medigraphic.com
ENGLISH

Cirujano General

ISSN 2594-1518 (Digital)
ISSN 1405-0099 (Impreso)
  • Mostrar índice
  • Números disponibles
  • Información
    • Información general        
    • Directorio
  • Publicar
    • Instrucciones para autores        
    • Envío de artículos
  • medigraphic.com
    • Inicio
    • Índice de revistas            
    • Registro / Acceso
  • Mi perfil

2024, Número 1

<< Anterior Siguiente >>

Cir Gen 2024; 46 (1)


Adenomiomatosis de la vesícula biliar. Aspectos críticos para la decisión quirúrgica

Ruso-Martínez, Luis1; Espinosa-Nan, Gabriela1
Texto completo Cómo citar este artículo 10.35366/117369

DOI

DOI: 10.35366/117369
URL: https://dx.doi.org/10.35366/117369
Artículos similares

Idioma: Español/Inglés [English version]
Referencias bibliográficas: 28
Paginas: 54-59
Archivo PDF: 275.44 Kb.


PALABRAS CLAVE

adenomiomatosis, vesícula biliar, cáncer vesícula, colecistectomía, sistema biliar.

RESUMEN

La adenomiomatosis de la vesícula biliar es una patología pseudotumoral, benigna, de diagnóstico frecuentemente incidental y poco considerada en el ámbito clínico. El interés de esta comunicación se vincula con la necesidad de establecer el diagnóstico preciso a los efectos de indicar la colecistectomía, considerando que existen factores de riesgo comunes con el cáncer de vesícula en una patología definida como benigna. Se realizó un análisis retrospectivo, observacional, de 13 pacientes con diagnóstico de adenomiomatosis vesicular, se analizó: diagnóstico clínico e imagenológico, procedimiento realizado y morbimortalidad. Fueron incluidos ocho mujeres y cinco hombres con edad media de 65.7 años. Fueron sintomáticos 69.2% de los casos; 46.1%, tenían signos de disfunción biliar y 23.3% sufrían dolores y síntomas digestivos inespecíficos. El 15.3% eran asintomáticos y otro 15.3% fueron hallazgos incidentales en el curso de hepatectomías. La ecografía fue diagnóstica en 92.3% de los pacientes. Se realizó colecistectomía laparoscópica en 76.9% de los casos, convencional en 15.3% y un paciente optó por manejo conservador. No existieron mortalidad ni complicaciones significativas. La indicación de colecistectomía por adenomiomatosis en las formas asintomáticas o incidentales y en ausencia de litiasis vesicular sólo se justifica frente a la incertidumbre diagnóstica persistente.



ABREVIATURAS:

  • 18FDG = 18-fluorodesoxiglucos.
  • ADM/VB = adenomiomatosis de la vesícula biliar.
  • RMN = resonancia magnética nuclear.
  • Senos RA = senos de Rokitansky-Aschoff.
  • TC = tomografía computarizada.



INTRODUCCIóN

En la práctica clínica habitual las patologías vesiculares más frecuentes son la litiasis y el cáncer; sin embargo, existen otras enfermedades de menor incidencia, pero con aspectos clínicos y asistenciales de gran interés. La adenomiomatosis de la vesícula biliar (ADM/VB) es una patología degenerativa y proliferativa de patogenia controversial vinculada a factores inflamatorios y mecánicos, derivados de su frecuente asociación con cálculos vesiculares. Su origen se postula en el crecimiento epitelial estimulado por la inflamación crónica secundaria a la existencia de litiasis y/o la excesiva absorción de bilis a nivel de la pared vesicular. Es considerada una enfermedad benigna y es poco conocida por los clínicos. Su diagnóstico suele ser incidental durante una ecografía hepática.

Frente al diagnóstico de ADM/VB, los principales aspectos a considerar son: a) lograr la certeza diagnóstica a partir de un patrón imagenológico pseudotumoral en un contexto clínico inespecífico o asintomático; b) evaluar la existencia de factores de riesgo comunes con el cáncer de VB; c) el temor del paciente frente a un "tumor" de vesícula y d) la certidumbre del cirujano de asumir con seguridad la decisión de realizar la colecistectomía.

El objetivo de este reporte se vincula con la necesidad de realizar el diagnóstico preciso de ADM/VB considerando que tiene factores de riesgo comunes con el cáncer de VB a los efectos de establecer la indicación de colecistectomía por una enfermedad benigna y a veces asintomática.



MATERIAL Y MéTODOS

Revisión retrospectiva, observacional, de una serie de 13 pacientes con diagnóstico de ADM/VB, se analizó edad, sexo, diagnóstico clínico e imagenológico, procedimiento realizado y morbimortalidad. Se realizó un análisis de la literatura sobre el tema, la actual definición y patogenia de la ADM, su eventual riesgo de cáncer de VB, así como la necesidad de establecer un diagnóstico preoperatorio seguro, que permita informar al paciente y tomar una decisión quirúrgica con los debidos elementos de juicio técnico y de seguridad.

El presente trabajo cuenta con la aprobación del Comité de Ética del CASMU-IAMPP, el consentimiento firmado de los pacientes incluidos en el estudio y está registrado en el MSP (No. 7649061). Los autores declaran no haber recibido financiación ni tienen conflicto de intereses.



RESULTADOS

En el periodo entre marzo de 2012 y julio de 2020, se practicaron en el Departamento de Cirugía del CASMU-IAMPP 6,872 colecistectomías, entre ellas, se realizó diagnóstico imagenológico de ADM/VB en 13 casos (0.18%); ocho mujeres y cinco hombres. Las edades estaban comprendidas entre 41 y 87 años (media de 65.7). Nueve casos (69.2%) fueron sintomáticos; seis de ellos (46.1%) con signos sugestivos de disfunción biliar y tres casos (23.3%) sufrían dolores y síntomas digestivos inespecíficos; dos casos (15.3%) eran asintomáticos y otros dos (15.3%) fueron hallazgos incidentales en curso de hepatectomías por cáncer: una metástasis de carcinoma colorrectal y un carcinoma hepatocelular.

La ecografía hizo diagnóstico en 12 casos (92.3%), en el caso restante se realizó una colangiorresonancia nuclear magnética confirmatoria, por duda diagnóstica. Un paciente con síntomas inespecíficos optó por control evolutivo.

Se realizaron 10 (76.9%) colecistectomías laparoscópicas y en los dos casos asociados a cáncer fue por vía convencional. Los estudios anatomopatológicos mostraron ADM focal en dos pacientes y en los otros 10 se localizó en el fundus vesicular. No se hallaron células malignas en ningún caso. Hallazgo asociado de litiasis vesicular se observó en cinco casos (38.4%), lo cual significa el 0.07% del total de colecistectomías del periodo.

No se verificó mortalidad ni complicaciones a excepción de una infección urinaria. En los casos operados el alta hospitalaria fue otorgada en los dos primeros días de posoperatorio en 10 casos y no se indicaron controles evolutivos una vez confirmado el diagnóstico patológico de ADM. A los pacientes con hepatectomías se otorgó el alta al cuarto y sexto día de posoperatorio. El caso no intervenido fue sometido a control clínico y ecográfico y se encuentra asintomático y sin modificaciones imagenológicas a 53 meses de seguimiento.



DISCUSIóN

Previo a 1960, se aceptaban múltiples términos para nominar la ADM/VB (adenomatosis hiperplásica, adenomioma, colecistitis quística, colecistitis glandular proliferativa, diverticulosis intramural, hamartoma) hasta la publicación de Jutras,1 quien la definió como una enfermedad degenerativa y proliferativa de la VB. En la actualidad se usa como término único adenomiomatosis, aunque "adenomiosis" aún se utiliza con frecuencia. Se considera una enfermedad benigna, aunque en 1988, Katoh2, reportó un carcinoma no invasivo, de tipo localizado, en el seno de una ADM/VB, lo cual motivó el interés de su vinculación con el cáncer.

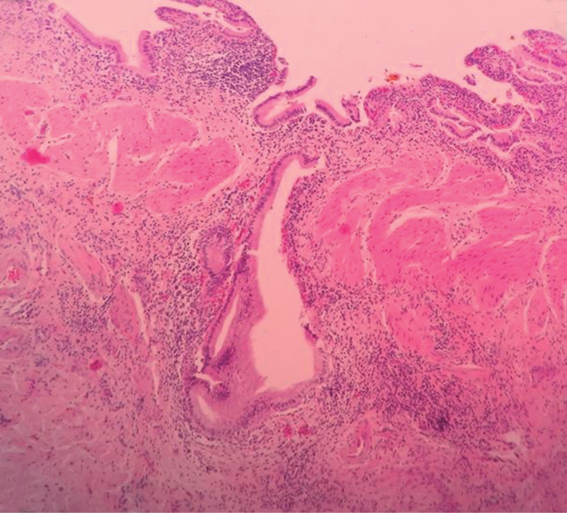
La ADM/VB predomina en adultos mayores de 50 años. Este estudio muestra una media etaria mayor (65.7 años), así como el hallazgo entre 1 y 9%3 de las piezas de colecistectomías, siendo en esta serie mucho menor (0.07%). En este reporte la incidencia de litiasis vesicular asociada (38.4 %) se ajusta a la literatura que muestra una incidencia entre 36 y 95%.4 En la patogenia de la ADM/VB se postulan mecanismos inflamatorios y mecánicos. La asociación entre cálculos vesiculares y los cambios inflamatorios crónicos que producen, sugieren que el crecimiento epitelial es estimulado por la inflamación permanente,5 aunque también se postula que la excesiva absorción de bilis a nivel de la pared vesicular genera inflamación que estimula el crecimiento epitelial. Otros orígenes de la inflamación parietal han sido citados, por ejemplo, reflujo pancreático/vesicular crónico, especialmente en pacientes con implantación anormal del Wirsung a nivel del colédoco.6,7 Además, las alteraciones en la motilidad vesicular por hiperactividad neuromuscular incrementan la presión intraluminal, empujan el epitelio hacia la capa muscular y producen su diverticulización, formando los senos de Rokitansky-Aschoff (senos RA) (Figura 1).8

El diagnóstico de ADM en nuestra serie fue preoperatorio en 92% de los casos; en todos, la ecografía fue el primer estudio. La eficacia diagnóstica de la ecografía se vincula con la elevada incidencia de litiasis vesicular y el alto nivel de entrenamiento en la identificación de la anatomía biliar en nuestro medio. La ADM no tiene síntomas propios, se superponen con los de la colelitiasis y es difícil diferenciar entre ambos. El hallazgo incidental de ADM se descubre en el examen patológico de piezas de colecistectomía por litiasis vesicular sintomática y se observan en 7% de series de autopsias.9 Cuando se presenta sin litiasis asociada y con sintomatología inespecífica, la colecistectomía puede ser un test terapéutico. Excepcionalmente puede presentarse como un cuadro agudo de colecistitis alitiásica.10 Por consecuencia, las imágenes son fundamentales para el diagnóstico definitivo y diferencial.

Asociado al diagnóstico de ADM es importante descartar el cáncer de VB y la pregunta inmediata es: ¿Qué tan confiables son las imágenes para cumplir esto con seguridad?11 La eficacia de la ecografía abdominal y la tomografía computarizada (TC) son similares, ambas pueden diagnosticar con precisión la ADM. La ecografía tiene una sensibilidad alrededor del 65%. El engrosamiento de la pared vesicular (definido como mayor a 3 mm) es un signo sugestivo de ADM, siempre presente pero poco específico que se observa en 25% de los casos.12,13 Por ello, se deben considerar otras entidades relacionadas: desde cáncer, colecistitis xantogranulomatosa, pasando por pólipos, lipomas, adenomas, hasta incluso la colecistitis aguda. En consecuencia, la evaluación con imágenes debe descartar el diagnóstico de cáncer de VB, ya sea que el engrosamiento de la pared sea localizado o difuso.5

Otros signos sugestivos de ADM son las imágenes murales pseudoquísticas, que corresponden a los senos RA; artefactos acústicos por la presencia de litiasis cálcicas intramurales con aspecto de "cola de cometa",5 que es un signo altamente específico de ADM. De manera usual se puede visualizar contenido luminar anecoico por la existencia de barro biliar o litiasis.14 Hay diferentes tipos de imágenes asociadas al engrosamiento parietal que caracterizan la ADM: a) tipo difuso, abarca todo el órgano y la pared, contiene múltiples quistes correspondientes a los senos RA y artefactos en "cola de cometa"; y b) tipo segmentario con engrosamiento anular de la pared, focalizado a la parte medial que da a la VB aspecto de reloj de arena. En definitiva, el diagnóstico más confiable de ADM en una pared engrosada es cuando se asocian senos de RA grandes, es decir, mayores de 3 mm.11

La ecografía endoscópica mejora la sensibilidad para el diagnóstico diferencial con el cáncer de VB, pero es un examen invasivo que debe indicarse con precisión.15 Recientemente se ha comunicado que la ecografía de alta resolución sería particularmente eficaz para el diagnóstico de cáncer de VB, con una sensibilidad equivalente a la resonancia magnética nuclear (RMN).16 También se ha reportado el uso de ecografía con contraste (inyección intravenosa microburbujas hiperecoicas) para aumentar el diagnóstico diferencial y definitivo de ADM. Esta técnica es económica, evita la radiación y los agentes de contraste nefrotóxicos, pero es altamente operador dependiente.17

La TC tiene una sensibilidad del 50-75 % para el diagnóstico de ADM,18 pero no es un estudio muy eficaz para diferenciar ADM de cáncer de VB.19 Aun así, algunas imágenes tomográficas son particulares, por ejemplo el signo del "rosario del collar de perlas", que se produce por la combinación de una capa muscular proliferante sin contraste, que rodea el epitelio mucoso proliferativo realzado por divertículos intramurales y el signo de la "bola de algodón", que consiste en puntos grises realzados en una pared engrosada en la CT con contraste y es más evidente cuando los senos de RA son pequeños.11,16,20

La RMN puede aportar mayor precisión en caso de duda diagnóstica (Figura 2). De hecho, tiene una mayor sensibilidad (73 vs 80.3%) y especificidad (96.3 vs 98.2%) que la ecografía.16 En ella, el engrosamiento de la pared de la VB se puede evidenciar tanto en T1 como en T2. Los senos de RA típicamente aparecen hiperintensos en T2, hipointensos en T1 y no muestran realce de contraste. La conjunción de engrosamiento parietal y divertículos intramurales con el "signo del collar de perlas" distingue la ADM de otras etiologías y se observa en T2 como múltiples cavidades de alta intensidad en la pared vesicular. Este signo es más prominente en la colangio-RMN.21,22

En la tomografía por emisión de positrones (Pet scan) la ADM normalmente no capta el 18-fluorodesoxiglucosa (18FDG) y suele tener menor absorción en comparación con el hígado (SUV < 2.5). Es útil para el diagnóstico diferencial porque el cáncer de VB suele ser hipermetabólico. Sin embargo, la reacción inflamatoria aguda que rodea los senos de RA puede generar un aumento de la captación de 18FDG y dar lugar a un resultado falso positivo. El Pet scan no está indicado para el diagnóstico de ADM, pero puede ayudar a descartar el cáncer cuando la captación del marcador es baja.23

En definitiva, debido a la eficacia diagnóstica que surge de la conjunción de diferentes tipos de imágenes, los estudios anatomopatológicos suelen omitirse en presencia de los signos anteriormente analizados y la biopsia no se postula como necesaria.5

Una segunda cuestión es el potencial de malignización de una genuina ADM/VB. Si bien es difícil afirmar que la ADM es un factor de riesgo de cáncer, la condición inflamatoria subyacente a su origen se ha considerado como potencial carcinógeno.24,25 Algunos autores han comunicado una relación entre el cáncer de VB y la ADM/VB hasta en 25% de los casos.26 Aunque, en general, no se considera que la ADM tenga potencial maligno, ambas entidades tienen en común factores que favorecen la oncogénesis.

Cuando la cirugía es indicada por aumento del dolor u otros síntomas, el diagnóstico diferencial preciso entre ADM y cáncer de VB es un elemento importante para elegir el procedimiento adecuado y evitar incidir en el pronóstico oncológico.

La ausencia de colelitiasis es considerada un factor de riesgo independiente vinculado al cáncer de VB. El estudio de Moon27 muestra que el grupo de pacientes con ADM tenía una tasa significativamente mayor de cálculos biliares en comparación con el grupo con cáncer de VB, lo cual sugiere que la ausencia de cálculos en casos de diagnóstico imagenológico poco claro permite inferir la existencia de un cáncer vesicular.

Morikawa3 en 93 colecistectomías con ADM/VB confirmada por patología, mencionan que 79.6% tenían litiasis vesicular asociada y en 3.2% se detectó un carcinoma vesicular precoz, sin ninguna imagen preoperatoria que lo sugiriera. En el presente estudio, 61.6% de los casos no se asoció a litiasis vesicular, sin embargo, no se verificó malignidad en las piezas estudiadas.

Un aspecto bien establecido es que el cáncer VB suele desarrollarse habitualmente en el tipo segmentario de ADM, en el sector fúndico distal y que esta localización puede considerarse una condición precancerosa. (Figura 3).2 Por tanto, es evidente la dificultad para el diagnóstico temprano del cáncer de VB en el contexto de ADM con litiasis vesicular y los médicos deben ser conscientes de la misma al momento de planificar la secuencia de estudios.2,28

La toma de decisión terapéutica en casos asintomáticos y sin patología vesicular asociada es dificultosa y controversial, porque a pesar de sus características proliferativas -pseudotumoral- la ADM es una lesión con escaso potencial de malignidad. Para esta situación, la tendencia es evitar el tratamiento quirúrgico con el fin de minimizar los riesgos de la cirugía, lo cual permite establecer una estrategia de "ver y esperar" con controles periódicos.5

Al asumir la indicación de cirugía se deben considerar el convencimiento y seguridad del cirujano que ha cumplido un proceso que le permite garantizar el diagnóstico de ADM y el consentimiento y comprensión del paciente en cuanto a superar sus temores ante una situación cuya solución más práctica es la colecistectomía, pero sobre la cual pesa el riesgo de una complicación particularmente grave como es la lesión quirúrgica de la vía biliar, que se observa en un porcentaje bajo de casos, pero cuya trascendencia y mal pronóstico no pueden ser soslayados.



CONCLUSIONES

El presente análisis permite verificar que la ADM/VB es un hallazgo imagenológico incidental, habitualmente asociado a litiasis vesicular, con alta eficacia de seguridad diagnóstica por ecografía, TC y RMN. Es considerada una enfermedad con bajo potencial de malignización, más allá que comparte factores de riesgo con el cáncer VB. Esta serie muestra ausencia de neoplasia en todas las piezas estudiadas. La indicación de colecistectomía en las formas asintomáticas sin litiasis sólo se justifica frente a la duda diagnóstica persistente.


REFERENCIAS (EN ESTE ARTÍCULO)

  1. Jutras JA. Hyperplastic cholecystoses; Hickey lecture, 1960. Am J Roentgenol Radium Ther Nucl Med. 1960; 83: 795-827.

  2. Katoh T, Nakai T, Hayashi S, Satake T. Noninvasive carcinoma of the gallbladder arising in localized type adenomyomatosis. Am J Gastroenterol. 1988; 83: 670-674.

  3. Morikawa T, Okabayashi T, Shima Y, Sumiyoshi T, Kozuki A, Saisaka Y, et al. Adenomyomatosis concomitant with primary gallbladder carcinoma. Acta Med Okayama. 2017; 71: 113-118.

  4. Lin SH, Chang FY, Yang YS, Jin JS, Chen TW. Rare gallbladder adenomyomatosis presenting as atypical cholecystitis: case report. BMC Gastroenterol. 2011; 11: 106.

  5. Mejri A, Arfaoui K, Omri A, Rchidi J, Mseddi MA, Saad S. Gallbladder adenomyomatosis: Diagnosis and management. Int J Surg Case Rep. 2021; 84: 106089. doi: 10.1016/j.ijscr.2021.106089.

  6. Tokiwa K, Iwai N. Early mucosal changes of the gallbladder in patients with anomalous arrangement of the pancreaticobiliary duct. Gastroenterology. 1996; 110: 1614-1618.

  7. Tanno S, Obara T, Maguchi H, Fujii T, Mizukami Y, Shudo R, et al. Association between anomalous pancreaticobiliary ductal union and adenomyomatosis of the gall-bladder. J Gastroenterol Hepatol. 1998; 13: 175-180.

  8. Beilby JO. Diverticulosis of the gall bladder. The fundal adenoma. Br J Exp Pathol. 1967; 48: 455-461.

  9. Bricker D, Halpert B. Adenomiomatosis of the gallbladder. Surgery. 1963; 53: 615-620.

  10. Mariani P, Hsue A. Adenomyomatosis of the gallbladder: the "good omen" comet. J Emerg Med. 2011; 40: 415-418.

  11. Lee KF, Hung EHY, Leung HHW, Lai PBS. A narrative review of gallbladder adenomyomatosis: what we need to know. Ann Transl Med. 2020; 8: 1600. doi: 10.21037/atm-20-4897.

  12. Bonatti M, Vezzali N, Lombardo F, Ferro F, Zamboni G, Tauber M, et al. Gallbladder adenomyomatosis: imaging findings, tricks and pitfalls. Insights Imaging. 2017; 8: 243-253. doi: 10.1007/s13244-017-0544-7.

  13. Oh SH, Han HY, Kim HJ. Comet tail artifact on ultrasonography: is it a reliable finding of benign gallbladder diseases? Ultrasonography. 2019; 38: 221-230.

  14. Lafortune M, Gariépy G, Dumont A, Breton G, Lapointe R. The V-shaped artifact of the gallbladder wall. AJR Am J Roentgenol. 1986; 147: 505-508.

  15. Kim HJ, Park JH, Park DI, Cho YK, Sohn CI, Jeon WK, et al. Clinical usefulness of endoscopic ultrasonography in the differential diagnosis of gallbladder wall thickening. Dig Dis Sci. 2012; 57: 508-515.

  16. Bang SH, Lee JY, Woo H, Joo I, Lee ES, Han JK, et al. Differentiating between adenomyomatosis and gallbladder cancer: revisiting a comparative study of high-resolution ultrasound, multidetector CT, and MR imaging. Korean J Radiol. 2014; 15: 226-234.

  17. Gerstenmaier JF, Hoang KN, Gibson RN. Contrast-enhanced ultrasound in gallbladder disease: a pictorial review. Abdom Radiol (NY). 2016; 41: 1640-1652.

  18. Ching BH, Yeh BM, Westphalen AC, Joe BN, Qayyum A, Coakley FV. CT differentiation of adenomyomatosis and gallbladder cancer. AJR Am J Roentgenol. 2007; 189: 62-66.

  19. Golse N, Lewin M, Rode A, Sebagh M, Mabrut JY. Gallbladder adenomyomatosis: Diagnosis and management. J Visc Surg. 2017; 154: 345-353.

  20. Yang HK, Lee JM, Yu MH, Lee SM, Park J, Han NY, Lee K, Jang JY, Han JK. CT diagnosis of gallbladder adenomyomatosis: importance of enhancing mucosal epithelium, the "cotton ball sign". Eur Radiol. 2018; 28: 3573-3582.

  21. Haradome H, Ichikawa T, Sou H, Yoshikawa T, Nakamura A, Araki T, et al. The pearl necklace sign: an imaging sign of adenomyomatosis of the gallbladder at MR cholangiopancreatography. Radiology. 2003; 227: 80-88.

  22. Hammad AY, Miura JT, Turaga KK, Johnston FM, Hohenwalter MD, Gamblin TC. A literature review of radiological findings to guide the diagnosis of gallbladder adenomyomatosis. HPB (Oxford). 2016; 18: 129-135.

  23. Suzuki K, Watada S, Yoko M, Nakahara T, Kumamoto Y. Successful diagnosis of gallbladder carcinoma coexisting with adenomyomatosis by 18F-FDG-PET--report of a case. J Gastrointest Cancer. 2011; 42: 252-256.

  24. Balkwill F, Mantovani A. Inflammation and cancer: back to Virchow? Lancet. 2001; 357: 539-545.

  25. Mantovani A, Allavena P, Sica A, Balkwill F. Cancer-related inflammation. Nature. 2008; 454: 436-444.

  26. Kai K, Irie H, Ide T, Masuda M, Kitahara K, Miyoshi A, et al. Actual status of clinical diagnosis in patients with primary gallbladder cancer associated with adenomyomatosis. Indian J Gastroenterol. 2013; 32: 386-391.

  27. Moon J, Shin YC, Heo TG, Choi PW, Kim JI, Jung SW, et al. Differentiation of gallbladder adenomyomatosis from early-stage gallbladder cancer before surgery. Ann Hepatobiliary Pancreat Surg. 2019; 23: 334-338.

  28. Joo I, Lee J, Kim J, Kim S, Kim M, Han J, et al. Differentiation of adenomyomatosis of the gallbladder from early-stage, wall-thickening-type gallbladder cancer using high-resolution ultrasound. Eur Radiol. 2013; 23: 730-738. doi: 10.1007/s00330-012-2641-9.



AFILIACIONES

1 Departamento de Cirugía del Centro asistencial del Sindicato Médico del Uruguay. Institución de asistencia médica privada de profesionales (CASMU-IAMPP). Montevideo, Uruguay (Institución privada).



CORRESPONDENCIA

Dr. Luis Ruso-Martínez. E-mail: lrusomartinez@gmail.com




Recibido: 07/01/2024. Aceptado: 27/03/2024

Figura 1
Figura 2
Figura 3

2020     |     www.medigraphic.com

Mi perfil

C?MO CITAR (Vancouver)

Cir Gen. 2024;46

ARTíCULOS SIMILARES

CARGANDO ...