medigraphic.com
ENGLISH

Acta Ortopédica Mexicana

ISSN 2992-8036 (Digital)
ISSN 2306-4102 (Impreso)
Órgano Oficial del Colegio Mexicano de Ortopedia y Traumatología
  • Mostrar índice
  • Números disponibles
  • Información
    • Información general        
    • Directorio
  • Publicar
    • Instrucciones para autores        
  • medigraphic.com
    • Inicio
    • Índice de revistas            
    • Registro / Acceso
  • Mi perfil

2024, Número 2

<< Anterior Siguiente >>

Acta Ortop Mex 2024; 38 (2)


Intercambio parcial de componentes en infección crónica de cadera

Martínez, WF1,2; Tillet, F1,3; Bochatey, EJ1,4; Lopreite, FA1,5
Texto completo Cómo citar este artículo 10.35366/115078

DOI

DOI: 10.35366/115078
URL: https://dx.doi.org/10.35366/115078
Artículos similares

Idioma: Español
Referencias bibliográficas: 20
Paginas: 95-100
Archivo PDF: 206.98 Kb.


PALABRAS CLAVE

reemplazo parcial, retención de componente fijo, infección periprotésica crónica.

RESUMEN

Introducción: la revisión total en una o dos etapas se considera el estándar de oro para el tratamiento de la artroplastía de cadera con infección crónica. Sin embargo, durante la extracción de un componente protésico fijo, el hueso del huésped puede dañarse, lo que dificulta la reimplantación definitiva de la prótesis. Objetivo: presentamos una serie de pacientes tratados por infección crónica periprotésica de cadera con la preservación de un componente fijo. Material y métodos: este estudio retrospectivo incluyó a 12 pacientes con artroplastía de cadera e infección periprotésica crónica programadas para revisión parcial en una o dos etapas con retención de un componente fijo entre Junio de 2015 y Enero de 2021. El período mínimo de seguimiento fue de dos años (media, 4.08 años). Ninguno de los 12 pacientes de esta serie se perdió en el seguimiento. Evaluamos la evolución a través del examen clínico, puntuación de cadera de Harris, estudios de laboratorio y radiológicos. Resultados: con un seguimiento promedio de 4.08 años después de la reimplantación protésica, dos de los 12 pacientes presentaron recurrencia de la infección (16.6%) y la puntuación media de Harris en la cadera alcanzó 63.6 puntos en la última evaluación de seguimiento. Conclusiones: la preservación del implante fijo puede ser una opción aceptable para pacientes estrictamente seleccionados con infección periprotésica crónica de cadera cuando la extracción del componente fijo produce una pérdida ósea significativa que compromete la reconstrucción futura. Se necesitan más estudios sobre este método de tratamiento.



ABREVIATURAS:

  • ATC = artroplastía total de cadera.
  • IAP = infección articular periprotésica.
  • VSG = velocidad de sedimentación globular.
  • PCR = proteína C reactiva.



INTRODUCCIóN

La artroplastía total de cadera (ATC) se ha convertido en uno de los procedimientos quirúrgicos de mayor éxito en las últimas décadas. Sin embargo, la infección articular periprotésica (IAP), que constituye una de las complicaciones más complejas, sigue siendo un desafío diagnóstico y terapéutico formidable para los cirujanos ortopédicos. Las consecuencias funcionales de la IAP no sólo imponen angustia duradera a los pacientes, sino que también plantean importantes preocupaciones a los médicos. Estudios anteriores han informado que la incidencia de esta rara complicación oscila entre 0.5 y 2%.1 El aumento esperado en el número de procedimientos de artroplastía articular realizados a nivel mundial en los próximos años conducirá inevitablemente a un aumento sustancial en los casos de IAP diagnosticada.2,3

Las infecciones de las articulaciones periprotésicas normalmente se clasifican en dos grupos: infecciones agudas (postoperatorias o hematógenas) e infecciones crónicas.

Las infecciones agudas se caracterizan por síntomas que se manifiestan dentro de las tres a cuatro semanas posteriores a la cirugía. El tratamiento para estos casos a menudo implica desbridamiento radical, reemplazo de componentes modulares, irrigación exhaustiva y terapia con antibióticos. Sin embargo, es importante señalar que un porcentaje considerable de pacientes sometidos a este procedimiento pueden requerir cirugías posteriores para reemplazar componentes.4,5

Por el contrario, las infecciones que se manifiestan más allá de este período inicial se clasifican como procesos sépticos crónicos con biopelículas maduras. En estos casos, el tratamiento universalmente aceptado implica una revisión total con retirada de todos los elementos protésicos, normalmente realizada en una o dos etapas.6,7 No obstante, la extracción de dispositivos protésicos fijos puede plantear desafíos quirúrgicos importantes, causando potencialmente daños sustanciales a la masa ósea del paciente y poniendo en peligro futuros reimplantes. Además, estos procedimientos se asocian con tiempos quirúrgicos prolongados, disección extensa de tejidos blandos y pérdida significativa de sangre, todo lo cual puede contribuir a la persistencia de la infección.8

Una opción terapéutica en casos selectos para la IAP, en los que la extracción de un componente fijo del implante podría representar un riesgo excesivo para el paciente, es la revisión del implante con conservación del componente fijo.

El objetivo de este estudio fue presentar una serie de pacientes sometidos a artroplastía total de cadera de revisión por infección crónica conservando uno de los dos dispositivos protésicos fijos, evaluando la tasa de remisión de la IAP. Esta preservación fue fundamental para evitar daños óseos importantes que pudieran comprometer una futura reimplantación protésica.



MATERIAL Y MéTODOS

Realizamos un estudio retrospectivo de casos y controles. Entre Junio de 2015 y Enero de 2021 tratamos a 12 pacientes con artroplastía de resección subradical, procedimiento que preservaba uno de los dispositivos protésicos fijos, tras su diagnóstico de infección periprotésica crónica de cadera.

Las infecciones periprotésicas se diagnosticaron siguiendo los criterios establecidos por la Reunión de Consenso Internacional sobre Infección Articular Periprotésica.9,10 Todos los pacientes exhibieron niveles elevados de velocidad de sedimentación globular (VSG) y proteína C reactiva (PCR) en suero.

La cirugía de revisión selectiva en una o dos etapas se realizó según la clasificación de McPherson,11 para pacientes con infecciones periprotésicas crónicas de cadera. Previo a la cirugía, se verificó la estabilidad del implante mediante radiografías anteroposterior y lateral de cadera e intraoperatoriamente se confirmó que el implante permanecía bien fijado. Ninguno de los pacientes estaba inmunocomprometido y el microorganismo responsable se identificó mediante cultivos de aspiración de líquido articular antes de la cirugía. Los microorganismos identificados no fueron multirresistentes y ninguno de los pacientes presentó infecciones polimicrobianas. Los tejidos blandos se encontraban en buenas condiciones.

Se recogieron muestras de líquido sinovial en frascos de hemocultivo y se cultivaron en medios enriquecidos para bacterias aeróbicas y anaeróbicas durante un período de 15 días. En dos pacientes se empleó la gammagrafía con Tc-99 por su valor predictivo negativo, permitiendo evaluar la actividad osteoblástica para descartar infección activa del componente fijo.

Para determinar la estabilidad del cotilo, la evaluación radiológica consideró una migración superior a 2 mm, un cambio en la abducción mayor a 4° o la presencia de una línea progresivamente demarcada en las zonas de DeLee-Charnley.12 El vástago femoral se consideró radiológicamente flojo cuando se observaron líneas radiolúcidas progresivas superiores a 2 mm en tres o más zonas de Gruen13 o cuando se detectó un hundimiento del vástago superior a 2 mm.



RESULTADOS

La edad promedio de los pacientes fue de 76.4 años (rango 70-89), con un índice de masa corporal promedio de 27.3 kg/m² (rango 21.32-34.8). De los 12 pacientes, siete eran mujeres y cinco hombres. Todos los casos tenían al menos una comorbilidad médica (como se resume en la Tabla 1).

Durante la cirugía, se realizó una inspección minuciosa de los implantes fijos y las interfaces. Esta inspección tenía como objetivo confirmar la ausencia de espacios visibles en la interfaz hueso-implante o hueso-cemento, daños por desgaste en el implante, corrosión por fricción alrededor del cono femoral o cualquier movimiento de la prótesis.

De los 12 pacientes, tres (25%) se sometieron a una cirugía de revisión después de una ATC primaria, mientras que nueve (75%) tuvieron una ATC de revisión aséptica previa. Todos los procedimientos quirúrgicos se realizaron mediante un abordaje posterolateral.

Cinco cirugías se realizaron en una etapa y siete en dos etapas. La decisión de efectuar una revisión en una o dos etapas se basó en la condición clínica del paciente.

En las revisiones en una etapa, inicialmente, el procedimiento implicó una limpieza quirúrgica, con la extracción del implante suelto y los componentes modulares del implante fijo. Todo el tejido necrótico o cuestionable se extirpó meticulosamente. Una inspección confirmó la ausencia de fugas en la interfaz de la prótesis fijada al hueso. El sitio se lavó minuciosamente con una cantidad sustancial de solución fisiológica (un mínimo de seis litros) y povidona yodada diluida (0.36%).14,15

Al lograr una apariencia favorable del tejido, la piel se cerró temporalmente mediante suturas individuales. El equipo quirúrgico cambió instrumental, vestimenta y guantes y se preparó el campo quirúrgico para la posterior reimplantación definitiva. En los casos de componentes cementados, se utilizó un cemento comercial con gentamicina, al que se le añadió 1 g de vancomicina en polvo por cada dosis de cemento.

Para la fase quirúrgica inicial de revisiones en dos etapas, se realizó un desbridamiento agresivo y la eliminación del tejido necrótico. Se utilizaron cinceles específicos para extraer los componentes sueltos y se realizó un cepillado minucioso del componente fijo. A continuación, se procedió al desmontaje de los elementos modulares. Tras retirar el componente suelto se realizó un lavado pulsátil extenso con solución salina (mínimo seis litros) y povidona yodada diluida al 0.36%. Posteriormente, se moldeó y cementó un espaciador articulado funcional formado a partir de un componente acetabular o femoral nuevo durante las últimas etapas del fraguado, creando una superficie de interdigitación ósea reducida. Se utilizó cemento de gentamicina al que se le incorporaron 3 g de vancomicina en polvo.

Todos los pacientes recibieron antibióticos por vía intravenosa durante un mínimo de una semana después de la cirugía. La selección de antibióticos para el tratamiento postoperatorio se basó en la sensibilidad de los organismos identificados en los cultivos. Posteriormente, se prescribieron antibióticos orales durante una duración promedio de 7.9 semanas (entre seis y 14 semanas) durante la fase espaciadora de la revisión en dos etapas, siguiendo las orientaciones del Servicio de Enfermedades Infecciosas. Este régimen se administró dependiendo de una condición médica estable y una respuesta positiva al tratamiento de la infección (niveles de VSG y PCR normalizados o disminuidos, condición satisfactoria de la herida y un curso clínico apropiado).

La segunda etapa de reimplantación se realizó en todos los pacientes en un intervalo promedio de 8.6 semanas (entre siete y 15 semanas). No realizamos vacaciones de antibióticos ni artrocentesis previa. Durante el segundo procedimiento, se retiró el espaciador y se desbridó cualquier tejido necrótico presente. Se recogieron múltiples muestras (un mínimo de cinco) para cultivo, pruebas de sensibilidad, recuentos de leucocitos y porcentaje de polimorfonucleares.

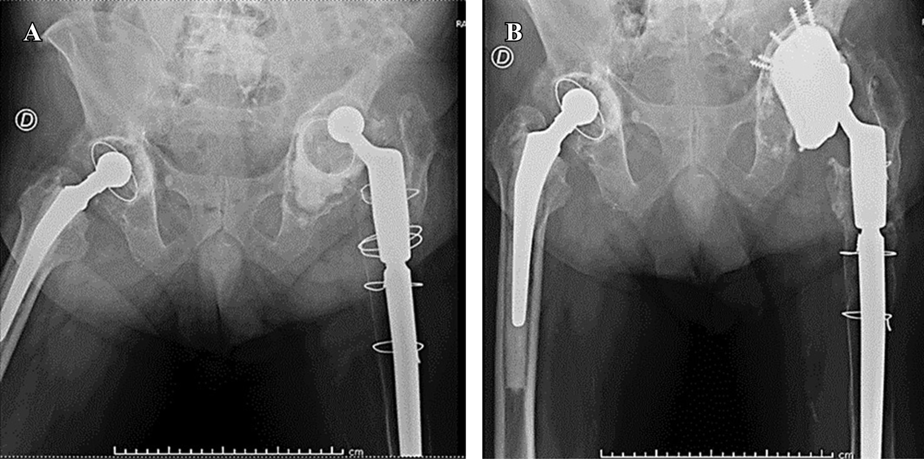
La reimplantación de los componentes cementados y no cementados se llevó a cabo en una y dos etapas, respectivamente (como se resume en la Tabla 2). Se conservaron tanto el componente acetabular como el femoral (Figuras 1 y 2).

Los pacientes fueron programados para citas de seguimiento a las dos y cinco semanas, dos y seis meses, un año y luego cada seis meses, siguiendo nuestro protocolo estándar. Se realizaron análisis de sangre antes de cada cita y se evaluaron las puntuaciones de Harris durante las evaluaciones de seguimiento.

El éxito del tratamiento se determinó mediante los criterios establecidos por Díaz Ledesma y colaboradores,16 los cuales fueron desarrollados a través de un consenso alcanzado mediante el método Delphi. Estos criterios se basan en la erradicación de la infección, la ausencia de intervenciones quirúrgicas posteriores y la ausencia de mortalidad asociada a la infección protésica.

El período mínimo de seguimiento de los pacientes del estudio fue de dos años, con una duración media de seguimiento de 4.08 años (rango dos a ocho años). Es importante destacar que ninguno de los pacientes se perdió durante el seguimiento.

Todos los pacientes habían dado positivo previamente en cultivos obtenidos de punciones de la articulación de la cadera.

Dos casos experimentaron una recurrencia de la infección. Un paciente, que inicialmente había sido sometido a una revisión parcial en un solo procedimiento, enfrentó una recurrencia de la infección por el mismo microorganismo. En respuesta, se realizó una revisión en dos etapas con extracción total del implante.

El segundo paciente, que también había sido sometido a una revisión en una sola etapa, mostró en el cultivo un germen diferente al que se aisló inicialmente. Se realizó limpieza quirúrgica y, considerando el estado general del paciente, se decidió conservar los implantes y continuar con antibióticos supresores por tiempo indefinido.

Por el contrario, los 10 pacientes restantes no mostraron signos de infección en un seguimiento promedio de cuatro años después de la revisión, lo que indica una tasa de eliminación de la infección de 83.3%. Además, no hubo indicaciones radiológicas de aflojamiento en los componentes retenidos o reimplantados.

La puntuación de la escala de Harris mostró una mejora media de 63.6 puntos en la última evaluación.



DISCUSIóN

La revisión parcial con retención de un componente es una técnica controvertida que sólo se indica en un pequeño subconjunto de pacientes muy bien seleccionados con infección articular periprotésica crónica de cadera. Sin embargo, aún no se ha alcanzado un consenso con respecto a los criterios de selección para este procedimiento. Sugerimos los siguientes criterios de inclusión para esta técnica: 1) infección crónica después de una artroplastía total de cadera primaria o revisión aséptica; 2) ausencia de signos de aflojamiento del componente que se va a retener evaluado preoperatoriamente y durante la intervención; 3) buena salud del tejido blando circundante; 4) el microrganismo era conocido, no era un germen multirresistente y la infección no era polimicrobiana y 5) la extracción del componente resultaría en una pérdida significativa de hueso y comprometería las fijaciones futuras17 o, en el caso de pacientes de edad avanzada, en un estado de salud más deteriorado y un alto riesgo quirúrgico.

En la bibliografía mundial se han publicado múltiples presentaciones relacionadas con la retención parcial de componentes protésicos en infecciones tras la artroplastía de cadera, tanto en cirugías de revisión realizadas en una o dos etapas.

El Segundo Consenso sobre Infecciones de Articulaciones Periprotésicas (Segundo Consenso de Filadelfia) estableció que la artroplastía de resección subradical (preservación parcial de implantes) puede considerarse en el manejo de pacientes con infecciones crónicas de la articulación periprotésica cuando se demuestra que un componente está bien fijado y su extracción haría imposibles los planes futuros de reconstrucción.

Los resultados de esta técnica han mostrado tasas de éxito aceptables que oscilan entre 81 y 90%. Estos resultados pueden compararse con los resultados publicados de cirugías en dos etapas, aunque existe una gran variabilidad en las tasas de éxito informadas.

Consideramos que la selección cuidadosa de los pacientes con una evaluación adecuada de la fijación es fundamental para determinar si la retención de la copa o el vástago es una opción viable. En todos los casos, consideramos esencial la identificación previa del microorganismo para definir el enfoque terapéutico a seguir. En infecciones polimicrobianas o causadas por microorganismos multirresistentes, preferimos realizar una revisión en dos etapas.

Crawford y colaboradores realizaron una revisión retrospectiva de 41 caderas entre los años 2000 a 2018, con un seguimiento mínimo de dos años, que fueron tratadas con un intercambio parcial de dos etapas para una ATC infectada. El seguimiento medio fue de 5.5 años, reimplantando 39 de las 41 caderas (95%) en un intervalo medio de 9.2 semanas. Treinta y tres de las 41 caderas (81%) estaban libres de infección en el seguimiento más reciente. La puntuación media de cadera de Harris postoperatoria en la evaluación más reciente fue 63.6 (rango 24-100).18

Yishake y asociados presentaron un análisis retrospectivo de 28 pacientes con ATC infectada que fueron tratados con preservación parcial de vástagos femorales en dos tiempos entre Septiembre de 2000 y Junio de 2019. Los pacientes fueron seguidos durante un promedio de cuatro años, con una tasa de éxito global de 85.7% (24/28). La puntuación media de cadera de Harris en el seguimiento final fue de 76.2 ± 11.7 puntos.19

El-Husseiny y colegas publicaron un estudio en el que trataron a 18 pacientes con infecciones crónicas de la articulación periprotésica mediante un procedimiento de preservación de implantes femorales o acetabulares, en uno o dos tiempos, con un seguimiento mínimo de cinco años y tasas de curación de la infección superiores a 83%.20

En nuestro estudio, reportamos el tratamiento de infecciones crónicas de la articulación periprotésica con reconstrucción parcial en una o dos etapas, preservando un componente en 12 pacientes. Tuvimos recurrencia de la infección en dos enfermos; por lo tanto, tenemos una tasa promedio de remisión de la infección de 83% a los cuatro años, lo que coincide con lo que se ha informado en la literatura.

No hubo muertes relacionadas con el tratamiento y la puntuación Harris promedio fue de 63.6 lo que se encuentra en el rango cualitativo "aceptable".

Esta presentación tuvo varias limitaciones debido a su naturaleza como una serie de casos de cohorte retrospectiva, sin un grupo de comparación o control, lo que redujo la solidez de las conclusiones, en comparación con un gran ensayo controlado aleatorio. El tamaño de la muestra fue pequeño y la selección de casos fue altamente selectiva, basada estrictamente en los criterios de inclusión.

Sin embargo, podemos destacar como puntos fuertes el hecho de la selección rigurosa de los casos en términos de tener un microorganismo conocido mediante punción previa y la determinación de la fijación del implante a retener. Además, nuestra muestra, aunque pequeña, coincide con lo que se ha informado en otros centros de referencia.



CONCLUSIONES

La retención de componentes fijos puede ser una opción de tratamiento aceptable para pacientes estrictamente seleccionados con infecciones articulares periprotésicas crónicas. En nuestra serie, los pacientes no estaban inmunocomprometidos, el microorganismo era previamente conocido y no indicamos este procedimiento en infecciones polimicrobianas o causadas por microorganismos multirresistentes. Sin embargo, se requieren estudios adicionales para determinar el método de tratamiento óptimo.


REFERENCIAS (EN ESTE ARTÍCULO)

  1. Gundtoft PH, Overgaard S, Schonheyder HC, Moller JK, Kjaersgaard-Andersen P, Pedersen A. The "true" incidence of surgically treated deep prosthetic joint infection after 32,896 primary total hip arthroplasties: a prospective cohort study. Acta Orthop. 2015; 86: 326-34. doi: 10.3109/17453674.2015.1011983.

  2. Maradit KH, Larson DR, Crowson CS, Kremers W, Washington R, Steiner C et al. Prevalence of total hip and knee replacement in the United States. J Bone Joint Surg Am. 2015; 97: 1386-97. doi: 10.2106/JBJS.N.01141.

  3. Pappas MA, Spindler KP, Hu B, Higuera-Rueda CA, Rothberg MB. Volume and outcomes of joint arthroplasty. J Arthroplast. 2022; 37: 2128-33. Available in: https://doi: 10.1016/j.arth.2022.05.011

  4. Shohat N, Goswami K, Tan TL, Yayac M, Soriano A, Sousa R, et al. 2020 Frank Stinchfield Award: Identifying who will fail following irrigation and debridement for prosthetic joint infection. Bone Joint J. 2020; 102-b(7_Supple_B): 11-19. doi: 10.1302/0301-620X.102B7.BJJ-2019-1628.R1.

  5. Winkler T, Trampuz A, Hardt S, Janz V, Kleber C, Perka C. Periprosthetic infection after hip arthroplasty. Orthopade. 2014; 43(1): 70-8. doi: https://doi: 10.1007/s00132-013-2132-y.

  6. Nguyen M, Sukeik M, Zahar A, Nizam I, Haddad FS. One-stage exchange arthroplasty for periprosthetic hip and knee joint infections. Open Orthop J. 2016; 10: 646-53. doi: 10.2174/1874325001610010646.

  7. Sukeik M, Haddad FS. Two-stage procedure in the treatment of late chronic hip infections–spacer implantation. Int J Med Sci. 2009; 6(5): 253-7. Available in: https://doi:10.7150/ijms.6.253

  8. Schwartz AM, Farley KX, Guild GN, Bradbury T. Projections and epidemiology of revision hip and knee arthroplasty in the United States to 2030. J Arthroplasty. 2020; 35: S79-85. doi: 10.1016/j.arth.2020.02.030.

  9. Parvizi J, Gehrke T, Chen AF. Proceedings of the International Consensus on Periprosthetic Joint Infection. Bone Joint J. 2013; 95-B(11): 1450-2. doi: 10.1302/0301-620X.95B11.33135.

  10. Parvizi J, Gehrke T. International consensus on periprosthetic joint infection: let cumulative wisdom be a guide. J Bone Joint Surg Am. 2014; 96(6): 441. doi: 10.2106/JBJS.N.00023.

  11. McPherson EJ, Woodson C, Holtom P, Roidis N, Shufelt C, Patzakis M. Periprosthetic total hip infection: outcomes using a staging system. Clin Orthop Relat Res. 2002; (403): 8-15.

  12. DeLee JG, Charnley J. Radiological demarcation of cemented sockets in total hip replacement. Clin Orthop Relat Res. 1976; (121): 20-32.

  13. Gruen TA, McNeice GM, Amstutz HC. "Modes of failure" of cemented stem-type femoral components: a radiographic analysis of loosening. Clin Orthop Relat Res. 1979; (141): 17-27.

  14. Hart A, Hernandez NM, Abdel MP, Mabry TM, Hanssen AD, Perry KI. Povidone-iodine wound lavage to prevent infection after revision total hip and knee arthroplasty: an analysis of 2,884 cases. J Bone Joint Surg Am. 2019; 101(13): 1151-9. doi: 10.2106/JBJS.18.01152.

  15. Brown NM, Cipriano CA, Moric M, Sporer SM, Valle CJ Della. Dilute Betadine lavage before closure for the prevention of acute postoperative deep periprosthetic joint infection. J Arthroplasty. 2012; 27(1): 27-30. doi: 10.1016/j.arth.2011.03.034.

  16. Diaz-Ledezma C, Higuera CA, Parvizi J. Success after treatment of periprosthetic joint infection: a delphi-based international multidisciplinary consensus infection. Clin Orthop Relat Res. 2013; 471(7): 2374-82.

  17. Mayes W, Edwards P, Mears S. Management of severe proximal femur bone loss with a modular articulating antibiotic spacer. Geriatr Orthop Surg Rehabil. 2019; 10: 2151459319847399. doi: 10.1177/2151459319847399.

  18. Crawford DA, Berend KR, Morris MJ, Adams JB, Lombardi AV. Partial 2-stage exchange for infected total hip arthroplasty: an updated report. J Arthroplasty. 2019; 34(12): 3048-53. doi: 10.1016/j.arth.2019.07.001.

  19. Yishake M, Tang L, Chen X, Wang Y, He R. Partial two-stage exchange: an alternative method for infected total hip arthroplasty. BMC Musculoskelet Disord. 2021; 22(1): 686. doi: 10.1186/s12891-021-04550-9.

  20. El-Husseiny M, Haddad F. The role of highly selective implant retention in the infected hip arthroplasty. Clin Orthop Relat Res. 2016; 474(10): 2157-63. doi: 10.1007/s11999-016-4936-7.



AFILIACIONES

1 Grupo GRECARO. Buenos Aires, Argentina.

2 Clínica Privada Hispano Argentina. Tres Arroyos, Buenos Aires, Argentina.

3 Clínica San Camilo. Ciudad Autónoma de Buenos Aires, Argentina.

4 Instituto de Tratamiento y Rehabilitación Articular. Ciudad Autónoma de Buenos Aires, Argentina.

5 Servicio de Ortopedia y Traumatología, Hospital Británico de Buenos Aires. Ciudad Autónoma de Buenos Aires, Argentina.



NIVEL DE EVIDENCIA

IV, serie de casos.



CORRESPONDENCIA

Walter F Martínez. E-mail: wfm3232@gmail.com




Recibido: 12-11-2023. Aceptado: 08-01-2024.

Figura 1
Figura 2
Tabla 1
Tabla 2

2020     |     www.medigraphic.com

Mi perfil

C?MO CITAR (Vancouver)

Acta Ortop Mex. 2024 Mar-Abr;38

ARTíCULOS SIMILARES

CARGANDO ...