medigraphic.com
ENGLISH

Latin American Journal of Oral and Maxillofacial Surgery

ISSN 2992-7757 (Digital)
Órgano de difusión de la Asociación Latinoamericana de Cirugía y Traumatología Bucomaxilofacial (ALACIBU)
  • Mostrar índice
  • Números disponibles
  • Información
    • Información general        
    • Directorio
  • Publicar
    • Instrucciones para autores        
  • medigraphic.com
    • Inicio
    • Índice de revistas            
    • Registro / Acceso
  • Mi perfil

2023, Número 3

<< Anterior Siguiente >>

Lat Am J Oral Maxillofac Surg 2023; 3 (3)


Gingivitis descamativa como signo clínico de desórdenes inmunológicos: estudio de serie de casos

Zambrano, José Gabriel1,2; Gutiérrez Flores, Rodolfo J3; Jiménez, Carmen Cecilia1,4
Texto completo Cómo citar este artículo 10.35366/114535

DOI

DOI: 10.35366/114535
URL: https://dx.doi.org/10.35366/114535
Artículos similares

Idioma: Español
Referencias bibliográficas: 26
Paginas: 124-132
Archivo PDF: 370.25 Kb.


PALABRAS CLAVE

gingivitis descamativa, penfigoide membranas mucosas, liquen plano, pénfigo vulgar.

RESUMEN

La gingivitis descamativa (GD) es considerada una manifestación clínica de algunas enfermedades inflamatorias e inmunológicas, no se considera como un diagnóstico en sí misma, sino una condición o término clínico que describe una encía rojiza, vidriada y friable por la descamación del epitelio superficial que puede progresar a ulceración con presencia de pseudomembranas blanquecinas correspondientes a restos epiteliales necróticos. Ha sido reportada su asociación con entidades como penfigoide de las membranas mucosas (PMM) liquen plano (LP) y pénfigo vulgar (PV). El objetivo de esta serie de casos es describir la GD como signo clínico de desórdenes inmunológicos; aportando información que pueda ser utilizada por los odontólogos de práctica general y especialista en periodoncia para el diagnóstico temprano de estos trastornos y su remisión al médico bucal para su tratamiento farmacológico.



INTRODUCCIóN

La gingivitis descamativa (GD) es considerada una manifestación clínica de algunas enfermedades inflamatorias e inmunológicas, descrita por primera vez por Tomes y Tomes en el año 1984; no se considera como un diagnóstico en sí misma, sino una condición o término clínico que describe una encía rojiza, vidriada y friable por la descamación del epitelio superficial que puede progresar a ulceración con presencia de pseudomembranas blanquecinas correspondientes a restos epiteliales necróticos.1 Algunas veces puede estar precedida de vesículas y/o ampollas de contenido claro, turbio o hemorrágico, que indican un desprendimiento epitelial.1,2 La enfermedad puede ser de bajo grado, con sólo eritema y edema gingival leve, o tener una presentación más grave, que incluye descamación, ampollas, erosiones y ulceración.1,3

La GD ocurre comúnmente en mujeres en su cuarta y quinta década de la vida, aunque puede manifestarse durante la pubertad o a partir de la séptima década de vida, raramente se presenta en niños. Ha sido reportada su asociación con entidades como penfigoide de las membranas mucosas (PMM) y liquen plano (LP), además de otras enfermedades como pénfigo vulgar (PV), penfigoide ampolloso, pénfigo paraneoplásico, enfermedad de inmunoglobulina A lineal (IgA), psoriasis y reacción alérgica a ciertas sustancias químicas; de igual manera se ha asociado con alteraciones endocrinas como hipotiroidismo, deficiencia de estrógenos y desequilibrio de testosterona, infecciones crónicas como tuberculosis, candidiasis crónica e histoplasmosis o por causas misceláneas como sarcoidosis, enfermedad de Crohn, leucemia y envejecimiento;3,4 sin embargo, el PMM y el LP son considerados como las principales causas de GD (Tabla 1).5

Clínicamente, la descamación se puede manifestar como parches leves e insignificantes o eritema generalizado con apariencia vidriosa que afecta principalmente y con más frecuencia a la encía libre, adherida y papilar de la zona anterosuperior. La mayoría de las veces, los pacientes reportan sensación de ardor espontánea o exacerbada al tomar alimentos calientes o picantes, lo que podría orientar el diagnóstico definitivo.4,5 El dolor gingival es constante, lo que reduce en gran medida la eficacia de la higiene bucal por parte del paciente, que puede tener consecuencias posteriores, como el desarrollo de enfermedad periodontal y la consecuente pérdida de dientes.6 Además, cuando las lesiones gingivales son severas y extensas, la alimentación es difícil de lograr y la calidad de vida de los pacientes se altera significativamente. Por último, la falta de resolución de la inflamación gingival después del tratamiento periodontal es a menudo descrita tanto por el especialista como por los pacientes.6-8

Por esta razón, para el diagnóstico de la condición sistémica responsable de la GD, es necesaria la realización de una adecuada historia clínica, que incluya la anamnesis con especial énfasis en el curso clínico de las lesiones (agudo o crónico), en la descripción de la sintomatología dolorosa y en la identificación de los factores desencadenantes. Además de un minucioso examen físico y clínico para identificar lesiones cutáneas y la distribución de las lesiones en la mucosa bucal, una evaluación dermatológica, oftalmológica, ginecológica y en la mayoría de los casos es necesario la toma de biopsia incisional perilesional y el estudio histopatológico para acortar el amplio diagnóstico diferencial.2,3

El LP ha sido definido como una enfermedad inflamatoria, multifactorial, de etiología no conocida con exactitud, con fisiopatología inmune a expensas de los linfocitos T (se produce actividad linfocitaria T contra las células basales de los epitelios), que puede afectar tanto la piel como las uñas, el cabello, incluso a la mucosa bucal y genital.9,10 Se observa con mayor frecuencia en adultos en edad media entre la tercera y quinta década de la vida; en raras ocasiones afecta a niños, no así a mujeres, respecto a las cuales la proporción es de 3:2 en comparación con los varones. Aproximadamente 1% de la población probablemente esté afectada por LP.11

En cavidad bucal se puede manifestar de forma reticular y erosiva. La forma erosiva se caracteriza clínicamente por dolor, sensación de ardor e incomodidad y se puede presentar como áreas atróficas eritematosas con ulceraciones centrales en diferentes grados.12 Los bordes eritematosos atróficos son circunscritos por estrías blancas. En algunas ocasiones, la atrofia y la ulceración se presentan en el tejido gingival, ocasionando GD, que son negativas al signo de Nikolsky.9,12

El término penfigoide agrupa a un número de enfermedades caracterizadas por la presencia de autoanticuerpos contra la unión entre los queratinocitos y la membrana basal, específicamente anticuerpos contra las proteínas BP180, 230 y la integrina α6β4 que forman parte de los hemidesmosomas, complejos de unión encargados de la adhesión del epitelio al tejido conectivo subyacente, razón por la cual se forman ampollas subepiteliales.13 El PMM es un trastorno autoinmune de la mucosa bucal, conjuntiva, tejidos anogenitales y tracto aerodigestivo superior14 que se manifiesta entre la quinta y sexta década de la vida, afecta entre 5 a 7.5 de 10,000 personas en el mundo ocurriendo en una proporción dos veces más en mujeres que en hombres.14,15

El PMM por lo general inicia con el desarrollo de vesículas o ampollas recurrentes que afectan a las mucosas.16 Los individuos pueden presentar manifestaciones bucales iníciales en las encías, 95% de estos pacientes desarrollan GD positiva al signo de Nikolsky y posteriormente pueden extenderse a otras zonas de la mucosa bucal, tales como: carrillo, paladar duro y blando, lengua y el labio inferior. Se manifiesta a través de ampollas con contenido líquido que al romperse producen úlceras dolorosas que cicatrizan lentamente durante varios días o semanas; histopatológicamente se identifica la formación de ampollas subepiteliales y con la técnica de inmunofluorescencia se observan depósitos lineales de autoanticuerpos en la unión entre el epitelio de revestimiento y el tejido conectivo de la lámina propia.17,18 También las lesiones pueden afectar a otras mucosas, como genital y ocular en donde pueden causar ceguera permanente o alteración de la anatomía de la mucosa vaginal o del pene.16-18

El PV forma parte de un grupo de enfermedades ampollosas autoinmunes raras que afectan la piel y las membranas mucosas. Este grupo tiene un curso crónico que conduce a una alta morbilidad y mortalidad. Se caracteriza por la producción de autoanticuerpos dirigidos contra diferentes proteínas del desmosoma, lo que conduce histológicamente a la escisión intraepidérmica y clínicamente a vesículas y erosiones en el epitelio de las mucosas y/o de la piel.19 Se ha reportado que el PV es frecuente entre la quinta y sexta década de la vida, aunque puede ocurrir en cualquier edad afectando preferentemente a las mujeres en una relación 1:9.20

El PV es una formación de ampollas flácidas que se rompen fácilmente dejando erosiones dolorosas, puede presentarse como lesiones mucosas en 41.7% de los pacientes, como lesiones mucosas y cutáneas simultáneas en 37.4%, y como lesiones cutáneas en 20.4%.21

Las lesiones bucales son las primeras manifestaciones en 50-70% de los casos y ocurre en 90% de pacientes durante el curso de la enfermedad. Las zonas más afectadas son la mucosa vestibular y palatina, labios y encía. Las erosiones son múltiples, y se pueden manifestar de diferentes tamaños y formas que se extienden periféricamente con un retraso en la reepitelización. Estas lesiones también pueden presentarse en otras membranas mucosas como en la conjuntiva, esófago, mucosa nasal, vagina, pene y ano y en piel.21,22

La mucosa bucal a menudo se ve afectada por trastornos mucocutáneos: el diagnóstico de estas enfermedades se basa principalmente en la información recolectada en la historia clínica y en las características clínicas e histopatológicas de las lesiones, razón por la cual el objetivo de esta serie de casos es describir la GD como signo clínico de desórdenes inmunológicos, aportando información que pueda ser utilizada por los odontólogos de práctica general y especialista en periodoncia para el diagnóstico temprano de estos trastornos y su remisión al médico bucal para su tratamiento farmacológico; además, de integrarse al equipo multidisciplinario encargado de la atención de los pacientes en busca de evitar el desarrollo de lesiones extensas en mucosa oral y mantener la salud periodontal para mejorar su calidad de vida.



PRESENTACIóN DE CASOS

En esta serie de casos se presentan ocho sujetos, atendidos en el Servicio de Patología Bucal de la Alcaldía de Chacao en Caracas, Venezuela, quienes a través del consentimiento informado dieron su autorización para la toma de registros audiovisuales con fines de investigación y académicos, con una mediana de edad de 63 años (Q1-Q3 = 56-68 años) en un rango de 39-70 años, 75% (6/8) fueron del sexo femenino, la enfermedad más asociada al desarrollo GD fue el PMM en 62.5% (5/8) de los casos, seguido del LP en 25% (2/8). Con respecto a la distribución de la GD en 62.5% (5/8) de los pacientes la zona más afectada fue la encía papilar, libre y adherida, vestibular de los dientes anterosuperiores y anteroinferiores, asociada a dolor que va de leve a intenso en 87.5% de los casos, donde resalta que tres pacientes ya presentaban dificultades para la alimentación y con mediana de tiempo de evolución de seis meses (Q1-Q3= 3-19.8 meses), 37.5% de los pacientes presentaban lesiones en mucosa vaginal y en piel (Tabla 2).

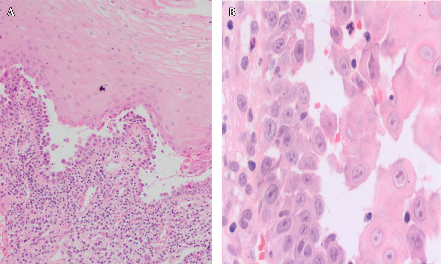
Caso clínico 1: mujer de 68 años que acude a consulta por presentar lesiones bucales de siete meses de evolución, dolorosas que interferían con la alimentación. Al examen bucal se identificó GD Nikolsky+ en encía marginal y papilar vestibular de los dientes anterosuperiores, además de múltiples lesiones ulcerativas en los bordes laterales de lengua y carrillos. Se realizó biopsia incisional; en el examen histopatológico se identificó una amolla subepitelial estableciéndose el diagnostico PMM. La evaluación ginecológica arrojó la presencia de lesiones cicatrízales en vagina.

Caso clínico 2: hombre de 36 años referido por presentar lesiones bilaterales en encía, de cinco años de evolución, asintomáticas. El paciente refiere ser fumador de 20 cigarrillos diarios desde hace 10 años (365 cajetillas al año) y alcohol socialmente. Al examen físico se observaron placas blanquecinas reticulares en la zona del cuello. Al examen bucal se identificó GD Nikolsky- rodeadas de estrías blanquecinas en encía papilar, libre y adherida vestibular de los cuatro cuadrantes. Se tomó una biopsia incisional y en el examen histopatológico se observó mucositis liquenoide de interfase. De acuerdo con la correlación clínico-patológica se estableció el diagnóstico de LP mucocutáneo.

Caso clínico 3: mujer de 56 años de edad, referida por presentar lesión en labio superior, de dos años de evolución con dolor moderado. Al examen físico se observaron placas hiperpigmentadas con retículas blanquecinas en piel de muñecas. Al examen bucal se identificó GD Nikolsky+ en la encía papilar, marginal y libre, vestibular de los dientes anteroinferiores. Además de presentar placa eritematosa en la mucosa del labio superior. Se realizó una biopsia incisional e histopatológicamente se encontraron hallazgos compatibles con mucositis liquenoide de interfase y se diagnosticó con la correlación clínica-patológica como LP mucocutáneo. La paciente fue referida a ginecología en donde se confirmó la presencia de lesiones genitales.

Caso clínico 4: mujer de 56 años de edad que asiste por presentar lesiones gingivales desde hace tres meses, con dolor moderado tratada con ungüento de betametasona, enjuagues de clorhexidina y medidas de higiene bucal. Al examen bucal se observó GD Nikolsky+ en encía papilar, libre y adherida vestibular de los dientes anterosuperiores y anteroinferiores y úlcera superficial en piso de boca. Se realizó biopsia incisional y en el examen histopatológico se observó ampolla subepitelial con diagnóstico PMM.

Caso clínico 5: mujer de 63 años de edad, que asiste a consulta por aparición de múltiples lesiones en orofaringe y cavidad bucal precedidas de vesículas, de dos meses de evolución, refería dolor severo que le impedía la alimentación y antecedentes de artritis reumatoide. En la inspección general se observaron lesiones ulceradas con costras y vesículas en el cuero cabelludo y extremidades superiores. Al examen bucal se identificó GD Nikolsky+ en encía papilar, adherida y libre vestibular de la zona anterosuperior y palatina de molares superiores, además de múltiples lesiones ulceradas en labios, lengua, carrillo y orofaringe. Se practicó biopsia incisional y se estableció el diagnóstico de PV. Se refirió a oftalmología, dermatología y ginecología y sólo se confirmaron la presencia de lesiones en piel.

Caso clínico 6: mujer de 67 años de edad referida por presentar placas blancas en lengua, de tres meses de evolución tratada con antimicótico sin remisión. Al examen bucal se observó placa blanquecina con zonas eritematosas en borde lateral de lengua, en ambos carrillo y mucosa del labio superior e inferior; también presentó GD Nikolsky+ en la encía papilar, adherida y libre vestibular de los dientes anterosuperiores. El examen histopatológico de la biopsia incisional arrojó el diagnóstico de PMM. Se refirió a oftalmología y ginecología encontrándose lesiones vaginales.

Caso clínico 7: hombre de 63 años de edad que asiste a consulta por presentar vesículas en la encía que se rompen y dejan áreas sangrantes desde hace seis meses, refirió dolor severo que le impide la alimentación. Paciente con cesación tabáquica hace 20 años y consumo de alcohol socialmente. Al examen bucal se observó GD Nikolsky+, en la encía libre, adherida y papilar vestibular de los dientes zonas anteroinferiores y anterosuperiores. Al examen histopatológico como resultado de la biopsia incisional el diagnóstico fue PMM.

Caso clínico 8: mujer de 70 años de edad que asistió a consulta referido por presentar lesiones gingivales que no respondieron a la terapia periodontal, de seis meses de evolución refiriendo dolor moderado. Al examen bucal se identificó GD Nikolsky+ que afectó encía marginal, papilar y adherida en vestibular de dientes anterosuperiores y anteroinferiores y posterosuperiores. Se tomó biopsia incisional y se diagnosticó PMM.



DISCUSIóN

La GD es una afección clínica en la que la encía aparece rojiza, vidriada y friable con pérdida del epitelio superficial; se considera una manifestación clínica de muchas enfermedades y, por lo tanto, no se identifica como un diagnóstico en sí pero su manifestación puede ser el signo temprano o el único signo de presentación de estas afecciones.2,3 Una historia clínica detallada con énfasis en la duración de las lesiones, hábitos que empeoran la condición y los detalles de la terapia previa son obligatorios. Examen clínico exhaustivo del patrón de distribución de las lesiones (focales o multifocales con o sin confinamiento a los tejidos gingivales) y la presencia o ausencia de signo de Nikolsky sirven como una herramienta valiosa para identificar la causa subyacente,3 algo de suma importancia considerando que los pacientes de esta serie de casos tuvieron en promedio un periodo de seis meses, con un intervalo de tres a 19.8 meses, desde la aparición de las lesiones hasta su adecuado diagnóstico, lo que repercute en un tratamiento tardío y en el desarrollo de lesiones extensas y dolorosas en cavidad bucal, en otras mucosas y en piel; razón por la cual 87.5% de los pacientes de esta serie de casos presentaron sintomatología dolorosa, que en algunos casos impedía la alimentación afectando significativamente la calidad de vida y 37.5% ya habían desarrollado lesiones en otras mucosas y en piel.

En este estudio la mediana de edad fue de 63 años con un rango de edad que va desde la tercera a la séptima década de la vida y más frecuente en el sexo femenino, datos epidemiológicos que coinciden con reportes previos realizados por Ramesh y colaboradores,3 esto puede deberse a que la totalidad de los casos estaban asociados a trastornos inmunitarios, en concordancia con lo reportado por Mathew y su grupo,4 en donde de 88 a 90% de los casos de GD se debían a la presencia de alguna de estas condiciones que son más frecuentes en adultos mayores del sexo femenino. Los casos de PMM fueron los más frecuentes seguidos del LP y el PV, datos que son contrarios a lo planteado por Ramesh y su equipo,3 que establece que la condición más frecuente es el LP; sin embargo, debemos aclarar que éste es un limitado estudio de series de casos. El sitio más común de localización fue la encía adherida y marginal de la zona anterosuperior por vestibular igual que lo reportado.

Vijayan y colaboradores reportaron un caso clínico de paciente masculino de 41 años que manifestaba encías sangrantes y sensación de ardor mientras tomaba alimentos calientes y picantes durante los últimos dos meses. El paciente no refirió antecedentes médicos y odontológicos de interés, y no presentaba manifestación clínica en otra parte o mucosa del cuerpo. El examen bucal arrojó que la encía marginal, adherida y papilar parecía estar eritematosa y descamada, presentando signo positivo de Nikolsky. Se tomó una biopsia incisional del área perilesional para examen histopatológico obteniendo como resultado PMM y GD asociada.1

Por otro lado, Wada y colaboradores presentan dos reportes de caso, de una mujer de 74 años con historia de cinco años de ampollas en la mucosa bucal y erupciones en la piel de la nariz, orejas y cabeza; recientemente, notó sangrado en las encías y mucosa del paladar. Se observaron úlceras dolorosas y lesiones eritematosas en el paladar, las encías y la mucosa bucal. La piel mostró evidencia de pequeñas erupciones y costras en las regiones de la nariz y los oídos externos, así como eritema de ambas córneas y adhesión de las membranas conjuntivales; como resultado de la biopsia se diagnosticó PMM con GD asociada. El segundo caso reportado trataba de mujer de 59 años con antecedentes de un año de ampollas recurrentes en la mucosa bucal. A la evaluación clínica se observó una erosión localizada en la parte inferior derecha de la encía marginal, pero sin lesiones en la piel u otras mucosas. Una muestra de biopsia de su mucosa bucal mostraba una membrana mucosa cubierta por epitelio escamoso, junto con desprendimiento parcial del epitelio y el tejido conectivo submucoso con ligera infiltración de células inflamatorias, obteniendo como diagnostico PMM y GD. Ambos casos no reportaron signo positivo de Nikolsky.23

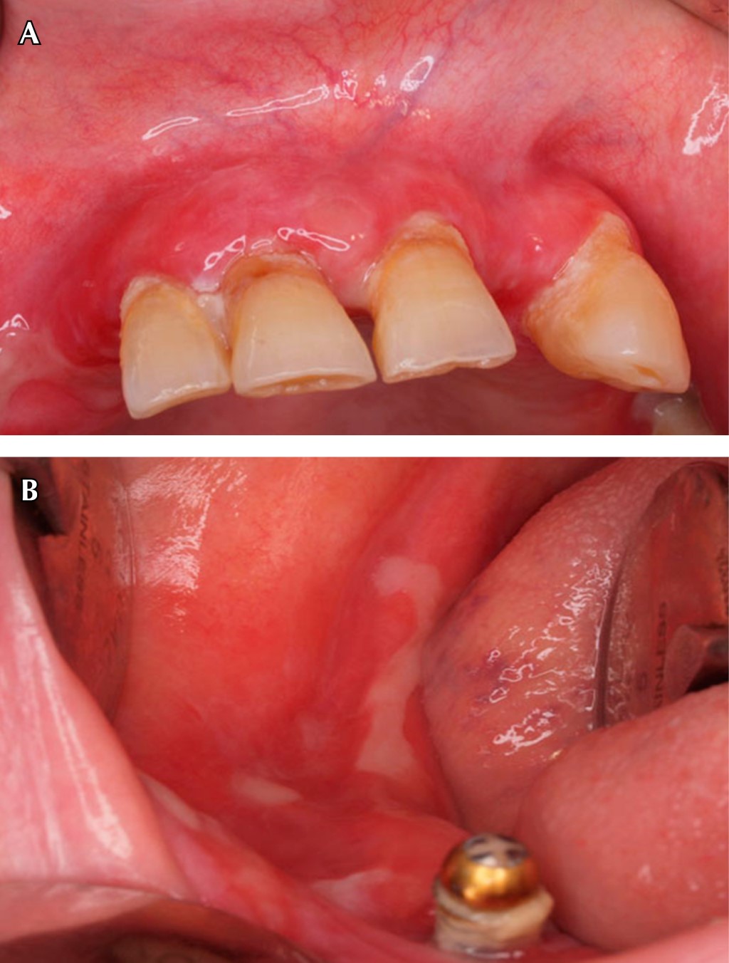
La literatura reporta que el PMM es más común en la quinta y sexta década de la vida y su prevalencia es en mujeres contrastando con hombres. En nuestro estudio, cinco pacientes de los ocho presentados fueron diagnosticados con PMM y GD, de los cuales cuatro eran mujeres, ubicados entre la quinta y sexta década de vida. El signo positivo de Nikolsky estuvo presente en cuatro de los cinco pacientes y sólo dos con manifestación en otras mucosas y partes del cuerpo (Figuras 1 y 2).

Un hombre de 36 años fue reportado con antecedentes de ulceraciones dolorosas que involucraban el paladar y encía durante las últimas dos semanas. La historia reveló que las ulceraciones comenzaron inicialmente como ampollas y se asociaron con dolor que se agravaba al masticar los alimentos; las ulceraciones provocaron considerables molestias, afectando su normal funcionamiento bucal. El examen bucal reveló áreas de erosiones en el paladar y el vestíbulo inferior, las encías se presentaban eritematosas con numerosas erosiones en el borde de encía marginal. La mucosa gingival mostró un resultado positivo de Nikolsky. El examen extrabucal no reveló lesiones cutáneas. Se realizó el diagnóstico de PV y GD.24

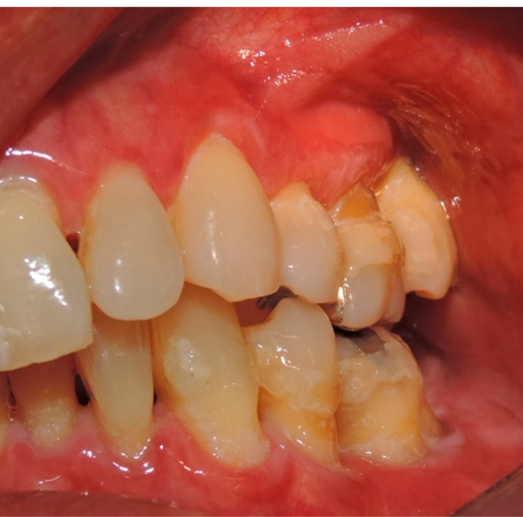
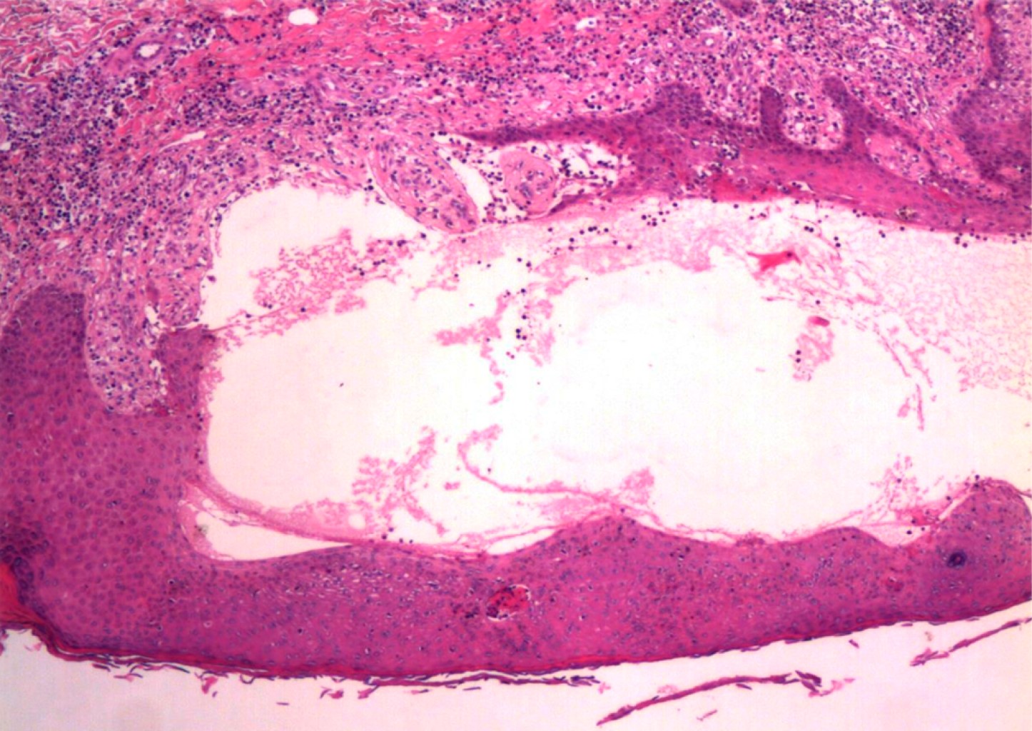
De los pacientes reportados en este estudio, sólo uno fue diagnosticado con PV y GD, se trataba de una mujer de 63 años con manifestaciones en cavidad bucal y cuero cabelludo. Según la literatura, el PV es frecuente entre la quinta y sexta década de la vida con predilección al género femenino, coincidiendo con la paciente reportada (Figuras 3, 4 y 5).

Pocos estudios han comparado el PMM y PV; una investigación obtuvo como resultado de una muestra de 57 pacientes que cumplieron con los criterios de inclusión, del total de la muestra, 26 pacientes presentaron PMM (46%) y 31 con PV (54%). La gingivitis descamativa fue evidente en el 84% de los casos de PMM en comparación con el 26% de los casos de PV (p < 0.05). Las lesiones no gingivales fueron observadas en el 6% de los casos de PMM en comparación con el 55% de los casos de PV (p < 0.01).25

Una mujer de 54 años manifestaba encías rojas junto con sensación de ardor, que agravó por el consumo de alimentos picantes o calientes. El examen bucal mostró encía de color rojo intenso con eritema visible que se extendía desde el primer molar superior derecho al primer molar superior izquierdo y el primer premolar inferior derecho al primero premolar inferior izquierdo. Todo el espesor de la encía (encía marginal, papilas interdentales y encía adherida) hasta la unión mucogingival estaba eritematosa y dolorosa a la palpación, sin secreción evidente de la encía y signo negativo Nikolsky. Al examinar el resto de la mucosa bucal, no se observaron hallazgos significativos en los tejidos blandos; sin embargo, se observó acumulación generalizada de cálculo y biopelícula dentaria. A la evaluación dermatológica se evidenció lesiones a nivel de piernas. Considerando la presencia de las lesiones bucales, cutáneas y el resultado de biopsia de GD, se diagnosticó como LP.4

Vatankhah y colaboradores reportaron el caso de una mujer de 25 años con un motivo de consulta principal de malestar bucal y dolor de la encía; el examen bucal mostró la presencia de múltiples áreas eritematosas y descamativas bilaterales en mucosa gingival tanto superior como inferior con signo de Nikolsky positivo. Por el dolor, la higiene dental en el hogar era difícil y desalentadora para el paciente. El examen histopatológico de la lesión gingival mostró un epitelio aplanado con licuefacción de la capa basal y áreas yuxtaepiteliales de infiltrado inflamatorio crónico. El diagnóstico fue LP con GD asociada.24,26

Se ha reportado que el LP es más frecuente entre la tercera y quinta década de la vida con una predilección al género femenino. En este reporte de casos, de los ocho pacientes presentados sólo dos fueron diagnosticados con LP y GD ubicados entre la tercera y quinta década de la vida, sólo uno con manifestación en otra parte del cuerpo. A pesar, de que la literatura confirma que esta entidad se presenta con signo negativo de Nikolsky, uno de los pacientes con diagnóstico de LP presentó signo positivo (Figura 6).



CONCLUSIóN

Luego del estudio de esta serie de casos quedo evidenciado que la GD, en la mayoría de los casos, es la expresión clínica de enfermedades inmunológicas y autoinmune, siendo las más comunes el PMM, el LP y el PV, afectando principalmente mujeres en la sexta década de vida, con lesiones en la zona gingival anterosuperior por vestibular; algunas de las cuales pudieran tener manifestaciones cutáneas y en mucosa vaginal. El odontólogo general y en especial el periodoncista deben tener las herramientas para realizar la historia clínica que incluya una anamnesis y evaluación física y clínica adecuada que permita identificar que el cuadro de gingivitis en estos pacientes no está asociado a la biopelícula dental sino alguna condición sistémica, lo que permitirá su rápida remisión al médico bucal. Esto contribuirá al diagnóstico temprano para evitar la aparición de lesiones dolorosas y diseminadas en la mucosa bucal, en otras mucosas (ocular, vaginal y del pene) y piel, que afecten significativamente la calidad de vida del paciente; razón por la cual juegan un papel fundamental en el equipo interdisciplinario de salud que atenderá a estas personas.


REFERENCIAS (EN ESTE ARTÍCULO)

  1. Vijayan V, Paul A, Babu K, Madhan B. Desquamative gingivitis as only presenting sign of mucous membrane pemphigoid. J Indian Soc Periodontol. 2016; 20 (3): 340-343.

  2. Gaultier F, Ejeil A, Jungo S, Ingen-Housz-Oro S, de Clatigny F, Bruno G, et al. Clinical relevance of interdental papilla biopsy in chronic erosive gingivitis (desquamative gingivitis): retrospective bicentric study of 148 specimens. BMC Oral Health. 2021; 21 (1): 452.

  3. Ramesh A, Bhat R, Madhumita M, Jaganathan P. Desquamative gingivitis in dermatological disorders. Indian J Dermatol Venereol Leprol. 2021; 87 (3): 446-451.

  4. Mathew M, Nayak V, Ramaiah S, Sethuraman S. Desquamative gingivitis: a definite indicator for mucocutaneous disorders. BMJ Case Rep. 2022; 15 (1): e247857.

  5. Shaqman M, Hamdan A, Karadsheh O, Sawair F, Hassona Y. Desquamative gingivitis: a challenging diagnosis for clinicians. Br Dent J. 2020; 229 (1): 26-30.

  6. Cabras M, Gambino A, Broccoletti R, Arduino P. Desquamative gingivitis: a systematic review of possible treatments. J Biol Regul Homeost Agents. 2019; 33 (2): 637-642.

  7. Maderal AD, Lee Salisbury P 3rd, Jorizzo JL. Desquamative gingivitis: diagnosis and treatment. J Am Acad Dermatol. 2018; 78 (5): 851-861.

  8. Maderal AD, Lee Salisbury P 3rd, Jorizzo JL. Desquamative gingivitis: clinical findings and diseases. J Am Acad Dermatol. 2018; 78 (5): 839-848.

  9. Yuwanati M, Gondivkar S, Sarode S, Gadbail A, Sarode G, Patil S, et al. Impact of oral lichen planus on oral health-related quality of life: a systematic review and meta-analysis. Clin Pract. 2021; 11 (2): 272-286.

  10. González M, Warnakulasuriya S, González I, González L, Ayén A, Lenouvel D, et al. Worldwide prevalence of oral lichen planus: a systematic review and meta-analysis. Oral Dis. 2021; 27 (4): 813-828.

  11. Oberti L, Alberta L, Massimo P, Francesco C, Dorina L. Clinical management of oral lichen planus: a systematic review. Mini Rev Med Chem. 2019; 19 (13): 1049-1059.

  12. Villanueva F, Escalante L, Zambrano G, Cuevas J, Maya I. Liquen plano bucal. Reporte de un caso y revisión de la literatura. Rev Alerg Méx. 2018; 65 (4): 424-430.

  13. Mergoni G, Magnani V, Goldoni M, Vescovi P, Manfredi M. Effects of oral healthcare motivation in patients with gingival oral lichen planus: A randomized controlled trial. Oral Dis. 2019; 25 (5): 1335-1343.

  14. Mays J, Carey B, Posey R, Gueiros L, France K, Setterfield J et al. World Workshop of Oral Medicine VII: a systematic review of immunobiologic therapy for oral manifestations of pemphigoid and pemphigus. Oral Dis. 2019; 25 (Suppl 1): 111-121.

  15. Patel P, Jones V, Murray T, Amber K. A review comparing international guidelines for the management of bullous pemphigoid, pemphigoid gestationis, mucous membrane pemphigoid, and epidermolysis bullosa acquisita. Am J Clin Dermatol. 2020; 21 (4): 557-565.

  16. Buonavoglia A, Leone P, Dammacco R, Di Lernia G, Petruzzi M, Bonamonte D, et al. Pemphigus and mucous membrane pemphigoid: An update from diagnosis to therapy. Autoimmun Rev. 2019; 18 (4): 349-358.

  17. Holtsche MM, Zillikens D, Schmidt E. Mucous membrane pemphigoid. Hautarzt. 2018; 69 (1): 67-83.

  18. Taylor J, McMillan R, Shephard M, Setterfield J, Ahmed R, Carrozzo M, et al. World Workshop on Oral Medicine VI: a systematic review of the treatment of mucous membrane pemphigoid. Oral Surg Oral Med Oral Pathol Oral Radiol. 2015; 120 (2): 161-71.e20.

  19. Kridin K. Pemphigus group: overview, epidemiology, mortality, and comorbidities. Immunol Res. 2018; 66 (2): 255-270.

  20. Altman EM. Novel therapies for pemphigus vulgaris. Am J Clin Dermatol. 2020; 21 (6): 765-782.

  21. Cura M, Torre A, Cueto K, Bollea M, Riganti J, Puga M, et al. Pénfigo vulgar: estudio de cohorte retrospectivo de sus características clínicas, tratamientos empleados y evolución. Actas Dermosifiliogr. 2020; 111 (5): 398-407.

  22. Porro A, Seque C, Corsi M, Simões M, Silva E. Pemphigus vulgaris. An Bras Dermatol. 2019; 94 (3): 264-278.

  23. Wada M, Sato J, Shindoh M, Ujiie H, Natsuga K, Nishie W, et al. Anti-BP180-type mucous membrane pemphigoid: report of two cases. Odontology. 2016; 104 (1): 114-118.

  24. Kumar S, Nehru S, Gunasekaran N, Krishnan R. Oral pemphigus vulgaris: A case report with direct immunofluorescence study. J Oral Maxillofac Pathol. 2016; 20 (3): 549.

  25. Sultan A, Villa A, Saavedra A, Treister N, Woo S. Oral mucous membrane pemphigoid and pemphigus vulgaris-a retrospective two-center cohort study. Oral Dis. 2017; 23 (4): 498-504.

  26. Vatankhah M, Taghi Chitsazi M, Mehdipour M, Taghavi Zenouz A, Estakhri R. Treatment of desquamative gingivitis with free gingival graft: a case report. J Dent Res Dent Clin Dent Prospects. 2010; 4 (1): 33-36.



AFILIACIONES

1 Odontólogo. Universidad Central de Venezuela. Caracas, Venezuela.

2 MSc. Esp. Patología y Medicina Bucal. Universidad Autónoma Metropolitana. México.

3 Odontólogo, Universidad de los Andes. Residente, Programa de Especialización en Periodoncia, Universidad Central de Venezuela. Caracas, Venezuela.

4 PhD en Odontología. MSc. Medicina Estomatológica. Universidad Central de Venezuela. Caracas, Venezuela.



Conflicto de intereses: los autores declaramos no tener conflicto de intereses en el desarrollo del presente estudio.



CORRESPONDENCIA

Rodolfo J Gutiérrez Flores. E-mail: odgutierrezrodolfo@gmail.com




Recibido: 01/10/2023. Aceptado: 01/12/2023

Figura 1
Figura 2
Figura 3
Figura 4
Figura 5
Figura 6
Tabla 1
Tabla 2

2020     |     www.medigraphic.com

Mi perfil

C?MO CITAR (Vancouver)

Lat Am J Oral Maxillofac Surg. 2023;3

ARTíCULOS SIMILARES

CARGANDO ...