medigraphic.com
ENGLISH

Revista Mexicana de Periodontología

ISSN 2007-4360 (Impreso)
Asociación Mexicana de Periodontología, Colegio de Periodoncistas A.C
  • Mostrar índice
  • Números disponibles
  • Información
    • Información general        
    • Directorio
  • Publicar
    • Instrucciones para autores        
  • medigraphic.com
    • Inicio
    • Índice de revistas            
    • Registro / Acceso
  • Mi perfil

2023, Número 1-3

<< Anterior

Rev Mex Periodontol 2023; 14 (1-3)


Técnica de extrusión forzada rápida para el tratamiento de fracturas dentales: reporte de caso

Silva Rojas, Alejandra S1; Gómez Thomas, David1; Montemayor Martínez, Raúl1
Texto completo Cómo citar este artículo 10.35366/118775

DOI

DOI: 10.35366/118775
URL: https://dx.doi.org/10.35366/118775
Artículos similares

Idioma: Español
Referencias bibliográficas: 17
Paginas: 28-32
Archivo PDF: 335.21 Kb.


PALABRAS CLAVE

extrusión forzada, traumatismo dental, fractura dental, alargamiento de corona estético.

RESUMEN

La pérdida prematura de órganos dentarios puede ser por distintos factores: caries dental, enfermedad periodontal y/o traumatismos. Las fracturas dentales son una de las complicaciones más comunes relacionadas a traumatismos y éstas pueden llegar a comprometer la supervivencia del órgano dentario afectado. Se ha descrito que la extrusión forzada es una de las alternativas más conservadoras cuando buscamos evitar la extracción dental, sin embargo, ésta puede llegar a ser muy tardada cuando se realiza con técnicas convencionales de ortodoncia. El objetivo del presente reporte es describir la técnica de extrusión forzada rápida basada en evidencia donde el resultado final se logra obtener en seis semanas.



INTRODUCCIóN

La fractura dental es una de las condiciones más frecuentes relacionada a traumatismos, existen distintos tipos de tratamientos, sin embargo, estos se encuentran condicionados al tipo de fractura.

Las fracturas de tejidos dentales y pulpa se clasifican en tres grupos. En el primero la fractura es incompleta y afecta únicamente al esmalte del diente, en el segundo grupo la fractura afecta al esmalte y dentina de la corona, mientras que en el tercer grupo la fractura afecta al esmalte, dentina y existe exposición de tejido pulpar.1

En general, las fracturas podemos tratarlas por tres medios: 1) exodoncia y restauración protésica, 2) alargamiento quirúrgico de la corona y 3) extrusión ortodóncica; sin embargo, el tratamiento va a depender del objetivo al que se pretenda llegar. En este sentido la extrusión ha demostrado ser una excelente alternativa cuando se busca un tratamiento conservador y preservar el órgano dentario afectado.2

La extrusión es el movimiento ortodóncico en sentido coronal del diente donde se aplican fuerzas continuas y ligeras con el objetivo de obtener una mayor cantidad de sustancia dentaria. Con este movimiento se puede obtener desde 2 a 7 mm de extrusión y puede realizarse mediante técnica rápida o lenta según sea el objetivo que se desee.3-6

La técnica rápida consiste en ejercer fuerzas de tracción continuas en un periodo de tiempo corto, por lo general suele acompañarse de fibrotomías para evitar la tracción del complejo alveolodentario; no obstante, en algunas ocasiones, se puede prescindir de las fibrotomías cuando se pretende realizar alargamiento de corona quirúrgico al final de la extrusión.2



DESCRIPCIÓN DE LA TÉCNICA RÁPIDA

La gran ventaja de esta técnica es que se puede evitar el uso de aparatología convencional de ortodoncia, utilizando un alambre #36 anclado en los dientes adyacentes, y generando la tracción por medio de otro alambre de ortodoncia #36 con un loop cementado en el conducto del órgano dentario tratado de manera previa endodóncicamente.2,3,5 La tracción se lleva a cabo mediante un elástico de ortodoncia, el cual se debe cambiar cada semana hasta lograr la extrusión deseada para obtener un correcto efecto abrazadera.

Una vez obtenido el resultado deseado de la extrusión, debe ir seguida de un periodo de retención (cuatro semanas por cada milímetro extruido), para hacer posible la remodelación y adaptación de los tejidos periodontales a la nueva posición del diente.2,7

El objetivo de este reporte de caso es detallar la técnica de extrusión forzada rápida, fundamentada en evidencia científica, la cual permite alcanzar resultados óptimos en un periodo de seis semanas. Esta metodología, respaldada por estudios recientes, ha demostrado ser eficaz para lograr extrusión dental en un tiempo significativamente reducido, lo que proporciona ventajas tanto para los profesionales de la odontología como para los pacientes, al minimizar el tiempo de tratamiento y mejorar la eficiencia del proceso clínico.



PRESENTACIóN DEL CASO

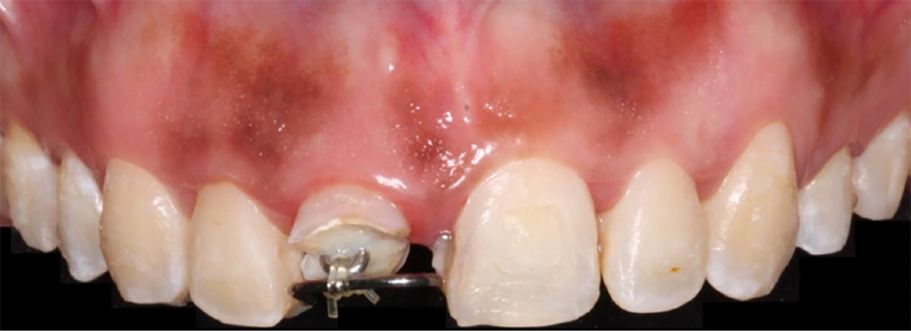
Paciente femenino de 26 años de edad, ASA I, acude a la clínica de la Universidad AME (especialidad en periodoncia) con motivo de consulta "Quiero una solución para mi diente". Como resultado de la exploración intraoral presenta fractura coronal del órgano 1.1, observándose como resto radicular, y pigmentación melánica fisiológica en la mucosa del área anterosuperior. En la examinación periodontal muestra un ancho de encía queratinizada de 5 a 8 mm, profundidades al sondeo de 1 a 2 mm, no se observa pérdida de inserción clínica. Radiográficamente se observa una raíz larga del órgano dental 1.1 con un área radiopaca en el interior correspondiente a un tratamiento de conductos previo (Figura 1). El diagnóstico periodontal es enfermedad gingival no inducida por biopelícula causada por lesión traumática y pigmentación gingival de etiología fisiológica, con un pronóstico bueno en los órganos 13, 12, 21, 22, 23 y sin esperanza en 1.1.8

Una vez analizado el caso, se decide realizar la técnica de extrusión forzada rápida del órgano dental 1.1. Se realizó raspado coronal e instalación de la aparatología, la cual está constituida por un alambre de ortodoncia #36 adaptado y cementado con resina por caras linguales de piezas 1.3, 1.2, 1.1, 2.1 y 1.2, además de la formación de un loop del mismo alambre y cementado de manera provisional en el interior del conducto. Adicionalmente, se colocó cadenas elastoméricas de segunda generación del loop hacia el alambre en área de pieza 1 (Figura 2).

Una vez concluido este proceso, se realizó el cambio de cadenas elastoméricas de segunda generación con un periodo semanal. Al cumplir la tercera semana, se observó el contacto del loop con el alambre de ortodoncia, cumpliendo con el objetivo de los 3 mm de extrusión necesarios (Figura 3). Se tomó una radiografía de control donde se pudo constatar la migración en sentido coronal de dicho órgano dentario (Figura 4).

Se procedió a realizar el alargamiento de corona estético de la pieza 1.3 a 2.3, con técnica de Flapless dejando 3 mm de la unión amelocementaria a la cresta y concluir finalmente con la colocación de la resina del diente al alambre para continuar con el periodo de retención (Figura 5).9

Se efectuaron citas de control posteriores al presente procedimiento. Una vez transcurrida la primera semana se descartó presencia de signos de infección o inflamación y se refirió al departamento de restauradora para la colocación del núcleo y provisional (Figura 6). A los siete meses, se tomó una radiografía periapical y se comparó radiografías del proceso de antes, durante (a las tres semanas) y después (a los siete meses). Se observó la aposición o formación del tejido óseo en el área del ápice (Figura 7).



DISCUSIóN

La extrusión dental es un tratamiento conservador, no implica pérdida del soporte periodontal y requiere movimientos relativamente simples. Debido a que el tejido óseo está en constante remodelación, existe reabsorción y aposición ósea en el alveolo. Cuando las fuerzas extrusivas en ortodoncia aplican tensión en el ligamento periodontal, las fibras que lo constituyen se alargan y los osteoblastos son atraídos a depositar osteoide donde hay inserción periodontal. En el proceso de la extrusión dentaria con fuerzas continuas, el hueso y la encía migran coronalmente.10-12

Por lo regular, las fuerzas que se utilizan para movimientos de extrusión son de baja intensidad. Cuando se produce mayor fuerza, como en la extrusión rápida, la migración de los tejidos periodontales es menor y no alcanzan una adaptación fisiológica;8,10,13 por tal motivo, primero se presenta como tejido inmaduro no queratinizado "mancha roja" y luego como tejido queratinizado. Este proceso de queratinización requiere de 28 a 42 días.11,14,15

Algunos autores recomiendan acompañar la extrusión forzada con la fibrotomía semanal (incisión de las fibras gingivales supracrestales);16 por otra parte, otros recomiendan un solo procedimiento de fibrotomía cuando se completa el movimiento.17

Esta técnica comparada con otros tratamientos de fracturas dentales brinda mejores resultados al ser menos invasiva, además mantiene la armonía gingival de los tejidos blandos. Adicionalmente, comparada con el tratamiento de alargamiento de corona en zona estética, resulta menos invasiva y conserva de igual forma la armonía dental y gingival.



CONCLUSIóN

La extrusión forzada rápida es un procedimiento menos invasivo y una opción viable en dientes unirradiculares. Además, es una técnica abordable para odontólogos y beneficiosa para pacientes que desean conservar un diente designado como pieza sin esperanza.


REFERENCIAS (EN ESTE ARTÍCULO)

  1. Bourguignon C, Cohenca N, Lauridsen E, Flores MT, O'Connell AC, Day PF, et al. International Association of Dental Traumatology guidelines for the management of traumatic dental injuries: 1. Fractures and luxations. Dent Traumatol. 2020; 36 (4): 314-330.

  2. Bach N, Baylard JF, Voyer R. Orthodontic extrusion: periodontal considerations and applications. J Can Dent Assoc. 2004; 70 (11): 775-780.

  3. Ingber JS. Forced eruption: part II. A method of treating nonrestorable teeth-periodontal and restorative considerations. J Periodontol. 1976; 47 (4): 203-216.

  4. Stevens BH, Levine RA. Forced eruption: a multidisciplinary approach for form, function, and biologic predictability. Compend Contin Educ Dent. 1998; 19 (10): 994-998, 1000, 1002-1004 passim.

  5. Oesterle LJ, Wood LW. Raising the root. J Am Dent Assoc. 1991; 122 (7): 193-198.

  6. Salama H, Salama M. The role of orthodontic extrusive remodeling in the enhancement of soft and hard tissue profiles prior to implant placement: a systematic approach to the management of extraction site defects. Int J Periodontics Restorative Dent. 1993; 13 (4): 312-333.

  7. Hempton TJ, Dominici JT. Contemporary crown-lengthening therapy. J Am Dent Assoc. 2010; 141 (6): 647-655.

  8. McGuire MK, Nunn ME. Prognosis versus actual outcome. II. The effectiveness of clinical parameters in developing an accurate prognosis. J Periodontol. 1996; 67 (7): 658-665.

  9. Ribeiro FV, Hirata DY, Reis AF, Santos VR, Miranda TS, Faveri M, Duarte PM. Open-flap versus flapless esthetic crown lengthening: 12-month clinical outcomes of a randomized controlled clinical trial. J Periodontol. 2014; 85 (4): 536-544.

  10. Sabri R. [Crown lengthening by orthodontic extrusion. Principles and technics]. J Parodontol. 1989; 8 (2): 197-204.

  11. Minsk L. Orthodontic tooth extrusion as an adjunct to periodontal therapy. Compend Contin Educ Dent. 2000; 21 (9): 768-770, 772, 774 passim.

  12. Heithersay GS, Moule AJ. Anterior subgingival fractures: a review of treatment alternatives. Aust Dent J. 1982; 27 (6): 368-376.

  13. Mantzikos T, Shamus I. Case report: forced eruption and implant site development. Angle Orthod. 1998; 68 (2): 179-186.

  14. Rosenberg ES, Cho SC, Garber DA. Crown lengthening revisited. Compend Contin Educ Dent. 1999; 20 (6): 527-532, 534, 536-538 passim; quiz 542.

  15. Ainamo J, Talari A. The increase with age of the width of attached gingiva. J Periodontal Res. 1976; 11 (4): 182-188.

  16. Palomo F, Kopczyk RA. Rationale and methods for crown lengthening. J Am Dent Assoc. 1978; 96 (2): 257-260.

  17. Malmgren O, Malmgren B, Frykholm A. Rapid orthodontic extrusion of crown root and cervical root fractured teeth. Endod Dent Traumatol. 1991; 7 (2): 49-54.



AFILIACIONES

1 Universidad AME, Especialidad en Periodoncia e Implantología. Grado de Especialidad en Periodoncia e Implantología. México.



CORRESPONDENCIA

Alejandra Sdenka Silva Rojas. E-mail: alejandrasilva877@gmail.com




Recibido: 10 de julio de 2024. Aceptado: 18 de julio de 2024.

Figura 1
Figura 2
Figura 3
Figura 4
Figura 5
Figura 6
Figura 7

2020     |     www.medigraphic.com

Mi perfil

C?MO CITAR (Vancouver)

Rev Mex Periodontol. 2023;14

ARTíCULOS SIMILARES

CARGANDO ...