medigraphic.com
ENGLISH

Revista Latinoamericana de Infectología Pediátrica

ISSN 2683-1678 (Impreso)
Órgano Oficial de la Sociedad
Latinoamericana de lnfectología Pediátrica.
Órgano de la Asociación Mexicana de
Infectología Pediátrica, A.C.
Órgano difusor de la Sociedad Española
de lnfectología
  • Mostrar índice
  • Números disponibles
  • Información
    • Información general        
    • Directorio
  • Publicar
    • Instrucciones para autores        
  • medigraphic.com
    • Inicio
    • Índice de revistas            
    • Registro / Acceso
  • Mi perfil

2024, Número 4

<< Anterior Siguiente >>

Rev Latin Infect Pediatr 2024; 37 (4)


Manifestaciones clínicas y hallazgos de laboratorio en pacientes pediátricos con diagnóstico presuntivo de infección por el virus dengue en un hospital de segundo nivel en Irapuato: serie de casos

Reyes Berlanga, Mónica L1,2; Contreras Vargas, Laura Marisol1,3; Rojas Solís, Martha Beatriz1,4; Aguilera Sánchez, Marisol1,4; Olmos Pérez, María Luisa Elizabeth1,5
Texto completo Cómo citar este artículo 10.35366/118315

DOI

DOI: 10.35366/118315
URL: https://dx.doi.org/10.35366/118315
Artículos similares

Idioma: Español
Referencias bibliográficas: 17
Paginas: 156-162
Archivo PDF: 327.16 Kb.


PALABRAS CLAVE

dengue, Comité Nacional para la Vigilancia Epidemiológica, Organización Mundial de la Salud, Organización Panamericana de la Salud.

RESUMEN

Introducción: enfermedad viral transmitida por mosquitos del género Aedes, uno de los problemas de salud pública más significativos en todo el mundo. Objetivo: describir datos clínicos y de laboratorio en pacientes pediátricos del HGZ/MF No. 2, del Instituto Mexicano del Seguro Social (IMSS), Irapuato, Guanajuato, y que cumplieran con alguna de las definiciones operacionales de dengue. Nuestro siguiente objetivo fue analizar el proceso administrativo para el cumplimiento de la vigilancia epidemiológica establecida por el Comité Nacional para la Vigilancia Epidemiológica (CONAVE). Material y métodos: estudio descriptivo, de corte transversal, en pacientes pediátricos de tres a 17 años, diagnóstico clínico de dengue, entre el primero de octubre de 2023 y el 30 de noviembre del 2023. Resultados: 22 pacientes, 12 hombres (54.5%), y 10 (45.5 %) mujeres. Dieciséis de los casos (72.7%) se presentaron en el mes de noviembre. Los datos de alarma fueron dolor abdominal intenso y continuo (81%) y vómito persistente (68%). Dieciocho (81.8%) pacientes ingresaron con dengue con signos de alarma. Doce (54.5%) casos presentaron trombocitopenia severa. Dos pacientes presentaron derrame pleural (9%) y uno de ellos se asoció a ascitis. Dieciocho niños (81.8%) presentaron aumento de las enzimas hepáticas. Dos pacientes (9%) cumplieron con la definición operacional de dengue grave. Confirmamos 13 (59%) casos por RT-PCR (reacción de polimerasa en cadena), de los cuales ocho (61.5%) fueron dengue no grave serotipo 3, y 5 positivos (38.5%) sin reporte de serotipo. Una PCR negativa de una paciente quien cumplió la definición operacional, pero la RT-PCR se toma posterior al día siete de evolución de padecimiento actual, contaba con serología positiva a dengue (IgM). Nos rechazaron tres muestras por falta de cumplimento en la calidad de éstas. Durante el proceso de atención hospitalaria entre el servicio de urgencias, enfermería, hospitalización pediatría y laboratorio, cinco muestras no fueron enviadas. Conclusión: tuvimos inconvenientes en el proceso administrativo de la vigilancia epidemiológica, por lo que hacemos la reflexión de mejorarla. Es el primer año en la historia de nuestro hospital (inaugurado en 1975) que tenemos esta situación epidemiológica de dengue. Registramos una muerte.



ABREVIATURAS:

  • CONAVE = Comité Nacional para la Vigilancia Epidemiológica.
  • DCSA = dengue con signos de alarma.
  • DG = dengue grave.
  • DNG = dengue no grave.
  • OMS = Organización Mundial de la Salud.
  • OPS = Organización Panamericana de la Salud.
  • RT-PCR = reacción en cadena de la polimerasa con trascripción reversa (Reverse Transcription Polymerase Chain Reaction).



INTRODUCCIóN

El dengue es la arbovirosis más importante a nivel mundial, es una infección viral sistémica de carácter epidémico transmitida por mosquitos del género Aedes.1

El virus del dengue (DENV) pertenece al género Flavivirus de la familia Flaviviridae. Se han identificado cuatro serotipos (DEN-1 a DEN-4). Cada serotipo confiere inmunidad permanente específica contra el mismo, e inmunidad cruzada a corto plazo contra los otros serotipos.2-4

El Aedes aegypti habita en regiones tropicales y subtropicales, a temperaturas de 25 a 29 °C. El virus del dengue se transmite a los humanos por picaduras de mosquitos Aedes infectados, principalmente el Aedes aegypti y Aedes albopictus.4,5

Respecto a la epidemiología, en México, hasta la semana 33 del año 2023 se habían identificado 11,023 casos confirmados. De éstos, 6,088 (55%) corresponden a dengue no grave, 4,611 (42%) a dengue con signos de alarma y 324 (3%) a dengue grave, con una tasa de incidencia general de 8.40 casos por 100,000 habitantes con circulación de los cuatro serotipos, más del 50% por serotipo 3. Su mayor incidencia se presenta en la segunda mitad del año, durante los meses cálidos y con lluvia.2 En el estado de Guanajuato, la Secretaría de Salud, al cierre del 2023, reportó 476 casos de dengue no grave, 192 casos con datos de alarma y 20 de dengue grave. Irapuato fue el principal municipio con casos de dengue en el estado de Guanajuato; en 2023, se confirmaron 240 casos, con la defunción de dos pacientes pediátricos de seis y ocho años, uno de los cuales es registrado en este estudio.

Los factores de riesgos sociales, el crecimiento poblacional, la urbanización, la falta de recolección de desechos, las migraciones, la pobreza, los viajes a zonas endémica, el desconocimiento del riesgo, así como encontrarse en latitud 35° N a 35° S, altitud menor de 2,200 m, temperatura de 15 a 40 °C, y humedad moderada a alta, son algunos factores. La interacción de todos estos elementos resulta en el aumento de la incidencia de esta arbovirosis.4,5

El periodo de incubación oscila de cinco a siete días (3-14 días). La fase febril dura de dos a siete días; se presenta fiebre mayor a 38 °C, cefalea, hay síntomas gastrointestinales y también puede haber síntomas del tracto respiratorio. La fiebre es un marcador del inicio, de aparición brusca, remite en meseta después del tercer día. La cefalea es holocraneana e intensa, con dolor retrocular que puede empeorar con el movimiento ocular y se asocia a fotofobia. Las artralgias son de pequeñas y grandes articulaciones, mientras que las mialgias suelen presentarse en región lumbar y miembros inferiores. El rash es pruriginoso, en cara, tórax, abdomen y extremidades, puede afectar región palmoplantar; macular, maculopapular o escarlatiniforme. Puede tener presentaciones hemorrágicas leves como petequias y equimosis en sitios de punción por aumento de la fragilidad capilar.2,4,6,7 Otras manifestaciones menos frecuentes incluyen gingivorragia, epistaxis, menorragia, melena, epistaxis o hematuria. Es importante mencionar que las manifestaciones hemorrágicas no siempre están relacionadas con trombocitopenia significativa,8 se pueden observar hematomas en sitios de punción venosa; corroborándose con la prueba de torniquete, la piel presentará petequias, considerando la prueba positiva.9,10 Al ocurrir una reinfección por un serotipo diferente, aumenta el riesgo de desarrollar dengue grave.11

La clasificación del dengue por la Organización Mundial de la Salud (OMS) define dengue no grave (DNG) en el paciente que vive o ha viajado a áreas endémicas, con clínica de náusea, vómito, exantema, mialgias, leucopenia, prueba de torniquete positiva; en el cual su manejo es ambulatorio. Dengue con signos de alarma (DCSA) cuando presenta dolor abdominal intenso y continuo, vómito persistente, acumulación clínica de líquidos, sangrado de mucosas, letargia, inquietud, hepatomegalia > 2 cm, incremento del hematocrito con trombocitopenia, ante lo cual requiere hospitalización. El dengue grave (DG) se caracteriza por fuga plasmática importante que conduce a choque, insuficiencia respiratoria; hemorragia grave, falla orgánica: a nivel hepático con elevación de TGO (transaminasa glutámico-oxalacética) o TGP (transaminasa glutámico-pirúvica) > 1,000, alteración del estado de conciencia, miocardiopatía, requiriendo atención en unidad de cuidados intensivos.1,2,4 El síndrome de choque por dengue (DSS) es la manifestación más grave del dengue caracterizado por un marcado aumento de la permeabilidad vascular; presenta una presión del pulso menor a 20 mmHg, que requiere una rápida restauración del volumen plasmático circulante.

Las complicaciones que pueden presentarse a nivel cardiaco son: miocarditis, pericarditis, insuficiencia cardiaca congestiva, derrame pericárdico; a nivel gastrointestinal: falla hepática aguda, pancreatitis, úlceras gástricas; a nivel renal: insuficiencia renal aguda; a nivel respiratorio: insuficiencia respiratoria aguda, hemorragia pulmonar, derrame pleural; a nivel hematológico: anemia aplásica y púrpura trombocitopénica trombótica; y a nivel neurológico: encefalopatía, hemorragia intracraneal, síndrome Guillain-Barré, mielitis.4,11

Para el diagnóstico confirmatorio, se requiere detectar el virus o sus componentes con la detección del antígeno NS1 en suero, e indirectamente mediante la detección de la respuesta del huésped con la identificación de anticuerpos IgM e IgG. El suero es la muestra de elección.12,13 En la fase aguda, se puede detectar el ácido nucleico viral en suero por medio de la reacción en cadena de la polimerasa con transcripción inversa (RT-PCR) que es el estándar de oro para el diagnóstico, o por la detección de la proteína no estructural NS1, que es un marcador de diagnóstico para la infección aguda que puede detectarse en la sangre hasta nueve días después del inicio de la fiebre. La sensibilidad diagnóstica de la detección de NS1 en el periodo febril es mayor de 90%, disminuyendo a 60-80% en la infección secundaria. En la fase de convalecencia se debe solicitar el anticuerpo inmunoglobulina M antidengue, el cual es detectable una vez que desaparece la fiebre, entre los días cuatro y siete de evolución; alcanza su punto máximo de los 6 a 10 días y se mantiene por tres meses. La detección de IgG se vuelve positiva después del noveno día de enfermedad en la infección primaria, estando detectable desde el primer día en una infección secundaria.4,6,12,14,15

No existe ningún medicamento para el tratamiento del dengue. El tratamiento en caso de dengue sin datos de alarma se basa en el sostén con líquidos por vía oral, paracetamol y explicar datos de alarma. El dengue con datos de alarma requiere manejo intrahospitalario; y en pacientes con dengue grave se requiere tratamiento en unidad de cuidados intensivos.6,11

Dentro de las causas de trombocitopenia puede encontrarse supresión de la médula ósea, destrucción periférica de plaquetas por destrucción por anticuerpos, fagocitosis, activación de la cascada del complemento, disfunción plaquetaria y coagulopatía.11

Es importante educar a la población. Establecer mecanismos que permitan la difusión de información a la población y grupos de riesgo ya que, si se demora la solicitud de atención, la evolución clínica de los pacientes puede agravarse. Respecto a la prevención del vector, se recomienda no dormir a la intemperie y permanecer dentro de las viviendas al anochecer y amanecer, uso de ropa de manga larga, aplicar repelente de insectos, uso de telas mosquiteras, eliminación o manejo (lavado, tapado o volteado) de recipientes que acumulan agua y que pueden convertirse en criadero de vectores en sus viviendas. El gobierno requiere continuar con campañas de saneamiento ambiental, participación social, comunicación y educación en salud y el control del vector.10



MATERIAL Y MéTODOS

Se realizó un estudio retrospectivo, descriptivo, de corte transversal y analítico, en pacientes pediátricos con diagnóstico clínico de dengue, quienes recibieron atención médica en el área de hospitalización y urgencias pediátricas en un hospital de segundo nivel, en Irapuato, Guanajuato, México, en el periodo comprendido entre el 1 de octubre de 2023 y el 30 de noviembre de 2023. La serie de casos fue conformada por 22 pacientes pediátricos. Para realizar el estudio se recabaron los datos de los expedientes clínicos, obteniéndose los datos sociodemográficos, historia clínica pediátrica, estudios de laboratorio y evolución hospitalaria. También se analizó el cumplimiento de la vigilancia epidemiológica (VE), el adecuado llenado del estudio epidemiológico y la calidad de la muestra de suero, así como el envío de esta. Los datos fueron almacenados en una base de datos en Microsoft Excel versión 2021.



RESULTADOS

Todos los pacientes cumplieron con la definición operacional emitida por el CONAVE por medio del Aviso Epidemiológico CONAVE/02/2023/Dengue del 29/08/2023.

La muestra fue de 22 pacientes, 12 hombres (54.5%) y 10 mujeres (45.5%), con edad promedio de 9.3 años (rango 3-17 años). Todos residentes del Municipio de Irapuato.

Respecto a la clasificación clínica del dengue, se reportaron dos casos (9%) con dengue sin datos de alarma, 18 (81.8%) con dengue con datos de alarma y dos (9%) con dengue grave.

El tiempo de hospitalización promedio fue de 94 horas. El diagnóstico de dengue con datos de alarma se presentó en nueve mujeres (50%) y nueve hombres (50%). Los dos casos de dengue grave se registraron en hombres, uno de los cuales falleció.

En la Tabla 1 se aprecian los porcentajes de presentación de los datos clónicos.

Los datos clínicos que se presentaron con mayor frecuencia se reportan en la Tabla 1.

En la Tabla 2 se describen los datos de laboratorio de los 22 pacientes. En las Tablas 3 y 4, los porcentajes de presentación del número de plaquetas y de los principales hallazgos de laboratorio para la edad.

De nuestra muestra, el 86.36% (19 pacientes) presentaron hepatitis reactiva con elevación de por lo menos alguna transaminasa, siendo las mayores las del paciente fallecido: TGO de 6,356 y TGP de 2,157.

En complicaciones asociadas, un paciente de 13 años con dengue grave, confirmado por PCR sin reporte de serotipo, tuvo encefalopatía, insuficiencia respiratoria que requirió ventilación mecánica, lesión renal aguda KDIGO I, pancreatitis, hepatitis, derrame pleural derecho; fue traslado a la Unidad Médica de Alta Especialidad del Bajío del IMSS, dándose de alta.

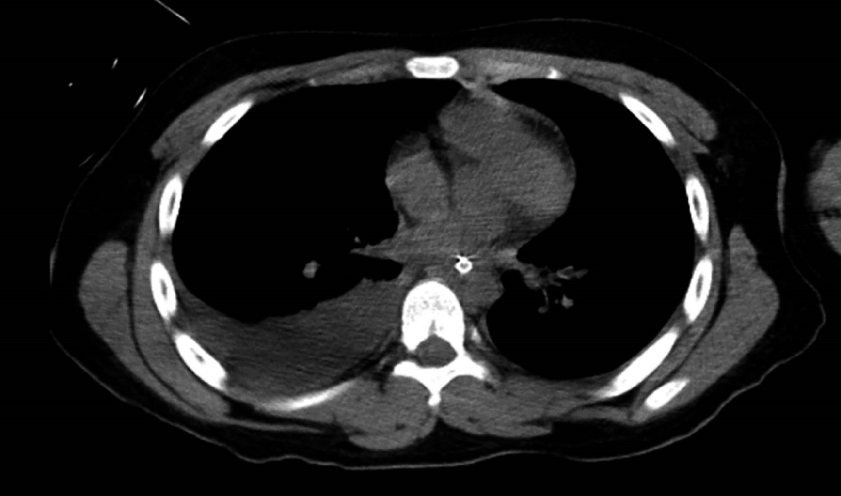
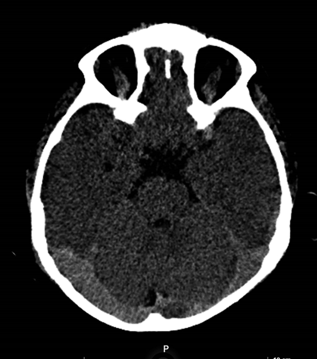
Tuvimos una defunción, correspondió a un varón de seis años, previamente sano, nueve días previos con cuadro gripal, dolor abdominal, vómito, fiebre no cuantificada. Posteriormente presentó hematemesis y epistaxis; al presentar alteración del estado de alerta acudió a nuestro hospital, ingresando con Glasgow de 10, dolor abdominal intenso. Sus resultados de laboratorio se expresan en la Tabla 5. En la tomografía pulmonar se aprecia derrame pleural (Figura 1) y en la tomografía craneal hemorragia subaracnoidea en región occipital (Figura 2). El paciente presentó paro cardiorrespiratorio, recibió maniobras de reanimación avanzada; sin embargo, falleció.

Reportamos otro paciente con DCSA presentó derrame pleural bilateral, trombocitopenia de 26,000, leucopenia de 3,400 y ultrasonido abdominal con reporte de ascitis. Tuvo evolución favorable, no requirió traslado a siguiente nivel de atención y fue de alta de nuestro hospital.

Por la presencia de probable evolución a DG se realizó el traslado oportuno de ocho pacientes a tercer nivel de atención (UMAE No. 48, León, Guanajuato). Los ocho tuvieron recuperación de la enfermedad.



DISCUSIóN

De acuerdo con la OMS, en las últimas décadas se ha incrementado la incidencia del dengue en el mundo, representando una de las mayores problemáticas de salud pública, ya que, según datos reportados, hay entre 50 y 100 millones de infecciones al año y miles de muertes en más de 100 países con unos dos mil quinientos millones de personas en riesgo (más del 40% de la población mundial). El número de casos de dengue notificados en todo el mundo alcanzó su punto máximo en 2019. En la región de las Américas, durante el año 2022, se notificaron 2'811,433 casos de dengue superado por 2016 y 2019.2

En el estado de Guanajuato, Irapuato fue el principal municipio con casos de dengue en el 2023. Se confirmaron 243 casos, de los cuales 161 fueron DNG y 82 DCSA + DG, reportándose los serotipos 1, 2 y 3 y con la defunción de dos pacientes pediátricos de seis y ocho años, uno de los cuales es registrado en este hospital (Fuente: SINAVE/DGE/SALUD).

El cambio climático hoy en día se considera el principal riesgo para la salud de los seres humanos; las condiciones de calor, humedad, lluvias e inestabilidad del medio ambiente permiten la perfecta condición para la presencia del mosco.

Los signos y síntomas en este estudio son los más reportados a nivel mundial. El estudio epidemiológico es el pilar fundamental para la investigación de caso, es fundamental conocer la situación epidemiológica del sitio geográfico en cuestión, con la finalidad de dar un tratamiento oportuno en niños con dengue con datos de alarma y prevenir la mortalidad.

De acuerdo con la OMS y la Organización Panamericana de la Salud (OPS) debemos tomar en cuenta los factores de riesgo para sufrir una enfermedad y de esta manera lograremos la prevención. La dinámica de transmisión del virus del dengue depende de interacciones entre el ambiente, el agente, la población de huéspedes y el vector, los que coexisten en un hábitat específico. La magnitud de tales interacciones definirá la transmisión del dengue en una comunidad o país. De los macrofactores determinantes podemos mencionar ambientales (latitud, altitud, temperatura, humedad) y sociales (densidad de población, patrones de asentamiento, viviendas, aprovisionamiento de agua, recolección de desechos sólidos, estado socioeconómico, creencias y conocimientos sobre el dengue). Y de los microfactores son los factores individuales del huésped (sexo, edad, inmunidad, condiciones de salud, ocupación), factores del agente, factores del vector (abundancia y focos de proliferación de mosquitos, densidad de hembras adultas, edad de las hembras, frecuencia de alimentación, preferencia de huéspedes, disponibilidad de huéspedes, etcétera).5,16

De acuerdo con Vargas-Navarro y colaboradores, el principal obstáculo para erradicar el dengue ha sido el no disminuir la presencia del vector que lo transmite, esto reforzado con ausencia de abastecimiento de agua potable, el uso de cilindros y tanques destapados y la recolección deficiente de desechos sólidos. Para finalizar, un factor adicional, quizá el más importante, es la falta de participación comunitaria autogestora en los programas preventivos oficiales que hablen del vector, sus criaderos y la enfermedad. Necesariamente se debe involucrar a la comunidad en casos de epidemias, con educación para la salud, distribución masiva de materiales impresos, campañas de radio y televisión. El control efectivo de criaderos del mosquito incluye el saneamiento ambiental, la participación social, la comunicación y educación en salud y el control químico y biológico.17



CONCLUSIONES

Es el primer año en toda la historia del municipio de Irapuato y de nuestro hospital que tenemos un aumento alarmante de ingresos de niños con diagnostico presuntivo de dengue, de tal manera que es nuestra primera experiencia en el diagnóstico y manejo de éste. Nos apegamos a la GPC "Clasificación, Diagnóstico y Tratamiento Integral del DENGUE, SS-151-08" y a las recomendaciones del CONAVE, así como a los documentos oficiales publicados por organismos internacionales como OPS y OMS, y a lo publicado en literatura nacional e internacional para el manejo terapéutico.

En todos los casos debemos aplicar las definiciones operacionales de caso probable para establecer el diagnóstico inicial, elaborando el "Estudio Epidemiológico de Enfermedades Transmitidas por Vector", así como notificar todos los casos probables; los casos de DNG se deben registrar en las primeras 72 horas y para los casos de DGSA durante las primeras 24 horas en la Plataforma de Enfermedades Transmitidas por Vector del SINAVE (https://vectores.sinave.gob.mx/).Tuvimos dos pacientes que cumplieron la definición de dengue grave, un sobreviviente que tuvo traslado y atención en tercer nivel (UMAE No. 48) y un niño de seis años quien falleció a las pocas horas de llegar al cuarto de choque de nuestra unidad; es la primera vez que, en la historia de nuestro hospital (49 años), reportamos una muerte de dengue confirmada con DNV-3 en un menor.

Así mismo aprendimos y reflexionamos de la importancia obligada del aviso epidemiológico oportuno, de la calidad y envío de la toma de la muestra para poder confirmar los casos. Una de las tomas de muestra para RT-PCR fue a destiempo siete días después del inicio del padecimiento actual, la cual se reportó negativa (contaba con IgM positiva). Nos rechazaron tres muestras por falta de cumplimento en la calidad del envío y por errores en el proceso administrativo; desafortunadamente, durante el proceso de atención hospitalaria entre el servicio de urgencias, hospitalización pediatría y laboratorio, cinco muestras fueros extraviadas, de tal manera que el proceso de atención desde el servicio de urgencias deberá ser reevaluado en nuestra unidad, definiendo responsabilidades de cada uno de los que intervienen en la atención hospitalaria de los niños.


REFERENCIAS (EN ESTE ARTÍCULO)

  1. CENETEC. Clasificación, diagnóstico y tratamiento integral del dengue. Resumen de evidencias y recomendaciones: Guía de Práctica clínica. 2016.

  2. CONAVE; Aviso epidemiológico. 2023.

  3. Wong JM, Adams LE, Durbin AP et al. Dengue: a growing problem with new interventions. Pediatrics. 2022; 149 (6): e2021055522.

  4. Pavlicich V. Dengue: revisión y experiencia en pediatría. Arch Pediatr Urug. 2016; 87 (2): 143-156.

  5. Tafani R, Chiesa G, Caminati R, Gaspio N. Factores de riesgo y determinantes de la salud. Factores riesgo y Determ la salud. 2013; 17 (3): 53-68.

  6. Dehesa LE, Gutiérrez AAF. Dengue: actualidades y características epidemiológicas en México. Rev Med UAS. 2019; 9 (3): 159-170.

  7. Thomas SJ, Rothman AL, Srikiatkhachorn A, Kalayanarooj S. Dengue virus infection: clinical manifestations and diagnosis. UptoDate; 2023.

  8. Cobra C, Rigau JG, Kuno G, Vorndam V. Symptoms of dengue fever in relation to host immunologic response and virus serotype, Puerto Rico 1990-1991. Am J Epidemiol. 1995; 142 (11): 1204-1211.

  9. Alvarado, M; Ramírez, E; Paredes, S. et al. Caracterización clínica del dengue y variables predictoras de gravedad en pacientes pediátricos en un hospital de segundo nivel en Chilpancingo, Guerrero, México: serie de casos. Bol Med Hosp Infant Mex. 2016; 73 (4): 237-242.

  10. Cao XT, Ngo TN, Wills B et al. Evaluation of the World Health Organization standard tourniquet test and a modified tourniquet test in the diagnosis of dengue infection in Viet Nam. Trop Med Int Health. 2002; 7 (2): 125-132.

  11. Tayal A, Kabra SK, Lodha R. Management of dengue: an updated review. Indian J Pediatr. 2023; 90 (2): 168-177.

  12. Guzman MG, Harris E. Dengue. Lancet. 2015; 385 (9966): 453-465.

  13. Huits R, Soentjens P, Maniewski-Kelner U et al. Clinical utility of the nonstructural 1 antigen rapid diagnostic test in the management of dengue in returning travelers with fever. Open Forum Infect Dis. 2017; 4 (1): ofw273.

  14. Hunsperger EA, Muñoz-Jordán J, Beltrán M et al. Performance of dengue diagnostic tests in a single-specimen diagnostic algorithm. J Infect Dis. 2016; 214 (6): 836-844.

  15. Rodríguez-Salazar CA, Recalde-Reyesa DP, González MM et al. Manifestaciones clínicas y hallazgos de laboratorio de una serie de casos febriles agudos con diagnóstico presuntivo de infección por el virus dengue. Quindío (Colombia). Infectio. 2016; 20 (2): 84-92.

  16. OPS. Dengue y dengue hemorrágico en las Américas. Guías para su prevención y control. 1995.

  17. Vargas NA, Bustos VE, Salas CA et al. Infección por dengue, un problema de salud pública en México. JONNPR. 2021; 6 (2): 293-306.



AFILIACIONES

1 Hospital General de Zona No. 2 (HGZ/MF2). Irapuato, Guanajuato, México.

2 Infectóloga pediatra.

3 Médico residente, Pediatría R1.

4 Pediatra.

5 Coordinadora del Departamento de Pediatría.






Recibido: 26-09-2024. Aceptado: 07-10-2024.

Figura 1
Figura 2
Tabla 1
Tabla 2
Tabla 3
Tabla 4
Tabla 5

2020     |     www.medigraphic.com

Mi perfil

C?MO CITAR (Vancouver)

Rev Latin Infect Pediatr. 2024;37

ARTíCULOS SIMILARES

CARGANDO ...