medigraphic.com
ENGLISH

Revista Mexicana de Anestesiología

ISSN 3061-8142 (Digital)
ISSN 0484-7903 (Impreso)
  • Mostrar índice
  • Números disponibles
  • Información
    • Información general        
    • Directorio
  • Publicar
    • Instrucciones para autores        
  • medigraphic.com
    • Inicio
    • Índice de revistas            
    • Registro / Acceso
  • Mi perfil

2024, Número 2

<< Anterior Siguiente >>

Rev Mex Anest 2024; 47 (2)


Neurólisis erector de la espina a nivel torácico T4 en paciente pediátrico con sarcoma de Ewing: reporte de caso

Rey-Atehortúa, María Mónica1; Molina-Arteta, Bilena Margarita2; Botía-Pinzón, Sandra Marisel3
Texto completo Cómo citar este artículo 10.35366/115322

DOI

DOI: 10.35366/115322
URL: https://dx.doi.org/10.35366/115322
Artículos similares

Idioma: Español
Referencias bibliográficas: 19
Paginas: 128-131
Archivo PDF: 243.66 Kb.


PALABRAS CLAVE

neurólisis, neoplasias, dolor oncológico pediátrico, plano erector de la espina.

RESUMEN

El sarcoma de Ewing es un tumor de células pequeñas redondas azules; se encuentra más comúnmente en niños y adultos jóvenes, produciendo una alta carga de síntomas, el más prevalente es el dolor que suele ser severo y tener un comportamiento crónico. Distintas vías de neurotransmisión, canales y receptores proponen que la terapia analgésica sea individualizada. Describimos un caso de sarcoma de Ewing con dolor neuropático severo refractario a opioides con el objetivo de presentar una alternativa de manejo analgésico en este tipo de pacientes.



INTRODUCCIóN

El sarcoma de Ewing es un tumor de células pequeñas redondas azules que se encuentra más comúnmente en niños y adultos jóvenes; y forma parte del grupo de sarcomas de células redondas pequeñas(1). Todos estos tumores se consideran miembros de la misma familia de cánceres sobre la base de sus translocaciones comunes observada con este diagnóstico. La incidencia del sarcoma de Ewing en Colombia está estimada en 0.2 por 100,000 habitantes(2).

Dentro del enfoque terapéutico para el manejo de dolor, se ha descrito la neurólisis del plano del músculo erector de la espina como una alternativa para el dolor oncológico pediátrico tipo osteosarcoma(3,4). En algunos casos, la neurólisis ha sido realizada posterior al manejo sin éxito con analgesia endovenosa con paracetamol y buprenorfina, coadyuvada con ketamina, lidocaína y dexametasona, con estabilización del dolor basal, pero con requerimientos de rescates recurrentes con opioides por episodios de dolor irruptivo(3). La neurólisis del plano del músculo erector de la espina, de acuerdo con la evidencia disponible, es un método efectivo, seguro y simple para el manejo del dolor agudo en cirugía cardíaca, torácica y abdominal. Se ha informado que la incidencia de eventos adversos como toxicidad local, sangrado relacionado con los procedimientos de neurólisis, infecciones, neumotórax, entre otros, es rara(5,6).



CASO CLíNICO

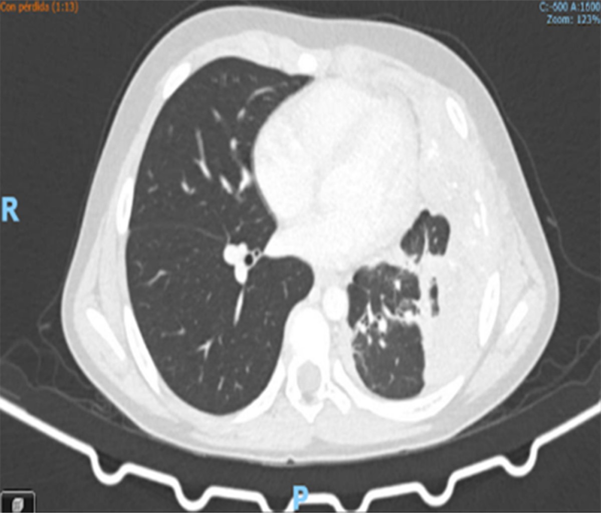
Masculino de siete años de edad, 30 kg de peso y 132 cm de talla, con diagnóstico de sarcoma de Ewing pleural izquierdo con compromiso de arcos costales 5, 6 y 7 izquierdos, con compromiso pleural y pericárdico, sin otros antecedentes de interés. Había recibido quimioterapia sistémica. El paciente ingresa el 01/10/2022 a urgencias por dolor de tipo pleurítico, sin asociarse a síntomas respiratorios. La tomografía axial computarizada (TAC) de tórax evidencia neoplasia infiltrativa de la pared del hemitórax izquierdo con extensión al hemidiafragma ipsilateral, pericardio, pleura parietal y visceral (Figura 1). En la resonancia magnética de tórax se encontraron nódulos aislados pleurales posteriores apicales izquierdos en relación con compromiso metastásico pulmonar. Desde el punto de vista oncológico, se determinó progresión de la enfermedad; por dolor severo del paciente, se consideró realizar neurólisis del plano del músculo erector de la espina, para lo cual se mantuvo al paciente con morfina 2 mg IV cada cuatro horas y rescates de 1 mg IV hasta cuatro en 24 horas en caso de dolor severo previo al procedimiento. A 10 días del ingreso a urgencias, el paciente fue llevado a manejo intervencionista del dolor; en decúbito prono, bajo previa asepsia y antisepsia, se realiza lavado quirúrgico, colocación de campos estériles, mediante guía ecográfica y fluoroscopía se identifican planos de apófisis espinosas torácicas (Figura 2), se situó central apófisis espinosa de T4, lateral a ella se identificó lámina y luego apófisis transversa con imagen en plano. Bajo anestesia general, se llevó la aguja a cuerpo de apófisis transversa y se colocó volumen de 20 cm3 en el plano del erector de la espina, identificando elevación del erector de la espina (Figura 3). No se presentaron complicaciones. Se realizó neurólisis unilateral del plano erector de la espina T4 izquierda con mezcla analgésica: 6 cm3 de alcohol al 99% + 4 cm3 de solución salina al 0.9% + 5 cm3 de bupivacaína al 0.5% sin epinefrina. Con adecuado control de dolor, posterior a procedimiento con FLACC (Face, Legs, Activity, Cry, Consolability) de 0, no requirió uso de rescate de opioides potentes, no presentó dolor incidental ni irruptivo y tuvo adecuado patrón de sueño. Posterior a esto, recibe radioterapia externa conformacional con intención paliativa. Dos días después del procedimiento, paciente con FLACC de 2 y al siguiente 0 con disminución del consumo analgésico. Por adecuada evolución clínica, se da egreso el 14/10/2022. Al mes control con adecuada evolución y FLACC de 0.



DISCUSIóN

La neurólisis del plano erector de la espina se ha descrito como una intervención para el manejo del dolor en pacientes oncológicos, y en ocasiones antes o después de procedimientos quirúrgicos(7,8). Esta intervención consiste en la distribución de la sustancia terapéutica en una gran cantidad de raíces sensitivas, a nivel de la región dorsal(9); de manera que se difunde la sustancia analgésica tanto en el ramo dorsal como ventral de los nervios espinales torácicos. La evidencia señala que esta intervención ha sido utilizada como analgesia postoperatoria en diferentes tipos de procedimientos en cirugía pediátrica (torácica, nefrectomía)(7,10,11); no obstante, al ser una técnica relativamente nueva, la mayor parte de la evidencia disponible de su utilización sigue siendo limitada a reportes de caso o series de casos, por lo tanto, este artículo es de relevancia para los clínicos. El alcance de la neurólisis del erector de la espina puede extenderse a otras zonas, como lo menciona Forero y colaboradores(12), al usarla en un paciente con dolor crónico de hombro. Pacientes con diagnóstico de adenocarcinoma gástrico y carcinoma de páncreas recibieron neurólisis celíaca, hipogástrica o ambas, con fenol, y refirieron alivio del dolor inmediatamente después del procedimiento en 79.4%(13). La literatura recomienda realizar la neurólisis con alcohol posterior a un bloqueo diagnóstico; en el caso reportado no se realizó de esta manera debido al dolor severo no controlado del paciente, la baja probabilidad de que éste regresara al centro asistencial y a que este centro contaba con pocos recursos para realizar los dos procedimientos, por lo cual se decidió realizar la neurólisis directamente. En los días posteriores a la intervención, el paciente no requirió rescate con opioides, tampoco presentó eventos adversos asociados al procedimiento, lo que se ha reportado como indicador de buen pronóstico(6). En este caso se presenta información acerca de las consideraciones para el procedimiento y la evolución del paciente, lo que permite que sea considerado en otros casos con antecedentes similares, pero no realizar conclusiones al ser un solo caso y no tener grupo de comparación. Para realizar estas estimaciones, es necesario efectuar ensayos clínicos aleatorizados controlados en los que se estandarice la técnica y así obtener conclusiones más reproducibles y generalizables, como el realizado por Dong y asociados(14), donde evaluaron alivio del dolor medido en una escala analógica visual (EVA), consumo de opioides, supervivencia, calidad de vida y efectos adversos, con un seguimiento de hasta ocho meses o hasta el fallecimiento. Por otra parte, la necesidad de los ensayos clínicos aleatorizados controlados también se sustenta en la amplia variedad de los químicos usados. En el presente caso se utilizó una mezcla analgésica que incluyó alcohol al 99%; en la literatura citada, se ha inyectado alcohol absoluto, fenol, fenol en solución acuosa, entre otros, y en diferentes concentraciones(14-16). Estas variaciones pueden influir tanto en el efecto analgésico como en la frecuencia y severidad de los eventos adversos, principalmente en lo relacionado con el tipo de agente neurolítico, ya que se ha descrito que, dentro de los agentes más utilizados con frecuencia se encuentra el alcohol y fenol, manteniendo volúmenes y concentraciones de 10 mL y mayores al 80%, y entre 1 y 10 mL y 1 a 10%, respectivamente, para no producir toxicidad importante(17). El alcohol y el fenol son similares en cuanto a su potencia y a la lesión no selectiva sobre el tejido nervioso; sin embargo, aunque el fenol es menos irritante, puede utilizarse en forma de solución acuosa, que es menos penetrante o en glicerina que es más potente, tarda más en hacer efecto, se distribuye ampliamente en el endoneuro; por último, es muy importante la colocación del paciente durante el bloqueo y los minutos que siguen a éste, para obtener los resultados deseados y evitar, en lo posible, las complicaciones. Adicional a las anteriores desventajas, la afinidad del fenol por el tejido vascular es superior a la afinidad por los fosfolípidos cerebrales, lo cual sugiere que la lesión de los vasos sanguíneos puede ser un factor patogénico importante en la neuropatología observada tras la administración de fenol. De ahí el riesgo de la utilización de elevadas cantidades de fenol cerca de los vasos sanguíneos principales. Por último, la principal ventaja para el caso reportado al realizar la neurólisis con alcohol es que se ha reportado un efecto hasta los seis meses siguientes al procedimiento, en comparación con el fenol cuyo máximo efecto se da hasta los dos meses(18), principalmente por la baja probabilidad de que el paciente regresará a consulta para una segunda intervención.

En Colombia se llevó a cabo un estudio retrospectivo y longitudinal, donde evaluaron 31 pacientes adultos que ingresaron al servicio por dolor lumbar tipo parestesia y punzante, y que recibieron esta intervención(19). Al seguimiento, se encontró que en 80.7% de los casos el dolor reapareció, pero en 74.2% la intensidad fue menor; la mediana de meses de reaparición de dolor fue un mes. Finalmente, en 6.4% de la población se observaron complicaciones del bloqueo: intoxicación por anestésicos locales en un paciente e irritación de raíz nerviosa en otro. En nuestro estudio, la neurólisis se realizó en T4, unilateral, el FLACC al día dos de la intervención fue de dos y al alta fue de 0, no se presentaron complicaciones durante ni después del procedimiento. Como limitación, es importante destacar que no se cuenta con datos posteriores al alta del paciente, por lo que no se puede describir la reaparición o no del dolor, ni la severidad. En el estudio citado, no mencionan qué tipo químico utilizaron para la neurólisis, lo que representa una limitación para la generación de evidencia local. Si bien no se puede determinar la eficacia de la neurólisis del plano erector de la espina dado que la evidencia en pacientes oncológicos pediátricos se limita a reportes de caso, se sigue estableciendo como una alternativa de manejo eficaz y segura. Adicional a esto, se requiere realizar un estudio prospectivo, con un tamaño de muestra estimado específicamente para establecer el valor de la técnica.


REFERENCIAS (EN ESTE ARTÍCULO)

  1. Lessnick SL, Dei Tos AP, Sorensen PHB, Dileo P, Baker LH, Ferrari S, et al. Small round cell sarcomas. Semin Oncol. 2009;36:338-346.

  2. Curado M, Edwards B, Shin H, Storm H, Ferlay J, Heanue M, et al. Cancer incidence in five continents volume IX. 2007. Available from: http://www.iarc.fr/

  3. Aréchiga-Ornelas GE, Ramos-Guerrero JA, Bueno-Acosta PH, Del Rio-Parra M, Sotelo-Rosero O, Coria-Márquez JA, et al. Erector spinae plane block in pediatric cancer pain: case report. Colombian Journal of Anesthesiology. 2022;50(2).

  4. Baca Q, Lin C, O'Hare K, Golianu B, Tsui B. Erector spinae plane block for pediatric palliative care. Paediatr Anaesth. 2019;29:386-387. Available in: https://onlinelibrary.wiley.com/doi/abs/10.1111/pan.13607

  5. Largo-Pineda CE, González-Giraldo D, Zamudio-Burbano M. Erector spinae plane block. A narrative review. Colombian Journal of Anesthesiology. 2022;50(4).

  6. Cui Y, Wang Y, Yang J, et al. The effect of single-shot erector spinae plane block (ESPB) on opioid consumption for various surgeries: a meta-analysis of randomized controlled trials. J Pain Res. 2022;15:683-699.

  7. Munoz F, Cubillos J, Chin KJ. Erector spinae plane block for postoperative analgesia in pediatric oncological thoracic surgery. 2017;64:880-882. Available in: https://link.springer.com/content/pdf/10.1007/s12630-017-0894-0.pdf

  8. Hernandez MA, Palazzi L, Lapalma J, Forero M, Chin KJ. Erector spinae plane block for surgery of the posterior thoracic wall in a pediatric patient. Reg Anesth Pain Med. 2018;43:217-219.

  9. Villamizar Rangel MD. Bloqueo neurolítico del erector de la espina en paciente con dolor oncológico. Universidad Autónoma de Bucaramanga; 2018.

  10. Albornoz Pardo AE, Keefe D, Neville Levin D, Lorenzo AJ, Munshey F. Anesthetic and surgical considerations for staged bilateral nephrectomies in a pediatric patient: a case report. Colomb J Anesthesiol. 2021.

  11. Misas Cobilla LE, Meza Acevedo A, Ochoa García OC, Florez Acevedo C, Guerrero VH. Pediatric thoracotomy in erector spinae plane block. Revista Chilena de Anestesia. 2021;50:609-612.

  12. Forero M, Rajarathinam M, Adhikary S Das, Chin KJ. Erector spinae plane block for the management of chronic shoulder pain: a case report. Can J Anesth. 2018;65:288-293.

  13. Jaimes J, Leotau MA, William Rangel G, Miranda N, García-Salazar Natalia, Rangel-Vera Jully Andrea. Efectividad del bloqueo neurolítico simpático abdominal en una serie de casos descriptiva en pacientes con dolor oncológico. Revista de la facultad de ciencias de la salud - MedUNAB. 2019;22:330-340. Disponible en: https://doi.org/10.29375/issn.0123-7047

  14. Dong D, Zhao M, Zhang J, Huang M, Wang Y, Qi L, et al. Neurolytic splanchnic nerve block and pain relief, survival, and quality of life in unresectable pancreatic cancer: a randomized controlled trial. Anesthesiology. 2021;135:686-698.

  15. Matchett G. Intercostal nerve block and neurolysis for intractable cancer pain. J Pain Palliat Care Pharmacother. 2016;30:114-117.

  16. Khawaja SN, Scrivani SJ. Utilization of neurolysis in management of refractory head and neck cancer-related pain in palliative patients: a retrospective review. J Oral Pathol Med. 2020;49:484-489.

  17. Fuentes DZ, Rodríguez SO, Salazar DM, Rodríguez HO. Algunos agentes neurolíticos. Consideraciones generales. Archivo Médico de Camagüey. 2007;11(1):1-10.

  18. Cárdenas CJL, Rodríguez MCH. Neurólisis subaracnoidea. Reporte de 2 casos y revisión de la literatura. Medicina Paliativa [Internet]. 2017;24:162-166. Disponible en: https://www.medicinapaliativa.es/neurolisis-subaracnoidea-reporte-de-2-casos-y-revision-de-la-literaturasubarachnoid-neurolysis-report-of-2-cases-and-review-of-literature191

  19. Modera HAJ, Morales Tuesca JJ, Ramos Clason EC. Evaluación de la recurrencia de dolor lumbar crónico posterior a neurólisis con bloqueo etector de la espina ecoguiado en la Clínica Especializada La Concepción entre enero de 2020 a enero de 2021 [Internet]. [Cartagena, Colombia]: Universidad del Sinú Seccional Cartagena; 2021 [Citado 2023 Enero 22]. Disponible en: http://repositorio.unisinucartagena.edu.co:8080/xmlui/bitstream/handle/123456789/422/EVALUACI%C3%93N%20DE%20LA%20RECURRENCIA%20DE%20DOLOR%20LUMBAR%20CR%C3%93NICO%20%20POSTERIOR%20A%20NEUROLISIS%20CON%20BLOQUEO%20ERECTOR%20DE%20LA%20ESPINA%20%20ECOGUIADO%20EN%20LA%20CLINICA%20ESPECIALIZADA%20LA%20CONCEPCI%C3%93N%20ENTRE%20%20ENERO%20DE%202020%20A%20ENERO%20DE%202021.pdf?sequence=1&isAllowed=y



AFILIACIONES

1 Fellow Dolor y Cuidados Paliativos, Instituto Nacional de Cancerología. Bogotá, Colombia.

2 Especialista en Dolor y Cuidados Paliativos, Instituto Nacional de Cancerología. Bogotá, Colombia.

3 Residente de la Especialidad en Medicina Familiar Integral, Fundación Universitaria Juan N Corpas. Bogotá, Colombia.



CORRESPONDENCIA

Dra. María Mónica Rey-Atehortúa. E-mail: mariamonica.rey@hotmail.com




Recibido: 01-08-2023. Aceptado: 12-01-2024.

Figura 1
Figura 2
Figura 3

2020     |     www.medigraphic.com

Mi perfil

C?MO CITAR (Vancouver)

Rev Mex Anest. 2024;47

ARTíCULOS SIMILARES

CARGANDO ...