2024, Número 3
Quiste óseo aneurismático torácico, descompresión mediante costotransversectomía, corpectomía y caja telescópica expandible. Reporte de un caso y revisión de literatura
Idioma: Español
Referencias bibliográficas: 12
Paginas: 188-193
Archivo PDF: 447.01 Kb.
RESUMEN
Los quistes óseos aneurismáticos (QOA) son neoplasias vascularizadas benignas, sin embargo, pueden mostrar un comportamiento agresivo y expansivo. Paciente femenino de 13 años presenta dorsolumbalgia de predominio nocturno, de un mes de evolución. A su ingreso se corrobora una paraparesia 3/5 en miotomos L3-S1 izquierdos y 4/5 en derechos, reflejos +++/++++ en patelar y aquíleo bilateral, disminución en la sensibilidad termoalgésica desde L2hacia distal de predominio izquierdo. La tomografía toracolumbar mostró una lesión en cuerpo vertebral T12 y elementos posteriores de lado izquierdo de aspecto expansivo, lítico, con un interior trabeculado. En la resonancia magnética (RM) sin contraste se observaba extradural, heterogénea, con una porción multilocular con niveles líquido-líquido observados hiperintensos en T2. Es intervenida quirúrgicamente mediante una costotransversectomía izquierda, corpectomía T12 y resección de lesión. Se insertó la caja, su porción telescópica es colocada caudalmente evitando el estiramiento de la raíz nerviosa inferior a medida que se expande. Posteriormente se realizó la fijación de T10-L2 con ganchos sublaminares. Durante el seguimiento a 12 meses presentó una recuperación de la sensibilidad y de la fuerza en sus miembros inferiores de forma bilateral a 4+/5. El tratamiento de elección en estos casos es la resección quirúrgica completa y estabilización.ABREVIATURAS:
- QOA = quistes óseos aneurismáticos.
- RM = resonancia magnética.
- AINE = antiinflamatorios no esteroides.
INTRODUCCIóN
Los quistes óseos aneurismáticos (QOA) son neoplasias vascularizadas benignas, sin embargo, pueden mostrar un comportamiento agresivo y expansivo.
Se localizan principalmente en huesos largos y hasta en 15% en columna, característicamente infiltran elementos posteriores1 y continúan su invasión anteriormente hacia el cuerpo vertebral.
Su incidencia es de 0.14/100,000 personas,2 presentándose en la infancia, con una edad promedio de 13 años y una discreta predilección por el sexo femenino.1-3
Anteriormente se creía que surgía a consecuencia de un trauma previo, seguido por un proceso reparativo aberrante. Otras posturas sugerían que era el resultado del aumento de la presión venosa que provocaba la extravasación del contenido sanguíneo y celular en cavidades dentro del hueso, dándole la apariencia quística. Actualmente hay evidencia que soporta que esta entidad, en 70% de los casos, se trata de una neoplasia primaria, originada por un reordenamiento genético del gen USP6;4 y 30% restante, surgen como lesiones secundarias adyacentes a osteoblastomas, condroblastomas o tumores de células gigantes, osteosarcoma, entre otros.5
De acuerdo con su comportamiento, según Enneking se puede clasificar en tres grados: latente (grado I), cuando el tumor presenta tabiques internos, no expansivo, bordes definidos y la corteza intacta; activo (grado II), se vuelve expansivo, presenta adelgazamiento de la corteza, bordes indefinidos y una capa periférica de hueso reactivo; y agresivo (grado III), el tumor se expande rápidamente, destruye la cortical y se extiende a los tejidos circundantes.4
La presentación clínica es dolor, deformidad espinal y en casos más agresivos puede acompañarse de afecciones neurológicas (radiculopatía, parestesias, paraparesias, alteración de esfínteres, etcétera). Debido a que un dolor de espalda en pacientes pediátricos puede ser subdiagnosticado hasta que aparecen fracturas patológicas o síntomas neurológicos, es importante buscar intencionadamente banderas rojas: dolor que dure más de cuatro semanas, predominio nocturno, dolor en reposo, que no cede con medicamentos antiinflamatorios no esteroides (AINE), fiebre, o un antecedente traumático o clínica neurológica.6
El tratamiento tradicional en los QOA ha sido el legrado intralesional con o sin injerto óseo, aunado a terapia adyuvante con radioterapia, embolización, escleroterapia o denosumab; sin embargo, estas modalidades terapéuticas han mostrado su eficacia en huesos largos, no así en columna. El tratamiento de elección en QOA de columna es la resección quirúrgica completa y estabilización.6
PRESENTACIóN DEL CASO
Paciente femenino de 13 años quien presenta dorsolumbalgia de predominio nocturno, de un mes de evolución, que condicionaba limitación a la marcha. A su ingreso se corrobora una paraparesia 3/5 en miotomos L3-S1 izquierdos y 4/5 en derechos, reflejos +++/+++ patelar y aquíleo bilateral, disminución en la sensibilidad termoalgésica desde L2 hacia distal de predominio izquierdo, propiocepción conservada.
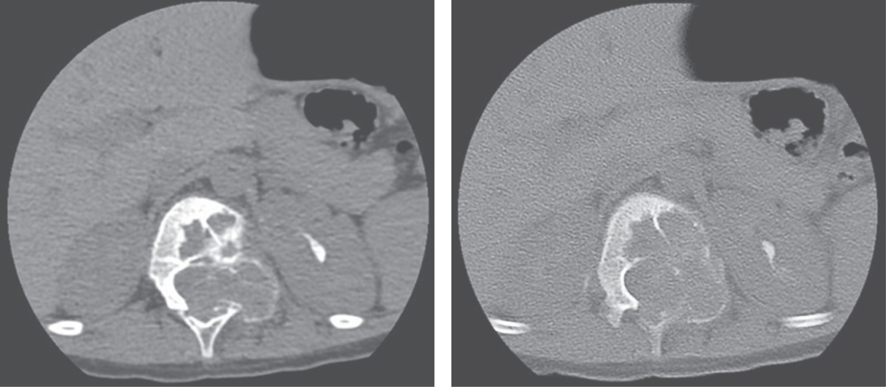
La tomografía toracolumbar mostró una lesión a nivel del cuerpo vertebral T12 y elementos posteriores de lado izquierdo de aspecto expansivo, lítico, con un interior trabeculado (Figura 1).
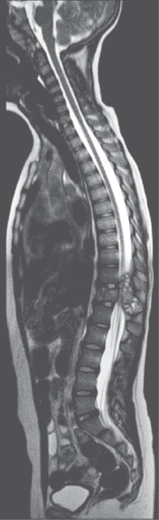
La RM simple y contrastada caracterizó de mejor forma lesión, siendo extradural, heterogénea, con una porción multilocular con niveles líquido-líquido observados hiperintensos en T2; presentaba también una porción sólida que realzaba al contraste, la cual invadía al canal medular generando invasión anteriormente hacia el cuerpo vertebral, con destrucción del pedículo, proceso transverso y la lámina (Figuras 2, 3, 4, 5 y 6).
Es intervenida quirúrgicamente mediante una costotransversectomía izquierda, corpectomía T12 y resección de lesión. Para la instrumentación se movilizó la raíz izquierda T11 en sentido superolateral y la de T12 inferolateral aproximadamente 3 cm, observando el saco dural, creando de esta forma un corredor interneural. Se insertó la caja rellenada de matriz ósea de forma colapsada a través del corredor y una vez que pasa ambas raíces, es rotada para colocar la caja en alineación con el eje longitudinal de la columna. La porción telescópica de la caja es colocada caudalmente evitando el estiramiento de la raíz nerviosa inferior a medida que se expande. Posteriormente se realizó la fijación de T10-L2 con ganchos sublaminares. Como hallazgos transquirúrgicos se observaron cavidades llenas de sangre de aspecto antiguo, color café rojizo, múltiples tabiques en su interior que se extendía desde la lámina, pedículo y cuerpo vertebral con invasión al canal medular condicionando su compresión sin datos de afección a la duramadre.
Durante el seguimiento a 12 meses presentó una recuperación de la sensibilidad en ambas extremidades inferiores y de la fuerza a 4+/5 bilateral, así como una normorreflexia. El diagnóstico prequirúrgico, basado en la clínica y los estudios radiológicos inicialmente fue de un osteosarcoma telangiectásico, no obstante, con el resultado histopatológico se hizo el diagnóstico definitivo de quiste óseo aneurismático.
DISCUSIóN
Los QOA son lesiones benignas expansivas que producen cavidades llenas de sangre, revestidas por fibroblastos proliferativos, células gigantes y hueso trabecular.
En los estudios de imagen se observan como lesiones osteolíticas, expansivas, circunscritas por una fina capa de hueso cortical, multitabicadas, dando una apariencia de "burbujas de jabón".7 En la resonancia magnética aparecen como imágenes quísticas, con niveles líquido-líquido rodeadas de septos fibrosos, también pueden evidenciarse fracturas patológicas acompañadas de edema óseo y de tejidos blandos. Estas características imagenológicas son compartidas con el osteosarcoma telangiectásico,8 por lo que puede representar un reto diagnóstico. No es infrecuente encontrar casos de QOA diagnosticados erróneamente como osteosarcomas telangiectásicos,9 o viceversa, por lo que ha surgido el interés en diferenciar ambas entidades con base en sus características radiológicas e histológicas, ya que, a pesar de realizarse biopsia con aguja gruesa, el porcentaje de diagnósticos erróneos continúa siendo alto. Por consiguiente, el tratamiento adecuado para cada patología se puede ver mermado y esto a su vez, puede modificar el pronóstico de la enfermedad, teniendo en cuenta que el QOA es de etiología benigna, y el osteosarcoma telangiectásico tiene una tasa de supervivencia a cinco años de 66%.10 Otro punto importante por mencionar es que los trabajos que buscan dilucidar las diferencias imagenológicas o microscópicas han sido realizados principalmente en casos con afección de metáfisis de huesos largos, evidenciando una escasez de información en casos de columna.
A pesar de que los QOA se tratan de una patología benigna, presenta un comportamiento agresivo, por lo que los objetivos del tratamiento son detener la progresión de la lesión, aliviar el dolor, prevenir o estabilizar fracturas patológicas y reducir la tasa de recurrencia. En los QOA de columna el tratamiento de elección es la resección quirúrgica completa, la cual debe incluir toda la pared del quiste, los tejidos de aspecto macroscópico anormal, de consistencia esponjosa y superficies óseas revestidas de membranas hipervascularizadas.6
Teniendo en cuenta que una cirugía agresiva puede conllevar a una inestabilidad en la columna, se deberá considerar la necesidad de realizar una instrumentación para obtener una alineación adecuada y lograr la estabilidad.
El caso de nuestra paciente describe un abordaje posterolateral mediante una costotransversectomía para alcanzar la porción ventral de la columna, así como la extracción de los elementos laterales y posteriores para obtener una mejor visualización de la lesión y conseguir la descompresión con una mínima manipulación de estructuras nerviosas. Una vez realizada la corpectomía, se decidió emplear una caja expandible, ya que estos dispositivos mejoran las tasas de fusión, restauran la altura intervertebral, corrigen la deformidad sagital y reducen el hundimiento.11
Este caso presenta como limitante un periodo corto de seguimiento para evaluar el desarrollo de subsidencia; no obstante, es importante mencionar que esta complicación se presenta predominantemente en pacientes con osteopenia u osteoporosis.
CONCLUSIONES
La planeación de la cirugía en nuestra paciente se basó en la clasificación de Weinstein-Boriani-Biagini (WBB),12 la cual considera cinco capas concéntricas que definen la agresión sobre la vértebra y 12 zonas radiantes que permiten decidir la vía de abordaje. En este caso se decidió un abordaje quirúrgico basado en una resección amplia en bloque mediante una corpectomía debido al comportamiento agresivo y localización de la lesión, ya que se extendía desde el tejido blando extraóseo paravertebral hasta el canal raquídeo en su porción extradural, con compromiso de las zonas ocho a la dos. De tal modo que se ofreció una resección más segura y con menos probabilidad de recidiva.
Indudablemente el abordaje quirúrgico debe ser elegido con base en el tipo y localización de la patología, estado de salud del paciente, comodidad del cirujano, conocimiento anatómico y objetivos de la cirugía.
REFERENCIAS (EN ESTE ARTÍCULO)
AFILIACIONES
1 Médico residente de quinto año de Neurocirugía de la Unidad de Medicina de Alta Especialidad No. 25. Monterrey, Nuevo León. ORCID: 0009-0004-0627-0228
2 Neurocirujano, jefe del módulo de columna de la Unidad de Medicina de Alta Especialidad No. 25. Monterrey, Nuevo León. ORCID: 0009-0009-8138-1733
3 Neurocirujano adscrito al Hospital Universitario. "Dr. José Eleuterio González". Nuevo León, México.
4 Médico pasante de servicio social, Universidad de Monterrey. México.
Conflicto de intereses: los autores declaran no tener ningún conflicto de intereses en este trabajo.
CORRESPONDENCIA
Karoll Ortíz-Guillén. E-mail: karoll.ortz@gmail.comRecibido: 01 de Febrero de 2024. Aceptado: 22 de Abril de 2024.
