medigraphic.com
ENGLISH

Latin American Journal of Oral and Maxillofacial Surgery

ISSN 2992-7757 (Digital)
Órgano de difusión de la Asociación Latinoamericana de Cirugía y Traumatología Bucomaxilofacial (ALACIBU)
  • Mostrar índice
  • Números disponibles
  • Información
    • Información general        
    • Directorio
  • Publicar
    • Instrucciones para autores        
  • medigraphic.com
    • Inicio
    • Índice de revistas            
    • Registro / Acceso
  • Mi perfil

2024, Número 1

<< Anterior Siguiente >>

Lat Am J Oral Maxillofac Surg 2024; 4 (1)


Uso de 5-fluorouracilo en el manejo del queratoquiste odontogénico. Reporte de caso

Figueira Hidalgo, César Miguel1; Villarroel Dorrego, Mariana2; Hernández, Adalsa3; Moret, Yuli4; Rosas Nieves, Rossana Verónica5
Texto completo Cómo citar este artículo 10.35366/115901

DOI

DOI: 10.35366/115901
URL: https://dx.doi.org/10.35366/115901
Artículos similares

Idioma: Español
Referencias bibliográficas: 18
Paginas: 27-33
Archivo PDF: 369.33 Kb.


PALABRAS CLAVE

queratoquiste odontogénico, queratoquiste, QO, 5-fluorouracilo, 5fluorouracilo, 5-FU.

RESUMEN

Introducción: el 5-fluorouracilo (5-FU) es un fármaco utilizado en el tratamiento del carcinoma de células basales (CCB). Inhibe la timidilato sintetasa, una enzima necesaria para la síntesis de ADN que provoca la muerte celular. Los estudios moleculares que se centran en la vía del gen supresor tumoral homólogo modificado de proteína (PTCH1) han producido un enfoque de tratamiento dirigido al CCB. Se sabe que los queratoquistes odontogénicos (QO) se desarrollan a través de mutaciones del gen PTCH1 similares a los CCB. Debido a esta similitud en la etiopatogenia molecular del QO, se cree que el uso tópico de 5-fluorouracilo en el manejo de esta patología disminuye la tasa de recidiva. Caso clínico: paciente masculino de 54 años de edad, en quien a la evaluación clínica y radiográfica se evidencia una imagen radiolúcida, multilobular, de bordes definidos, en región de cuerpo mandibular izquierdo, por lo que se realiza biopsia incisional, reportando como resultado histopatológico: queratoquiste odontogénico. Bajo anestesia general se realiza enucleación y curetaje, ostectomía periférica, aplicación tópica de 5-fluorouracilo. Se evalúa paciente en un postoperatorio tardío, con tomografía computarizada, donde se evidencia proceso de cicatrización adecuado, neoformación ósea en región de cuerpo y ángulo mandibular izquierdo. Conclusiones: el 5-FU es un tratamiento novedoso, efectivo y enfocado a los QO con tasas de recurrencia más bajas y menos morbilidad, las ventajas del 5-FU tópico incluyen: corto tiempo operatorio, disponibilidad, simplicidad técnica, morbilidad reducida, bajo costo, con baja o nula recurrencia, disminuyendo así la necesidad de una segunda cirugía.



INTRODUCCIÓN

El queratoquiste odontogénico (QO) es un quiste del desarrollo, se cree se origina de los restos de la lámina dental.1 Se distingue de otros quistes odontogénicos debido a sus características histológicas, moleculares, por su comportamiento agresivo en algunos casos y por su alta tasa de recurrencia luego de la enucleación simple (25 a 60%).2,3 Ocurren con mayor frecuencia en la rama o el ángulo de la mandíbula y el tercer molar suele verse afectado. La edad de estos pacientes oscila entre los 7 y 83 años, con un pico de incidencia entre los 10 y 30 años. La relación hombre:mujer es de 1.6:1, con un ligero predominio en los hombres. Los pacientes suelen estar asintomáticos y se detectan accidentalmente durante el examen radiográfico de rutina. En pacientes sintomáticos se observa hinchazón, dolor, asimetría facial, infección, y parestesia.4 El manejo del QO históricamente implicaba la enucleación simple; sin embargo, esto fue insatisfactorio debido a una alta tasa de recurrencia. Otras opciones de tratamiento incluyen marsupialización, curetaje, ostectomía periférica, aplicación de solución adyuvante, eliminación de la mucosa subyacente o resección, sola o en combinación.5-7 Se ha propuesto un enfoque específico para el tratamiento de QO basado en la comprensión actual de la genética molecular de los QO.8,9 Los estudios moleculares que se centran en la vía del gen supresor tumoral homólogo parcheado de proteína (PTCH) han producido un enfoque de tratamiento dirigido al carcinoma basocelular (CBC). Se sabe que los QO se desarrollan a través de mutaciones del gen PTCH similares a los CBC.10 El 5-fluorouracilo (5-FU) es un fármaco antimetabólico, utilizado en el tratamiento del carcinoma de los CBC, y otros tipos de cáncer. Inhibe la timidilato sintasa, una enzima necesaria para la síntesis de ADN que provoca la muerte celular.11 Sobre la base de las similitudes en la patogenia molecular de los CCB y los QO, se cree que los QO responden favorablemente al 5-FU tópico con respecto a la recurrencia.12



CASO CLÍNICO

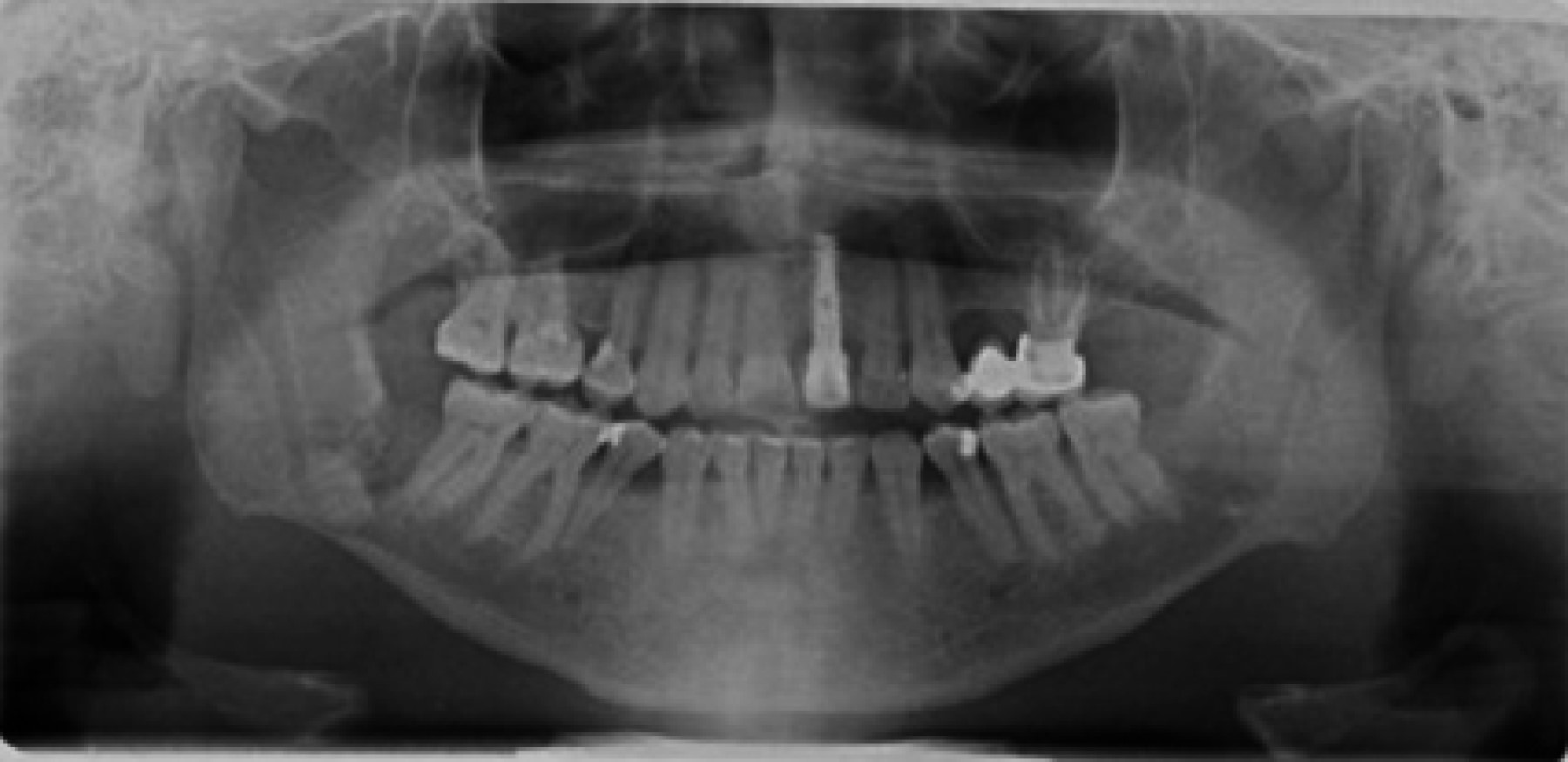
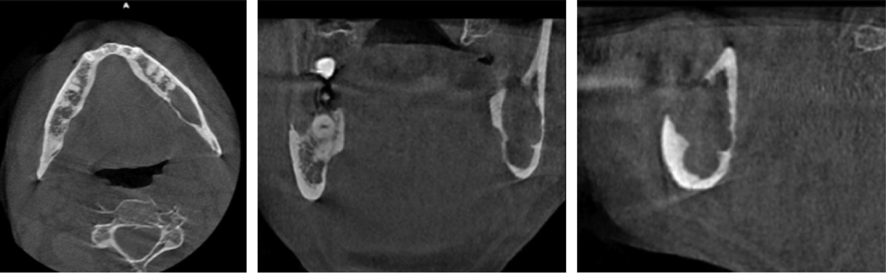
Se trata de paciente masculino de 54 años de edad y procedente de Caracas, Venezuela, quien refiere inicio de enfermedad actual en enero de 2023 posterior a ser intervenido quirúrgicamente para odontectomía de OD 4.8, en vista de presentar aumento de volumen en región paramandibular derecha, concomitante fuerte sintomatología dolorosa, acude a consulta. Al examen clínico maxilofacial, se observa asimetría facial a expensas de tercio inferior facial por aumento de volumen que involucra la región paramandibular derecha, indurado, doloroso a la palpación superficial y profunda, sin signos de flogosis. Al examen intraoral, se evidencia apertura oral disminuida, cuantificada en 15 mm, dentición permanente, oclusión estable. Alveolo de OD 4.8, en proceso de cicatrización, con capa de fibrina perialveolar, sin presencia de gasto purulento o signos de infección. Se indica ortopantomografía (Figura 1), la cual se recibe de mediana calidad técnica, donde se puede observar una imagen radiopaca en región basal de cuerpo mandibular derecho, compatible con resto radicular de OD 4.8, así como también una imagen radiolúcida sugestiva de lecho quirúrgico de odontectomía del mismo. Como hallazgo radiográfico, se puede evidenciar una imagen radiolúcida, multilobular, de bordes difusos, en región de cuerpo y ángulo mandibular izquierdo, por lo que se indica tomografía computarizada de haz cónico (Figura 2), donde en sus cortes axiales, coronales y sagitales se puede evidenciar una imagen isodensa de 4 × 3 × 2 cm multilobulada, de bordes bien definidos, con expansión de las corticales óseas en la región de cuerpo y ángulo mandibular izquierdo, en relación con los OD 3.6, 3.7. Asimismo, se observa una imagen hiperdensa en región de cuerpo mandibular derecho, compatible con resto radicular de OD 4.8. Se decide realizar intervención quirúrgica bajo anestesia local, para realizar toma de biopsia incisional en región de ángulo mandibular izquierdo, la cual reporta como resultado histopatológico: queratoquiste odontogénico (Figura 3).

Se indican estudios paraclínicos, se planifica y se lleva a mesa operatoria bajo anestesia general inhalatoria balanceada donde se realiza: enucleación y curetaje de la lesión, ostectomía periférica, aplicación tópica de 5-fluorouracilo amp 500 mg/10 mL (Figura 4) y odontectomía de OD 3.6, 3.7 (Tabla 1 y Figura 5). Adicionalmente se realiza odontectomía de resto radicular de OD 4.8, obteniendo como complicación intraoperatoria una fractura de ángulo mandibular derecho, por lo que se realiza una reducción abierta de la misma y colocación de placa de reconstrucción del sistema 2.3.

Se recibe resultado de estudio histopatológico, confirmando el diagnóstico de queratoquiste odontogénico.

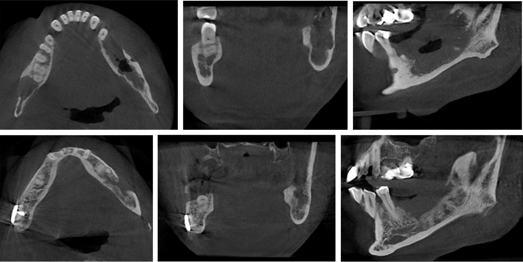
Se evalúa paciente en un postoperatorio tardío, con tomografía computarizada (Figura 6), donde se evidencia proceso de cicatrización adecuado, neoformación ósea en región de cuerpo y ángulo mandibular izquierdo. Al examen clínico: simetría facial relativa, apertura oral conservada, dentición permanente, edentulismo parcial mandibular, oclusión estable, cicatriz eutrófica en región de fondo de vestíbulo cuadrante III (Figura 7). Se indica control tomográfico a los 12 y 24 meses.



DISCUSIÓN

En los últimos años se ha prestado atención a nuevos procedimientos en el tratamiento de QO que deberían ser tan simples y exitosos como sea posible. Uno de los agentes terapéuticos considerados en el tratamiento de QO es 5-FU. Este antimetabolito induce la apoptósis al inhibir las señales sónicas de hedgehog (SHH) en el cáncer hepatocelular, y se utiliza en diferentes enfermedades malignas, como el CBC, para aplicación tópica. Ledderhof12 propuso un enfoque específico basado en la comprensión de la genética molecular de QO. Se ha informado que el QO se desarrolla a través de la mutación del gen homólogo parcheado de proteína (PTCH) como en los carcinomas basocelulares que causan activación suavizada (SMO) y SHH dando como resultado cambios neoplásicos.10 El estudio realizado por Rui y colaboradores13 muestra que el antagonismo de la vía de la señal de SHH puede ser una forma eficaz de dirigirse molecularmente a QO a través de la supresión del factor de transcripción SHH y la inhibición de SMO. Esta alteración del gen SMO juega un papel importante en el desarrollo de QO. Balamurugan14 también informó que el 5-FU es una modalidad de tratamiento que marca tendencia en QO. El efecto citotóxico del 5-FU es iniciado por la conversión mediada por la timidina fosforilasa (TP) de 5-FU en fluorodesoxiuridina, luego la timidina quinasa convierte la fluorodesoxiuridina en monofosfato de fluorodesoxiuridina, el metabolito activo del 5-FU responsable de la competencia, inhibiendo activamente la timidilato sintetasa (TS). La inhibición de TS priva a las células en proliferación activa de timidina, lo que induce un daño letal en el ADN.15 Los QO inflamados se asocian con niveles bajos de TS y altos de TP, dos características de una respuesta efectiva al 5-FU y, por lo tanto, pueden beneficiarse más del tratamiento con 5-FU que los QO no inflamados, ya que pueden mejorar la destrucción del revestimiento epitelial restante de QO y los quistes satélites microscópicos que quedan inadvertidamente después de la eliminación quirúrgica.10 La expresión baja de TS y alta de TP en los QO inflamados sugiere que procedimientos como la biopsia incisional previa, la marsupialización, la enucleación y legrado intraoperatorios que inducen inflamación, pueden aumentar la eficacia del tratamiento con 5-FU de los QO. Se ha sugerido que el propio 5-FU induce una reacción inflamatoria intensa cuando se aplica tópicamente en la piel dentro de las primeras 24 horas.16

Nicholas J. Ledderhof y colaboradores12 diseñaron e implementaron un estudio ambispectivo de pacientes tratados con aplicación tópica de 5-fluorouracilo (5-FU) versus solución de Carnoy modificada (SCM) después de enucleación y ostectomía periférica del queratoquiste odontogénico (QO). Evaluaron el tiempo hasta la recurrencia del QO (meses) y la incidencia de lesión del nervio alveolar inferior. Para la aplicación tópica del 5-FU, después de la enucleación y la ostectomía periférica de la lesión, se recubrió una cinta de gasa estéril de 1?4 de pulgada con 5-FU a 5% y se empaquetó en la herida quirúrgica. Luego, la herida se cerró de la manera habitual, dejando un pequeño extremo distal de gasa expuesto para permitir la extracción de la gasa a las 24 horas del postoperatorio. Para la aplicación tópica de la solución de Carnoy modificada, se protegieron los tejidos blandos circundantes, luego se colocaron con cuidado gasas impregnadas de solución de Carnoy en la herida quirúrgica durante 3 minutos, seguido de una irrigación minuciosa con solución salina. Se revisaron 32 pacientes de los cuales 21 se trataron con SCM y 11 con 5-FU a 5%. En cuanto a la recurrencia, en el grupo de SCM hubo cuatro recurrencias (19.0%) con un tiempo medio de recurrencia de 26.3 ± 1.8 meses y un tiempo medio de seguimiento de 41.3 ± 3.8 meses. Por el contrario, no hubo recurrencias en el grupo de 5-FU con un tiempo medio de seguimiento de 35.0 ± 8.5 meses. Con respecto a la morbilidad del paciente, no hubo eventos adversos locales o sistémicos en respuesta a la aplicación de 5-FU. En 14 de 18 casos mandibulares (77.8%) tratados con SCM, se notó parestesia postoperatoria del nervio alveolar inferior con un tiempo medio de recuperación de 29.0 ± 10.6 semanas. Cuatro de estos casos (22.2%) resultaron en parestesia permanente. Por el contrario, sólo tres casos (33.3%) de pacientes tratados con 5-FU presentaron parestesias transitorias que se resolvieron en un tiempo medio de 42.0 ± 10.0 semanas.

Parveen Akhter Lone y su equipo17 realizaron un estudio prospectivo incluyendo 27 pacientes y asignándolos al azar a tres grupos de tratamiento; nueve fueron tratados mediante enucleación seguida de SCM, 11 mediante aplicación de 5-FU tras osteotomía periférica y siete mediante resección segmentaria (RS). El seguimiento osciló entre dos y nueve años, con una media de 3.5 años para evaluar la curación ósea y comprobar si había recurrencia. En el primer grupo, después de la enucleación, la mucosa se cubrió con SCM (60% de etanol y 10% de ácido acético glacial, 1 g de cloruro férrico) durante 3 min, seguido de irrigación minuciosa y se suturó la herida, en el segundo grupo después de la ostectomía periférica, se cubrió con 5-FU una cinta de gasa estéril y se empaquetó en la cavidad quirúrgica. La herida se cerró de manera habitual dejando un extremo pequeño expuesto en la cavidad oral y se retiró a las 24 horas después, y en el tercer grupo, posterior a la resección segmentaria, se colocó una placa de reconstrucción. En el grupo de SCM se observó parestesia en 55%, que se recuperó en todos excepto en un caso y hubo recidiva de la lesión en 66.6%, mientras que en el grupo de 5-FU, 9% de los pacientes reportó parestesia temporal que finalmente se resolvió, sin recurrencia y sin deformidad funcional y estética y en el grupo de RS hubo 100% de deformidad funcional y cosmética, además de parestesia, pero sin recurrencia.

Por otro lado, Marco F. Caminiti y su equipo18 diseñaron e implementaron un estudio de cohorte retrospectivo para evaluar el uso de 5-FU tópico combinado con el manejo quirúrgico para mejorar los resultados de los pacientes en el tratamiento del QO, los hallazgos de este estudio respaldan que la aplicación tópica de 5-FU en la cavidad de la herida inmediatamente después del legrado y la ostectomía periférica es eficaz para eliminar los restos del epitelio del queratoquiste y los quistes satélites, que se cree que son la causa de la recurrencia. El modo de acción del 5-FU tópico difiere de la solución de Carnoy modificada (SCM) o del nitrógeno líquido, que causa necrosis tisular no selectiva. El efecto farmacológico del 5-FU se ve afectado por tres enzimas: TS, TP y dihidropirimidina deshidrogenasa (DPD). Incluyeron 70 pacientes (36 pacientes tratados con SCM y 34 tratados con 5-FU a 5%) como terapias complementarias. En el primer grupo control (SCM), colocaron una gasa impregnada aplicada a todas las superficies de la cavidad quística durante tres minutos. Luego se enjuagó la cavidad con solución salina y se suturó. En el segundo grupo (5-FU), colocaron una cinta de gasa radiopaca impregnada con crema de 5-FU a 5% en la cavidad, el sitio se cerró dejando 1 cm de cinta expuesta para facilitar la extracción. Se tomó una radiografía panorámica antes de la operación y dentro de las 24 horas posteriores, que mostró la gasa en cavidad. La tira de 5-FU se retiró a las 24 horas del postoperatorio y el sitio se irrigó con solución salina. En ambos grupos, se tomaron radiografías panorámicas o tomografías computarizadas a intervalos de seis meses para evaluar la recurrencia. El periodo medio de seguimiento fue de 30 a 24 meses en el grupo de 5-FU y de 35 a 26 meses en el grupo de SCM. No hubo recurrencias dentro del grupo 5-FU durante este periodo y nueve recurrencias dentro del grupo SCM. No se encontraron diferencias significativas entre los dos grupos en parestesia nerviosa permanente.

Para el caso reportado, se contó con la disponibilidad del 5-fluorouracilo en amp de 500 mg/10 mL, se introdujo en la cavidad quística luego de realizar la enucleación, curetaje y ostectomía periférica, eliminando aproximadamente 2 mm de las paredes que estaban en contacto con la lesión, asegurándose de que la gasa impregnada en el medicamento estuviera en contacto con las mismas como lo sugieren las literaturas revisadas, dejando un segmento de la gasa fuera al momento de suturar para facilitar su extracción a las 24 horas. Hubo parestesia transitoria, la cual no refiere en el control postoperatorio de los seis meses. Y en la tomografía se observa proceso de cicatrización ósea acorde al tiempo postoperatorio, no se evidencian signos de reaparición de la lesión. Actualmente en la espera del control tomográfico a los 12 y 24 meses.



CONCLUSIONES

El 5-FU es un tratamiento novedoso, efectivo y dirigido para los QO con tasas de recurrencia más bajas y menos morbilidad, las ventajas del 5-FU tópico incluyen corto tiempo operatorio, disponibilidad, simplicidad técnica, morbilidad reducida, bajo costo, con baja o nula recurrencia, disminuyendo así la necesidad de una segunda cirugía. El fármaco es bien conocido y bien estudiado con un buen perfil de seguridad; sin embargo, se requieren estudios más grandes para generar evidencia sobre el uso de 5-FU, como una técnica novedosa para el manejo de QO.



AGRADECIMIENTOS

Asistencia técnica y apoyo general recibido por parte del cuerpo de adjuntos y residentes del Hospital Clínico Universitario de Caracas.


REFERENCIAS (EN ESTE ARTÍCULO)

  1. Shear M, Speight P. Cysts of the oral and maxillofacial regions. 4th ed. Oxford: Blackwell Publishing; 2008.

  2. Shear M. The aggressive nature of the odontogenic keratocyst: is it a benign cystic neoplasm? Part 1. Clinical and early experimental evidence of aggressive behaviour. Oral Oncol. 2002; 38: 219-226.

  3. Pogrel MA. The keratocystic odontogenic tumor. Oral Maxillofac Surg Clin North Am. 2013; 25 (1): 21-30.

  4. Kaczmarzyk T, Mojsa I, Stypulkowska J. A systematic review of the recurrence rate for Keratocystic odontogenic tumour in relation to treatment modalities. Int J Oral Maxillofac Surg. 2012; 41 (6): 756-767.

  5. Bell RB, Dierks EJ. Treatment options for the recurrent odontogenic keratocyst. Oral Maxillofac Surg Clin North Am. 2003; 15 (3): 429-446.

  6. Ghali GE, Connor MS. Surgical management of the odontogenic keratocyst. Oral Maxillofac Surg Clin North Am. 2003; 15 (3): 383-392.

  7. Blanas N, Freund B, Schwartz M, Furst IM. Systematic review of the treatment and prognosis of the odontogenic keratocyst. Oral Surg Oral Med Oral Pathol Oral Radiol Endod. 2000; 90 (5): 553-558.

  8. Beach DF, Somer R. Novel approach to Gorlin syndrome: a patient treated with oral capecitabine. J Clin Oncol. 2011; 29 (14): e397-401.

  9. Ren C, Amm HM, DeVilliers P, Wu Y, Deatherage JR, Liu Z, et al. Targeting the sonic hedgehog pathway in keratocystic odontogenic tumor. J Biol Chem. 2012; 287 (32): 27117-27125.

  10. Qu J, Yu F, Hong Y, Guo Y, Sun L, Li X, et al. Underestimated PTCH1 mutation rate in sporadic keratocystic odontogenic tumors. Oral Oncol. 2015; 51 (1): 40-45.

  11. Gross K, Kircik L, Kricorian G. 5% 5-Fluorouracil cream for the treatment of small superficial Basal cell carcinoma: efficacy, tolerability, cosmetic outcome, and patient satisfaction. Dermatol Surg. 2007; 33 (4): 433-439; discussion 440.

  12. Ledderhof NJ, Caminiti MF, Bradley G, Lam DK. Topical 5-fluorouracil is a novel targeted therapy for the keratocystic odontogenic tumor. J Oral Maxillofac Surg. 2017; 75 (3): 514-524.

  13. Rui Z, Li-Ying P, Jia-Fei Q, Ying-Ying H, Feng C, Tie-Jun L. Smoothened gene alterations in keratocystic odontogenic tumors. Head Face Med. 2014; 10: 36.

  14. Balamurugan R. 5 fluorouracil: trend setter in the management of odontogenic keratocyst. J Case Stud Cl Trials. 2019;1(1).

  15. Longley DB, Harkin DP, Johnston PG. 5-fluorouracil: mechanisms of action and clinical strategies. Nat Rev Cancer. 2003; 3 (5): 330-338.

  16. Evrard A, Cuq P, Ciccolini J, Vian L, Cano JP. Increased cytotoxicity and bystander effect of 5-fluorouracil and 5-deoxy-5-fluorouridine in human colorectal cancer cells transfected with thymidine phosphorylase. Br J Cancer. 1999; 80 (11): 1726-1733.

  17. Akhter Lone P, Ahmed Wani N, Ahmed Janbaz Z, Bibi M, Kour A. Topical 5-fluorouracil application in management of odontogenic keratocysts. J Oral Biol Craniofac Res. 2020; 10 (4): 404-406.

  18. Caminiti MF, El-Rabbany M, Jeon J, Bradley G. 5-fluorouracil is associated with a decreased recurrence risk in odontogenic keratocyst management: a retrospective cohort study. J Oral Maxillofac Surg. 2021; 79 (4): 814-821.



AFILIACIONES

1 Residente de la Maestría en Odontología, Facultad de Odontología de la Universidad Central de Venezuela.

2 Doctora en Patología Oral y Maxilofacial, University College of London. Adjunto al Servicio de Cirugía Bucomaxilofacial del Hospital "Dr. Domingo Luciani". Caracas, Venezuela.

3 Doctora en Diagnóstico Bucal. Radiología, Facultad de Odontología de la Universidad de Sao Paulo (FO/USP). Unidad de Imagen Dentomaxilofacial, Clínica Félix Boada. Caracas, Venezuela.

4 Odontóloga. Magíster Scientiarum en Medicina Estomatológica. Especialista en Radiología Oral y Maxilofacial. Profesora Titular. Coordinadora de Investigación, Facultad de Odontología de la Universidad Central de Venezuela (FO UCV).

5 Cirujano Bucomaxilofacial, adjunto al Servicio de Cirugía Bucomaxilofacial del Hospital Clínico Universitario. Caracas, Venezuela.



Financiamiento: Instituto Venezolano de los Seguros Sociales (IVSS), Hospital \"Dr. Domingo Luciani\", donación del medicamento utilizado para el estudio (5-fluorouracilo amp 500 mg/10 mL).



CORRESPONDENCIA

César Miguel Figueira Hidalgo. E-mail: cfigueiramaxilofacial@gmail.com




Recibido: 17/01/2024. Aceptado: 20/02/2024

Figura 1
Figura 2
Figura 3
Figura 4
Figura 5
Figura 6
Figura 7
Tabla 1

2020     |     www.medigraphic.com

Mi perfil

C?MO CITAR (Vancouver)

Lat Am J Oral Maxillofac Surg. 2024;4

ARTíCULOS SIMILARES

CARGANDO ...