medigraphic.com
ENGLISH

Acta Médica Grupo Ángeles

Órgano Oficial del Hospital Ángeles Health System
  • Mostrar índice
  • Números disponibles
  • Información
    • Información general        
    • Directorio
  • Publicar
    • Instrucciones para autores        
    • Envío de artículos
    • Políticas
    • Nombre y afiliación del Comité Editorial
  • Nosotros
    • Plan de gestión e intercambio de datos
    • Objetivos declarados y alcance
  • medigraphic.com
    • Inicio
    • Índice de revistas            
    • Registro / Acceso
  • Mi perfil

2024, Número 3

<< Anterior Siguiente >>

Acta Med 2024; 22 (3)


Cistitis enfisematosa, hallazgos clínico-radiológicos

Isern de Val, Iñigo1; Ramón y Cajal Calvo, Juan2; Castrillo Guiral, Silvia1; Montes Aranguren, María Pilar1; Hernández Aínsa, María3
Texto completo Cómo citar este artículo 10.35366/116833

DOI

DOI: 10.35366/116833
URL: https://dx.doi.org/10.35366/116833
Artículos similares

Idioma: Español
Referencias bibliográficas: 5
Paginas: 233-235
Archivo PDF: 160.94 Kb.


PALABRAS CLAVE

cistitis, Escherichia coli, tomografía computarizada, rayos X.

RESUMEN

Introducción: la cistitis enfisematosa, infrecuente pero grave, afecta principalmente a pacientes diabéticos. La detección temprana es crucial en diabéticos descompensados con infección urinaria. Los hallazgos radiológicos son diagnósticos. Caso clínico: paciente de 70 años presenta malestar general, lesión renal aguda y elevación de reactantes de fase aguda. Las radiografías muestran gas en la pared vesical, indicativo de cistitis enfisematosa. Conclusión: la cistitis enfisematosa es rara pero potencialmente grave. El tratamiento antibiótico, el drenaje vesical y el control glucémico adecuado, en su mayoría, resultan en un buen pronóstico.



INTRODUCCIóN

La cistitis enfisematosa es rara, difícil de identificar y con importante morbimortalidad, caracterizada por la infección primaria de la vejiga por patógenos productores de gas. La poca especificidad clínica puede conllevar retraso en el diagnóstico y tratamiento.



PRESENTACIóN DEL CASO

Paciente de 70 años, con antecedentes destacables de HTA, diabetes y cardiopatía isquémica. Acude a urgencias por deterioro del estado general, cuadro diarreico importante y dificultad respiratoria de 24 horas de evolución. En urgencias presenta dolor abdominal con distensión y bradicardia en fase de shock distributivo. Se obtienen hemocultivos y urocultivo, con piuria al sondaje y se inicia antibioterapia de amplio espectro con meropenem.

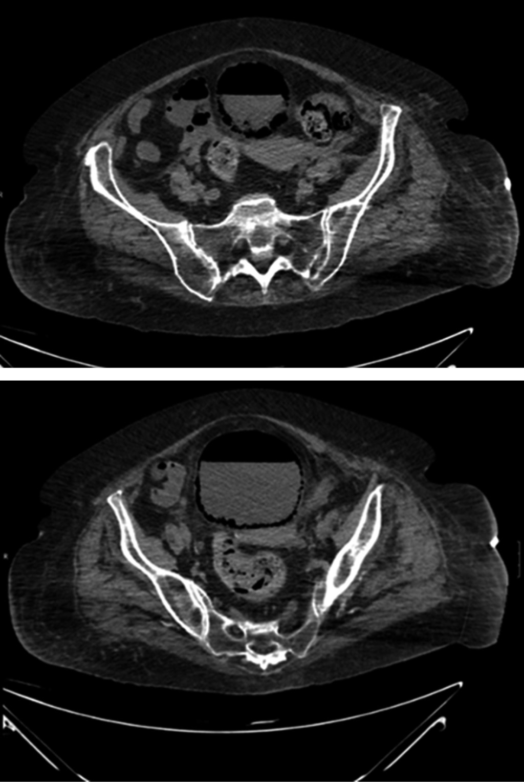
Se sospecha foco abdominal por lo que se realiza angiotomografía computarizada abdominal observándose globo vesical con burbujas de aire intraparietal a nivel de pared posterolateral derecha que corresponde con cistitis enfisematosa con trabeculación de la grasa perivesical subyacente.

Ante hallazgos en tomografía computarizada (TC) abdominal se contacta con urología, decidiéndo manejo conservador con drenaje de vejiga mediante sondaje que precisa movilización.

Se aísla en todos los cultivos Escherichia coli, pansensible, desescalado a amoxicilina-clavulánico con este hallazgo. El paciente presenta buena evolución normalizando función renal precisando apoyo diurético, sin terapia sustitutiva. Evoluciona bien en fase de destete y puede ser extubado a los 7 días y dado de alta a planta en el noveno día.



DISCUSIóN

La cistitis enfisematosa es una afección poco común caracterizada por la presencia de gas en la vejiga o en su pared. Fue identificada por primera vez en 1961 por Bailey1 y posteriormente investigada por Thomas,2 quien analizó a 135 pacientes, encontrando que la edad promedio era de 66 años y que 64% eran mujeres. Los factores de riesgo principales son la diabetes mal controlada (67%), infecciones urinarias recurrentes, obstrucciones en el tracto urinario, vejiga neurogénica e inmunosupresión.3 Otros factores incluyen la presencia de fístulas, enfermedad renal crónica y la incontinencia por esfuerzo.3

Escherichia coli es el germen más comúnmente asociado, aunque otros como Enterobacter aerogenes, Klebsiella pneumoniae, Proteus mirabilis, Staphylococcus aureus, Streptococcus, Nocardia y Candida albicans también pueden causarla.4 Los síntomas varían, desde asintomáticos hasta peritonitis y choque séptico. Los más comunes son dolor abdominal agudo (80%), fiebre (52%) y hematuria (47%). La neumaturia (la presencia de gas en la orina) es un signo distintivo pero poco común.4

El diagnóstico se basa en la historia clínica y alta sospecha en pacientes de riesgo. Los hallazgos radiológicos son esenciales. Los análisis de orina revelan piuria y hematuria, con urocultivos y hemocultivos generalmente positivos.5 Las pruebas radiológicas muestran gas (Figura 1), siendo la tomografía axial computarizada (TAC) (Figura 2) la más efectiva.

La radiografía simple de abdomen evidencia una línea radiolúcida que rodea la pared vesical, correspondiendo a un nivel hidroaéreo o una imagen esférica completa que insinúa a la silueta vesical. La ecografía puede mostrar un engrosamiento parietal vesical con un patrón hiperecogénico y de "imagen sucia".

El tratamiento principal es médico, incluyendo reposición de volumen, manejo del choque, control metabólico y antibióticos de amplio espectro, adaptados según los resultados de los cultivos urinarios. El tratamiento dura al menos de tres a seis semanas.5 La colocación de una sonda transuretral durante este tiempo es esencial. Los pacientes con obstrucción del tracto urinario inferior pueden necesitar tratamiento adicional para evitar recurrencias.5

En resumen, la cistitis enfisematosa es una enfermedad poco común pero potencialmente grave. El diagnóstico temprano y el tratamiento adecuado, que incluye el control de la diabetes, son cruciales para un pronóstico favorable, aunque los pacientes con comorbilidades y disfunciones sistémicas pueden tener un curso clínico más complicado.



CONCLUSIóN

La cistitis enfisematosa es una patología poco común, pero que puede presentar una alta morbilidad y mortalidad. Es crucial sospechar su diagnóstico de manera temprana, especialmente en pacientes diabéticos descompensados con infección de vías urinarias. En la mayoría de los casos, la enfermedad tiene un buen pronóstico con el tratamiento adecuado de antibióticos y un control glucémico efectivo, a excepción de aquellos pacientes con comorbilidades importantes y disfunciones sistémicas.


REFERENCIAS (EN ESTE ARTÍCULO)

  1. Bailey H. Cystitis emphysematosa; 19 cases with intraluminal and interstitial collections of gas. Am J Roentgenol Radium Ther Nucl Med. 1961; 86: 850-862.

  2. Thomas AA, Lane BR, Thomas AZ, Remer EM, Campbell SC, Shoskes DA. Emphysematous cystitis: a review of 135 cases. BJU Int. 2007; 100 (1): 17-20.

  3. Yoshida K, Murao K, Fukuda N, Tamura Y, Ishida T. Emphysematous cystitis with diabetic neurogenic bladder. Intern Med. 2010; 49 (17): 1879-1883.

  4. Grupper M, Kravtsov A, Potasman I. Emphysematous cystitis: illustrative case report and review of the literature. Medicine (Baltimore). 2007; 86 (1): 47-53.

  5. Barclay-Buchanan CJ, Irving S. Emphysematous cystitis. Visual J Emerg Med. 2016; 4: 47-48.



AFILIACIONES

1 Servicio de Medicina Intensiva, Hospital Clínico Universitario Lozano Blesa. Zaragoza, España.

2 Servicio de Radiodiagnóstico, Hospital Clínico Universitario Lozano Blesa. Zaragoza, España.

3 Servicio de Aparato Digestivo, Hospital Universitario San Jorge. Huesca, España.



CORRESPONDENCIA

Iñigo Isern de Val. Correo electrónico: inigoisern@gmail.com




Aceptado: 29-09-2023.

Figura 1
Figura 2

2020     |     www.medigraphic.com

Mi perfil

C?MO CITAR (Vancouver)

Acta Med. 2024;22

ARTíCULOS SIMILARES

CARGANDO ...