medigraphic.com
ENGLISH

Medicina Crítica

  • Mostrar índice
  • Números disponibles
  • Información
    • Información general        
    • Directorio
  • Publicar
    • Instrucciones para autores        
  • Políticas
  • Lineamientos
  • medigraphic.com
    • Inicio
    • Índice de revistas            
    • Registro / Acceso
  • Mi perfil

2024, Número 1

<< Anterior Siguiente >>

Med Crit 2024; 38 (1)


Infarto de miocardio con elevación del segmento ST en un paciente con enfermedad por SARS-CoV-2 (COVID-19)

Ortiz Nonigo, Brenda1; Romero Limón, Amalia1; Pérez Sandoval, Alfredo Hipólito1; Reyes Jiménez, Abraham Emilio1; Rico Alayola, Claudia Verónica1
Texto completo Cómo citar este artículo 10.35366/115683

DOI

DOI: 10.35366/115683
URL: https://dx.doi.org/10.35366/115683
Artículos similares

Idioma: Español
Referencias bibliográficas: 9
Paginas: 61-65
Archivo PDF: 239.61 Kb.


PALABRAS CLAVE

infarto agudo al miocardio, intervención coronaria percutánea primaria, SARS-CoV-2, COVID-19.

RESUMEN

Objetivo: describir la presencia de infarto de miocardio en un paciente con enfermedad por SARS-CoV-2. Presentación del caso: masculino de 72 años con enfermedad por COVID-19, quien fue ingresado en la unidad de cuidados intensivos en abril de 2020, se le realizó terapia de fibrinólisis con tenecteplasa, complicándose con agudización de su enfermedad renal crónica que ameritó terapia de soporte renal con diálisis peritoneal. Tuvo mejoría clínica de la función cardiaca, de la función renal y respiratoria, se egresó a la consulta externa. Conclusiones: el presente caso ilustra claramente el modo en el que la pandemia de COVID-19 puede influir en la asistencia de un IAMCEST y sus resultados. Afortunadamente, a pesar de que sólo se ofreció fibrinólisis, el paciente tuvo evolución satisfactoria. No obstante, se deben establecer protocolos para manejo de pacientes con IAMCEST positivos a COVID-19 en busca de disminuir los tiempos para inicio del tratamiento.



INTRODUCCIóN

A principios de diciembre de 2019, los primeros casos de enfermedad por coronavirus 2019 (COVID-19), originarios de Wuhan, China, capital de la provincia de Hubei, provocó una rápida propagación en todo el mundo, donde la Organización Mundial de la Salud (OMS) la declaró como una enfermedad de emergencia de salud pública y preocupación internacional.1-3 El patógeno se identificó como un nuevo beta-coronavirus de ARN envuelto y se denominó síndrome respiratorio agudo severo coronavirus de tipo 2 (SARS-CoV-2). El curso clínico de la infección por SARS-CoV-2 se caracteriza principalmente por síntomas del tracto respiratorio como fiebre, tos, faringodinia, fatiga y complicaciones relacionadas con la neumonía y el síndrome de dificultad respiratoria aguda,2 además existe una variedad de posibles manifestaciones cardiovasculares graves, particularmente en pacientes con condiciones preexistentes. De hecho, los sujetos con enfermedades cardiovasculares sufren peores resultados y un mayor riesgo de mortalidad. Además, podría tener un impacto indirecto en la prestación de atención cardiovascular (tanto en pacientes con y sin COVID-19) reduciendo la eficiencia de las vías existentes (por ejemplo, intervención coronaria percutánea primaria [PCI]).4

Para los pacientes con enfermedad cardiovascular, hipertensión arterial, enfermedad coronaria y la miocardiopatía junto con la enfermedad viral puede dañar aún más las células del miocardio a través de varios mecanismos que incluyen daño directo por el virus, respuesta inflamatoria sistémica, placa coronaria desestabilizada e hipoxia agravada; asimismo, tienen más probabilidad de sufrir una lesión miocárdica después de la infección por COVID-19, así como un mayor riesgo de muerte.5

El presente informe describe un caso de afectación cardiaca en un paciente afectado por COVID-19.



PRESENTACIóN DEL CASO

Masculino de 72 años de edad con factores de riesgo cardiovascular: tabaquismo, hipertensión arterial sistémica y enfermedad renal crónica sin tratamiento sustitutivo de la función renal. Se presenta en el servicio de urgencias con presencia de dolor torácico de cuatro horas de evolución, de tipo punzante, de intensidad 8/10 en la escala análoga del dolor, sin irradiaciones, sin exacerbaciones, después de una hora el acmé de dolor incrementa de intensidad, con irradiación hacia brazo derecho, además de disnea y diaforesis.

Al ingreso al departamento de urgencias, el examen físico reveló presión arterial de 170/120 mmHg, frecuencia cardiaca de 94 latidos por minuto, frecuencia respiratoria de 22 respiraciones por minuto, saturación de oxígeno del 88% a aire ambiente y temperatura corporal de 36.6 °C, consciente, orientado, con adecuada coloración e hidratación de mucosas y tegumentos, tórax con ruidos cardiacos rítmicos, S4 constante, sin soplos, murmullo vesicular disminuido en ambos hemitórax, con estertores crepitantes bilaterales en bases de predominio derecho, abdomen sin datos de abdomen agudo. Se realiza fibrinólisis con tenecteplasa posterior al control de crisis hipertensiva.

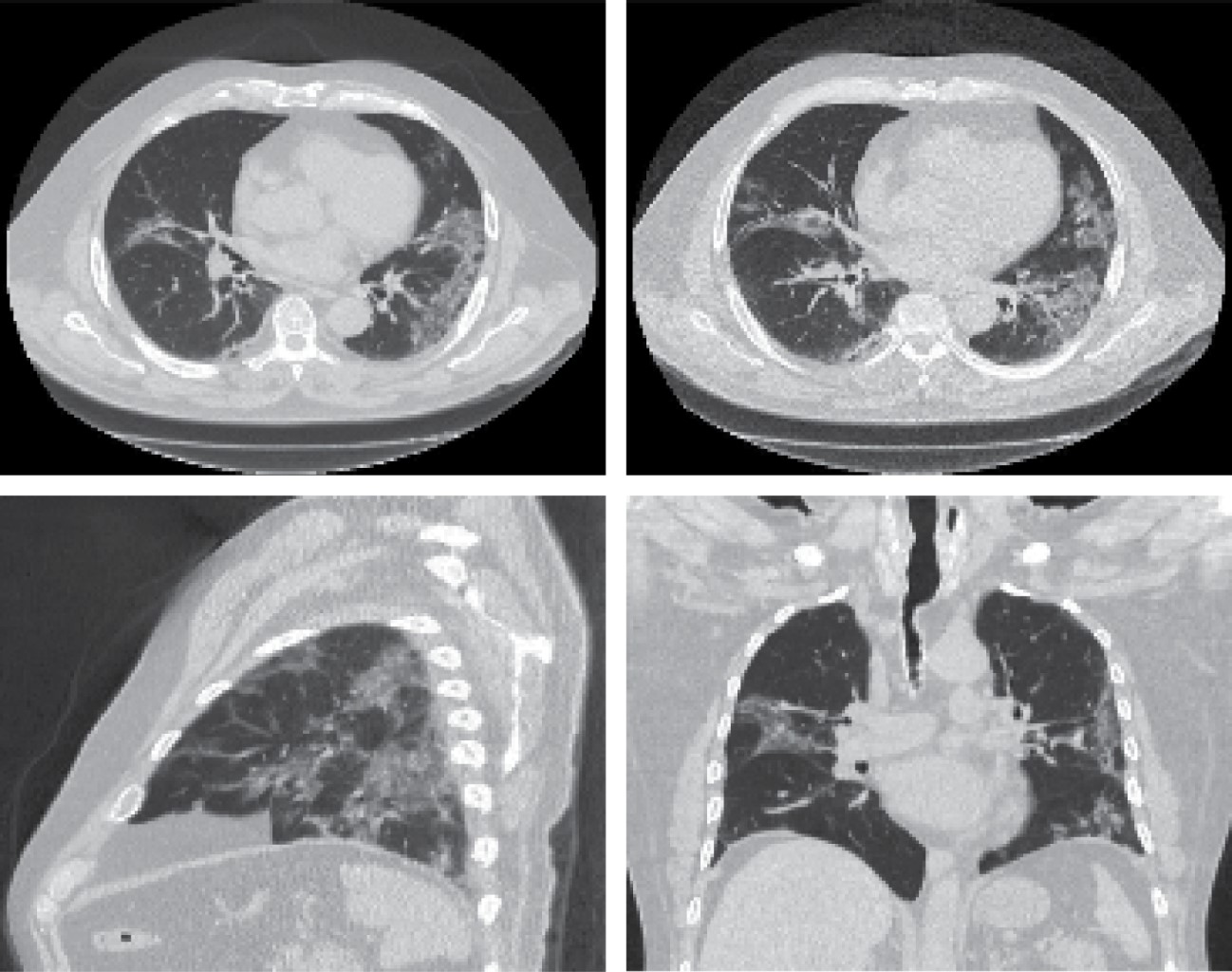
Los análisis de sangre revelaron: leucocitos 6.61 × 103, neutrófilos 5.05 × 103 (76.30%), linfocitos 0.92 × 103 (13.90%), hemoglobina 13.70 g/dL, hematocrito 39%, plaquetas 521 × 103, glucosa 105 mg/dL, BUN 43.6 mg/dL, urea 93.3 mg/dL, creatinina 4.74 mg/dL, TGP 52 UI/L, TGO 89 UI/L, DHL 784 UI/L, CK-MB ≥ 80.00 ng/mL, MYO ≥ 500 ng/mL, TNI 20.8 ng/mL, dímero D 4.09 μg/mL, ferretina 1,817.10 ng/mL, procalcitonina 0.48 (Tabla 1). Un electrocardiograma de 12 derivaciones mostró elevación del segmento ST en DII, DIII, aVF de 1.5 mm (Figura 1A). Los hallazgos en la radiografía de tórax se encontraron con múltiples infiltrados bilaterales diseminados (Figura 1B). Tomografía simple de tórax mostró parénquima pulmonar con patrón dominante en vidrio despulido de distribución periférica bilateral con predominio en hemitórax izquierdo, asociado a engrosamiento septal inter e intralobulillar conformando un "patrón en empedrado", dilatación vascular y bronquiectasias por tracción (Figura 2). Se realizó PCR para SARS-CoV-2 por los hallazgos radiológicos y tomográficos.

El paciente ingresó a unidad de cuidados intensivos con diagnóstico de síndrome coronario agudo con elevación del segmento ST inferolateral, en manejo con fibrinólisis con tenecteplasa sin criterios de reperfusión, emergencia hipertensiva en tratamiento y neumonía atípica por COVID-19 (confirmada por PCR para detección de coronavirus). Durante los primero días de su hospitalización en el Servicio de Terapia Intensiva, el paciente se encontró con mejoría de cifras tensionales, por lo que se fue disminuyendo la infusión de nitroprusiato hasta llegar a cifras adecuadas de tensión arterial, sin requerimiento de intubación ni apoyo aminérgico, con biomarcadores de necrosis miocárdica en reducción hacia la normalidad; sin embargo, durante su estancia, se encontró con incremento en azoados y deterioro progresivo de la función renal desde su ingreso, catalogándose como agudización de su enfermedad renal crónica, por lo que se solicitó valoración integral al servicio de nefrología para valoración de terapia sustitutiva de la función renal con diálisis peritoneal, con evolución favorable tanto a nivel pulmonar, cardiológico y renal (con retiro de catéter de diálisis durante su internamiento), egresando al paciente clínicamente estable con mejoría dando seguimiento en la consulta externa de neumología, nefrología y cardiología.



DISCUSIóN

La enfermedad por COVID-19 ha provocado una morbilidad y mortalidad que puede afectar predominantemente al sistema respiratorio, siendo la neumonía y el síndrome de dificultad respiratoria aguda (SDRA) las manifestaciones predominantes y, finalmente, la muerte en muchos pacientes. Sin embargo, informes recientes han destacado la afección en el sistema cardiovascular.6

Esta pandemia podría tener también efectos nocivos colaterales sobre el pronóstico de varias enfermedades, como el ictus, el IAMCEST, la tromboembolia pulmonar y otras enfermedades cuyo tratamiento depende del tiempo. Además, el riesgo de un daño directo infligido por COVID-19 en el sistema cardiovascular, el estrés psicológico de los pacientes y la hipoxia miocárdica inducida por la infección son factores que pueden contribuir a producir una exacerbación de las enfermedades cardiovasculares.

Nuestros principales hallazgos son que la afectación cardiaca puede ocurrir con el COVID-19, incluso sin signos del tracto respiratorio y síntomas de infección.

Después de los primeros casos que describen casos de neumonía de origen desconocido en Wuhan, China, el SARS-CoV-2 se extendió rápidamente por todo el mundo con desafíos críticos para la salud pública, ha habido un reconocimiento creciente de que las personas con riesgo cardiovascular pueden verse afectadas de manera desproporcionada. Varios estudios de series de casos han señalado arritmias cardiacas, síndromes coronarios agudos, cardiomiopatía y paro cardiaco como eventos terminales en pacientes con COVID-19, lo que sugiere que las infecciones respiratorias agudas pueden provocar la activación de las vías de coagulación, los efectos proinflamatorios y la disfunción de las células endoteliales.

Las presentaciones clínicas son generalmente asociadas con una rápida replicación viral, infiltración de células inflamatorias y liberación exagerada de citocinas (síndrome de liberación de citocinas), lo que lleva a daño multiorgánico, incluido un síndrome de dificultad respiratoria aguda (SDRA). Los pacientes tienen niveles séricos más altos de factor estimulante de colonias de granulocitos, factor estimulante de colonias de macrófagos, inducible por interferón proteínas quimioatrayente de monocitos, macrófago de proteína inflamatoria-1A y factor de necrosis tumoral (TNF), lo que sugiere que la "intensidad" de la "tormenta de citoquinas" modula la gravedad de la enfermedad. Curiosamente, se han reportado niveles dramáticamente incrementados de interleucina 6 (IL-6) en plasma. La lesión miocárdica puede estar relacionada con estrés, la cardiomiopatía o disfunción miocárdica relacionada con citoquinas, observándose hemofagocíticos secundarios, liberación de linfohistiocitosis y síndrome de activación de macrófagos. Estas características únicas de la fisiopatología de COVID-19 podrían abrir una puerta para el tratamiento de formas graves de esta infección por medio de la modulación de la respuesta inmune.

En pacientes con enfermedad cardiovascular se ha demostrado que SARS-CoV-2, el agente causal de COVID-19, se establece en el huésped mediante el uso de la enzima convertidora de angiotensina 2 (ACE2) como su receptor celular. ACE2 es una monocarboxipeptidasa unida a la membrana que se encuentra ubicuamente en humanos y se expresa predominantemente en células alveolares (tipo II) de corazón, intestino, riñón y pulmón. La entrada de SARS-CoV-2 en células humanas es facilitada por interacción de un dominio de unión al receptor en su ectodominio de glicoproteína de pico viral con el receptor ACE2. ACE2 es contrarreguladora de la actividad de angiotensina II generada a través de ACE1 y protege contra la activación perjudicial del sistema renina-angiotensina-aldosterona. La angiotensina II es catalizada por ACE2 a angiotensina-1-7, que ejerce efectos vasodilatadores, antiinflamatorios, antifibróticos y antimicrobianos. Se ha sugerido que los inhibidores de la ECA y los bloqueadores de los receptores de angiotensina (BRA) pueden aumentar la expresión de ACE2, por lo tanto, puede conferir una predisposición a infecciones más graves y resultados adversos durante COVID-19.7,8 Otros han sugerido que los inhibidores de ACE pueden contrarrestar los efectos antiinflamatorios de ACE2. Sin embargo, los estudios in vitro no han mostrado actividad inhibitoria directa de los inhibidores de la ECA contra la función de la ECA2.7

El infarto agudo de miocardio con elevación del segmento ST (IAMEST) es una enfermedad de alta mortalidad y morbilidad, y la intervención coronaria percutánea primaria (PCI) es la terapia típica recomendada.8 Es importante enfatizar que en la mayoría de los pacientes que necesitan la atención cardiovascular y los pacientes que se encuentren estables, dentro de la ventana de tiempo de reperfusión y sin contraindicación para la trombólisis, se les realizará terapia de fibrinólisis. Después de una trombólisis exitosa, el tratamiento continúa en la unidad de cuidados intensivos, después de que el paciente se haya recuperado de la neumonía por COVID-19 y la prueba de ácido nucleico sea dos veces negativa, debe considerarse la ICP electiva. Para los pacientes dentro del periodo de tiempo de reperfusión con contraindicaciones para la trombólisis o el fracaso de la trombólisis, se deben evaluar exhaustivamente los riesgos de PCI y control de infecciones.9



CONCLUSIONES

Durante la pandemia lo que ha prevalecido es el retraso en la asistencia en un IAMCEST, lo que influye en las complicaciones y el pronóstico del paciente. Como principales factores para el retraso son el temor por parte del paciente o del personal de salud de adquirir la infección por SARS-CoV-2 y el tiempo necesario para la instauración de las medidas de protección y bioseguridad del equipo de cardiología intervencionista.

El presente caso ilustra claramente el modo en el que la pandemia de COVID-19 puede influir en la asistencia de un IAMCEST y sus resultados.

Afortunadamente a pesar de que sólo se ofreció fibrinólisis, el paciente tuvo evolución satisfactoria. No obstante, se deben establecer protocolos para manejo de pacientes con IAMCEST positivos a COVID-19 que los beneficie y mejore su pronóstico.


REFERENCIAS (EN ESTE ARTÍCULO)

  1. Guan WJ, Ni ZY, Hu Y, Liang WH, Ou CQ, He JX, et al. Clinical characteristics of coronavirus disease 2019 in China. N Engl J Med. 2020;382(18):1708-1720. doi: 10.1056/NEJMoa2002032.

  2. Inciardi RM, Lupi L, Zaccone G, Italia L, Raffo M, Tomasoni D, et al. Cardiac involvement in a patient with coronavirus disease 2019 (COVID-19). JAMA Cardiol. 2020;5(7):819-824. doi: 10.1001/jamacardio.2020.1096.

  3. Yuki K, Fujiogi M, Koutsogiannaki S. COVID-19 pathophysiology: a review. Clin Immunol. 2020;215:108427. doi: 10.1016/j.clim.2020.108427.

  4. Boukhris M, Hillani A, Moroni F, Annabi MS, Addad F, Ribeiro MH, et al. Cardiovascular implications of the COVID-19 pandemic: a global perspective. Can J Cardiol. 2020;36(7):1068-1080. doi: 10.1016/j.cjca.2020.05.018.

  5. Guo T, Fan Y, Chen M, Wu X, Zhang L, He T, et al. Cardiovascular implications of fatal outcomes of patients with coronavirus disease 2019 (COVID-19). JAMA Cardiol. 2020;5(7):811-818. doi: 10.1001/jamacardio.2020.1017.

  6. Kunal S, Sharma SM, Sharma SK, Gautam D, Bhatia H, Mahla H, et al. Cardiovascular complications and its impact on outcomes in COVID-19. Indian Heart J. 2020;72(6):593-598. doi: 10.1016/j.ihj.2020.10.005.

  7. Mehra MR, Desai SS, Kuy S, Henry TD, Patel AN. Cardiovascular disease, drug therapy, and mortality in Covid-19. N Engl J Med. 2020;382(25):e102. doi: 10.1056/NEJMoa2007621.

  8. Tam CF, Cheung KS, Lam S, Wong A, Yung A, Sze M, et al. Impact of coronavirus disease 2019 (COVID-19) outbreak on ST-segment-elevation myocardial infarction care in Hong Kong, China. Circ Cardiovasc Qual Outcomes. 2020;13(4):e006631. doi: 10.1161/CIRCOUTCOMES.120.006631.

  9. Zeng J, Huang J, Pan L. How to balance acute myocardial infarction and COVID-19: the protocols from Sichuan Provincial People's Hospital. Intensive Care Med. 2020;46(6):1111-1113. doi: 10.1007/s00134-020-05993-9.



AFILIACIONES

1 Hospital Central Norte PEMEX, Ciudad de México, México.



CORRESPONDENCIA

Amalia Romero Limón. E-mail: dra_amy85@hotmail.com




Recibido: 25/05/2021. Aceptado: 24/07/2023.







Figura 1
Figura 2
Tabla 1

2020     |     www.medigraphic.com

Mi perfil

C?MO CITAR (Vancouver)

Med Crit. 2024;38

ARTíCULOS SIMILARES

CARGANDO ...