medigraphic.com
ENGLISH

Revista Mexicana de Cirugía Endoscópica

ISSN 1665-2576 (Impreso)
  • Mostrar índice
  • Números disponibles
  • Información
    • Información general        
    • Directorio
  • Publicar
    • Instrucciones para autores        
    • Envío de artículos
  • medigraphic.com
    • Inicio
    • Índice de revistas            
    • Registro / Acceso
  • Mi perfil

2024, Número 1-4

<< Anterior Siguiente >>

Rev Mex Cir Endoscop 2024; 25 (1-4)


Hemoperitoneo secundario a perforación uterina por colocación de dispositivo intrauterino: imágenes clínicas

Jasqui-Bucay, Alan1,2; Garteiz-Martínez, Denzil Eduardo1,3
Texto completo Cómo citar este artículo 10.35366/118808

DOI

DOI: 10.35366/118808
URL: https://dx.doi.org/10.35366/118808

Idioma: Español
Referencias bibliográficas: 2
Paginas: 48-49
Archivo PDF: 203.05 Kb.


PALABRAS CLAVE

Sin palabras Clave



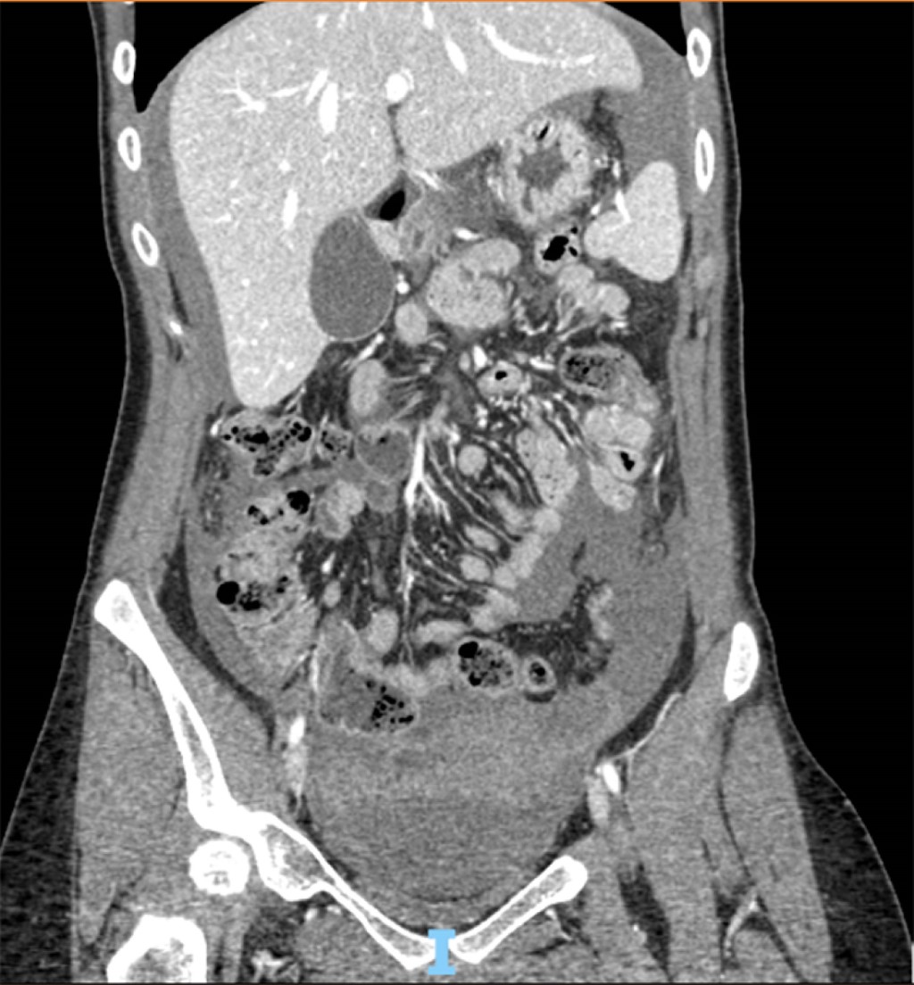
La imagen tomográfica presentada es de una paciente de 24 años de edad sin antecedentes patológicos, la cual se sometió a colocación de dispositivo intrauterino y fue dada de alta, pero posteriormente ingresó al servicio de urgencias 24 horas después con un cuadro de dolor abdominal agudo y datos consistentes con choque hipovolémico tipo hemorrágico grado II. Asimismo, a la exploración abdominal se encontró un abdomen rígido, con defensa involuntaria y doloroso a la palpación. Durante su valoración se encontró con niveles de hemoglobina de 9.16 g/dL, hematocrito de 28.3%, leucocitosis de 9.14 × 103/µL, plaquetas 198 × 103/µL. La tomografía (Figura 1) muestra abundante líquido libre en cavidad abdominal de localización perihepática, periesplénica y ambas correderas parietocólicas, así como en cara anterior y posterior del útero sugestivos de hemoperitoneo.

Debido a estos hallazgos, la paciente fue sometida a laparoscopía exploradora en donde se evidenció hemoperitoneo de 2,000 cm3 que fue aspirado (Figura 2) y una lesión de 5 mm de diámetro en la cara anterior del fondo uterino como origen de la hemorragia (Figura 3). Se procedió a realizar cierre hemostático utilizando sutura absorbible 2-0 (Figura 4), la paciente tuvo una evolución favorable, tolerando vía oral de manera temprana, con signos vitales dentro de parámetros normales durante todo su internamiento y sin requerimiento de transfusión de hemoderivados, fue dada de alta del servicio al cumplir 24 horas de estancia intrahospitalaria.

La perforación uterina durante la colocación de dispositivos intrauterinos ha sido ampliamente reportada en la literatura y es importante que tanto los ginecólogos como los cirujanos generales estén familiarizados con los aspectos clínicos y las opciones de abordaje laparoscópico para el manejo de esta complicación. Los sitios más frecuentes de perforación son el fondo uterino, la pared anterior uterina y el cérvix. Se han identificado múltiples factores de riesgo que puede desarrollar una paciente para presentar dicha complicación, como son: cérvix estenótico o en periodo de cicatrización (primigravida, antecedente de conización) o factores que alteren la anatomía uterina convencional (antecedente de cesárea, útero en anteroflexión o hiperanteroflexión), así como antecedentes que modifiquen la fuerza miometrial (embarazo, multiparidad, infección, lactancia).1 Los síntomas por perforación uterina pueden ser tan tempranos como al momento de la colocación, advirtiendo una perforación de manera directa, o inclusive tardíos, presentándose la complicación dentro del primer año de la colocación del DIU. Estos generalmente son sugestivos de peritonitis por perforación intestinal asociada o de estado de choque por hemoperitoneo secundario.

La perforación de manera aguda puede deberse a la dilatación cervical necesaria para la colocación del dispositivo, o bien, por la introducción de instrumentos de trabajo al canal cervical. Además, la fuerza requerida para colocar un DIU es de 1.5-6.5 Newtons, mientras que las fuerzas uterinas pueden llegar hasta los 50 Newtons de manera fisiológica, por lo que el aumento de la presión en la pared miometrial puede predisponer a la paciente a desarrollar esta complicación inclusive meses o años después de la colocación.1,2

Este breve caso resalta la importancia de dar seguimiento estrecho a las pacientes con colocación de DIU y vigilar la presencia de datos de abdomen agudo o estado de choque como manifestaciones tempranas de alguna complicación. A pesar de haber documentado un sitio tan pequeño de perforación en la pared uterina, la hemorragia fue persistente y abundante, al grado de requerir una intervención quirúrgica para su control.


REFERENCIAS (EN ESTE ARTÍCULO)

  1. Schwarzman P, Baumfeld Y, Mastrolia SA, Yaniv-Salem S, Leron E, Silberstein T. Obstetric outcomes after perforation of uterine cavity. J Clin Med. 2022; 11: 4439.

  2. Roman JD. Uterine perforation by levonorgestrel-releasing intrauterine device: a case report. Cureus. 2022; 14: e31398



AFILIACIONES

1 Departamento de Cirugía General. Hospital Ángeles Lomas. Estado de México, México.

2 0000-0003-1234-1622

3 0000-0002-8479-4076



CORRESPONDENCIA

Alan Jasqui-Bucay. E-mail: alanjasqui@gmail.com




Recibido: 09/04/2024. Aceptado: 08/05/2024.

Figura 1
Figura 2
Figura 3
Figura 4

2020     |     www.medigraphic.com

Mi perfil

C?MO CITAR (Vancouver)

Rev Mex Cir Endoscop. 2024;25

ARTíCULOS SIMILARES

CARGANDO ...