medigraphic.com
ENGLISH

Cirugía de Columna

ISSN 2992-7749 (Digital)
ISSN 2992-7897 (Impreso)
Órgano Oficial de difusión científica de la Asociación Mexicana de Cirujanos de Columna A. C. y de la Sociedad Iberolatinoamericana de Columna. SILACO.

Indizada en:

Scielo
  • Mostrar índice
  • Números disponibles
  • Información
    • Información general        
    • Directorio
  • Publicar
    • Instrucciones para autores        
    • Envío de artículos
  • Políticas
    • Políticas éticas
    • Políticas de acceso abierto
    • Políticas de revisión de manuscritos
    • Políticas editoriales generales
  • medigraphic.com
    • Inicio
    • Índice de revistas            
    • Registro / Acceso
  • Mi perfil

2024, Número 2

<< Anterior Siguiente >>

Cir Columna 2024; 2 (2)


Cordoma sacrococcígeo: revisión del tema

Sánchez TLJ, Pulido THA, Espinoza VA, Pérez PPL, Chávez RMM
Texto completo Cómo citar este artículo 10.35366/115859

DOI

DOI: 10.35366/115859
URL: https://dx.doi.org/10.35366/115859
Artículos similares

Idioma: Ingles.
Referencias bibliográficas: 45
Paginas: 104-111
Archivo PDF: 390.19 Kb.


PALABRAS CLAVE

cordoma, sacrococcígeo, sacrectomía.

RESUMEN

El cordoma es un tumor maligno primario que resume diferenciación notocordal. Su máxima incidencia es entre la quinta y sexta décadas de la vida, y los hombres son afectados más frecuentemente que las mujeres en relación 2:1; la mitad de los casos se localizan en la región sacrocoxígea. Son lesiones infrecuentes de lento crecimiento que se originan en la línea media. Su tratamiento es quirúrgico mediante resección amplia o radical. Las sacrectomías totales implican disociación lumbopélvica, por ende es importante estabilizar la zona y lograr una cobertura adecuada de la reconstrucción. Son lesiones cuyo tratamiento implica gran complejidad operativa y genera secuelas neurológicas principalmente relacionadas con el control de esfínteres, las que dependerán del nivel de resección. La incidencia de morbilidad y mortalidad en resecciones sacrococcígeas, es alta. Los pacientes con diagnóstico de cordoma deben ser tratados en unidades altamente especializadas.


REFERENCIAS (EN ESTE ARTÍCULO)

  1. Yamaguchi T, Yamato M, Saotome K. First histologically confirmed case of a classic chordoma arisen in a precursor benign notochordal lesion: differential diagnosis of benign and malignant notocordal lesions. Skeletal Radiol. 2002; 31: 413-418.

  2. Farshad M, Selman F, Burkhard MD, Müller D, Spirig JM. Partial sacrectomy with patient-specific osteotomy guides. NASSJ 2021; 8: 100090. Available in: https://doi.org/10.1016/j.xnsj.2021.100090

  3. Tirabosco R, O'Donell PG, Yamaguchi T. Conventional chordoma. In: WHO classification of tumours editorial board. Soft tissue and bone tumours. Lyon (France): International Agency for Research on Cancer; 2020. WHO classification of tumours series. 5th ed, vol. 3, 2020, 451-453. World Health Organization. Available in: https://publications.iarc.fr/588

  4. Tirabosco R, Hameed M. Dedifferentiated chordoma. In: WHO Classification of tumours editorial board. Soft tissue and bone tumours. Lyon (France): International Agency for Research on Cancer; 2020. WHO classification of tumours series. 5th ed, volume 3, 2020, 454-455. World Health Organization. Available in: https://publications.iarc.fr/588

  5. Nielsen GP, Dickson BC, Tirabosco R. Poorly differentiated chordoma. In: WHO Classification of Tumours Editorial Board. Soft tissue and bone tumours. Lyon (France): international agency for research on cancer; 2020. WHO classification of tumours series. 5th ed. volume 3, 2020, 456-457. World Health Organization. Available in: https://publications.iarc.fr/588

  6. Yang Y, Guo W. Diagnostic imaging and differential diagnosis. In: Guo W, Hornicek FJ, Sim FH. Surgery of the pelvic and sacral tumor. Springer. 2020; 22: 169-182.

  7. Hornicek FJ. Two-stage total sacrectomy. In: Guo W, Hornicek FJ, Sim FH. Surgery of the pelvic and sacral tumor. Springer. 2020, 207-217.

  8. Pu F, Zhang Z, Wang B, Wu Q, Liu J, Shao Z. Total sacrectomy with combined antero-posterior surgical approach for malignant sacral tumors. Int Orthop. 2021; 45: 1347-1354.

  9. Kietga G, Agbanglanon P, Compaore B, Seka E, Lachgar A, Benjaafar N. Chordoma sociodemographic, clinical and therapeutic aspects in National Institute of Oncology Rabat Morocco: a report of 9 cases. J Cancer Ther. 2021; 12: 47-56.

  10. Berra LV, Armocida D, Palmieri M, Norcia VD, D'Angelo L, Mongardini M et al. Sacral nerves reconstruction after surgical resection of a large sacral chordoma restores the urinary and sexual function and the anal continence. Neurospine 2022; 19: 155-162.

  11. Chugh R, Tawbi H, Lucas DR, Biermann JS, Schuetze SM, Baker LH. Chordoma: the nonsarcoma primary bone tumor. Oncologist. 2007; 12: 1344-1350.

  12. Vanheule E, Huysse W, Herregods N, Verstraete K, Jans L. Sacral tumours on MRI: a pictorial essay. J Belg Soc Radiol. 2019; 103: 1-5. Available in: https://doi.org/10.5334/jbsr.1887

  13. Payer M. Neurological manifestation of sacral tumors. Neurosurg Focus. 2003; 15: E1.

  14. Fiani B, Runnels J, Rose A, Kondilis A, Wong A, Musch BL. Clinical manifestations, classification, and surgical management of sacral tumors and the need for personalized approach to sacrectomy. Surg Neurol Int. 2021; 12: 209.

  15. Barber SM, Sadrameli SS, Lee JJ, Fridley JS, Teh BS, Oyelese AA et al. Chordoma-Current understanding and modern treatment paradigms. J Clin Med. 2021; 10: 1054. Available in: https://doi.org/10.3390/jcm10051054

  16. Soo MYS, Wong L. Sacrococcygeal chordoma. J HK Coll Radiol. 2002; 5: 117-125.

  17. Ruggieri P, Angelini A, Ussia G, Montalti M, Mercuri M. Surgical margins and local control in resection of sacral chordomas. Clin Orthop Relat Res. 2010; 468: 2939-2947.

  18. Pillai S, Govender S. Sacral chordoma: a review of literature. J Orthop. 2018; 15: 679-684.

  19. Kaplan KM, Spivak JM, Bendo JA. Embryology of the spine and associated congenital abnormalities. Spine J. 2005; 5: 564-576.

  20. Ulici V, Hart J. Chordoma. A review and differential diagnosis. Arch Pathol Lab Med. 2022; 146: 386-395.

  21. Martínez TFJ, Conde GE, Manjón LP, Ricoy CJR, Pérez BA. Cordoma. Sus variantes y diagnóstico diferencial. Rev Esp Patol. 2007; 40: 135-145.

  22. Okaji RY, da Silveira Jr JM, Nakano MK, Kiuti LT, Teixeira MMCN. Sacral chordoma en-bloc resection and lumbar – iliac stabilization. Arq Neuropsiquiatr. 2008; 66: 400-401.

  23. Chandawarkar RY. Sacrococcygeal chordoma: review of 50 consecutive patients. World J Surg. 1996; 20: 717-719.

  24. Bergh P, Kindblom LG, Gunterberg B, Remotti F, Ryd W, Meis-Kindblom JM. Prognostic factors in chordoma of the sacrum and mobile spine: a study of 39 patients. Cancer. 2000; 88: 2122-2134.

  25. Nielsen GP, Rosenberg AE. Notochordal tumors. In: Diagnostic pathology bone. Tumors and nonneoplastic conditions. 3rd ed. Vol. 10 Elsevier, 2021, 283-305.

  26. Nachwalter RN, Rothrock RJ, Katsoulakis E, Gounder MM, Boland PJ, Bilsky MH et al. Treatment of dedifferentiated chordoma: a restrospective study from a large volume cancer center. J Neurooncol. 2019; 144: 369-376.

  27. Shih AR, Cote GM, Chebib I, Choy E, DeLaney T, Deshpande V, et al. Clinicopathologic characteristics of poorly differentiated chordoma. Mod Pathol. 2018; 31: 1237-1245.

  28. Yang L, Liu Y, Tang Y, Wei J, Fan L, Wang Y, et al. Poorly differentiated chordoma. Hum Pathol Rep. 2022; 28: 300624. Available in: https://doi.org/10.1016/j.hpr.2022.300624

  29. Clarke MJ, Dasenbrock H, Bydon A, Sciubba DM, McGirt MJ, Hsieh PC, et al. Posterior-only approach for en bloc sacrectomy: clinical outcomes in 36 consecutive patients. Neurosurgery. 2012; 71: 357-364.

  30. Vartanian ED, Lynn JV, Perrault DP, Wolfswinkel EM, Kaiser AM, Patel KM et al. Risk factors associated with reconstructive complications following sacrectomy. Plast Reconstr Surg Glob Open. 2018; 6: e2002. doi: 10.1097/GOX.0000000000002002.

  31. McCarty CS, Waugh JM, Mayo CW, Coventry MB. The surgical treatment of presacral tumors : a combined problem. Proc Staff Meet Mayo Clin. 1952; 27: 73-84.

  32. Howell EP, Williamson T, Karikari I, Abd-El-Barr M, Erickson M, Goodwin ML et al. Total en bloc resection of primary and metastatic spine tumors. Ann Transl Med. 2019; 7: 226. Available in: https://dx.doi.org/10.21037/atm.2019.01.25

  33. De Souza FA, Morais TJrMC, Kenji ND, Salge GC, Jacobsen TWG, Fogaca CA, et al. Complications after partial, total or extended sacrectomy: a case series. Coluna/Columna. 2021; 20: 229-231.

  34. Kiiski J, Kuokkanen HO, Kaariainen M, Kaartinen IS, Pakarinen TK, Laitinen MK. Clinical results and quality of life after reconstruction following sacrectomy for primary bone malignancy. J Plast Reconstr Aesthet Surg. 2018; 71: 1730-1739.

  35. Kim SH, Chang UK, Kim DH. Sacral tumor resection and reconstruction. In: Kim DH, Chang UK, Kim SH, Bilsky MH. Tumors of the spine. Saunders Elsevier 2008, 669-683.

  36. Lv Z, Li J, Yang Z, Li X, Yang Q, li Z. Reconstruction after hemisacrectomy with a novel 3D-printed modular hemisacrum implant in sacral giant cell tumor of the bone. Front Bioeng Biotechnol. 2023; 11: 1155470. doi: 10.3389/fbioe.2023.1155470.

  37. Asavamongkolkul A, Waikakul S. Wide resection os sacral chordoma via a posterior approach. Int Orthop. 2012; 36: 607-612.

  38. Fuchs B, Dickey ID, Yazemski MJ, Inwards CY, Sim FH. Operative management of sacral chordoma. J Bone Joint Surg Am. 2005; 87: 2211-2216.

  39. Ishida W, Elder BD, Lo SFL, Witham TF. Spinovelvic reconstruction following lumbosacral tumor resection. World Spinal Column J. 2016; 7: 25-30.

  40. Bederman SS, Shah KN, Hassan JM, Hoang BH, Kiester PD, Bhatia NN. Surgical techniques for spinopelvic reconstruction following total sacrectomy: a systematic review. Eur Spine J. 2014; 23: 305-319.

  41. Kiatisevi P, Piyaskulkaew C, Kunakornsawat S, Sukunthanak B. What are the functional outcomes after total sacrectomy without spinopelvic reconstruction? Clin Orhop Relat Res. 2017; 475: 643-655.

  42. Guo Y, Yadav R. Improving function after total sacrectomy by using a lumbar-sacral corset. Am J Phys Med Rehabil. 2002; 81: 72-76.

  43. Zileli M, Hoscoskun C, Brastianos P, Sabah D. Surgical treatment of primary sacral tumors: complications associated with sacrectomy. Neurosurg Focus. 2003; 15: 9.

  44. Deskoulidi P, Stavrianos SD, Mastorakos D, Kontogeorgakos VA, Savvidou O, Chrysikos D et al. Anatomical considerations and plastic surgery reconstruction options of sacral chordoma resection. Cureus. 2023; 15: e37965. doi: 10.7759/cureus.37965.

  45. Tang X, Yang R, Qu H, Cai Z, Guo W. Factors associated with spinopelvic fixation mechanical failure after total sacrectomy. Spine. 2018; 43: 1268-1274. doi: 10.1097/BRS.0000000000002635.




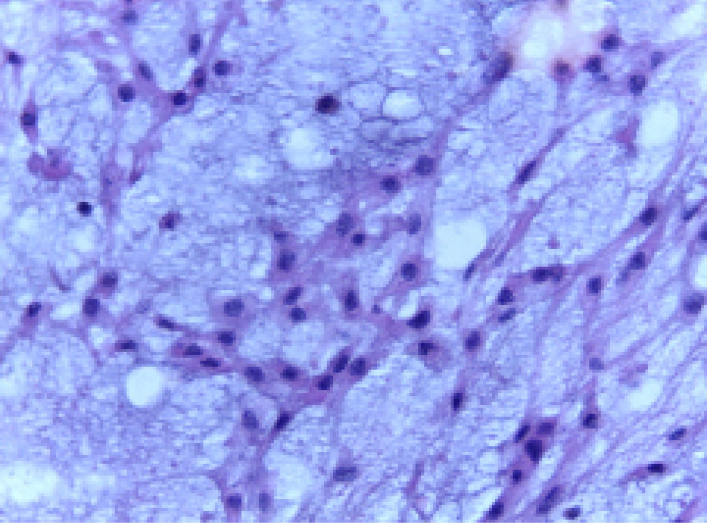
Figura 1
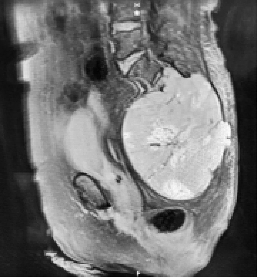
Figura 2
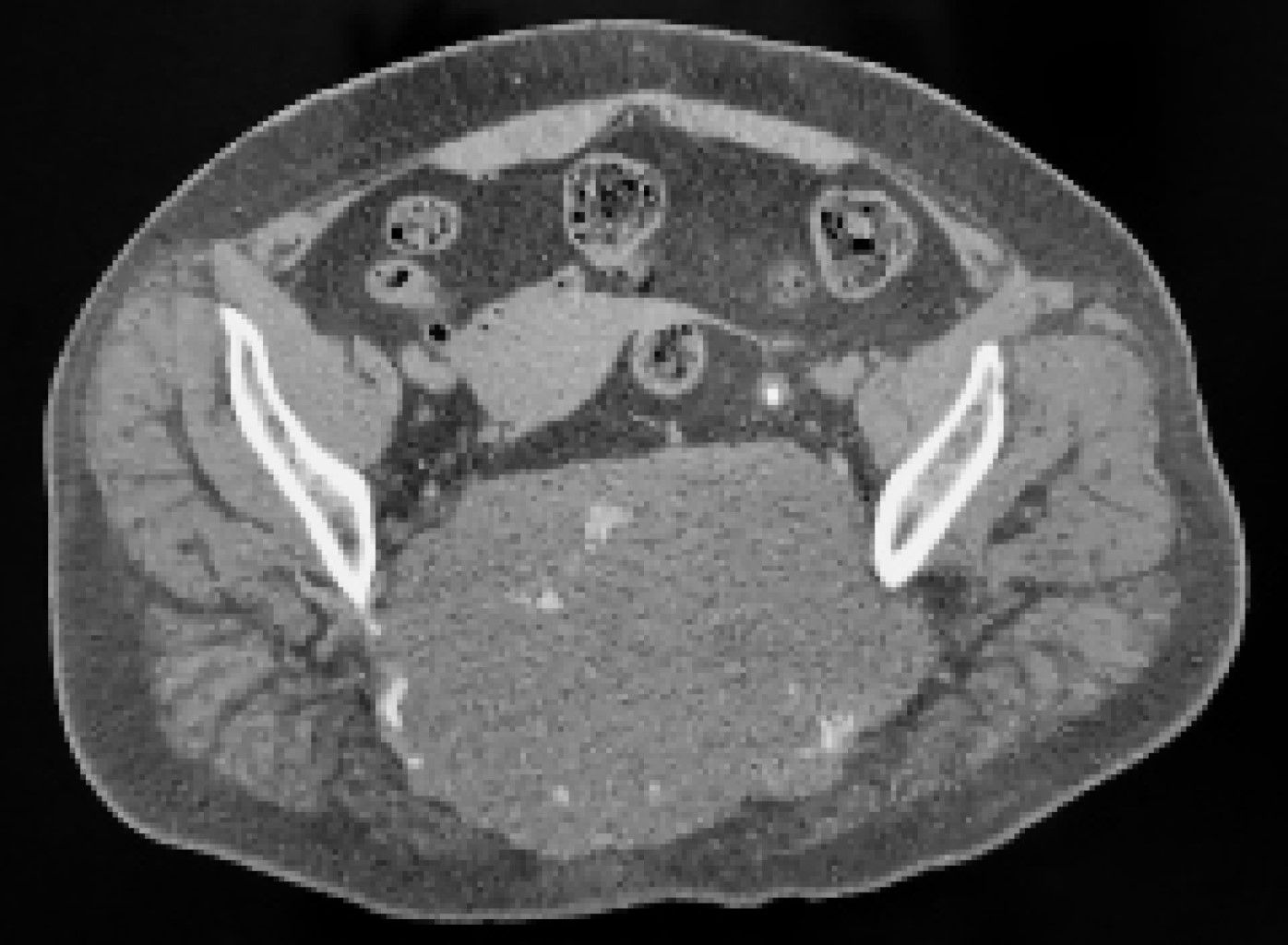
Figura 3
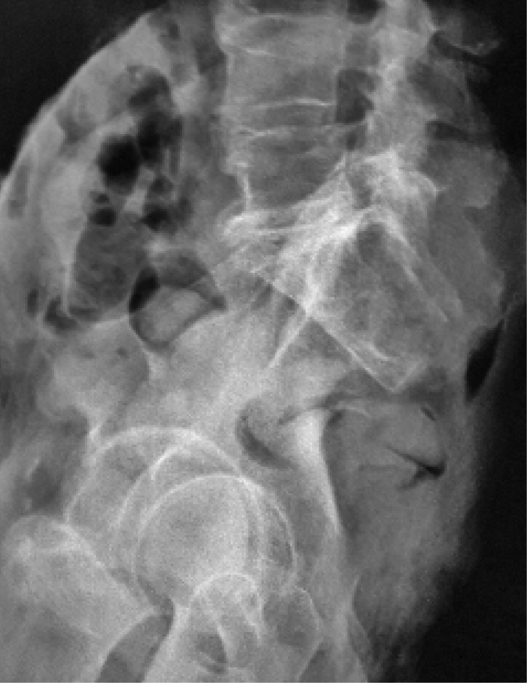
Figura 4
Figura 5
Figura 6

2020     |     www.medigraphic.com

Mi perfil

C?MO CITAR (Vancouver)

Cir Columna. 2024;2

ARTíCULOS SIMILARES

CARGANDO ...