medigraphic.com
ENGLISH

Latin American Journal of Oral and Maxillofacial Surgery

ISSN 2992-7757 (Digital)
Órgano de difusión de la Asociación Latinoamericana de Cirugía y Traumatología Bucomaxilofacial (ALACIBU)
  • Mostrar índice
  • Números disponibles
  • Información
    • Información general        
    • Directorio
  • Publicar
    • Instrucciones para autores        
  • medigraphic.com
    • Inicio
    • Índice de revistas            
    • Registro / Acceso
  • Mi perfil

2023, Número 3

<< Anterior

Lat Am J Oral Maxillofac Surg 2023; 3 (3)


Queratoquiste odontogénico imitando quiste periodontal lateral. Reporte de un caso

Rodríguez, Freddy1; Villalobos, Samantha1; Bonilla, Carolina2; Villarroel, Mariana3
Texto completo Cómo citar este artículo 10.35366/114538

DOI

DOI: 10.35366/114538
URL: https://dx.doi.org/10.35366/114538
Artículos similares

Idioma: Español
Referencias bibliográficas: 16
Paginas: 139-143
Archivo PDF: 295.51 Kb.


PALABRAS CLAVE

queratoquiste, quiste periodontal lateral, quistes del desarrollo, quistes mandibulares, diagnóstico diferencial.

RESUMEN

El queratoquiste odontogénico es un quiste del desarrollo, presenta crecimiento clínico agresivo y un patrón de alta recurrencia entre 25 a 60%. La etiología sigue en discusión, siendo ésta la proliferación de la lámina dental epitelial de los maxilares, origen del órgano del esmalte por degeneración del retículo estrellado, antes del inicio de la aposición del esmalte y el componente de las células basales del epitelio bucal. Se presenta como hallazgo radiográfico casual y para llegar a un diagnóstico definitivo es necesaria una historia clínica detallada, evaluación física, fotografías clínicas, radiografías simples, imagenología 3D e histopatología. Se observa como una lesión radiolúcida unilocular o multilocular, a veces expansiva con márgenes bien delimitados y solitarias. El queratoquiste odontogénico puede presentar una alta tasa de recurrencia de un 20, 30 a 60%. Cada uno de estos aspectos por sí solo no son suficientes para llegar a un diagnóstico certero, es por esto que es de vital importancia no subestimar los hallazgos imagenológicos y su correlación con la histopatología, permitiendo así un diagnóstico temprano de lesiones con alto potencial de agresividad, reduciendo así la morbilidad de las mismas. El tratamiento es controversial, ya que la literatura reporta múltiples opciones tanto conservadoras como radicales y terapias adyuvantes. Se presenta un caso de una mujer de 59 años de edad que presentó un hallazgo radiográfico en mandíbula entre órganos dentarios 3.4 y 3.5, al que se realizó biopsia escisional que arrojó un resultado histopatológico de queratoquiste odontogénico.



INTRODUCCIóN

Los quistes odontogénicos son clasificados por la Organización Mundial de la Salud como inflamatorios y de desarrollo según su revestimiento epitelial.1 El queratoquiste odontogénico se clasifica como un quiste del desarrollo.2

Philipsen en 1956 describe por primera vez el queratoquiste odontogénico, poniendo en evidencia su comportamiento biológico agresivo, características histológicas únicas, y alta tasa de recurrencia.3 En 2005, la Organización Mundial de la Salud (OMS) reclasificó el queratoquiste odontogénico y definió estas lesiones como una neoplasia intraósea benigna, uni o multiquística de origen odontogénico, con un revestimiento característico de epitelio escamoso estratificado paraqueratinizado y un potencial de formación agresiva e infiltrante, recomendando el término tumor odontogénico queratoquístico, que reflejaría mejor su naturaleza neoplásica.4 El queratoquiste odontogénico, según la OMS, en 2017 se reclasificó el tumor odontogénico queratinizante quístico como una lesión quística (queratoquiste odontogénico).5 Una de las características de esta patología es la capacidad de crecer a lo largo de los canales esponjosos con muy poca expansión cortical.6 Hay teorías de expansión, propuestas como actividad colagenolítica de la pared del quiste, síntesis de interleucina 1 y 6 por los queratinocitos, hiperosmolaridad intraluminal, proliferación epitelial activa.7

El queratoquiste odontogénico, presenta crecimiento clínico agresivo y un patrón de alta recurrencia entre 25 a 60%. La etiología tiene varias vertientes aun en discusión, por lo que se sugiere proliferación de la lámina dental epitelial de los maxilares, la segunda vertiente nos habla del origen del órgano del esmalte por degeneración que sufriría el retículo estrellado, antes del inicio de la aposición del esmalte, así como también del componente de las células basales del epitelio bucal.4

El queratoquiste odontogénico es un quiste del desarrollo que se encuentra con mayor frecuencia entre la segunda y quinta décadas, afecta con mayor frecuencia la región mandibular posterior.8

El queratoquiste odontogénico comprende 12% de todos los quistes odontogénicos de los maxilares, radiográficamente se presenta como una lesión radiolúcida unilocular o multilocular, a veces expansiva. El diagnóstico histopatológico es fundamental para distinguirlo de otros quistes odontogénicos debido a su alta tasa de recurrencia (13 y 58%).9

Como uno de los diagnósticos diferenciales del queratoquiste odontogénico en esta zona se presenta el quiste periodontal lateral.2 El mismo se clasifica como quiste del desarrollo no inflamatorio, localizado adyacente o lateral a la raíz de un diente vital, siendo su ubicación más frecuente entre premolares mandibulares, aunque se ha informado que ocurre en las otras áreas.10

Presenta predilección por el sexo masculino y una mayor incidencia entre la quinta y séptima década. Generalmente se presenta asintomática y radiográficamente se observa una imagen radiolúcida con bordes bien definidos de forma redonda u ovoide.11

El objetivo del presente artículo es describir un caso de una mujer que presentó un queratoquiste odontogénico ubicado en zona mandibular izquierda a nivel de premolares inferiores.



CASO CLíNICO

Se trata de una mujer de 59 años de edad que asiste referida al Postgrado de Cirugía Bucal de la Universidad Central de Venezuela, para valoración, diagnóstico y tratamiento de hallazgo radiográfico en zona mandibular izquierda. Como inicio de enfermedad actual se obtiene hallazgo radiográfico durante evaluación de radiografía panorámica dental sinusal en diciembre de 2022, paciente asiste asintomática, refiere pulpectomía en 3.5-3.6 en facultativo de tipo odontólogo privado.

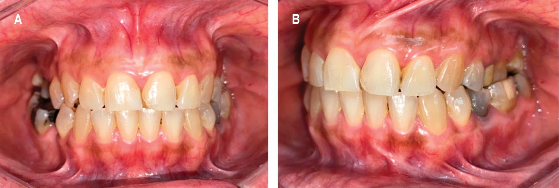
Al examen físico extrabucal se observan tercios faciales aparentemente simétricos, al examen intrabucal se evidencian múltiples restauraciones defectuosas, ausencia de órganos dentarios 1.8, 2.8, 3.8, 4.5 y 4.8. A nivel de 3.5 y 36 se observa restauración de tipo provisional. Se observa un aumento de volumen de 7.5 mm de altura × 3.5 mm de ancho, en zona mandibular premolar (entre 3.4 y 3.5) (Figura 1), normocrómico, normotérmico, firme a la palpación, se realizaron pruebas de sensibilidad dentaria en órganos dentarios 3.4-3.5-3.6, obteniendo resultados negativos para todas las pruebas realizadas (frío, calor, percusión vertical, percusión horizontal).

Al examen imagenológico se evaluó una radiografía panorámica dental sinusal, donde se observa una imagen radiolúcida de bordes definidos ubicado entre órganos dentarios 3.4 y 3.5, que abarca de la porción ósea crestal a tercio medio inferior radicular, sugerente a pérdida de estructura ósea. De igual forma se evaluó una tomografía de haz cónico mandibular, donde se observó imagen hipodensa en contraste con densidad de estructura ósea, de 8.08 mm de altura por 2.48 mm de ancho en su porción más cefálica y 4.03 mm de ancho en su zona más caudal × 6.43 mm de profundidad, se observa solución de continuidad de cortical vestibular, se observó cortical lingual sin alteraciones (Figura 2).

Se realizó biopsia escisional bajo anestesia local con lidocaína a 2%, punción de la zona, donde se obtiene un líquido de coloración ámbar con perlas de las mismas características crómicas, abordaje con incisión crevicular, levantamiento de colgajo mucoperióstico, exposición de la lesión, enucleación, curetaje, osteotomía periférica con márgenes de seguridad de 0.5 mm, abundante lavado con solución salina 0.9% y síntesis de tejidos. Se envió la muestra a patólogo bucal y maxilofacial para su estudio (Figura 3).

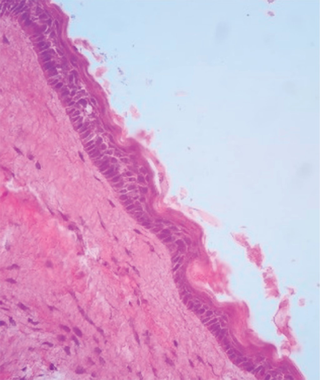
Al microscopio se observa quiste odontogénico delineado por epitelio plano estratificado paraqueratinizado. La superficie epitelial se observa corrugada y la basal se observa en empalizada. Pared de tejido conectivo fibroso. Focos discretos de inflamación crónica y áreas extensas de hemorragia reciente. Presencia de trabéculas óseas maduras de aspecto normal. No hay evidencia de malignidad en el tejido estudiado. Se obtuvo como diagnóstico histopatológico queratoquiste odontogénico (Figura 4).

Se hicieron evaluaciones postoperatorias a los siete días y tres meses, se indicó radiografía panorámica para evaluación y control postoperatorio, así como una radiografía periapical a los cuatro meses, donde se observa una imagen radiopaca compatible con formación de estructura ósea con características de normalidad (Figura 5).



DISCUSIóN

El queratoquiste odontogénico es una lesión intraósea, que generalmente se presenta en la región posterior de la mandíbula, con ligera predilección por hombres jóvenes.12 En este caso se presentó en una mujer de 59 años de edad, lo cual difiere con algunas investigaciones en relación con la edad y el género.13-15

Clínicamente pueden presentarse con aumento de volumen, dolor, parestesia o cursar completamente asintomáticas, siendo detectado como un hallazgo radiográfico casual.3 En el caso presentado no se evidencia sintomatología asociada, cursando como un hallazgo radiográfico.

Radiográficamente se presenta como una lesión radiolúcida unilocular o multilocular, a veces expansiva con márgenes bien delimitados y solitarias. Una variedad de lesiones presenta características radiológicas compatibles con las del queratoquiste odontogénico como son los quistes periodontales laterales, quistes traumáticos, quistes odontogénicos calcificados, ameloblastomas, granuloma de células gigantes, entre otros. Por lo que el estudio histopatológico es mandatorio para llegar a un diagnóstico adecuado.9,16

Las características imagenológicas y clínicas no son patognomónicas de esta lesión, por lo que puede generar diagnósticos erróneos en ausencia del estudio histopatológico,3 sobre todo cuando se presenta en ubicaciones y características inusuales.

Una vez obtenido el diagnóstico definitivo se planifica el tratamiento, esto es un tema controversial ya que la literatura reporta múltiples opciones tanto conservadoras como radicales y terapias adyuvantes.2,4,6,15 Están ampliamente reportadas opciones conservadoras como descompresión y marsupialización, así como enucleación, enucleación y curetaje, enucleación y descomprensión, con terapias adyuvantes con solución de Carnoy, crioterapia con nitrógeno líquido, entre otras.6,16

Otros autores reportan tratamientos más radicales como enucleación con osteotomía periférica, osteotomías segmentarias, resección parcial, resección total, lo que trae consigo altos índices de morbilidad y de secuelas postoperatorias, pero disminuye altamente la tasa de recidiva de la lesión.6

El queratoquiste odontogénico puede presentar una alta tasa de recurrencia de 20, 30 a 60%,2,4 por lo que en el presente caso se decidió realizar una terapia combinada de enucleación, curetaje y osteotomía periférica, siendo éste un tratamiento invasivo pero conservador, disminuyendo la morbilidad del caso.



CONCLUSIóN

Para obtener un diagnóstico de cualquier patología bucal y maxilofacial es imprescindible una adecuada anamnesis e historia clínica detallada, así como una evaluación física exhaustiva que nos permita obtener toda la información necesaria para orientarnos en el diagnóstico, acompañado de las evaluaciones imagenológicas, tanto fotografías clínicas, radiografías simples e imagenología 3D como tomografías helicoidales o de haz cónico, según amerite cada caso, así como el estudio histopatológico que nos aporta el diagnóstico definitivo.

Cada uno de estos aspectos por sí solo no son suficientes para llegar a un diagnóstico adecuado y certero, es por esto que es de vital importancia no subestimar los hallazgos imagenológicos y su correlación con la histopatología, permitiendo así un diagnóstico temprano de lesiones con alto potencial de agresividad, reduciendo así la morbilidad de las mismas.

Tal como se observó en el presente caso, al examen imagenológico se obtuvo como diagnóstico presuntivo quiste periodontal lateral, al examen físico intrabucal las características clínicas no se correlacionan con el diagnóstico definitivo obtenido del estudio histopatológico queratoquiste odontogénico.


REFERENCIAS (EN ESTE ARTÍCULO)

  1. El-Naggar AK, Chan JKC, Grandis JR, Takata T, Slootweg PJ. World Health Organization Classification of Head and Neck Tumours. 4th ed. Lyon: IARC; 2017. pp. 204-260.

  2. Vega Llauradó A, Ayuso Montero R, Teixidor Olmo I, Salas Enric J, Marí Roig A, López López J. Opciones terapéuticas en quistes odontogénicos. Revisión. Av Odontoestomatol. 2013; 29 (2): 81-93.

  3. Hasanoglu Erbasar GN, Peker E, Baris E. Keratocystic odontogenic tumor simulating lateral periodontal cyst and nasopalatine duct cyst: Report of cases and literature review. Int J Clin Exp Med. 2016; 9 (9): 18583-18592.

  4. Velazque Rojas L, Alonso Claudio C, Valenzuela Huamán CJ, Velazque Rojas G. Diagnóstico y tratamiento conservador del queratoquiste odontogénico. Odontoestomatología. 2022; 24 (39): e407.

  5. Westra WH, Lewis JS Jr. Update from the 4th edition of the World Health Organization Classification of head and neck tumours: oropharynx. Head Neck Pathol. 2017; 11 (1): 41-47.

  6. Menon S. Keratocystic odontogenic tumours: etiology, pathogenesis and treatment revisited. J Maxillofac Oral Surg [Internet]. 2015; 14 (3): 541-547. Available in: http://dx.doi.org/10.1007/s12663-014-0734-5

  7. Figueroa CL, López NF, Carvajal GM, Mordoh CS, Núñez MF. Manejo quirúrgico del queratoquiste odontogénico con invasión al seno maxilar: reporte de serie casos y revisión de la literatura. Int J Odontostomat. 2021; 15 (4): 953-959.

  8. Jung HD, Lim JH, Kim HJ, Nam W, Cha IH. Appropriate follow-up period for odontogenic keratocyst: a retrospective study. Maxillofac Plast Reconstr Surg. 2021; 43 (1): 16.

  9. Min JH, Huh KH, Heo MS, Choi SC, Yi WJ, Lee SS, et al. The relationship between radiological features and clinical manifestation and dental expenses of keratocystic odontogenic tumor. Imaging Sci Dent. 2013; 43 (2): 91-98.

  10. de Carvalho LF, Lima CF, Cabral LA, Brandao AA, Almeida JD. Lateral periodontal cyst: a case report and literature review. J Oral Maxillofac Res. 2011; 1 (4): e5.

  11. Villalobos-Medina MC, Jiménez-Matute JM. Quiste periodontal lateral, reporte de un caso. Rev Nac Odontol. 2019;15(28):1-10.

  12. Silva Servato JP, Cardoso SV, Parreira da Silva MC, Cordeiro MS, Rogério de Faria P, et al. Orthokeratinized odontogenic cysts presenting as a periapical lesion: report of a case and literature review. J Endod. 2014; 40 (3): 455-458.

  13. Cakur B, Miloglu O, Yolcu U, Goregen M, Gürsan N. Keratocystic odontogenic tumor invading the right maxillary sinus: a case report. J Oral Sci. 2008; 50 (3): 345-349.

  14. Kahraman D, Gunhan O, Celasun B. A series of 240 odontogenic keratocysts: Should we continue to use the terminology of 'keratocystic odontogenic tumour' for the solid variant of odontogenic keratocyst? J Craniomaxillofac Surg. 2018; 46 (6): 942-946. doi: 10.1016/j.jcms.2018.04.007.

  15. Robles P, Roa I. Keratocystic odontogenic tumor: clinicopathological aspects and treatment. J Oral Res. 2014; 3 (4): 249-256.

  16. Arenas FG, Navarro CC, Ochandiano CS, López LA, Kulyapina A, García SA, et al. Manejo terapéutico del queratoquiste: Revisión y presentación de un caso clínico. Rev Mex Cir Bucal Maxilofac. 2014; 10 (3): 101-107.



AFILIACIONES

1 Residente del Postgrado de Cirugía Bucal de la Universidad Central de Venezuela.

2 Especialista en Cirugía Bucal. Docente del Postgrado de Cirugía Bucal de la Universidad Central de Venezuela.

3 PhD Patología Bucal y Maxilofacial, MSc. Medicina Estomatológica, MSc. Bioética. Especialista en tratamiento del tabaquismo.



CORRESPONDENCIA

Od. Freddy T. J. Rodríguez R.. E-mail: freddyrodriguez.odont@gmail.com




Recibido: 12/11/2023. Aceptado: 29/11/2023

Figura 1
Figura 2
Figura 3
Figura 4
Figura 5

2020     |     www.medigraphic.com

Mi perfil

C?MO CITAR (Vancouver)

Lat Am J Oral Maxillofac Surg. 2023;3

ARTíCULOS SIMILARES

CARGANDO ...