medigraphic.com
ENGLISH

Cirugía Plástica

ISSN 2992-8559 (Digital)
ISSN 1405-0625 (Impreso)
  • Mostrar índice
  • Números disponibles
  • Información
    • Información general        
    • Directorio
  • Publicar
    • Instrucciones para autores        
    • Envío de artículos
  • Políticas
    • Políticas éticas
    • Políticas de acceso abierto
    • Políticas de revisión de manuscritos
    • Políticas editoriales generales
  • medigraphic.com
    • Inicio
    • Índice de revistas            
    • Registro / Acceso
  • Mi perfil

2024, Número 1

<< Anterior Siguiente >>

Cir Plast 2024; 34 (1)


Ruptura espontánea de tendones extensores de la mano en paciente con diagnóstico de artritis reumatoide

Ayala-Ugalde, Fernán Alejandra1,2; González-Martínez, Cecilia1,3
Texto completo Cómo citar este artículo 10.35366/115150

DOI

DOI: 10.35366/115150
URL: https://dx.doi.org/10.35366/115150
Artículos similares

Idioma: Español
Referencias bibliográficas: 11
Paginas: 27-31
Archivo PDF: 2454.79 Kb.


PALABRAS CLAVE

tendón extensor, ruptura, tenosinovectomía, sinovectomía, artritis reumatoide.

RESUMEN

La artritis reumatoide es una enfermedad autoinmune crónica de etiología desconocida. Fue descrita por primera vez en 1956 por Straub y Wilson y se caracteriza por la inflamación sistémica y progresiva. La ruptura espontánea de tendones extensores es una complicación frecuente de esta enfermedad; tiene una incidencia de 50 a 64%. El sitio más común para la ruptura de los tendones extensores es el extremo distal del retináculo extensor, donde la carga sobre el tejido sinovial y el tendón es más significativa, además de ser el punto clave de irrigación sanguínea de los tendones extensores. Los tendones que con mayor frecuencia resultan afectados son el extensor propio y común del meñique, el extensor del cuarto dedo y el extensor común del dedo medio. El extensor propio del índice es el menos propenso a lesionarse. Se presenta el caso de una mujer de 63 años, pianista, con diagnóstico de artritis reumatoide desde la juventud, que se encuentra en tratamiento con metotrexato. Presentó de manera espontánea incapacidad para la flexión de tercer, cuarto y quinto dedos de la mano derecha que lleva dos años de evolución. Se realizó tenosinovectomía, sinovectomía de la muñeca y transferencias tendinosas con buenos resultados.



INTRODUCCIóN

La artritis reumatoide es una enfermedad crónica y autoinmune cuya causa aún se desconoce. Se caracteriza por inflamación sistémica y progresiva.1 La ruptura espontánea de tendones extensores es una complicación frecuente de esta enfermedad, descrita por primera vez en 1956 por Straub y Wilson, con una incidencia de 50 a 64%.2 El sitio más común para la ruptura de los tendones extensores es el extremo distal del retináculo extensor, donde la carga sobre el tejido sinovial y el tendón es más significativa, además de ser el punto clave de irrigación sanguínea de los tendones extensores. Los tendones que con mayor frecuencia resultan afectados son el extensor propio y común del meñique, el extensor del cuarto dedo, así como extensor común del dedo medio. El extensor propio del índice es el menos propenso a lesionarse.3

Presentamos el caso de una paciente con diagnóstico de artritis reumatoide desde la juventud con incapacidad para la flexión de dedos de la mano derecha de dos años de evolución.



CASO CLíNICO

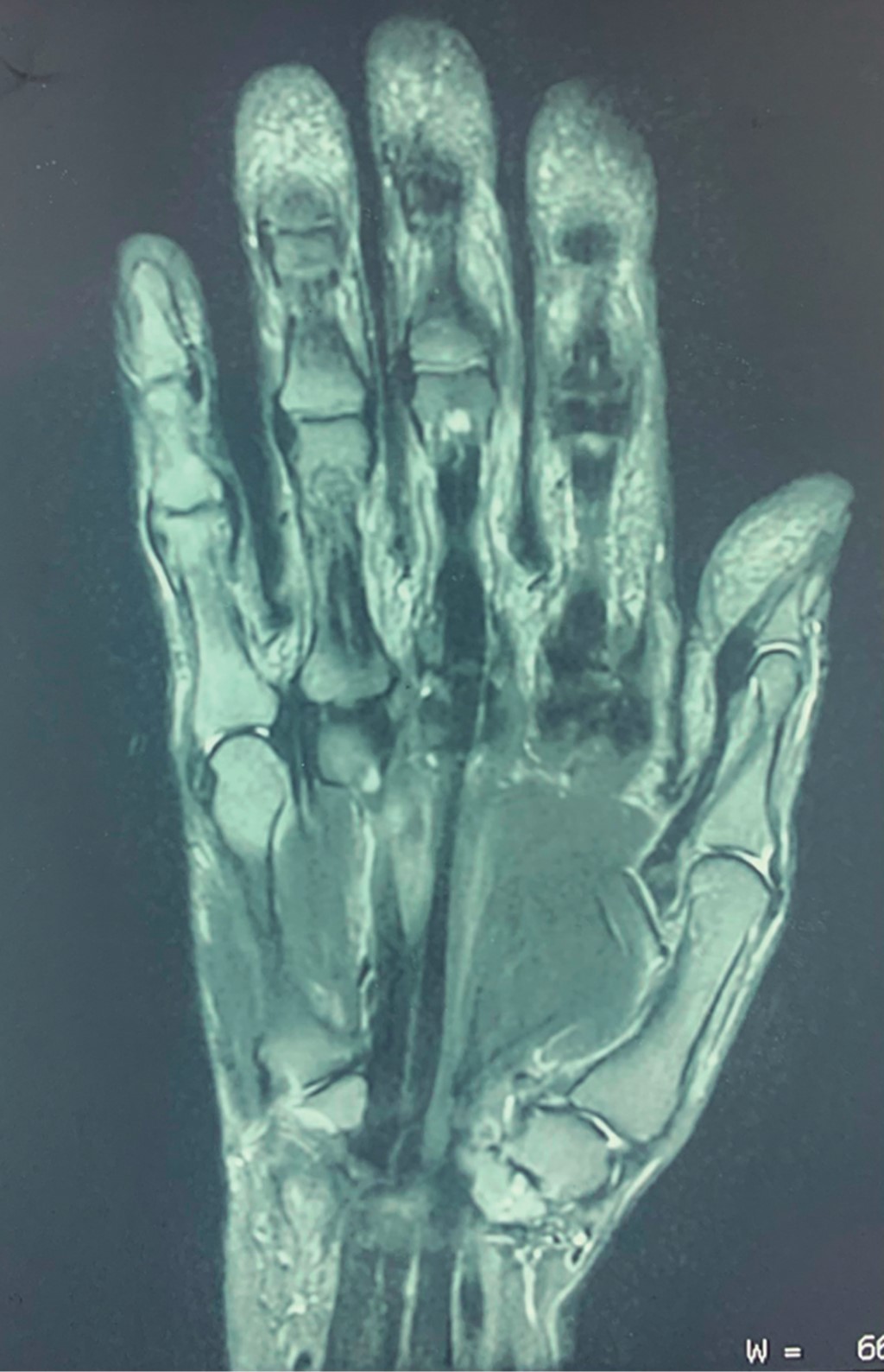
Se trata de mujer de 63 años, de profesión pianista, con diagnóstico acorde con los criterios propuestos por el Colegio Americano de Reumatología de artritis reumatoide, al momento de su valoración en tratamiento únicamente con metotrexato. Refirió iniciar su padecimiento con dificultad progresiva a la extensión de tercer, cuarto y quinto dedo de la mano derecha (Figura 1), los cuales le impiden desarrollar sus actividades de la vida diaria y profesional, motivo por el cual acudió a valoración. Se solicitó estudio de resonancia magnética, el cual evidenció pérdida de la continuidad en tendones extensores correspondientes del tercer al quinto dedo (Figura 2).

Se realizó exploración quirúrgica mediante incisión dorsal en forma de "S" itálica en zona V, VI y VII extensora. Se identificó el retináculo extensor y posteriormente se incidió longitudinalmente, realizando tenosinovectomía. Bajo visión directa se identificó sección total del tendón extensor común del tercer, cuarto y quinto dedos, así como del extensor propio del quinto dedo (Figura 3); los segmentos proximales de los tendones extensores comunes se mostraron con poca excursión y cambios de coloración a nivel del retináculo extensor. Como hallazgo se encontró ausencia del extensor carpi radialis brevis y longus y extensor cubital del carpo. El manejo quirúrgico consistió en realizar transferencia tendinosa del tendón extensor propio del segundo dedo al extensor común y propio del quinto dedo. Se realizó tenodesis término-laterales con técnica de Pulvertaft del tendón extensor común del cuarto dedo a tendón del propio de segundo dedo (Figuras 4 y 5). Después, se realizó resección de apófisis estiloides del cúbito y tenodesis término-laterales de segmentos proximales de tendones extensores a tendón extensor común de segundo dedo; lo anterior sin complicaciones trans o postquirúrgicas. Por último, se colocó inmovilización por un periodo de seis semanas con la muñeca en posición neutral, extensión a 0 grados de la articulación metacarpofalángica, dejando las interfalángicas libres.

El reporte histopatológico únicamente reportó proceso inflamatorio, sin evidencia de algún patrón celular específico. La paciente continuó con un programa estricto de rehabilitación funcional con hidroterapia y arcos de movimiento por cuatro semanas, presentando una adecuada extensión y mejoría en su calidad de vida y retornó a sus actividades profesionales (Figura 6).



DISCUSIóN

Durante el proceso reumatoide, la integridad y la fuerza tensil de los tendones se ven afectadas debido a una serie de factores.4 Estos incluyen la fricción crónica contra las estructuras óseas y el ligamento anular del carpo, el daño de los tejidos sinoviales, la interferencia en el suministro sanguíneo a través del mesotendón y la formación de nódulos reumatoideos dentro de los tendones. Por lo general, la ruptura del tendón resulta de la combinación de varios de estos factores de los tendones y su fuerza tensil se ven afectadas por el proceso reumatoideo debido a la fricción crónica contra las estructuras óseas y el ligamento anular del carpo, daño de los tejidos sinoviales, interferencia del aporte sanguíneo a través del mesotendón o por la formación de nódulos reumatoideos intratendinosos.5 La ruptura de un tendón se produce por la combinación de varios de estos factores y en pocas ocasiones como consecuencia de isquemia o fricción como factores aislados.6

La ruptura es consecuencia del roce con osteofitos, principalmente en el área cubital, motivo por el cual el extensor propio del meñique es el más afectado. Por otra parte, el tendón más afectado por la isquemia es el extensor largo del pulgar y la ruptura se presenta en la zona del tubérculo de Lister del radio, los pacientes con esta afección no refieren dolor en el sitio de ruptura. En casos en los que se trata de una lesión tardía se puede referir en la exploración dolor a la palpación a nivel del segmento proximal del tendón seccionado.7,8

El proceso de cicatrización de los tendones, por sí solo, no es suficiente para lograr la completa recuperación de esta afección. Por lo tanto, el tratamiento quirúrgico oportuno se convierte en un requisito fundamental para obtener un resultado satisfactorio en cuanto a la función de los tendones. Es importante destacar que, para lograr una adecuada función tendinosa, también es esencial contar con una buena movilidad articular. Existen varias opciones de tratamiento disponibles, una de ellas es la transferencia tendinosa del extensor propio del índice, que se considera una unidad efectiva. Además, los tendones del primer radial y del supinador largo también pueden ser útiles para llevar a cabo transferencias tendinosas. Otra alternativa es el injerto tendinoso de palmar menor o plantar delgado, que se pueden utilizar como donante en caso de rupturas múltiples. Sin embargo, es importante tener en cuenta el riesgo elevado de desarrollar adherencias en este tipo de procedimientos. En cuanto a las tenorrafias, éstas se realizan mediante suturas laterolaterales cuando se trata de un tendón extensor adyacente sano. En casos de rupturas recientes con una pérdida menor a 1 cm, se emplea con menos frecuencia la sutura término-terminal.9

Como regla, la mayoría de las rupturas espontáneas de tendones extensores ocurren sobre la prominencia ósea de la cabeza ulnar, por lo que la resección de la cabeza distal del cúbito, conocida como procedimiento de Darrach, es necesaria como parte del tratamiento o como medida preventiva.10,11



CONCLUSIONES

Los pacientes con diagnóstico de artritis reumatoide requieren de un manejo multidisciplinario, ya que incluso con tratamiento tienen riesgo elevado de ruptura espontánea de los tendones extensores de hasta 64%. El tratamiento de elección se efectúa mediante transferencias tendinosas y procedimiento de Darrach; no se recomienda la realización de injertos tendinosos debido a un menor resultado funcional derivado de la presencia de adherencias y a la restricción en los arcos de flexión como consecuencia de una contractura muscular irreversible que, en consecuencia, disminuye la excursión del tendón extensor. El pronóstico funcional está determinado en gran parte por las condiciones previas de la articulación, sin embargo, el manejo analgésico, antiinflamatorio, férula y adecuada rehabilitación contribuyen de manera significativa a un buen resultado.


REFERENCIAS (EN ESTE ARTÍCULO)

  1. Hsueh JH, Liu WC, Yang KC, Hsu KC, Lin CT, Chen LW. Spontaneous extensor tendon rupture in the rheumatoid wrist: risk factors and preventive role of extended tenosynovectomy. Ann Plast Surg 2016; 76:S41-S47

  2. Brown FE, Brown ML. Long-term results after tenosynovectomy to treat the rheumatoid hand. J Hand Surg 1988; 13 (5): 704-708.

  3. Vázquez JMF, Villalobos CRP, Palomo LJF. Ruptura de tendones extensores de los dedos en la artritis reumatoide. An Med Asoc Med Hosp ABC 2000; 45 (2): 82-86.

  4. Spector TD, Hart DJ, Powell RJ. Prevalence of rheumatoid arthritis and rheumatoid factor in women: evidence for a secular decline. Ann Rheum Dis 1993; 52: 254-257.

  5. Ryu J, Saito S, Honda T, Yamamoto K. Risk factors and prophylactic tenosynovectomy for extensor tendon ruptures in the rheumatoid hand. J Hand Surg 1998; 23 (5): 658-661.

  6. Vaughan-Jackon OJ. Attrition ruptures of tendons in the rheumatoid hand. J Bone Joint Surg 1958; 40A: 1431.

  7. Ehrlich GR, Peterson LT, Sokoloff et al. Pathogenesis of rupture of extensor tendons at the wrist in rheumatoid arthritis. Arthritis Rheum 1959; 2: 332-346.

  8. Vaughan-Jackson OJ. Rupture of extensor tendons by attrition at the inferior radioulnar joint. Report of two cases. J Bone Joint Surg 1948; 30B: 528-530.

  9. Bora FW Jr, Osterman AL, Thomas VJ et al. The treatment of ruptures of multiples extensor tendons at wrist level by a free tendon graft in the rheumatoid patient. J Hand Surg 1987; 12 (6): 1038-1040.

  10. Flurry MP, Herren DB, Simmen BR. Rheumatoid arthritis of the wrist. Classification related to the natural course. Clin Orthop 1999; 366: 72e7.

  11. Nalebuff EA, Feldo PG, Millender LH. Rheumatoid arthritis in the hand and wrist. In: Green DP, editor. Operative hand surgery. New York: Churchill Livingstone 1988, 1667e77.



AFILIACIONES

1 Servicio de Cirugía Plástica y Reconstructiva, Hospital General "Dr. Rubén Leñero". México.
ORCID:

2 0000-0002-7166-4029

3 0009-0003-8947-106X



Conflicto de intereses: los autores declaran no tener conflicto de intereses.



CORRESPONDENCIA

Dra. Fernán Alejandra Ayala-Ugalde. E-mail: fernanayala@yahoo.com.mx




Recibido: 04 noviembre 2023. Aceptado: 08 enero 2024

Figura 1
Figura 2
Figura 3
Figura 4
Figura 5
Figura 6

2020     |     www.medigraphic.com

Mi perfil

C?MO CITAR (Vancouver)

Cir Plast. 2024;34

ARTíCULOS SIMILARES

CARGANDO ...