adherencias de epiplón a pared anterior, por lo que se colocaron dos trocares más de 5 mm en línea medio clavicular derecha e izquierda a la altura de la cicatriz umbilical.

Se redujo el contenido herniario y se aspiró alrededor de 1,200 mL de líquido intestinal libre en cavidad abdominal, se liberó adherencia de epiplón con bisturí armónico y se procedió a revisar la integridad del intestino delgado, iniciando en válvula ileocecal.

Se encontró aproximadamente a 70 cm de distancia perforación ileal con eversión de más de 50% de la mucosa (Figura 4). Se cerró con seda 2-0 y se continuó revisión de cavidad sin obtener hallazgo de otra lesión.

Se lavó cavidad abdominal de manera exhaustiva con 10 litros de solución fisiológica al 0.9%, se hizo ventana en mesenterio del segmento ileal afectado, se amplió herida umbilical cerca de 3 cm, se exteriorizó íleon y se ejecutó resección intestinal de 20 cm y anastomosis con engrapadora lineal 60 mm. Se realizó cierre de dos planos de orificios de engrapadora con PDS 2-0 y prolene 2-0.

Después se efectuó omentectomía de epiplón afectado por peritonitis y se introdujo intestino a cavidad, se llevó a cabo hemostasia y se colocó drenaje tipo Blake calibre 19 en hueco pélvico.

Debido a la contaminación en cavidad abdominal se decidió no reparar las hernias inguinales en ese tiempo quirúrgico. Se trasladó al paciente a cuidados intermedios extubado y con sonda nasogástrica (SNG) para vigilancia. Se indicó ayuno y nutrición parenteral. Durante su estancia en cuidados intermedios se mantuvo con adecuados signos vitales, por lo que se pasó a piso a las 24 horas para continuar su manejo.

Al cuarto día de posoperado se retiró sonda vesical y SNG. Presentó buena peristalsis, canalización de gases y una evacuación, por lo que se inició dieta líquida. Al quinto día vomitó contenido gastroalimentario y mostró distención abdominal, se indicó TAC con contraste oral y se observó íleo secundario a globo vesical mayor de un litro y paso del contraste a colon, se le colocó nuevamente sonda vesical y se progresó la dieta. Se agregó procinético y se retiró el drenaje Blake al sexto día posoperatorio.

Durante los siguientes días continuó con adecuada tolerancia a vía oral, evacuaciones normales, y se egresó al décimo día debido al manejo de la anemia y retención de azoados que presentaba desde su ingreso, dándose de alta con sonda vesical y con tratamiento por parte de urología.

A los dos meses el paciente se realizó cirugía de resección transuretral (RTU), con evolución favorable y se piensa reparar la hernia inguinal izquierda por vía laparoscópica en los próximos meses, ya que por el momento ha permanecido asintomático.



DISCUSIóN

Existe baja incidencia de lesión intestinal y/o mesentérica en pacientes con traumatismo intestinal contuso (TIC), de 3 a 5%, y en varias series la mortalidad fue de 10 a 23%.3,6 En hombres mayores de 45 años con hernia inguinal se ha reportado que ocurren con mayor frecuencia. La desaceleración y fuerzas de compresión pueden inducir la perforación. El estiramiento y desgarro lineal entre objetos fijos y móviles ocurren en las lesiones por desaceleración; además, por la fuerza de compresión, aumenta la presión intraabdominal y con ello la intraluminal causando ruptura.

Las asas intestinales atrapadas en la hernia son susceptibles de perforación.7 En 1995 Reynolds explicó cómo traumatismos directos en la hernia inguinal generan presiones entre 150 y 260 mmHg, lo suficiente para causar perforación; de igual forma, estudios experimentales demostraron que presiones de hasta 300 mmHg causan disrupción intestinal en pacientes con hernia.2,8,9

En nuestro paciente la hernia inguinal y el traumatismo directo de abdomen durante la caída, combinado con la adherencia intestinal que se encontró, probablemente fueron el origen de la ruptura intestinal con la desaceleración, ya que se generó aumento de presión y tracción por los puntos fijos.

En la literatura se menciona que puede haber lesiones mesentéricas o intestinales menores, que suelen ser subclínicas, habiendo retraso en el diagnóstico y reportándose estenosis intestinales tardías con obstrucción intestinal, perforación después de traumatismos contusos de abdomen, por hematomas, segmentos isquémicos y ulceración de mucosa.7,10 Este tipo de casos son un reto en el diagnóstico y en la decisión de tratamiento conservador y/o quirúrgico.

En pacientes hemodinámicamente estables, y en ausencia de datos de peritonitis, se dificulta el diagnóstico y es necesario el apoyo de estudios de gabinete, además de laboratorios.3 La radiografía simple puede mostrar aire libre subdiafragmático, el ultrasonido es útil sólo en contexto de FAST (Focused Assessment with Sonography for Trauma), puede mostrar líquido libre en cavidad; sin embargo, para lesiones intestinales y mesentéricas tiene baja sensibilidad.6 La tomografía computarizada es el estudio de imagen con más sensibilidad y especificidad para el diagnóstico de lesiones intestinales y mesentéricas, mostrando datos específicos, como fuga de contraste oral, pérdida de la continuidad intestinal, neumoperitoneo, trombosis mesentérica segmentaria, engrosamiento de pared intestinal, entre otros.3,11

En nuestro paciente, ante hallazgos clínicos escasos y su estabilidad hemodinámica, se realizó tomografía simple de abdomen, encontrando como signo radiológico específico el neumoperitoneo, por lo que fue llevado a cirugía. Como se menciona, en ocasiones el manejo no operatorio y conservador puede estar presente en traumatismo abdominal; no obstante, la decisión es difícil y las sociedades científicas no han hecho un consenso claro ante hallazgos menores que luego pueden requerir de laparotomía.

La sospecha de lesión intestinal y mesentérica ha llevado a una alta tasa de laparotomías no terapéuticas hasta en 44% para lesión intestinal y 31% para lesión mesentérica; y fracasos del manejo no operatorio de 16 a 28%,3 en este tipo de casos. El médico tratante debe estar consciente de complicaciones tardías y dar seguimiento estrecho al paciente.3,7 En aquéllos hemodinámicamente inestables y con datos de peritonitis no hay duda diagnóstica de requerir una exploración.

Cuando existe estabilidad hemodinámica, con o sin signos de datos positivos en la tomografía, la exploración cuidadosa, mediante una minilaparotomía o laparoscopía, ya sea para diagnóstico o bien terapéutica, ha mostrado esta última su viabilidad.3

El primer caso de laparoscopía en trauma fue descrito por Lamy en 1956, y en el año 1960 Heselson estableció la laparoscopía diagnóstica. La laparotomía exploradora ha sido considerada a la fecha la forma estándar de tratamiento para los pacientes con traumatismo abdominal. La laparoscopía diagnóstica en trauma penetrante incluso ha mostrado sensibilidad de 80 a 100% y especificidad de 73 a 100%, evitando el empleo de la laparotomía en 63% de los pacientes, y en otras series 45.6%.

En 2015 y 2021 se publicaron metaanálisis y revisión sistemática comparando la laparoscopía y laparotomía en el manejo del trauma contuso, se encontró a favor del grupo laparoscópico disminución de complicaciones posquirúrgicas, mortalidad perioperatoria, estancia hospitalaria, sangrado transquirúrgico, dolor posoperatorio; también más rápido inicio de la vía oral y mejora en la calidad de vida. Además, se halló que la laparoscopía tuvo una función importante en la detección de lesiones diafragmáticas, y redujo el riesgo de complicaciones hemodinámicas en pacientes estables con trauma abdominal.

La laparoscopía es ampliamente aceptada en detección de enfermedades no traumáticas, y en trauma ha existido controversia, por su tasa de conversión, la cual era mayor en sus inicios, y en lesiones no detectadas. En la última década han disminuido mostrando utilidad terapéutica en trauma, debido a la experiencia y a la mejora en la tecnología quirúrgica. La tasa de lesiones inadvertidas ha disminuido a 0.52%, menor que 3.2% publicado en el 2013. La posibilidad de conversión es mayor en hemorragia grave o lesiones retroperitoneales.5,12,13 Dependiendo de los estudios y hallazgos clínicos se puede intentar con éxito la laparoscopía diagnóstica. Tal como fue nuestro caso, paciente con estabilidad hemodinámica, nos permitió recuperación rápida, con mínimo dolor y sin complicaciones posquirúrgicas, ayudó a la detección de hernia bilateral y de liberación de adherencias no conocidas.

Como es conocido, y ya se ha mencionado, es raro que la lesión intestinal ocurra en trauma contuso; con todo, la presencia de hernia inguinal es un factor importante que contribuye a la perforación, por el mecanismo de lesión ya descrito; y pueden transcurrir de 24 a 48 horas para que se desarrollen signos de peritonitis, haciendo que la mortalidad aumente, si ocurre posterior a ocho horas del diagnóstico.3,14 Por lo que hay que mantener una alta sospecha en pacientes con hernia inguinal y traumatismo contuso de abdomen. La lesión en nuestro paciente, basado en la Asociación Americana de Cirugía y Trauma (ASAST), fue grado III con disrupción igual o mayor a la circunferencia sin transección, tratándose con resección intestinal y anastomosis.15

La reparación de la hernia inguinal no se efectuó por ser un caso contaminado, ya que el tratamiento del traumatismo abdominal en paciente con hernia y perforación intestinal es más complicado que el de una hernia inguinal simple; lo primero es eliminar la peritonitis y la sepsis, y corregir la perforación, seguido de la reparación de la hernia, como se comenta en la literatura, en casos muy similares se realizó herniorrafía tardía; no hay recomendación clara para reparar hernias inguinales de urgencia en cirugías sucias o contaminadas, debido a que el uso de mallas sintéticas induce a alta tasa de infección, y formación de fístulas, aumentando así las tasas de mortalidad, de readmisión y reoperación.

En casos de abordaje inguinal además de la laparotomía se ha recomendado reparación tisular, si es factible, que tiene alta tasa de recurrencia, de lo contrario el uso de mallas de polipropileno se recomienda con riesgo de infección de 6.4% en heridas contaminadas y de 7.1% en heridas sucias, con posibles recidivas por el proceso infeccioso. Por lo que actualmente no hay una recomendación fuerte para el uso de prótesis en heridas sucias o contaminadas. El empleo de mallas biológicas demostró resultados negativos a largo plazo. Por tal motivo varios autores sugieren la herniorrafía tardía; si bien, sigue siendo un tema de discusión el empleo de mallas en cirugías contaminadas.2,9,16-20



CONCLUSIONES

Este caso es un ejemplo del riesgo de que un paciente sufra lesión intestinal cuando tiene hernia inguinal y presenta trauma contuso en esa región. También nos hace ver que la laparoscopía es una herramienta útil para el diagnóstico y tratamiento en casos como éste. El manejo definitivo de la hernia inguinal en casos de contaminación abdominal sigue siendo controvertido y limitado, pero debe ser resuelto de alguna manera para evitar futuras complicaciones.


REFERENCIAS (EN ESTE ARTÍCULO)

  1. Acosta BLD, Fleitas ODJ, Gonzalez F. Manejo de lesión intestinal por laparoscopia. Rev Nac (Itauguá). 2018; 10: 135-143.

  2. Hakiman H, Delibero J, Pham T, Dineen S, Huerta S. Coughing-induced bowel transection in a patient with an incarcerated inguinal hernia: a case report. J Med Case Rep. 2013; 7: 47.

  3. Bège T, Brunet C, Berdah SV. Hollow viscus injury due to blunt trauma: a review. J Visc Surg. 2016; 153: 61-68.

  4. Lim KH, Chung BS, Kim JY, Kim SS. Laparoscopic surgery in abdominal trauma: a single center review of a 7-year experience. World J Emerg Surg. 2015; 10: 16.

  5. Wang J, Cheng L, Liu J, Zhang B, Wang W, Zhu W et al. Laparoscopy vs. laparotomy for the management of abdominal trauma: a systematic review and meta-analysis. Front Surg. 2022; 9: 817134.

  6. Moustafa F, Avouac J, Vaz MA, Schmidt J. Diagnosis of an inguinal hernia after a blunt inguinal trauma with an intestinal perforation. Case Rep Emerg Med. 2014; 2014: 653847.

  7. Hamidian JA, Johnson L, Youssef AM. Delayed small bowel perforation following blunt abdominal trauma: a case report and review of the literature. Asian J Surg. 2016; 39: 109-112.

  8. Shao J, Sun L, Fu Q. Small bowel perforation due to blunt trauma of left leg with an incarcerated inguinal hernia: a case report. Front Surg. 2021; 8: 8710417.

  9. Shahin Y, Sabota G, Hotouras A. Small bowel perforation due to blunt trauma to an inguinal hernia: a case report and literature review. Hernia. 2012; 16: 349-350.

  10. Northcutt A, Hamidian Jahromi A, Johnson L, Youssef AM. Unusual late occurrence of bowel obstruction following blunt abdominal trauma. J La State Med Soc. 2011; 163: 305-307.

  11. Izquierdo B, Gutiérrez C. Lesión intestinal secundaria a traumatismo abdominal cerrado. Indicación quirúrgica basada en el diagnóstico por la imagen. An Pediatr (Barc). 2014; 81: e60-e61.

  12. Trejo-Ávila ME, Blas-Franco M, Juárez-Salazar D, Valenzuela-Salazar C, Arce-Liévano E, Romero-Loera LS. Tratamiento del trauma de abdomen con perforación de colon mediante cirugía de mínimo acceso. Rev Mex Cir Endoscop. 2016; 17: 179-183.

  13. Ki YJ, Jo YG, Park YC, Kang WS. The efficacy and safety of laparoscopy for blunt abdominal trauma: a systematic review and meta-analysis. J Clin Med. 2021; 10: 1853.

  14. Payson BA, Mage S. Role of inguinal hernia in acute perforation of the small intestine secondary to blunt abdominal trauma. Ann Surg. 1962; 156: 944-950.

  15. Álvarez S, Valdez P, López A. Trauma de intestino delgado. Diagnóstico y tratamiento. An Med Asoc Med Hosp ABC. 2007; 52: 69-73.

  16. Liu D, Zhu L, Wang M. Trauma to an inguinal hernia resulting in bowel rupture: a case report and literature review. Int J Surg Case Rep. 2017; 41: 495-497.

  17. Van't Riet M, de Vos van Steenwijk PJ, Bonjer HJ, Steyerberg EW, Jeekel J. Mesh repair for postoperative wound dehiscence in the presence of infection: is absorbable mesh safer than non-absorbable mesh? Hernia.2007; 11: 409-413.

  18. Ersoz F, Arikan S, Ozcan O, Sentatar E. Isolated terminal ileum perforation after a kick blow to an inguinal hernia. Hernia. 2009; 13: 565-567.

  19. Mendoza A, Pedraza M, Sánchez S, Uso de mallas de polipropileno en el reparo de la hernia inguinal con herida sucia o contaminada. Rev Colomb Cir. 2020; 35: 51-56.

  20. Hernia Surge Group. International guidelines for groin hernia management. Hernia. 2018; 22: 1-165.



AFILIACIONES

1 Fellow American College of Surgeons. Sanatorio Español de Torreón, Coahuila, Clínica de Medicina Familiar del ISSSTE, Torreón, Coahuila. ORCID: 0009-0002-4064-4700

2 Hospital General de Zona No. 51 del Instituto Mexicano del Seguro Social, Durango, México. ORCID: 0009-0002-8380-388X

3 Hospital General Universitario de Torreón Dr. Joaquín del Valle Sánchez. ORCID: 0009-0009-9910-1904

4 Sanatorio Español de Torreón, Coahuila.

5 Unidad Médica de Alta Especialidad No. 71. Torreón, Coahuila.



CORRESPONDENCIA

Lucía Sagui-de la Fuente. E-mail: lucysagui@hotmail.com




Recibido: 29/03/2023. Aceptado: 21/05/2023.

Figura 1
Figura 2
Figura 3
Figura 4

2020     |     www.medigraphic.com

Mi perfil

C?MO CITAR (Vancouver)

Rev Mex Cir Endoscop. 2023;24

ARTíCULOS SIMILARES

CARGANDO ...