medigraphic.com
ENGLISH

Revista ADM Órgano Oficial de la Asociación Dental Mexicana

ISSN 0001-0944 (Impreso)
Órgano Oficial de la Asociación Dental Mexicana
  • Mostrar índice
  • Números disponibles
  • Información
    • Información general        
    • Directorio
  • Publicar
    • Instrucciones para autores        
    • Envío de artículos
  • medigraphic.com
    • Inicio
    • Índice de revistas            
    • Registro / Acceso
  • Mi perfil

2024, Número 2

<< Anterior Siguiente >>

Rev ADM 2024; 81 (2)


Empiema por Trichomona hominis.

González Lozano, Ingrid Ailyn1,2; Lozano Sabido, Ernesto Alejandro1,3; Reynoso Arellano, José Alejandro1,2; Núñez Vázquez, Edgar Jesús1,4
Texto completo Cómo citar este artículo 10.35366/115440

DOI

DOI: 10.35366/115440
URL: https://dx.doi.org/10.35366/115440
Artículos similares

Idioma: Español
Referencias bibliográficas: 10
Paginas: 114-116
Archivo PDF: 190.56 Kb.


PALABRAS CLAVE

empiema, Trichomona hominis, metronidazol.

RESUMEN

El empiema pleural es una de las complicaciones de las infecciones del tracto respiratorio inferior y se caracteriza por la presencia de pus en la toracocentesis. Raramente Trichomonas hominis está asociada al empiema como agente causal. En este artículo presentamos el caso de una mujer de 39 años que desarrolló un empiema causado por T. hominis, además de una revisión de la literatura disponible de esta rara infección. Hasta donde sabemos, este es el primer caso de empiema pleural causado por Trichomona hominis reportado en México.



INTRODUCCIóN

El empiema se define como una colección de pus en la cavidad pleural que generalmente se asocia con neumonía, pero también puede desarrollarse después de una cirugía o un traumatismo torácico; un pequeño número no está relacionado con neumonía o intervención previa, esto se conoce como empiema primario. Los agentes causales más comunes son los Streptococcus, Staphylococcus aureus y Pseudomonas.1 Sin embargo, en personas predispuestas, el empiema puede ser el resultado de microorganismos distintos de las bacterias. Aquí presentamos un caso de empiema causado por Trichomonas hominis.



CASO CLíNICO

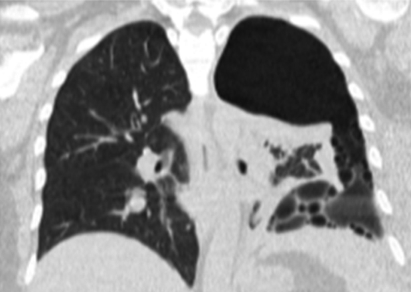
Paciente femenina de 39 años, con antecedentes de obesidad grado 3 e hipoacusia neurosensorial. Su cuadro clínico inició con odinofagia, tos con expectoración verdosa fétida en accesos, disneizante, emetizante, escalofríos, dolor en hemitórax izquierdo y leucocitosis de 34 mil a expensas de neutrófilos; la radiografía de tórax y tomografía evidenciaron un derrame pleural que comprometía todo el hemitórax izquierdo, por lo que se realizó toracocentesis donde se observó empiema por Trichomonas hominis (Figura 1), se colocó tubo endopleural y se obtuvo un total de 5,800 mL de material purulento. Se inició tratamiento antimicrobiano con metronidazol. Posterior al drenaje de líquido purulento, en tomografía de control se evidenció presencia de pulmón atrapado, loculación persistente y falta de resolución posterior a cinco días de tratamiento. Razón por la que fue enviada a cirugía de tórax.

Nuestra paciente fue tratada con metronidazol 500 mg vía intravenosa cada ocho horas, ceftriaxona 2 g vía intravenosa cada 24 horas, colocación de sonda endopleural y, por último, cirugía de tórax debido a la presencia de pulmón atrapado (Figura 2). Se realizó decorticación de lóbulo superior y adherenciólisis de lóbulo inferior en su cara anterolateral y posteroinferior. El único factor de riesgo encontrado fue la presencia de obesidad, se descartó infección por virus de la inmunodeficiencia humana (VIH) o algún estado de inmunocompromiso. La duración de la terapia antibiótica fue de tres semanas; la paciente fue dada de alta en buenas condiciones generales.



COMENTARIOS

La tricomona es un protozoo flagelado que se encuentra como agente comensal en las personas. Hay tres diferentes especies que pueden parasitar a los humanos:

  • 1. T. vaginalis que se encuentra en el tracto genitourinario: reportada en casos de recién nacidos con neumonía neonatal, y en pacientes con prácticas sexuales orogenitales.2,3
  • 2. T. hominis, encontrada principalmente en el intestino grueso, por el consumo de comida o líquidos contaminados. En casos muy raros, se ha observado la diseminación intratorácica; este escenario ha sido observado en los casos con fístula enteropleural, absceso subfrénico, y postgastrectomía.4
  • 3. T. tenax es encontrada en la cavidad oral en pacientes con poca higiene.4 Éste es el agente etiológico más común de entre las especies de trichomonas que pueden causar una infección pleuropulmonar; P. hominis y T. vaginalis son causas mucho más raras.

La mayoría de los casos de tricomoniasis pulmonar se han notificado en pacientes con enfermedad pulmonar o con diversos grados de inmunosupresión.3-6 Todos los casos detectados han sido tratados con metronidazol y se ha observado mejoría clínica, aunque no la resolución completa, ya que la mayoría de ellos terminaron en decorticación pleural, como nuestra paciente, e incluso en el fallecimiento.7

El descubrimiento de estos organismos en el tracto respiratorio inferior tiene una ocurrencia rara; hasta donde sabemos, este es el primer caso reportado en México. ¿Cómo es que T. hominis logra tener acceso al pulmón?, aún se desconoce. Nosotros consideramos que nuestra paciente fue infectada con T. hominis por contaminación oral-fecal con posterior microaspiración, aunque no descartamos un proceso de translocación bacteriana del intestino al pulmón, debido al aumento de la presión intraabdominal condicionada por la obesidad. Nos parece importante considerar estos agentes poco comunes en pacientes que tienen algún grado de inmunosupresión, pobre higiene oral, u obesidad, ya que la presencia de una pobre respuesta al tratamiento, aunada a un sistema inmune alterado y/o estado proinflamatorio, puede concluir en un escenario fatal.

En resumen, éste parece ser uno de los raros casos en que las tricomonas causan afección pulmonar en un paciente no inmunocomprometido y sin riesgo de aspiración. Si bien la fisiopatología de cómo es que este agente causal logró ocasionar una enfermedad pulmonar aún no está bien claro; nos parece importante su identificación para: 1) descartar presencia de inmunocompromiso en caso de no contar con el antecedente, 2) promover la higiene y la salud sexual, además de 3) evitar escenarios fatales por falta de tratamiento ante la poca sospecha de esta etiología.

Si bien aún no está establecido el tratamiento que debe ser administrado ante la presencia de un empiema por tricomonas, con base en la revisión literaria, consideramos que la administración de metronidazol es un tratamiento que puede ser indicado, ya que ha mostrado brindar mejoría clínica.8-10


REFERENCIAS (EN ESTE ARTÍCULO)

  1. Garvia V, Paul M. Empyema. StatPearls Publishing; 2022.

  2. Ramírez M A, Palma M A, Aviles C E, Villarroel M L. Empiema pleural causado por tricomonas: caso clínico. Rev Chil Cir. 2010; 62 (3): 276-278. Disponible en: http://dx.doi.org/10.4067/s0718-40262010000300013

  3. Radosavljevic-Asic G, Jovanovic D, Radovanovic D, Tucakovic M. Trichomonas in pleural effusion. Eur Respir J. 1994; 7 (10): 1906-1908. Available in: http://dx.doi.org/10.1183/09031936.94.07101906

  4. Hersh SM. Pulmonary trichomoniasis and Trichomonas tenax. J Med Microbiol. 1985; 20 (1): 1-10. Available in: http://dx.doi.org/10.1099/00222615-20-1-1

  5. Leterrier M, Morio F, Renard BT, Poirier A-S, Miegeville M, Chambreuil G. Trichomonads in pleural effusion: case report, literature review and utility of PCR for species identification. New Microbiol. 2012; 35 (1): 83-87.

  6. Jongwutiwes S, Silachamroon U, Putaporntip C. Pentatrichomonas hominis in empyema thoracis. Trans R Soc Trop Med Hyg. 2000; 94 (2): 185-186. Available in: http://dx.doi.org/10.1016/s0035-9203(00)90270-0

  7. García ER, Carrasco I, Andrade-Alegre R, de Sandoya TB. Trichomonas en un empiema pleural [Trichomonas in pleural empyema]. Rev Med Panama. 1997; 22 (1): 16-19.

  8. Stratakis DF, Lang SM, Eichenlaub S, Loscher T, Stein R, Huber RM. Pulmonale trichomoniasis: diagnose durch erregernachweis in der bronchoalveolaren lavage. Pneumologie. 1999; 53 (12): 617-619. Available in: http://dx.doi.org/10.1055/s-1999-9051

  9. Lewis KL, Doherty DE, Ribes J, Seabolt JP, Bensadoun ES. Empyema caused by trichomonas. Chest. 2003; 123 (1): 291-292. Available in: http://dx.doi.org/10.1378/chest.123.1.291

  10. Abdo SM, Ghallab MMI, Elhawary NM, Elhadad H. Pentatrichomonas hominis and other intestinal parasites in school-aged children: coproscopic survey. J Parasit Dis. 2022; 46 (3): 896-900. doi: 10.1007/s12639-022-01506-1.



AFILIACIONES

1 Instituto Mexicano del Seguro Social.

2 Residente de Medicina Interna.

3 Médico adscrito de Medicina Interna.

4 Residente de Cirugía General.



Conflicto de intereses: los autores declaran no tener ningún conflicto de intereses.

Aspectos éticos: para llevar a cabo los procedimientos diagnósticos y terapéuticos además de la toma de fotografías pertenecientes al caso clínico se solicitó la autorización de consentimiento informado por parte de la paciente.

Financiamiento: los autores declaran no tener ningún financiamiento en particular.



CORRESPONDENCIA

Ingrid Ailyn González Lozano. E-mail: ingrid.glezel@gmail.com




Recibido: 23 de marzo de 2023. Aceptado: 14 de marzo de 2024.

Figura 1
Figura 2

2020     |     www.medigraphic.com

Mi perfil

C?MO CITAR (Vancouver)

Rev ADM. 2024;81

ARTíCULOS SIMILARES

CARGANDO ...