medigraphic.com
ENGLISH

Revista Mexicana de Coloproctología Enfermedades del Ano, Recto y Colon

Revista Mexicana de Coloproctología Enfermedades del Ano, Recto y Colon
  • Mostrar índice
  • Números disponibles
  • Información
    • Información general        
    • Directorio
  • Publicar
    • Instrucciones para autores        
  • medigraphic.com
    • Inicio
    • Índice de revistas            
    • Registro / Acceso
  • Mi perfil

2024, Número 1

<< Anterior Siguiente >>

Rev Mex Coloproctol 2024; 20 (1)


Perforación colónica por vasculitis en paciente con infección por SARS-CoV-2

Cardozo Aguilar, Juan Carlos1; Valenzuela Pérez, Jesús Alonso2; Arias, José Luis3; Salcedo, Rodolfo4
Texto completo Cómo citar este artículo 10.35366/117887

DOI

DOI: 10.35366/117887
URL: https://dx.doi.org/10.35366/117887
Artículos similares

Idioma: Español
Referencias bibliográficas: 7
Paginas: 35-40
Archivo PDF: 409.09 Kb.


PALABRAS CLAVE

COVID-19, SARS-CoV-2, perforación colónica, vasculitis, trombosis, colonoscopia.

RESUMEN

Presentamos la experiencia de un caso hospitalizado que estaba recibiendo tratamiento para infección por SARS-CoV-2. Durante su evolución intrahospitalaria, desarrolló complicaciones gastrointestinales, específicamente colónica, asociada a vasculitis, quizás producida por la infección per se por el virus o a los medicamentos utilizados en el manejo. El objetivo de compartir esta experiencia es contribuir al aprendizaje y a la discusión sobre las complicaciones gastrointestinales que se presentan durante la infección por SARS-CoV-2, las cuales, al pasar desapercibidas o si se realiza un diagnóstico tardío, ocasionan posteriormente dificultades en el manejo y empeoran la calidad de vida de los pacientes. En nuestro caso, el diagnóstico se realizó de manera incidental, sospechando una perforación colónica posterior a colonoscopia. La paciente fue llevada a sala operatoria de urgencia 12 horas después del procedimiento; los hallazgos intraoperatorios mostraron datos inflamatorios de mayor tiempo de evolución que lo esperado para 12 horas de perforación. Se comenta sobre estudios realizados, evolución intrahospitalaria, hallazgos quirúrgicos y de anatomía patológica. Se discute acerca de la presencia de perforaciones intestinales espontáneas asociada a vasculitis o a la isquemia localizada. Aún se desconoce si son causadas por la infección del virus o por los protocolos utilizados para el manejo, como se menciona en otros estudios.



INTRODUCCIóN

Durante la pandemia del SARS-CoV-2 se replanteó y ha sido un reto el manejo de la enfermedad por coronavirus 2019 (COVID-19), en la cual se han reportado diferentes efectos del virus sobre el organismo; aunque es bien conocido que tiene especial trofismo por el árbol respiratorio, también hay efectos extrarrespiratorios, entre los cuales se encuentran los gastrointestinales, siendo una complicación poco frecuente la perforación intestinal. La respuesta inmunitaria ante el virus se mantiene en constante estudio, conociendo parte de su patología a nivel respiratorio y probablemente sus efectos sistémicos a la respuesta inmunitaria relacionada al huésped; la cual, en muchos casos, es mayor a lo esperado, muy probablemente relacionada a sus efectos sistémicos que están bien establecidos y en gran parte mediados por la respuesta humoral del huésped. Los síntomas gastrointestinales pueden desarrollarse a partir de la infección por SARS-CoV-2 hasta en 50% de los casos, a veces incluso antes que los síntomas respiratorios.

También se ha logrado aislar la presencia del virus en muestras fecales y el mecanismo confirmado de entrada es a través del receptor de la enzima convertidora de angiotensina 2 (ACE-2), los cuales han sido descritos en células glandulares de epitelios gástricos, duodenales y rectales. Adicionalmente, como parte de la respuesta inmunológica, la infección por SARS-CoV-2 causa coagulopatías y se ha demostrado hipercoagulabilidad en pacientes críticos mediante tromboelastografía. La trombosis secundaria a un estado de hipercoagulación puede provocar tanto embolias pulmonares como isquemia intestinal, por lo que se está utilizando la anticoagulación parenteral en el tratamiento de la enfermedad, así como mediadores de la respuesta inmunológica.1

Por esta razón que, como parte del tratamiento indicado, se encuentran los esteroides y los inmunomoduladores como el baricitinib, los cuales tienen efectos benéficos al disminuir la respuesta inmunológica, a veces exagerada, en estas enfermedades. Pero, como bien es sabido, ningún medicamento es 100% inocuo y algunos tienen efectos secundarios asociados a la dosis y/o al tiempo de uso, pues al utilizarlos en altas dosis o por lapsos muy prolongados asocian morbilidad a la infección, que ya de por sí es elevada a causa del virus. Los cuales también están descritos en la literatura como posibles agentes causales de perforación gastrointestinal, entre ellos el uso combinado de tocilizumab y esteroides.2

A propósito de esta relación entre infección por SARS-CoV-2, respuesta inmunológica y uso de inmunomudalores como parte de su tratamiento, presentamos este caso en el que, en nuestra experiencia, la forma del manejo de la infección viral podría estar relacionada en el posible desarrollo de complicaciones a nivel gastrointestinal.3



PRESENTACIÓN DEL CASO

Paciente de sexo femenino de 54 años con escoliosis congénita e hipertensión arterial, ingresada en unidad de cuidados intermedios por presentar enfermedad pulmonar grave por SARS-CoV-2 (COVID-19) con infección bacteriana sobreagregada. Presenta síndrome de distrés respiratorio agudo severo con mejoría lenta y progresiva por siete días. Requirió administración de oxígeno de alto flujo a 60 L/min FiO2 100%, uso continuo inicialmente con disminución progresiva hasta empleo de puntas nasales; dexametasona 6 mg intravenosa cada 24 horas; enoxaparina 40 mg vía subcutánea cada ocho horas, disminuyendo a cada 24 horas; baricitinib 4 mg cada seis horas con decremento progresivo a cada 24 horas; budesonida/formoterol 160/4.5 μg en en inhalación cada 24 horas; meropenem 1 g intravenoso tres veces al día; remdesivir 200 mg intravenoso cada 24 horas con disminución a 100 mg cada 24 horas.

Con mejoría lenta, progresiva, significativa de cuadro respiratorio, en su décimo día de evolución intrahospitalaria, presenta episodios de hematoquecia con disminución de cifras de hemoglobina de 11.9 a 8.7 g/dL, acompañada de dolor abdominal pélvico. Requirió inicio y aumento de drogas vasoactivas por hipotensión. Se plantea realizar colonoscopia diagnóstica (Figura 1); en recto distal se observan múltiples lesiones eritematosas puntiformes con halo blanquecino periférico, así como de fibrina y moco; se toman biopsias para anatomía patológica; se progresa colonoscopio, alcanzando avanzar hasta colon transverso proximal, pero fue necesario diferir el estudio sin concluirlo por mostrar disminución de la saturación y dificultad para la ventilación en sala de procedimientos.

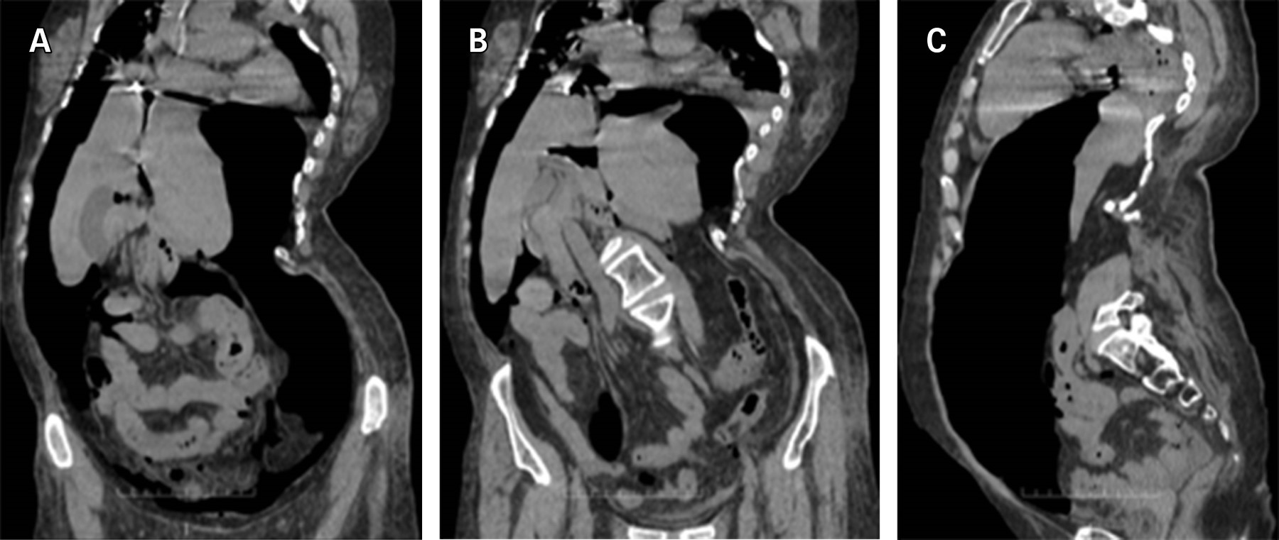
Posterior al estudio, presenta dolor abdominal intenso, distensión abdominal dolorosa y aumento del requerimiento de oxígeno de 3 a 5 L/min. El examen físico detecta taquicardia, abdomen poco depresible, timpánico, doloroso en forma universal, y ruidos intestinales presentes, disminuidos en frecuencia e intensidad. Como parte de su manejo, se solicita tomografía axial computarizada abdominal sin contraste; se evidencia neumoperitoneo y desplazamiento de órganos intraabdominales, así como malformación de cuerpos vertebrales dorsolumbares con rotación de estructuras abdominales (Figuras 2 y 3).

Se inicia protocolo para mejorar condiciones (manejo de dolor, requerimientos de oxígeno, drogas vasoactivas, etcétera) y llevar a sala operatoria para laparotomía exploradora más revisión de área de perforación y proceder según hallazgos (Figura 4). Se observa líquido inflamatorio libre en cavidad junto a fibrina sobre asas delgadas; se localiza área de perforación en unión rectosigmoidea; se realiza resección de bordes para anatomía patológica y rafia en monoplano perforante total a puntos separados con posterior lavado de cavidad y realización de ileostomía en asa de protección.

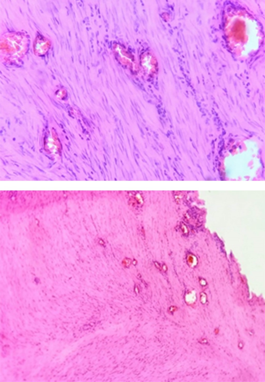
Los hallazgos de anatomía patológica concluyen presencia de vasculitis en el tejido estudiado, tanto en las muestras tomadas durante la colonoscopia como en los bordes de resección de la laparotomía; se observan vasos congestivos en un estroma con tejido fibroconectivo, compuesto principalmente por fibroblastos e infiltrado inflamatorio crónico de predominio linfocítico que se encuentran dispersos y perivasculares. En el estroma compuesto por fibroblastos hialinizados también se detectan vasos congestivos en su superficie rodeados de un epitelio simple columnar (Figura 5).

En una imagen panorámica, se observan vasos congestivos en un estroma con tejido fibroconectivo compuesto principalmente por fibroblastos e infiltrado inflamatorio crónico de predominio linfocítico que se encuentran dispersos y perivasculares.

En una imagen a mayor aumento, se observan glándulas de diferente tamaño y vasos congestivos rodeados por un infiltrado inflamatorio de predominio linfocítico severo evidente, que a simple vista cumple morfológicamente con criterios de vasculitis. En una imagen a detalle celular, se observan vasos congestivos que son rodeados de un infiltrado inflamatorio crónico de predominio linfocitico severo; en la periferia de la imagen, se distinguen fibroblastos y estos mismos vasos conformados por células endoteliales (Figura 6).

La paciente evolucionó satisfactoriamente. Se disminuyeron las dosis de aminas al mejorar sus cifras de presión arterial siendo retiradas a las 36 horas después de la cirugía; también mejoró la taquicardia a cifras normales. Se fueron disminuyendo los requerimientos de oxígeno hasta mantenerse con puntas nasales a 3 L/min. La dinámica intestinal fue mejorando progresivamente, tolerando vía oral al iniciar el funcionamiento de la ileostomía 24 horas después de la laparotomía exploradora. Con disminución de valores de reactantes de fase aguda (VSG-PCR) y negativizándose la procalcitonina, la paciente fue egresada al cuarto día postoperatorio. El cierre de la ileostomía en asa se programó y realizó ocho semanas después de la evaluación cardiovascular y neumonológica preoperatoria.



DISCUSIóN

Los hallazgos intraoperatorios correlacionados a los de anatomía patológica nos hacen sospechar que la causa de la perforación intestinal fue una vasculitis rectosigmoidea y no por el estudio endoscópico. Esto debido al hallazgo intraoperatorio de datos inflamatorios peritoneales mayores a 12 horas de evolución, manifestados por el líquido inflamatorio encontrado junto a los parches de fibrina sobre asas delgadas. Es probable que esta clínica abdominal haya pasado desaperciba por la atención del problema respiratorio; clínica gastrointestinal manifiesta por el episodio de hematoquecia y descompensación de los signos vitales hacia un síndrome de respuesta inflamatoria sistémica junto a una peritonitis localizada asociada a la infección respiratoria per se, o como un episodio de descompensación en una paciente que venía mejorando de su infección respiratoria, solapada por las dosis de esteroides e inmunomoduladores, antibioticoterapia de amplio espectro que se estaban recibiendo.

En la literatura se mencionan casos de perforaciones intestinales asociados al COVID-19,4 tanto gástricas como colónicas con predominio de colon derecho,5 pero no se relacionan con estudios histopatológicos o una causa directamente asociada. También se han relacionado a la medicación en dosis elevadas que se hayan recibido, como la dosis de tocilizumab y corticoides (perforación intestinal en paciente COVID-19 en tratamiento con tocilizumab y corticoides); en nuestro caso, la paciente estuvo recibiendo baricitinib, el cual es un medicamento utilizado comúnmente para el manejo de la artritis reumatoidea. Tiene importancia en el manejo de COVID-19 por causar inhibición selectiva y reversible de la Janus cinasa 1 (JaK1) y la JaK2, después reducir la tormenta de liberación de citocinas inflamatorias.5,6 Ambas cinasas inician la transducción de la señal iniciada por la unión de la IL-6 a su receptor, además de estar implicadas en la transducción de la señal de otras citocinas, tanto proinflamatorias como antiinflamatorias (IL-10). Por tanto, tiene un papel potencial para reducir la inflamación sistémica y el daño pulmonar. Además, baricitinib podría reducir la endocitosis viral mediada por el receptor al inhibir la AAK1. Sin embargo, no se considera un fármaco ideal, pero no asociado a vasculitis o trastornos intestinales; también se describe que, para iniciarlo, el paciente no debe tener linfopenia ni neutropenia; además, puede incrementar la incidencia de anemia y el riesgo de coinfección y reactivación de infecciones latentes,6,7 cambios de laboratorios no presentes en nuestra paciente.

En la literatura no existen datos en relación a que algunos de los medicamentos administrados a nuestra paciente pudieran tener relación con la producción de trastornos de la coagulación y/o perforaciones intestinales; caso contrario a lo que sucede con la infección del SARS-CoV-2 y la vasculitis asociada. Es muy probable que en nuestro caso sí pudiera haber sido la causa; aunque adicionalmente hubo varios factores relacionados: la infección respiratoria severa con requerimientos de oxígeno de alto flujo, escoliosis congénita con limitación de su expansión torácica y dificultades en el examen físico, lo cual probablemente favoreció que haya pasado relativamente desapercibida la clínica abdominal hasta presentar los episodios de hematoquecia. Sin duda que el estado séptico en el cual entró a quirófano no sólo estaba relacionado con la infección respiratoria sino también con la peritonitis focalizada a la pelvis, que no se hubiese puesto de manifiesto de no haberse realizado la colonoscopia con la posterior laparotomía exploradora por sospecha de perforación durante el procedimiento. Lógicamente, aún nos queda mucho que aprender acerca de la infección por este virus SARS-CoV-2, no sólo en cuanto al mejor tratamiento, sino también respecto a la menor cantidad de efectos secundarios asociados a tratamientos, y a síndromes post COVID o secuelas después de la infección. Sigue siendo imperioso el compartir los conocimientos médicos y científicos adquiridos y toda la experiencia obtenida al enfrentarnos con estos nuevos retos.


REFERENCIAS (EN ESTE ARTÍCULO)

  1. Estevez-Cerda SC, Saldaña-Rodríguez JA, Alam-Gidi AG et al. Severe bowel complications in SARS-CoV-2 patients receiving protocolized care. Rev Gastroenterol Mex (Engl Ed). 2021; 86 (4): 378-386. doi: 10.1016/j.rgmxen.2021.08.009.

  2. Gonzálvez Guardiola P, Díez Ares JÁ, Peris Tomás N et al. Perforación intestinal en paciente COVID-19 en tratamiento con tocilizumab y corticoides. A propósito de un caso [Intestinal perforation in patient with COVID-19 infection treated with tocilizumab and corticosteroids. Report of a clinical case]. Cir Esp (Engl Ed). 2021; 99 (2): 156-157. Spanish. doi: 10.1016/j.ciresp.2020.04.030.

  3. Al Argan JR, Alqatari SG, Al Said Ah et al. Gastrointestinal perforation secondary to COVID-19: case reports and literature review. Medicine Baltimore. 2021; 100 (19): e25771. doi: 10.1097/MD.0000000000025771.

  4. Filová M, Adamová Z. Colonic perforation in patients with COVID-19 pneumonia - case reports. Rozhl Chir. 2021; 100 (7): 353-356. doi: 10.33699/PIS.2021.100.7.

  5. Gutiérrez-Lorenzo M, Cuadros-Martínez CM. Baricitinib en el tratamiento de infección por SARS-CoV-2 [Baricitinib in the treatment of SARS-CoV-2 infection]. Rev Esp Quimioter. 2020; 33 (4): 294-295. doi: 10.37201/req/047.2020.

  6. Praveen D, Puvvada RC, M VA. Janus kinase inhibitor baricitinib is not an ideal option for management of COVID-19. Int J Antimicrob Agents. 2020; 55 (5): 105967. doi: 10.1016/j.ijantimicag.2020.105967.

  7. Moreno-González G, Mussetti A, Albasanz-Puig A et al. A phase I/II clinical trial to evaluate the efficacy of baricitinib to prevent respiratory insufficiency progression in onco-hematological patients affected with COVID19: A structured summary of a study protocol for a randomised controlled trial. Trials. 2021; 22 (1): 116. doi: 10.1186/s13063-021-05072-4.



AFILIACIONES

1 Cirujano Colorrectal, Cirujano General, Profesor asociado del postgrado de Cirugía Coloproctológica, Hospital Civil Juan I Menchaca. Guadalajara, Jalisco.

2 Cirujano Colorrectal, Cirujano General, Profesor titular del postgrado de Cirugía Coloproctológica, Hospital Civil Juan I Menchaca. Guadalajara, Jalisco.

3 Especialista en Anestesiología. Hospital Real San Lucas, Tepatitlán de Morelos, Jalisco.

4 Departamento de Histopatología y Citología Exfoliativa. Hospital Real San Lucas, Tepatitlán de Morelos, Jalisco.



CORRESPONDENCIA

Juan Carlos Cardozo Aguilar. E-mail: jccardozoa@gmail.com
cirugiacolorectal2011@gmail.com




Recibido: noviembre 2023. Aceptado: diciembre 2023.





Figura 1
Figura 2
Figura 3
Figura 4
Figura 5
Figura 6

2020     |     www.medigraphic.com

Mi perfil

C?MO CITAR (Vancouver)

Rev Mex Coloproctol. 2024;20

ARTíCULOS SIMILARES

CARGANDO ...