medigraphic.com
ENGLISH

Orthotips AMOT

ISSN 2007-8560 (Impreso)
Órgano Oficial de Difusión Científica de la Federación Mexicana de Colegios de Ortopedia y Traumatología, A.C. (FEMECOT)
  • Mostrar índice
  • Números disponibles
  • Información
    • Información general        
    • Directorio
  • Publicar
    • Instrucciones para autores        
  • medigraphic.com
    • Inicio
    • Índice de revistas            
    • Registro / Acceso
  • Mi perfil

2024, Número 3

<< Anterior Siguiente >>

Ortho-tips 2024; 20 (3)


Condrosarcoma central de escápula izquierda: reporte de caso

Tamayo-Gómez, Carlos Damián1; Cariño-Cepeda, César2; Loredo-Loyola, Rafael Enrique3; Rivera-Saldívar, Gustavo4; Tamayo-Gómez, Manuel Esaú5
Texto completo Cómo citar este artículo 10.35366/116343

DOI

DOI: 10.35366/116343
URL: https://dx.doi.org/10.35366/116343
Artículos similares

Idioma: Español
Referencias bibliográficas: 20
Paginas: 180-186
Archivo PDF: 264.09 Kb.


PALABRAS CLAVE

condrosarcoma, neoplasia ósea, condrocitos, escápula.

RESUMEN

El condrosarcoma es el segundo tumor óseo maligno primario más frecuente. Esta neoplasia productora de matriz cartilaginosa tiene una predilección por pacientes masculinos de mediana edad; sin embargo, la escápula figura como un sitio atípico de localización. El retraso del diagnóstico oportuno recae en su lento crecimiento junto a un cuadro clínico ambiguo, siendo el dolor óseo o articular el síntoma más común. Presentamos el caso de un paciente masculino de 36 años con dolor en escápula y hombro izquierdo de dos años de evolución que a la exploración física mostró arcos de movilidad glenohumerales del lado izquierdo nulos, secundario al aumento progresivo de volumen en trapecio y zona de la coracoides. El abordaje diagnóstico con resonancia magnética de hombro mostró una lesión quística encapsulada de 105 × 112 × 90.3 mm, que comprimía los músculos supraespinoso, deltoides y subescapular izquierdos. El manejo quirúrgico fue por medio de escapulectomía total intraarticular izquierda, con un reporte histopatológico de condrosarcoma grado 2. Posterior a la cirugía, el paciente mostró mejoría con independencia para actividad laboral y vida diaria.



ABREVIATURAS:

  • CS = condrosarcoma.
  • CS-C = condrosarcoma convencional.
  • CS-NC = condrosarcoma no convencional.
  • RMN = resonancia magnética.



INTRODUCCIóN

El condrosarcoma (CS) es un grupo de diversas neoplasias malignas productoras de matriz cartilaginosa. Se presenta como el segundo tumor óseo maligno primario más frecuente, representando 27% de todos los casos de tumores óseos reportados por la International Agency for Research on Cancer (IARC).1 En personas mayores de 30 años, es el tumor óseo más prevalente, siendo el grupo etario más afectado las personas de mediana edad (70% de los pacientes son mayores de 40 años al momento del diagnóstico), con predilección del sexo masculino.1-3 La incidencia aumenta constantemente con la edad.4

La clasificación del CS es vasta. Puede dividirse en dos grandes grupos, convencional (CS-C) y no convencional (CS-NC), siendo el primero el más común (90%), mientras que el CS-NC comprende las variantes de células claras (mejor pronóstico), desdiferenciado (peor pronóstico) y mesenquimal.3,5 Acorde a su origen del hueso como la presencia de una lesión preexistente puede clasificarse en: CS primario central (la variante más prevalente, 85% de todos los CS), el cual surge de novo en la cavidad medular; CS secundario central, con localización en la cavidad medular pero proviene de un encondroma preexistente o una displasia fibrosa; CS secundario periférico, originado de la capa cartilaginosa de un osteocondroma; y finalmente el CS perióstico, originado en la superficie del hueso.1,6 A su vez, se pueden dividir en grados acorde a su arquitectura y atipia citológica, como lo muestra la Tabla 1.1,5-8

Los CS se originan a partir de restos cartilaginosos embriogénicos y pueden surgir en cualquier región donde haya cartílago.9 Presentan neovascularización gracias a la estimulación del factor de crecimiento endotelial vascular A (VEGF-A), lo cual conduce de una lesión tumoral con metabolismo predominantemente de la difusión a uno principalmente dependiente de la perfusión.8,10 Sin embargo, la etiología del CS sigue siendo poco clara. Se ha propuesto que una osificación alterada del cartílago hialino ocurrida en áreas de inserción muscular, puede servir como nido para el desarrollo del tumor.5 El avance de los estudios moleculares ha permitido identificar varios biomarcadores aumentados en el condrosarcoma: CCL5, SOX9, BMPR2, RUNX2, BDNF.10 Además, se reporta que la desregulación de la vía de señalización de Hedgehog, que participa en el desarrollo óseo normal, puede contribuir a la aparición de lesiones benignas.4 Cabe destacar que las enzimas isocitrato deshidrogenasa (IDH) son los genes que mutan con mayor frecuencia en el condrosarcoma, siendo el isomorfismo IDH1 el más común.8

En cuanto al cuadro clínico, los síntomas más frecuentes son el dolor óseo o articular, de carácter progresivo e insidioso con empeoramiento nocturno. En tumores de alto grado puede encontrarse una fractura patológica debido a la invasión tumoral del hueso circundante y debilitamiento de la arquitectura ósea. Una masa palpable puede ser el primer signo o síntoma clínico en el CS perióstico o CS secundario periférico. De igual forma, existen complicaciones asociadas a la localización y efecto de masa del tumor: disuria, incontinencia urinaria, obstrucción intestinal, entumecimiento.1,2

La relación con una génesis condrocítica (colágeno tipo II, agrecanos), como una osificación endocondral, podría explicar por qué comúnmente son encontrados en huesos planos.4,7 Hasta en 40% de los casos el CS se localiza en el esqueleto apendicular (fémur proximal, fémur distal, diáfisis o metáfisis del ilion, y húmero proximal), mientras que 13% se ubica en costillas, esternón o clavículas.2,11

Además de la edad, se consideran factores de riesgo para el CS haber cursado con radioterapia, inyección de material radiactivo, usualmente después de un periodo de latencia de muchos años, así como traumatismos repetidos.4,5

Este tumor de crecimiento lento, raramente metastatiza, elevándose exponencialmente el riesgo en CS de alto grado y desdiferenciado.1 Se han correlacionado como factores predictores de mayor posibilidad metastásica: presencia de un grado histológico 3, localización pélvica, recurrencia local, tumoración mayor de 10 cm de diámetro, edad mayor de 60 años al momento del diagnóstico.10 Los pulmones son el sitio más común de metástasis, aunque también se ha reportado en ganglios linfáticos regionales, hígado, riñones, piel, ovarios y corazón.12

En México no existen suficientes datos epidemiológicos sobre el CS; sin embargo, un estudio retrospectivo de cohorte efectuado por Martínez-Said y colaboradores, con base en información del Instituto Nacional de Cancerología de México, reportaron que el CS tiene una prevalencia de 24.64%, de todos los tumores óseos primarios reportados entre 2013 y 2017 en México; además de una prevalencia acorde a sexo (masculino 54.1%), edad (43.3 años), así como el sitio más común de metástasis (pulmón 37.6%), similar a la literatura internacional.13



PRESENTACIóN DEL CASO

Se trata de un paciente masculino de 36 años de edad, de profesión ingeniero en sistemas, que acudió a consulta en el servicio de traumatología y ortopedia de nuestro hospital, por dolor en región escapular izquierda de dos años de evolución. Negó enfermedades crónico-degenerativas, consumo de medicamentos, alergias, fracturas y cirugías previas; niega antecedente traumático y exposición a radiación. Durante el interrogatorio directo, refirió el inicio de su padecimiento como un dolor progresivo de carácter inespecífico, localizado en la zona mencionada previamente, que lo llevó a buscar alivio con diversas sesiones de fisioterapia, las cuales no fueron fructíferas. La exploración física reveló una limitación funcional del hombro izquierdo con arcos de movilidad glenohumerales nulos, así como aumento de volumen en región de trapecio de densidad blanda, no dolorosa, con aumento de la trama vascular en la cara anterior del hombro; igualmente, en la zona de la coracoides se palpó aumento de volumen con densidad ósea, conservando la función neurovascular distal, por lo cual se solicitó una radiografía anteroposterior de hombro y una en escápula en "Y" (Figura 1), que mostró una lesión radiolúcida de comportamiento benigno hacia el borde superolateral de la escápula.

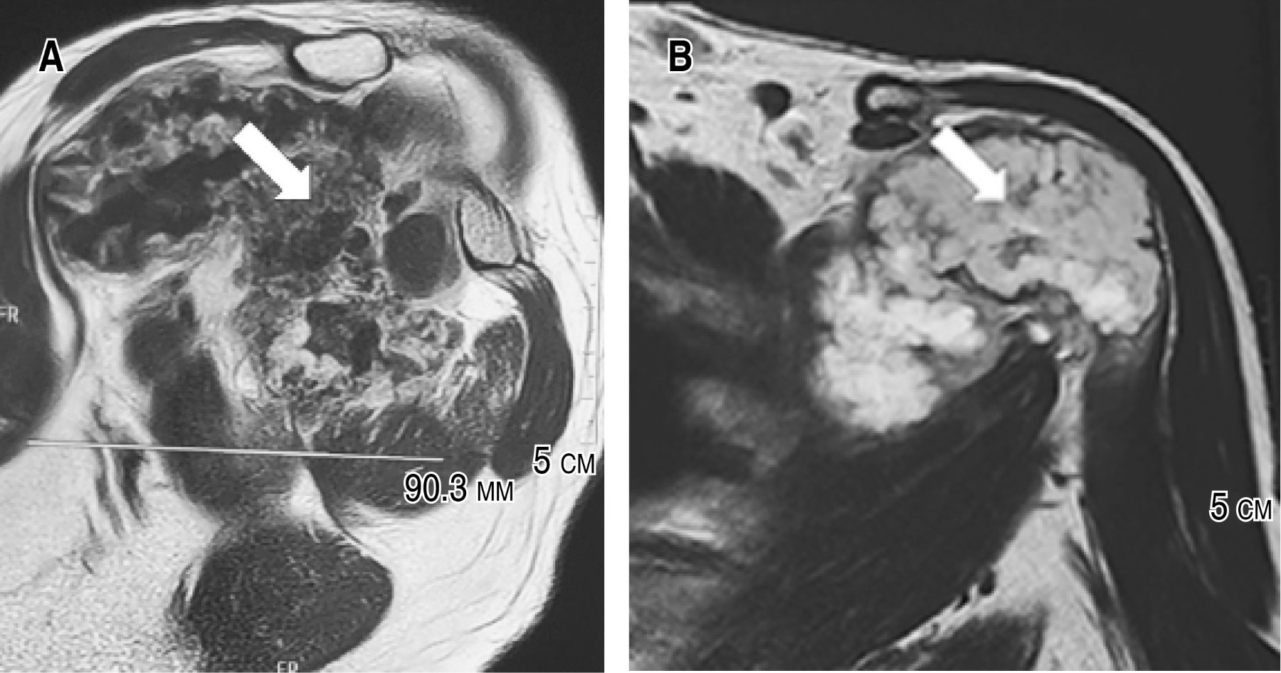
Se continuó el abordaje diagnóstico con una resonancia magnética (RMN) contrastada de hombro (Figura 2) que reportó una lesión quística encapsulada de 105 × 112 × 90.3 mm con hiperintensidad, lobulada y heterogénea, que comprime los músculos supraespinoso, deltoides y subescapular izquierdos.

Fueron solicitados estudios de laboratorio, los cuales informaron los siguientes resultados: calcio 10 mg/dL, potasio 4.7 mg/dL, magnesio 2.2 mg/dL, nitrógeno ureico en sangre (BUN) 22 mg/dL, urea 47.08 mg/dL; el resto de los elementos dentro de parámetros normales.

Debido al tamaño de la tumoración, su localización, así como el compromiso funcional de las estructuras anatómicas, aunado al deseo del paciente, se decidió un manejo quirúrgico. Se optó por una escapulectomía total intraarticular izquierda (Figura 3), siendo una resección tipo III A de Malawer, con suspensión humeral más la reinserción del redondo menor, deltoides e infraespinoso a la porción distal de la clavícula. El acto quirúrgico se llevó a cabo sin complicaciones. Se envió una biopsia de la tumoración para su estudio histopatológico, el cual reportó que se trataba de una neoplasia mesenquimática maligna de estirpe cartilaginosa con arreglo pseudonodular separada por áreas hialinizadas por matriz basófila con alta celularidad constituida por condrocitos que formaban lóbulos mal definidos, observándose mitosis aisladas; junto con la infiltración a trabéculas óseas, el sistema músculo esquelético y tejido fibroadiposo; además de la ausencia de invasión linfovascular, perineural y piel. Se concluye el diagnóstico final de un condrosarcoma central grado 2 OMS 2020.

Posterior al manejo quirúrgico, el paciente fue canalizado a rehabilitación y al servicio de oncología, sin embargo, el paciente decidió no acudir a dicho servicio por razones personales. A diez meses del evento quirúrgico, se dio seguimiento a través de la evaluación funcional del paciente (Figura 4). En cuanto a la discapacidad del brazo, hombro y mano, usando la escala DASH (Disabilities of the Arm, Hand and Shoulder), el paciente obtuvo una calificación de 45 puntos, lo cual representa que desde su perspectiva puede usar funcionalmente el miembro superior. Durante la evaluación presentó una estabilidad satisfactoria, pero con una movilidad con funciones deficientes, acorde los 65 puntos obtenidos con la escala de Rowe (estabilidad: 50 puntos, movimiento: 5 puntos, función: 10 puntos). Para evaluar las mejoras funcionales después del procedimiento quirúrgico del hombro, se aplicó el Simple Shoulder Test, que reportó un resultado de 41 puntos, debido a la limitación para abducción, rotación interna y flexo-extensión del hombro izquierdo. Cabe mencionar que el paciente se refirió independiente para su actividad laboral, así como vida diaria, gracias la movilidad completa del codo, muñeca y mano. Actualmente, el paciente continúa en rehabilitación física con el fin de mejorar aún más la funcionalidad del miembro superior izquierdo.



DISCUSIóN

Las lesiones tumorales condrosarcomatosas en la cintura escapular son raras, con una incidencia de 2% en patologías del hombro. Sin embargo, con el aumento del acceso e indicaciones para múltiples modalidades de imagen, el descubrimiento de lesiones condrales incidentales ha incrementado.14 El diagnóstico es un reto, debido la poca frecuencia del CS, asimismo una sintomatología similar con otras afecciones benignas (generalmente no neoplásicas), provocan retraso en el tratamiento.15 La literatura actual reporta que 20% de los condrosarcomas se localiza en la cintura escapular, siendo la escápula el segundo sitio más frecuente en este segmento.15,16 El CS figura como la neoplasia maligna más prevalente en la escápula (con predilección por el ángulo inferior, acromion y proceso coracoides), esto podría deberse a su formación por osificación endocondral con reemplazo gradual de tejido cartilaginoso por tejido óseo.15,17 El paciente del caso, a pesar de encajar tanto en el grupo etario como sexo epidemiológicamente prevalentes, los dos parámetros, por sí solos, no son suficientes para orientar que se tratase inicialmente de un CS. En cuanto al cuadro clínico, la etiología del dolor, cuando no es secundaria a compresión de estructuras que rodean la lesión, sigue sin definirse; de la misma manera, el dolor regional en el CS mimetiza al producido por trauma, lesión deportiva o condición degenerativa e inclusive se ha descrito la ausencia de dolor nocturno como dato diferenciador entre CS grado 1 comparado con los de alto grado.14,15 Este cuadro inespecífico contribuye a la razón por la cual los pacientes presentan síntomas de larga duración que oscilan entre uno a dos años, antes de buscar tratamiento.11 Al igual que en nuestro caso, el CS es una lesión solitaria que, cuando está localizada en escápula, consecuente a la musculatura envolvente, sólo es palpable hasta haberse tornado de gran tamaño.5,14

El abordaje diagnóstico del condrosarcoma necesita el uso de estudios de imagen complementarios. Las directrices actuales recomiendan radiografías simples e imágenes transversales de todo el hueso afectado (RMN) para evaluar ubicación, extensión, actividad, naturaleza cartilaginosa e identificar metástasis omitidas.1,11 Radiográficamente se observan lesiones radiolucentes; los CS de alto grado de gran tamaño muestran apariencia apolillada, en el CS grado 2 se exhibe una tumoración mal definida, con leve mineralización de la matriz, aunado a destrucción ósea permeable.1,10,14 La RMN con o sin contraste es el estándar de oro en el diagnóstico por imágenes del CS.1 En la RMN con contraste, el CS exhibe un hallazgo no patognomónico, constituido por el realce septal y periférico (en patrón de "anillos y arcos").2 En fase T1, se aprecia una señal homogénea que contrasta claramente con la señal de la médula ósea, mientras que en T2 las lesiones son típicamente brillantes; las regiones calcificadas aparecen como focos de baja intensidad de señal en los componentes condroides de alta intensidad.2 En el CS grado 2, se puede confirmar una naturaleza agresiva, al observarse puntos de destrucción cortical puntiforme con afectación de tejidos blandos.14 La tomografía computarizada es la mejor modalidad para visualizar la destrucción ósea y el patrón de mineralización de la matriz, pero no es necesaria para el diagnóstico.7 A pesar del uso de estudios de imagen, el diagnóstico depende principalmente del examen histopatológico postoperatorio de la lesión obtenida, determinando la clasificación del tumor, su estadificación, como la comprobación de márgenes libres.7,9,11

La escisión quirúrgica es el tratamiento de elección.11 Antes de 1970, la desarticulación del hombro era el principal tratamiento para tumores óseos malignos de la cintura escapular.18 Actualmente, la escapulectomía con cirugía de salvación de extremidades está indicada para tumores de bajo o alto grado de la escápula.19 Las lesiones de bajo grado (grado 1 OMS) son tratadas con curetaje local; las de alto grado (grado 2 o 3 OMS) son manejadas mediante resección amplia.7 El CS localizado en escápula tiene un resultado de supervivencia postquirúrgico favorable a largo plazo debido a la anatomía regional más accesible para la resección local amplia con margen negativo.3,20 Cuando es posible, debe realizarse una escapulectomía parcial (preservación de la articulación glenohumeral) o subtotal (preservación del acromion o parte de la escápula), debido a su gran asociación con un mejor pronóstico, un menor impacto negativo en la salud mental y mayor aceptación emocional positiva de los pacientes posterior al evento quirúrgico, lo que mejoran su calidad de vida.16,20 Hoy en día, el sistema de clasificación de Malawer es el más utilizado para resecciones de cintura escapular, éste se basa en los conceptos de márgenes quirúrgicos, la relación del tumor con los compartimientos anatómicos, el estado de la articulación glenohumeral y el mecanismo abductor.15,19 Posterior a la escapulectomía, tal como en el caso, dependiendo el contexto tumoral, se puede acompañar de la reconstrucción escapular o articulación glenohumeral, requiriendo cumplir ciertos criterios locales: preservación del músculo deltoides, trapecio, romboides, uno de los músculos del manguito de los rotadores o el acromion.18,16 La primera causa de muerte en pacientes con CS es la recurrencia local; por ello, durante el acto quirúrgico, la literatura marca como necesario el establecer márgenes quirúrgicos de 4 cm en todos los lados, para evitar la propagación de focos metastásicos; lo anterior se correlaciona con tasas de curación para casi todos los pacientes, con una supervivencia a 10 años de 97%; sin olvidar recordar que esto puede variar acorde a las características propias del tumor.3,9 La extensión del tumor hacia la axila con afectación del haz neurovascular e incapacidad del paciente o falta de voluntad para tolerar la cirugía de salvación de la extremidad, comprenden las contraindicaciones quirúrgicas del procedimiento.19 Es relevante mencionar que la radiación (dosis mayores de 60 Gray) y quimioterapia (cisplatino y doxorrubicina, son los de primera elección) sólo tienen un papel en entornos paliativos debido su relativa resistencia.2,3,5,7 Los mecanismos propuestos responsables de la quimiorresistencia del CS son la expresión glicoproteína P de un gen resistente a múltiples fármacos, gran abundancia de matriz cartilaginosa, expresión de proteínas antiapoptóticas de la familia de proteína 2 de la leucemia/linfoma de células B (Bcl-2), y el factor inducible por hipoxia-1 (HIF-1) por la proteína cinasa B (AKT).2 Si hubo una resección incompleta, sólo 20-30% de recurrencias locales serán diagnosticadas después de cinco a 10 años; a su vez, 50% de las recaídas locales son asintomáticas, por esta razón se hace hincapié en el seguimiento: para el CS grado 1 o 2 OMS, cada seis meses durante los primeros dos años, posteriormente anualmente por 10 años; en CS grado 3 OMS, cada tres meses durante tres años, después cada cuatro meses hasta completar el quinto año, y finalmente cada seis meses hasta completar el décimo año.7 Se aconseja incluir en el seguimiento: exploración física del sitio del tumor, más radiografías o tomografía de tórax para garantizar un diagnóstico temprano de recurrencia.3



CONCLUSIONES

La baja incidencia del CS con localización escapular, teniendo en cuenta la presentación clínica ambigua, conlleva un reto para su diagnóstico y tratamiento oportuno. El caso presentado exhorta a la comunidad médica a que en todo paciente con dolor en la cintura escapular de larga evolución, no explicado por un traumatismo reciente, que a su vez presente una radiografía anormal, el CS figure dentro de los diagnósticos diferenciales, más aún, en pacientes mayores de 30 años.


REFERENCIAS (EN ESTE ARTÍCULO)

  1. Gazendam A, Popovic S, Parasu N, Ghert M. Chondrosarcoma: a clinical review. J Clin Med. 2023; 12 (7): 2506. doi: 10.3390/jcm12072506.

  2. Zajac AE, Kopec S, Szostakowski B, Spalek MJ, Fiedorowicz M, Bylina E, et al. Chondrosarcoma-from molecular pathology to novel therapies. Cancers (Basel). 2021; 13 (10): 2390. doi: 10.3390/cancers13102390.

  3. Tiwari R, Devnani B, Thirunavukkarasu B, Pareek P, Daga P, Kumar A. Multi-modality management of chondrosarcoma of scapula: A case report and review of literature. Cancer Treat Res Commun. 2023; 35 (100710): 100710. doi: 10.1016/j.ctarc.2023.100710.

  4. Aran V, Meohas W, de Sá Lopes AC, Cabral LM, Fortuna-Costa A, Guimaraes JAM, et al. Multicentric chondrosarcoma involving the appendicular skeleton: a case report and literature review. Curr Oncol. 2020; 27 (5): 281-284. doi: 10.3747/co.27.6237.

  5. Cozma GV, Sima LV, Closca RM, Baderca F, Horhat ID, Balica NC, et al. Conventional grade 1 chondrosarcoma: a challenging diagnosis with important implications on therapy and prognosis. Rom J Morphol Embryol. 2022; 62 (2): 605-613. doi: 10.47162/rjme.62.2.30.

  6. Jain V, Oliveira I, Chavda A, Khoo M, Saifuddin A. MRI differentiation of low-grade and high-grade chondrosarcoma of the shoulder girdle, chest wall and pelvis: a pictorial review based on 111 consecutive cases. Br J Radiol. 2021; 94 (1126): 20201404. doi: 10.1259/bjr.20201404.

  7. Blasius F, Delbruck H, Hildebrand F, Hofmann UK. Surgical treatment of bone sarcoma. Cancers (Basel). 2022; 14 (11): 2694. doi: 10.3390/cancers14112694.

  8. Micaily I, Roche M, Ibrahim MY, Martinez-Outschoorn U, Mallick AB. Metabolic pathways and targets in chondrosarcoma. Front Oncol. 2021; 11: 772263. doi: 10.3389/fonc.2021.772263.

  9. Qiang S, Ma XN, Wang HW, Lv S-C. Scapula chondrosarcoma: a case report. Medicine (Baltimore). 2019; 98 (17): e15388. doi: 10.1097/MD.0000000000015388.

  10. González RJA, Reyna GW, Rivera DA, Montalvo RPA. Surgical repair of sternum chondrosarcoma in a 58-year-old male patient: case report. Rev Fac Med Humana. 2020; 20 (3): 498-502. doi: 10.25176/rfmh.v20i3.2206.

  11. Bhat SP, Joshi D, Srinivas T, Rajendra JVK, Shetty SM, Kumar AH. Secondary peripheral chondrosarcoma of the scapula. Indian J Surg Oncol. 2020; 11 (S2): 257-261. doi: 10.1007/s13193-020-01175-7.

  12. Gulia A, Kurisunkal V, Puri A, Purandare N, Gupta S, Rangarajan DRM V. Is skeletal imaging essential in the staging workup for conventional chondrosarcoma? Clin Orthop Relat Res. 2020; 478 (11): 2480-2484. doi: 10.1097/CORR.0000000000001357.

  13. Martínez-Said H, Espejo-Sánchez G, Caro-Sánchez CHS, Núñez-González M, García-Ortega DY, Clara-Altamirano MA, et al. Estado actual del condrosarcoma en un centro de referencia. Acta Ortop Mex. 2021; 35 (4): 300-304. doi: 10.35366/103307.

  14. Jassim SS, Hilton T, Saifuddin A, Pollock R. The incidence and outcome of chondral tumours as incidental findings on investigation of shoulder pathology. Eur J Orthop Surg Traumatol. 2020; 30 (1): 97-102. doi: 10.1007/s00590-019-02532-1.

  15. Kaiser CL, Yeung CM, Raskin K, Gebhardt MC, Anderson ME, Lozano-Calderón SA. Tumors of the scapula: A retrospective analysis identifying predictors of malignancy. Surg Oncol. 2020; 32: 18-22. doi: 10.1016/j.suronc.2019.10.020.

  16. Barret H, Bozon O, Fassot G, Chammas M, Coulet B, Lazerges C. What is the patient acceptance when only scapulectomy is possible in case of malignant tumor? A case series. JSES Int. 2022; 6 (6): 1034-1041 doi: 10.1016/j.jseint.2022.08.005.

  17. Priemel MH, Erler JME, Zustin J, Luebke AM, Stiel N, Spiro AS. Histological, epidemiological and anatomical analysis of 193 bone tumours of the scapula. J Bone Oncol. 2019; 18 (100258): 100258. doi: 10.1016/j.jbo.2019.100258.

  18. Yu X-J, Liu Q-K, Wang Y-G, Wang S-X, Lu R, Xu H-R, et al. Oncologic and functional outcomes of different reconstruction modalities after resection of chondrosarcoma of the scapula: a medium- to long-term follow-up study. BMC Musculoskelet Disord. 2022; 23 (1). doi: 10.1186/s12891-022-05661-7.

  19. Biazzo A, De Paolis M, Donati DM. Scapular reconstructions after resection for bone tumors: a single-institution experience and review of the literature. Acta Biomed. 2018; 89 (3): 415-422. doi: 10.23750/abm.v89i3.5655.

  20. Park JH, Jung HW, Jang WY. The usefulness of a three-dimensional printed segmental scapula prosthesis for recovering shoulder function in a patient with scapula chondrosarcoma: a case report. Medicine (Baltimore). 2021; 100 (8): e24817. doi: 10.1097/md.0000000000024817.



AFILIACIONES

1Residente de cuarto año de la Especialidad de Traumatología y Ortopedia. Hospital Regional ISSSTE Puebla

2Médico Especialista en Traumatología y Ortopedia. Postgrado en Cirugía de Hombro y Codo. Hospital Regional ISSSTE Puebla

3Médico Especialista en Traumatología y Ortopedia. Artroscopia y Cirugía Articular

4Médico Especialista en Traumatología y Ortopedia. Cirugía de Tumores Óseos

5Médico Pasante del Servicio Social. Tecnológico de Monterrey, Campus Guadalajara.



Conflicto de intereses: Los autores declaran no tener conflicto de intereses respecto a este trabajo.



CORRESPONDENCIA

Manuel Esaú Tamayo-Gómez. E-mail: manueltamayomd@hotmail.com




Recibido: 10-03-2024. Aceptado: 02-05-2024.

Figura 1
Figura 2
Figura 3
Figura 4
Tabla 1

2020     |     www.medigraphic.com

Mi perfil

C?MO CITAR (Vancouver)

Ortho-tips. 2024;20

ARTíCULOS SIMILARES

CARGANDO ...