medigraphic.com
ENGLISH

Latin American Journal of Oral and Maxillofacial Surgery

ISSN 2992-7757 (Digital)
Órgano de difusión de la Asociación Latinoamericana de Cirugía y Traumatología Bucomaxilofacial (ALACIBU)
  • Mostrar índice
  • Números disponibles
  • Información
    • Información general        
    • Directorio
  • Publicar
    • Instrucciones para autores        
  • medigraphic.com
    • Inicio
    • Índice de revistas            
    • Registro / Acceso
  • Mi perfil

2024, Número 3

<< Anterior Siguiente >>

Lat Am J Oral Maxillofac Surg 2024; 4 (3)


Calidad de las radiografías panorámicas realizadas en la Fundación Hospital Ortopédico Infantil en el periodo abril 2022-julio 2023

Barrios-Rodríguez, Víctor1; Cano-Mendoza, Adrimar2; Panico, Virginia3; Lorenzo-Lara, Keira Nathalia4; Manresa B, Carlos5; Tovar-Flores, Janiouska Lorena6
Texto completo Cómo citar este artículo 10.35366/118370

DOI

DOI: 10.35366/118370
URL: https://dx.doi.org/10.35366/118370
Artículos similares

Idioma: Español
Referencias bibliográficas: 13
Paginas: 99-106
Archivo PDF: 442.88 Kb.


PALABRAS CLAVE

radiografía panorámica, control de calidad, imágenes fantasmas.

RESUMEN

Objetivo: analizar la calidad de las radiografías panorámicas realizadas en el servicio de radiología de la Fundación Hospital Ortopédico Infantil (FHOI) en el periodo comprendido entre abril de 2022 a julio de 2023. Material y métodos: estudio transversal con una población de 2,222 radiografías panorámicas, de las cuales se seleccionaron 332, tomadas con el equipo PAX 400 entre abril de 2022 y julio de 2023 en la FHOI de Caracas, Venezuela. Cada radiografía fue revisada por cuatro investigadores calibrados (κ = 0.95) bajo condiciones estandarizadas. Se evaluaron errores relacionados con posicionamiento, movimiento, presencia de imágenes fantasmas y errores técnicos. Las radiografías se categorizaron como excelentes, aceptables o inaceptables. Se realizó un análisis estadístico utilizando la prueba no paramétrica de Q de Cochran y el coeficiente de Tau-b de Kendall. Se obtuvo la aprobación bioética del hospital. Resultados: el error más prevalente fue la lengua no pegada en el paladar con 85%, seguido por presencia de imágenes fantasmas en 72%. Sesenta y nueve por ciento de las radiografías fueron calificadas como inaceptables, 31% aceptables para diagnóstico y ninguna como excelente. Los errores que contribuyeron en mayor medida a que las imágenes fueran inaceptables fueron el mentón posicionado hacia arriba, paciente demasiado hacia atrás del pasillo focal e imágenes fantasmas; encontrándose correlaciones de hasta 0.329 entre las variables. El porcentaje de radiografías inaceptables aumentó a medida que aumentaban la cantidad de errores en una misma radiografía. No obstante, se halló un 23% de radiografías aceptables en panorámicas aun presentando cuatro errores al mismo tiempo. Conclusión: la mayoría de los errores en la radiografía panorámica se deben a fallas en el posicionamiento de los pacientes, por lo que se sugiere mayor entrenamiento de los técnicos radiólogos. El acúmulo de varios errores en una sola radiografía la hacen más propensa a ser inaceptable. Sin embargo, el tipo y la magnitud del error podrían ser más importantes que la cantidad para determinar la calidad de una radiografía panorámica.



INTRODUCCIóN

La radiografía panorámica es un examen dental que utiliza rayos X y captura imágenes de la boca en una sola toma mediante la combinación de la radiografía de haz de hendidura y los principios de la tomografía. Incluye la visualización de los dientes, maxilar y mandíbula, otras estructuras anatómicas y tejidos circundantes.1,2 El valor diagnóstico de cualquier procedimiento depende de la cantidad de información obtenida por su utilización, en la radiografía panorámica hay numerosos factores pertinentes a la propia radiografía que pueden reducir su calidad diagnóstica, el principal factor es la colocación inadecuada del paciente en el equipo.3 Por lo tanto, la calidad de la imagen depende de la confluencia positiva de elementos como la ubicación del paciente, funcionamiento, calibración y mantenimiento del equipo radiográfico, indicaciones y experiencia por parte del operador, entre otras.

La radiografía panorámica es una herramienta fundamental en el diagnóstico y seguimiento de afecciones bucodentales en los pacientes, la calidad de éstas es esencial para un diagnóstico preciso y un tratamiento efectivo.2,3 La identificación de errores en la toma de estas imágenes permite mejorar la atención que se brinda a los pacientes y garantiza un correcto tratamiento. Además, permite extender la vida útil de los equipos al evitar repetir las radiografías y a su vez reducir la exposición innecesaria a la radiación ionizante para el paciente. Durante la consulta en el servicio de odontología en el Hospital Ortopédico Infantil, los investigadores notaron la dificultad para poder evaluar de manera correcta las panorámicas, por lo que el propósito de la presente investigación fue evaluar la calidad de las mismas durante un periodo de un año.



MATERIAL Y MéTODOS

Se realizó un estudio de tipo descriptivo y transversal. Se analizaron 2,222 panorámicas tomadas entre abril de 2022 y julio de 2023 en el servicio de imagenología del Hospital Ortopédico Infantil en Caracas, Venezuela. Se incluyeron todos los pacientes con dentición primaria, mixta y permanente que se encontraban entre los cinco y los 86 años, divididos en grupos etarios: infantiles (0-12 años), adolescentes (13-18 años), jóvenes (19-26 años), adultos (27-59 años) y ancianos (mayores de 60 años) (Tabla 1); se excluyeron del estudio 160 radiografías de pacientes con imposibilidad de morder la guía de mordida del equipo panorámico. El resto de las radiografías (2,062) se incluyeron en el estudio.

Todas las proyecciones se realizaron con el mismo equipo panorámico (Digital Panoramic X-ray system PAX 400), el cual recibió mantenimiento cada dos meses y cuenta con un espacio focal de 0.5 × 0.5 mm, opera con un voltaje de 50-100 kV y de 1-22 mA, ajustables de forma semiautomática al elegir entre pacientes masculinos o femeninos; adultos o niños y pacientes con densidad de hueso elevada, normal o baja; además de la posibilidad de ajustarlos manualmente dependiendo de las necesidades específicas de cada paciente. Por otro lado, el tiempo de exposición de las panorámicas fue de 14 segundos en adultos y 11 segundos en niños. Todas las imágenes las tomaron cuatro trabajadores del servicio durante ese periodo de tiempo.

Luego de aplicar los criterios de inclusión y exclusión se procedió a realizar el cálculo del tamaño de la muestra, se establecieron como valores de nivel de confianza y error máximo admisible 99 y 6.50% respectivamente. La muestra fue definida en 332 radiografías panorámicas, por lo tanto, 99% de las veces el dato que se mide estará en el intervalo ± 0.5% respecto al dato que se observe en el estudio.

Para la selección de la muestra se realizó un tipo de muestreo aleatorio y probabilístico. Cada radiografía fue revisada en condiciones idénticas por cuatro investigadores, previamente calibrados por tres expertos en radiología maxilofacial (kappa = 0.95), quienes se agruparon en parejas y analizaron cada una de las 332 radiografías; es decir, que cada radiografía se evaluó un mínimo de dos veces.

Posteriormente, los resultados de ambos grupos fueron cotejados y las discrepancias resueltas por consenso. Se evaluaron errores de posición, movimiento, presencia de imágenes fantasmas y errores técnicos.

Para determinar la calidad de las radiografías tomadas se definieron los siguientes criterios:

  • 1. Excelentes: radiografías sin errores.

    • a. Mandíbula en forma de U.
    • b. Cóndilos en el tercio superior de la película y a 2.5 cm de los bordes laterales aproximadamente. No aplica para pacientes infantiles.
    • c. Plano oclusal con ligera curva hacia arriba.
    • d. Poca distorsión de las raíces de los dientes anteriores.
    • e. Magnificación simétrica a ambos lados de la línea media.

  • 2. Aceptables: panorámicas con uno o varios errores que no restan valor a su utilidad diagnóstica.
  • 3. Inaceptables o deficientes: uno o varios errores que restan valor diagnóstico a la radiografía, por lo cual debe ser repetida.

No se consideraron errores de procesamiento o de manipulación ya que las radiografías se tomaron desde un equipo de panorámica digital, donde las imágenes se observaron directamente en un monitor.



ANÁLISIS ESTADÍSTICOS

Para determinar si existen diferencias significativas entre las proporciones de variables independientes se utilizó la prueba no paramétrica de Q de Cochran. Posteriormente se aplicó el coeficiente de Tau-b de Kendall.



RESULTADOS

El error de posicionamiento más prevalente fue no colocar la lengua reposando en el paladar, presente en 85.54% de las radiografías, seguido de la presencia de imágenes fantasmas en 72.29% y labios abiertos en 52.11% (Tabla 2).

La presencia de labios abiertos y el movimiento del paciente, fue significativamente más prevalente en pacientes infantiles (0-2 años). Como se muestra en la Tabla 3, la guía de mordida no utilizada se evidenció en mayor cantidad en pacientes de la tercera edad (60 o más), mientras que el resto de los errores fue más prevalente en adultos (27-59 años).

Una vez analizados los errores, se pudo clasificar a las radiografías por su calidad, en ese sentido 69% fueron catalogadas como inaceptables, 31% como aceptables y ninguna pudo ser clasificada como excelente.

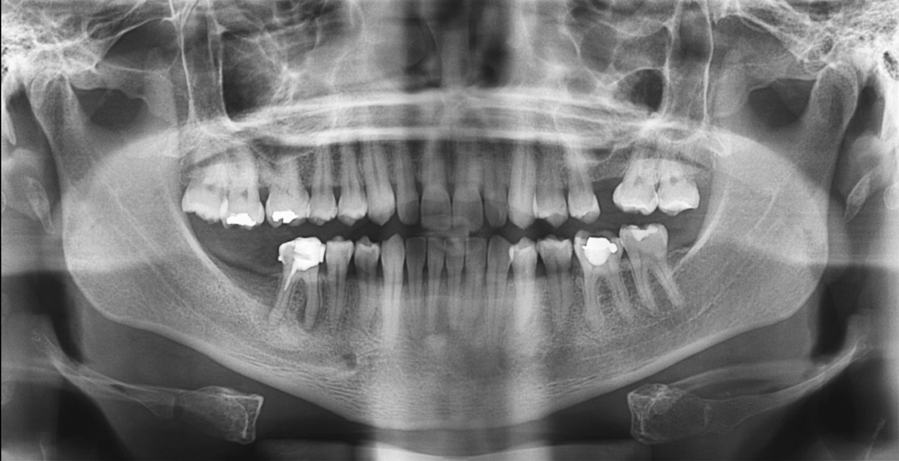
Por otra parte, al correlacionar las variables se encontró que hay variables que contribuyen en mayor proporción a la clasificación de una radiografía como deficiente, tales como: mentón hacia arriba, paciente demasiado hacia atrás e imágenes fantasmas, como se aprecia en el Figura 1.

A su vez se pueden observar estrechas correlaciones positivas y negativas entre varias variables, al medirlas (Tabla 4) se destaca que aumenta la frecuencia de aparición de las imágenes fantasmas si el paciente se posiciona por atrás del pasillo focal r = 0.21; si presenta el error de mentón posicionado hacia arriba r = 0.201 y a medida que la edad aumenta r = 0.329. De igual modo se observó cómo se reducía la frecuencia de aparición de las imágenes fantasmas a medida que el paciente no se encontraba erguido r = -0.295 y se encontraba por delante del pasillo focal r = -0.215.

Mientras el paciente mantenía el mentón hacia arriba se observó una correlación positiva r = 0.173 con el paciente ubicado hacia atrás del pasillo focal y negativa al estar el paciente ubicado hacia atrás del pasillo focal r = -0.407.

Adicionalmente cuando el paciente se encontraba hacia atrás del pasillo focal había menos presencia del error del paciente girado r = -0.138 y del mentón hacia abajo r = -0.121.

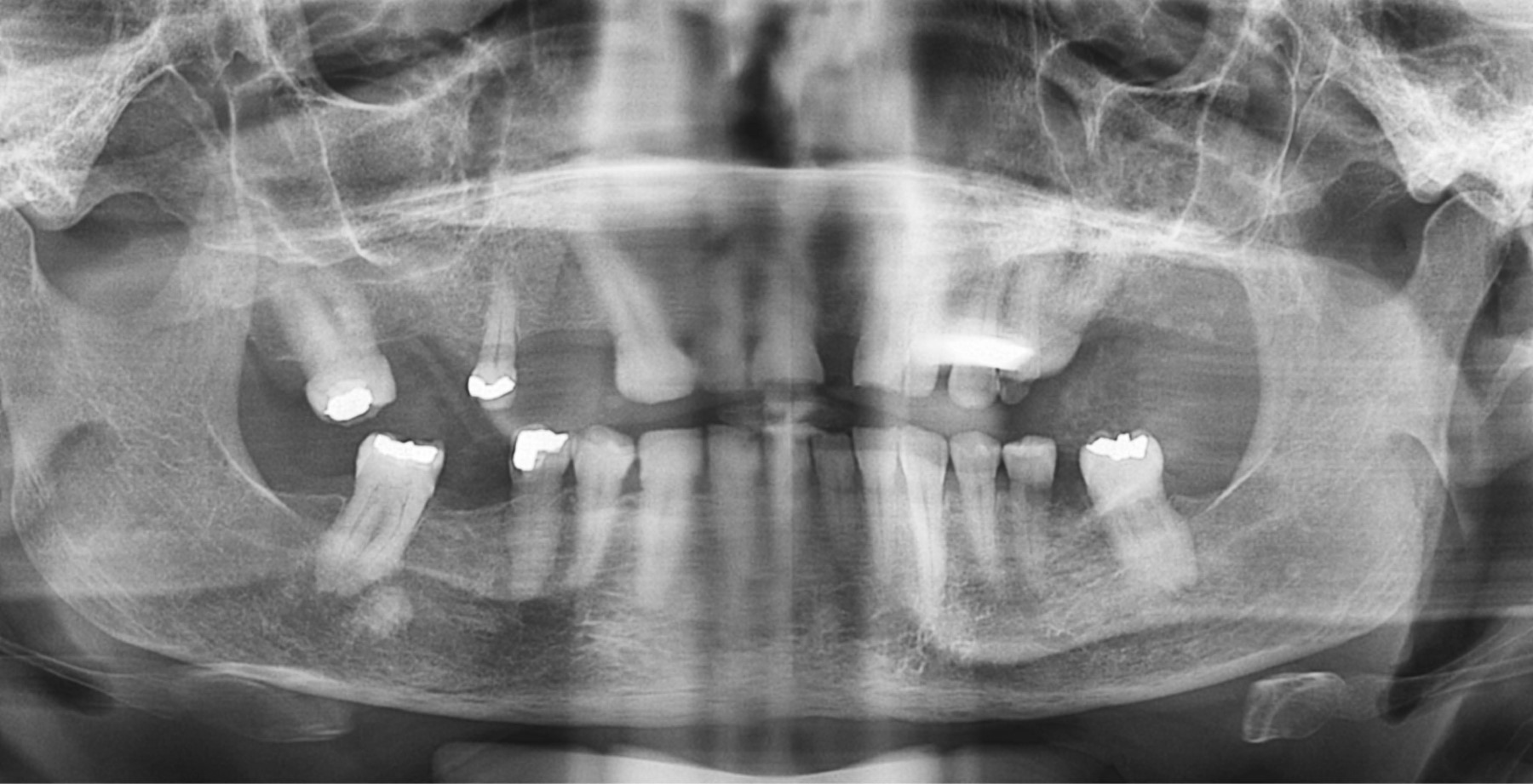
Podemos observar una estrecha correlación entre paciente hacia atrás e imagen fantasma, por lo que advertimos que ambas ocurren de manera repetida y simultánea r = 0.210 (Figura 2).

Se debe destacar que los diferentes tipos de errores no contribuyen de manera uniforme en la clasificación de una radiografía como aceptable o inaceptable para diagnóstico. Las variables que contribuyen principalmente a la clasificación de una radiografía como inaceptable son: mentón hacia arriba, imagen fantasma, mentón hacia abajo, paciente hacia atrás y hacia adelante, como se puede constatar en la Figura 3.

Cuando comparamos la cantidad de errores y porcentaje de radiografías aceptables y deficientes, observamos que a medida que se suman errores a la radiografía éstas son más deficientes (Tabla 5). Sin embargo, existen radiografías aceptables incluso con cuatro y cinco errores (Figura 4), por lo que no se puede establecer una relación directa entre el número de errores y la calidad de las radiografías, a pesar de que al aumentar la cantidad de errores la radiografía tiende a tener mayor probabilidad de ser inaceptable, todos éstos podrían ser errores leves que no le resten valor diagnóstico al examen, por el contrario, se puede tener un único error muy marcado o de gran magnitud en una radiografía que la haga inaceptable al imposibilitar un correcto diagnóstico.



DISCUSIóN

El error más prevalente fue no colocar la lengua reposando en el paladar (85.54%), el hallazgo concuerda con otros estudios donde se evidenciaron resultados similares de 71.6,4 60.15 y 55.7%6 de las radiografías. De igual manera, Lingam y colaboradores7 obtuvieron que este error constituye un 17.90% del total de errores que estudiaron, siendo el más prevalente, seguido de la presencia de imágenes fantasmas (72.29%), las cuales estuvieron íntimamente relacionadas con otras variables como el paciente posicionado por atrás del pasillo focal, el mentón posicionado hacia arriba y el aumento en la edad del paciente. Hallazgo que contrasta con la mayoría de los estudios encontrados, donde este error apenas representa un pequeño porcentaje, como se evidencia en Lingam y colaboradores7 con 2.2% del total de errores que estudiaron y en Rushton y asociados4 con 9% de las radiografías.

Por otra parte, el error más infrecuente en este estudio fue la presencia de joyas con ningún caso, después la guía de mordida no utilizada y de paciente en movimiento. Es importante destacar que en el estudio de Peretz B y colegas5 se sigue este mismo patrón, presentando 0.7% guía de mordida no utilizada y 2.1% paciente en movimiento, por otra parte, determinaron que el paciente en movimiento es el error más infrecuente en sus estudios.4,6

Adicionalmente clasificó 69% de las panorámicas como inaceptables, lo que representa un valor muy por arriba del promedio descrito en una revisión sobre la tasa de rechazo de imágenes radiográficas en radiología dentomaxilofacial, en la cual las panorámicas rechazadas representaron 4.10% con un rango que osciló entre 2.89 y 11.65% en esta revisión sistemática.8 Otros estudios similares al presente mostraron un mayor porcentaje de radiografías clasificadas como inaceptables, con 36.7,9 24.96 y 15.08%.7

Es de relevancia mencionar que no todos los estudios usaron el mismo criterio para determinar la calidad de las radiografías y eso dificulta su comparación. Además, al no existir ningún patrón para la calibración en este tópico, el análisis de las variables se hace más subjetivo porque depende de la opinión del investigador; esto es demostrable inclusive sin la comparación entre estudios, pues hay investigaciones en donde hay márgenes de diferencia de más de 12% entre observadores al clasificar las panorámicas.10,11

Incluso hay autores que utilizaron términos diferentes a excelente, aceptable e inaceptable para expresar la calidad; quienes establecieron criterios para categorizar una radiografía como no diagnóstica, que incluían parámetros más estrictos de calidad, como la incapacidad de visualizar los dientes y el ligamento periodontal, la imposibilidad de descartar patologías mediante la radiografía y la necesidad de realizar otras radiografías, especialmente intraorales, para obtener información adicional para clasificar a la radiografía como no diagnóstica.5 En ese mismo estudio se estableció que 92.9 y 72.7% de las panorámicas eran no diagnósticas en pacientes con dentición mixta y permanente, respectivamente.

Fue interesante observar como a medida que se sumaban errores a la radiografía, éstas eran cada vez más deficientes. Sin embargo, no se puede establecer una relación directa entre el número de errores y la calidad de las radiografías, pues a pesar de que al aumentar la cantidad de errores la radiografía tiende a tener mayor probabilidad de ser inaceptable, todos éstos podrían ser errores leves que no le resten valor diagnóstico al examen, por el contrario, podemos tener un único error muy marcado o de gran magnitud en una radiografía que la haga inaceptable al imposibilitar un correcto diagnóstico; a diferencia de otros autores quienes únicamente tomaron en cuenta el número de errores y no el tipo o magnitud, pues consideraron aceptables desde el punto de vista diagnóstico aquellas radiografías que presentaban un máximo de dos errores, mientras que aquellas que presentaban más de dos errores se consideraron inaceptables.10

Un estudio realizado por Yagiz y Ünsal12 en 2021, el cual usa el mismo equipo que el de la presente investigación (Digital Panoramic X-ray system PAX 400), muestra en un reporte de caso las mismas imágenes fantasmas de molares que se observaron en este estudio, descartando un diagnóstico errado de un molar impactado en el seno maxilar, al tratarse de una imagen fantasma tras confirmar con una tomografía computarizada de haz cónico. Demostrando que no siempre es evidente las diferencias entre imágenes reales y fantasmas de molares,12 pues a medida que se desarrollan nuevas tecnologías, los receptores mejoran y la resolución de las imágenes de ortopantomografía aumenta, pudiendo ocasionar que las imágenes fantasmas presenten bordes más definidos y menor distorsión. La alta prevalencia de imágenes fantasmas parece estar relacionada con la malposición de los pacientes, en particular con el del paciente hacia atrás por alguna característica específica del equipo Digital Panoramic X-ray system PAX 400, que hace más frecuente dicho error.

La presencia tan diversa de errores puede deberse a que dependen de múltiples factores, entre ellos los relacionados con las capacidades del operador para posicionar correctamente a los pacientes dentro del equipo,4 las características físicas del paciente, si éste presenta una asimetría facial, la incapacidad de seguir las instrucciones, entre otros.13 Es por eso por lo que cabe la posibilidad de que en cada lugar los errores en los estudios imagenológicos sean distintos.



CONCLUSIONES

La mayoría de los errores en la radiografía panorámica se deben a fallas en el posicionamiento de los pacientes al momento de realizar el estudio imagenológico, por lo que se sugiere mayor entrenamiento de los profesionales encargados de la toma de radiografías.

El acúmulo de varios errores en una sola radiografía la hacen más propensa a ser inaceptable, sin embargo, no hay una relación directa entre el número de errores y su calidad, ya que la presencia de un solo error o unos pocos de gran impacto o magnitud que imposibiliten un correcto diagnóstico, clasifica a la radiografía como inaceptable, aportándole no sólo importancia a la cantidad de errores sino a sus características.

Los errores que contribuyen principalmente a la clasificación de una radiografía como inaceptable son: mentón hacia arriba, imagen fantasma, mentón hacia abajo, paciente hacia atrás y hacia adelante.


REFERENCIAS (EN ESTE ARTÍCULO)

  1. García M, Morales A, Perla K, Rodríguez M. Radiografía panorámica convencional y digital. Revisión de la literatura [tesis doctoral]. El Salvador; Universidad de El Salvador; 2003. Disponible en: https://ri.ues.edu.sv/id/eprint/7948/1/17100206.pdf

  2. Fuentes R, Arias A, Borie-Echevarría E. Radiografía panorámica: una herramienta invaluable para el estudio del componente óseo y dental del territorio maxilofacial. Int J Morphol [Internet]. 2021; 39 (1): 268-273. Disponible en: http://www.scielo.cl/scielo.php?script=sci_arttext&pid=S0717-95022021000100268&lng=es. http://dx.doi.org/10.4067/S0717-95022021000100268

  3. Martinez ME, Martinez BAM, Bruno IG. Radiografía panorámica en la práctica den- tal: alcances y limitaciones [Internet]. RAAO [Internet]. 2008; 47 (2): 18-21. Disponible en: https://www.ateneo-odontologia.org.ar/articulos/xlvii02/articulo2.pdf

  4. Frederiksen NL, Benson BW, Sokolowski TW. Effective dose and risk assessment from film tomography used for dental implant diagnostics. Dentomaxillofac Radiol. 1994; 23 (3): 123-127. doi: 10.1259/dmfr.23.3.7835511.

  5. Peretz B, Gotler M, Kaffe I. Common errors in digital panoramic radiographs of patients with mixed dentition and patients with permanent dentition. Int J Dent. 2012; 2012: 584138. doi: 10.1155/2012/584138.

  6. Dhillon M, Raju SM, Verma S, Tomar D, Mohan RS, Lakhanpal M, et al. Positioning errors and quality assessment in panoramic radiography. Imaging Sci Dent. 2012; 42 (4): 207-212. doi: 10.5624/isd.2012.42.4.207.

  7. Lingam AS, Koppolu P, Abdulsalam R, Reddy RL, Anwarullah A, Koppolu D. Assessment of common errors and subjective quality of digital panoramic radiographs in dental institution, Riyadh. Ann Afr Med. 2023; 22 (1): 49-54. doi: 10.4103/aam.aam_213_21.

  8. Yeung AWK, Wong NSM. Reject rates of radiographic images in dentomaxillofacial radiology: a literature review. Int J Environ Res Public Health. 2021; 18 (15): 8076. doi: 10.3390/ijerph18158076.

  9. Choi BR, Choi DH, Huh KH, Yi WJ, Heo MS, Choi SC, et al. Clinical image quality evaluation for panoramic radiography in Korean dental clinics. Imaging Sci Dent. 2012; 42 (3): 183-190. doi: 10.5624/isd.2012.42.3.183.

  10. Khator AM, Motwani MB, Choudhary AB. A study for determination of various positioning errors in digital panoramic radiography for evaluation of diagnostic image quality. Indian J Dent Res. 2017; 28 (6): 666-670. doi: 10.4103/ijdr.IJDR_781_16.

  11. McDavid WD, Langlais RP, Welander U, Morris CR. Real, double, and ghost images in rotational panoramic radiography. Dentomaxillofac Radiol. 1983; 12 (2): 122-128. doi: 10.1259/dmfr.1983.0020.

  12. Yagiz A, Ünsal G. Ghost image of an ectopic tooth in maxillary sinus: a diagnostic challenge. J Stomatol Oral Maxillofac Surg. 2021; 122 (1): 112-114. doi: 10.1016/j.jormas.2020.05.007.

  13. Rondon RH, Pereira YC, do Nascimento GC. Common positioning errors in panoramic radiography: A review. Imaging Sci Dent. 2014; 44 (1): 1-6. doi: 10.5624/isd.2014.44.1.1.



AFILIACIONES

1 Facultad de Odontología (FO), Universidad Central de Venezuela (UCV). ORCID: 0009-0000-7600-7549

2 FO, UCV. ORCID: 0009-0001-1709-9081

3 FO, UCV. ORCID: 0009-0003-7089-4214

4 FO, UCV. ORCID: 0009-0009-2064-2661

5 MSc, Especialista en Cirugía Maxilofacial, Hospital General del Oeste "Dr. José Gregorio Hernández". ORCID: 0009-0003-0190-9347

6 Especialista en Cirugía Bucal. FO, UCV. ORCID: 0009-0004-1235-3732



CORRESPONDENCIA

Carlos Manresa B. E-mail: manresa723@hotmail.com




Recibido: 31/07/2024. Aceptado: 23/08/2024.

Figura 1
Figura 2
Figura 3
Figura 4
Tabla 1
Tabla 2
Tabla 3
Tabla 4
Tabla 5

2020     |     www.medigraphic.com

Mi perfil

C?MO CITAR (Vancouver)

Lat Am J Oral Maxillofac Surg. 2024;4

ARTíCULOS SIMILARES

CARGANDO ...