medigraphic.com
ENGLISH

Acta Ortopédica Mexicana

ISSN 2992-8036 (Digital)
ISSN 2306-4102 (Impreso)
Órgano Oficial del Colegio Mexicano de Ortopedia y Traumatología
  • Mostrar índice
  • Números disponibles
  • Información
    • Información general        
    • Directorio
  • Publicar
    • Instrucciones para autores        
  • medigraphic.com
    • Inicio
    • Índice de revistas            
    • Registro / Acceso
  • Mi perfil

2024, Número 6

<< Anterior Siguiente >>

Acta Ortop Mex 2024; 38 (6)


Artroplastía total de cadera secundaria a artropatía ocronótica. Reporte de un caso

Garcini-Munguia, FA1; Dobarganes-Barlow, FG1; Esquivel-Solorio, A1; Guevara-Álvarez, A1; Negrete-Corona, J1; Rojas-Avilés, JL2
Texto completo Cómo citar este artículo 10.35366/118294

DOI

DOI: 10.35366/118294
URL: https://dx.doi.org/10.35366/118294
Artículos similares

Idioma: Español
Referencias bibliográficas: 10
Paginas: 411-414
Archivo PDF: 301.60 Kb.


PALABRAS CLAVE

alcaptonuria, ocronosis, artropatía ocronótica, artroplastía.

RESUMEN

Introducción: la alcaptonuria es un trastorno hereditario metabólico raro que se caracteriza por deficiencia de la enzima homogentisato 1,2 dioxigenasa responsable de la oxidación y eliminación renal del ácido homogentísico (AHG), lo que provoca su acumulación. La acumulación excesiva de ácido homogentísico resulta en ocronosis y, posteriormente, en artropatía ocronótica, la cual afecta principalmente a la columna dorsolumbar y las grandes articulaciones que conduce a requerir un reemplazo articular buscando mejorar la función y la calidad de vida. Caso clínico: se presenta el caso de una paciente femenina de 67 años de edad con antecedente de alcaptonuria que cursa con un cuadro doloroso difuso en cadera derecha de cuatro años de evolución; a la exploración física, se encuentran manifestaciones clínicas acordes con ocronosis y artropatía ocronótica. Se realizan estudios de imagen donde se evidencia pérdida de espacio articular de cadera derecha, osteofitos y esclerosis acetabular. Conclusiones: el reemplazo articular es una terapia efectiva para mejorar la calidad de vida con artropatía secundaria a alcaptonuria; a pesar de ello, se necesita enriquecer la literatura sobre el seguimiento a largo plazo de este tratamiento.



INTRODUCCIóN

La alcaptonuria es un trastorno hereditario raro de herencia autosómica recesiva del metabolismo hepático del ácido homogentísico (AHG) causado por una mutación en el cromosoma 3q, el cual funge como intermediario en el metabolismo de la L-fenilalanina y L-tirosina, al no poderse metabolizar se almacena en sangre y tejido conectivo y pueden ser excretados por la orina.1,2 Su incidencia se estima entre 1 en cada 250,000-1'000,000 de habitantes. Las principales manifestaciones clínicas son la coloración negroparduzca de la orina al alcalinizarse o al contacto con el aire por la oxidación del ácido homogentísico; la ocronosis, la cual se presenta a la tercera década de la vida principalmente, con un cuadro caracterizado por coloración marrón en esclerótica y coloración azul en pabellones auriculares; posterior a la ocronosis, le sigue la artropatía ocronótica la cual es una artrosis de la columna lumbar y grandes articulaciones.2,3 Existen otras alteraciones menos frecuentes como las nefrourinarias, pulmonares, cardíacas, vasculares y digestivas.

No existe un tratamiento curativo específico para la alcaptonuria, se puede brindar tratamiento médico a los síntomas de la ocronosis sin disminuir la progresión de la enfermedad hacia la artropatía ocronótica en el largo plazo, para lo cual se ha utilizado el reemplazo articular como tratamiento sintomático.3

Presentamos un caso nuevo de ocronosis en México y artropatía ocronótica en una paciente de 67 años.



CASO CLÍNICO

Paciente femenino de 67 años con antecedente de alcaptonuria diagnosticada, la cual inicia con dolor difuso en cadera derecha hace cuatro años, progresivo, sordo, con limitación en los arcos de movilidad en general condicionando a marcha claudicante.

A la exploración física destacaba la pigmentación ocre de escleróticas, pabellones auriculares; se presentaba marcha claudicante, cojera derecha, uso de ortesis de apoyo, abducción 10°, aducción 5°, flexión de cadera 45°, extensión de 10°, todos los movimientos con presencia de dolor (Figura 1).

Radiológicamente presenta pérdida del espacio articular en cadera derecha, abundantes osteofitos, esclerosis en acetábulo.

Laboratorio: hemograma, bioquímica general y examen elemental de orina sin alteraciones, velocidad de sedimentación globular (VSG): 18; proteinograma, balance fosfocálcico y parathormona (PTH) normales, perfil férrico normal; factor reumatoide (FR) y antígeno de histocompatibilidad (HLA) B27 negativos, ácido homogentísico en orina de 24 horas: 1.140 mg/24 horas (referencia < 10 mg/24 horas), prueba de alcalinización de la orina positiva.

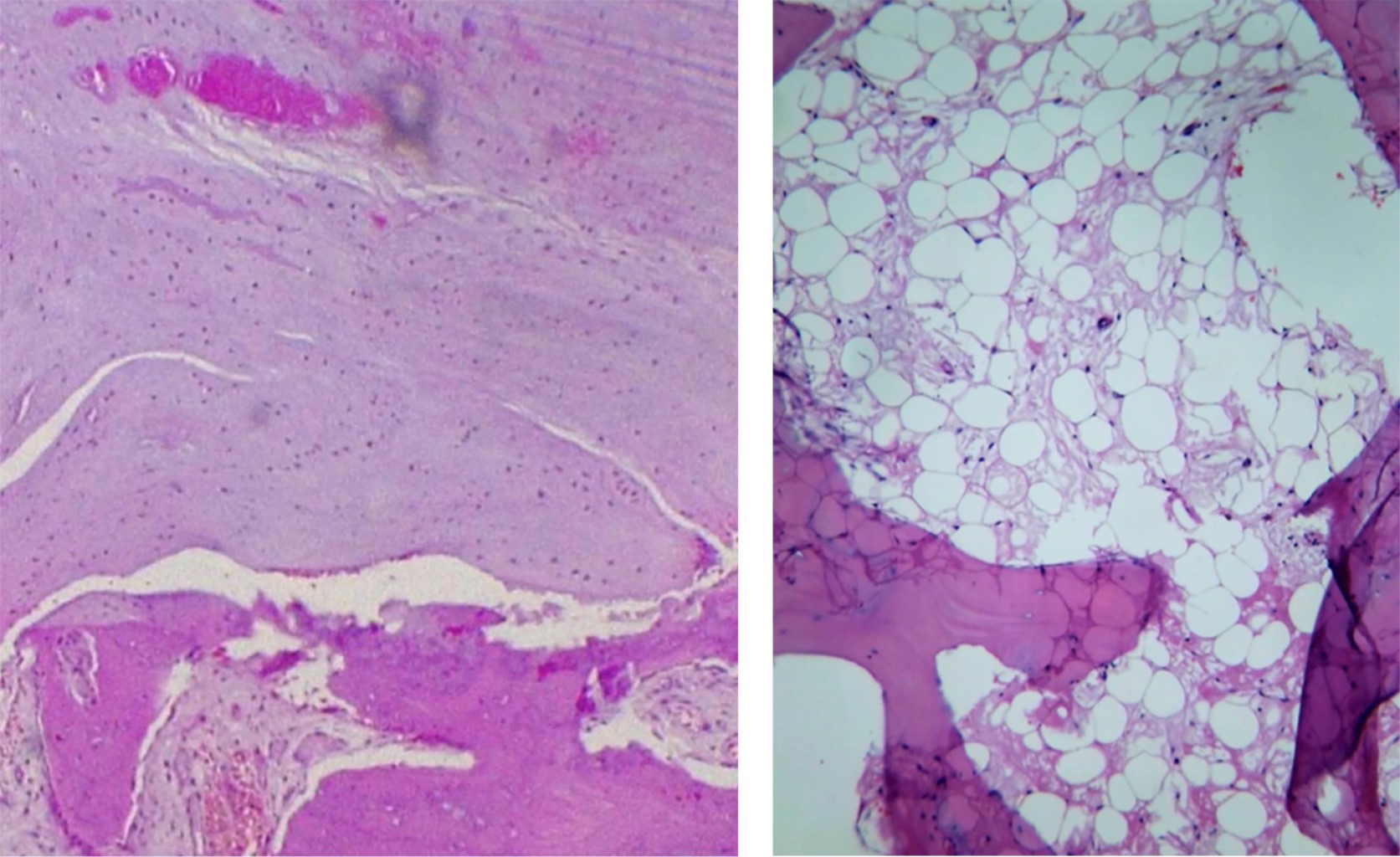
En quirófano, con el paciente bajo bloqueo mixto, se realizó un reemplazo total de cadera derecha mediante un abordaje posterior, con prótesis de doble movilidad G7 (por antecedente de espondiloartropatía con anquilosis lumbar), con vástago Taper lock (Zimmer Biomet). Durante el procedimiento se observó de manera macroscópica la presencia de zonas oscuras en cabeza y cuello femoral, propias de depósitos AHG (Figura 2). El procedimiento finalizó sin complicaciones, con control radiológico postquirúrgico (Figura 3). El examen patológico macroscópico refirió cabeza femoral con manchas obscuras con parches en tejido óseo y cartilaginoso; la imagen histopatológica se muestra en la Figura 4.

Se realizó seguimiento a las dos, cuatro y ocho semanas, sin encontrar sintomatología local ni sistémica. A los seis meses de postoperada, la paciente presentó marcha sin alteraciones, sin dismetría de miembros pélvicos y sin dolor referido. Se valoró mediante la escala de Harris modificada, obtuvo un puntaje de 82, que se define como un resultado bueno. Posteriormente, se llevó a cabo un seguimiento postoperatorio de 12 meses, durante el cual la paciente mostró progresión clínica satisfactoria con mejoras en los rangos de movimiento. No se observaron anomalías en la marcha y la paciente informó la ausencia de dolor. El puntaje de cadera Harris modificado se volvió a calcular, obteniendo una puntuación de 90, el cual se define como un resultado excelente. Además, se realizó una escanometría de control anual donde se encuentra implante sin datos de aflojamiento a nivel pélvico ni femoral, sin acortamiento de extremidades (Figura 5).



DISCUSIóN

La alcaptonuria es una rara enfermedad metabólica de herencia autosómica recesiva descrita por primera vez por el médico inglés Sir Archibald Edward Garrod (1857-1936), pionero en el campo de los errores congénitos del metabolismo. Fue de gran importancia para entender los padecimientos de defectos enzimáticos con herencia mendeliana, la cual se plasmó en su libro Errores innatos del metabolismo publicado en 1923.

Esta enfermedad es causada por mutaciones en el gen HGD que consta de 54,363 pb localizado en el cromosoma 3q2, el cual codifica la enzima homogentisato 1,2 dioxigenasa encargada de la conversión de ácido homogentísico (AHG) en maleilacetoacetato en la ruta metabólica de la tirosina, resultante en la acumulación de AHG en tejidos conectivos y sangre, favoreciendo su excreción renal.4

La incidencia reportada de pacientes que padecen alcaptonuria a nivel mundial es de 1/250,000-1'000,000 aunque existen lugares con una incidencia de 1/13,500 como Jordania e India.4

La acumulación de AHG es la causa de las principales manifestaciones clínicas: orina que cambia de color al contacto con oxígeno hacia un color marrón o parduzco; desarrollo gradual de ocronosis caracterizada por la acumulación de AHG en tejido conectivo dando una coloración parduzca al tejido formado por cartílago, principalmente pabellones auriculares, escleróticas y cartílago nasal; posteriormente aparece la artropatía ocronótica degenerativa. Otras alteraciones son raras, pero se pueden presentar alteraciones en válvulas cardíacas, tráquea, bronquios, prostatitis, litiasis renal y tímpano. Las manifestaciones clínicas se presentan principalmente a la cuarta década de la vida, ya que conforme la edad del paciente incrementa, la excreción renal de AHG disminuye, por lo que produce un aumento en los depósitos de AHG.4

La artropatía ocronótica es una patología rara que se debe a la acumulación de ácido homogentísico. El involucro del aparato locomotor se puede dividir en dos: axial, que afecta la columna lumbar principalmente; y periférica, que involucra las grandes articulaciones (cadera, rodilla y hombro).5,6 En las articulaciones periféricas, sobre todo en rodillas, caderas y hombros, se presenta como episodios de dolor tipo mecánico secundario a artrosis, derrames articulares. También puede haber cristales de pirofosfato y apatita en el líquido sinovial, aunque normalmente no es así. Además, puede afectar tendones y causar tendinitis calcificante y ruptura espontánea.7,8

Actualmente no existe un tratamiento médico capaz de revertir la progresión de la alcaptonuria, por lo que su manejo se enfoca en tratar la sintomatología con restricción en la ingesta de ácido ascórbico, tirosina y fenilalanina, aumentar la ingesta de antioxidantes y nitisinona, la cual es utilizada como herbicida y tiene la propiedad de disminuir la producción de HGA por medio de una inhibición irreversible de p-hidroxifenilpiruvato hidroxilasa (P-HPPH). El reemplazo articular es un tratamiento indicado a los pacientes que padecen de artropatía ocronótica avanzada que se encuentra con datos de destrucción condral y ósea, limita la función normal de la articulación y altera la calidad de vida. Existe poca evidencia sobre el seguimiento a largo plazo de los pacientes postoperados con artroplastía total de cadera; a pesar de ello, la literatura existente sugiere resultados excelentes en la mejoría de la función de la articulación y calidad de vida del paciente.4,9,10



CONCLUSIONES

El reemplazo articular actualmente es la única opción existente para tratar la sintomatología de la artropatía ocronótica, ya que brinda excelentes resultados en la función y calidad de vida. A pesar de ello, no existe suficiente información científica para realizar un consenso sobre el seguimiento a largo plazo de los pacientes con artropatía ocronótica postoperados con artroplastía total de cadera.


REFERENCIAS (EN ESTE ARTÍCULO)

  1. Gómez-Lechón L, Hidalgo C, Acosta de la Vega M, Compán FO. Family history of ochronotic arthropathy. Rheum Int. 2021; 41: 1869-74. Available in: https://doi.org/10.1007/s00296-020-04640-2

  2. Ali MA, Stratton R. Ochronotic arthropathy in alkaptonuria. Rheumatology. 2021; 60(5): 2486-6. Available in: http://dx.doi.org/10.1093/rheumatology/keaa660

  3. Al-Ajlouni JM, Alisi MS, Yasin MS, Khanfar A, Hamdan M, Halaweh AA, et al. Long-term outcomes of the knee and hip arthroplasties in patients with alkaptonuria. Arthroplast Today. 2020; 6(4): 689-93. Available in: http://dx.doi.org/10.1016/j.artd.2020.07.037

  4. Ladjouze-Rezig A, Aquaron R, Slimani S. Alcaptonuria, ocronosis y artropatía ocronótica. EMC - Apar Locomot. 2022; 55(3): 1-16. Disponible en: http://dx.doi.org/10.1016/s1286-935x(22)46846-8

  5. Ilyas I, Kashif S, Algashiri MF, Rabbani SA, Aldakhil SS, Al-Mohrej OA. Long-term follow-up of bilateral hip and knee arthroplasty secondary to ochronotic arthropathy. Arthroplast Today. 2020; 6(2): 214-9. Available in: http://dx.doi.org/10.1016/j.artd.2020.01.012

  6. Shibata R, Tanaka J, Shiokawa T, Yamamoto T. Lateral atlantoaxial joint arthritis in a patient with alkaptonuria. J Orthop Sci. 2023; 28(6): 1467-9. Available in: http://dx.doi.org/10.1016/j.jos.2021.06.023

  7. Couto A, Rodrigues A, Ochronotic arthropathy-a rare clinical case. Oxf Med Case Reports. 2018; 2018(9): omy069. doi: 10.1093/omcr/omy069.

  8. Jirel A, Paul N, Kaganur R, Gopurathingal A, George J. Ochronotic hip arthropathy - A case report. J Orthop Case Rep. 2022; 12(10): 14-7. doi: 10.13107/jocr.2022.v12.i10.3346.

  9. Yap San Min N, Rafi U, Wang J. Ochronotic arthropathy of bilateral hip joints: a case report. World J Clin Cases. 2023; 11(1): 210-7. doi: 10.12998/wjcc.v11.i1.210.

  10. Rajkumar N, Soundarrajan D. Clinical and radiological outcomes of total joint arthroplasty in patients with ochronotic arthropathy. Eur J of Orthop Surg Traumatol. 2020; 30(5): 923-9.



AFILIACIONES

1 Instituto Queretano de Alta Especialidad en Ortopedia (IQAEO). Hospital Ángeles de Querétaro, Qro. México.

2 Universidad Anáhuac Querétaro, México.



Financiamiento: la presente investigación no ha recibido ayudas específicas provenientes de agencias de sector público, sector comercial o entidades sin ánimo de lucro.



CORRESPONDENCIA

Franco Alberto Garcini-Munguía. E-mail: drfrancogarcini@gmail.com




Recibido: 29-01-2024. Aceptado: 24-04-2024.

Figura 1
Figura 2
Figura 3
Figura 4
Figura 5

2020     |     www.medigraphic.com

Mi perfil

C?MO CITAR (Vancouver)

Acta Ortop Mex. 2024 Nov-Dic;38

ARTíCULOS SIMILARES

CARGANDO ...