medigraphic.com
ENGLISH

Neurología, Neurocirugía y Psiquiatría

ISSN 0028-3851 (Impreso)
  • Mostrar índice
  • Números disponibles
  • Información
    • Información general        
    • Directorio
  • Publicar
    • Instrucciones para autores        
  • medigraphic.com
    • Inicio
    • Índice de revistas            
    • Registro / Acceso
  • Mi perfil

2023, Número 3

<< Anterior Siguiente >>

Rev Neurol Neurocir Psiquiat 2023; 51 (3)


Encefalomielitis diseminada aguda refractaria posterior a vacunación contra SARS-CoV-2

Tovar Sarmiento, Laura Patricia1; Torres Romero, Claudia Mayela2,3; Sicsik Aragón, María Alejandra2,3; Rodríguez Herrera, Andrea2,3; Navarro Estrada, Beatriz Mariana2,4; Núñez Orozco, Lilia2,3
Texto completo Cómo citar este artículo 10.35366/115407

DOI

DOI: 10.35366/115407
URL: https://dx.doi.org/10.35366/115407
Artículos similares

Idioma: Español
Referencias bibliográficas: 10
Paginas: 151-156
Archivo PDF: 274.85 Kb.


PALABRAS CLAVE

EMDA, ChAdOx1-S, COVID-19, encefalomielitis diseminada aguda, SARS-CoV-2, vacuna.

RESUMEN

La encefalomielitis diseminada aguda (EMDA) es una enfermedad autoinmune que ocasiona lesiones desmielinizantes en cerebro y médula espinal, presentando un amplio espectro clínico. Se han descrito distintos precipitantes en el desarrollo de esta enfermedad, siendo uno de ellos la vacunación. Durante la contingencia sanitaria por COVID-19 el desarrollo de vacunas ha ayudado en el control de casos así como en la disminución de la gravedad de la enfermedad. Sin embargo, se ha observado asociación entre el desarrollo de encefalomielitis diseminada aguda y la vacunación e infección por COVID-19. Presentamos el caso de un hombre joven con prueba PCR para SARS-CoV-2 negativa que presentó desorientación y debilidad 24 horas posterior a la aplicación de la vacuna ChAdOx1-S.



INTRODUCCIóN

La encefalomielitis diseminada aguda (EMDA) es una enfermedad inflamatoria desmielinizante del sistema nervioso central (SNC) de curso monofásico, aunque puede ser multifásica en menor proporción. La mayoría de los casos se presenta posterior a inmunizaciones o infecciones (75%), caracterizada por déficits neurológicos polifocales y hallazgos neurorradiológicos que afectan principalmente a la sustancia blanca. La incidencia posterior a la inmunización es de 0.1-0.2/100,000 habitantes/año ocurriendo a cualquier edad, más frecuente en edades pediátricas.1,2

La EMDA secundaria a inmunizaciones se ha asociado a las vacunas de: rabia, difteria, tétanos, sarampión, rubeola, poliomielitis, hepatitis B, etc.3 Tras la pandemia por COVID-19 se desarrollaron vacunas contra este virus, favoreciendo el descenso de la morbimortalidad; sin embargo, se han presentado efectos adversos como los trastornos neurológicos dentro del espectro clínico, reportándose cada vez más casos de EMDA asociados a la vacunación contra el SARS-CoV-2.4-6 En un estudio de Reino Unido y España la incidencia de EMDA fue mayor en relación con la parálisis facial, mielitis transversas o síndrome de Guillain-Barré, describiéndose mayor ocurrencia después de la primera dosis que por revacunación7 con desenlaces variables desde cuadros autolimitados hasta fatales.8

Hasta junio de 2022, 66.3% de la población mundial ha recibido al menos una dosis contra el COVID-19,9 por lo que es importante conocer el espectro de esta enfermedad a pesar de su baja frecuencia. A propósito de estas cifras, presentamos el primer caso documentado de EMDA en nuestro país después del refuerzo contra el SARS-CoV-2.



PRESENTACIóN DEL CASO

Hombre de 22 años de edad previamente sano, con antecedente de aplicación de dos dosis de vacunas de ARNm contra SARS-CoV-2 (BNT162b2) sin presentar efectos adversos. Inició el 29 de diciembre de 2021, un día posterior a la aplicación de su tercera dosis con vacuna recombinante (ChAdOx1-S) con presencia de astenia, adinamia, febrícula y cefalea holocraneal. Dos días después sus familiares notaron inatención, olvidos frecuentes y somnolencia. Una semana después se agregó desviación de la comisura labial hacia la derecha, debilidad del miembro pélvico izquierdo (MPI) y lateralización de la marcha hacia la izquierda. Fue admitido en el servicio de neurología el 7 de enero de 2022, se observó asimetría facial leve con desviación de la comisura labial a la derecha, fuerza de MPI 4/5, dismetría y lateropulsión a la izquierda así como dificultad para realizar variantes de la marcha.

A su ingreso se realizaron exámenes de laboratorio generales y específicos, destacando los anticuerpos anti-acuaporina 4, anticuerpos anti-MOG y banda oligoclonales, todos con resultado negativo (Tablas 1 y 2). El examen de líquido cefalorraquídeo reportó aspecto transparente, leucocitos 64 × mm3 (< 5 × mm3), linfocitos 100%, pH 9 (7-8), glucosa 78 mg/dL (40-70 mg/dL), proteínas totales 38.30 mg/dL (15-45 mg/dL), deshidrogenasa láctica (DHL) 10 UI/L (91-180 UI/L), tinción de Gram, tinta china, amibas de vida libre, hifas, levaduras y cultivo negativos.

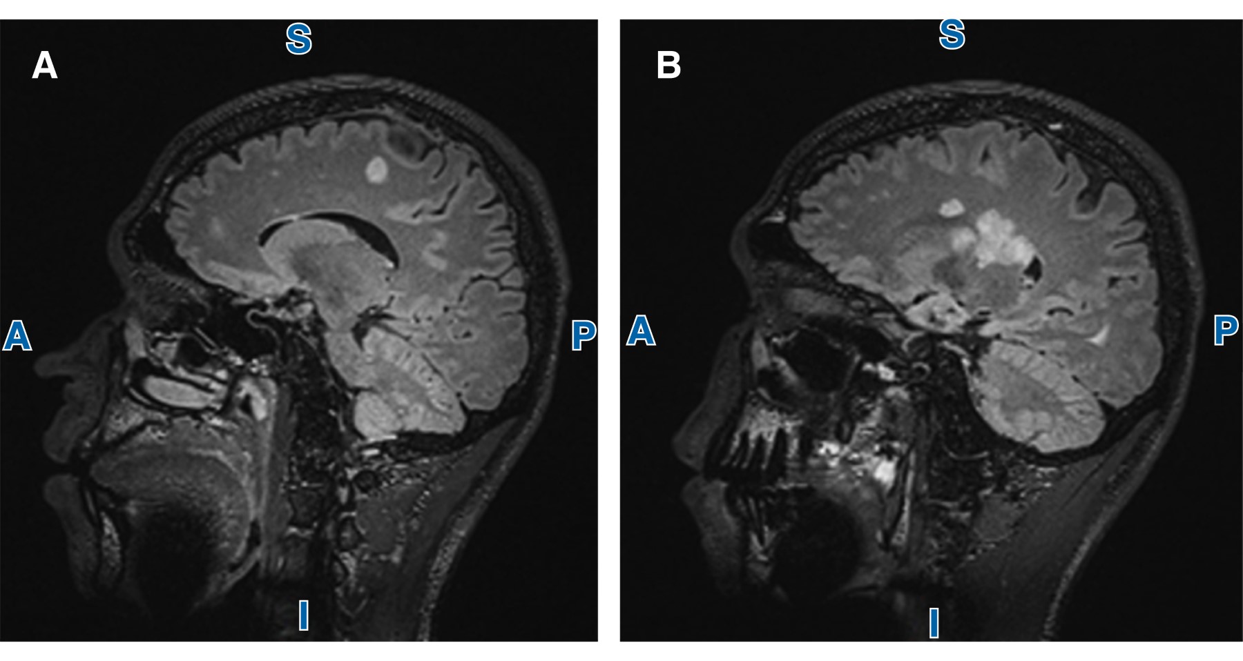
La imagen de resonancia magnética (IRM) cerebral mostró lesiones hiperintensas en T2 en la sustancia blanca, de localización supratentoriales e infratentoriales de predominio en región periventricular, centros semiovales, occipital izquierdo y en cápsula interna izquierda con reforzamiento anular al medio de contraste (Figura 1).

Inició tratamiento con metilprednisolona (1 g/día) por cinco días sin mejoría, empeorando la cefalea y la dismetría iniciales, además de disartria, ansiedad, episodios de agitación psicomotriz, desviación de la mirada a la derecha e incremento de la debilidad en extremidades izquierdas 1/5. Se realizó plasmaféresis mostrando mejoría de la fuerza de MPI a 3/5; sin embargo, al cuarto día de tratamiento presentó de nuevo debilidad a 1/5 de MPI. Al término de la plasmaféresis, el paciente presentó estupor, arreflexia de miembros pélvicos y respuesta plantar extensora bilateral. Ante el empeoramiento clínico se aplicó inmunoglobulina G (0.4 mg/kg/día) por cinco días sin mejoría clínica.

A las tres semanas del inicio de los síntomas se realizó una segunda IRM que mostró progresión de la actividad inflamatoria de forma severa, con presencia de lesiones intraaxiales ovoideas y confluentes supratentoriales e infratentoriales en cuerpo calloso a nivel de la corona radiada, en sustancia blanca periventricular a nivel frontotemporal, subcortical temporoparietal y occipital y oliva bulbar derecha, además de lesiones intramedulares (Figura 2).

Al persistir los síntomas y observarse nuevas lesiones se aplicó ciclofosfamida (1,000 mg/m2) provocando neutropenia severa (leucocitos de 0.30 × 103/μL, neutrófilos 0.17 × 103/μL, linfocitos 0.5 × 103/μL y monocitos × 103/μL) requiriendo factor estimulante de granulocitos con adecuada recuperación granulocítica. El 2 de febrero presentó síndrome de dificultad respiratoria requiriendo manejo avanzado de la vía aérea y permaneció intubado por 19 días. Se realizó traqueostomía temprana, presentando neumonía asociada a la ventilación, con aislamiento de Pseudomonas aeruginosa multirresistente y desarrollo de úlceras por decúbito. Al retiro de la sedación y aporte de oxígeno por mascarilla traqueal tuvo apertura ocular espontánea, obedecía órdenes simples y cuadriparesia. Se realizaron pruebas de deglución objetivándose broncoaspiración, por lo que se colocó sonda de gastrostomía el 29 de marzo e inició programa de rehabilitación física.

En su IRM cerebral de control el 30 de marzo se observó disminución de las lesiones y menor reforzamiento de las lesiones que previamente presentaban una alta captación de contraste (Figura 3).

Después de 91 días de estancia intrahospitalaria, el 8 de marzo fue egresado alerta, emitiendo monosílabos, comprendiendo órdenes sencillas, aunque persistía la cuadriparesia. Actualmente el paciente continúa en programa de rehabilitación física sin mostrar empeoramiento neurológico ni recaídas.



DISCUSIóN

La EMDA ha sido un término genérico utilizado para definir eventos desmielinizantes inflamatorios agudos no infecciosos del SNC y hasta la actualidad permanece como un diagnóstico de exclusión.2 No se han podido definir signos ni síntomas patognomónicos ni específicos de la enfermedad ni se dispone de pruebas paraclínicas para diagnosticarla de forma exacta.

El diagnóstico diferencial más importante es con esclerosis múltiple (EM), que fue descartado por las características imagenológicas, ya que habitualmente en la EM típica no hay lesiones difusas bilaterales, no hay afección cortical ni de la sustancia gris profunda. En la EM las lesiones periventriculares son menos frecuentes, tienen formas ovoides y presencia de hoyos negros en secuencia T1. Otras características que distinguen a la EMDA de EM son la presencia de lesiones hipointensas y la ausencia de dos o más lesiones periventriculares. En la EMDA puede haber lesiones extensas a nivel medular y existe reforzamiento en la mayoría de las lesiones, lo que denota una edad similar entre la lesiones.1 Existen otras etiologías diferenciales como meningoencefalitis viral bacteriana o parasitaria, encefalopatía asociada a VIH, neurosarcoidosis, enfermedad de Behçet, síndrome antifosfolípido, vasculitis primaria, vasculitis secundaria a enfermedades autoinmunes reumáticas incluyendo lupus eritematoso sistémico, neoplasia o metástasis malignas a SNC, encefalopatía mitocondrial y adrenoleucodistrofia.10 En este caso realizamos diversos exámenes de laboratorio para los diagnósticos diferenciales con resultados negativos.

A pesar de que la incidencia de EMDA asociada a vacunación es baja, en ausencia de otros factores de riesgo detectados en nuestro paciente, consideramos que el diagnóstico fue compatible con EMDA, además de cumplir los criterios diagnósticos establecidos por la International Pediatric Multiple Sclerosis Study Group (IPMSSG) en 2013 como primer evento polifocal del SNC con causa aparente de tipo inflamatorio, encefalopatía no explicada por fiebre, enfermedad sistémica o síntomas postictales, anormalidades en la IRM cerebral consistentes en desmielinización durante la fase aguda (tres meses) y no evidencia de nuevos datos clínicos o en IRM en los tres primeros meses después del inicio de síntomas.1

La asociación entre EMDA y la inmunización con un vector de adenovirus no replicativo como es la vacuna ChAdOx1-S tiene sentido al considerar que dentro de los conceptos patogénicos se explica el mimetismo molecular. Se considera que, debido a cierta homología de secuencia de aminoácidos parciales o estructurales, los epítopos antigénicos se comparten entre un patógeno inoculado o una vacuna y una proteína del SNC huésped. Una vez inoculado, se activan las células T que activan de forma cruzada las células B específicas del antígeno, las cuales son capaces de ingresar al SNC y encontrar la proteína de mielina homóloga, provocando así una reacción inmunitaria inflamatoria contra el supuesto antígeno extraño, lo que genera una respuesta autoinmunitaria perjudicial.10

El uso de altas dosis de metilprednisolona IV seguido de una reducción gradual de prednisolona oral por tres a seis semanas es el régimen aceptado como la primera línea de tratamiento; al observar en nuestro paciente mayor deterioro neurológico se optó por el uso de plasmaféresis con recuperación parcial y después inmunoglobulina IV considerada como tratamiento de segunda línea.2 Se describen otras terapias alternativas en caso de refractariedad como el uso de mitoxantrona o ciclofosfamida,10 terapias que fueron consideradas en nuestro paciente al observar progresión de la enfermedad. La depresión medular por efecto adverso del uso de alquilantes fue un posible factor en el desarrollo de infecciones, además de la estancia intrahospitalaria prolongada. La cuadriparesia se explicó por la miopatía y neuropatía que desarrolla el enfermo en estado crítico; sin embargo, gracias al manejo multidisciplinario de neurología, neumología, cirugía plástica, reumatología, hematología, terapia intensiva y rehabilitación, el paciente logró mantenerse con vida y está en recuperación.



CONCLUSIONES

La encefalomielitis diseminada aguda es una enfermedad desmielinizante inflamatoria que puede formar parte del espectro clínico de patologías que están asociadas a los anticuerpos antiglucoproteína de la mielina de los oligodendrocitos (anti-MOG); también se asocia a infecciones bacterianas y virales previas así como a vacunas, las cuales pueden provocar un mimetismo molecular que desencadena una reacción inmunitaria inflamatoria perjudicial. Hasta el momento no se han descrito factores que podrían influir en la agresividad de la enfermedad, ni cuáles pudiesen ser los relacionados con la vacuna que condicionen el grado de lesión.

En el contexto actual de la pandemia por COVID-19 nos enfrentamos a un caso clínico de un hombre joven que desarrolló una forma grave y refractaria a los tratamientos de primera y segunda línea, sin ningún factor de riesgo identificable excepto la aplicación de la vacuna ChAdOx1-S, siendo así una complicación neurológica demostrada de la misma. Afortunadamente, durante nuestra revisión han sido pocos los casos documentados con buena respuesta a la primera línea de tratamiento y pronóstico favorable, por lo que el riesgo de sufrir este efecto adverso es bajo y no contraindica la vacunación.


REFERENCIAS (EN ESTE ARTÍCULO)

  1. Krupp LB, Tardieu M, Amato MP, Banwell B, Chitnis T, Dale RC et al. International Pediatric Multiple Sclerosis Study Group criteria for pediatric multiple sclerosis and immune-mediated central nervous system demyelinating disorders: revisions to the 2007 definitions. Mult Scler. 2013; 19 (10): 1261-1267.

  2. Pohl D, Alper G, Van Haren K, Kornberg AJ, Lucchinetti CF, Tenembaum S et al. Acute disseminated encephalomyelitis: Updates on an inflammatory CNS syndrome. Neurology. 2016; 87 (9 Suppl 2): S38-S45.

  3. Huynh W, Cordato DJ, Kehdi E, Masters LT, Dedousis C. Post-vaccination encephalomyelitis: literature review and illustrative case. J Clin Neurosci 2008; 15 (12): 1315-1322.

  4. Ismail II, Salama S. A systematic review of cases of CNS demyelination following COVID-19 vaccination. J Neuroimmunol. 2022; 362: 577765.

  5. Al-Quliti K, Qureshi A, Quadri M, Abdulhameed B, Alanazi A, Alhujeily R. Acute demyelinating encephalomyelitis post-COVID-19 vaccination: a case report and literature review. Diseases. 2022; 10 (1): 13.

  6. Rinaldi V, Bellucci G, Romano A, Bozzao A, Salvetti M. ADEM after ChAdOx1 nCoV-19 vaccine: a case report. Mult Scler. 2022; 28 (7): 1151-1154.

  7. Li X, Raventós B, Roel E, Pistillo A, Martinez-Hernandez E, Delmestri A et al. Association between covid-19 vaccination, SARS-CoV-2 infection, and risk of immune mediated neurological events: population based cohort and self-controlled case series analysis. BMJ. 2022; 376: e068373.

  8. Permezel F, Borojevic B, Lau S, de Boer HH. Acute disseminated encephalomyelitis (ADEM) following recent Oxford/AstraZeneca COVID-19 vaccination. Forensic Sci Med Pathol. 2022; 18 (1): 74-79.

  9. Mathieu E, Ritchie H, Rodés-Guirao L, Appel C, Giattino C, Hasell J et al. Coronavirus pandemic (COVID-19). Published online at OurWorldInData.org. 2020. Retrieved from: https://ourworldindata.org/coronavirus

  10. Menge T, Kieseier BC, Nessler S, Hemmer B, Hartung HP, Stüve O. Acute disseminated encephalomyelitis: an acute hit against the brain. Curr Opin Neurol. 2007; 20 (3): 247-254.



AFILIACIONES

1 Servicio de Medicina Interna. Hospital General "B" ISSSTE Tampico. Universidad Autónoma de Tamaulipas. México.

2 Centro Médico Nacional 20 de Noviembre. Universidad Nacional Autónoma de México. México.

3 Servicio de Neurología de Adultos.

4 Servicio de Radiología e Imagen. Departamento de Resonancia Magnética.



CORRESPONDENCIA

Dra. Lilia Núñez Orozco. E-mail: lilianuor@yahoo.com




Recibido: 25/10/2022. Aceptado: 03/02/2023.



Figura 1
Figura 2
Figura 3
Tabla 1
Tabla 2

2020     |     www.medigraphic.com

Mi perfil

C?MO CITAR (Vancouver)

Rev Neurol Neurocir Psiquiat. 2023;51

ARTíCULOS SIMILARES

CARGANDO ...