medigraphic.com
ENGLISH

Revista Mexicana de Coloproctología Enfermedades del Ano, Recto y Colon

Revista Mexicana de Coloproctología Enfermedades del Ano, Recto y Colon
  • Mostrar índice
  • Números disponibles
  • Información
    • Información general        
    • Directorio
  • Publicar
    • Instrucciones para autores        
  • medigraphic.com
    • Inicio
    • Índice de revistas            
    • Registro / Acceso
  • Mi perfil

2023, Número 2

<< Anterior

Rev Mex Coloproctol 2023; 19 (2)


Prótesis biliares migradas como causa de perforación doble del colon sigmoide

Senejoa, Nairo1; Blanco, Néstor1
Texto completo Cómo citar este artículo 10.35366/115701

DOI

DOI: 10.35366/115701
URL: https://dx.doi.org/10.35366/115701
Artículos similares

Idioma: Español
Referencias bibliográficas: 16
Paginas: 76-79
Archivo PDF: 240.73 Kb.


PALABRAS CLAVE

protesis biliares, perforación de sigmoide.

RESUMEN

Paciente femenina de 71 años con historia de dolor pélvico de 3 meses de evolución que empeora en la última semana, tiene antecedente de colocación de dos prótesis biliares por coledocolitiasis hace 3 años, a su ingreso a emergencias la tomografía muestra imágenes de las prótesis biliares en pelvis, colonoscopia mostró la penetración de una prótesis biliar a través de un divertículo en sigmoide, se procede con resección de sigmoide laparoscópica sin complicaciones y alta en 1 semana.



INTRODUCCIóN

El uso de stents biliares y pancreáticos es una práctica cada vez más frecuente en las intervenciones endoscópicas de vía biliar por causas benignas y asociadas a patología oncológica.1-3 Las tasas de migración tanto distal como proximal han sido reportadas entre 5 a 10%, siendo más frecuentes en stents plásticos que en metálicos.4 Si bien, en la mayoría de los casos de migración distal no existen complicaciones graves, se han descrito casos raros de perforación intestinal desde el duodeno hasta segmentos distales del colon.5-10 Se describe un caso raro de perforación de sigmoide en diferentes niveles por dos stents biliares olvidados, el cual requirió manejo quirúrgico por laparoscopia.



REPORTE DE CASO

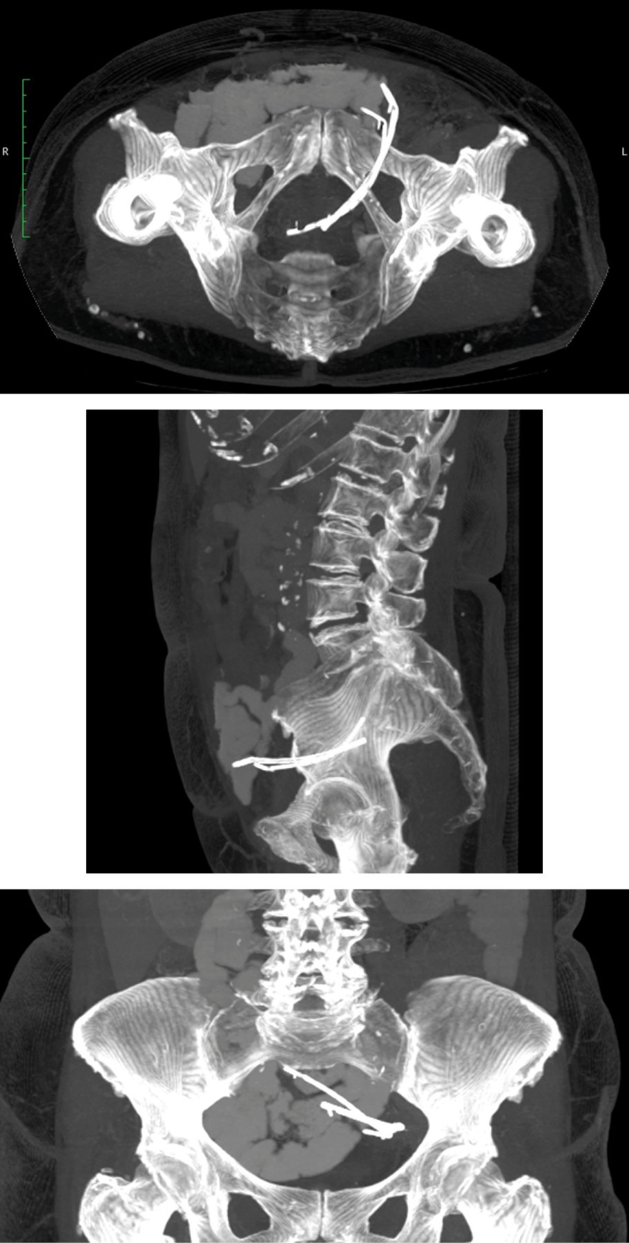
Paciente femenino de 71 años, consulta por clínica de dolor en fosa iliaca izquierda de tres meses de evolución, el cual empeora en la última semana hasta tornarse severo, por lo que acude al servicio de urgencias. Tres años antes había requerido la realización de colangiografía retrógrada endoscópica (ERCP) por coledocolitiasis, no existía claridad sobre el manejo realizado y nunca asistió a controles. A la valoración inicial, los signos vitales y estudios de laboratorio como hemograma, función renal y electrolitos eran normales; la palpación abdominal revelaba leve dolor a la palpación en fosa iliaca izquierda, sin signos de irritación peritoneal. Se realiza tomografía axial computarizada (TAC) de abdomen, que evidencia imágenes compatibles con prótesis biliares libres en cavidad pélvica (Figura 1). La colonoscopia demuestra stent enclavado en divertículo a nivel del sigmoide a los 30 cm del margen anal; dado que se encontraba atravesando la pared, se considera que la extracción endoscópica no es segura. Durante la hospitalización, presenta empeoramiento del dolor abdominal, asociado a leucocitosis y taquicardia, por lo cual es llevada a resección anterior de sigmoide por laparoscopia; se encuentran dos stents plásticos de 10 cm de longitud enclavados en la pared con comunicación directa a cavidad pélvica, asociada a formación de dos plastrones en sigmoide y unión rectosigmoide (Figura 2). Continúa hospitalizada con analgesia y manejo antibiótico por siete días y se da egreso sin complicaciones. En los cortes axial, sagital y coronal se aprecian dos imágenes alargadas compatibles con stents biliares en relación con el colon sigmoide, con extremo libre hacia la cavidad pélvica.



DISCUSIóN

La migración distal de las prótesis biliares asociadas a perforación es una complicación rara, pero potencialmente grave. El riesgo de migración distal se ha asociado con el tamaño del stent, siendo más frecuentes en prótesis de mayor longitud y cuando se utiliza más de un dispositivo,11 tal y como ocurrió en nuestra paciente. Se han reportado pocos casos de perforación colónica en la literatura, de los cuales en su mayoría han comprometido el colon sigmoide, casi todos asociados a divertículos y patología biliar benigna como indicación de colocación.1 El desarrollo de síntomas asociados a la perforación es variable en lo reportado en la literatura, yendo desde dos semanas hasta tres años.12,13

Un factor de riesgo muy importante para las complicaciones tardías asociadas a la colocación de prótesis biliares es el olvido del stent, definido como aquel que lleva más de 12 meses sin ser retirado o cambiado (cuando existe indicación), siendo la falta de información clara sobre la necesidad de control y pacientes con edad avanzada los principales factores de riesgo.14

En nuestra revisión sólo se encontró un caso reportado con perforación en dos segmentos del colon sigmoide; sin embargo, éste se presentó tempranamente (dos semanas), con un solo stent y fue asociado a patología tumoral pancreática maligna como indicación de su colocación.15

Se aconseja que todo stent migrado distalmente, independiente de si genera síntomas y más aún si causa perforación, debe ser retirado de inmediato de manera endoscópica, percutánea o quirúrgica según el grado de complicación y la ubicación del dispositivo.1,16



CONCLUSIóN

La perforación del colon secundaria a la migración distal de un stent biliar es una complicación rara, pero con alto grado de morbilidad que requiere manejo quirúrgico inmediato. Se debe identificar tempranamente a los pacientes sintomáticos con mayor riesgo de migración de la prótesis, tales como edad avanzada, patología biliar benigna como causa de la colocación, dispositivos plásticos de mayor longitud y múltiples, informando claramente a los pacientes la necesidad del cumplimiento de los controles posteriores a la implantación de cualquier tipo de prótesis.


REFERENCIAS (EN ESTE ARTÍCULO)

  1. Namdar T, Raffel AM, Topp SA, Namdar L, Alldinger I, Schmitt M, et al. Complications and treatment of migrated biliary endoprostheses: a review of the literature. World J Gastroenterol WJG. 2007; 13 (40): 5397-5399. Available in: https://www.ncbi.nlm.nih.gov/pmc/articles/PMC4171335/

  2. Wang CC, Yang TW, Sung WW, Tsai MC. Current endoscopic management of malignant biliary stricture. Med Kaunas Lith. 2020; 56 (3): E114.

  3. Kida M, Miyazawa S, Iwai T, Ikeda H, Takezawa M, Kikuchi H et al. Recent Advances of biliary stent management. Korean J Radiol. 2012; 13 (Suppl 1): S62-66. Available in: https://www.ncbi.nlm.nih.gov/pmc/articles/PMC3341462/

  4. Kotha S, Berry P, Webster G, Wong T. Cholangioscopic management of proximally migrated biliary stent using a novel through-the-cholangioscope snare. Endoscopy. 2020; 52 (1): E5-6. Available in: http://www.thieme-connect.de/DOI/DOI?10.1055/a-0977-2488

  5. Mosca S, Galasso G. Duodenal perforation as a complication of an endoscopically placed biliary stent. Ital J Gastroenterol Hepatol. 1999; 31 (6): 522.

  6. Melita G, Currò G, Iapichino G, Princiotta S, Cucinotta E. Duodenal perforation secondary to biliary stent dislocation: a case report and review of the literature. Chir Ital. 2005; 57 (3): 385-388.

  7. Lanteri R, Naso P, Rapisarda C, Santangelo M, Di Cataldo A, Licata A. Jejunal perforation for biliary stent dislocation. Am J Gastroenterol. 2006; 101 (4): 908-909.

  8. Mady RF, Niaz OS, Assal MM. Migrated biliary stent causing perforation of sigmoid colon and pelvic abscess. BMJ Case Rep. 2015; 2015: bcr2014206805.

  9. Mofidi R, Ahmed K, Mofidi A, Joyce WP, Khan Z. Perforation of ileum: an unusual complication of distal biliary stent migration. Endoscopy. 2000; 32 (11): S67.

  10. Zorbas KA, Ashmeade S, Lois W, Farkas DT. Small bowel perforation from a migrated biliary stent: A case report and review of literature. World J Gastrointest Endosc. 2021; 13 (10): 543-554.

  11. Arhan M, Odemis B, Parlak E, Ertugrul I, Basar O. Migration of biliary plastic stents: experience of a tertiary center. Surg Endosc. 2009; 23 (4): 769-775.

  12. Storkson RH, Edwin B, Reiertsen O, Faerden AE, Sortland O, Rosseland AR. Gut perforation caused by biliary endoprosthesis. Endoscopy. 2000; 32 (1): 87-89.

  13. Klein U, Weiss F, Wittkugel O. [Migration of a biliary Tannenbaum stent with perforation of sigmoid diverticulum]. ROFO Fortschr Geb Rontgenstr Nuklearmed. 2001; 173 (11): 1057.

  14. Duman AE, Yilmaz H, Hülagü S. Biliary stents are forgotten more frequently in elderly patients. Turk J Med Sci. 2021; 51 (6): 3067-3072.

  15. Malgras B, Pierret C, Tourtier JP, Olagui G, Nizou C, Duverger V. Double Sigmoid colon perforation due to migration of a biliary stent. J Visc Surg. 2011; 148 (5): e397-399. Available in: https://www.sciencedirect.com/science/article/pii/S1878788611001408

  16. Pachhai P, Khadka R, Maharjan N, Sharma D, Pradhan S, Bhandari RS. Duodenal perforation due to migrated biliary stent: Case report. Int J Surg Case Rep. 2022; 97: 107354. Available in: https://www.ncbi.nlm.nih.gov/pmc/articles/PMC9403011/C



AFILIACIONES

1 Hospital Militar Central de Colombia. Universidad Militar Nueva Granada.



Conflictos de intereses: los autores declaran que no presentan ningún conflicto de intereses en relación a este artículo.



CORRESPONDENCIA

Nairo Senejoa. E-mail: njsenejoa@yahoo.es




Recibido: octubre 2023. Aceptado: diciembre 2023.





Figura 1
Figura 2

2020     |     www.medigraphic.com

Mi perfil

C?MO CITAR (Vancouver)

Rev Mex Coloproctol. 2023;19

ARTíCULOS SIMILARES

CARGANDO ...