medigraphic.com
ENGLISH

Neurología, Neurocirugía y Psiquiatría

ISSN 0028-3851 (Impreso)
  • Mostrar índice
  • Números disponibles
  • Información
    • Información general        
    • Directorio
  • Publicar
    • Instrucciones para autores        
  • medigraphic.com
    • Inicio
    • Índice de revistas            
    • Registro / Acceso
  • Mi perfil

2023, Número 4

<< Anterior

Rev Neurol Neurocir Psiquiat 2023; 51 (4)


Ventilación prona en síndrome de dificultad respiratoria aguda grave por COVID-19 y hemorragia subaracnoidea aneurismática

Arroyo-Sánchez, Abel Salvador1; Aguirre-Mejía, Rosa Yané2
Texto completo Cómo citar este artículo 10.35366/116473

DOI

DOI: 10.35366/116473
URL: https://dx.doi.org/10.35366/116473
Artículos similares

Idioma: Español
Referencias bibliográficas: 11
Paginas: 196-201
Archivo PDF: 363.01 Kb.


PALABRAS CLAVE

posición prona, ventilación mecánica, SARS-CoV-2, COVID-19, síndrome de dificultad respiratoria aguda, hemorragia subaracnoidea aneurismática.

RESUMEN

El manejo clínico de la asociación de síndrome de dificultad respiratoria aguda grave por COVID-19, en pacientes con hemorragia subaracnoidea aneurismática no tratada, es un reto por la falta de evidencia de alto grado y el riesgo de complicaciones neurológicas que puede ocasionar la terapia ventilatoria. Presentamos las características clínicas, manejo y resultados de un paciente con esta asociación de patologías, durante el acmé de la segunda ola de la pandemia de la COVID-19, en un hospital del Perú.



INTRODUCCIóN

La hemorragia subaracnoidea aneurismática (HSAa) puede llegar a tener una mortalidad de 40% y un alto riesgo de discapacidad significativa.1,2 Además del resangrado, la neumonía y el síndrome de dificultad respiratoria aguda (SDRA) son complicaciones frecuentemente encontradas en la unidad de cuidados intensivos (UCI).2-4 Por otro lado, la HSAa puede aumentar la presión intracraneal (PIC) y generar una disminución de la presión de perfusión cerebral (PPC), disminución del flujo sanguíneo cerebral, disminución de la entrega de oxígeno cerebral, además de acompañar esto de resultados clínicos desfavorables.1,3,4

El SDRA grave debido a la enfermedad por coronavirus 2019 (COVID-19) se puede presentar hasta en 5% de los infectados, en ellos está recomendada la ventilación mecánica invasiva (VMI) con parámetros de protección pulmonar, bloqueador neuromuscular y la posición prona.5 La posición prona ha demostrado disminuir la mortalidad en ensayos aleatorizados controlados de pacientes con SDRA grave (PaO2/FiO2 < 100 mmHg) que excluyeron pacientes con aumento de la PIC, algunos estudios con pequeñas poblaciones han reportado resultados contradictorios sobre el efecto de la posición prona en la PIC y la PPC de pacientes con lesión cerebral aguda.5

Se presentan las características clínicas, evolución y resultados de un paciente con HSAa complicada con SDRA grave por COVID-19, tratado con VMI en posición prona prolongada en un hospital de la ciudad de Trujillo, Perú.



PRESENTACIóN DEL CASO

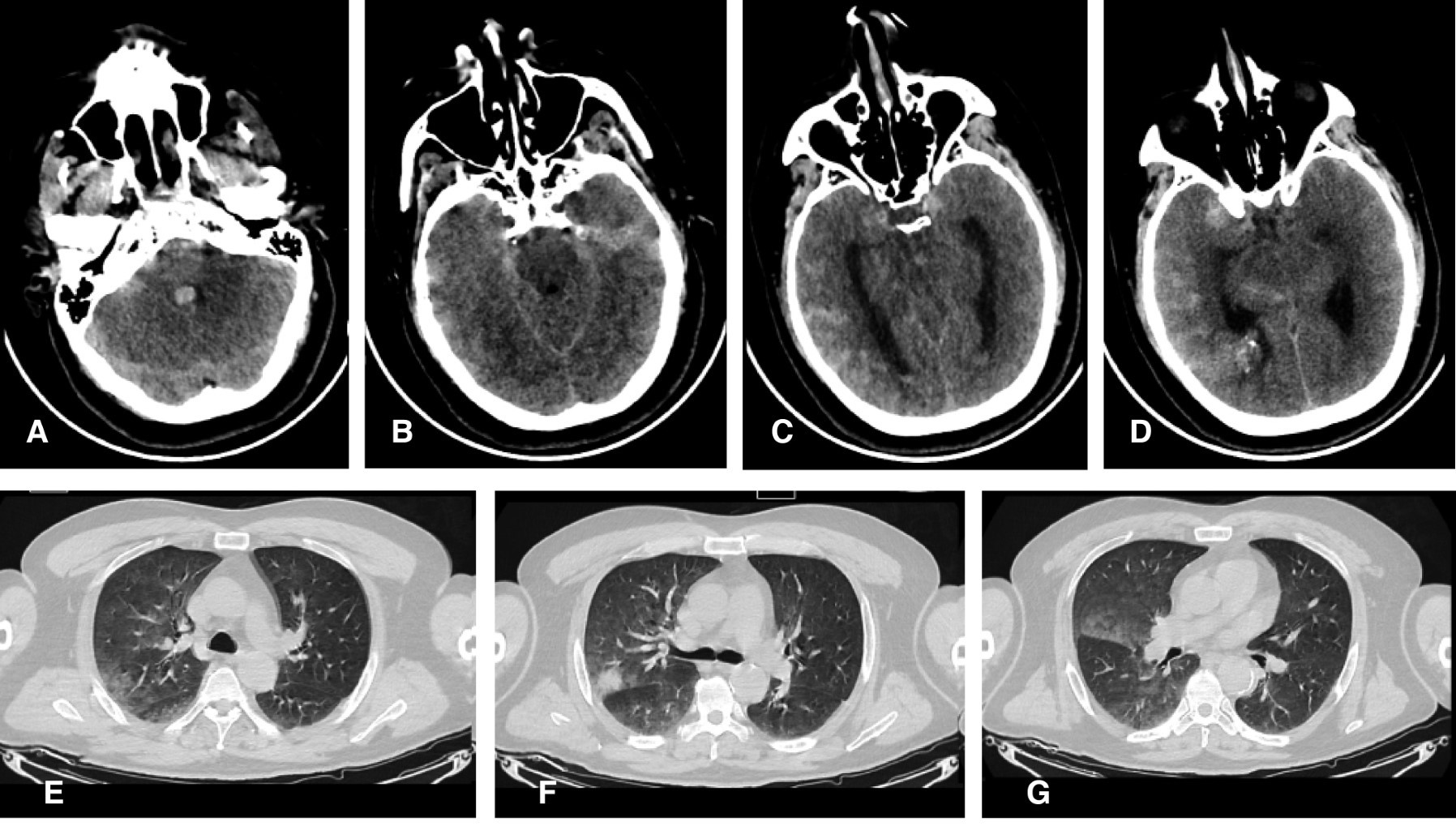
En el acmé de la segunda ola de la COVID-19, un paciente masculino de 42 años previamente saludable y con índice de masa corporal de 23 kg/m2 fue admitido en la sala de emergencias con un cuadro de HSA. Hunt-Hess III, Fisher IV, y World Federation of Neurosurgeons 2; ingresó con una escala de coma de Glasgow (ECG) de ocho puntos y síntomas respiratorios altos leves, con prueba antigénica positiva para la COVID-19 y tomografía pulmonar con signos típicos de COVID-19 en poco volumen (Figura 1), la ECG mejoró hasta los 14 puntos, aunque estuvo somnoliento y confuso. Inició tratamiento con analgesia parenteral y nimodipino.

A partir del segundo día, en la emergencia aumentaron los síntomas y signos respiratorios, lo que ameritó iniciar oxigenoterapia. En el cuarto día de estancia en emergencia se realizó una angiotomografía cerebral, donde se identificó un aneurisma de la arteria cerebral media derecha de 5 mm de tamaño y una malformación arteriovenosa ipsilateral de 23 × 32 × 37 mm. Asimismo se realizó una tomografía pulmonar que evidenció un compromiso pulmonar promedio de ambos pulmones en 60% (Figura 2). Durante el séptimo día de estancia en emergencia, el paciente persistió con insuficiencia respiratoria grave, que no había respondido al manejo con máscara de presión positiva continua en las vías respiratorias (CPAP: Continuous Positive Airway Pressure), además presentó disminución de la ECG a 12 puntos e ingresó a la unidad de cuidados intensivos (UCI).

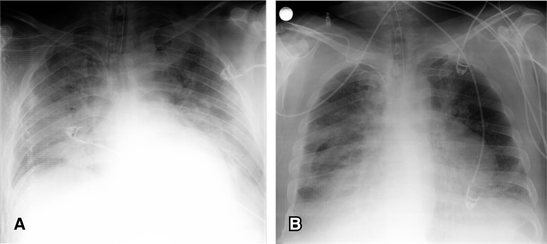
El paciente ingresó a la UCI con APACHE II y SOFA de 17 y 5 puntos, respectivamente. A pesar de iniciar la VMI con PEEP, su PaO2/FiO2 fue de 88 mmHg, la radiografía de tórax mostró un compromiso pulmonar bilateral severo (Figura 3A), por lo cual se inició bloqueador neuromuscular, pronación prolongada (72 horas) en posición Trendelenburg invertido de 30° y parámetros ventilatorios protectivos (volumen tidal 4-8 mL/kg peso predicho, PEEP de acuerdo con el SDRA network, presión meseta < 30 cmH2O, presión de conducción < 15 cmH2O e hipercapnia permisiva) y dexametasona 6 mg/día hasta completar 10 días. Adicionalmente, recibió solución salina hipertónica al 5%, noradrenalina para mantener la presión arterial media entre 80-90 mmHg, nimodipino y se monitorizó el diámetro pupilar bilateral. Añadido a esto, se evitaron la hipoxemia o hiperoxemia, hipotensión o hipertensión arterial, hipotermia o hipertermia, hipoglucemia o hiperglucemia, y la hipocapnia o hipercapnia severa.

En los primeros tres días en UCI hubo una respuesta oxigenatoria favorable sin compromiso pupilar o deterioro hemodinámico, la PaO2/FiO2 máxima alcanzada fue de 210, fue supinado después de cumplir las 72 horas en posición prona. A partir del quinto día en UCI se observó deterioro oxigenatorio progresivo, el cual estuvo asociado a una neumonía tardía que se relacionó al ventilador (NAV) e inició tratamiento antibiótico empírico de amplio espectro. Durante el octavo día en UCI aparecieron nuevos criterios de SDRA moderadamente grave con PaO2/FiO2 de 149 mmHg (Figura 3B). Se inició una segunda sesión de pronación prolongada, que conservó los parámetros ventilatorios y un monitoreo clínico neurológico semejante (Figura 4).

Se obtuvo una respuesta oxigenatoria progresivamente favorable con una PaO2/FiO2 máxima de 230 mmHg sin alteración en la respuesta pupilar, la cual se mantuvo hasta el undécimo día en UCI y entonces se realizó la supinación (Figura 4). Durante su estancia en UCI el paciente cursó con pansinusitis nosocomial, nueva NAV sin SDRA, debilidad del paciente crítico, fue sometido a traqueostomía y se realizó el clipaje del aneurisma cerebral sin intercurrencias perioperatorias. La estancia hospitalaria en la UCI fue de 55 días y la total fue de 61 días; el paciente egresó a su domicilio decanulado y con escala de Rankin modificada (ERm) de 3 puntos.



DISCUSIóN

Qureshi y colaboradores,6 después de analizar una base de datos de 282,718 pacientes en Estados Unidos de América (EUA), encontraron que la tasa de HSA entre los pacientes con COVID-19 (0.1%) fue semejante a la encontrada en pacientes sin COVID-19 (0.2%), aunque la proporción de complicaciones como la neumonía (58.1 vs 21.3%; p < 0,001), la falla respiratoria aguda (64.0 vs 39.1%; p < 0.001) y la mortalidad intrahospitalaria (31.4 vs 12.4%; p < 0.01) fueron mayores en los pacientes con COVID-19. Ravindra y colaboradores7 analizaron las bases de datos de 194 hospitales de EUA, con lo que reportaron mayores estancias hospitalarias en UCI (21.9 vs 9.6 días; p < 0,001) y general (26.9 vs 13.4 días; p < 0.001), así como mortalidad (42.9 vs 14.8%; p < 0.001) en los pacientes que tuvieron HSA con COVID-19 versus HSA sin COVID-19.

La asociación de HSA y SDRA puede verse en situaciones críticas como el trauma craneoencefálico (TCE) asociado a trauma torácico o HSAa grave con una respuesta adrenérgica e inflamatoria sistémicas.3 Los estudios con resultados favorables del manejo ventilatorio del SDRA grave, generalmente, excluyen a los pacientes que tengan aumento de la PIC de cualquier etiología, debido a que su tratamiento implica el aumento de la PEEP, la posición prona y la hipercapnia permisiva, medidas terapéuticas que pueden aumentar la PIC, disminuir la PPC y, por lo tanto, reducir el aporte de oxígeno cerebral.5 Esto ha generado un vacío de evidencia terapéutica que debe investigarse.

Towner y colaboradores3 realizaron una revisión sistemática sobre el manejo ventilatorio de pacientes con HSAa, al recomendar que, si bien la PEEP elevada y la posición prona pueden aumentar la PIC, su uso podría considerarse en pacientes con HSAa sin hipertensión endocraneana o efecto de masa. Por otro lado, la medición de PIC no es claramente recomendada en pacientes con HSAa, a diferencia de la evidencia existente que la recomienda en el caso de TCE.1

La asociación de SDRA grave por COVID-19 y HSAa sin tratamiento precoz del aneurisma no ha sido reportada previamente. El efecto potencialmente deletéreo de las medidas terapéuticas del SDRA grave (PEEP elevado, posición prona e hipercapnia permisiva) pueden restringir su uso en pacientes con HSAa.

Cornejo y colaboradores8 reportaron dos casos de pacientes con HSAa roto, SDRA grave no COVID-19 y choque séptico refractario, quienes fueron sometidos a VMI prona y hemofiltración de alto volumen; en ambos casos la PIC, al iniciar las medidas terapéuticas, fue menor de 15 mmHg y la elevación de ellas, al final de los procedimientos, no fue mayor de 15 mmHg. Los autores concluyeron que el uso de ambas medidas fue seguro y ayudó a mejorar la oxigenación y hemodinamia de los casos.

Cezar-Junior y colaboradores9 revisaron cuatro casos de pacientes con COVID-19 y HSA espontánea, de los cuales sólo un paciente tuvo etiología aneurismática; se trató de una mujer de 36 años con COVID-19 grave, con compromiso de la conciencia y uso de VMI; no se especifican parámetros oxigenatorios ni ventilatorios para saber si cursó con SDRA grave. La paciente sobrevivió y egresó con una ERm de cuatro puntos.

Dodd y colaboradores10 reportaron 10 casos con HSAa en pacientes con COVID-19, de los cuales tres fueron COVID-19 grave con neumonía y sepsis, no se especifica si alguno de ellos tuvo SDRA grave ni las medidas terapéuticas empleadas; nueve de ellos recibieron tratamiento del aneurisma y sólo uno no recibió el tratamiento porque tuvo una evolución fatal; los resultados, al dar el alta, fueron dos fallecidos en el hospital, uno egresó con ERm de 3 puntos y siete pacientes con ERm de 0 a 2 puntos.

Khan y colaboradores11 presentaron el caso de una paciente de 61 años que ingresó al hospital por COVID-19 para oxigenoterapia (sin VMI), y desarrolló, posteriormente, HSAa con deterioro de la conciencia; se realizó clipaje del aneurisma y pasó a la UCI para manejo postoperatorio. En este caso no se describieron parámetros oxigenatorios ni la presencia de SDRA grave.

Independientemente de la dirección de causalidad entre la COVID-19 y la HSAa,4,6,7,9,11 la presencia del SDRA grave por COVID-19 y la HSAa no tratada en nuestro paciente se convirtió en un reto para el manejo clínico. Nuestra principal meta clínica fue mejorar la oxigenación cerebral y para conseguirla primero debimos mejorar la oxigenación sistémica,2,3 esta última no se podría obtener si no tratábamos el SDRA grave con las medidas terapéuticas realizadas, las cuales teóricamente aumentaron el riesgo de elevación de la PIC y resangrado. Si bien no existe evidencia que apoye el uso del tratamiento del SDRA grave en pacientes con HSAa no tratado, tampoco hay evidencia de que su uso esté contraindicado, esto abre una puerta a futuras investigaciones sobre la asociación de estas patologías, con mejores métodos de monitoreo y mayor número de pacientes.

Finalmente, en la Figura 5 se esquematiza el resumen del caso reportado, donde se aprecia el doble componente etiológico del SDRA grave (primario y secundario), las medidas terapéuticas ventilatorias del SDRA y las medidas de neuroprotección de la HSAa.

Entre las limitaciones del reporte tuvimos la falta del tratamiento del aneurisma de forma precoz y de un método de monitorización más objetivo, aunque ambos no se alejan de la realidad en muchas UCI del mundo durante los picos de la pandemia. La metodología del caso no permite extrapolarlo a otros casos o poblaciones más grandes.



CONCLUSIONES

El tratamiento del SDRA grave por COVID-19 en pacientes con HSAa no tratada puede encontrar una alternativa terapéutica en la VMI prona prolongada, en posición Trendelenburg invertido en 30°, con PEEP elevado e hipercapnia permisiva en la UCI.


REFERENCIAS (EN ESTE ARTÍCULO)

  1. Florez WA, García-Ballestas E, Deora H, Agrawal A, Martinez-Perez R, Galwankar S et al. Intracranial hypertension in patients with aneurysmal subarachnoid hemorrhage: a systematic review and meta-analysis. Neurosurg Rev. 2021; 44 (1): 203-211.

  2. Mazeraud A, Robba C, Rebora P, Iaquaniello C, Vargiolu A, Rass V et al. Acute distress respiratory syndrome after subarachnoid hemorrhage: incidence and impact on the outcome in a large multicenter, retrospective cohort. Neurocrit Care. 2021; 34 (3): 1000-1008.

  3. Towner JE, Rahmani R, Zammit CG, Khan IR, Paul DA, Bhalla T et al. Mechanical ventilation in aneurysmal subarachnoid hemorrhage: systematic review and recommendations. Crit Care. 2020; 24 (1): 575.

  4. Panther EJ, Lucke-Wold B. Subarachnoid hemorrhage: management considerations for COVID-19. Explor Neuroprotective Ther. 2022; 2 (2): 65-73.

  5. World Health Organization. COVID-19 clinical management. Living guidance 23 November 2021 [internet]. WHO; 2021 [Cited 2021 jun 13]. Available in: https://apps.who.int/iris/bitstream/handle/10665/338882/WHO-2019-nCoV-clinical-2021.1-eng.pdf?sequence=1&isAllowed=y

  6. Qureshi AI, Baskett WI, Huang W, Shyu D, Myers D, Lobanova I et al. Subarachnoid hemorrhage and COVID-19: an analysis of 282,718 patients. World Neurosurg. 2021; 151: e615-e620.

  7. Ravindra VM, Grandhi R, Delic A, Hohmann S, Shippey E, Tirschwell D et al. Impact of COVID-19 on the hospitalization, treatment, and outcomes of intracerebral and subarachnoid hemorrhage in the United States. PLoS One. 2021; 16 (4): e0248728.

  8. Cornejo R, Romero C, Ugalde D, Bustos P, Diaz G, Galvez R et al. High-volume hemofiltration and prone ventilation in subarachnoid hemorrhage complicated by severe acute respiratory distress syndrome and refractory septic shock. Rev Bras Ter Intensiva. 2014; 26 (2): 193-199.

  9. Cezar-Junior AB, Faquini IV, Silva JL, de Carvalho Junior EV, Lemos LE et al. Subarachnoid hemorrhage and COVID-19: association or coincidence? Medicine. 2020; 99: 51.

  10. Dodd WS, Jabbour PM, Sweid A, Tjoumakaris S, Gooch MR, Al Saiegh F et al. Aneurysmal subarachnoid hemorrhage in patients with coronavirus disease 2019 (COVID-19): a case series. World Neurosurg. 2021; 153: e259-e264.

  11. Khan D, Naderi S, Ahmadi M, Ghorbani A, Cornelius JF, Hanggi D et al. Intracranial aneurysm rupture after SARS-CoV2 infection: case report and review of literature. Pathogens. 2022; 11 (6): 617.



AFILIACIONES

1 Médico internista e intensivista. Hospital "Víctor Lazarte Echegaray", Seguro Social de Salud, Trujillo, Perú. Escuela de Medicina Humana, Universidad Privada Antenor Orrego, Trujillo, Perú.

2 Médica radióloga. Hospital "Víctor Lazarte Echegaray", Seguro Social de Salud, Trujillo, Perú. Escuela de Medicina Humana, Universidad Privada Antenor Orrego, Trujillo, Perú.



CORRESPONDENCIA

Abel Arroyo-Sánchez. E-mail: abelsalvador@yahoo.com




Recibido: 17/09/2022. Aceptado: 03/10/2022.



Figura 1
Figura 2
Figura 3
Figura 4
Figura 5

2020     |     www.medigraphic.com

Mi perfil

C?MO CITAR (Vancouver)

Rev Neurol Neurocir Psiquiat. 2023;51

ARTíCULOS SIMILARES

CARGANDO ...