medigraphic.com
ENGLISH

Cirugía Cardiaca en México

ISSN 2448-5640 (Impreso)
Diario Oficial de la Sociedad Mexicana de Cirugía Cardiaca, A.C., y del Colegio Mexicano de Cirugía Cardiovascular y Torácica, A.C.
  • Mostrar índice
  • Números disponibles
  • Información
    • Información general        
    • Directorio
  • Publicar
    • Instrucciones para autores        
    • Envío de artículos
  • medigraphic.com
    • Inicio
    • Índice de revistas            
    • Registro / Acceso
  • Mi perfil

2024, Número 2

<< Anterior

Cir Card Mex 2024; 9 (2)


El potencial de MINIAVR: un enfoque innovador en pacientes con afecciones complejas

De CGA, Garza-De MA, Cepeda-Flores MG, Siller-Rodríguez J, González-Zúñiga CE, Vázquez-González RM, Morales-Marín CA, Ferreira-Piña B, Perales-Hernández JG, Fabian-Mejía ÁR, Hernández-Salazar JA, Pedroza-Solís E
Texto completo Cómo citar este artículo 10.35366/115160

DOI

DOI: 10.35366/115160
URL: https://dx.doi.org/10.35366/115160
Artículos similares

Idioma: Ingles.
Referencias bibliográficas: 24
Paginas: 65-71
Archivo PDF: 357.87 Kb.


PALABRAS CLAVE

espondilitis anquilosante, regurgitación de la válvula aórtica, sustitución de la válvula aórtica, cirugía cardíaca mínimamente invasiva.

RESUMEN

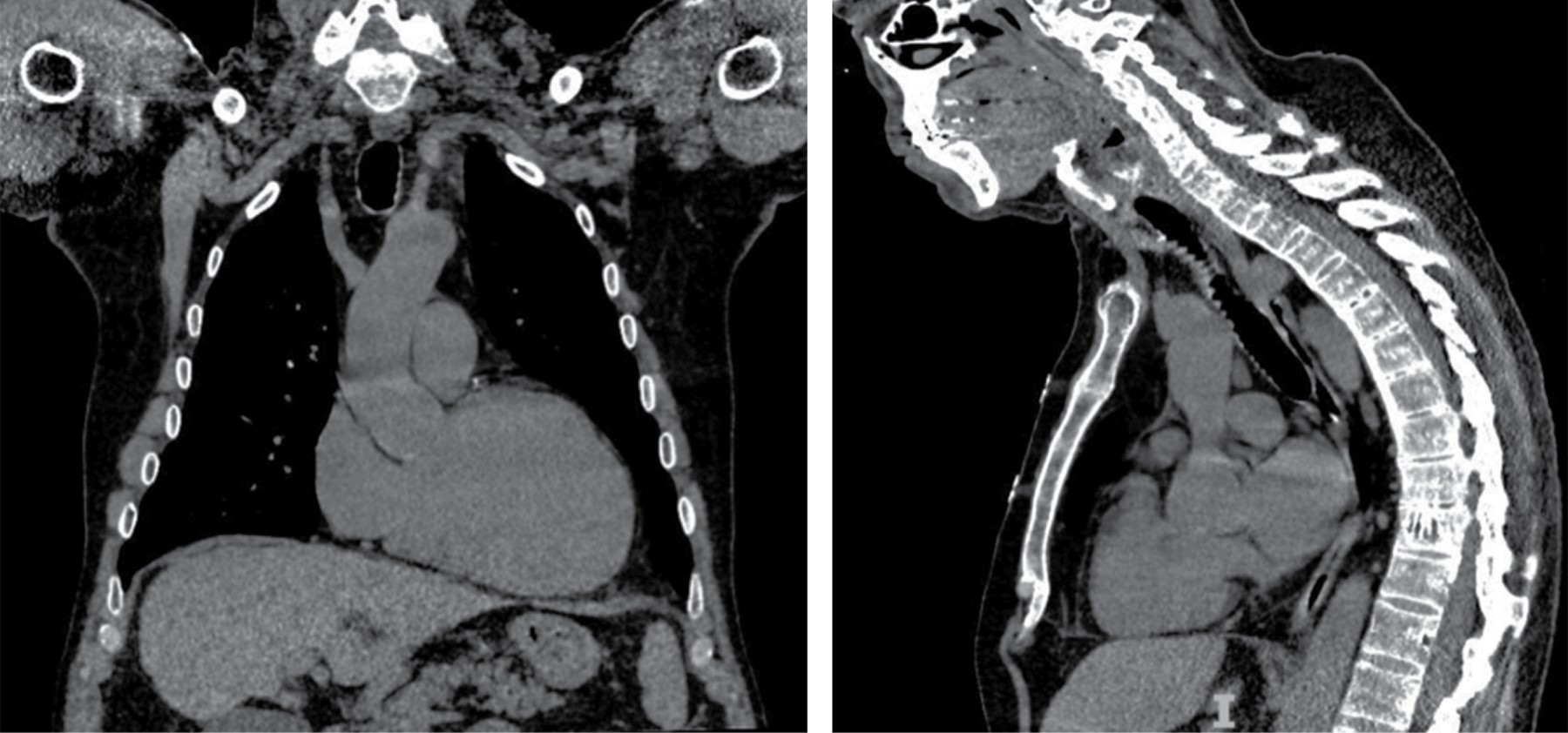
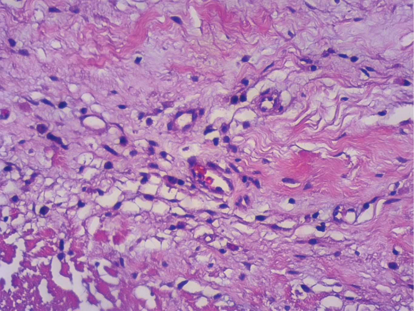
La espondilitis anquilosante es una patología crónica e inflamatoria que en pocas ocasiones afecta al corazón, ocasionando insuficiencia aórtica con aortitis. Se ha explorado la opción de colocación de válvula aórtica percutánea, sin embargo, no es factible en todos los casos. La cirugía cardíaca mínimamente invasiva puede beneficiar a pacientes con función renal y respiratoria alterada, así como con deformidad torácica, se realiza énfasis en la valoración individualizada de cada paciente con características complejas.


REFERENCIAS (EN ESTE ARTÍCULO)

  1. Sieper J, Braun J, Rudwaleit M, Boonen A, Zink A. Ankylosing spondylitis: an overview. Ann Rheum Dis. 2002;61 Suppl 3(Suppl 3):iii8-iii18. doi: 10.1136/ard.61.suppl_3.iii8.

  2. Yuan SM. Cardiovascular involvement of ankylosing spondylitis: report of three cases. Vascular. 2009;17(6):342-354. doi: 10.2310/6670.2009.00023.

  3. Ozkan Y. Cardiac involvement in ankylosing spondylitis. J Clin Med Res. 2016;8(6):427-430. doi: 10.14740/jocmr2488w.

  4. Balciunaite A, Budrikis A, Rumbinaite E, Sabaliauskiene J, Patamsyte V, Lesauskaite V. Ankylosing spondyloarthritis resulting severe aortic insufficiency and aortitis: exacerbation of ankylosing spondyloarthritis and stenosis of the main left coronary artery after mechanical aortic valve implantation with cardiopulmonary bypass. Case Rep Rheumatol. 2020;2020:9538527. doi: 10.1155/2020/9538527.

  5. Ward MM. Lifetime risks of valvular heart disease and pacemaker use in patients with ankylosing spondylitis. J Am Heart Assoc. 2018;7(20):e010016. doi: 10.1161/JAHA.118.010016.

  6. Eder L, Sadek M, McDonald-Blumer H, Gladman DD. Aortitis and spondyloarthritis--an unusual presentation: case report and review of the literature. Semin Arthritis Rheum. 2010;39(6):510-514. doi: 10.1016/j.semarthrit.2008.11.004.

  7. Momeni M, Taylor N, Tehrani M. Cardiopulmonary manifestations of ankylosing spondylitis. Int J Rheumatol. 2011;2011:728471. doi: 10.1155/2011/728471.

  8. Costanzo P, Bamborough P, Peterson M, Deva DJ, Ong G, Fam N. Transcatheter aortic valve implantation for severe pure aortic regurgitation with dedicated devices. Interv Cardiol. 2022;17:e11. doi: 10.15420/icr.2021.19.

  9. Chetrit M, Khan MA, Kapadia S. State of the art management of aortic valve disease in ankylosing spondylitis. Curr Rheumatol Rep. 2020;22(6):23. doi: 10.1007/s11926-020-00898-4.

  10. Roy DA, Schaefer U, Guetta V, et al. Transcatheter aortic valve implantation for pure severe native aortic valve regurgitation. J Am Coll Cardiol. 2013;61(15):1577-1584. doi: 10.1016/j.jacc.2013.01.018.

  11. Otto CM, Nishimura RA, Bonow RO, et al. 2020 ACC/AHA Guideline for the management of patients with valvular heart disease: executive summary: a report of the American College of Cardiology/American Heart Association Joint Committee on Clinical Practice Guidelines. Circulation. 2021;143(5):e35-e71. doi: 10.1161/CIR.0000000000000932.

  12. Vahanian A, Beyersdorf F, Praz F, et al; ESC/EACTS Scientific Document Group. 2021 ESC/EACTS Guidelines for the management of valvular heart disease. Eur Heart J. 2022;43(7):561-632. doi: 10.1093/eurheartj/ehab395.

  13. Glauber M, Ferrarini M, Miceli A. Minimally invasive aortic valve surgery: state of the art and future directions. Ann Cardiothorac Surg. 2015;4(1):26-32. doi: 10.3978/j.issn.2225-319X.2015.01.01.

  14. Klein P, Klop IDG, Kloppenburg GLT, van Putte BP. Planning for minimally invasive aortic valve replacement: key steps for patient assessment. Eur J Cardiothorac Surg. 2018;53(suppl_2):ii3-ii8. doi: 10.1093/ejcts/ezy086.

  15. Van Praet KM, van Kampen A, Kofler M, et al. Minimally invasive surgical aortic valve replacement: The RALT approach. J Card Surg. 2020;35(9):2341-2346. doi: 10.1111/jocs.14756.

  16. Tan T, Wei P, Liu Y, et al. Safety and efficacy of two-port thoracoscopic aortic valve replacement. J Cardiothorac Surg. 2023;18(1):9. doi: 10.1186/s13019-022-02086-0.

  17. Fudulu D, Lewis H, Benedetto U, Caputo M, Angelini G, Vohra HA. Minimally invasive aortic valve replacement in high risk patient groups. J Thorac Dis. 2017;9(6):1672-1696. doi: 10.21037/jtd.2017.05.21.

  18. Santana O, Reyna J, Benjo AM, Lamas GA, Lamelas J. Outcomes of minimally invasive valve surgery in patients with chronic obstructive pulmonary disease. Eur J Cardiothorac Surg. 2012;42(4):648-652. doi: 10.1093/ejcts/ezs098.

  19. Gosain P, Larrauri-Reyes M, Mihos CG, Escolar E, Santana O. Aortic and/or mitral valve surgery in patients with pulmonary hypertension performed via a minimally invasive approach. Interact Cardiovasc Thorac Surg. 2016;22(5):668-670. doi: 10.1093/icvts/ivw019.

  20. McCreath BJ, Swaminathan M, Booth JV, et al. Mitral valve surgery and acute renal injury: port access versus median sternotomy. Ann Thorac Surg. 2003;75(3):812-819. doi: 10.1016/s0003-4975(02)04502-2.

  21. Valdez GD, Mihos CG, Santana O, et al. Incidence of postoperative acute kidney injury in patients with chronic kidney disease undergoing minimally invasive valve surgery. J Thorac Cardiovasc Surg. 2013;146(6):1488-1493. doi: 10.1016/j.jtcvs.2013.06.034.

  22. Haldenwang P, Trampisch M, Schlomicher M, et al. Risk factors for acute kidney injury following TA-TAVI or minimally invasive aortic valve replacement: which procedure is less kidney damaging in elderly patients? Thorac Cardiovasc Surg. 2014;62(6):482-488. doi: 10.1055/s-0034-1376201.

  23. Franzone A, Piccolo R, Siontis GCM, et al. Transcatheter aortic valve replacement for the treatment of pure native aortic valve regurgitation: a systematic review. JACC Cardiovasc Interv. 2016;9(22):2308-2317. doi: 10.1016/j.jcin.2016.08.049.

  24. Glauber M, Gilmanov D, Farneti PA, et al. Right anterior minithoracotomy for aortic valve replacement: 10-year experience of a single center. J Thorac Cardiovasc Surg. 2015;150(3):548-56.e2. doi: 10.1016/j.jtcvs.2015.06.045.




Figura 1
Figura 2
Figura 3
Figura 4
Figura 5
Figura 6

2020     |     www.medigraphic.com

Mi perfil

C?MO CITAR (Vancouver)

Cir Card Mex. 2024;9

ARTíCULOS SIMILARES

CARGANDO ...