medigraphic.com
ENGLISH

Revista Latinoamericana de Infectología Pediátrica

ISSN 2683-1678 (Impreso)
Órgano Oficial de la Sociedad
Latinoamericana de lnfectología Pediátrica.
Órgano de la Asociación Mexicana de
Infectología Pediátrica, A.C.
Órgano difusor de la Sociedad Española
de lnfectología
  • Mostrar índice
  • Números disponibles
  • Información
    • Información general        
    • Directorio
  • Publicar
    • Instrucciones para autores        
  • medigraphic.com
    • Inicio
    • Índice de revistas            
    • Registro / Acceso
  • Mi perfil

2024, Número 3

<< Anterior Siguiente >>

Rev Latin Infect Pediatr 2024; 37 (3)


Complicación por varicela en el niño sano

Hernández Zapata, Daniel1; Carmona Vargas, Ana Jocelyn2
Texto completo Cómo citar este artículo 10.35366/118338

DOI

DOI: 10.35366/118338
URL: https://dx.doi.org/10.35366/118338

Idioma: Español
Referencias bibliográficas: 0
Paginas: 125-126
Archivo PDF: 299.47 Kb.


PALABRAS CLAVE

Sin palabras Clave



Masculino de 14 años de edad, sin antecedente de hospitalizaciones, alergias o enfermedades crónicas. Hermano menor de cuatro años cursó hace dos semanas con varicela sin complicaciones. Inició su padecimiento seis días previo a su ingreso con fiebre de hasta 39 oC, de muy difícil control, a la que se agregan lesiones dérmicas muy pruriginosas. La madre inició tratamiento con ibuprofeno para control de la fiebre, sin mejoría y alcanzando los 40 oC al menos cada 12 horas. Veinticuatro horas previo a su ingreso, el paciente refiere dolor tipo opresivo en flanco izquierdo de intensidad 10/10, motivo por el que acudió al Servicio de Urgencias Pediátricas.

A la exploración física se recibe con frecuencia cardiaca 126 lpm, frecuencia respiratoria 18 rpm, tensión arterial 96/52 mmHg, temperatura 36.5 oC y saturación arterial de oxígeno (SatO2) 98%. Alerta, cooperador, facies álgicas, dermatosis caracterizada por máculas, pápulas, vesículas y costras en diferentes estadios, generalizada y con huellas de rascado, faringe ligeramente hiperémica, sin exudado, mucosas en regular estado de hidratación, aumento de volumen en flanco izquierdo de alrededor de 29 cm, ligero eritema e induración, dolor intenso a la palpación en la zona (Figura 1), pulsos distales aumentados en intensidad y con llenado capilar de un segundo. Posterior a dos cargas de soluciones cristaloides a 20 mL/kg, se inició infusión con norepinefrina a 0.12 μg/kg/min.

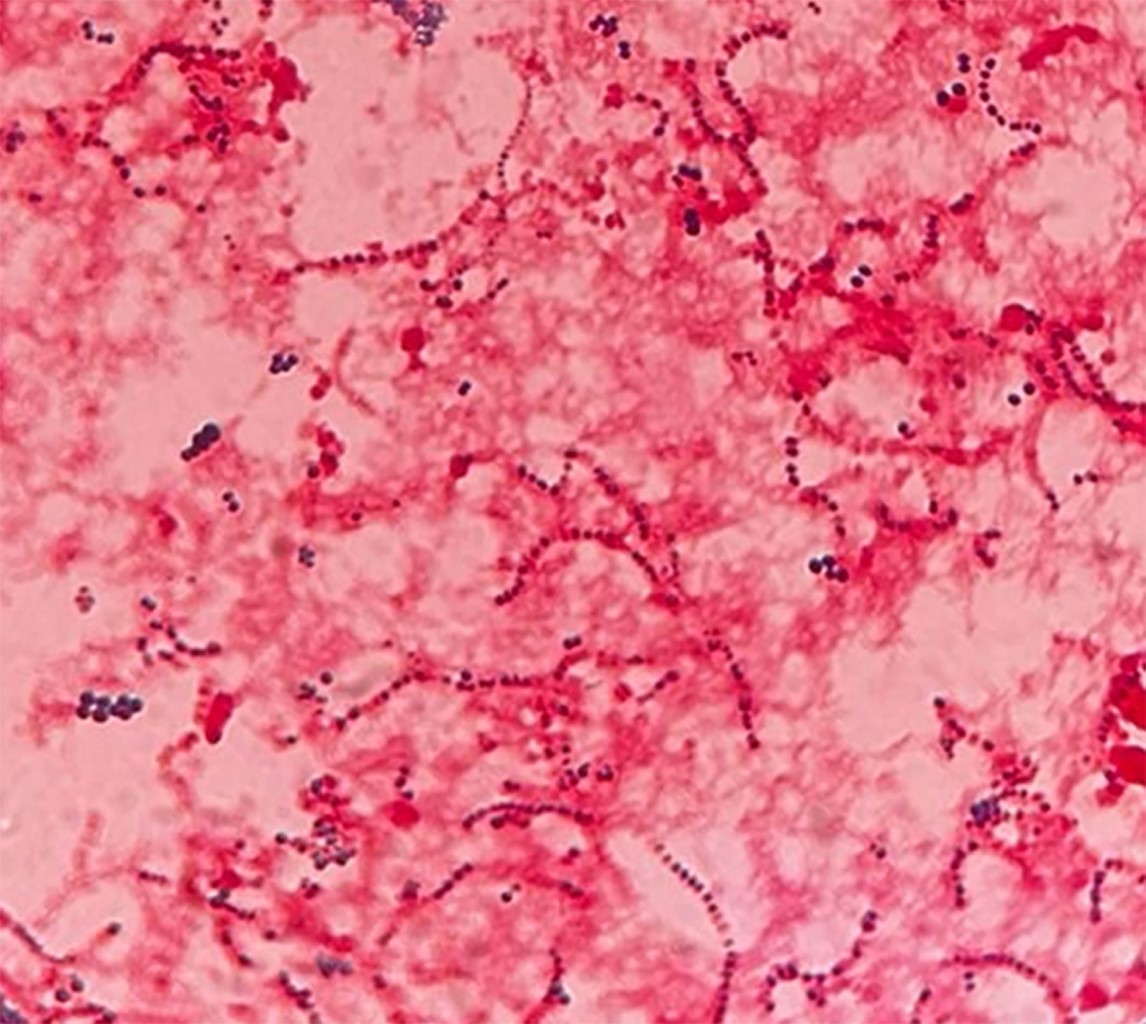
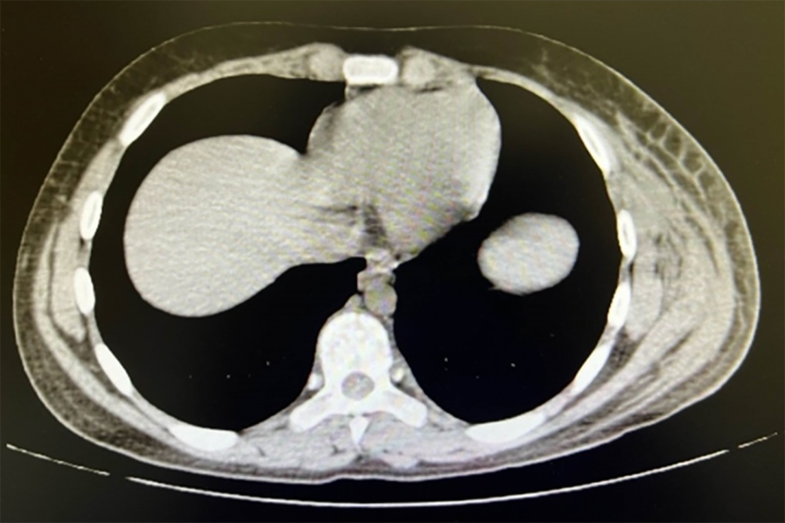
Se solicitan estudios de laboratorio al ingreso con biometría hemática que reporta hemoglobina 14.4 g/dL, hematocrito 43.1%, leucocitos 11,300 × 103 mm3, neutrófilos 10,200 × 103 mm3, linfocitos 600 × 103 mm3, monocitos 500 × 103 mm3, plaquetas 120,000 × 103 mm3, proteína C reactiva 44.2 mg/dL; pruebas de funcionamiento hepático con aspartato aminotransferasa 35 U/L, alanina aminotransferasa 39 U/L, bilirrubina total 1.4 mg/dL, creatinina 2.5 mg/dL, urea 113 mg/dL, glucosa 118 mg/dL. En la microscopia del hemocultivo periférico, con desarrollo a las 24 horas, se observaron dos colonias de cocos grampositivos en racimos y en cadenas (Figura 2). Tomografía de abdomen con aumento de volumen en tejido celular subcutáneo y aparente colección y/o hematoma a nivel de la pared anterolateral izquierda de abdomen (Figura 3).

Pregunta 1. ¿Cuál es la complicación más frecuente en pacientes con infección por varicela?

  • a) Ataxia cerebelosa
  • b) Neumonía
  • c) Sobreinfección bacteriana de lesiones
  • d) Síndrome de Reye

Pregunta 2. ¿Qué agente etiológico esperaría encontrar como causante de esta complicación?

  • a) Staphylococcus epidermidis
  • b) Streptococcus pyogenes
  • c) Streptococcus pneumoniae
  • d) Escherichia coli

Pregunta 3. ¿Qué antibiótico utilizaría para cubrir esta complicación?

    • a) Cefalotina
    • b) Ertapenem
    • c) Valganciclovir
    • d) Vancomicina

    Pregunta 4. ¿Cuál de los siguientes antimicrobianos usaría por su efecto antitoxinas?

    • a) Ceftriaxona
    • b) Metronidazol
    • c) Vancomicina
    • d) Clindamicina

    Ver respuesta al caso clínico: ¿Cuál es su diagnóstico?

    https://dx.doi.org/10.35366/118342




    AFILIACIONES

    1 Intensivista pediatra. Médico adscrito del Hospital del Niño y la Mujer "Dr. Alberto López Hermosa". San Luis Potosí, México.

    2 Infectóloga pediatra. Responsable de Infectología del Hospital del Niño y la Mujer "Dr. Alberto López Hermosa". San Luis Potosí, México.



    CORRESPONDENCIA

    Dra. Ana Jocelyn Carmona Vargas. E-mail: jocelyncv@gmail.com




    Recibido: 14-06-2024. Aceptado: 28-06-2024.
  • Figura 1
    Figura 2
    Figura 3

    2020     |     www.medigraphic.com

    Mi perfil

    C?MO CITAR (Vancouver)

    Rev Latin Infect Pediatr. 2024;37

    ARTíCULOS SIMILARES

    CARGANDO ...