medigraphic.com
ENGLISH

Revista Latinoamericana de Infectología Pediátrica

ISSN 2683-1678 (Impreso)
Órgano Oficial de la Sociedad
Latinoamericana de lnfectología Pediátrica.
Órgano de la Asociación Mexicana de
Infectología Pediátrica, A.C.
Órgano difusor de la Sociedad Española
de lnfectología
  • Mostrar índice
  • Números disponibles
  • Información
    • Información general        
    • Directorio
  • Publicar
    • Instrucciones para autores        
  • medigraphic.com
    • Inicio
    • Índice de revistas            
    • Registro / Acceso
  • Mi perfil

2024, Número 1

<< Anterior

Rev Latin Infect Pediatr 2024; 37 (1)


Respuesta al caso clínico: Neumonía en un paciente pediátrico inmunocomprometido1

Texto completo Cómo citar este artículo 10.35366/115487

DOI

DOI: 10.35366/115487
URL: https://dx.doi.org/10.35366/115487

Idioma: Español
Referencias bibliográficas: 15
Paginas: 57-59
Archivo PDF: 215.30 Kb.


PALABRAS CLAVE

Sin palabras Clave



1 Sección a cargo del Doctor Giancarlo Hernán Cristerna Tarrasa. Servicio de Infectología Pediátrica.



RESPUESTAS DEL CASO CLíNICO

Pregunta 1. b

Pregunta 2. d

Pregunta 3. a

Pregunta 4. a



CONTINUACIóN DEL CASO

Posterior a la tomografía axial computarizada, se agrega al manejo trimetoprima/sulfametoxazol a 20 mg/kg/día intravenoso y metilprednisolona 2 mg/kg/día.

A las 48 horas del abordaje, se recibe la carga en reacción en cadena de polimerasa (RT-PCR) de 29,889 copias por mililitro para Pneumocystis jirovecii.

El paciente presentó una evolución clínica satisfactoria, se extuba a los cuatro días, egresó de unidad de terapia intensiva en siete días sin complicaciones.



INTRODUCCIóN

La neumonía por Pneumocystis jirovecii es una infección oportunista que afecta con mayor frecuencia a personas inmunocomprometidas y puede llegar a ser mortal.1,2 Este agente, anteriormente conocido como Pneumocystis carinii, desde su descubrimiento en 1909 por Carlos Chagas y durante muchos años fue considerado un protozoo, hasta que en 1988 se aportó la primera evidencia molecular, la cual demostró que presentaba mayor similitud con la de los hongos que la de los protozoos. Se trata de un hongo atípico, ubicuo, unicelular, capaz de producir enfermedad únicamente en los humanos.1,3 Su transmisión se produce por vía aérea y su capacidad de producir enfermedad dependerá del estado inmune del huésped.4 Durante muchos años fue considerada la enfermedad definitoria del síndrome de inmunodeficiencia adquirida, ya que fue la primera infección oportunista reconocida en estos pacientes.2,3,5 En la actualidad, se ha llegado a reducir su incidencia gracias a la profilaxis y a las terapias antirretrovirales, lo que ha generado un cambio en la epidemiologi?a de esta enfermedad y se ha visto un incremento progresivo de los casos en individuos con inmunosupresiones diferentes al virus de inmunodeficiencia humana, como pacientes con trasplante de órganos sólidos, cáncer, errores innatos de la inmunidad, entre otras.3,6,7 Se ha llegado a documentar una incidencia que oscila entre 22 y 45% en pacientes con leucemia linfoblástica aguda o con linfoma no Hodgkin, 25% en rabdomiosarcoma y 1.3% en otros tumores sólidos.3,8 La tasa de mortalidad de los pacientes infectados por virus de inmunodeficiencia humana oscila entre 0 y 20%, mientras que la de los pacientes sin virus de inmunodeficiencia humana oscila entre 30 y 75%.9



CUADRO CLíNICO

Su presentación clínica es inespecífica e incluye tos seca, disnea inicialmente de grandes esfuerzos, fiebre, hipoxemia, astenia, adinamia y, en casos graves, insuficiencia respiratoria. A diferencia de los pacientes infectados por el virus de inmunodeficiencia humana, en este tipo de pacientes existe una aparición más aguda de los síntomas y una progresión más rápida.10,11

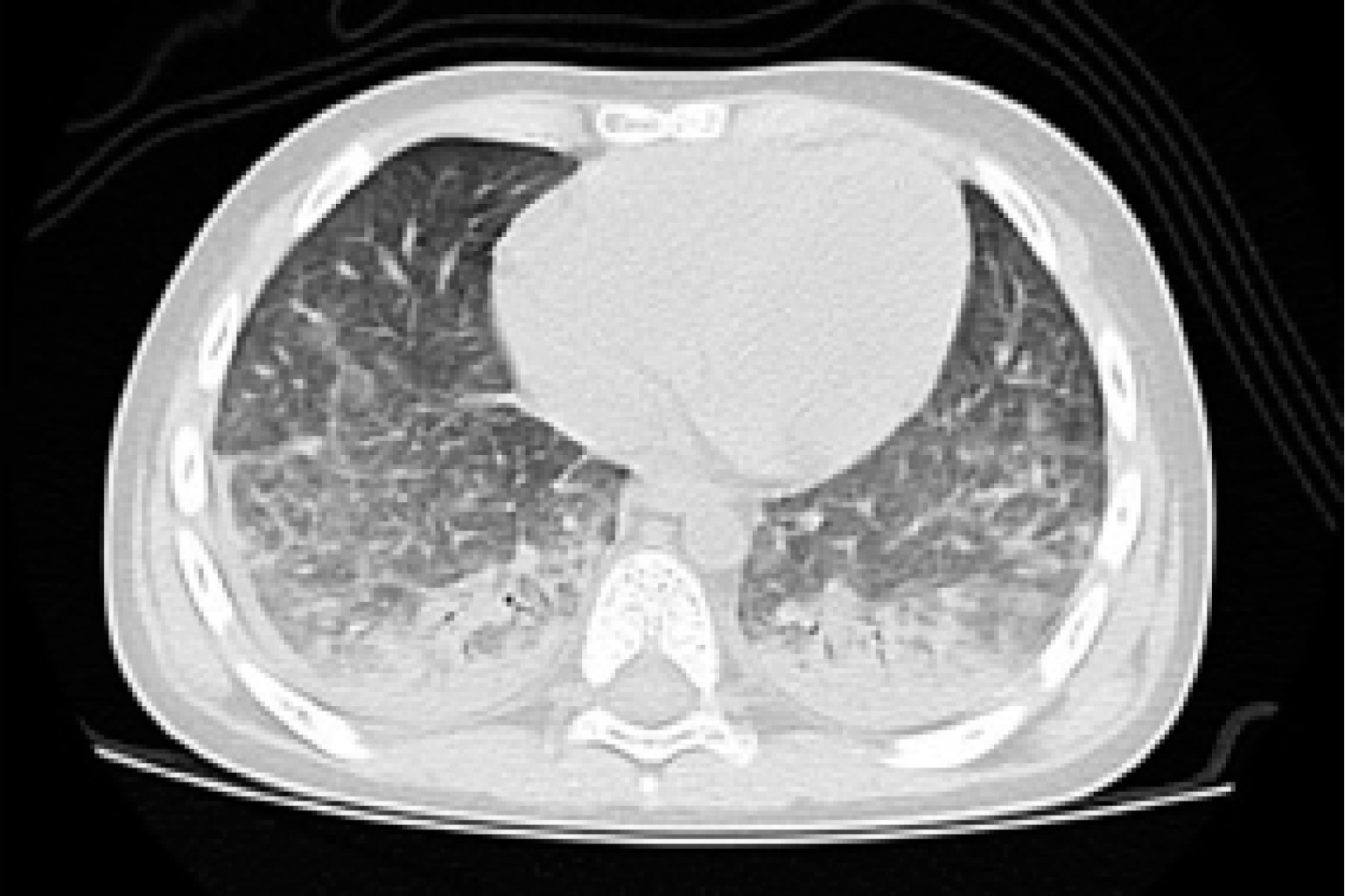
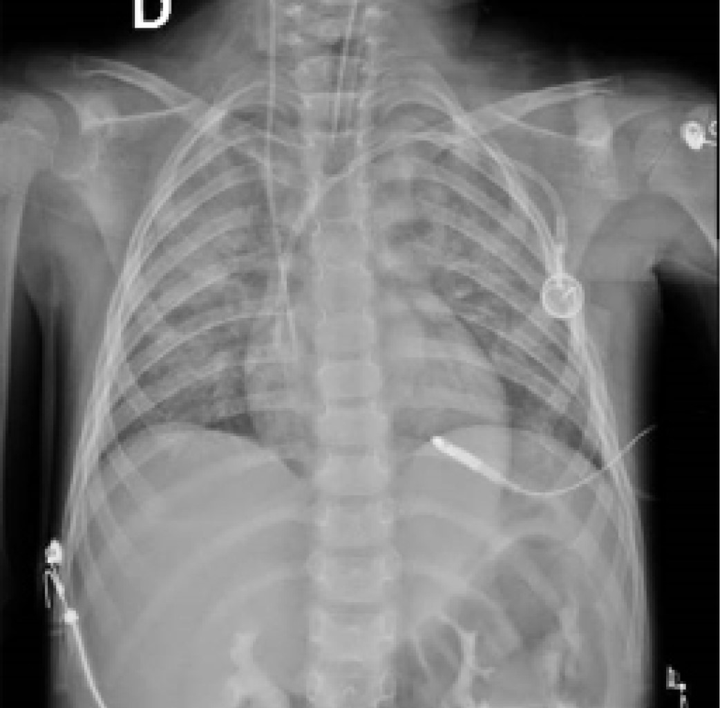
En la radiografía de tórax se muestra un patrón reti?culo-intersticial bilateral difuso, el cual inicia con opacidades centrales, con predominio en lóbulo medio o inferior (Figura 1).2,12-14 La tomografía computarizada de alta resolución es el método de elección radiológico y debe considerarse, incluso si las radiografías de tórax son normales. El hallazgo característico son las opacidades en vidrio despulido bilaterales (Figura 2).2,11,15



DIAGNóSTICO

Ante la ausencia de un sistema de cultivo, el diagnóstico se realiza mediante la visualización microscópica de Pneumocystis jirovecii en muestras respiratorias, obtenidas mediante un lavado broncoalveolar o esputo inducido. Independientemente del tipo de la muestra, se puede hacer mediante diferentes tipos de tinciones especiales como Giemsa, Wright, plata metenamina gomori, azul de Toluidina, inmunofluorescencia directa o métodos moleculares basados en la utilización de la reacción en cadena de la polimerasa.2,3,7,11



TRATAMIENTO

El diagnóstico y tratamiento temprano son cruciales para la supervivencia. El tratamiento de elección desde hace años, por su alta eficacia y disponibilidad en forma oral e intravenosa, sigue siendo trimetoprima/sulfametoxazol 15 a 20 mg/kg/día en conjunto con esteroides intravenosos. La mejoría clínica suele ser evidente después de siete días de tratamiento, si no se produce esta mejoría se debe considerar resistencia a trimetoprima/sulfametoxazol o una segunda infección. En caso de alergia a las sulfas o deterioro clínico se deben utilizar agentes de segunda línea como primaquina con clindamicina, atovacuona o pentamidina.1,10,15



PREVENCIóN

Sin profilaxis, hasta 25% de los pacientes oncológicos que reciben quimioterapia desarrollarán neumonía por P. jirovecii, siendo considerado como el principal factor de riesgo. La profilaxis se realiza con trimetoprima/sulfametoxazol 150 mgm2SC vía oral tres días por semana. Las indicaciones estándar para la profilaxis en pacientes oncológicos son las siguientes: todos los pacientes desde la inducción hasta el final de la quimioterapia de mantenimiento, receptores de células progenitoras hematopoyéticas mientras reciban terapia inmunosupresora, receptores de alemtuzumab, temozolomida, otras terapias blanco y receptores de corticosteroides > 2 mg/kg/día o 16 mg/día de equivalente de prednisona durante más de un mes.3,11,15

Ver caso clínico y preguntas

https://dx.doi.org/10.35366/115484


REFERENCIAS (EN ESTE ARTÍCULO)

  1. Stringer JR, Beard CB, Miller RF, Wakefield AE. A new name (Pneumocystis jiroveci) for Pneumocystis from humans. Emerg Infect Dis. 2002; 8 (9): 891-896. doi: 10.3201/eid0809.020096.

  2. Truong J, Ashurst JV. Pneumocystis jirovecii Pneumonia. In: StatPearls. Treasure Island (FL): StatPearls Publishing; 2024.

  3. Calderón Sandubete E, de Armas Rodríguez Y, Capó de Paz V. Pneumocystis jirovecii: cien años de historia [Pneumocystis jirovecii: one hundred years of history]. Rev Cubana Med Trop. 2011; 63 (2): 97-116.

  4. Gigliotti F, Wright TW. Pneumocystis: where does it live? PLoS Pathog. 2012; 8 (11): e1003025. doi: 10.1371/journal.ppat.1003025.

  5. Martín-Pedraz L, Carazo-Gallego B, Moreno-Pérez D. Clinical-epidemiological characteristics of Pneumocystis jirovecii pneumonia in a tertiary hospital in Spain. An Pediatr (Engl Ed). 2021; 95 (1): 4-10. doi: 10.1016/j.anpede.2020.04.023.

  6. Russian DA, Levine SJ. Pneumocystis carinii pneumonia in patients without HIV infection. Am J Med Sci. 2001; 321 (1): 56-65. doi: 10.1097/00000441-200101000-00009.

  7. Bateman M, Oladele R, Kolls JK. Diagnosing Pneumocystis jirovecii pneumonia: A review of current methods and novel approaches. Med Mycol. 2020; 58 (8): 1015-1028. doi: 10.1093/mmy/myaa024.

  8. de Armas-Rodríguez Y, Wissmann G, Müller AL, Pederiva MA, Brum MC, Brackmann RL et al. Pneumocystis jirovecii pneumonia in developing countries. Parasite. 2011; 18 (3): 219-228. doi: 10.1051/parasite/2011183219.

  9. Asai N, Motojima S, Ohkuni Y, Matsunuma R, Nakashita T, Kaneko N et al. Pathophysiological mechanism of non-HIV Pneumocystis jirovecii pneumonia. Respir Investig. 2022; 60 (4): 522-530. doi: 10.1016/j.resinv.2022.04.002.

  10. Lagrou K, Chen S, Masur H, Viscoli C, Decker CF, Pagano L et al. Pneumocystis jirovecii disease: basis for the revised EORTC/MSGERC invasive fungal disease definitions in individuals without Human Immunodeficiency Virus. Clin Infect Dis. 2021; 72 (Suppl 2): S114-S120. doi: 10.1093/cid/ciaa1805.

  11. Salzer HJF, Schäfer G, Hoenigl M, Günther G, Hoffmann C, Kalsdorf B et al. Clinical, diagnostic, and treatment disparities between HIV-infected and non-HIV-infected immunocompromised patients with Pneumocystis jirovecii pneumonia. Respiration. 2018; 96 (1): 52-65. doi: 10.1159/000487713.

  12. Gronseth S, Rogne T, Hannula R, Asvold BO, Afset JE, Damas JK. Epidemiological and clinical characteristics of immunocompromised patients infected with Pneumocystis jirovecii in a twelve-year retrospective study from Norway. BMC Infect Dis. 2021; 21 (1): 659. doi: 10.1186/s12879-021-06144-1.

  13. Sokulska M, Kicia M, Weso?owska M, Hendrich AB. Pneumocystis jirovecii--from a commensal to pathogen: clinical and diagnostic review. Parasitol Res. 2015; 114 (10): 3577-3585. doi: 10.1007/s00436-015-4678-6.

  14. Avino LJ, Naylor SM, Roecker AM. Pneumocystis jirovecii pneumonia in the non-HIV-infected population. Ann Pharmacother. 2016; 50 (8): 673-679. doi: 10.1177/1060028016650107.

  15. Mantadakis E. Pneumocystis jirovecii pneumonia in children with hematological malignancies: diagnosis and approaches to management. J Fungi (Basel). 2020; 6 (4): 331. doi: 10.3390/jof6040331.



Financiamiento: declaramos no tener ningún tipo de financiamiento al realizar esta publicación.

Conflicto de intereses: declaramos no tener ningún conflicto de intereses.



CORRESPONDENCIA

Astrid Anaid Hernández Soto. E-mail: astrid.hernandez@hospitalteleton.org.mx




Recibido: 30-01-2024. Aceptado: 15-02-2024.

Figura 1
Figura 2

2020     |     www.medigraphic.com

Mi perfil

C?MO CITAR (Vancouver)

Rev Latin Infect Pediatr. 2024;37

ARTíCULOS SIMILARES

CARGANDO ...