medigraphic.com
ENGLISH

Revista ADM Órgano Oficial de la Asociación Dental Mexicana

ISSN 0001-0944 (Impreso)
Órgano Oficial de la Asociación Dental Mexicana
  • Mostrar índice
  • Números disponibles
  • Información
    • Información general        
    • Directorio
  • Publicar
    • Instrucciones para autores        
    • Envío de artículos
  • medigraphic.com
    • Inicio
    • Índice de revistas            
    • Registro / Acceso
  • Mi perfil

2024, Número 5

<< Anterior Siguiente >>

Rev ADM 2024; 81 (5)


Ameloblastoma sólido plexiforme en mandíbula.

Ponce Guevara, Rogelio Alberto1; Campos Nájera, Jaime Eduardo2; Sáenz Machado, Víctor Emmanuel3; Aguilera Longoria, José Ignacio4
Texto completo Cómo citar este artículo 10.35366/118113

DOI

DOI: 10.35366/118113
URL: https://dx.doi.org/10.35366/118113
Artículos similares

Idioma: Español
Referencias bibliográficas: 11
Paginas: 289-294
Archivo PDF: 500.93 Kb.


PALABRAS CLAVE

ameloblastoma sólido, resección en bloque, estereolitográfico.

RESUMEN

El ameloblastoma se caracteriza por ser una neoplasia epitelial odontogénica con una naturaleza benigna (sin incluir al carcinoma ameloblástico ni al ameloblastoma maligno o metastatizante), de crecimiento lento, pero agresivo localmente. Dentro de sus presentaciones clínicas, la forma sólida o multiquística es la que presenta una mayor tasa de recurrencia cuando es tratada de manera conservadora (enucleación y/o curetaje). Se presenta el caso de un paciente con diagnóstico de ameloblastoma multiquístico con patrón histopatológico plexiforme, que se localiza en la rama y cuerpo mandibular derecho, para dicho padecimiento se lleva a cabo una resección en bloque cuya técnica quirúrgica fue planeada cuidadosamente con el apoyo de los estudios de imagen, pero destacando sobre todo el uso de un modelo estereolitográfico, reduciendo así el tiempo operatorio y aumentando la precisión en la colocación del material de osteosíntesis. Se incluyen imágenes pre y postoperatorias inmediatas y a seis meses de evolución, así como del modelo anatómico tridimensional.



INTRODUCCIóN

En 1884 se propuso el término de "epitelioma adamantino", acuñado por Malassez, pero fue hasta 1930 cuando se reemplazó el término de "adamantinoma" por "ameloblastoma", ya que en realidad dicho tumor no produce tejido adamantino (esmalte). Además de que las células cilíndricas periféricas de las islas tumorales, típicas del tumor, en realidad no son ameloblastos.1

El ameloblastoma es una neoplasia epitelial odontogénica benigna con crecimiento progresivo que se caracteriza por expansión y tendencia a la recurrencia local si no se remueve adecuadamente. En teoría se pueden originar de remanentes de la lámina dental, del órgano del esmalte en desarrollo, así como del epitelio que reviste a un quiste odontogénico o de células basales de la mucosa oral.2 El pico de incidencia en su diagnóstico es en la cuarta y quinta década de la vida, no presenta predilección por sexo, 80% se presenta en la mandíbula mientras que 20% en la maxila,3,4 representa 1% de los tumores en región maxilomandibular y 10% de los tumores odontogénicos,5,6 siendo el tumor odontogénico más frecuente seguido del odontoma.3

Dentro de las primeras manifestaciones se encuentra una expansión indolora que, al aumentar de tamaño, puede acompañarse de dolor, pérdida de dientes, alteraciones en la oclusión, parestesia, invasión de tejidos blandos, asimetría facial, apertura oral limitada, dificultad al masticar y obstrucción de la vía aérea.3 En una radiografía convencional, se puede observar como una zona radiolúcida unilocular o multilocular, los tabiques óseos resultan en un patrón de pompas de jabón, panal de abejas o de raqueta de tenis, dependiendo del tamaño de los lóculos. La apariencia del tumor es de una masa osteolítica color blanco-grisáceo o grisáceo-amarillo. Algunas lesiones son completamente sólidas, pero en la mayoría de los casos hay espacios quísticos presentes, son por general pequeños y se localizan de forma desorganizada. El contenido da la cavidad varía de un fluido de color paja a un material gelatinoso o semisólido, por otra parte, el tejido tumoral puede romperse con facilidad en algunos casos. Uno o varios dientes pueden estar involucrados en el tumor.1 Existen tres presentaciones clínicas del ameloblastoma: multiquístico, uniquístico y periférico. A su vez la forma uniquística se divide en luminal, intraluminal y mural. El ameloblastoma multiquístico se presenta con mayor frecuencia (86% de los casos7). Las presentaciones histopatológicas son del tipo folicular, plexiforme, acantomatoso, de células granulares, de células basales y desmoplásico.3

El diagnóstico diferencial radiográfico incluye desde quistes odontogénicos, mixoma odontogénico, así como tumores y quistes no odontogénicos como el granuloma central de células gigantes y quiste óseo simple, respectivamente.8

El tratamiento elegido para el ameloblastoma sólido es la resección en bloque, como en el caso que se presenta, añadiendo el uso de la estereolitografía, herramienta que sirve de auxiliar para el cirujano en la planeación de casos complejos.



PRESENTACIóN DEL CASO

Paciente masculino de 17 años de edad, se presenta a consulta de primera vez contando ya con diagnóstico histopatológico de ameloblastoma plexiforme. El paciente no cuenta con antecedentes de relevancia para su padecimiento actual. A la exploración física muestra asimetría facial a expensas de un aumento de volumen en la región de ángulo y rama mandibular del lado derecho (Figura 1A) con seis meses de evolución, la piel se muestra lisa, eutérmica e isocrómica a los tejidos adyacentes. La tumefacción es indurada a la palpación y con dolor moderado a la digitopresión. En la exploración intraoral se observa una mucosa sin alteraciones en color, expansión de la cortical bucal, así como la obliteración del pliegue mucogingival en la región molar del mismo lado y destaca la salida de material purulento a través del sitio donde se tomó previamente la biopsia (zona retromolar) (Figura 1B), el resto de estructuras sin alteración.

Cuenta con estudio radiográfico tipo ortopantomografía, en la cual se observa una lesión osteolítica radiolúcida multilocular bien delimitada, con bordes aparentemente escleróticos, misma que abarca desde la porción mesial del diente 46 hasta la región subcondílea ipsilateral, causando deformación de la basal mandibular y rizólisis del 47 (Figura 1C).

Se solicita tomografía helicoidal con cortes finos para la realización de modelo estereolitográfico (Figura 2A), donde se planean los márgenes quirúrgicos y se realiza precontorneado meticuloso de la placa de reconstrucción (Figura 2B).



DESCRIPCIÓN DE TÉCNICA QUIRÚRGICA

Se realiza marcaje quirúrgico para realizar abordaje submandibular derecho de alrededor de 12 cm de longitud (Figura 2C), se respetan las estructuras nerviosas de importancia, se conserva continuidad de nervios sensitivos (dentario inferior) y motores, se infiltra lidocaína con epinefrina, se incide piel y tejido celular subcutáneo, se diseca por planos (Figura 2D).

Se identifican y ligan vasos faciales, posteriormente se incide periostio mandibular y se expone en su totalidad el tumor, se combina abordaje con incisión intraoral retromolar y sulcular para exponer ambas caras del cuerpo, ángulo y rama mandibular (Figura 3A). Se liga y secciona paquete neurovascular mentoniano ipsilateral, se realiza extracción del 43, mismo sitio donde se realiza osteotomía (Figura 3B) para preservar integridad periodontal del 42, se identifica y liga paquete neurovascular dentario inferior derecho, se desarticula y se extrae pieza quirúrgica y tumor mandibular en su aparente totalidad. Se verifica lecho quirúrgico y se colocan arcos barra tipo Erich en hemiarcadas izquierdas para realizar fijación maxilomandibular con candados de alambre, una vez establecida la oclusión habitual, se coloca placa de reconstrucción de titanio del sistema 2.4 con prótesis condilar atornillada (Figura 3C), misma que no requirió ningún ajuste al precontorneado. Se fija la placa de reconstrucción al remanente contralateral mandibular mediante cuatro tornillos del mismo sistema, se retira fijación maxilomandibular y se corrobora la adecuada función mandibular. Se procede a realizar cierre hermético intraoral, así como cierre extraoral por planos anatómicos, dejando material de drenaje activo tipo Drenovac (Figura 3D). Se concluye procedimiento sin complicaciones ni accidentes transoperatorios, el paciente una vez dado de alta de la Unidad de Cuidados Postanestésicos pasa a hospitalización donde permanece 48 horas en vigilancia, antes de su egreso se retira material de drenaje, y egresa con medidas higiénico-dietéticas, así como antibioterapia y analgesia vía oral.

Se solicita estudio de tomografía tipo cone beam postoperatoria inmediata, donde se aprecian márgenes quirúrgicos libres de lesión, así como material de reconstrucción en adecuada posición y función (Figura 4). Continúa la vigilancia postquirúrgica por consulta externa durante seis meses (Figura 5) y se corrobora diagnóstico y márgenes quirúrgicos con estudio histopatológico postoperatorio.



ESTUDIO HISTOPATOLÓGICO POSTOPERATORIO

Descripción macroscópica: producto de hemimandibulectomía (Figura 6), que mide del cóndilo mandibular al borde quirúrgico anterior y distal 12.5 cm en su eje transverso a nivel de la rama ascendente, ángulo y cuerpo mide 5.7 cm. El cóndilo y apófisis coronoides se encuentran íntegros y el aumento de volumen se encuentra a 1.5 cm de la superficie articular del cóndilo. Por la superficie externa la mandíbula es café oscura. El aumento de volumen de ángulo, rama y cuerpo se encuentra a 2 cm del borde quirúrgico anterior. Al corte del aumento de volumen se observan pseudocavidades intraóseas ocupadas por un material serohemático entremezclado con tejido amarillo-grisáceo que recuerda material purulento. Sesenta por ciento del resto de las paredes internas de las pseudocavidades muestran un tejido de alrededor de 1 cm de espesor constituido por tejido amarillo-grisáceo granular deleznable. Bordes quirúrgicos internos y externos macroscópicamente libres del tumor, así como el borde quirúrgico distal.

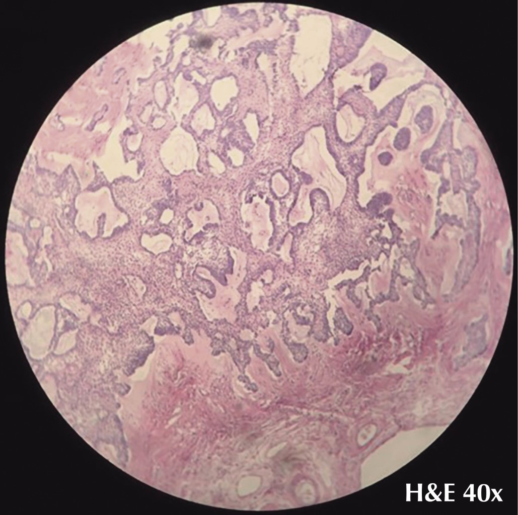
Descripción microscópica: en los cortes estudiados del tejido tumoral, observamos que está constituido por componentes epiteliales de células ameloblásticas, homogéneas en tamaño y forma en que se disponen, circunscribiendo espacios que le imprimen un patrón folicular aparentemente por retículo estrellado en otras áreas, formando partes de este tejido cordones de células ameloblásticas con patrón plexiforme (Figura 7) por cordones que se entrelazan. En alrededor de 5% se observan células del epitelio ameloblástico, con puentes intercelulares de células homogéneas en tamaño y forma, con mitosis aisladas sin atipias. En todos los cortes de cortical, el tejido óseo se encuentra íntegro y maduro por la superficie externa. El periostio muestra ligera fibrosis y cambios inflamatorios crónicos mínimos, por la cortical interna se encuentra en contacto con el tejido ameloblástico que no invade la cortical del borde quirúrgico distal de la mandíbula; éste se encuentra íntegro y muy alejado de la lesión ameloblástica.

Diagnóstico histopatológico: producto de hemimandibulectomía con ameloblastoma plexiforme y con bordes quirúrgicos libres de lesión.



DISCUSIóN

A diferencia de la edad promedio (tercera y cuarta década de la vida) publicada por la OMS en la cuarta edición de la clasificación de tumores de cabeza y cuello,3 podríamos decir que en nuestra experiencia el pico de incidencia pudiera incluir a un grupo de menor edad, como el caso del joven de 17 años que se presentó.

La mayoría de los autores concuerdan en que el tratamiento del ameloblastoma multiquístico debe ser la resección con márgenes amplios, a diferencia de la forma uniquística que tiene las alternativas de enucleación y curetaje o marsupialización y enucleación (excepto por la forma mural, cuyo comportamiento es más agresivo3). Pizer, Page y Svirsky refieren una tasa de recurrencia de 15 a 20% en ameloblastomas uniquísticos tratados con enucleación, curetaje o ambos y de 90% en las formas sólidas.9

Otro aspecto a considerar es cuando se realiza una resección radical en niños, pudiendo ocasionar secuelas estéticas y funcionales importantes, por lo que algunos autores recomiendan un tratamiento conservador.9

Según Carlson y Marx, como principio general en cirugía de tumores en región maxilomandibular debe de haber al menos una barrera anatómica (hueso cortical, periostio, músculo, submucosa, mucosa, dermis y piel) sin presentar aparente invasión tumoral al momento de enviar el espécimen a examinar. Esto debe ser evaluado y determinado preoperatoriamente y disecado con precisión intraoperatoriamente.10 En un estudio realizado en 34 casos de ameloblastomas tratados con resección, manteniendo un margen de 1.5 cm, se demostró que hay una infiltración del tumor de 2.3 a 8 mm más allá del límite radiográfico.11



CONCLUSIONES

Concluimos que el ameloblastoma es una entidad patológica que, a pesar de ser una neoplasia benigna, tiene un comportamiento agresivo y alta tendencia a la recidiva, por lo que el manejo inicial, una vez establecido el diagnóstico histopatológico, debe ser agresivo para remover el tumor en su totalidad con márgenes de seguridad. La estereolitografía es una herramienta útil ya que nos permite visualizar el tumor en las tres dimensiones, así como realizar la simulación de la cirugía y el contorneo previo del material de reconstrucción inmediato. Hacemos énfasis en la importancia del diagnóstico oportuno para evitar amputaciones faciales tan extensas con las secuelas funcionales, estéticas y psicológicas que conlleva un tratamiento radical.


REFERENCIAS (EN ESTE ARTÍCULO)

  1. Reichart P, Philipsen H. Solid/multicystic ameloblastoma. Odontogenic tumors and allied lesions. London: Quintessence Publishing Co Ltd; 2004. pp. 43-55.

  2. Neville B, Allen C. Odontogenic cysts and tumors. oral and maxillofacial pathology. 4th ed. St. Louis, Missouri: Elsevier; 2016. pp. 653-659.

  3. Vered M, Muller S, Heikinheimo K. Benign epithelial odontogenic tumours. In: EI-Naggar A, Chan J, Grandis J, Takata T, Slootweg P, editors. WHO classification of head and neck tumors. 4th ed. Lyon, France: International Agency for Research on Cancer (IARC); 2017. pp. 215-218.

  4. Suma MS, Sundaresh KJ, Shruthy R, Mallikarjuna R. Ameloblastoma: an aggressive lesion of the mandible. BMJ Case Rep. 2013; 2013: 200483.

  5. Gümgüm S, Hosgoren B. Clinical and radiologic behaviour of ameloblastoma in 4 cases. J Can Dent Assoc. 2005; 71 (7): 481-484.

  6. Cankurtaran C, Branstetter B, Chiosea S, Barnes E. Ameloblastoma and dentigerous cyst associated with impacted mandibular third molar tooth. RadioGraphics. 2010; 30 (5): 1415-1420.

  7. Kahairi A, Ahmad R, Wan Islah L, Norra H. Management of large mandibular ameloblastoma – a case report and literature reviews. Archives of Orofacial Sciences. 2008; 3 (2): 52-55.

  8. Hertog D, van der Waal I. Ameloblastoma of the jaws: a critical reappraisal based on a 40-years single institution experience. Oral Oncol. 2010; 46 (1): 61-64.

  9. Pizer ME, Page DG, Svirsky JA. Thirteen-year follow-up of large recurrent unicystic ameloblastoma of the mandible in a 15-year-old boy. J Oral Maxillofac Surg. 2002; 60 (2): 211-215.

  10. Carlson ER, Marx RE. The ameloblastoma: primary, curative surgical management. J Oral Maxillofac Surg. 2006; 64 (3): 484-494.

  11. Marx RE, Smith BH, Smith BR, Fridrich KL. Swelling of the retromolar region and cheek associated with limited opening. J Oral Maxillofac Surg. 1993; 51 (3): 304-309.



AFILIACIONES

1 Médico adscrito al Servicio de Cirugía Maxilofacial del Hospital General Universitario de Torreón "Dr. Joaquín del Valle Sánchez", Universidad Autónoma de Coahuila. México.

2 Cirujano maxilofacial, Catedrático de la Facultad de Odontología, Universidad Autónoma de Coahuila, Unidad Torreón. México.

3 Pasante de odontología, Hospital General Universitario "Dr. Joaquín del Valle Sánchez", Universidad Autónoma de Coahuila. México.

4 Maestro en ciencias odontológicas con acentuación en ortodoncia, Catedrático de la Facultad de Odontología, Universidad Autónoma de Coahuila, Unidad Torreón. México.



CORRESPONDENCIA

Rogelio Alberto Ponce Guevara. E-mail: beto_ponce74@hotmail.com




Recibido: 01 de noviembre de 2019. Aceptado: 05 de julio de 2024.

Figura 1
Figura 2
Figura 3
Figura 4
Figura 5
Figura 6
Figura 7

2020     |     www.medigraphic.com

Mi perfil

C?MO CITAR (Vancouver)

Rev ADM. 2024;81

ARTíCULOS SIMILARES

CARGANDO ...