medigraphic.com
ENGLISH

Medicina Crítica

  • Mostrar índice
  • Números disponibles
  • Información
    • Información general        
    • Directorio
  • Publicar
    • Instrucciones para autores        
  • Políticas
  • Lineamientos
  • medigraphic.com
    • Inicio
    • Índice de revistas            
    • Registro / Acceso
  • Mi perfil

2024, Número 2

<< Anterior

Med Crit 2024; 38 (2)


Anestésicos inhalados en estado asmático, experiencia de dos casos

Carrillo-Esper, Raúl1; Velarde Pineda, Ana Alicia2
Texto completo Cómo citar este artículo 10.35366/116324

DOI

DOI: 10.35366/116324
URL: https://dx.doi.org/10.35366/116324
Artículos similares

Idioma: Español
Referencias bibliográficas: 36
Paginas: 134-143
Archivo PDF: 375.63 Kb.


PALABRAS CLAVE

sedación inhalada, estatus asmático, sevoflurano, anestésicos volátiles.

RESUMEN

Introducción: el estado asmático se caracteriza por ser un episodio de crisis asmática debido a una inflamación persistente, que tiene pobre respuesta al tratamiento estándar y que pone en riesgo la vida de los pacientes. Es una patología que por su fisiopatología es tiempo-dependiente en su reconocimiento oportuno y tratamiento temprano. Casos clínicos: en este trabajo se describen dos casos de pacientes del sexo femenino que requirieron su ingreso a la Unidad de Cuidados Intensivos, debido a un estado asmático refractario a tratamiento convencional, en donde se utilizaron anestésicos volátiles (sevoflurano) ministrados mediante el dispositivo de sedación inhalada con dispositivo AnaConDa (Anesthetic Conserving Device), con lo que se logró una adecuada resolución del broncoespasmo debido al efecto de estos medicamentos sobre el músculo liso bronquial y el proceso inflamatorio. Conclusión: los medicamentos anestésicos volátiles administrados a través de este dispositivo, favorecen la broncodilatación, mejoría del flujo aéreo y resolución de la hipercapnia, sin afectar de forma importante el espacio muerto, mejorando la eficiencia de la respuesta al tratamiento broncodilatador y antiinflamatorio, con un efecto ahorrador de sedantes. Por lo anterior, el manejo de anestésicos inhalados a través del dispositivo AnaConDa es una alternativa útil para el manejo del estado asmático.



ABREVIATURAS:

  • AnaConDa = Anaesthetic Conserving Device (dispositivo de conservación de anestésico).
  • PEEP = presión positiva al final de la espiración (Positive End-Expiratory Pressure).
  • UCI = Unidad de Cuidados Intensivos.
  • PSI = Pneumonia Severity Index (índice de gravedad de la neumonía).
  • lpm = latidos por minuto.
  • FR = frecuencia respiratoria.
  • rpm = respiraciones por minuto.
  • BIS = índice biespectral.
  • VC = volumen control.
  • FEV1 = volumen espiratorio forzado en el primer segundo.



INTRODUCCIóN

El estado asmático suele ser uno de los principales motivos de ingreso a urgencias y es una verdadera urgencia médica, que se caracteriza por un episodio de crisis asmática que tiene una pobre repuesta al tratamiento estándar. El asma aguda constituye un motivo frecuente de consulta en los servicios de urgencias, aproximadamente entre 1 a 12%, donde los adolescentes y adultos jóvenes son los que más requieren atención médica. Es más frecuente en mujeres 2:1 y entre 4 a 10% requieren ingreso a la Unidad de Cuidados Intensivos (UCI).1

El asma refractaria a tratamiento es un tipo de asma grave no controlado, en el que, tras descartar los factores externos de difícil control, la enfermedad sigue sin estar controlada por la respuesta parcial al tratamiento.2 De acuerdo con Hekking y colaboradores, de los pacientes asmáticos, 3.6% de los casos califican para el diagnóstico de asma refractaria severa, lo que representa 10.4 pacientes de cada 10,000 habitantes.3 En comparación con otras patologías, la frecuencia del asma refractaria a tratamiento es mucho menor, como es en el caso del síndrome coronario en hasta 502 casos por cada 100,00 habitantes de entre 45 y 54 años, y en hasta 854 por cada 100,000 habitantes en la población entre 65 y 74 años.4 El asma refractaria puede evolucionar a una falla respiratoria aguda con necesidad inminente de intubación en 2.1% de los casos, situación que puede ser potencialmente fatal.5-7 Los diversos factores que se han descrito para volverse asma casi fatal son: género femenino, edad avanzada, escala de comorbilidad de Charlson elevada, tabaquismo y necesidad de ventilación mecánica.7

El tratamiento del estado asmático tiene diversos objetivos como son: el adecuado mantenimiento de la oxigenación, la reducción de edema y taponamiento de la vía aérea por la mucosidad en la misma, con la consiguiente resolución de la obstrucción del flujo aéreo mientras se administra la ventilación mecánica como tratamiento de soporte que permita esperar una respuesta clínica del paciente.8 El tratamiento farmacológico debe contemplar la utilización de β2-agonistas inhalados de corta acción junto con el uso de antimuscarínicos inhalados de corta acción, así como el uso de corticoesteroides sistémicos a dosis bajas. Se han descrito otros medicamentos como las metilxantinas (aminofilina), el sulfato de magnesio y el montelukast.6,8,9 El uso de oxígeno suplementario y/o la ventilación mecánica tendrá como objetivo el mantener saturaciones > 92%.6

Está descrito que los agentes anestésicos volátiles o vapores anestésicos inducen broncodilatación en pacientes que son resistentes a β2-agonistas. El halotano, el isoflurano y el sevoflurano son broncodilatadores potentes en los pacientes asmáticos que se encuentran bajo apoyo ventilatorio mecánico y que han fallado al tratamiento previo convencional.10 Sin embargo, hasta antes del advenimiento de los dispositivos o vaporizadores médicos "portátiles" que permiten la administración de anestésicos volátiles fuera de quirófano en pacientes intubados y ventilados mecánicamente como es el dispositivo Anaesthetic Conserving Device (AnaConDa), los pacientes con asma resistente al manejo convencional sólo podían ser tratados con anestésicos volátiles de forma segura en quirófano a través de las máquinas de anestesia que cuentan con un vaporizador que regula la dosis del medicamento, una fuente de oxígeno y un absorbedor de dióxido de carbono. En este sentido no era fácil ni seguro transportar al paciente grave con estatus asmático al quirófano o movilizar la máquina de anestesia hacia la UCI, haciendo riesgoso su traslado considerando que la mayoría de estos pacientes críticos se encontraban bajo ventilación mecánica.11

En el presente artículo se revisa la experiencia de dos casos con estatus asmático refractario al manejo convencional, que fueron manejados en la UCI mediante el uso de sevoflurano, ministrado con el dispositivo AnaConDa.



CASO 1

Se trata de paciente femenino de 28 años, la cual ingresó a urgencias por cuadro de agudización de asma. Antecedentes: único antecedente de asma leve de 10 años de evolución, en manejo con salbutamol de rescate solamente, última crisis referida hace cuatro años. Se aplicó dos dosis de vacuna AZD1222 para COVID-19 en el 2022. Resto de antecedentes negados. Padecimiento actual: inició 48 horas previas a su ingreso a urgencias con sibilancias, sin mejoría a pesar del uso de salbutamol con horario. El día previo acudió a urgencias de otro hospital para recibir nebulizaciones y se le inició manejo con esteroide intravenoso debido a que no había presentado mejoría. Sin embargo, durante su estancia desarrolla datos de dificultad respiratoria con uso de músculos accesorios y disociación toracoabdominal, motivo por el cual se colocó mascarilla reservorio 15 L/min, sin mejoría, con deterioro de Glasgow a 7 puntos (V1M5O1), sus signos vitales con presión arterial 98/61 mmHg, frecuencia cardiaca 120 latidos por minuto (lpm), frecuencia respiratoria (FR) 35 respiraciones por minuto (rpm), SpO2 89%, motivo por el cual se intubó bajo secuencia rápida, recibiendo soporte ventilatorio en modo controlado por volumen VC 340 mL, presión pico 32 cmH2O, frecuencia respiratoria 24 rpm, flujo 20 L/min, presión positiva al final de la espiración (PEEP) 6 cmH2O, tiempo inspiratorio 0.86 segundos, auto-PEEP 5 cmH2O. La gasometría inicial posterior a la intubación con pH 7.06, PaCO2 90 mmHg, PaO2 130 mmHg, HCO3 25.5 mmol/L, SaO2 97%. Por lo que se trasladó a nuestro hospital y se solicitó valoración por la UCI por presencia de estatus asmático a donde ingresó como prioridad II. Ingreso a UCI: se le realizó prueba de reacción en cadena de la polimerasa (PCR) para SARS-CoV-2, resultando negativa. Se continuó manejo con metilprednisolona, así como bromuro de ipratropio con salbutamol nebulizado. Persiste con acidosis respiratoria pH 7.06, pCO2 105 mmHg, PaO2 87 mmHg, HCO3 25.3 mEq/L, se profundizó sedación con propofol 2.5 mg/kg/h y midazolam 0.4 mg/kg/h. Se realizó tomografía computada de tórax con datos de infiltrados intersticiales bilaterales con broncograma aéreo. Laboratorio: hemoglobina 14.8 g/dL, hematocrito 44.7%, leucocitos 43,800/μL, neutrofilia 87%, linfocitos 6.8%, eosinófilos 1.3%, plaquetas 425,000/μL, glucosa 287 mg/dL, urea 36 mg/dL, creatinina 1.1 mg/dL. Por lo que se integró diagnóstico de neumonía comunitaria PSI IV y se inició manejo con levofloxacino intravenoso 750 mg cada 24 horas, habiéndose realizado cultivos de aspirado bronquial y orina de ingreso a la UCI negativos. A las 24 horas de su ingreso a la UCI persistía con broncoespasmo con sibilancias espiratorias e inspiratorias, con incremento del auto-PEEP 6 cmH2O, ventilación mecánica programada por volumen VC 400 mL (7 ml/kg peso predicho), frecuencia respiratoria 16 rpm, PEEP 4 cmH2O, FiO2 50%, tiempo inspiratorio 0.86 seg, presión pico 28 cmH2O y presiones meseta de 8 cmH2O con presión de conducción de 4 cmH2O. Se agregó al manejo budesonida nebulizada con horario, sulfato de magnesio y ketamina intravenosa para sedación. A pesar de ello, persiste con sibilancias espiratorias bilaterales y crépitos bilaterales, con un auto-PEEP levemente menor 1.6 cmH2O; sin embargo, caída de VC a 330 mL (5.5 mL/kg peso predicho) con pH 7.4, pCO2 51 mmHg, PaO2 81 mmHg, SaO2 94%, por lo que se decidió iniciar infusión con aminofilina 0.5 mg/kg/h, bloqueadores neuromusculares –vecuronio en infusión–, y se agregó a la sedación dexmedetomidina ante la carencia de ketamina y, finalmente, ante la respuesta parcial al manejo y el empeoramiento de la acidosis, se decidió iniciar sedación inhalada con sevoflurano mediante el dispositivo AnaConDa a 6 mL/h, dosis que se ajustó de acuerdo con la prescripción descrita por el fabricante, así como titulada con base en el índice biespectral (BIS) buscando mantenerlo entre 40 y 60, lo que permitió la disminución progresiva de la sedación intravenosa (midazolam + propofol + dexmedetomidina) y posteriormente la suspensión de la misma. Posterior al inicio de este tratamiento, la evolución de la paciente –tanto en los valores de gasometría como ventilatoria– fue satisfactoria, como se puede observar en la Tabla 1.

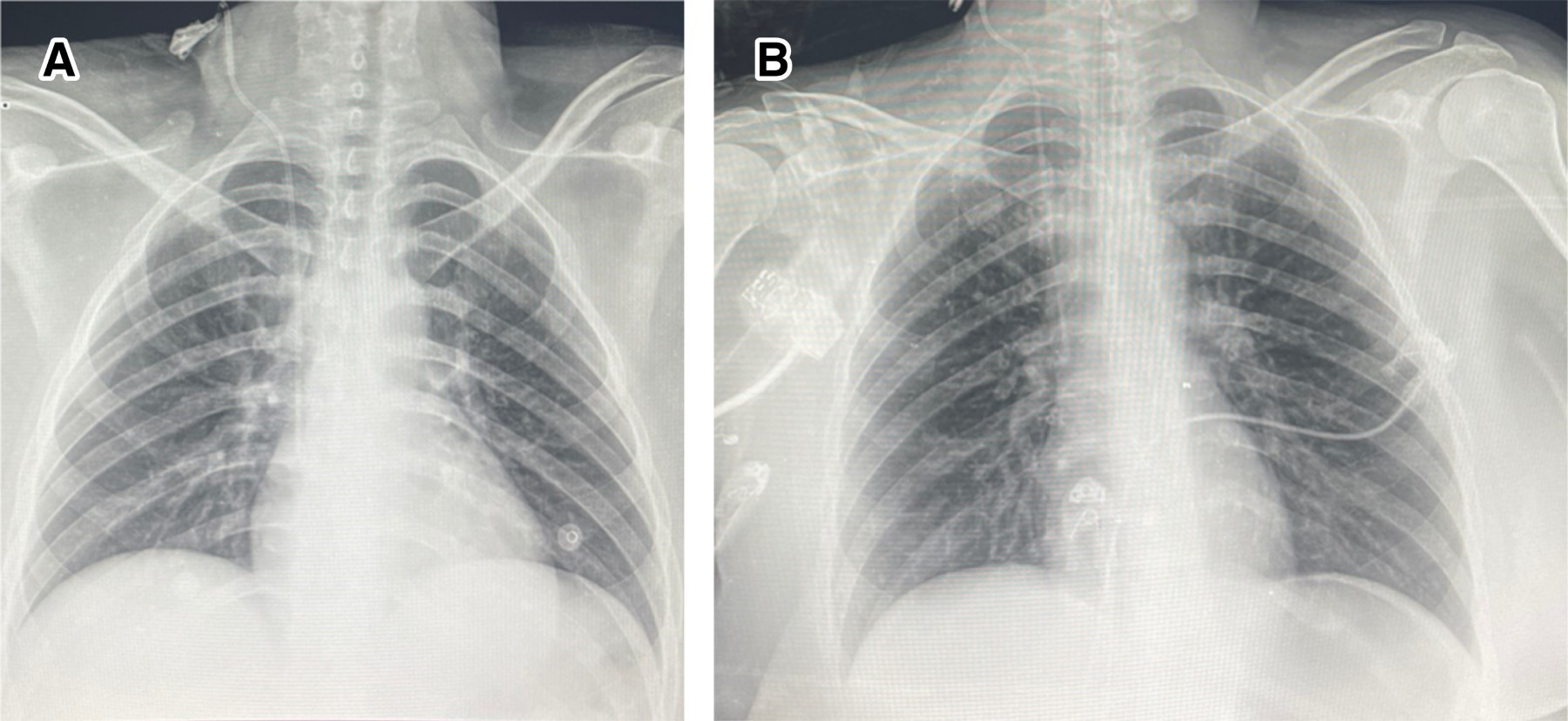
Evolución: durante su estancia la paciente se sobreinfectó con Candida glabrata y Pseudomonas aeruginosa, por lo que se le dejó manejo guiado por cultivos con voriconazol y ceftolozano/tazobactam a dosis habituales. La sedación inhalada se mantuvo en la paciente por un periodo de cuatro días a una dosis promedio entre 6 y 10 mL/h titulada con base en el BIS, posterior a los cuales la dosis del anestésico volátil se disminuyó de forma progresiva hasta su suspensión y continuó manejo a base de sedación convencional. La paciente persistió sólo con muy leves sibilancias espiratorias bilaterales, se realizaron dos extubaciones sin éxito, por lo que a los 15 días de intubación se decidió realizar traqueostomía, se egresó de la UCI a los 24 días de estancia con tienda traqueal a 5 L/min, saturando 98% y finalmente egresó de piso hospitalario (Medicina Interna) a los 44 días de estancia hospitalaria posterior al retiro de la traqueostomía y con cita de seguimiento por neumología, medicina física y rehabilitación. En la Figura 1 se pueden observar las radiografías de la paciente con la exacerbación asmática y después de la misma.



CASO 2

Se trata de una mujer de 28 años, la cual ingresó vía urgencias por cuadro de infección de vías respiratorias altas. Antecedentes: la paciente es portadora de asma moderada desde los seis años, la cual había estado controlada hasta que presentó su primer embarazo, fecha desde la que ha estado con exacerbaciones agudas intermitentes al menos dos por año, con mal apego a tratamiento ya que sólo utiliza medicamentos nebulizados durante las crisis, pero no entre ellas. Toxicomanías positivas: tabaquismo con índice tabáquico de ocho paquetes por año, consumo de marihuana desde los 16 años, así como consumo de cristal por un año hasta hace tres años. Padecimiento actual: a su ingreso a Urgencias presentaba dificultad respiratoria franca, manifestada por el uso de músculos accesorios, disociación toracoabdominal, sibilancias audibles a distancia. A la exploración física con sibilancia inspiratorias y espiratorias, con frecuencia cardiaca de 142 lpm, presión arterial 116/77 mmHg, frecuencia respiratoria 30 rpm, saturando por oximetría de pulso 90%. Exámenes de laboratorio con hemoglobina 17.9 g/dL, hematocrito 50.9%, plaquetas 293,000/μL, leucocitos 9,600/μL, neutrófilos 92.8%, linfocitos 4.6% y eosinófilos 0.1%. Se decidió iniciar manejo con oxigenoterapia, esteroide intravenoso, nebulizaciones con salbutamol de acción corta y esteroide, sulfato de magnesio intravenoso, así como manejo antibiótico con levofloxacino 750 mg intravenoso cada 24 horas; no se logra mejoría e incluso presenta datos de estatus asmático, motivo por el cual se decidió realizar intubación de secuencia rápida y manejó con apoyo ventilatorio en modo controlado por volumen con VC 330 mL, FiO2 100%, PEEP 5 cmH2O, presión pico 25 cmH2O, presión meseta 8.4 cmH2O. Se solicitó interconsulta a la UCI, ingresándose como prioridad II. Ingreso a UCI: la paciente se recibió bajo apoyo ventilatorio mecánico, bajo sedación con midazolam 0.4 ml/kg/h y propofol 3.7 mg/kg/h, a la exploración con sibilancias espiratorias bilaterales y estertores crepitantes basales izquierdos; a pesar de ello, con acidosis respiratoria pH 7.35, pCO2 57 mmHg, PaO2 79 mmHg, HCO3 27 mmol/L, exceso de base (EB) 2.8 mmol/L, SaO2 95%. Se tomaron cultivos de aspirado, hemocultivo y urocultivo a su ingreso, siendo negativos. Cuarenta y ocho horas después, persistió con sibilancias espiratorias y saturaciones de 89-91% a pesar de FiO2 100% y del manejo médico optimizado con nebulizaciones cada dos horas e incluso aminofilina 0.5 mg/kg/h, por lo que se inició además bloqueador neuromuscular –cisatracurio en infusión–, sin lograr mejoría en las siguientes 24 horas, motivo por el cual, ante la carencia de ketamina, se escaló el manejo a sedación inhalada con sevoflurano mediante el dispositivo AnaConDa a dosis de 5 mL/h, dosis que se ajustó de acuerdo con la prescripción descrita por el fabricante, así como titulada con base en el índice biespectral (BIS) buscando mantenerlo entre 40 y 60, con una respuesta satisfactoria tanto gasométrica como ventilatoria, tal cual se muestra en la Tabla 2.

Evolución: a las 24 horas de inicio del sedante inhalado se decidió suspender el bloqueador neuromuscular debido a la mejoría clínica. Cabe señalar que, durante las primeras 48 horas de estancia en la UCI, la paciente empezó a desarrollar datos de lesión renal aguda oligúrica, por lo que requirió manejo con diurético de asa. Debido a la mejoría clínica, se decidió realizar protocolo de retiro de ventilación mecánica con predictores positivos para tolerancia (NIF 40 cmH2O, P0.1 – 4.1 cmH2O, pico flujo 60 L/min, índice de Tobin 20) extubándose con éxito a las 36 horas de haber iniciado la sedación inhalada, y logrando su egreso de la UCI a los 10 días de estancia en la misma, para continuar manejo hospitalario por Medicina Interna con antibióticos y agonista β-adrenérgico de acción larga. Finalmente, fue egresada a casa a los 13 días de estancia hospitalaria con cita para seguimiento por neumología. En la Figura 2 se pueden observar las radiografías de la paciente.



DISCUSIóN

El asma es una enfermedad inflamatoria crónica de la vía aérea que afecta aproximadamente a 300 millones de personas a nivel global, siendo la causa de muerte de 180,000 personas por año. Su forma grave, también conocida como estado asmático, se caracteriza por broncoespasmo e inflamación de la vía área pequeña, refractaria al tratamiento convencional, que condiciona dificultad al flujo espiratorio, atrapamiento aéreo, hiperinflación, insuficiencia respiratoria, hipoxemia, hipercapnia y disfunción cardiaca, en especial del ventrículo derecho, eventos asociados a elevada morbimortalidad.12

Se han descrito varios factores de riesgo que predisponen a los pacientes con asma a presentar exacerbación de ésta y que puede evolucionar a un estado asmático. De éstos destacan asma mal controlada, dosis excesivas de agonistas de receptores β2, dosis bajas e inadecuadas de agonistas de receptores β2, determinados medicamentos en especial la aspirina, mala adherencia al tratamiento, infecciones respiratorias virales, bacterianas, micóticas (Aspergillus), tabaquismo, exposición a alérgenos, rinitis alérgica, alergia a los alimentos, embarazo, cambios climáticos, contaminación ambiental y eosinofilia sérica o en el esputo y FEV1 < 60% del predicho, entre otros. Todos estos factores de riesgo tienen en común el condicionar exacerbación de la inflamación y edema de la vía aérea pequeña, en un territorio crónicamente inflamado, que exacerba de manera significativa la disminución de la luz y obstrucción a la salida de aire. Los mecanismos ya mencionados se ven agravados por el intenso broncoespasmo y una excesiva producción de moco. Existen varios mediadores celulares y moleculares involucrados en la fisiopatología, de los que destacan los eosinófilos, células cebadas, polimorfonucleares y la interleucina-5 (IL-5)13 (Figura 314).

Si el estado asmático no es tratado de manera pronta y oportuna, el proceso inflamatorio se amplifica, es decir, su reconocimiento y manejo debe ser realizado con rapidez para lograr una adecuada respuesta al mismo, por lo que se puede considerar que es una patología tiempo-dependiente. Esto se puede explicar de la siguiente manera: la exacerbación aguda de asma se caracteriza por una broncoconstricción e incremento en la resistencia de la vía aérea que puede ser reversible. Estos cambios generan una disminución del volumen espiratorio forzado en el primer segundo (FEV1) y del pico flujo espiratorio de los pacientes, mientras que el volumen residual puede incrementarse hasta en 400%. En las exacerbaciones severas de asma, la capacidad pulmonar total puede incrementarse de igual forma mientras que la capacidad funcional residual puede doblarse. Durante la fase espiratoria donde las fuerzas de conducción del sistema respiratorio están dadas por la elasticidad pulmonar, al estar ésta disminuida en pacientes con asma, se incrementan las fuerzas resistivas, lo que hace que se requiera un mayor tiempo espiratorio para la eliminación adecuada del dióxido de carbono (evitar la hipercapnia) y para favorecer la adecuada exhalación del volumen corriente. Con el tiempo, si la broncoconstricción y el incremento en la resistencia de la vía aérea persisten, se desarrolla la hiperinflación dinámica, también conocida como auto-PEEP (positive end-expiratory pressure), la cual es una presión alveolar positiva al final de la espiración asociada a un mayor volumen de relajación o residual. Cabe señalar que, de forma inicial, el auto-PEEP puede actuar en favor del paciente, disminuyendo la fuerza resistiva del trabajo respiratorio, generando un incremento en el volumen de tórax y pulmones; sin embargo, mientras la exacerbación asmática permanezca sin respuesta al manejo, se activa el uso de músculos espiratorios y accesorios, se incrementa el trabajo ventilatorio y el paciente se fatiga como una complicación potencialmente fatal. El broncoespasmo persistente y el aumento en la resistencia de la vía aérea puede comprimir las vías aéreas periféricas por el auto-PEEP, dando una amplia heterogeneidad pulmonar con la generación de un consiguiente daño pulmonar por efecto pendelluft, donde coexisten unidades pulmonares patológicas con unidades pulmonares normales, lo que genera diferentes constantes de tiempo a lo largo del pulmón y el consiguiente daño pulmonar ya sea autoinducido por el paciente (p-SILI:

patient self-inflicted lung injury) o un daño pulmonar inducido por ventilación mecánica (ventilation induce lung injury [VILI]) (Figura 4).15

De igual forma, esta hiperinflación dinámica puede generar un compromiso hemodinámico importante, por el aumento de las presiones intratorácicas a un valor positivo, lo que genera una disminución del volumen sistólico del ventrículo derecho por disminución de la precarga del mismo (volumen telediastólico del ventrículo derecho y del retorno venoso) y un incremento en la postcarga (incremento de la resistencia vascular pulmonar). La caída del gasto cardiaco del ventrículo derecho se observará entonces en paralelo a una disfunción diastólica del ventrículo izquierdo, ocasionada por el desplazamiento a la izquierda del septum interventricular, lo que generará una reducción significativa la presión arterial sistólica en la inspiración y la presencia de pulso paradójico (Figura 5).15

El objetivo de este artículo no es describir en extenso el tratamiento del estado asmático, pero se puede resumir en lo siguiente:15

  • 1. Manejo del atrapamiento aéreo, broncoespasmo e hipertensión intratorácica:

    • a) Agonistas β2 inhalados (p. ej.: salbutamol).
    • b) Esteroides inhalados (p. ej.: budesonida).
    • c) Anticolinérgicos inhalados (p. ej.: bromuro de ipratropio).
    • d) Eficientar la depuración de moco (aire humidificado y caliente).

  • 2. Manejo de la inflamación:

    • a) Esteroides inhalados.
    • b) Esteroides intravenosos, especialmente metilprednisolona.

  • 3. Manejo de la insuficiencia respiratoria:16-18

    • a) Oxígeno suplementario, bolsa reservorio, alto flujo de oxígeno y ventilación no invasiva.
    • b) En casos de progresión, hipoxia y retención de CO2, refractarios a manejo y asociados con deterioro hemodinámico:
      • b.1. Intubación.
      • b.2. Ventilación mecánica con estrategia de protección pulmonar y de ventrículo derecho.

  • 4. Manejo de la sedación y relajación muscular:

    • a) En casos en los que por la gravedad se requiera de intubación y ventilación mecánica, las guías recomiendan el uso de relajantes neuromusculares y la combinación para la sedación de propofol con ketamina por sus efectos propios en la sedación, su efecto potenciador y ahorrador de dosis y su acción antiinflamatoria.

  • 5. En casos especiales y bajo estrecha supervisión, evaluar sulfato de magnesio, ketamina, metilxantinas, anticuerpos monoclonales dirigidos en contra de IL-5 (reslizumab, mepolizumab), antibióticos (en caso de proceso infeccioso broncopulmonar agregado) y heliox.
  • 6. Dos nuevas alternativas a considerar en casos de progresión y refractariedad al tratamiento son la oxigenación extracorpórea de membrana con técnica veno-venosa y los anestésicos inhalados ministrados con el dispositivo AnaConDa.19,20

Los anestésicos inhalados fueron propuestos desde 1989 por Kong como una buena estrategia para el manejo de la sedación en las UCI. El uso de éstos para el manejo de estado asmático data de 1982 cuando O'Rourke fue el primero en reportar el caso de un niño con estado asmático refractario manejado con halotano. El empleo de anestésicos inhalados para el manejo del estado asmático se sustenta en su efecto broncodilatador, antiinflamatorio y en su rápido mecanismo de acción. El mecanismo de acción del efecto broncodilatador de los agentes anestésicos inhalados es secundario a la limitación del flujo de calcio por inhibición del sistema de proteína C a nivel del retículo sarcoplásmico del músculo liso bronquial y de los canales de calcio voltaje dependientes, además de mejorar la eficiencia de los receptores β adrenérgicos y el tono vagal. Una ventaja de estos agentes es su baja tasa de metabolismo hepatorrenal y que su eliminación es casi exclusiva por vía respiratoria, lo que les confiere un buen margen de seguridad.19-21

En un inicio, la introducción de los anestésicos inhalados como parte de la estrategia terapéutica para el manejo del estado asmático era una tarea compleja, ya que se tenía que trasladar al paciente a una sala de quirófano que contara con máquina de anestesia o ésta tenía que ser llevada a la UCI, a lo que se sumaba que se tenían que hacer varias adaptaciones para poder conectar el sistema del ventilador mecánico (los pacientes estaban intubados), al de la máquina de anestesia para la administración del agente anestésico, lo que condicionaba diferentes problemas técnicos y en especial fuga del vapor anestésico y, por ende, contaminación del área.

Al paso del tiempo se desarrollaron varios prototipos hasta llegar a un dispositivo miniaturizado con la capacidad de poder ministrar dosis adecuadas del agente anestésico inhalado y provisto de un filtro adsorbedor del anestésico para evitar la contaminación ambiental. Este dispositivo se conoce con el nombre de AnaConDa (Anaesthetic Conserving Device); consiste, como ya se comentó, en un filtro intercambiador modificado de calor humedad, el cual se instala en el circuito del ventilador del paciente (por lo que es adaptable a cualquier tipo de ventilador) y permite administrar el anestésico volátil de forma líquida mediante perfusión continua con una jeringa. Este dispositivo se encarga de vaporizar el anestésico mediante un sistema de reflexión, tiene un tamaño pequeño que agrega solamente 50 mL de espacio muerto y permite además la reutilización del gas mediante una reinhalación en donde solamente un 10 a máximo 20% se elimina siendo enviado a un filtro adsorbedor, lo que disminuye al mínimo la contaminación ambiental y laboral (Figura 6). El AnaConDa debe cambiarse cada 24 horas o antes si se encuentra visiblemente húmedo.11

Las ventajas que tiene son:

  • 1. Permite administrar el anestésico inhalado de forma continua, lo que genera mejoría en los flujos aéreos por efecto de broncodilatación.
  • 2. Incrementos mínimos en el espacio muerto.
  • 3. Coeficiente de reflexión alto (80-90%), lo que permite la reinhalación eficaz.
  • 4. No interfiere con la modalidad ventilatorio programado.
  • 5. Tiene una curva de aprendizaje rápida.
  • 6. Se puede implementar en diversos escenarios como son: pacientes con difícil sedación, pacientes en los que la sedación intravenosa ha desarrollado taquifilaxia o efectos adversos y estatus epiléptico, escenarios que con mucha frecuencia son identificados en las UCI.22-25

La evidencia científica de la implementación de una estrategia de manejo del estado asmático basado en anestésicos inhalados se basa en casos aislados y series de casos, en los que se reporta el uso de isoflurano o sevoflurano como agentes aislados o combinados con heliox, combinación poco frecuente, con buenos resultados. Además, es importante señalar su efecto ahorrador de opioides, propofol, ketamina y benzodiacepinas, así como su implementación en casos muy seleccionados con otra estrategia de apoyo avanzado como lo es el ECMO (membran de oxigenación extracorpórea, por sus siglas en inglés). En estudios de farmacodinamia ha resultado ser costo-efectiva como alternativa de la sedación convencional en la UCI.6, 26-31

En este trabajo se analizan dos casos de pacientes con estado asmático refractario al tratamiento convencional y que presentaron buena respuesta al manejo con sevoflurano (anestésico inhalado) que se ministró a través del dispositivo AnaConDa. El protocolo de tratamiento y el resto de estrategias tanto antibióticas, como medicamentosas difieren un poco entre los casos debido a que uno de los casos cursó con una neumonía asociada con ventilación mecánica, situación que prolongó su estancia en la UCI y hospitalaria; sin embargo, el manejo descrito con el dispositivo o sistema AnaConDa fue llevado a cabo con las mismas características en ambas pacientes, lo que no afectó su uso ni el resultado obtenido con la utilización del mismo. En las dos pacientes se presentó mejoría tanto clínica, como en la mecánica ventilatoria, lo que favoreció que se optimizara el tratamiento broncodilatador, antiinflamatorio y el efecto ahorrador de sedantes, que se hizo evidente por el efecto y características propias de estos fármacos.32-36

Por último, es importante enfatizar que los medicamentos que se utilizan cotidianamente para la sedoanalgesia en el enfermo grave son parte del armamentario farmacológico cotidiano del anestesiólogo (fentanil, propofol, benzodiacepinas, ketamina) y se trasladaron al paso del tiempo a las UCI. Es tiempo que volvamos la vista a los anestésicos inhalados, no sólo para la sedación en la UCI, sino para el manejo de situaciones especiales, como el estado asmático que es lo que nos ocupa en este reporte, y también para otros escenarios de los que destacan la ventilación mecánica prolongada, el SDRA (síndrome de distrés respiratorio agudo) y el estado epiléptico refractario, entre otros.



CONCLUSIONES

El estado asmático es una complicación grave del asma tanto en niños como en adultos. En casos graves refractarios al tratamiento convencional y que requieran de apoyo ventilatorio mecánico, la implementación en el manejo de un agente anestésico inhalado como el sevoflurano, ministrado a través del dispositivo AnaConDa, es una alternativa que el intensivista debe de tener en cuenta.


REFERENCIAS (EN ESTE ARTÍCULO)

  1. Rodrigo C. Asma aguda severa: su manejo en la emergencia y cuidado intensivo. Med Intensiva [Internet]. 2006;30(9):460-470. Disponible en: http://scielo.isciii.es/scielo.php?script=sci_arttext&pid=S0210-56912006000900007&lng=es

  2. GEMA 4.4 — Guía española para el manejo del asma. Madrid: Comité Ejecutivo de la GEMA; 2019.

  3. Hekking PW, Wener RR, Amelink M, Zwinderman AH, Bouvy ML, Bel EH. The prevalence of severe refractory asthma. J Allergy Clin Immunol. 2015;135(4):896-902. doi: 10.1016/j.jaci.2014.08.042.

  4. Gaviria S, Ramírez A, Alzate M, Contreras H, Jaramillo N, Muñoz MC. Epidemiología del síndrome coronario agudo. Med UPB. 2020;39(1):49-56. doi: 10.18566/medupb.v39n1.a08.

  5. Chakraborty RK, Basnet S. Status asthmaticus. In: StatPearls [Internet]. Treasure Island (FL): StatPearls Publishing; 2022. Available from: https://www.ncbi.nlm.nih.gov/books/NBK526070/

  6. Garner O, Ramey JS, Hanania NA. Management of life-threatening asthma: severe asthma series. Chest. 2022;162(4):747-756. doi: 10.1016/j.chest.2022.02.029.

  7. Lin MP, Vargas-Torres C, Schuur JD, Shi D, Wisnivesky J, Richardson LD. Trends and predictors of hospitalization after emergency department asthma visits among U.S. Adults, 2006-2014. J Asthma. 2020;57(8):811-819. doi: 10.1080/02770903.2019.1621889.

  8. Maselli DJ, Peters JI. Medication regimens for managing acute asthma. Respir Care. 2018;63(6):783-796. doi: 10.4187/respcare.05953.

  9. Long B, Lentz S, Koyfman A, Gottlieb M. Evaluation and management of the critically ill adult asthmatic in the emergency department setting. Am J Emerg Med. 2021;44:441-451. doi: 10.1016/j.ajem.2020.03.029.

  10. Beitler JR, Talmor D. Volatile anesthetics for ICU sedation: the future of critical care or niche therapy? Intensive Care Med. 2022;48(10):1413-1417. doi: 10.1007/s00134-022-06842-7.

  11. Carrillo-Esper R, Velarde Pineda AA, Zepeda Mendoza AD, Arellano Ramírez A, Pérez Calatayud A, Mendoza Popoca CU, et al. Documento de posicionamiento: uso de sedación inhalada en el paciente críticamente enfermo. Med Crit. 2022;36(Suppl: 2):s43-64. doi: 10.35366/107394.

  12. Binachon A, Grateau A, Allou N, Ferdynus C, Allyn J, Dangers L, et al. Acute severe asthma requiring invasive mechanical ventilation in the era of modern resuscitation techniques: A 10-year bicentric retrospective study. PLoS One. 2020;15(10):e0240063. doi: 10.1371/journal.pone.0240063.

  13. King GG, James A, Harkness L, Wark PAB. Pathophysiology of severe asthma: We've only just started. Respirology. 2018;23(3):262-271.

  14. Habib N, Pasha MA, Tang DD. Current understanding of asthma pathogenesis and biomarkers. Cells. 2022;11(17):2764. doi: 10.3390/cells11172764.

  15. Kostakou E, Kaniaris E, Filiou E, Vasileiadis I, Katsaounou P, Tzortzaki E, et al. Acute severe asthma in adolescent and adult patients: current perspectives on assessment and management. J Clin Med. 2019;8(9):1283. doi: 10.3390/jcm8091283.

  16. Lin J, Xing B, Chen P, Huang M, Zhou X, Wu C, et al. Chinese expert consensus-based guideline on assessment and management of asthma exacerbation. J Thorac Dis. 2019;11(12):4918-4935.

  17. Laher AE, Buchanan SK. Mechanically ventilating the severe asthmatic. J Intensive Care Med. 2018;33(9):491-501.

  18. Geng W, Batu W, You S, Tong Z, He H. High-flow nasal cannula: a promising oxygen therapy for patients with severe bronchial asthma complicated with respiratory failure. Can Respir J. 2020;2020:2301712.

  19. Miller K, Stowe J, Bedekovich A. The utilization of venous-venous extracorporeal membrane oxygenation for the management of status asthmaticus. Respiratory Care. 2018;63:3003779.

  20. Vaschetto R, Bellotti E, Turucz E, Gregoretti C, Corte FD, Navalesi P. Inhalational anesthetics in acute severe asthma. Curr Drug Targets. 2009;10(9):826-832.

  21. Kong KL, Willatts SM, Prys-Roberts C. Isoflurane compared with midazolam for sedation in the intensive care unit. BMJ. 1989;298(6683):1277-1280.

  22. Mondoñedo JR, McNeil JS, Amin SD, Herrmann J, Simon BA, Kaczka DW. Volatile anesthetics and the treatment of severe bronchospasm: a concept of targeted delivery. Drug Discov Today Dis Models. 2015;15:43-50.

  23. Meiser A, Laubenthal H. Inhalational anaesthetics in the ICU: theory and practice of inhalational sedation in the ICU, economics, risk-benefit. Best Pract Res Clin Anaesthesiol. 2005;19(3):523-538.

  24. O'Rourke PP, Crone RK. Halothane in status asthmaticus. Crit Care Med. 1982;10(5):341-343.

  25. Gorsky K, Cuninghame S, Chen J, Jayaraj K, Withington D, Francoeur C, et al. Use of inhalational anaesthetic agents in paediatric and adult patients for status asthmaticus, status epilepticus and difficult sedation scenarios: a protocol for a systematic review. BMJ Open. 2021;11(11):e051745.

  26. Wigmore T, Stachowski E. A review of the use of heliox in the critically ill. Crit Care Resusc. 2006;8(1):64-72.

  27. Farrell R, Oomen G, Carey P. A technical review of the history, development and performance of the anaesthetic conserving device "AnaConDa" for delivering volatile anaesthetic in intensive and post-operative critical care. J Clin Monit Comput. 2018;32(4):595-604.

  28. Ruszkai Z, Bokrétás GP, Bartha PT. Sevoflurane therapy for life-threatening acute severe asthma: a case report. Can J Anaesth. 2014;61(10):943-950.

  29. Keenan LM, Hoffman TL. Refractory status asthmaticus: treatment with sevoflurane. Fed Pract. 2019;36(10):476-479.

  30. Álvarez MP, Hernández RG, Valdes EGD, Navarro RF, Casillas SC, Hernández SA. Minimización de costos de sedación usando anestesia inhalada. Análisis en la UTI durante la pandemia por COVID-19. Med Crit. 2023;37(2):113-116.

  31. Tobias JD. Inhalational anesthesia: basic pharmacology, end organ effects, and applications in the treatment of status asthmaticus. J Intensive Care Med. 2009;24(6):361-371.

  32. Gill B, Bartock JL, Damuth E, Puri N, Green A. Case report: Isoflurane therapy in a case of status asthmaticus requiring extracorporeal membrane oxygenation. Front Med (Lausanne). 2022;9:1051468.

  33. Zaidi SR, Blakey JD. Why are people with asthma susceptible to pneumonia? A review of factors related to upper airway bacteria. Respirology. 2019;24(5):423-430.

  34. Jabaudon M, Zhai R, Blondonnet R, Bonda WLM. Inhaled sedation in the intensive care unit. Anaesth Crit Care Pain Med. 2022;41(5):101133.

  35. Meiser A, Volk T, Wallenborn J, Guenther U, Becher T, Bracht H, et al. Inhaled isoflurane via the anaesthetic conserving device versus propofol for sedation of invasively ventilated patients in intensive care units in Germany and Slovenia: an open-label, phase 3, randomised controlled, non-inferiority trial. Lancet Respir Med. 2021;9(11):1231-1240.

  36. Plans-Galván O, Daniel X, Rosich S, Blázquez-Alcaide V, Gil-Castillejos D, Bodí M. Use of isoflurane as treatment for super-refractory status epilepticus. Rev Neurol. 2023;76(9):309-312.



AFILIACIONES

1 HMG Hospital Coyoacán. Ciudad de México.

2 Hospital General Regional No. 180 del Instituto Mexicano del Seguro Social. Centro Universitario de Ciencias de la Salud y Centro Universitario de Tlajomulco, Universidad de Guadalajara. México.



CORRESPONDENCIA

Dra. Ana Alicia Velarde Pineda. E-mail: anavelarde2011@hotmail.com




Recibido: 15/05/2023. Aceptado: 24/06/2023.







Figura 1
Figura 2
Figura 3
Figura 4
Figura 5
Figura 6
Tabla 1
Tabla 2

2020     |     www.medigraphic.com

Mi perfil

C?MO CITAR (Vancouver)

Med Crit. 2024;38

ARTíCULOS SIMILARES

CARGANDO ...