medigraphic.com
ENGLISH

Revista Mexicana de Anestesiología

ISSN 3061-8142 (Digital)
ISSN 0484-7903 (Impreso)
  • Mostrar índice
  • Números disponibles
  • Información
    • Información general        
    • Directorio
  • Publicar
    • Instrucciones para autores        
  • medigraphic.com
    • Inicio
    • Índice de revistas            
    • Registro / Acceso
  • Mi perfil

2024, Número 3

<< Anterior Siguiente >>

Rev Mex Anest 2024; 47 (3)


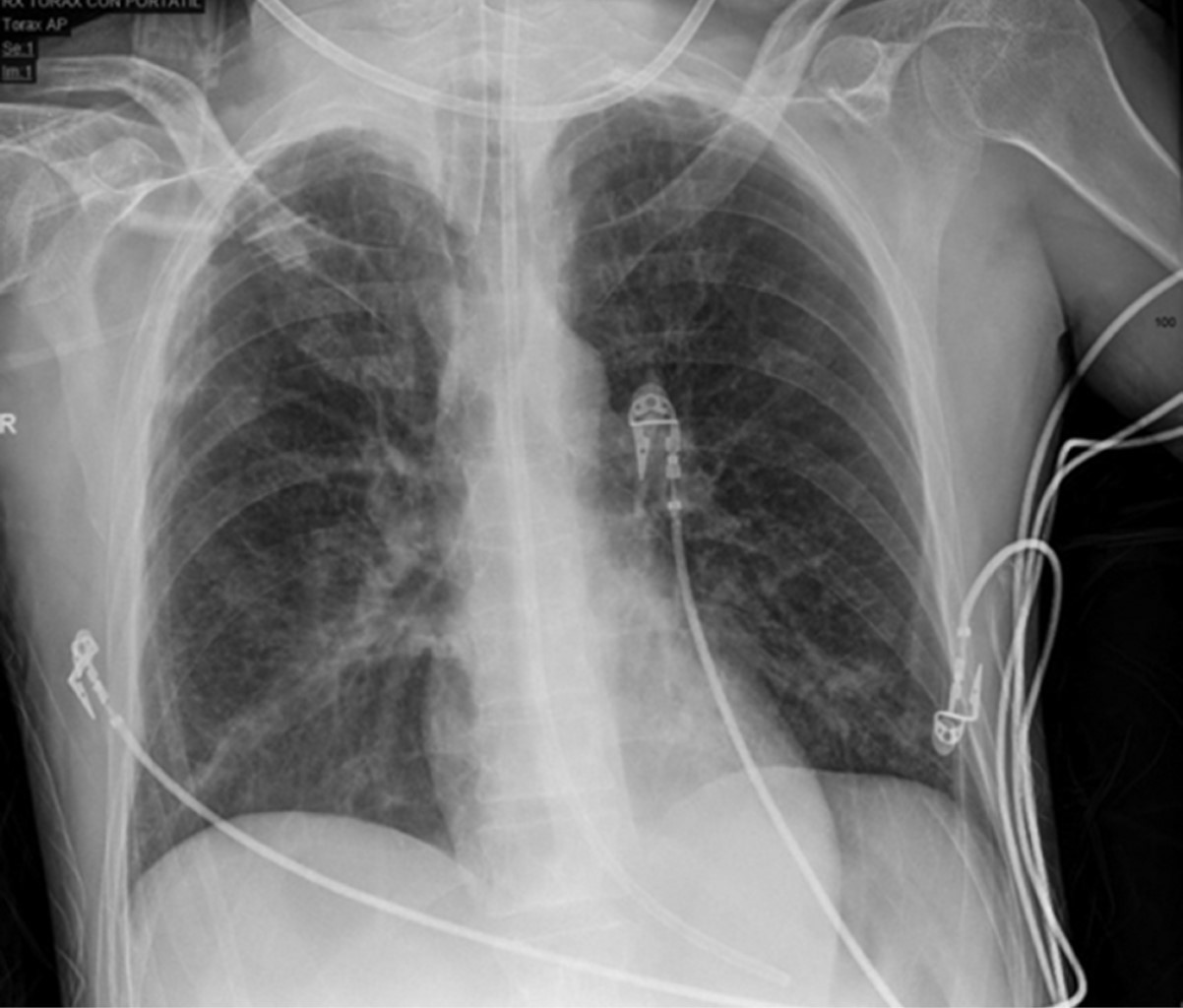
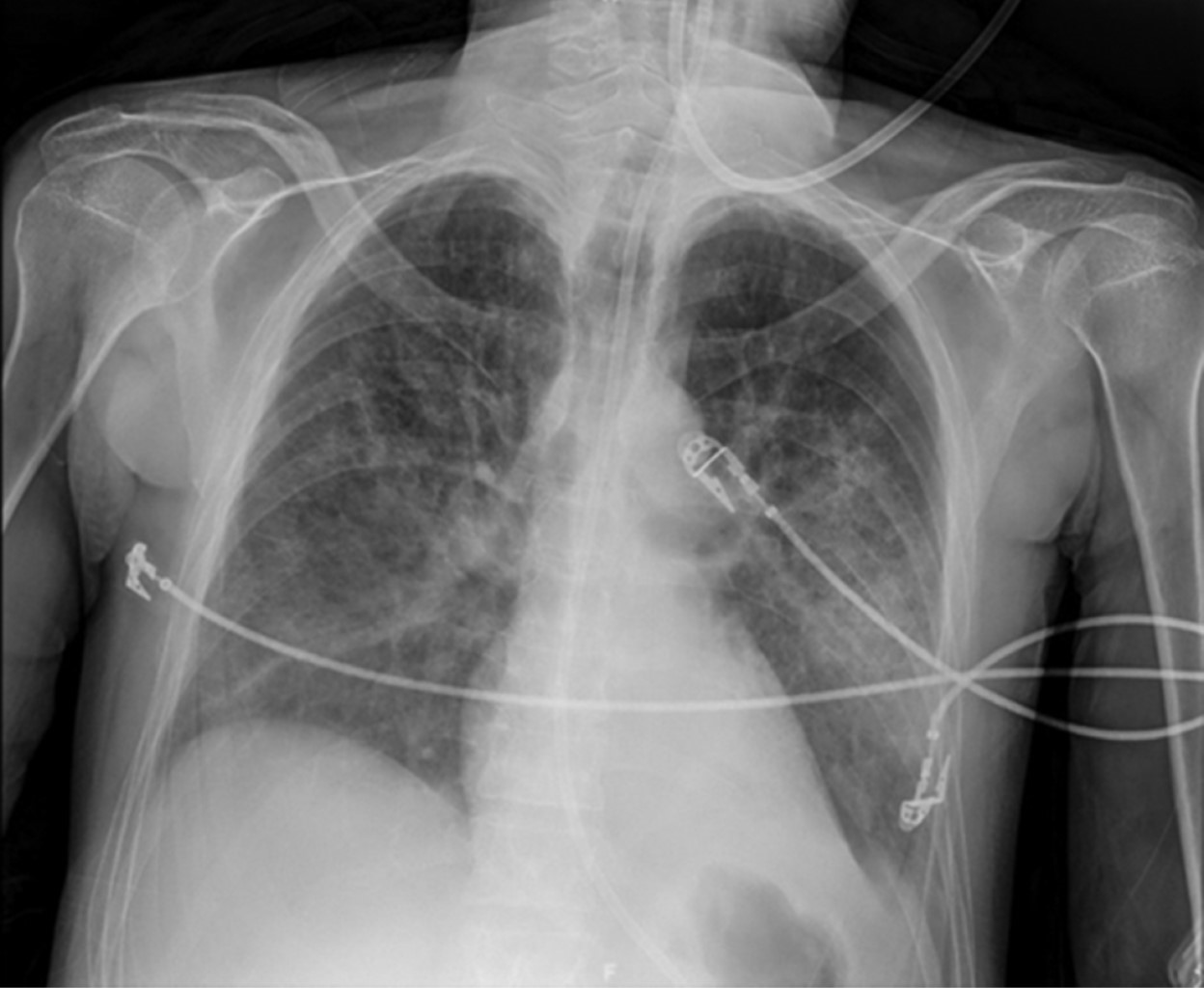
Intoxicación por cianuro tratada con dosis altas de hidroxocobalamina. Reporte de caso y reseña de esta complicación

Pérez-Ajami D, Viscasillas-Navarro E, Gallego-Goyanes A, Enguídanos-Sánchez C, Egea-Belda J, Guiu-Pérez A
Texto completo Cómo citar este artículo 10.35366/116174

DOI

DOI: 10.35366/116174
URL: https://dx.doi.org/10.35366/116174
Artículos similares

Idioma: Ingles.
Referencias bibliográficas: 5
Paginas: 202-204
Archivo PDF: 204.06 Kb.


PALABRAS CLAVE

intoxicación por cianuro, síndrome de inhalación, hidroxocobalamina, insuficiencia renal, paciente quemado grave.

RESUMEN

La intoxicación por cianuro frecuentemente complica las lesiones por quemaduras graves con síndrome de inhalación. El protocolo de tratamiento establecido recomienda una dosis estándar de 70 mg/kg de hidroxocobalamina para adultos, con la opción de administrar una segunda dosis, que no exceda un máximo de 140 mg/kg. Nuestro objetivo es relatar el caso de un paciente para quien una dosis escalonada, que excedía el límite aprobado, era imperativa para revertir la intoxicación. La decisión no convencional de administrar dosis tan altas resultó en salvarle la vida, aunque no se ajustara a las especificaciones técnicas del medicamento. Cabe destacar que los efectos secundarios observados no fueron notablemente peores que los asociados con la dosis estándar, excepto por la aparición de una insuficiencia renal moderada. Vale la pena mencionar que esta complicación renal también está documentada con dosis estándar y no requirió terapia de reemplazo renal.


REFERENCIAS (EN ESTE ARTÍCULO)

  1. Sanchez RJJ. Stability of hydroxocobalamin in water for injection as an antidote against cyanides: elaborated from military pharmacy. Sanid Mil. 2012; 68: 87-96. doi: 10.4321/S1887-85712012000200005.

  2. Gonzales J, Sabatini S. Cyanide poisoning: pathophysiology and current approaches to therapy. Int J Artif Organs. 1989; 12: 347-355. doi: 10.1177/039139888901200601.

  3. Cummings TF. The treatment of cyanide poisoning. Occup Med (Lond). 2004; 54: 82-85. doi: 10.1093/occmed/kqh020.

  4. Friedman BT, Chen BC, Latimer AJ, Valento MJ. Iatrogenic pediatric hydroxocobalamin overdose. Am J Emerg Med. 2019; 37: 1394.e1-1394.e2.

  5. MacLennan L, Moiemen N. Management of cyanide toxicity in patients with burns. Burns. 2015; 41: 18-24. doi: 10.1016/j.burns.2014.06.001.




Figura 1
Figura 2
Tabla 1
Tabla 2

2020     |     www.medigraphic.com

Mi perfil

C?MO CITAR (Vancouver)

Rev Mex Anest. 2024;47

ARTíCULOS SIMILARES

CARGANDO ...