medigraphic.com
ENGLISH

Acta Ortopédica Mexicana

ISSN 2992-8036 (Digital)
ISSN 2306-4102 (Impreso)
Órgano Oficial del Colegio Mexicano de Ortopedia y Traumatología
  • Mostrar índice
  • Números disponibles
  • Información
    • Información general        
    • Directorio
  • Publicar
    • Instrucciones para autores        
  • medigraphic.com
    • Inicio
    • Índice de revistas            
    • Registro / Acceso
  • Mi perfil

2024, Número 1

<< Anterior Siguiente >>

Acta Ortop Mex 2024; 38 (1)


Evaluación de la movilidad espino-pélvica; su importancia para prevenir la luxación de prótesis total de cadera

Gómez-García, F1
Texto completo Cómo citar este artículo 10.35366/114663

DOI

DOI: 10.35366/114663
URL: https://dx.doi.org/10.35366/114663
Artículos similares

Idioma: Español
Referencias bibliográficas: 61
Paginas: 29-43
Archivo PDF: 661.04 Kb.


PALABRAS CLAVE

equilibrio espino-pélvico, artroplastía total de cadera, luxación de cadera.

RESUMEN

Recientemente se ha reconocido que los cambios en alineación sagital y la movilidad espino-pélvica por alteraciones de la columna lumbosacra pueden ejercer influencia en la luxación de una prótesis de cadera. Las mayores dificultades para este problema son: a) que la bibliografía relacionada con este tema se ha escrito en idioma inglés y hay confusiones en su terminología; b) no hay consenso de cuáles son los parámetros que deben utilizarse para identificarla, medirla y para estimar los riesgos de que ocurra una luxación; c) no se conocen con claridad los conceptos básicos que interrelacionen los trastornos de la columna y la luxación protésica; y d) que los cirujanos de columna y artroplásticos de cadera persiguen diferentes objetivos. Esta revisión narrativa persigue como objetivo allanar las dificultades antes mencionadas, utilizando como estrategia contestar algunas preguntas: ¿la luxación de cadera es realmente un problema?; ¿cuál es la interrelación entre las alteraciones en el balance espino-pélvico y la luxación de una prótesis?; ¿cómo se define el balance sagital y la movilidad lumbosacra y cómo se pueden medir sus alteraciones?; ¿cuáles son sus mecanismos compensatorios para lograr un buen funcionamiento, y cómo se pueden aprovechar estos mecanismos para orientar correctamente el acetábulo? Para documentar esta revisión se consultaron las bases de datos de PubMed, Scopus, SciELO y Google Académico con las palabras clave: Spinopelvic, Total Hip Arthroplasty, Hip Dislocation, Spine-Pelvis-hip Arthroplasty. Se seleccionaron los artículos que a juicio del autor fueron los más objetivos y/o relevantes para el estudio de este tema.



INTRODUCCIóN

Desde hace tiempo ha sido de interés conocer las causas generales para que se presente una luxación después de artroplastía total de cadera (ATC). Entre las muy diversas causas de luxación protésica, recientemente se ha reconocido que las alteraciones en la alineación sagital y la movilidad espino-pélvica secundarias a estas alteraciones pueden ejercer influencia en la incidencia de luxación.1,2,3,4,5,6,7

También debe mencionarse que existen dificultades para un mejor conocimiento de este problema; se hará mención a las más importantes: a) La bibliografía relacionada con este tema se ha escrito en idioma inglés, donde diversos autores han propuesto terminologías confusas y de difícil traducción al español. b) No hay un consenso acerca de cuáles son los parámetros exactos que deben utilizarse para identificarla, medirla y para estimar los riesgos de que ocurra una luxación. c) No hay un claro entendimiento de los conceptos básicos para interrelacionar los trastornos de la columna y la luxación protésica. d) Los cirujanos de columna y artroplásticos de cadera persiguen diferentes objetivos; los "columnólogos" mejorar el equilibrio postural sagital y los "artroplastólogos" evitar la luxación de las prótesis. Desde luego existen otras dificultades que también serán tocadas en esta revisión.



EPIDEMIOLOGíA DE LA LUXACIóN Y SU RELACIóN CON ALTERACIONES ESPINO-PéLVICAS

El evento de luxación representa un problema real en los resultados de este tipo de operaciones. En el año 2021 los reportes anuales de diferentes Registros Nacionales de Artroplastías, tales como el Registro Nacional de Reemplazos Articulares de la Asociación Australiana de Ortopedia8 (Tabla 1), el American Joint Replacement Registry9 (Figura 1) y el Registro Sueco de Artroplastías10 (Figura 2) colocaron respectivamente a la luxación como la primera, segunda y tercera causas generales más frecuentes de revisión.8,9

Una vez reconocido el hecho de que la luxación es una complicación que merece ser atendida, debemos hacernos otras preguntas. La primera es: ¿las alteraciones espino-pélvicas son realmente un problema en la luxación de una prótesis? Para responderla, debemos revisar tres puntos relacionados con los trastornos de movilidad del complejo lumbo-pélvico y sus efectos en la luxación de los implantes. El primero es determinar si estos trastornos pueden ser causa de luxación de las ATC; el segundo es si ha aumentado o no el número de pacientes con una fusión espinal previa que requieren una ATC primaria, y el tercero establecer si la fusión lumbar incrementa significativamente el riesgo de luxación.

Respecto al primer punto, podemos decir que los trastornos de movilidad espino-pélvica sí pueden ser causa de luxación en las ATC, como lo han demostrado diversos autores,10,11,12,13 y no sólo eso, sino que también se han asociado a mayores costos de atención.13

Con relación al segundo punto, ¿el número de pacientes con una fusión espinal previa que requieren una ATC primaria ha aumentado? Ahora sabemos que en la última década se ha incrementado la frecuencia casi en 300%, y que ésta seguramente seguirá en ascenso.10 Lo anterior obedece a muy diversas causas, destacando el aumento en la expectativa de vida y el envejecimiento global de la población.

Por último, con relación al punto 3, ¿una fusión lumbar incrementa significativamente el riesgo de luxación? En la Tabla 2 se resumen los reportes donde diversos investigadores han demostrado que en los pacientes que sufren alteraciones de movilidad de la columna lumbosacra y se les realizó artrodesis, aumenta el riesgo de luxación el cual se incrementa o disminuye según la extensión de la fusion.2,14,15,16

Por lo anterior, debemos reconocer que el riesgo de luxación protésica es un problema real, en especial en aquellos casos relacionados con alteraciones en la movilidad de la pelvis asociado a trastornos vertebrales lumbosacros.2,10,11,12,13,14,15,16

Relación entre balance espino-pélvico, movilidad y orientación del acetábulo con la luxación protésica. Desde hace mucho tiempo los cirujanos ortopédicos hemos tenido creciente interés en analizar el balance y equilibrio espino-pélvico, principalmente para tratar padecimientos de la columna vertebral. Sin embargo, como ya se ha dicho, desde hace aproximadamente una década se ha reconocido que las alteraciones de la movilidad espino-pélvica en terreno de una columna lumbar rígida pueden incrementar el riesgo luxación protésica de la cadera.1,2,4,5,6,7 Lo anterior también puede ocurrir en pacientes con columnas hipermóviles.17

La luxación de una prótesis de cadera ha sido una inquietud permanente en los cirujanos de cadera donde el posicionamiento de la copa es, indudablemente, una de las preocupaciones más importantes. En 1978, Lewinnek18 estableció una "zona segura"? para la orientación de implantes acetabulares (Anteversión de 15o ± 10o e inclinación lateral de 40o ± 10o) y con ello prevenir la luxación. Estos parámetros han guiado la actuación de la mayoría de los cirujanos durante más de 40 años.

Sin embargo, este hecho paradigmático se ha modificado con el paso del tiempo. Actualmente se ha podido demostrar que los parámetros señalados por Lewinnek como "zona segura" no pueden aplicarse a todos los pacientes. Baste mencionar a Abdel19 y Esposito20 quienes, en cohortes de 9,784 y 7,040 casos, respectivamente, tuvieron una tasa similar de luxaciones (2.1%); pero en ambas cohortes, en aproximadamente la mitad de los casos luxados, los acetábulos fueron colocados en la "zona segura".

Otro hecho icónico en el estudio de esta complicación fue la identificación de la participación simultánea de la columna vertebral y la cadera. Esta nueva visión se inició cuando en 1983 Offierski y MacNab21 introdujeron el término "Hip-Spine Syndrome" para describir un cuadro clínico que ocurre en presencia de una enfermedad degenerativa simultánea en cadera y columna, donde los cambios patológicos y síntomas pueden estar interrelacionados.

Más tarde Lee y colaboradores,22 entre otros, comprobaron lo propuesto por Offierski ya que, en un estudio realizado por ellos, 32% de los pacientes mayores de 50 años que se sometieron a cirugía de columna vertebral tuvieron cambios patológicos simultáneos en cadera. Este estudio nos permite reflexionar acerca de la importancia de la movilidad y alineación sagital lumbosacra en la incidencia de luxación después de una ATC. En nuestra experiencia, la participación simultánea en cambios patológicos entre cadera y columna pueden ser mucho mayores.

Para poder entender mejor la interrelación entre los trastornos de la columna y la presencia de luxación protésica, es necesario revisar algunos conceptos básicos en este tema. Iniciaremos revisando cuál es el centro de gravedad del cuerpo humano (CG), continuaremos con cómo se estructura el equilibrio sagital (ES) y cuál es la interrelación entre el CG/ES y estabilidad protésica, para por último analizar el papel que juegan en la cirugía artroplástica de cadera.

Centro de gravedad y equilibrio axial del cuerpo humano. El centro de gravedad y el equilibrio axial del ser humano son el resultado de una evolución postural que permite al hombre moderno caminar completamente erecto (Figura 3). El equilibrio axial depende de una serie de curvaturas compensatorias gravitacionales estructuradas en concavidades (columnas cervical y lumbar, región ilio-inguinal y parte posterior de la rodilla) y convexidades (cifosis dorsal, región glútea y región ventral de la rodilla) que pasan por el centro de gravedad de ciertas estructuras anatómicas que en su conjunto estructuran el equilibro sagital (Figura 4).

Los pioneros en el estudio del centro de gravedad del cuerpo humano fueron Wilhelm Braune y Otto Fischer23 quienes, en 1889, publicaron un libro en el que se describen matemáticamente cuáles son los centros de gravedad de cada uno de los segmentos del cuerpo humano, utilizando preparaciones cadavéricas (Figura 5). Estas investigaciones tuvieron entre otros objetivos el estudiar con fines militares el equipamiento y la exactitud en los disparos del ejército alemán con base en sus centros de gravedad y equilibrio. Desde entonces y hasta el momento actual se aceptan prácticamente por consenso los centros de gravedad propuestos por estos autores. En este manuscrito nos referiremos exclusivamente a los centros de gravedad y equilibrio sagitales, omitiremos los del plano frontal.

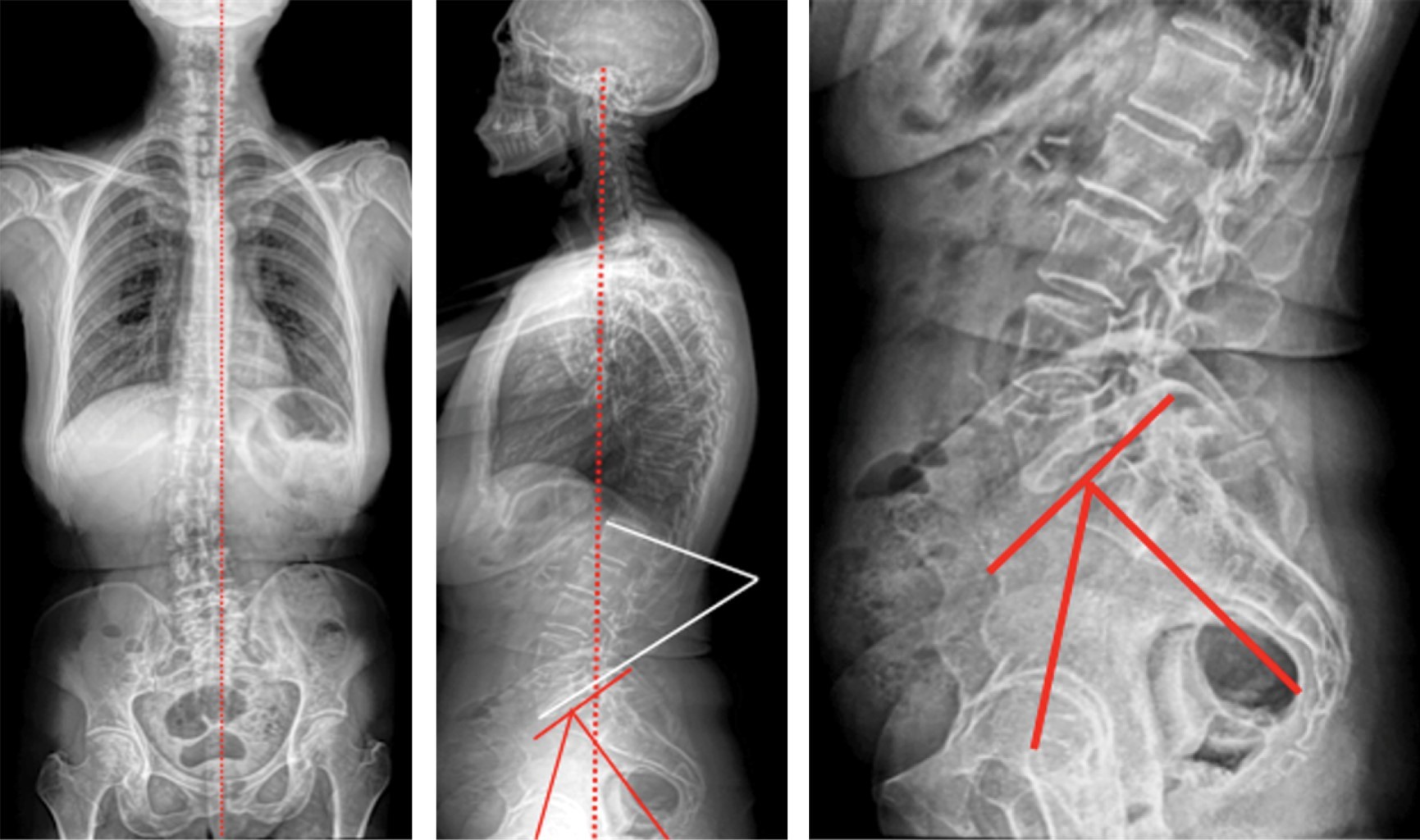
Actualmente se acepta la definición de centro de gravedad o de balance global sagital como una línea que en plomada parte del centro del meato acústico, pasa por la punta de la apófisis odontoides, sigue por el borde anterior de la vértebra C7, por el centro de la cabeza humeral, el borde anterior de L1 y S1, continúa por la parte centro-ventral de la plataforma sacra, centro de la cabeza femoral, tercio posterior de los cóndilos femorales y termina en el borde anterior del calcáneo, o en el centro de éste (Figura 4). Debe mencionarse que otros autores no están totalmente de acuerdo con esos puntos de referencia. Por ejemplo, Roussouly24 toma como puntos de referencia el centro de la vértebra C7 o de T1, la línea sagital y se dirige al platillo sacro sin especificar su nivel. Un hallazgo descrito por Schwab y colaboradores25 fue que la línea longitudinal del plano sagital cuando parte de C7 se desplaza ventralmente conforme avanza la edad, y que esta línea se sitúa siempre adelante de la columna vertebral en todos los grupos estudiados. También observaron que la ubicación del centro de gravedad con respecto a los talones permaneció siempre constante a pesar de la edad, y que mientras que la pelvis se movía posteriormente con respecto a los talones, se experimentaba una pequeña inclinación pélvica. Para ellos, el centro del acetábulo fue el marcador radiográfico más confiable para la ubicación del centro de gravedad.

Aunque se han hecho esfuerzos para caracterizar el centro de gravedad del cuerpo humano y en consecuencia su equilibrio sagital, esta caracterización está fuertemente afectada por la postura, la posición corporal y por las alteraciones anatómicas congénitas y/o adquiridas. Por lo tanto, no es posible universalizar un somatotipo postural único en la especie humana (Figuras 6 y 7); en otras palabras, la morfología de la postura sagital varía de persona a persona y es específica para cada individuo.25,26

Movilidad espino-pélvica y estabilidad protésica de la cadera. Como ya se ha mencionado, la relación entre la columna y la pelvis ha cobrado mucho interés en fechas recientes; las investigaciones se han enfocado en cómo definir balance sagital y la movilidad lumbo-pélvica y en saber cómo se construyeron estos conceptos con la finalidad de entender mejor cuáles son los mecanismos compensatorios para equilibrarla y cómo medir sus alteraciones. De esto nos ocuparemos en las siguientes líneas.

Un problema serio para el estudio de la movilidad lumbosacra es su enorme variabilidad. En un estudio que involucró 84 pacientes con osteoartritis, DiGioia y asociados27 apreciaron cambios muy diversos en la movilidad pélvica cuando pasan de una posición de pie a sentada. En posición de pie, la pelvis alinea su plano anterior con respecto a la vertical en un ángulo anterior promedio de 1.2°, pero con rangos entre -22° a +27°. Al cambiar a la posición sentada, la pelvis rota hacia atrás con respecto de su plano pélvico anterior, en un ángulo que en promedio es de -36.2°, pero con un rango de -64° a +4° (Figura 8). Es de llamar la atención que los movimientos pélvicos en pacientes con columnas hipermóviles variaron hasta 70°, mientras que, en contraparte, las columnas rígidas variaron sólo 5°.

Estos autores también identificaron tres tipos de movilidad lumbo-pélvica y las agruparon según su frecuencia de presentación: tipo 1 o normal en 66%; tipo 2 o hipomóvil que dividieron en dos subgrupos: el tipo "a" con una basculación anterior (11%) y el tipo "b" con una basculación posterior (11%). Por último, el tipo 3 o columnas rígidas que las subdividieron a su vez en tres subgrupos: "a" con basculación anterior (2.5%); "b" con basculación posterior (6.0%) y "c" con basculación mixta (3.5%) (Figura 9).

Algo muy importante en cuanto a la posición espacial del acetábulo es que, cuando la pelvis cambia de posición, la anteversión del acetábulo también cambia.27 Snijders y su grupo28 hicieron un estudio trigonométrico y elaboraron un algoritmo que define la orientación de la copa cuando se interrelacionan la inclinación coronal con la sagital, es decir, anteinclinación y anteversión. La Figura 10 muestra la interrelación que existe entre la inclinación pélvica coronal (eje X) y la inclinación sagital, también llamada anteinclinación (eje Y). Las líneas curvas muestran los resultados en anteversión. Cuando la inclinación sagital aumenta (eje Y), la inclinación coronal también aumenta (eje X) dando como resultado un incremento en la anteversión.

Como se expone en esta revisión, es evidente que la luxación puede acontecer con mayor frecuencia en columnas rígidas, es decir, a mayor rigidez mayor es el riesgo de luxación. Lo anterior no exime de riesgos las columnas hipermóviles, pero el riesgo es menor.

Otro problema serio para el estudio de la movilidad lumbosacra es que hay una amplia diversidad de criterios de cómo debe ser estudiada y medida. Varios autores han propuesto terminologías muy diversas para que, bajo ciertos parámetros, puedan identificarse y medirse, para con ello estimar riesgos de luxación.

Con la finalidad de tratar de uniformar los criterios de estudio y medición, en 2019, un grupo de trabajo encabezado por Eftekhary29 propuso un glosario de términos para describir la interrelación cadera/columna que incluye las movilidades pélvica y femoral.

A continuación, se enuncian y definen algunos de los términos más frecuentemente utilizados: 1) plano anterior de la pelvis, 2) pendiente sacra, 3) inclinación pélvica, 4) cornisa sacra, 5) incidencia pélvica, 6) anteinclinación, 7) relación femoro-pélvica y 8) ángulo de lordosis lumbar (Anexo 1).

Términos que describen la interrelación cadera/columna con la movilidad pélvica y femoral. Con la finalidad de entender mejor los términos expuestos en el Anexo 1, a renglón seguido se ampliará la explicación de esta terminología.

Plano anterior de la pelvis o plano de Lewinnek.30 Es la línea que une las espinas ilíacas anterosuperiores y la sínfisis del pubis. Este parámetro se ha convertido en la referencia dorada por los cirujanos de cadera para medir la magnitud de la movilidad pélvica (Figura 11).

El plano anterior de la pelvis (PAP) se define como una línea que une al eje biespinal superior (espinas ilíacas anterosuperiores) con la sínfisis del pubis y forma un ángulo con la línea vertical (plano coronal). Cuando el ángulo se abre hacia el frente, se dice que es un PAP positivo; cuando se abre hacia atrás se dice que es un PAP negativo.31 Los reportes de mediciones son muy diversas y dependen en qué posición o postura fueron hechas: de pie o en decúbito dorsal, en pacientes con trastornos vertebrales o posturales, etcétera. DiGioia27 reporta un promedio de -2° y rango entre -22° a +27°, medidos en posición de pie; Philippot32 obtiene -12° medidos en posición de pie, mientras que Maratt33 reporta una media de 0.6° ± 7.3° y un rango de +19.0° a -17.9° medidos en posición supina dorsal. En el estudio hecho por Kanawade,34 las pelvis normales (sin rigidez ni hiperelasticidad) rotan posteriormente de 20° a 35° al pasar de una posición de pie a sentada y las pelvis rígidas tienen en promedio 4° menos rotación que las pelvis normales y 13° menos que las pelvis hipermóviles. Se reitera que los reportes de mediciones del plano anterior de la pelvis son muy variables, ya que dependen de en qué posición o postura fueron hechos. Se debe tener mucho cuidado con la interpretación de esta medición.

Pendiente sacra (ángulo de Ferguson). Es el ángulo que se forma entre el eje transversal y una línea paralela a la plataforma sacra. Un sacro verticalizado tiene un ángulo con valor bajo, un sacro horizontalizado tiene un valor alto (Figura 12). Los valores promedio en mexicanos sanos son de 35.6° ± 7.8° en bipedestación y de 36.5° ± 7.9° en decúbito.33

Domínguez Gasca y colaboradores35 encontraron que, en 130 pacientes mexicanos sanos, la medición global en bipedestación tuvo una media de 35.6° ± 7.8° y en decúbito, 36.5° ± 7.9°. Debe comentarse que no se encontraron diferencias estadísticamente significativas, incluso cuando la muestra fue separada por géneros. Concluyeron que en la muestra estudiada no se encontró diferencia estadísticamente significativa (p > 0.05) del ángulo de Ferguson en bipedestación cuando se comparó con el paciente en decúbito dorsal.

El ángulo de pendiente sacra permite determinar la magnitud de la lordosis lumbar ya que éste determina la magnitud de su curvatura; es decir, a menor pendiente, menor lordosis y a mayor pendiente mayor lordosis. Observe en la Figura 13 los efectos de la pendiente sacra en la magnitud de la lordosis lumbar.

Inclinación pélvica (pelvis tilt). La definición de "pelvis tilt" está sujeta a una seria controversia. Los cirujanos de columna definen al "pelvis tilt" como el ángulo que forman el plano coronal y una línea dibujada desde el centro de las cabezas femorales (eje bicoxofemoral) al punto medio de la plataforma sacra (Figura 14A). Esta definición es útil en cirugía de columna, ya que se emplea para estudiar el balance sagital global atendiendo principalmente los centros de gravedad, tanto en columnas normales como patológicas. Lo anterior es de escasa utilidad en cirugía artroplástica de cadera cuando se estudia la posibilidad de luxación.

En cirugía de cadera se prefiere definir a la inclinación pélvica (pelvis tilt) tomando en cuenta la positividad o negatividad del ángulo formado entre plano anterior de la pelvis y la línea del plano coronal (Figura 14B). La razón de utilizar esta última definición es porque el interés de un cirujano artroplástico de cadera es la correcta colocación del componente protésico acetabular. Es importante considerarla ya que sabemos que la rotación pélvica modifica la anteversión acetabular.

Una pregunta interesante a contestar es la siguiente: ¿la posición de la inclinación pélvica sufre o no variaciones después de una cirugía artroplástica de cadera? Maratt33 encontró los siguientes datos al comparar los cambios de posición antes y después de una ATC. El promedio de inclinación de la pelvis preoperatoria en 138 pacientes fue de 0.6° ± 7.3° (rango: -19.0° a 17.9°). En 23 de ellos (17%) se encontró una inclinación ≥ 10° en posición de pie. De estos casos, nueve tenían una inclinación posterior ≥ 10° y 14 la tenían anterior ≥ 10°. Después de ser operados, la inclinación pélvica media fue de 0.3° ± 7.4° (rango: -18.4° a 15.0°). El promedio del cambio en la inclinación postoperatoria fue de -0.3° ± 3.6° (-9.6° a 13.5°). Como se puede observar en este estudio no hubo diferencias estadísticamente significativas antes y después de la cirugía de cadera (p = 0.395). En otras palabras, existen muy escasos cambios a corto plazo en la inclinación de la pelvis antes y después de haberse sometido a una ATC. Sin embargo, como se verá más adelante, esto no sucede a largo plazo.

Incidencia pélvica. Legaye36 introdujo el concepto de "incidencia pélvica" definiéndola como el ángulo formado entre la línea perpendicular al platillo sacro en su punto medio y la línea que conecta este punto con el eje de las cabezas femorales (Figuras 13 y 15). Es una herramienta radiológica que sirve para evaluar el balance sagital espino-pélvico interrelacionado principalmente dos factores: a) la pendiente sacra y b) la posición de las cabezas femorales.

La incidencia pélvica se puede calcular por la ecuación de Legaye,36 la cual postula que la incidencia pélvica es igual a la versión pélvica más la pendiente sacra.

La importancia de esta medición en cirugía de cadera radica en el hecho de que el fulcro de la rotación (inclinación) pélvica son las cabezas femorales. Y cuando éstas se alejan o acercan a la línea de gravedad sagital, no sólo se puede alterar el equilibrio sagital global, por añadidura también la orientación del acetábulo. Para alcanzar un equilibrio sagital óptimo, debe alinearse el centro de las cabezas femorales con la línea de gravedad sagital. Entre más se acerquen mejor equilibrio sagital se logra. Observe en la Figura 16 que hay francas alteraciones estructuradas de la columna vertebral y que hay una amplia incidencia pélvica por lo que la pelvis rota hacia adelante, alejando el eje bicoxofemoral del centro de gravedad.

En población normal, la incidencia pélvica puede variar de 33° a 85o y se incrementa en promedio 22° al pasar de la posición sentado a la posición supina o de pie.35 Una incidencia baja (< 44°) disminuye la pendiente sacra y la lordosis se aplana. Una alta incidencia (> 62°) aumenta la pendiente sacra y la lordosis es más pronunciada.37

Es oportuno abrir aquí un paréntesis para definir qué es el "eje bicoxofemoral". Debido a que en una radiografía lateral es muy difícil hacer coincidir los centros de rotación de ambas cabezas femorales, se utiliza el concepto de "eje bicoxofemoral". Este eje se localiza en la parte media de una línea trazada entre los centros de rotación de ambas cabezas femorales en una radiografía lateral espino-pélvica (Figura 17).

Lordosis lumbar. Es el ángulo que se forma entre la plataforma superior de la primera vértebra lumbar y la plataforma distal de la quinta vértebra lumbar (Figura 18).

La lordosis lumbar normal es muy diferente de individuo a individuo y varía con la edad (disminuye después de la sexta década), el género (las mujeres tienen mayor grado de lordosis que los hombres), la posición y postura, el índice de masa corporal, la etnicidad, el grupo poblacional, el tipo de deportes practicados, la fuerza muscular, la elasticidad, los padecimientos de la columna vertebral por espondilólisis y espondilolistesis ístmica, etcétera.38,39 Aunque hay diversas variables para determinar el grado de angulación lumbar, en general se ha situado como valor normal entre 20° y 45°.39 Es importante recalcar que no hay un estándar universal para hacer mediciones referenciales.



MECANISMOS PARA COMPENSAR LA REORIENTACIóN ACETABULAR EN PRESENCIA DE TRASTORNOS DE LA COLUMNA VERTEBRAL

Sabemos que las alteraciones de la movilidad espino-pélvica pueden ser causa de luxación, pero existen varios mecanismos de compensación para minimizar que esto ocurra y que el cirujano artroplástico de cadera debe tener en mente. Los más relevantes se citarán a continuación.

Asociación del movimiento entre fémur y acetábulo. Cuando un paciente normal cambia de una posición de pie a una sentada, la pelvis gira hacia atrás tomando como fulcro las cabezas femorales, por lo que disminuye el ángulo de pendiente sacra. Este cambio postural incrementa no sólo la anteinclinación del acetábulo sino también la anteversión, permitiendo que el fémur pueda flexionarse más sin ocasionar pinzamiento entre ambos. Por cada grado de cambio en la pendiente sacra, el cirujano puede esperar un incremento en anteversión de aproximadamente 0.7° o 0.8°.37,38 En presencia de una ATC, una movilidad espino-pélvica disminuida puede causar pinzamiento con la consecuente luxación posterior.30,31,40,41,42 Hay que tratar de preservar este mecanismo.

Movilidad espino-pélvica disminuida. La movilidad espino-pélvica disminuida ocasiona un aumento compensatorio en la movilidad femoral ya que, a medida que el movimiento pélvico disminuye, es necesario que aumente la movilidad femoral para permitir que el paciente pueda sentarse. Durante un cambio de posición de pie a sentado, la pelvis se inclina en promedio 20° a 35°,28,43,44 y el fémur se flexiona de 55° a 70° con relación al acetábulo,28,45 lo que da un ángulo de aproximadamente 90° con respecto al resto del tronco. Esto le permite al paciente sentarse erguido. Sin embargo, cuando se disminuye el movimiento espino-pélvico, el fémur debe aumentar su arco de movimiento para compensar la falta de movilidad pélvica,45,46 por lo tanto para que el paciente se pueda sentar erguido, por cada grado de pérdida de movilidad pélvica, el fémur debe aumentar compensatoriamente un grado de flexión.45,47,48

Cambios tardíos postoperatorios. Los cambios tardíos postoperatorios en columna vertebral pueden ser causa de alteraciones en la funcionalidad de la copa e inestabilidad tardía. A medida que se envejece, hay una pérdida de la lordosis lumbar en la columna vertebral ocasionada por los procesos degenerativos propios de la senectud. Esta pérdida de lordosis hace que la pelvis rote hacia atrás en posición de pie.48,49 Tamura48 reportó que la rotación posterior de la pelvis aumenta en promedio 11.4° diez años posteriores a una ATC. Hamada50 y colaboradores corroboraron estos hallazgos en 41 pacientes con 20 años de evolución postquirúrgica. Estos hallazgos demuestran que existen cambios a largo plazo en la movilidad lumbosacra con sus consecuentes alteraciones en el posicionamiento acetabular; lo cual señala que, además de aumentar el riesgo de luxación, también puede generar sobrecarga en el borde del inserto acetabular con el consecuente aumento del desgaste.

Actualmente sabemos que la rotación posterior de la pelvis aumenta simultáneamente la anteversión funcional y la anteinclinación acetabular cuando el fémur se flexiona al pasar de posición de pie a sentada.51 Lo anterior explica por qué después de haber transcurrido varios años de una cirugía de prótesis de cadera, al efectuar el paciente una extensión forzada en posición de pie, se puede provocar una luxación por inestabilidad anterior; incluso cuando se haya efectuado un abordaje posterior.46,52 Lo anterior no sucede en casos de cirugía reciente, cuando aún no acontecen los cambios en la columna derivados del envejecimiento. A pesar de estos hallazgos, son necesarios más estudios para darle un valor de evidencia más potente.

De manera anecdótica, Cho53 reportó un caso clínico donde la corrección de la deformidad sagital de la columna vertebral estabilizó una prótesis inestable luxante que no se había colocado correctamente.

Cambios del posicionamiento acetabular después de cirugía de columna. En fechas recientes se ha observado un aumento en las tasas de luxación en presencia de cirugías de columna vertebral. Las razones de esto son: 1) porque ha habido un aumento en la tasa de fusiones espinales13 y 2) porque los cirujanos de columna fusionan a los pacientes con una mayor lordosis en su intento de restaurar la alineación sagital global.54,55 Debe tenerse siempre en cuenta que, cuando un paciente portador de una ATC que ha estado funcionando bien se somete a una fusión vertebral, hay cambios en la alineación sagital del complejo lumbo-pélvico que pueden alterar la posición funcional del acetábulo protésico aumentando así el riesgo de luxación.56,57

Influencia de la posición espino-pélvica durante la colocación de la copa acetabular. A la luz de lo expuesto en este manuscrito, es lógico suponer que una deformidad estructurada espino-pélvica puede afectar la situación espacial de la pelvis cuando el paciente está en una mesa de operaciones. Lo anterior dificulta que el cirujano pueda orientarse mejor y colocar la copa acetabular en una posición óptima.41,58,59,60 El problema es que los cirujanos, por lo general, casi no tomamos en cuenta la posición del paciente cuando se encuentra en la mesa de operaciones; suponiendo que la orientación del acetábulo en decúbito dorsal o lateral es la misma que cuando el paciente se encuentra en una posición funcional de pie. En un estudio hecho en 1,717 casos, Pierrepont60 encontró que en 259 (17%) de ellos, la magnitud de la rotación pélvica sagital podría inducir a una mala orientación funcional del componente acetabular. Si además se tiene en cuenta un error involuntario intraoperatorio de ± 5°, el riesgo de luxación podría extenderse.



COMENTARIO

Ahora sabemos que, aunque la posición de la copa acetabular es de suma importancia, existen otros factores de riesgo para que pueda ocurrir una luxación, por lo que su incidencia es multifactorial. Algunos de los factores de riesgo más relevantes son: a) los que se relacionan con el paciente como son: edad avanzada, sexo femenino, movilizaciones imprudentes en flexión, la combinación de movimientos forzados en rotación interna con la cadera flexionada, el alcoholismo, estilos de vida erróneos (obesidad, sedentarismo, toxicomanías, etcétera), padecimientos intercurrentes como alteraciones neurológicas, secuelas postraumáticas o infecciosas, enfermedades crónicas mal controladas, displasia de la cadera, discrepancia en longitud de las extremidades, mal funcionamiento de musculatura abductora, etcétera; b) los relacionados con los implantes como son tamaño de la cabeza protésica, diseño del cuello, del vástago y de la copa, etcétera; c) los relacionados con la cirugía, por ejemplo el tipo de abordaje y la cirugía de revisión; y d) los que tienen que ver con la actuación del cirujano como son: reconstrucciones pericapsulares y del aparato abductor incompletas, colocación anómala de los componentes protésicos, dejar insuficientemente tensos los tejidos blandos, accidentes transquirúrgicos y poca experiencia. Sin embargo, hasta ahora se ha dado poca importancia a la relación que guarda el equilibro sagital y la movilidad espino-pélvica con la luxación protésica.



RECOMENDACIONES

  • 1. Tener siempre en mente que hay diversos factores que pueden modificar el equilibrio espacial espino-pélvico, ya que cualquier fuerza que actúe sobre la pelvis y la haga cambiar de posición, puede alterar la orientación del acetábulo.
  • 2. Desde un punto de vista clínico-práctico, la rotación de la pelvis hacia adelante y hacia atrás tiene el efecto predictivo más efectivo para determinar prequirúrgicamente la orientación acetabular y con ello evitar pinzamientos entre los implantes.
  • 3. En pacientes en quienes se identifica patología espino-pélvica, indicar radiografías laterales de columna lumbosacra con el paciente de pie y sentado y aplicar las herramientas imagenológicas que se consideren convenientes, especialmente en aquellos con síndrome cadera-columna.
  • 4. Aunque en esencia todas las mediciones tienen un componente dinámico, algunas son muy importantes para el tratamiento de las múltiples alteraciones vertebrales existentes y deben ser tomadas en cuenta en la planificación de una cirugía correctiva en la columna vertebral. Sin embargo, para un cirujano artroplástico de cadera, donde el foco de atención es, entre otros, determinar los riesgos de luxación, no es necesario aplicar todas las mediciones antes enunciadas, ya que es suficiente con determinar el plano anterior de la pelvis, el ángulo de la pendiente sacra, el índice de la relación sacro-pélvica, el ángulo de inclinación pélvica y la incidencia pélvica (Figura 19).
  • 5. Poner mucha atención en pacientes que tienen fusiones espinales múltiples y que también incluyan al sacro, ya que deben ser considerados como de alto riesgo de luxación. A mayor número de vértebras involucradas, mayor riesgo de luxación; y si se incluye al sacro, el riesgo se incrementa significativamente.
  • 6. Las diferentes formas para disminuir los errores de posicionamiento acetabular en la mesa de operaciones son: a) colocar al paciente en forma cuidadosa y utilizar sujetadores o posicionadores que aseguren una pelvis fija y estable transquirúrgica; b) preferir el abordaje en posición lateral, por vía anterior; c) efectuar controles radiográficos simples o con intensificadores de imágenes pre y transoperatoriamente; y, por último, d) utilizar métodos de cirugía asistida por computadora (navegadores o robots).
  • 7. Es conveniente identificar los diversos tipos de movilidad espino-pélvica pre y transoperatoriamente, ya que de ello depende cómo debe colocarse la copa y disminuir el riesgo de luxación. Heckmann y colaboradores61 proponen una sugerencia para la colocación de la copa acetabular según el tipo de trastorno de la movilidad lumbo-pélvica (Tabla 3).
  • 8. Es importante destacar que los elementos para estimar la movilidad espino-coxo-femoral son altamente heterogéneos y sus mediciones son muy diversas, ya que dependen de: en qué posición fue hecho (de pie o en decúbito dorsal), presencia de trastornos vertebrales o posturales, índice de masa corporal, etnicidad, grupo poblacional, tipo de deportes practicados, fuerza muscular, elasticidad o padecimientos de la columna vertebral como la espondilólisis, espondilolistesis ístmica, etcétera.
  • 9. Las recomendaciones para la colocación de los implantes (Tabla 3) requieren un mayor número de estudios de validación y no constituyen una panacea para cualquier tipo de problema. Todos los casos deben analizarse individualmente.
  • 10. En aquellos pacientes con movilidad espino-pélvica disminuida y rotación posterior de la pelvis en posición de pie (tipo 1B: rígida balanceada), se deben evitar excesivas anteversiones acetabulares y combinadas (cuidado con pacientes portadores de una helitorsión femoral en anteversión), ya que esto puede predisponer a un pinzamiento posterior e inestabilidad anterior, aun en pacientes en quienes se ha efectuado un bordaje posterior.
  • 11. En pacientes en quienes estando de pie presentan un patrón de movilidad espino-pélvica disminuida, rotación posterior de la pelvis y pérdida de lordosis lumbar (tipo 2B: rígida desbalanceada), puede haber un aumento de la rotación pélvica posterior; lo anterior aumenta la anteversión funcional durante la bipedestación y predispone a una luxación. Se recomiendan menores anteversiones acetabular y combinada.
  • 12. La hiperlordosis de pie es ocasionada por múltiples causas, pero cuando hay contracturas severas en flexión de la cadera, se debe tomar en cuenta que, al corregir las contracturas (consecuentemente la hiperlordosis), se crea un aumento de la inclinación posterior de la pelvis durante la bipedestación. Lo anterior crea un aumento de la inclinación y anteversión acetabular funcional.
  • 13. En casos identificados como de alto riesgo, es aconsejable remover obstáculos o fuentes de pinzamiento que puedan interferir con la libre movilidad articular, emplear copas de doble movilidad (aunque aún se requieran más estudios de ellas en estos casos), cabezas de mayor diámetro y optimizar el offset de la cadera y, sobre todo, no descuidar los trastornos de la movilidad tratados en esta revisión.


REFERENCIAS (EN ESTE ARTÍCULO)

  1. Bedard NA, Martin CT, Slaven SE, Pugely AJ, Mendoza-Lattes SA, Callaghan JJ. Abnormally high dislocation rates of total hip arthroplasty after spinal deformity surgery. J Arthroplasty. 2016; 31(12): 2884-85. doi: 10.1016/j.arth.2016.07.049.

  2. Sing DC, Barry JJ, Aguilar TU, Theologis AA, Patterson JT, Tay BK, et al. Prior lumbar spinal arthrodesis increases risk of prosthetic-related complication in total hip arthroplasty. J Arthroplasty. 2016; 31(9 Suppl): 227-32.e1. doi: 10.1016/j.arth.2016.02.069.

  3. Barry JJ, Sing DC, Vail TP, Hansen EN. Early outcomes of primary total hip arthroplasty after prior lumbar spinal fusion. J Arthroplasty. 2017; 32(2): 470-4. doi: 10.1016/j.arth.2016.07.019.

  4. Perfetti DC, Schwarzkopf R, Buckland AJ, Paulino CB, Vigdorchik JM. Prosthetic dislocation and revision after primary total hip arthroplasty in lumbar fusion patients: a propensity score matched-pair analysis. J Arthroplasty. 2017; 32(5): 1635-40.e1. doi: 10.1016/j.arth.2016.11.029.

  5. Eneqvist T, Nemes S, Brisby H, Fritzell P, Garellick G, Rolfson O. Lumbar surgery prior to total hip arthroplasty is associated with worse patient-reported outcomes. Bone Joint J. 2017; 99-B(6): 759-65. doi: 10.1302/0301-620X.99B6.BJJ-2016-0577.R2. Erratum in: Bone Joint J. 2018; 100-B(9): 1260.

  6. Buckland AJ, Puvanesarajah V, Vigdorchik J, Schwarzkopf R, Jain A, Klineberg EO, et al. Dislocation of a primary total hip arthroplasty is more common in patients with a lumbar spinal fusion. Bone Joint J. 2017; 99-B(5): 585-91. doi: 10.1302/0301-620X.99B5.BJJ-2016-0657.R1.

  7. Loh JLM, Jiang L, Chong HC, Yeo SJ, Lo NN. Effect of spinal fusion surgery on total hip arthroplasty outcomes: a matched comparison study. J Arthroplasty. 2017; 32(8): 2457-61. doi: 10.1016/j.arth.2017.03.031.

  8. Australian Orthopaedic Association National Joint Replacement Registry. Hip, Knee & Shoulder Arthroplasty. Annual Report, 2021.

  9. AAOS American Joint Replacement Registry 2021. Distribution of diagnoses associated with all reviews. 2012-2020; Fig 2.36, (n=51,714). Available in: https://connect.registryapps.net/2021-ajrr-annual-report

  10. The Swedish Arthoplasty Register Annual report 2021. Available in: https://registercentrum.blob.core.windows.net

  11. Malkani AL, Garber AT, Ong KL, Dimar JR, Baykal D, Glassman SD, et al. Total hip arthroplasty in patients with previous lumbar fusion surgery: are there more dislocations and revisions? J Arthroplasty. 2018; 33(4): 1189-93. doi: 10.1016/j.arth.2017.10.041.

  12. Buckland AJ, Puvanesarajah V, Vigdorchik J, Schwarzkopf R, Jain A, Klineberg EO, Hart RA, Callaghan JJ, Hassanzadeh H. Dislocation of a primary total hip arthroplasty is more common in patients with a lumbar spinal fusion. Bone Joint J. 2017; 99-B(5): 585-91. doi: 10.1302/0301-620X.99B5.BJJ-2016-0657.R1.

  13. York PJ, McGee AW Jr, Dean CS, Hellwinkel JE, Kleck CJ, Dayton MR, Hogan CA. The relationship of pelvic incidence to post-operative total hip arthroplasty dislocation in patients with lumbar fusion. Int Orthop. 2018; 42(10): 2301-06. doi: 10.1007/s00264-018-3955-2. Epub 2018 Apr 28. Erratum in: Int Orthop. 2018.

  14. Martin BI, Mirza SK, Spina N, Spiker WR, Lawrence B, Brodke DS. Trends in lumbar fusion procedure rates and associated hospital costs for degenerative spinal diseases in the united states, 2004 to 2015. Spine (Phila Pa 1976). 2019; 44(5): 369-76. doi: 10.1097/BRS.0000000000002822.

  15. Barry JJ, Sing DC, Vail TP, Hansen EN. Early outcomes of primary total hip arthroplasty after prior lumbar spinal fusion. J Arthroplasty. 2017; 32(2): 470-4. doi: 10.1016/j.arth.2016.07.019.

  16. Salib CG, Reina N, Perry KI, Taunton MJ, Berry DJ, Abdel MP. Lumbar fusion involving the sacrum increases dislocation risk in primary total hip arthroplasty. Bone Joint J. 2019; 101-B(2): 198-206. doi: 10.1302/0301-620X.101B2.BJJ-2018-0754.R1.

  17. Bernstein J, Charette R, Sloan M, Lee GC. Spinal fusion is associated with changes in acetabular orientation and reductions in pelvic mobility. Clin Orthop Relat Res. 2019; 477(2): 324-30. doi: 10.1097/CORR.0000000000000390.

  18. Lewinnek GE, Lewis JL, Tarr R, Compere CL, Zimmerman JR. Dislocations after total hip-replacement arthroplasties. J Bone Joint Surg Am. 1978; 60(2): 217-20.

  19. Abdel MP, von Roth P, Jennings MT, Hanssen AD, Pagnano MW. What safe zone? The vast majority of dislocated thas are within the lewinnek safe zone for acetabular component position. Clin Orthop Relat Res. 2016; 474(2): 386-91. doi: 10.1007/s11999-015-4432-5.

  20. Esposito CI, Gladnick BP, Lee YY, Lyman S, Wright TM, Mayman DJ, Padgett DE. Cup position alone does not predict risk of dislocation after hip arthroplasty. J Arthroplasty. 2015; 30(1): 109-13. doi: 10.1016/j.arth.2014.07.009.

  21. Offierski CM, MacNab I. Hip-spine syndrome. Spine (Phila Pa 1976). 1983; 8(3): 316-21. doi: 10.1097/00007632-198304000-00014.

  22. Lee BH, Moon SH, Lee HM, Kim TH, Lee SJ. Prevalence of hip pathology in patients over age 50 with spinal conditions requiring surgery. Indian J Orthop. 2012; 46(3): 291-6. doi: 10.4103/0019-5413.96386.

  23. Braune W, Fischer O. On the centre of gravity of the human body. 1985. Springer Verlag. Berlin, Heidelberg.

  24. Roussouly P, Gollogly S, Noseda O, Berthonnaud E, Dimnet J. The vertical projection of the sum of the ground reactive forces of a standing patient is not the same as the C7 plumb line: a radiographic study of the sagittal alignment of 153 asymptomatic volunteers. Spine (Phila Pa 1976). 2006; 31(11): E320-5. doi: 10.1097/01.brs.0000218263.58642.ff.

  25. Schwab F, Lafage V, Boyce R, Skalli W, Farcy JP. Gravity line analysis in adult volunteers: age-related correlation with spinal parameters, pelvic parameters, and foot position. Spine (Phila Pa 1976). 2006; 31(25): E959-67. doi: 10.1097/01.brs.0000248126.96737.0f.

  26. Eddine TA, Migaud H, Chantelot C, Cotten A, Fontaine C, Duquennoy A. Variations of pelvic anteversion in the lying and standing positions: analysis of 24 control subjects and implications for CT measurement of position of a prosthetic cup. Surg Radiol Anat. 2001; 23(2): 105-10. doi: 10.1007/s00276-001-0105-z.

  27. DiGioia AM, Hafez MA, Jaramaz B, Levison TJ, Moody JE. Functional pelvic orientation measured from lateral standing and sitting radiographs. Clin Orthop Relat Res. 2006; 453: 272-6. doi: 10.1097/01.blo.0000238862.92356.45.

  28. Snijders TE, Schlosser TPC, van Gaalen SM, Castelein RM, Weinans H, de Gast A. Trigonometric algorithm defining the true three-dimensional acetabular cup orientation: correlation between measured and calculated cup orientation angles. JB JS Open Access. 2018; 3(3): e0063. doi: 10.2106/JBJS.OA.17.00063.

  29. Eftekhary N, Shimmin A, Lazennec JY, Buckland A, Schwarzkopf R, Dorr LD, et al. A systematic approach to the hip-spine relationship and its applications to total hip arthroplasty. Bone Joint J. 2019; 101-B(7): 808-16. doi: 10.1302/0301-620X.101B7.BJJ-2018-1188.R1.

  30. Wan Z, Malik A, Jaramaz B, Chao L, Dorr LD. Imaging and navigation measurement of acetabular component position in THA. Clin Orthop Relat Res. 2009; 467(1): 32-42. doi: 10.1007/s11999-008-0597-5.

  31. Babisch JW, Layher F, Amiot LP. The rationale for tilt-adjusted acetabular cup navigation. J Bone Joint Surg Am. 2008; 90(2): 357-65. doi: 10.2106/JBJS.F.00628.

  32. Philippot R, Wegrzyn J Farizon F, Fessy MH. Pelvic balance in sagittal and Lewinnek reference planes in the standing, supine and sitting positions. Orthop Traumatol Surg Res. 2009; 95(1): 70-6. doi: 10.1016/j.otsr.2008.01.001.

  33. Maratt JD, Esposito CI, McLawhorn AS, Jerabek SA, Padgett DE, Mayman DJ. Pelvic tilt in patients undergoing total hip arthroplasty: when does it matter? J Arthroplasty. 2015; 30(3): 387-91. doi: 10.1016/j.arth.2014.10.014.

  34. Kanawade V, Dorr LD, Wan Z. Predictability of acetabular component angular change with postural shift from standing to sitting position. J Bone Joint Surg Am. 2014; 96(12): 978-86. doi: 10.2106/JBJS.M.00765.

  35. Domínguez-Gasca LG, Mora-Constantino J, Gómez-Valencia AR, Domínguez-Carrillo LG. Comparación de medición del ángulo de Ferguson en bipedestación y decúbito. Acta Med. 2015; 13(2): 82-86.

  36. Legaye J, Duval-Beaupère G, Hecquet J, Marty C. Pelvic incidence: a fundamental pelvic parameter for three-dimensional regulation of spinal sagittal curves. Eur Spine J. 1998; 7(2): 99-103. doi: 10.1007/s005860050038.

  37. Vaz G, Roussouly P, Berthonnaud E, Dimnet J. Sagittal morphology and equilibrium of pelvis and spine. Eur Spine J. 2002; 11(1): 80-7. doi: 10.1007/s005860000224.

  38. Boulay C, Tardieu C, Hecquet J, Benaim C, Mouilleseaux B, Marty C, Prat-Pradal D, Legaye J, Duval-Beaupère G, Pélissier J. Sagittal alignment of spine and pelvis regulated by pelvic incidence: standard values and prediction of lordosis. Eur Spine J. 2006; 15(4): 415-22. doi: 10.1007/s00586-005-0984-5.

  39. Chen HF, Zhao ChQ. Pelvic incidence variation among individuals: functional influence versus genetic determinism. J Orthop Surg Res. 2018; 13(1): 59. doi: 10.1186/s13018-018-0762-9.

  40. Stefl M, Lundergan W, Heckmann N, McKnight B, Ike H, Murgai R, Dorr LD. Spinopelvic mobility and acetabular component position for total hip arthroplasty. Bone Joint J. 2017; 99-B(1 Supple A): 37-45. doi: 10.1302/0301-620X.99B1.BJJ-2016-0415.R1.

  41. Zhu J, Wan Z, Dorr LD. Quantification of pelvic tilt in total hip arthroplasty. Clin Orthop Relat Res. 2010; 468(2): 571-5. doi: 10.1007/s11999-009-1064-7.

  42. Ike H, Dorr LD, Trasolini N, Stefl M, McKnight B, Heckmann N. Spine-pelvis-hip relationship in the functioning of a total hip replacement. J Bone Joint Surg Am. 2018; 100(18): 1606-15. doi: 10.2106/JBJS.17.00403.

  43. Esposito CI, Carroll KM, Sculco PK, Padgett DE, Jerabek SA, Mayman DJ: Total hip arthroplasty patients with fixed spinopelvic alignment are at higher risk of hip dislocation. J Arthroplasty. 2018; 33: 1449-54.

  44. Heckmann N, McKnight B, Stefl M, Trasolini NA, Ike H, Dorr LD. Late dislocation following total hip arthroplasty: spinopelvic imbalance as a causative factor. J Bone Joint Surg Am. 2018; 100(21): 1845-53. doi: 10.2106/JBJS.18.00078.

  45. Berliner JL, Esposito CI, Miller TT, Padgett DE, Mayman DJ, Jerabek SA. What preoperative factors predict postoperative sitting pelvic position one year following total hip arthroplasty? Bone Joint J. 2018; 100-B(10): 1289-96. doi: 10.1302/0301-620X.100B10.BJJ-2017-1336.R2.

  46. Esposito CI, Miller TT, Kim HJ, Barlow BT, Wright TM, Padgett DE, Jerabek SA, Mayman DJ. Does degenerative lumbar spine disease influence femoroacetabular flexion in patients undergoing total hip arthroplasty? Clin Orthop Relat Res. 2016; 474(8): 1788-97. doi: 10.1007/s11999-016-4787-2.

  47. Innmann MM, Merle C, Gotterbarm T, Ewerbeck V, Beaulé PE, Grammatopoulos G. Can spinopelvic mobility be predicted in patients awaiting total hip arthroplasty? A prospective, diagnostic study of patients with end-stage hip osteoarthritis. Bone Joint J. 2019; 101-B(8): 902-909. doi: 10.1302/0301-620X.101B8.BJJ-2019-0106.R1.

  48. Tamura S, Nishihara S, Takao M, Sakai T, Miki H, Sugano N. Does pelvic sagittal inclination in the supine and standing positions change over 10 years of follow-up after total hip arthroplasty? J Arthroplasty. 2017; 32(3): 877-82. doi: 10.1016/j.arth.2016.08.035.

  49. Attiah M, Gaonkar B, Alkhalid Y, Villaroman D, Medina R, Ahn C, Niu T, Beckett J, Ames C, Macyszyn L. Natural history of the aging spine: a cross-sectional analysis of spinopelvic parameters in the asymptomatic population. J Neurosurg Spine. 2019; 27: 1-6. doi: 10.3171/2019.7.SPINE181164.

  50. Hamada H, Uemura K, Takashima K, Ando W, Takao M, Sugano N. What changes in pelvic sagittal tilt occur 20 years after THA? Clin Orthop Relat Res. 2023; 481(4): 690-9. doi: 10.1097/CORR.0000000000002382.

  51. Langston J, Pierrepont J, Gu Y, Shimmin A. Risk factors for increased sagittal pelvic motion causing unfavourable orientation of the acetabular component in patients undergoing total hip arthroplasty. Bone Joint J. 2018; 100-B(7): 845-52. doi: 10.1302/0301-620X.100B7.BJJ-2017-1599.R1.

  52. Itokawa T, Nakashima Y, Yamamoto T, Motomura G, Ohishi M, Hamai S, Akiyama M, Hirata M, Hara D, Iwamoto Y. Late dislocation is associated with recurrence after total hip arthroplasty. Int Orthop. 2013; 37(8): 1457-63. doi: 10.1007/s00264-013-1921-6.

  53. Cho YJ, Lee JH, Shin SJ, Kang KC. Recurrent hip dislocation following total hip arthroplasty: treatment with sagittal spinal deformity correction: a case report. JBJS Case Connect. 2017; 7(1): e14. doi: 10.2106/JBJS.CC.16.00144.

  54. Sengupta DK, Herkowitz HN. Degenerative spondylolisthesis: review of current trends and controversies. Spine (Phila Pa 1976). 2005; 30(6 Suppl): S71-81. doi: 10.1097/01.brs.0000155579.88537.8e.

  55. Kepler CK, Vaccaro AR, Hilibrand AS, Anderson DG, Rihn JA, Albert TJ, Radcliff KE. National trends in the use of fusion techniques to treat degenerative spondylolisthesis. Spine (Phila Pa 1976). 2014; 39(19): 1584-9. doi: 10.1097/BRS.0000000000000486.

  56. Furuhashi H, Togawa D, Koyama H, Hoshino H, Yasuda T, Matsuyama Y. Repeated posterior dislocation of total hip arthroplasty after spinal corrective long fusion with pelvic fixation. Eur Spine J. 2017; 26(Suppl 1): 100-106. doi: 10.1007/s00586-016-4880-y.

  57. Buckland AJ, Vigdorchik J, Schwab FJ, Errico TJ, Lafage R, Ames C, Bess S, Smith J, Mundis GM, Lafage V. Acetabular anteversion changes due to spinal deformity correction: bridging the gap between hip and spine surgeons. J Bone Joint Surg Am. 2015; 97(23): 1913-20. doi: 10.2106/JBJS.O.00276.

  58. Lembeck B, Mueller O, Reize P, Wuelker N. Pelvic tilt makes acetabular cup navigation inaccurate. Acta Orthop. 2005; 76(4): 517-23. doi: 10.1080/17453670510041501.

  59. Grammatopoulos G, Pandit HG, da Assuncao R, Taylor A, McLardy-Smith P, De Smet KA, Murray DW, Gill HS. Pelvic position and movement during hip replacement. Bone Joint J. 2014; 96-B(7): 876-83. doi: 10.1302/0301-620X.96B7.32107.

  60. Pierrepont J, Hawdon G, Miles BP, Connor BO, Baré J, Walter LR, Marel E, Solomon M, McMahon S, Shimmin AJ. Variation in functional pelvic tilt in patients undergoing total hip arthroplasty. Bone Joint J. 2017; 99-B(2): 184-91. doi: 10.1302/0301-620X.99B2.BJJ-2016-0098.R1.

  61. Heckmann ND, Lieberman JR. Spinopelvic biomechanics and total hip arthroplasty: a primer for clinical practice. J Am Acad Orthop Surg. 2021; 29(18): e888-e903. doi: 10.5435/JAAOS-D-20-00953.



AFILIACIONES

1 Director Médico de la Clínica de Cadera del Hospital Ángeles Mocel.



CORRESPONDENCIA

Acad. Dr. Felipe Gómez-García. E-mail: sla@prodigy.net.mx




Recibido: 13-04-2023. Aceptado: 24-07-2023.

Figura 1
Figura 2
Figura 3
Figura 4
Figura 5
Figura 6
Figura 7
Figura 8
Figura 9
Figura 10
Figura 11
Figura 12
Figura 13
Figura 14
Figura 15
Figura 16
Figura 17
Figura 18
Figura 19
Figura 20
Tabla 1
Tabla 2
Tabla 3

2020     |     www.medigraphic.com

Mi perfil

C?MO CITAR (Vancouver)

Acta Ortop Mex. 2024 Ene-Feb;38

ARTíCULOS SIMILARES

CARGANDO ...