medigraphic.com
ENGLISH

Acta Médica Grupo Ángeles

Órgano Oficial del Hospital Ángeles Health System
  • Mostrar índice
  • Números disponibles
  • Información
    • Información general        
    • Directorio
  • Publicar
    • Instrucciones para autores        
    • Envío de artículos
    • Políticas
    • Nombre y afiliación del Comité Editorial
  • Nosotros
    • Plan de gestión e intercambio de datos
    • Objetivos declarados y alcance
  • medigraphic.com
    • Inicio
    • Índice de revistas            
    • Registro / Acceso
  • Mi perfil

2024, Número 5

<< Anterior Siguiente >>

Acta Med 2024; 22 (5)


Elastofibroma dorsi bilateral

Domínguez Gasca, Luis Gerardo1; Salazar Horner, Diana Laura2; Domínguez Carrillo, Luis Gerardo3
Texto completo Cómo citar este artículo 10.35366/118821

DOI

DOI: 10.35366/118821
URL: https://dx.doi.org/10.35366/118821
Artículos similares

Idioma: Español
Referencias bibliográficas: 5
Paginas: 407-409
Archivo PDF: 276.51 Kb.


PALABRAS CLAVE

elastofibroma dorsi, tumor torácico, tumor de tejidos blandos.

RESUMEN

Introducción: el elastofibroma dorsi es un tumor infrecuente de los tejidos blandos de la pared torácica, su localización más frecuente es periescapular, entre la cuarta y sexta décadas de la vida, con prevalencia estimada de 2%, predominante en mujeres. Caso clínico: paciente femenino de 60 años, presenta abultamiento de cinco años de evolución en región escapular derecha. A la exploración: masa de consistencia ahulada en ángulo inferior de escápula derecha, de 7 × 5 cm, no dolorosa al movimiento. La tomografía computarizada (TC) confirmó elastofibroma dorsi bilateral. Conclusión: el elastofibroma dorsi es una degeneración de las fibras de colágena con proliferación excesiva de las fibras elásticas.



INTRODUCCIóN

El elastofibroma dorsi es un tumor infrecuente de los tejidos blandos de la pared torácica, su localización más frecuente es periescapular en 99% de los casos sobre el plano costal, entre la sexta y la octava costilla. Se observa entre la cuarta y sexta décadas de la vida, con prevalencia estimada de 2%, predominante en mujeres con relación 2:1.



PRESENTACIóN DEL CASO

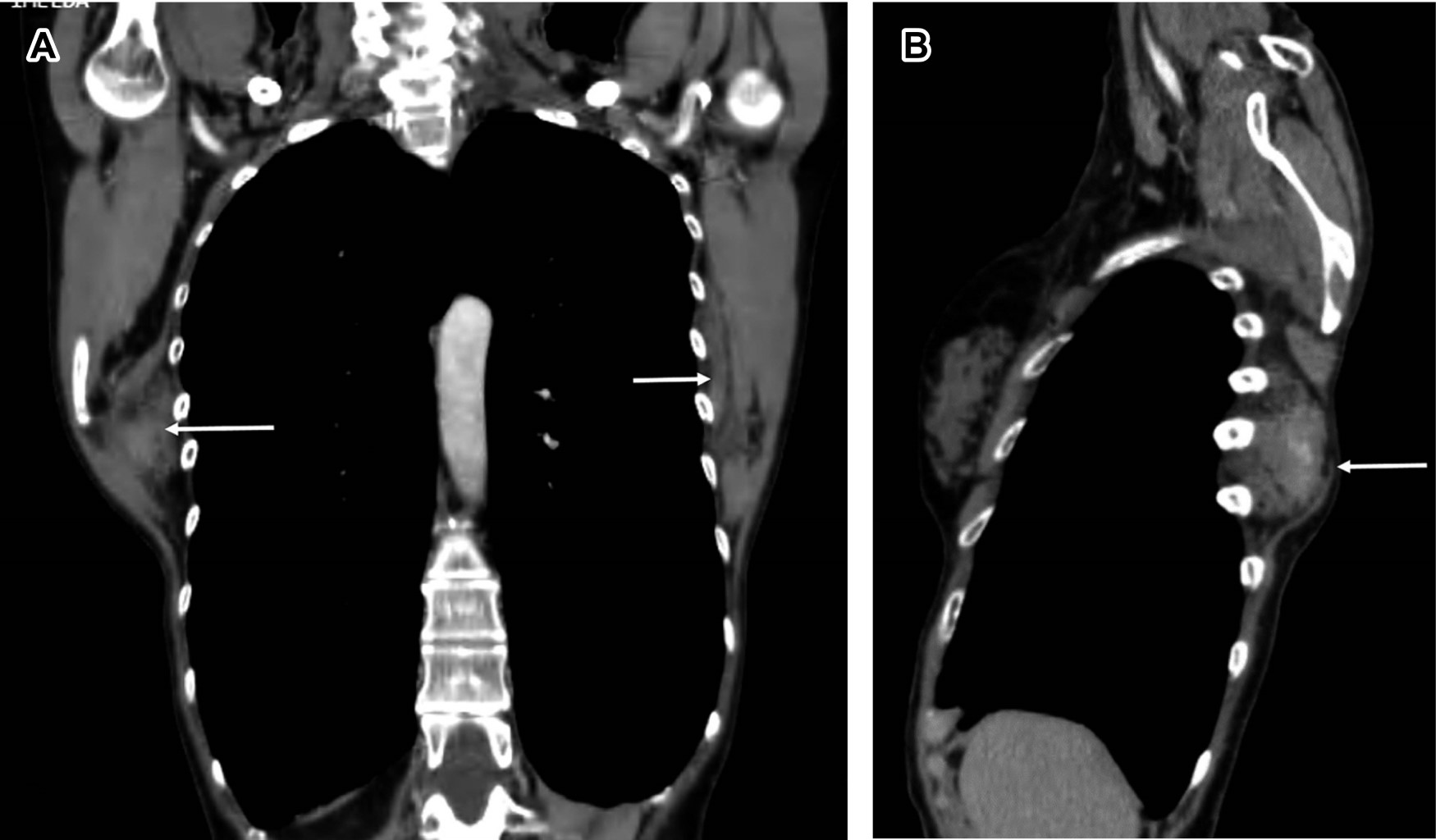
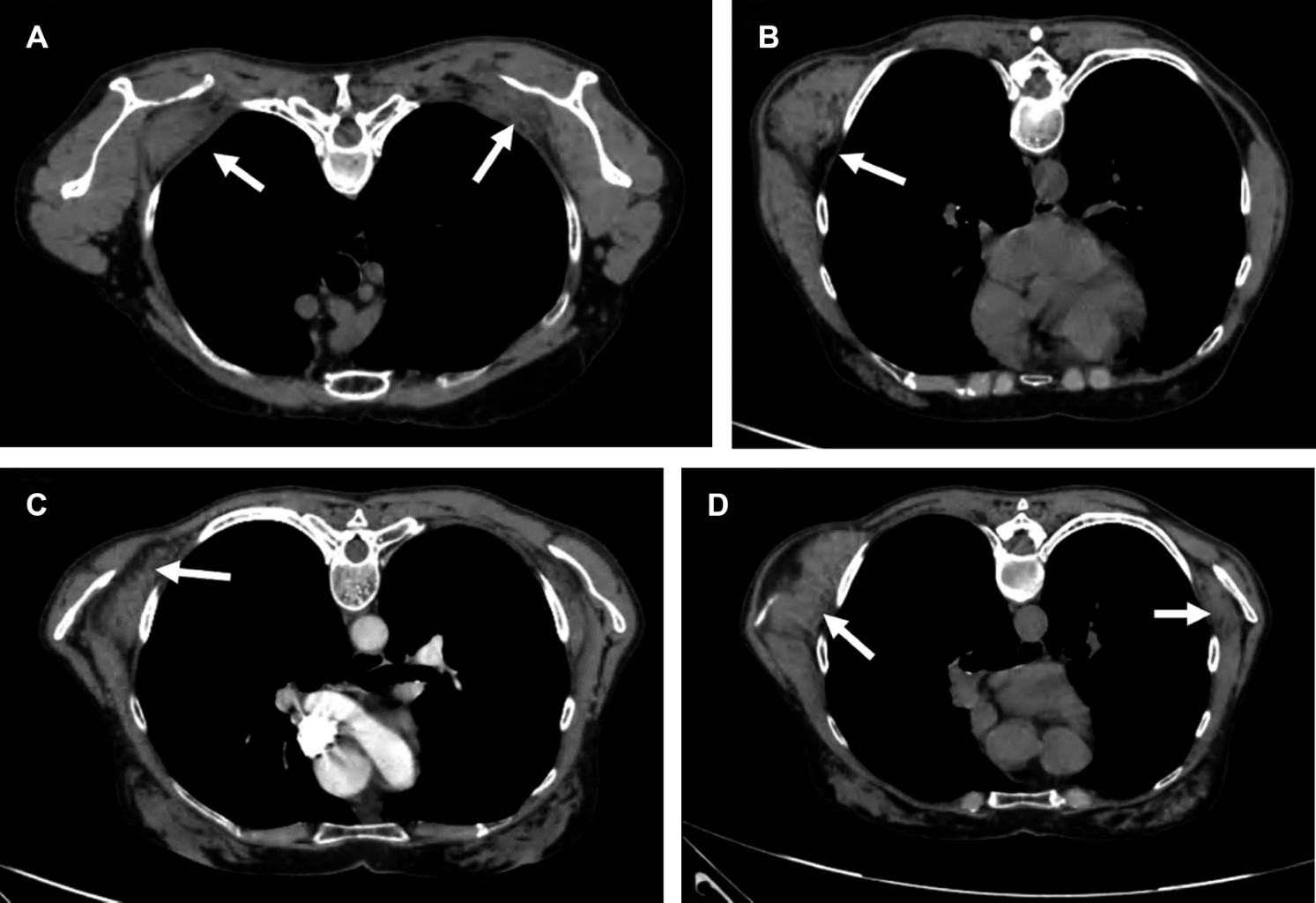
Paciente femenino de 60 años, ama de casa, acude por presentar abultamiento de cinco años de evolución en región escapular derecha, que le ocasiona discreta molestia al efectuar limpieza en el hogar. A la exploración se observa masa de consistencia ahulada en ángulo inferior de escápula derecha prominente, con dimensiones de 7 × 5 cm (Figura 1A-C), no dolorosa al movimiento, con sensación de frote a los desplazamientos de ambas escápulas, con arcos de movilidad de hombros completos y sensibilidad normal; el resto de la exploración es normal. Con diagnóstico presuntivo de elastofibroma dorsi. Se solicita tomografía computarizada (Figuras 1, 2 y 3) que confirma elastofibromas dorsi bilaterales; se propone cirugía, la cual rechaza.



DISCUSIóN

El elastofibroma dorsi es un tumor infrecuente de los tejidos blandos de la pared torácica, descrito inicialmente por Jarvi y Saxen1 en 1961; su localización más frecuente es periescapular en 99% de los casos y anterior a la escápula sobre el plano costal, entre la sexta y la octava costilla, profundo respecto a los músculos serrato anterior, romboides y dorsal ancho. Se observa entre la cuarta y sexta décadas de la vida, con prevalencia estimada de 2%, predominante en mujeres con relación 2:1 y predominio en hemitórax derecho; es bilateral en 10 a 60% de los casos; habitualmente asintomático.

Se ha sugerido que la degeneración de las fibras de colágena es resultado de microtraumatismos repetitivos sobre la articulación escapulotorácica, induciendo proliferación excesiva de las fibras elásticas, por lo que se considera como un proceso reactivo, más que como una verdadera neoplasia.2 Histológicamente es una lesión benigna, no encapsulada, hipocelular y de contenido variable de colágeno, grasa y fibras elásticas. El diagnóstico diferencial3 debe realizarse con lesiones o tumores subcutáneos, como lipomas, fibrolipomas y neoplasias mesenquimales tipo liposarcomas, fibrosarcomas, histiocitoma fibroso, neurofibroma o metástasis.

La ecografía, la tomografía computarizada y la resonancia magnética confirman el diagnóstico.4 En la ecografía se observa un patrón alternante, de tipo fasciculado o laminar, de líneas hipo e hiperecogénicas paralelas a la pared torácica; la señal Doppler suele ser negativa. La TC muestra alternancia de tejido adiposo con densidad grasa y de tejido fibroso con densidad muscular, que no realza con medios de contraste. La resonancia magnética es de elección para llegar al diagnóstico presentando patrón alternante de tejido adiposo y fibroso; en T1 y T2 el tejido fibroso da señales de baja intensidad similares a las del músculo. El tejido adiposo da señales de alta intensidad en T1 y señales intermedias en T2. La biopsia se reserva para los casos sospechosos que no presentan el patrón característico.5



CONCLUSIóN

El elastofibroma dorsi es una degeneración de las fibras de colágena con proliferación excesiva de las fibras elásticas.


REFERENCIAS (EN ESTE ARTÍCULO)

  1. Jarvi O, Saxen E. Elastofibroma dorsi. Acta Pathol Microbiol Scand Suppl. 1961; 51 (Suppl 144): 83-84.

  2. Parratt MT, Donaldson JR, Flanagan AM, Saifuddin A, Pollock RC, Skinner JA et al. Elastofibroma dorsi: management, outcome and review of the literature. J Bone Joint Surg Br. 2010; 92 (2): 262-266.

  3. Daigeler A, Vogt PM, Busch K, Pennekamp W, Weyhe D, Lehnhardt M et al. Elastofibroma dorsi--differential diagnosis in chest wall tumours. World J Surg Oncol. 2007; 5: 15.

  4. Gao ZH, Ma L, Liu DW, Deng HF, Meng QF. Comparative study on imaging and pathological features of elastofibroma dorsi. Chin J Cancer. 2010; 29 (7): 703-708.

  5. Álvarez RM, González AT, Mora CJ, Domínguez CL. Fibroelastoma dorsi. Acta Med. 2017; 15 (3): 241-242.



AFILIACIONES

1 Ortopedista. Cirugía articular. División de Cirugía del Hospital Angeles León, León, Guanajuato. México.

2 Médico general. Facultad de Medicina de León, Universidad de Guanajuato. México.

3 Especialista en Medicina de Rehabilitación. Catedrático de la Facultad de Medicina de León, Universidad de Guanajuato. México.



CORRESPONDENCIA

Dr. Luis Gerardo Domínguez Carrillo. Correo electrónico: lgdominguez@hotmail.com




Aceptado: 11-12-2023.

Figura 1
Figura 2
Figura 3

2020     |     www.medigraphic.com

Mi perfil

C?MO CITAR (Vancouver)

Acta Med. 2024;22

ARTíCULOS SIMILARES

CARGANDO ...