medigraphic.com
ENGLISH

Revista del Centro Dermatológico Pascua

ISSN 1405-1710 (Impreso)
  • Mostrar índice
  • Números disponibles
  • Información
    • Información general        
    • Directorio
  • Publicar
    • Instrucciones para autores        
  • medigraphic.com
    • Inicio
    • Índice de revistas            
    • Registro / Acceso
  • Mi perfil

2023, Número 1

<< Anterior Siguiente >>

Rev Cent Dermatol Pascua 2023; 32 (1)


Neoformaciones blandas, de color azul, en tronco

Rodríguez-Acar, Myrna del Carmen1; Ramos-Garibay, José Alberto2; Berrezueta-Córdova, Nataly Carolina3
Texto completo Cómo citar este artículo 10.35366/114848

DOI

DOI: 10.35366/114848
URL: https://dx.doi.org/10.35366/114848

Idioma: Español
Referencias bibliográficas: 13
Paginas: 24-27
Archivo PDF: 301.69 Kb.


PALABRAS CLAVE

Sin palabras Clave





CASO CLíNICO

Hombre de 19 años, originario y residente de la Ciudad de México. Sin antecedentes familiares, ni personales de importancia. Acude a consulta por presentar dermatosis localizada en tronco del que afecta región lumbo-sacra izquierda y fosa iliaca derecha; constituida por dos neoformaciones subcutáneas hemiesféricas, de 3 y 4 mm de diámetro, respectivamente, de color azul pálido, consistencia blanda, depresibles a la palpación, con bordes regulares y bien definidos (Figuras 1 y 2). No desaparecen al realizar vitropresión, con dolor muy leve a la palpación profunda. El tiempo de evolución es alrededor de cinco años, a lo largo de los cuales ha cursado ocasionalmente con dolor punzante.

A la dermatoscopía se observan áreas azul violeta sin estructuras, rodeadas por un halo blanquecino (Figuras 3 y 4).

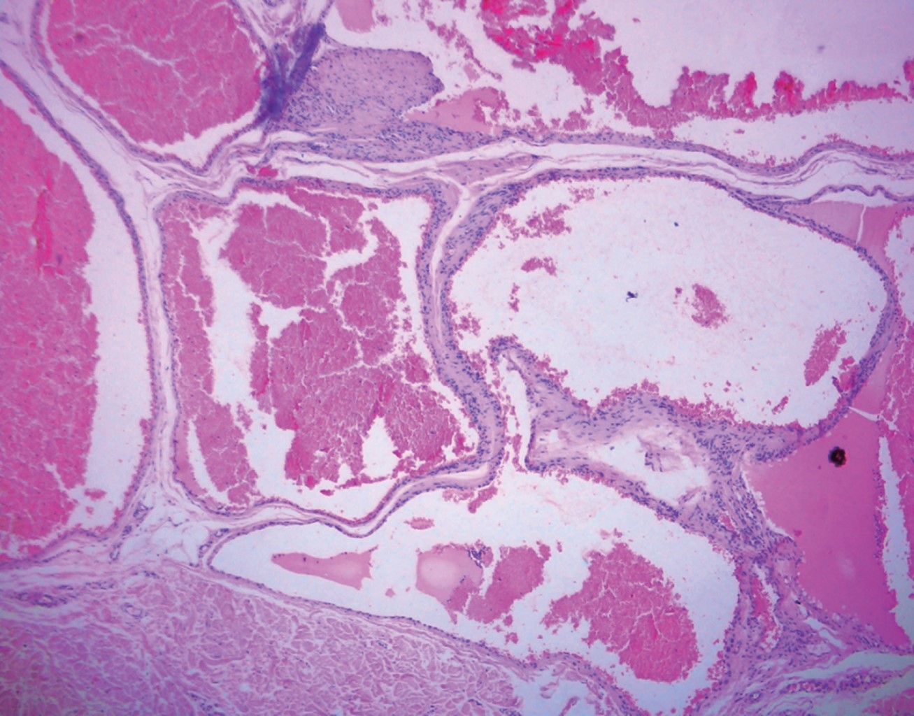
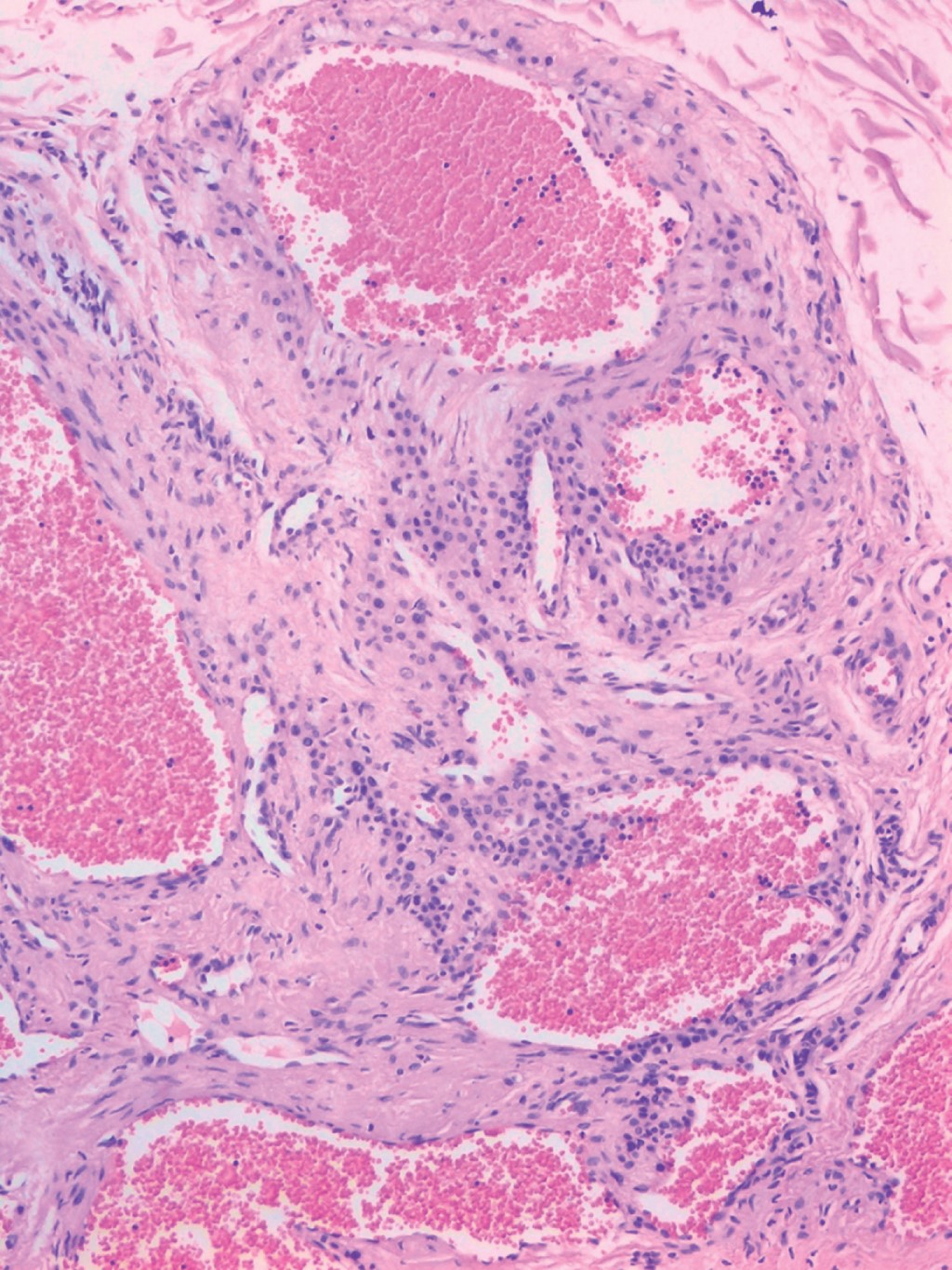
Se hizo biopsia escisional de ambas lesiones; las imágenes del estudio histopatológico se muestran en las Figuras 5 y 6.

Con los datos antes mencionados, ¿cuál es su diagnóstico?



DIAGNóSTICO: TUMOR GLóMICO EN TOPOGRAFíA POCO FRECUENTE

El tumor glómico (TG) fue descrito por primera vez por Wood en 1812 como "tubérculos subcutáneos dolorosos". Fue hasta 1878 que Kolaczek reconoció y reportó la típica localización subungueal, y fue Masson, en 1924, quien lo denominó "tumor de Masson".1,2

La Sociedad Internacional para el Estudio de las Anomalías Vasculares clasifica a los TG dentro de las malformaciones venosas simples.3

Se originan del cuerpo glómico, estructuras ubicadas en la dermis reticular especializadas en la regulación de la temperatura y el flujo sanguíneo en la piel. Las células del glomus tienen propiedades similares a las células del músculo liso, lo cual explica su contractilidad. Los dedos y región subungueal son áreas ricas en cuerpos glómicos, siendo las topografías donde se hallan con mayor frecuencia estos tumores; 75% se encuentra en manos y, de éstos, 50% son subungueales, siendo la presentación extradigital poco frecuente.4-6 En el estudio efectuado por Terry y colaboradores se comunica la localización en extremidades superiores en 50%, extremidades inferiores 41%, y otras en 9% (dentro de éstos, hubo un caso en espalda).1 Otras series reportan en tronco 23.8%, y en extremidades superiores 59.5%.6

Los tumores glómicos extradigitales (TGE) tienen mayor prevalencia en el sexo masculino a los 60 años.6

Los TG se manifiestan como neoformaciones hemiesféricas subcutáneas de 2 a 20 mm de diámetro, de color azul oscuro a púrpura, de consistencia blanda, y con bordes bien definidos, acompañadas de la tríada clásica: dolor espontáneo, hiperalgesia a la palpación y dolor desencadenado por el frío, lo anterior cuando se ubican en su topografía habitual en los dedos y en la región subungueal; sin embargo, cuando son extradigitales no suelen exhibir la tríada completa, ya que el dolor desencadenado por el frío no suele estar presente, retrasando el diagnóstico entre 5 y 35 años.7,8 Se ha reportado que sólo 20% de los TGE fueron diagnosticados correctamente por un médico en forma temprana.6

Los TG se clasifican en solitarios y múltiples, los primeros son los más frecuentes, aparecen en la edad adulta y se localizan preferentemente en zonas acrales, sobre todo en el lecho ungueal, su etiología es desconocida, aunque el antecedente de traumatismo puede ser una causa.8 Los TG múltiples, también llamados glomangiomas o malformaciones glomovenosas, representan menos de 10% de los casos, es habitual que se hereden con un patrón autosómico dominante de expresividad variable y penetrancia incompleta, aparecen a edad más temprana, con ligero predominio en hombres.2,9

El diagnóstico se basa en las características de topografía, morfología y sintomatología acompañante, y se confirma mediante la realización de una biopsia. En la histopatología se observan células glómicas, vasos sanguíneos y músculo liso; según el componente que predomine pueden categorizarse como TG sólido (pocas estructuras vasculares y células musculares escasas), glomangioma (con componente vascular prominente) o glomangiomioma (con predominio del componente vascular y de células musculares lisas). Los TG sólidos son el subtipo más frecuente (73%), seguidos de los glomangiomas (25%). Los TG se tiñen positivo para la actina (marcador de músculo liso).2,4,10

La dermatoscopía es una herramienta útil y accesible al momento de llevar a cabo la exploración física. En la literatura no se han descrito muchos casos acerca de las características dermatoscópicas del TGE, solo cuatro casos, en donde describen áreas violáceas homogéneas sin estructuras celulares, rodeadas de un halo blanquecino, y en otros casos presencia de reticulado fino telangiectásico y zonas azul grisáceas mal definidas.7,11-13

En los casos dudosos se ha sugerido efectuar estudios complementarios, tales como ultrasonido y resonancia magnética.

El diagnóstico diferencial se debe hacer con otros tumores dolorosos de similar morfología: schwannomas o neurilemomas, neuromas, hemangiomas elastóticos, nevos azules, síndrome de blue rubber bleb nevus (síndrome del nevus gomoso azul), tumor vascular.4,7,8

El mejor tratamiento es la resección quirúrgica amplia, sobre todo en los que son dolorosos.2,4



COMENTARIO

La importancia de comunicar este caso clínico radica en la topografía poco habitual de este tumor, que se manifiesta a edad temprana, y que la sintomatología tampoco fuese tan característica, ya que no se completaba la tríada antes señalada. El estudio histopatológico confirmó el diagnóstico. Esperamos que este reporte sea de ayuda en los casos en los que se presenten lesiones semejantes, en la topografía ya señalada, para poder realizar diagnóstico temprano y tratamiento oportuno, evitando efectuar extirpaciones superficiales, incompletas.


REFERENCIAS (EN ESTE ARTÍCULO)

  1. Schiefer TK, Parker WL, Anakwenze OA, Amadio PC, Inwards CY, Spinner RJ. Extradigital glomus tumors: a 20-year experience. Mayo Clin Proc. 2006; 81: 1337-1344.

  2. Samaniego E, Crespo A, Sanz A. Claves del diagnóstico y tratamiento del tumor glómico subungueal. Actas Dermosifiliogr. 2009; 100: 875-882.

  3. International Society for the Study of Vascular Anomalies. Classification for vascular anomalies. [Approved at the 20th ISSVA Workshop, Melbourne, April 2014, last revision May 2018]. Available in: https://www.issva.org/classification

  4. Anakwenze OA, Parker WL, Schiefer TK, Inwards CY, Spinner RJ, Amadio PC. Clinical features of multiple glomus tumors. Dermatol Surg. 2008; 34: 884-890.

  5. Wang Y, Li T, Lv Z, Bian Y, Feng B, Liu Y et al. Glomus tumors around or in the knee: a case report and literature review. BMC Surg. 2022; 22: 97.

  6. Lee DW, Yang JH, Chang S, Won CH, Lee MW, Choi JH et al. Clinical and pathological characteristics of extradigital and digital glomus tumours: a retrospective comparative study. J Eur Acad Dermatol Venereol. 2011;25: 1392-1397.

  7. Allegue F, González-Vilas D, Fachal C, Zulaica A. Solitary glomus tumor presenting as a telangiectatic macule. Actas Dermosifiliogr (Engl Ed). 2020; 111: 434-436.

  8. Gómez-Sánchez ME, Alfageme-Roldán F, Roustán-Gullón G, Segurado-Rodríguez MA. Tumores glómicos digitales y extradigitales. Utilidad de la ecografía cutánea. Actas Dermosifiliogr. 2014; 105: e45-e49.

  9. Jiménez-Hernández F, Navarrete-Franco G, Espinoza-Altamirano AC, Mérida-Nina MC. Glomangioma múltiple. Presentación de un caso. Rev Cent Dermatol Pascua. 2016; 25: 11-14.

  10. Ramos GA, Herbas RO. Tumor glómico. Presentación de un caso con topografía poco usual. Rev Cent Dermatol Pascua. 2006; 15: 187-189.

  11. Campos GL, de Sousa FEN, de Paiva SN, Vasques BF. Extradigital glomus tumor: dermoscopic description and histopathological correlation. An Bras Dermatol. 2021; 96: 765-767.

  12. Oliveira A. Dermoscopy in the diagnosis of extradigital glomus tumors. Int J Dermatol. 2016; 55: e506-e508.

  13. Idoudi S, Arousse A, Boussofara L. Glomus tumor of the buttock. Dermatol Pract Concept. 2019; 9: 318-319.



AFILIACIONES

1 Jefe de la Consulta Externa.

2 Dermatopatólogo.

3 Residente del segundo año de Dermatología.
Centro Dermatológico "Dr. Ladislao de la Pascua", SSCDMX.



CORRESPONDENCIA

Dra. Myrna del Carmen Rodríguez-Acar. E-mail: roamacar@yahoo.com.mx


Figura 1
Figura 2
Figura 3
Figura 4
Figura 5
Figura 6

2020     |     www.medigraphic.com

Mi perfil

C?MO CITAR (Vancouver)

Rev Cent Dermatol Pascua. 2023;32

ARTíCULOS SIMILARES

CARGANDO ...