2024, Número 1
Hiperostosis esquelética idiopática difusa, factor de riesgo para fractura cervical: una enfermedad subdiagnosticada
Idioma: Español
Referencias bibliográficas: 15
Paginas: 34-39
Archivo PDF: 296.39 Kb.
RESUMEN
Introducción: la hiperostosis esquelética idiopática difusa (DISH, por sus siglas en inglés) se define como una enfermedad sistémica caracterizada por una entesopatía que puede afectar tanto a la columna vertebral como a estructuras extraespinales. La importancia de las fracturas vertebrales con DISH recae en que el mecanismo de lesión tiende a ser, en su mayoría de baja intensidad, desde una posición de pie o sedestación. El objetivo de esta revisión fue encontrar actualizaciones respecto a DISH y su relación con las fracturas a nivel cervical, diagnóstico y manejo, para así poder conocer y mejorar los aspectos como retraso en el diagnóstico y la lesión neurológica asociada. Material y métodos: se realizó una revisión sistemática de la literatura en cuatro plataformas diferentes, entre ellas PubMed, SciELO, Google Scholar y ScienceDirect comprendido de 2010 a 2023. De 26 artículos se tomaron como excluyentes artículos no relacionados al área médica, como aquéllos que sólo describieron DISH. Resultados: de 26 artículos revisados, 15 cumplieron con criterios de inclusión para esta revisión sistemática, con un enfoque en la asociación de fracturas cervicales con DISH, descripción y desarrollo de la patología. Donde se concluyó que no hay predominio en ambos sexos, las fracturas en columna cervical en su mayoría son por trauma trivial, retraso en el diagnóstico definiéndose como mayor a 24 horas después de la lesión, compromiso neurológico, Frankel C, y disfagia como uno de los síntomas principales en DISH a nivel cervical. El manejo quirúrgico temprano muestra mejoría de los síntomas a los siete días. Se opta por la descompresión posterior, debido a la mala calidad ósea por DISH, la cual muestra aflojamiento de material como complicación por manejo de vía anterior. Conclusión: las fracturas cervicales en asociación a DISH en un porcentaje de los estudios son pasadas por alto en los traumas de baja energía. El nivel cervical no es el más frecuente de fracturas en comparación a torácico y lumbar. Sin embargo, es el que cursa con mayor compromiso neurológico al momento de la lesión. Se observó que en la columna cervical hay parálisis grave inmediatamente después de la lesión, inclusive sin fractura de la columna posterior, las fracturas a este nivel se consideran inestables. Para el diagnóstico ante la ausencia de síntomas, criterios diagnósticos de DISH, trauma trivial, es recomendable hacer una TAC o RM. Se muestran mejores resultados con un diagnóstico oportuno, menor a 24 horas; en sospecha de fractura cervical en asociación a DISH, la descompresión temprana muestra mejores resultados respecto a la lesión neurológica. Se reserva el manejo conservador en pacientes con comorbilidades severas.INTRODUCCIóN
La hiperostosis esquelética idiopática difusa (DISH) se define como la calcificación-osificación del ligamento longitudinal común anterior (LLCA), de etiología aún desconocida, sin otros cambios degenerativos, la mayoría de los casos cursan de manera asintomática o con mínimos síntomas, como dolor articular leve y dolor de espalda.1
Descrita como una entidad propia por primera vez por Forestier y Rotes-Querol en 1950, nombrándole "hiperostosis anquilosante senil de la columna" para referirse al conjunto de trastornos reumatológicos encontrados en la población anciana. En 1971 Forestier y Lagier omiten el término "senil", para 1975 Resnick publica un estudio de localizaciones extraespinales y mostrando su elevada prevalencia, acuñando el nombre de diffuse idiopathic skeletal hyperostosis (DISH), "hiperostosis esquelética idiopática difusa", término más aceptado en la actualidad.2
Los factores de riesgo para el desarrollo de DISH que han sido encontrados en la actualidad son desórdenes metabólicos (diabetes mellitus, hipertensión arterial, síndrome metabólico, hiperuricemia, gota, etcétera), edad mayor a 50 años, sin predominancia de ambos sexos.3,4
Se ha sugerido que se necesitan aproximadamente 10 años desde el inicio de la osificación a su plena expresión radiológica, por lo cual un diagnóstico temprano es difícil.3
Hiroyuki Katoh y colaboradores encontraron de una población de 285, 84 pacientes con fractura a nivel cervical asociada con DISH, 23.8% cursó con retraso en el diagnóstico y 76.8% cursó con lesión a la médula espinal al momento de la fractura.5
La importancia de las fracturas vertebrales con DISH recae en que el mecanismo de lesión tiende a ser, en su mayoría de baja intensidad, desde una posición de pie o sedestación,5 por lo que la población mexicana no debe pasar desapercibida padeciendo 18.3% diabetes mellitus diagnosticada, 29.4% hipertensión arterial y 75.2% de mayores de 20 años con sobrepeso y obesidad.6-8
El objetivo de esta revisión fue encontrar actualizaciones respecto a DISH y su relación con las fracturas a nivel cervical, diagnóstico y manejo, para así poder conocer y mejorar los aspectos como retraso en el diagnóstico y la lesión neurológica asociada.
MATERIAL Y MéTODOS
Se realizó una revisión sistemática de la literatura en cuatro plataformas diferentes, PubMed, SciELO, Google Scholar y ScienceDirect comprendido de 2010 a 2023. De 26 artículos se tomaron como excluyentes artículos no relacionados al área médica, aquéllos que sólo describieron DISH. Se incluyeron 15 artículos, tres de los que se habla sobre los comórbidos de la población mexicana, dos reportes de caso, tres que mencionan la etiología, factores de riesgo, epidemiologia y mecanismo de lesión, tres que describen la asociación de fracturas cervicales a DISH, tres que hablan sobre las características radiológicas de DISH en columna cervical y uno que explica el resultado quirúrgico temprano.
RESULTADOS
De 26 artículos revisados, 15 cumplieron con criterios de inclusión para esta revisión sistemática, con un enfoque en la asociación de fracturas cervicales con DISH, descripción y desarrollo de la patología. Donde se concluyó que no hay predominio en ambos sexos, las fracturas en columna cervical en su mayoría son por trauma trivial, retraso en el diagnóstico definiéndose como mayor a 24 horas después de la lesión, compromiso neurológico, Frankel C y disfagia como uno de los síntomas principales en DISH a nivel cervical. El manejo quirúrgico temprano muestra mejoría de los síntomas a los siete días. Se opta por la descompresión posterior, debido a la mala calidad ósea por DISH, la cual muestra aflojamiento de material como complicación por manejo de vía anterior.
DISCUSIóN
De manera tradicional se ha descrito que DISH es la osificación del ligamento longitudinal anterior (LLA), sin embargo, existen estudios en cadáveres que demuestran que LLA todavía estaba presente en la línea media sin formación de hueso nuevo, mostrando un desplazamiento hacia el lado contralateral.9
Debe considerarse DISH como factor de riesgo para fractura de columna cervical y deterioro neurológico asociadas a trauma menor.10 Previo al trauma menor las personas que cursan con DISH suelen ser asintomáticas. Sin embargo, en caso de presentarse, los principales síntomas son disfagia y obstrucción de vías respiratorias.11
El riesgo para fracturas cervicales es cuatro veces más frecuente en la columna anquilosada por DISH, teniendo alto riesgo de inestabilidad y lesión a la médula espinal asociada. Las fracturas más comúnmente encontradas en estos pacientes son de tipo hiperextensión (AOSpine-B3) y con desplazamiento (AOSpine-C).12
El diagnóstico de DISH en todos los casos se puede realizar con radiografías simples, aunque se pueden hacer estudios adicionales como TAC y resonancia magnética (RM).13
Cabe mencionar que las fracturas cervicales en DISH ocurren principalmente a nivel de los discos intervertebrales. La columna cervical es el segundo segmento más afectado, siendo C5 y C6 los cuerpos vertebrales más afectados.2,14
Dentro de las características radiográficas para diagnosticar DISH se pueden encontrar criterios de diversos autores. Sin embargo, en la actualidad prevalecen los de Resnick-Niwayama, aunque estos criterios se limitan a identificar pacientes en la etapa avanzada de la enfermedad (Tabla 1).13
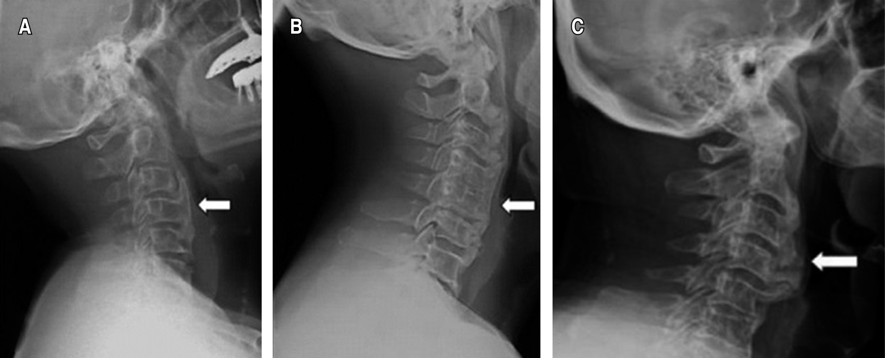
Se pueden identificar diferentes signos en los estudios de imagen que pueden orientar al diagnóstico de DISH antes de que avance más la enfermedad. En un inicio el proceso de hiperostosis se desarrolla en la plataforma inferior del cuerpo anterior de la vértebra dando como resultado el signo "de la gota que cae" (Figura 1).14
Posteriormente el tejido óseo crece formando espolones o entesofitos y se expanden a la plataforma superior del cuerpo, formando así los característicos puentes intervertebrales y otros signos como "cera de vela derretida" y "pico de loro" (Figuras 2 y 3).14
En el tratamiento de las fracturas cervicales es crucial la descompresión temprana para determinar el resultado clínico, inclusive si sólo hay como síntoma una disfagia leve preoperatoria.
Dentro del estudio de E. Okada y colaboradores se optó por manejo con fusión posterior. Se recomienda el manejo de tres niveles arriba y tres niveles abajo más debido a la mala calidad ósea, aflojamiento de material relacionado al manejo por vía anterior.13,15
CONCLUSIóN
Las fracturas cervicales en asociación a DISH en un porcentaje de los estudios son pasadas por alto en los traumas de baja energía.
El nivel cervical no es el más frecuente de fracturas en comparación a torácico y lumbar. Sin embargo, es el que cursa con mayor compromiso neurológico al momento de la lesión.
Se observó que en la columna cervical hay parálisis grave inmediatamente después de la lesión, inclusive sin fractura de la columna posterior, las fracturas a este nivel se consideran inestables.
Para el diagnóstico ante la ausencia de síntomas, criterios diagnósticos de DISH, trauma trivial, es recomendable hacer una TAC o RM.
Se muestran mejores resultados, con un diagnóstico oportuno, menor a 24 horas, en sospecha de fractura cervical en asociación a DISH, la descompresión temprana, muestra mejores resultados, respecto a la lesión neurológica. Se reserva el manejo conservador en pacientes con comorbilidades severas.
REFERENCIAS (EN ESTE ARTÍCULO)
Katoh H, Okada E, Yoshii T, Yamada T, Watanabe K, Katsumi K, et al. A comparison of cervical and thoracolumbar fractures associated with diffuse idiopathic skeletal hyperostosis-A nationwide multicenter study. J Clin Med [Internet]. 2020; 9: 208. Available in: https://pubmed.ncbi.nlm.nih.gov/31940926/
Basto-Abreu A, López-Olmedo N, Rojas-Martínez R, Aguilar-Salinas CA, Moreno-Banda GL, Carnalla M, et al. Prevalencia de prediabetes y diabetes en México: Ensanut 2022. Salud Publica Mex [Internet]. 2023; 65: s163-s168. Disponible en: https://ensanut.insp.mx/encuestas/ensanutcontinua2022/doctos/analiticos/21-Diabetes-ENSANUT2022-14832-72458-2-10-20230619.pdf
Campos-Nonato I, Oviedo-Solís C, Vargas-Meza J, Ramírez-Villalobos D, Medina-García C, Gómez-Álvarez E, et al. Prevalencia, tratamiento y control de la hipertensión arterial en adultos mexicanos: resultados de la Ensanut 2022. Salud Publica Mex [Internet]. 2023; 65: s169-s1680. Disponible en: https://ensanut.insp.mx/encuestas/ensanutcontinua2022/doctos/analiticos/22-Hipertension.arterial-ENSANUT2022-14779-72515-3-10-20230619.pdf
Campos-Nonato I, Galván-Valencia O, Hernández-Barrera L, Oviedo-Solís C, Barquera S. Prevalencia de obesidad y factores de riesgo asociados en adultos mexicanos: resultados de la Ensanut 2022. Salud Publica Mex [Internet]. 2023; 65: s238-s247. Disponible en: https://ensanut.insp.mx/encuestas/ensanutcontinua2022/doctos/analiticos/31-Obesidad.y.riesgo-ENSANUT2022-14809-72498-2-10-20230619.pdf
Kobayashi K, Okada E, Yoshii T, Tsushima M, Yamada T, Watanabe K, et al. Risk factors for delayed diagnosis of spinal fracture associated with diffuse idiopathic skeletal hyperostosis: a nationwide multiinstitution survey. J Orthop Sci [Internet]. 2021; 26: 968-973. Available in: https://www.sciencedirect.com/science/article/pii/S0949265820303341
Lofrese G, Scerrati A, Balsano M, Bassani R, Cappuccio M, Cavallo MA, et al. Surgical treatment of diffuse idiopathic skeletal hyperostosis (DISH) involving the cervical spine: Technical nuances and outcome of a multicenter experience. Global Spine J [Internet]. 2022; 12: 1751-1760. Available in: https://pubmed.ncbi.nlm.nih.gov/33590802/
Quintero-González DC, Arbeláez-Cortés A, Rueda JM. Características clínico-radiológicas de la hiperostosis esquelética idiopática difusa en 2 centros médicos de Cali, Colombia: reporte de 24 casos. Rev Colomb Reumatol [Internet]. 2020; 27: 80-87. Disponible en: https://www.elsevier.es/en-revista-revista-colombiana-reumatologia-374-articulo-caracteristicas-clinico-radiologicas-hiperostosis-esqueletica-idiopatica-S0121812320300128
AFILIACIONES
1 Residente de tercer año. Hospital IMSS-Bienestar Los Mochis "Dr. Jesús Kumate Rodríguez". Los Mochis, Sinaloa.
2 ORCID: 0009-0004-5612-5213
3 ORCID: 0009-0001-1874-1486
4 Residente de segundo año. Unidad Médica de Alta Especialidad, Centro Médico Nacional de Occidente, IMSS. Guadalajara, Jalisco. ORCID: 0009-0007-0430-4975
5 Residente de tercer año. Hospital General de Tapachula "Dr. Manuel Velasco Suárez". Tapachula, Chiapas.
ORCID: 0009-0008-3875-7275
Conflicto de intereses: ninguno.
CORRESPONDENCIA
Oscar Cayetano Herrera Rodríguez. E-mail: oscar.caye.hero@gmail.comRecibido: 04 de Diciembre de 2023. Aceptado: 19 de Enero de 2024
