medigraphic.com
ENGLISH

Revista Mexicana de Ortopedia Pediátrica

ISSN 2007-087X (Impreso)
Órgano Oficial de la Sociedad Mexicana de Ortopedia Pediátrica
  • Mostrar índice
  • Números disponibles
  • Información
    • Información general        
    • Directorio
  • Publicar
    • Instrucciones para autores        
  • medigraphic.com
    • Inicio
    • Índice de revistas            
    • Registro / Acceso
  • Mi perfil

2024, Número 1-3

<< Anterior Siguiente >>

Rev Mex Ortop Ped 2024; 26 (1-3)


Relación entre el tipo morfológico del escafoides accesorio y su función mediante escala American Orthopaedic Foot and Ankle Society, en el paciente pediátrico

González-Herrera, Esli Abril1; Arenas-Díaz, Ana Laura2; Barrón-Torres, Erika Alejandrina3; Ordaz-Robles, Thania4; Guzmán-Martín, Carlos Alfonso5
Texto completo Cómo citar este artículo 10.35366/118238

DOI

DOI: 10.35366/118238
URL: https://dx.doi.org/10.35366/118238
Artículos similares

Idioma: Español
Referencias bibliográficas: 15
Paginas: 5-9
Archivo PDF: 237.37 Kb.


PALABRAS CLAVE

escafoides accesorio, pie, función, American Orthopaedic Foot and Ankle Society.

RESUMEN

Introducción: el escafoides accesorio es un centro de osificación secundario fuera del escafoides, su sintomatología principal es el dolor y la limitación funcional. Se clasifica en tres diferentes tipos según su morfología. La escala AOFAS valora dolor, alineación y funcionalidad de pie y tobillo. Objetivos: determinar si existen diferencias en la puntuación de escala AOFAS respecto al tipo morfológico de escafoides accesorio, así como identificar la frecuencia del escafoides accesorio acorde a morfología en la población pediátrica mexicana. Material y métodos: estudio analítico, transversal y retrospectivo en el Hospital Shriners para Niños México. Se incluyeron un total de 87 pacientes (160 pies) con los siguientes criterios de inclusión: edad de 8-18 años, ambos sexos, con diagnóstico radiográfico de escafoides accesorio con o sin tratamiento quirúrgico, con una evaluación funcional y radiográfica completa del pie afectado; la cual se llevó a cabo por cirujanos ortopedistas pediatras capacitados y una residente de la misma área. A todos los pacientes incluidos se les aplicó una prueba funcional mediante la escala AOFAS. Resultados: se tomaron en cuenta 87 pacientes con un total de 160 pies (78 pies derechos y 82 pies izquierdos), con una edad al diagnóstico de 10.10-12.4 años, de los cuales 36 fueron mujeres y 51 hombres. Los resultados obtenidos mediante la escala AOFAS fueron los siguientes: 10.6% excelente, 47.5% bueno, 39.4% regular y 2.5% malo. Se realizó quirúrgico a 52% de los pacientes. Conclusiones: no existe diferencia estadísticamente significativa entre el score AOFAS y la morfología del escafoides, el resultado bajo en la escala es un factor predisponente para tratamiento quirúrgico.



ABREVIATURAS:

  • AOFAS = American Orthopaedic Foot and Ankle Society.
  • EA = escafoides accesorio.



INTRODUCCIóN

El escafoides accesorio (EA), representa una variante de desarrollo, siendo un centro de osificación secundario fuera del escafoides, es uno de los osículos más comúnmente identificados en el pie de pacientes pediátricos y adultos1 de manera anatómica, presenta íntima asociación con el tendón tibial posterior.2,3 Se reporta una estadística general de 2-25% de la población, con mayor incidencia en mujeres siendo bilateral en 90% de los casos.4,5 La sintomatología es variable entre los distintos pacientes, puede ser asintomático, diagnosticarse como un hallazgo incidental o presentar una clara sintomatología que limite la función del pie.6 Se han descrito cambios biomecánicos en el mediopié, ya que la inserción y tracción del tibial posterior ocasiona la pérdida del efecto suspensivo del arco,7 aunado a la tendinitis del mismo, ejerce presión e inflamación sobre la prominencia ósea ocasionado dolor y como consecuencia incapacidad funcional.8 La escala de la American Orthopaedic Foot and Ankle Society (AOFAS) es una escala de puntuación que se ha utilizado para valorar a niños y adolescentes, el dolor y función antes y después de algún evento quirúrgico, con la finalidad de conocer la eficacia de los mismos.9,10 No se ha descrito en la literatura la relación entre función y el dolor con el tipo de morfología del EA en el paciente pediátrico, por lo cual nos preguntamos si existen diferencias en la puntuación en la escala AOFAS con respecto al tipo morfológico de escafoides accesorio. Así como, de manera secundaria, identificar la frecuencia del mismo, acorde a su morfología en la población estudiada.



MATERIAL Y MéTODOS

Se realizó una estudio analítico, transversal y retrospectivo en el Hospital Shriners para Niños México. Se incluyeron a pacientes activos del hospital y que cumplieron con los siguientes criterios de inclusión: 8-18 años, ambos sexos, con diagnóstico radiográfico de escafoides accesorio con o sin tratamiento quirúrgico, y que además contaran con una evaluación funcional y radiográfica completa del pie afectado; la cual se llevó a cabo por cirujanos ortopedistas pediatras capacitados y un residente de la misma área previo al evento quirúrgico y posterior al mismo en los pacientes que ameritaron tratamiento quirúrgico. Los pacientes que presentaron alguna otra patología asociada a miembro pélvico afectado, aquellos que no brindaron datos suficientes para completar el score AOFAS y los pacientes que abandonaron el seguimiento fueron excluidos del estudio.

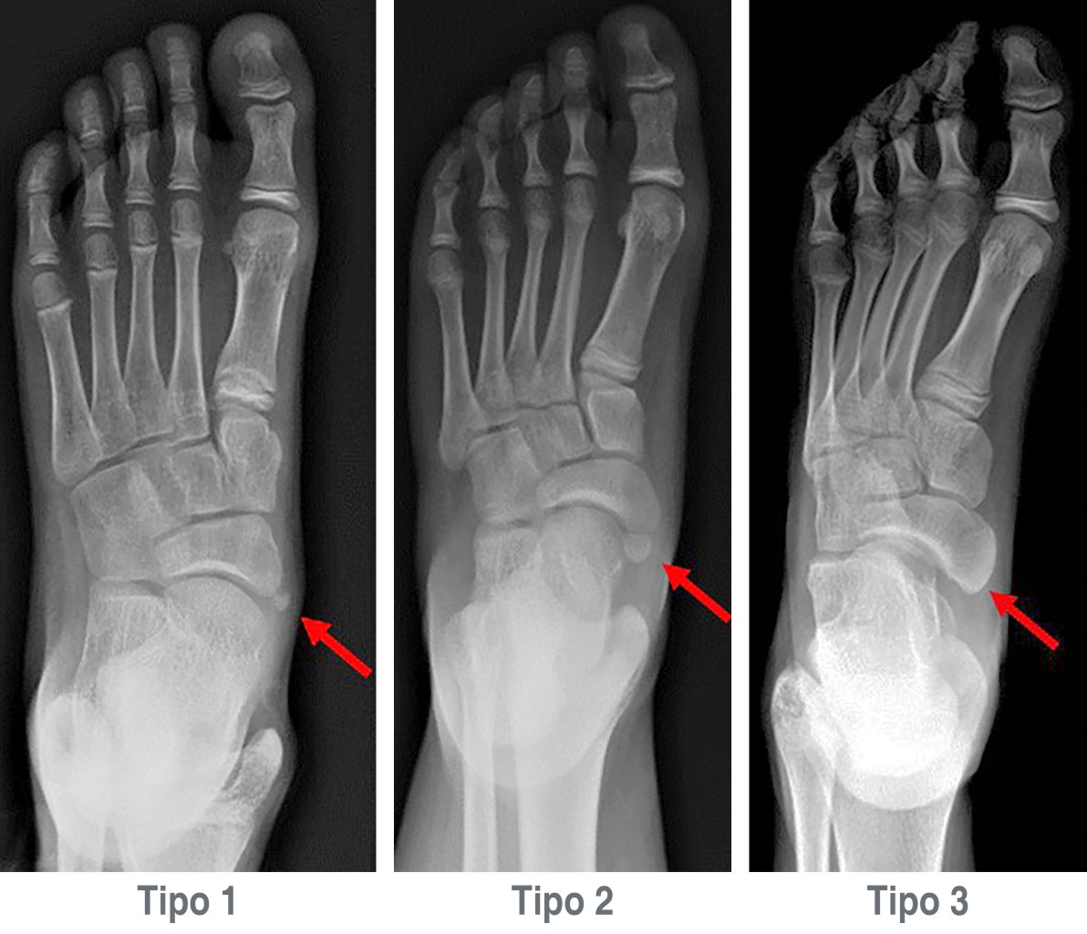
Se obtuvo una muestra total de 87 pacientes (160 pies), los cuales se clasificaron de acuerdo con la morfología que presentaron según la clasificación de Coughlin (Figura 1):

  • Tipo 1. Es pequeño, redondo u ovalado.
  • Tipo 2. Posee una sincondrosis.
  • Tipo 3. Está fusionado con el hueso navicular.4

También se evaluaron los aspectos funcionales según la escala AOFAS:

  • 1. Función (actividades, requerimiento del calzado, distancia máxima caminada, tipo de terreno para caminar, cojera).
  • 2. Dolor (ninguno, ocasional, moderado o diario, severo o casi siempre presente).

El protocolo fue aprobado por los comités de ética en investigación del Hospital Shriners para Niños México, cumpliendo con las normativas locales, las guías de buenas prácticas y la Declaración de Helsinki, con el registro CEI 2023-06



RESULTADOS

Se analizaron 87 pacientes con un total de 160 pies, la mediana de edad al diagnóstico fue de 11 años (10.10-12.45 años). El sexo correspondió a 51 (58.4%) mujeres y 36 (41.6%) hombres. En relación con la lateralidad, se encontraron 78 (48.8%) pies derechos y 82 (51.2%) pies izquierdos (Tabla 1).

En los resultados sobre el tipo de escafoides se observó la siguiente distribución: tipo 1 con 21 pies (13.1%), tipo 2 con 62 pies (38.8%) y tipo 3 con 77 pies (48.1%). El resultado del score AOFAS mostró 17 pies (10.6%) excelentes, 76 pies (47.5%) buenos, 63 pies (39.4%) regulares, 4 pies (2.5%) malos. Del total de 160 pies, se les realizó tratamiento quirúrgico a 83 (51.9%) de ellos, con una mediana de edad de 12.10 (12.11-13.7 años) al momento de realizarse el procedimiento quirúrgico.

Dentro de los resultados obtenidos, el EA tipo 1 fue excelente 0 pies (0%), bueno 10 pies (48%), regular 11 pies (52%) y malo 0 pies (0%). En el EA tipo 2 se reportan en el score excelente 3 pies (4.8%), bueno 33 pies (53.2%), regular 25 pies (40.3%) y malo de 1 pie (1.6%) y en el EA tipo 3 se observaron resultados excelentes en 13 pies (16.8%), bueno 31 pies (40.2%), regular 30 pies (39%) y malo 3 pies (4%) (Tabla 2).

El EA tipo 3 presenta mayor número de score excelente (100-90 puntos), como malos (menos de 69 puntos), el EA tipo 1 no presentó score excelente ni malo. Al comparar la relación entre el tipo de escafoides y el score AOFAS, se obtuvo un valor de p de 0.062, lo cual indica una no significancia estadística, sin embargo, con tendencia a la significancia.

Al comparar la variable cuantitativa del score AOFAS entre los tipos de escafoides, mediante la prueba estadística Kruskal-Wallis no encontramos diferencias significativas (EA tipo 1 mediana:78, rango intercuartílico de 77-80 vs EA tipo 2 mediana 80, rango intercuartílico 77-83 vs EA tipo 3 mediana 80, rango intercuartílico 77-85; p 0.3522) (Figura 2A).

Al comparar la variable cuantitativa del score AOFAS entre los pacientes que se sometieron a tratamiento quirúrgico, en comparación con los que no, mediante la prueba estadística U de Mann Whitney encontramos que los pacientes que fueron operados tenían menores puntajes del score AOFAS, comparado con los que no presentaron tratamiento quirúrgico (operados mediana: 78, rango intercuartílico de 77-80 vs no operados mediana 82, rango intercuartílico 78-86.5 p < 0.001) (Figura 2B y 2C). Por último, probamos el valor discriminativo del score AOFAS para discernir entre los grupos de pacientes que se sometieron a tratamiento quirúrgico contra los que no, y encontramos que en efecto el score AOFAS puede discriminar entre uno y otro grupo (área bajo la curva = 0.6914, intervalo de confianza 95% de 0.6071- 0.7758, p < 0.001).



DISCUSIóN

Dentro de los resultados obtenidos en este estudio, observamos la presencia del EA de predominio femenino, así como de manera bilateral, como lo descrito previamente en la literatura en población general.4,8 El tipo de EA más frecuente en la población estudiada fue el tipo 3 y el menos frecuente el tipo 1, a diferencia de lo reportado por Ghadeer y colaboradores en 2021, donde el más presente fue el tipo 1.4,11 Se ha descrito el EA tipo 2 como el más sintomático debido a su relación con el tibial posterior 12, sin embargo, no se menciona su evaluación funcional y comparativa entre los diferentes tipos de EA. En nuestro estudio el EA tipo 3 tuvo un mayor número de pacientes sintomáticos.

Podríamos pensar que el comportamiento y la sintomatología de las diferencias morfológicas del tipo del EA repercutiría en el resultado del score AOFAS por la afección del tibial posterior;12 sin embargo, en la población pediátrica estudiada no vimos significancia estadística en la morfología y el score AOFAS. La sintomatología dolorosa y limitante de las actividades que representa el EA es la principal causa de tratamiento quirúrgico.13 En nuestro estudio se presenta una relación con significancia estadística entre los bajos puntajes del score AOFAS con los pacientes a los que se intervinieron quirúrgicamente mediante la resección de EA y avance de tibial posterior con el fin de mejorar la sintomatología y la biomecánica del pie, como menciona Pretell-Mazzini en 2014,14 siendo éstos 51.9% de la población estudiada con una edad promedio de 12.10 años, similar a la edad reportada por Yang A y colegas en 2021.15 En estudios previos se ha documentado el diagnóstico de EA como un hallazgo radiográfico sin presencia de sintomatología, independientemente de su tipo, lo cual refuerza nuestros hallazgos sobe que cada tipo de EA se puede comportar funcionalmente de diferente manera. En otra etapa del estudio podemos evaluar la diferencia en el score AOFAS en los pacientes, previo y posteriormente a manejo quirúrgico. La principal fortaleza de nuestro trabajo, hasta nuestro entendimiento, es que es el primer estudio en probar la escala AOFAS en población pediátrica con diagnóstico de escafoides accesorio, lo que podría sentar las bases para futuras investigaciones clínicas. Consideramos que nuestro estudio presenta un sesgo de información como debilidad puesto que es un error que ocurre en toda fase de recolección de datos en un proyecto de investigación. Adicionalmente, la naturaleza retrospectiva del estudio en el caso del cálculo de la escala previo a tratamiento quirúrgico es la principal limitante; se necesitan investigaciones más grandes y prospectivas para fundamentar mayores conclusiones.



CONCLUSIONES

Este estudio nos muestra el comportamiento sintomático y funcional de los tipos de EA en la población pediátrica. No hay una diferencia estadística entre los diferentes tipos de EA y su score AOFAS, más si podemos establecer una relación entre los bajos puntajes del score como factor predisponente para tratamiento quirúrgico. Hoy en día se desconoce la prevalencia de EA, en estudios previos se ha encontrado que este puede ser un hallazgo radiográfico sin presencia de sintomatología, independientemente del tipo de EA, lo cual refuerza nuestros hallazgos de que cada tipo se puede manifestar de forma diferente.


REFERENCIAS (EN ESTE ARTÍCULO)

  1. Knapik DM, Guraya SS, Conry KT, Cooperman DR, Liu RW. Longitudinal radiographic behavior of accessory navicular in pediatric patients. J Child Orthop. 2016; 10(6): 685-689. Available in: http://dx.doi.org/10.1007/s11832-016-0777-x

  2. Wariach S, Karim K, Sarraj M, Gaber K, Singh A, Kishta W. Assessing the outcomes associated with accessory navicular bone surgery-a systematic review. Curr Rev Musculoskelet Med. 2022; 15(5): 377-384. Available in: http://dx.doi.org/10.1007/s12178-022-09772-5

  3. Ugolini PA, Raikin SM. The accessory navicular. Foot Ankle Clin. 2004; 9(1): 165-180. Available in: https://doi.org/10.1016/S1083-7515(03)00176-1.

  4. Alsager GA, Alzahrani K, Alshayhan F, Alotaibi RA, Murrad K, Arafah O. Prevalence and classification of accessory navicular bone: a medical record review. Ann Saudi Med. 2022; 42(5): 327-333. Available in: http://dx.doi.org/10.5144/0256-4947.2022.327

  5. Rammelt S, Sands AK. The accessory navicular and its association with flatfoot. Fub & Sprunggelenk. 2020; 18(1): 60-71. doi: 10.1016/S1083-7515(03)00176-1. Available in: http://dx.doi.org/10.1016/j.fuspru.2020.01.011

  6. Knapik DM, Archibald HD, Xie KK, Liu RW. A retrospective study on factors predictive of operative intervention in symptomatic accessory navicular. J Child Orthop. 2019; 13: 107-113. doi: 10.1302/1863-2548.13.180168.

  7. Campbell JT, Jeng CL. Painful accessory navicular and spring ligament injuries in athletes. Clin Sports Med. 2020; 39(4): 859-876. Available in: http://dx.doi.org/10.1016/j.csm.2020.05.002

  8. Kamel SI, Belair JA, Hegazi TM, Halpern EJ, Desai V, Morrison WB et al. Painful type II os naviculare: introduction of a standardized, reproducible classification system. Skeletal Radiol. 2020; 49(12): 1977-1985. Available in: http://dx.doi.org/10.1007/s00256-020-03503-y

  9. Malviya A, Makwana N, Laing P. Correlation of the AOFAS scores with a generic health QUALY score in foot and ankle surgery. Foot Ankle Int. 2007; 28(4): 494-498. doi: 10.3113/FAI.2007.0494.

  10. Di Gennaro GL, Stallone S, Olivotto E, Zarantonello P, Magnani M, Tavernini T, Stilli S, Trisolino G. Operative versus nonoperative treatment in children with painful rigid flatfoot and talocalcaneal coalition. BMC Musculoskelet Disord. 2020; 21(1): 185. doi: 10.1186/s12891-020-03213-5. Available in: https://doi.org/10.1186/s12891-020-03213-5

  11. Dare DM, Dodwell ER. Pediatric flatfoot: cause, epidemiology, assessment, and treatment. Curr Opin Pediatr. 2014; 26(1): 93-100. doi: 10.1097/MOP.0000000000000039.

  12. Keles-Celik N, Kose O, Sekerci R, Aytac G, Turan A, Guler F. Accessory ossicles of the foot and ankle: disorders and a review of the literature. Cureus. 2017; 9(11): e1881. Available in: http://dx.doi.org/10.7759/cureus.1881

  13. Zeng G, Hu X, Chen Y, Yang T, Qiu X, Li C, Song W. Comparison of outcomes of arthrodesis and reconstruction (advancement), posterior tibial tendon with excision of accessory tarsal navicular bone (Kidner procedure) in type 2 accessory navicula. Foot Ankle Surg. 2020; 26(8): 930-934. Available in: http://dx.doi.org/10.1016/j.fas.2019.12.005

  14. Pretell-Mazzini J, Murphy RF, Sawyer JR, Spence DD, Warner WC Jr, Beaty JH, Moisan A, Kelly DM. Surgical treatment of symptomatic accessory navicular in children and adolescents. Am J Orthop (Belle Mead NJ). 2014; 43(3): 110-3.

  15. Yang A, Hennrikus WL, Penn State Hershey Pediatric Bone, Hershey PA, Institute Joint. Surgical outcomes of accessory navicular in adolescent athletes. Orthop J Sports Med. 2021; 9(7_suppl3): 2325967121S0014. Available in: http://dx.doi.org/10.1177/2325967121s00140



AFILIACIONES

1 Médico residente Ortopedia Pediátrica.

2 Staff Médico, Clínica de Pie y Clínica de Páralisis Cerebral Infantil.

3 Staff Médico, Clínica de Ingresos.

4 Jefa de Departamento de Investigación.

5 Departamento de Investigación.



NIVEL DE EVIDENCIA

III



CORRESPONDENCIA

Dra. Ana Laura Arenas-Díaz. E-mail: Ana_ArenasMD@outlook.com




Recibido: 24/04/2024. Aceptado: 07/10/2024.

Figura 1
Figura 2
Tabla 1
Tabla 2

2020     |     www.medigraphic.com

Mi perfil

C?MO CITAR (Vancouver)

Rev Mex Ortop Ped. 2024;26

ARTíCULOS SIMILARES

CARGANDO ...