medigraphic.com
ENGLISH

Revista ADM Órgano Oficial de la Asociación Dental Mexicana

ISSN 0001-0944 (Impreso)
Órgano Oficial de la Asociación Dental Mexicana
  • Mostrar índice
  • Números disponibles
  • Información
    • Información general        
    • Directorio
  • Publicar
    • Instrucciones para autores        
    • Envío de artículos
  • medigraphic.com
    • Inicio
    • Índice de revistas            
    • Registro / Acceso
  • Mi perfil

2024, Número 3

<< Anterior

Rev ADM 2024; 81 (3)


Restablecimiento de guía anterior con restauraciones adhesivas.

Ortiz-Ruiz, Santiago1,2; Pérez-Banuet Saucedo, Emilio1,3; Caballero-Pérez, Alejandro1,4; Marín-Espinoza, Adriana1,5; Correia Miranda Valdivia, Andréa Dolores1,6
Texto completo Cómo citar este artículo 10.35366/116303

DOI

DOI: 10.35366/116303
URL: https://dx.doi.org/10.35366/116303
Artículos similares

Idioma: Español
Referencias bibliográficas: 17
Paginas: 186-190
Archivo PDF: 318.89 Kb.


PALABRAS CLAVE

desgaste dental, bruxismo, guía anterior, corona estética, diastema, estética, adhesivo dental.

RESUMEN

La estética ha llegado a formar una parte muy importante en la odontología actual. Sin embargo, no debemos sobreponer las necesidades estéticas sobre las necesidades funcionales. La pérdida de estructura dental asociada a bruxismo puede ser considerada patológica cuando compromete la guía anterior, la cual es la influencia en los movimientos mandibulares que proveen las superficies contactantes de los dientes maxilares anteriores con los mandibulares anteriores y evita contactos excéntricos dañinos en los dientes posteriores. El objetivo de este reporte de caso es presentar una alternativa conservadora para restablecer tanto la estética como la funcionalidad de una paciente de 34 años de edad que acudió a la Clínica de Prostodoncia de la Universidad Autónoma de Guadalajara en busca de rehabilitación estética de dientes anteriores. Una vez realizada su evaluación inicial se llegó al diagnóstico de pérdida de guía anterior por desgaste patológico asociado a bruxismo. El tratamiento incluyó tratamientos de conductos, remoción de caries y restauraciones mal ajustadas, coronas y carillas para restablecer la guía anterior. Se cumplieron con las expectativas estéticas que tenía la paciente al igual que con las necesidades funcionales que fueron objetivo desde el inicio, logrando un restablecimiento de la guía anterior de manera conservadora.



INTRODUCCIóN

La odontología estética ha tomado un papel cada vez más importante en la actualidad, sin embargo, las necesidades estéticas no deben sobreponer las funcionales, el odontólogo debe elegir un plan de tratamiento realizando un diagnóstico adecuado con base en el historial médico y dental del paciente.

El bruxismo se define como el hábito parafuncional de rechinar y apretar los dientes fuera de los movimientos funcionales de la mandíbula, siendo la más común del sistema masticatorio y su etiología puede ser ampliamente cuestionada.1,2 El desgaste dental está asociado con el bruxismo pero no es la única condición que ocasiona pérdida de estructura dentaria, por lo que es necesario valorar la localización y naturaleza de las facetas de desgaste en los órganos dentales tanto intraoralmente como en modelos de yeso para así observar el patrón de desgaste (atrición).3,4

La oclusión balanceada ha sido denominada como "no fisiológica" y la oclusión no balanceada o anteriormente guiada se considera mejor desde el punto de vista biológico.5-7 La guía anterior es la influencia en los movimientos mandibulares que proveen las superficies contactantes de los dientes maxilares anteriores con el ángulo labio-incisal de los dientes mandibulares anteriores. La profundidad de la guía anterior es influenciada por la sobre mordida vertical y horizontal de los dientes anteriores.8 La guía anterior junto con las superficies condilares izquierda y derecha son las responsables de evitar contactos excéntricos dañinos en los dientes posteriores.

Existen diversas opciones de tratamiento para lograr los objetivos estéticos y funcionales en la rehabilitación de un paciente como métodos directos (resinas) o indirectos (carillas o coronas). Debido a su apariencia estética y durabilidad, las carillas en disilicato de litio se han convertido en un procedimiento estándar en el tratamiento estético y funcional de los dientes anteriores.9 Las carillas pueden ser utilizadas para corregir la forma de los dientes, su posición, cambios de color, cerrar diastemas y restablecer la guía anterior.8

El objetivo de este reporte de caso clínico es presentar una secuencia de tratamiento conservador en una paciente que sufrió la pérdida de la guía anterior, debido a hábito parafuncional, restableciendo de manera integral la estética y la función.



PRESENTACIóN DEL CASO

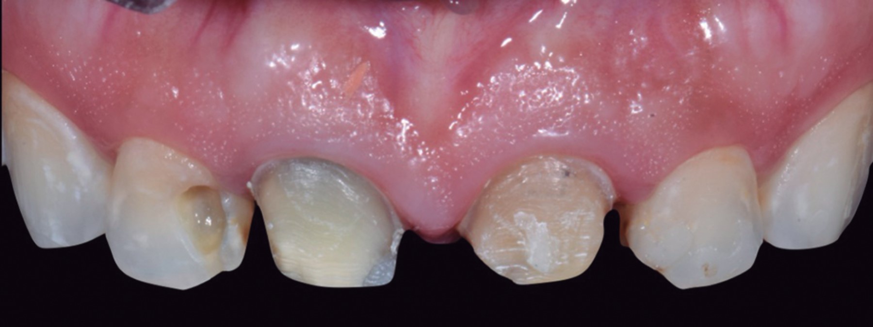
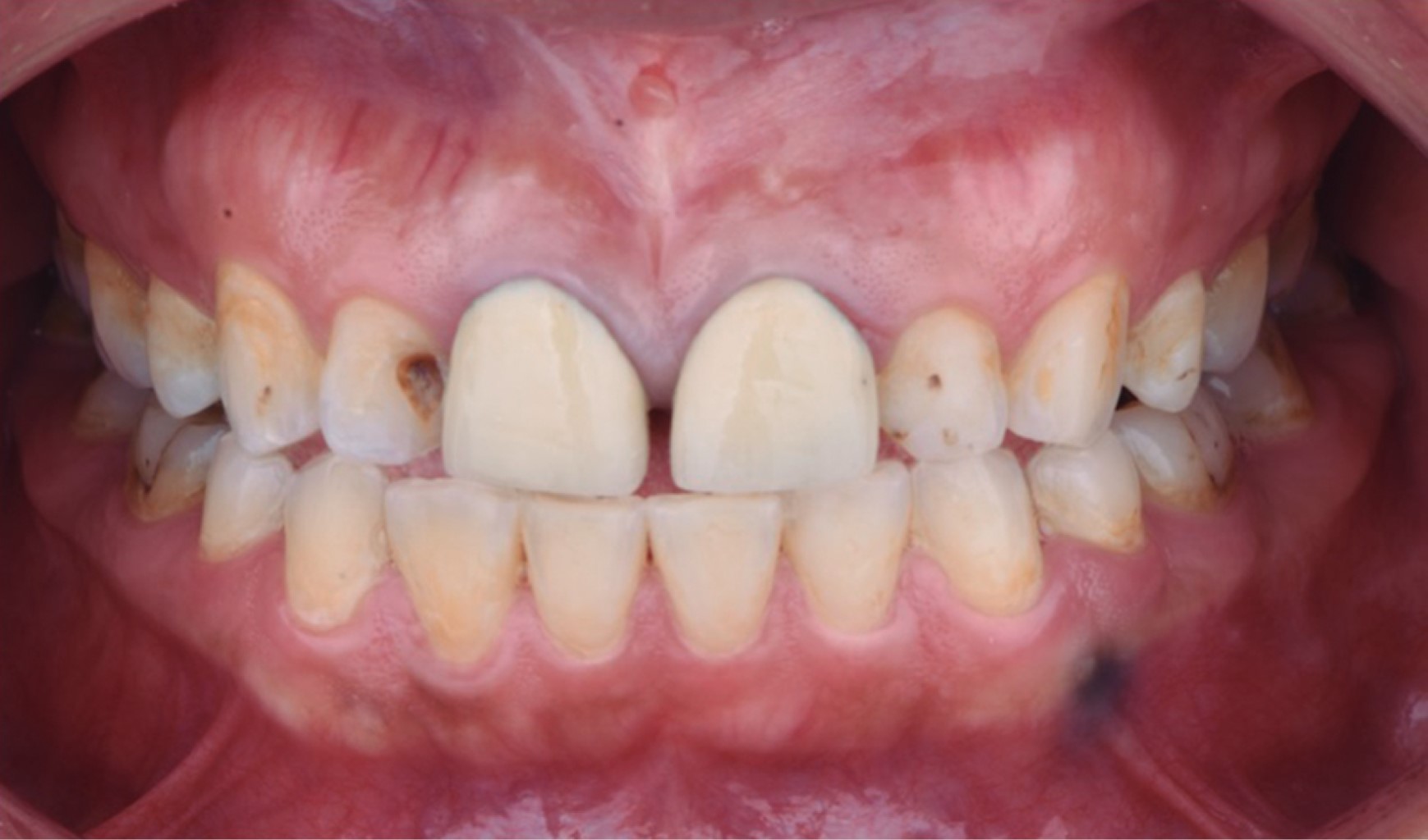
Paciente femenino de 34 años se presenta al área de Prostodoncia de la Facultad de Odontología de la Universidad Autónoma de Guadalajara (UAG) en 2017 manifestando inconformidad en cuanto a la estética de sus dientes, además, se encuentran desgastados ya que ella tenía el hábito de rechinar los dientes durante la noche. Después de completar la historia clínica y la exploración intraoral se llegó al diagnóstico de pérdida de guía anterior debido a un desgaste dental patológico sin pérdida de dimensión vertical, en combinación con lesiones cariosas y restauraciones mal ajustadas.

El plan de tratamiento requirió de un trabajo interdisciplinario en el que se indicó tratamiento de conductos y coronas de disilicato de litio (e.max, Ivoclar Vivadent) en los incisivos centrales y laterales superiores; carillas del mismo material en los caninos superiores izquierdo y derecho (Figura 1). Para iniciar el tratamiento se tomaron modelos de estudio, registro de mordida (Occlufast, Zhermack) y arco facial para montar los modelos en un articulador semiajustable (PCH-Panadent) (Figura 2). Posteriormente se realizó encerado diagnóstico para la confección de un Mock-up (Figura 3), en donde se evalúa la función de la nueva guía anterior establecida y deben ser realizadas pruebas de fonética y estética.

Una vez terminada la fase diagnóstica en donde se evalúan factores estéticos como las formas anatómicas, proporciones dentales, exposición de bordes incisales en reposo y funcionales devolviendo la guía anterior, se retiraron las coronas de los órganos dentarios (OD) 11 y 21, al igual que las lesiones cariosas de los OD 12 y 22 (Figura 4). Se realizó una interconsulta con el departamento de endodoncia y se procedió a realizar tratamiento de conductos a estos dientes. Una vez terminados los tratamientos de conductos se colocaron postes metálicos paralelos (Para-Post) en los OD 11 y 21 debido a que se necesitaba aumentar la altura del muñón protésico para retención de la restauración.10 Una vez sellados los tratamientos de conductos de las cuatro piezas se volvió a colocar el Mock-up para utilizarlo como guía de desgaste para las preparaciones dentales mínimamente invasivas (Figura 5).

Para la toma de impresión definitiva se realizó una cucharilla individual con Palatray (Kulzer) con polivinilsiloxano (Express, 3M) con técnica de un hilo (000, Ultradent) (Figura 6). Posteriormente se tomaron registros de mordida Pattern Resin (GC) al igual que arco facial para montar los nuevos modelos en articulador semiajustable (PCH-Panadent) y se realizaron los provisionales de acrílico con la misma guía de silicón.

Una vez montado en el articulador, el modelo de trabajo, se procedió al encerado y confección de las restauraciones de disilicato de litio (e.max LT A2, Ivoclar Vivadent), prensadas y maquilladas en el laboratorio de la UAG. Se procedió entonces a la cementación adhesiva. Las restauraciones fueron tratadas durante 20 segundos con ácido fluorhídrico a 9% (Porcelain Etch, Ultradent), se enjuagó con agua para posteriormente grabar con ácido ortofosfórico a 35% (Ultra-Etch, Ultradent) por 60 segundos para remoción de las sales de hexafluorosilicato, se lavó nuevamente con agua para aplicar la capa de silano (Silane, Ultradent) durante 1 minuto.

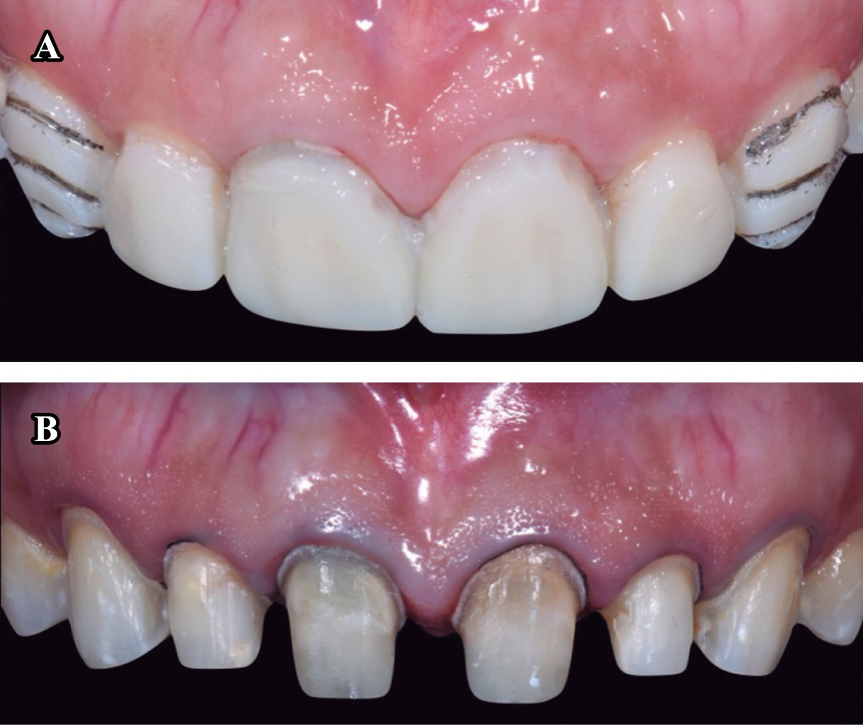
Para el acondicionamiento del diente, se grabó el esmalte con ácido ortofosfórico 37% durante 20 segundos, seguido de un lavado con agua para posteriormente aplicar un adhesivo universal (Ivopen, Ivoclar). Se procedió a cementar las restauraciones con cemento Variolink Esthetic LC (Ivoclar Vivadent) fotocurándolo durante 3 segundos antes de retirar excedentes y para realizar un fotocurado final de 20 segundos por cada cara libre. Finalmente, se fotocuró sobre una capa de glicerina para eliminar la capa inhibida por oxígeno. Se puede observar un cambio estético (Figura 7) y funcional con el restablecimiento de la guía anterior (Figura 8) en comparación con la situación inicial, además se realizó un guarda oclusal con acrílico termocurado.



DISCUSIóN

Los componentes de la forma de los dientes anteriores son la posición de borde incisal, contorno facial y contorno lingual; éstos son controlados por la estética, fonética y función. En cualquier momento algunos de estos factores pueden ser alterados si la necesidad de algún otro es mayor.11 El tratamiento rehabilitador debe enfocarse no sólo en las causas o síntomas, sino en la patología en sí, por lo que es necesario un diagnóstico adecuado para poder determinar la causa, origen y factores involucrados.3 Una vez llegado a un diagnóstico, se debe elegir un plan de tratamiento apropiado y llevarlo a cabo con las consideraciones protésicas oportunas: diseño de preparaciones, control de desgaste, toma de impresiones y un protocolo de cementación conveniente.

La exposición de dentina puede disminuir la resistencia de unión en las restauraciones adhesivas, lo que puede causar microfiltración y reducción de fuerzas de adhesión, por lo que se debe buscar que las preparaciones dentales queden restringidas al esmalte, por lo general con un grosor mínimo de 0.05 mm.12,13 Para lograr este objetivo se pueden utilizar técnicas de encerado aditivo además de realizar los preparos sobre el Mock-up y así mantener la mayor cantidad de esmalte.

Los tipos de preparaciones de carillas en el tercio incisal pueden ser sin reducción incisal, tales como reducción incisal con chamfer palatino y preparación tipo butt joint (junta tope) y los tipos de preparación por interproximal pueden ser sin extensión a palatino (traditional veneer) o con extensión a palatino (full veneer). En este caso clínico se realizó con extensión a palatino (full veneer) ya que muchos autores concuerdan que ésta es necesaria para lograr una apariencia natural del cierre de diastemas sin que éstas se vean sobrecontorneadas o no naturales.14 Como línea de terminación en borde incisal se hizo una terminación butt joint (junta tope), con esta terminación se deja la menor cantidad de porcelana sin soporte y aumenta el área de contacto, mejorando así la adhesión.12 El proceso de cementación es clave para la longevidad y el éxito clínico consiguiente. Los cementos de resina fotocurables tienen menor solubilidad en el medio oral, una mayor resistencia a la flexión y mejor estética;15 estos tipos de cementos tienen la ventaja de no poseer moléculas llamadas aminas terciarias, las cuales pasan por un proceso de oxidación y puede sufrir un cambio de color significativo, algo que debe ser evitado en un tratamiento estético en sector anterior.16

Además de finalizar los tratamientos rehabilitadores es muy importante la confección del guarda oclusal para proteger las restauraciones cerámicas, el diente natural y la musculatura del paciente, ya que mantienen los cóndilos en relación céntrica, proveen guías anteriores evitando contactos posteriores en movimientos excéntricos y así ayudan a disminuir la actividad eléctrica muscular durante estos movimientos.17



CONCLUSIONES

Se cumplieron con las expectativas estéticas que tenía la paciente, al igual que las necesidades funcionales que se tuvieron como objetivo desde el inicio, logrando un restablecimiento de la guía anterior de una manera conservadora. Se debe llevar a cabo un trabajo interdisciplinario para poder tener resultados predecibles y exitosos.


REFERENCIAS (EN ESTE ARTÍCULO)

  1. Johansson A, Omar R, Carlsson GE. Bruxism and prosthetic treatment: a critical review. J Prosthodont Res. 2011; 55 (3): 127-136.

  2. The glossary of prosthodontic terms: ninth edition. J Prosthet Dent. 2017; 117 (5S): e1-e105.

  3. Reddy SV, Kumar MP, Sravanthi D, Mohsin AH, Anuhya V. Bruxism: a literature review. J Int Oral Health. 2014; 6 (6): 105-109.

  4. Pontons-Melo JC, Pizzatto E, Furuse AY, Mondelli J. A conservative approach for restoring anterior guidance: a case report. J Esthet Restor Dent. 2012; 24 (3): 171-182.

  5. Lee RL. Advances in occlusion: anterior guidance. Boston Bristol London: PSG Inc.; 1982. pp. 52-79.

  6. Stallard H, Stuart C. Concepts of occlusion. Dent Clin North Am. 1963; 7: 591-606.

  7. D'amico A. the canine teeth: normal functional relation of the natural teeth of man. American Dental. 1958; 26 (1): 6-23.

  8. Schuyler CH. The function and importance of incisal guidance in oral rehabilitation. 1963. J Prosthet Dent. 2001; 86 (3): 219-232.

  9. Culp L, McLaren EA. Lithium disilicate: the restorative material of multiple options. Compend Contin Educ Dent. 2010; 31 (9): 716-20, 722, 724-725.

  10. McLean A. Criteria for the predictably restorable endodontically treated tooth. J Can Dent Assoc. 1998; 64 (9): 652-656.

  11. Fradeani M, Redemagni M, Corrado M. Porcelain laminate veneers: 6- to 12-year clinical evaluation--a retrospective study. Int J Periodontics Restorative Dent. 2005; 25 (1): 9-17.

  12. Castelnuovo J, Tjan AH, Phillips K, Nicholls JI, Kois JC. Fracture load and mode of failure of ceramic veneers with different preparations. J Prosthet Dent. 2000; 83 (2): 171-180.

  13. Ferrari M, Patroni S, Balleri P. Measurement of enamel thickness in relation to reduction for etched laminate veneers. Int J Periodontics Restorative Dent. 1992; 12 (5): 407-413.

  14. Rouse JS. Full veneer versus traditional veneer preparation: a discussion of interproximal extension. J Prosthet Dent. 1997; 78 (6): 545-549.

  15. Bottino M, Faria R, Valandro L. Estética en prótesis libres de metal en dientes naturales e implantes. Sao Paulo: Artes medicas; 2009.

  16. Atay A, Palazli Z, Gurdal I, Usumez A. Color change of different dual-cure resin cements after thermocycling. Odovtos. 2019; 21 (2): 53-62.

  17. Antonelli J, Hottel TL, Siegel SC, Brandt R, Silva G. The occlusal guard: a simplified technique for fabrication and equilibration. Gen Dent. 2013; 61 (3): 49-54.



AFILIACIONES

1 Departamento de Odontología Especializada, Postgrado de Prostodoncia, Facultad de Odontología de la Universidad Autónoma de Guadalajara. Guadalajara, Jalisco, México.

2 Residente en Postgrado de Prostodoncia, Departamento de Prostodoncia. ORCID: 0000-0002-6589-5090

3 Especialista en Rehabilitación Oral. ORCID: 0000-0003-3335-7252

4 Especialista en Rehabilitación Oral. ORCID: 0000-0002-1730-1251

5 Especialista en Rehabilitación Oral. Profesor del Postgrado de Prostodoncia. ORCID: 0000-0002-2463-7829

6 Doctora en Clínica Odontológica Integrada, Profesora Investigadora en el Departamento de Odontología Especializada. ORCID: 0000-0002-9688-6461



Conflicto de intereses: los autores declaramos que no hay conflicto de intereses personales, políticos o financieros potenciales o reales en el material, la información o las técnicas descritas en este documento.

Aspectos éticos: todos los procedimientos realizados se ajustan a los principios establecidos en la declaración de Helsinki de la Asociación Médica Mundial (AMM) y con lo establecido en la Ley General de Salud (título quinto) de México, así como con las normas del Comité Científico y de Ética de la Universidad Autónoma de Guadalajara.

Financiamiento: los autores agradecen al postgrado de Prostodoncia de la Universidad Autónoma de Guadalajara.



CORRESPONDENCIA

Andréa Dolores Correia Miranda Valdivia. E-mail: andrea.correia@edu.uag.mx




Recibido: 14 de abril de 2021. Aceptado: 13 de mayo de 2024.

Figura 1
Figura 2
Figura 3
Figura 4
Figura 5
Figura 6
Figura 7
Figura 8

2020     |     www.medigraphic.com

Mi perfil

C?MO CITAR (Vancouver)

Rev ADM. 2024;81

ARTíCULOS SIMILARES

CARGANDO ...