medigraphic.com
ENGLISH

Revista Mexicana de Trasplantes

ISSN 3122-3893 (Digital)
  • Mostrar índice
  • Números disponibles
  • Información
    • Información general        
    • Directorio
  • Publicar
    • Instrucciones para autores        
    • Envío de artículos
  • Políticas
  • medigraphic.com
    • Inicio
    • Índice de revistas            
    • Registro / Acceso
  • Mi perfil

2024, Número 1

<< Anterior

Rev Mex Traspl 2024; 13 (1)


Trasplante hepático Split

Leal-Villalpando, Rafael Paulino1; Alberto Rojas-Ureña, Jorge1; Báez-Lima, Mariana Rebeca1
Texto completo Cómo citar este artículo 10.35366/115309

DOI

DOI: 10.35366/115309
URL: https://dx.doi.org/10.35366/115309
Artículos similares

Idioma: Español
Referencias bibliográficas: 4
Paginas: 39-46
Archivo PDF: 664.02 Kb.


PALABRAS CLAVE

trasplante hepático Split, lóbulo derecho extendido, equipo multidisciplinario.

RESUMEN

El trasplante hepático es la única modalidad de tratamiento para pacientes con enfermedades hepáticas terminales. Así como los trasplantes hepáticos se han mejorado en cuanto a medicamentos inmunosupresores, técnicas y experiencia acumulada, progreso de la medicina intensiva y la anestesiología, también ha aumentado la demanda de injertos hepáticos, la cual no ha sido alcanzada por el suministro. Como resultado de esto, miles de pacientes mueren al año en la lista de espera. El trasplante hepático en Split ha sido una estrategia importante para aumentar el suministro de injertos creando dos trasplantes de un órgano, la cual es bastante factible para su realización en México en hospitales en donde se tiene experiencia en trasplante hepático y así disminuir el tiempo en lista de espera. El trasplante hepático Split ofrece una manera atractiva de incrementar el número de injertos cadavéricos. Se llevó a cabo en el Instituto Nacional de Ciencias Médicas y Nutrición "Salvador Zubirán" un trasplante de lóbulo derecho extendido, el cual fue exitoso.



INTRODUCCIóN

El trasplante hepático es la única modalidad de tratamiento para pacientes con enfermedades hepáticas terminales. Así como los trasplantes hepáticos se han mejorado en cuanto a medicamentos inmunosupresores, técnicas y experiencia acumulada, progreso de la medicina intensiva y la anestesiología, también ha aumentado la demanda de injertos hepáticos, la cual no ha sido alcanzada por el suministro. Como resultado de esto, miles de pacientes mueren al año en la lista de espera. El trasplante hepático Split ha sido una estrategia importante para aumentar el suministro de injertos creando dos trasplantes de un órgano.1 En el abordaje común del procedimiento Split, el hígado es dividido en segmento izquierdo, para ser trasplantado a un niño, y lóbulo derecho extendido, para ser trasplantado a un receptor adulto. En una variante del procedimiento un poco más compleja, el hígado se separa en dos hemiinjertos, el lado izquierdo se usa para un adulto joven o adolescente y el derecho para un paciente adulto mediano. La selección del donador, experiencia del cirujano, logística y capacidad del equipo de trasplantes son factores importantes para el desenlace adecuado del paciente posterior al trasplante Split.2



REPORTE DE CASO

Con previa valoración del equipo multidisciplinario, se realiza trasplante hepático ortotópico en marzo del 2023 a una paciente de 68 años, peso de 48 kg y talla de 154 cm con diagnóstico de cirrosis hepática Child Pugh B (8 puntos), Model for End-stage Liver Disease (MELD) - Na 13 puntos (probable MAFLD), con presencia de hipertensión hemorrágica, angiodisplasia en íleon tratada con embolización, várices fúndicas gástricas, ascitis grado I con respuesta a diuréticos, encefalopatía hepática tipo C, episódica, precipitada, recurrente, carcinoma hepatocelular BCLC A, postoperada de ablación por radiofrecuencia y embolización transarterial, trombosis portal.

Como comorbilidad, la paciente presenta artritis reumatoide clase funcional I, neumopatía intersticial en estudio con espirometría simple con FVC 1.48 L (53% del predicho), FEV1 0.91 L (45% del predicho), FEV1/FVC 61% (patrón mixto obstructivo-restrictivo), diabetes mellitus 2, hipertensión arterial sistémica, sífilis latente tardía tratada y osteoporosis (Tabla 1).

La paciente ingresa a sala, se administra anestesia total intravenosa a base de propofol, fentanilo y rocuronio. Se monitoriza con monitoreo invasivo y colocación de catéter de flotación pulmonar para manejo hemodinámico.

Se mantiene bajo ventilación controlada por volumen, con FiO2 50%, frecuencia respiratoria de 16 rpm, volumen corriente de 375 mL, PEEP 6 cmH2O, saturando 95-98%. Se agrega infusión de calcio, bicarbonato y magnesio, así como ácido tranexámico a 3 μg/kg/min.

Se administra norepinefrina a dosis respuesta, siendo la dosis máxima 2.5 μg/kg/min, vasopresina dosis máxima 0.8 U/min, dopamina 5 μg/kg/min, adrenalina 100 μg utilizados posterior a la reperfusión debido a bradicardia inestable.

Durante la cirugía presentó sangrado de 1,500 mL, diuresis de 750 mL, se transfundió un paquete globular y 1.5 g de fibrinógeno teniendo balance positivo de 822 mL.

El tiempo quirúrgico fue de 5 horas 47 minutos. Se realizó técnica de exclusión total de cavas, anastomosis de la arteria hepática derecha del donador a hepática del receptor. La anastomosis de la vena porta fue porta-porta término-terminal, con previa trombectomía por eversión. La vía biliar se anastomosó de manera colédoco-colédoco término-terminal, cara posterior y anterior surgete.

El tiempo de isquemia fría duró 10 horas 10 minutos. El tiempo de isquemia tibia fue de 57 minutos y el tiempo de anhepático de 63 minutos. Se realizó Doppler transoperatorio el cual mostró la porta permeable con adecuadas velocidades. Arteria hepática permeable con IR 0.77. El lactato pico durante la cirugía fue de 6.4 y el lactato al egreso de 5.1. El peso del injerto fue de 750 g (Anexo 1).

La paciente salió a unidad de terapia intensiva bajo ventilación mecánica y uso de vasopresor. Al primer día postoperatorio fue extubada y mantenida con puntas nasales a 2 L/min, y se realizó suspensión de vasopresores. Se manejó con tramadol 100 mg para 24 horas, paracetamol 1 g c/8 h y basiliximab dosis única 20 mg IV.

Se realiza Doppler postoperatorio evidenciando el segmento IV hepático con ausencia de flujos arteriales como variante esperada del trasplante hepático. Se agrega cobertura antibiótica con ertapenem 1 g c/24 h por potencial isquemia.

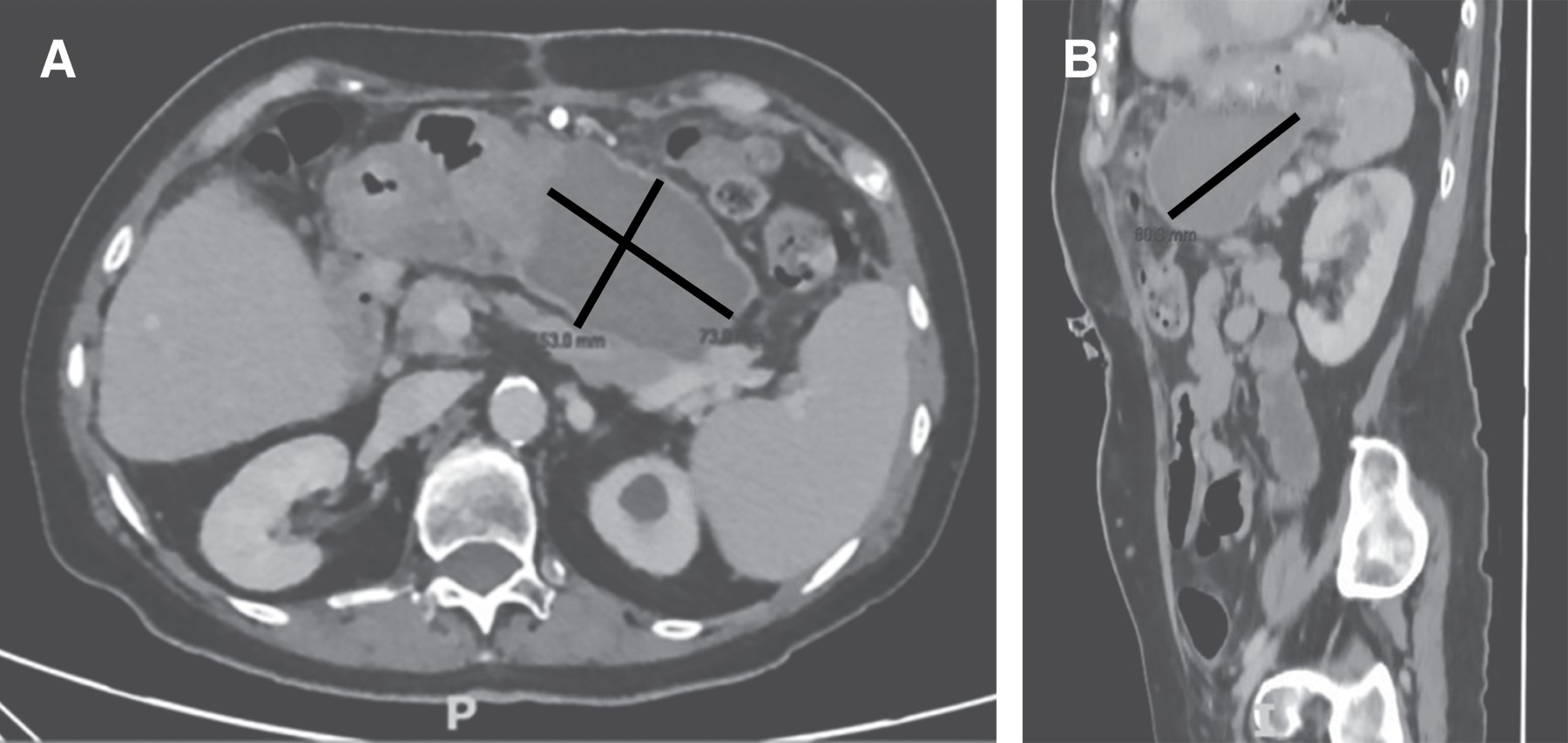
Al segundo día postoperatorio la paciente egresa a piso de hospitalización sin complicaciones, con pruebas de función hepática a la baja y tomografía axial computarizada (TAC) de control con evidencia del segmento IV con aumento de volumen, sin flujo vascular, sin datos de complicación actual (Figura 1).

Al presentar mejoría clínica, se da de alta hospitalaria a siete días postoperación. Se realiza TAC de control observando imagen aparentemente quística en zona de segmento IV, la cual es puncionada por el servicio de radiología intervencionista.

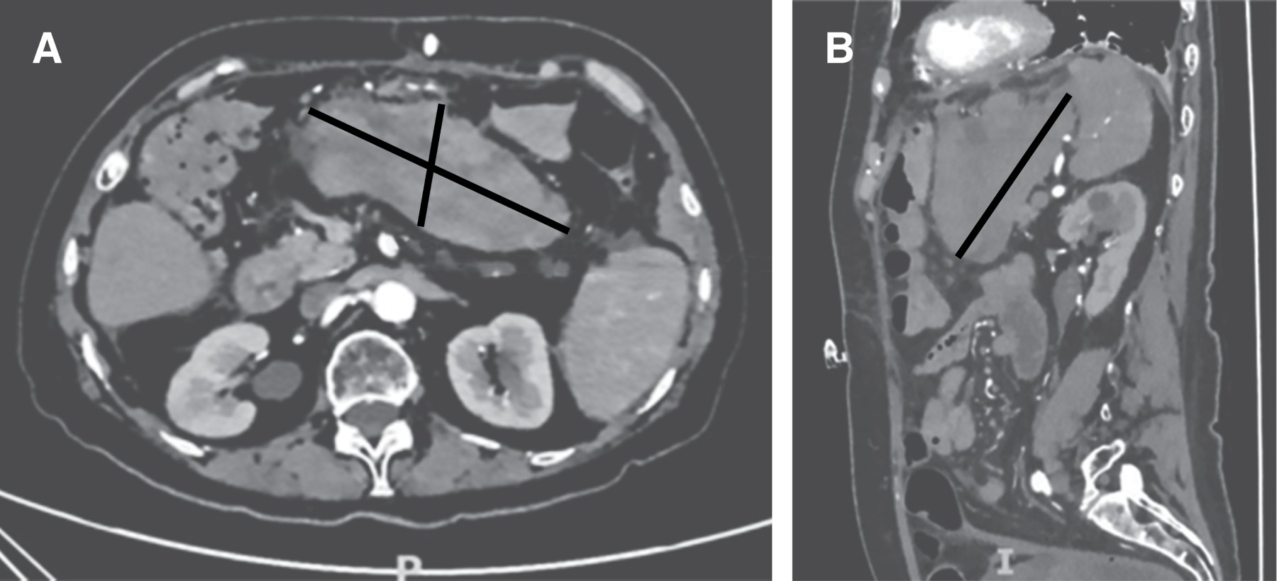
Dos semanas posteriores, la paciente ingresa a hospitalización por síntomas respiratorios y disminución de hemoglobina, por lo que se toma una TAC de control evidenciando un hematoma epigástrico de 11.8 × 5.5 × 10.8 cm sin datos de sangrado activo (Figura 2). Se transfunden dos paquetes globulares, logrando estabilidad hemodinámica y posterior alta de hospitalización.



DISCUSIóN

El porcentaje en la lista de espera es < 20% a un año, por lo que esta es una forma factible de disminuir la mortalidad y acelerar el proceso de trasplante hepático. Si bien, el trasplante en Split es técnicamente más complejo, se ha mostrado que el trasplante de un injerto derecho extendido no conlleva mayor número de complicaciones quirúrgicas o de menor supervivencia del paciente o del injerto, por lo que es igual de seguro que un injerto completo.3,4



CONCLUSIONES

El uso de trasplantes Split de injertos derechos extendidos es cada vez mayor en adultos, así como la selección adecuada de candidatos, lo cual podría disminuir la mortalidad en lista de espera y es una opción cada vez más factible en centros de trasplantes en México.


REFERENCIAS (EN ESTE ARTÍCULO)

  1. Doyle MB, Maynard E, Lin Y, Vachharajani N, Shenoy S, Anderson C et al. Outcomes with split liver transplantation are equivalent to those with whole organ transplantation. J Am Coll Surg. 2013; 217 (1): 102-112.

  2. Emre S, Umman V. Split liver transplantation: an overview. Transplant Proc. 2011; 43 (3): 884-887.

  3. Mazariegos GV, Garrido V, Jaskowski-Phillips S, Towbin R, Pigula F, Reyes J. Management of hepatic venous obstruction after split-liver transplantation. Pediatr Transplant. 2000; 4 (4): 322-327.

  4. Broering DC, Schulte am Esch J, Fischer L, Rogiers X. Split liver transplantation. HPB (Oxford). 2004; 6 (2): 76-82.



AFILIACIONES

1 Instituto Nacional de Ciencias Médicas y Nutrición "Salvador Zubirán", Universidad Nacional Autónoma de México. Alta Especialidad en Anestesiología de Trasplantes.



CORRESPONDENCIA

Mariana Rebeca Báez-Lima. E-mail: marabaez.23@gmail.com




Recibido: 30-Jun-2023. Aceptado: 28-Jul-2023.

Figura 1
Figura 2
Tabla 1

2020     |     www.medigraphic.com

Mi perfil

C?MO CITAR (Vancouver)

Rev Mex Traspl. 2024;13

ARTíCULOS SIMILARES

CARGANDO ...