medigraphic.com
ENGLISH

Acta Médica Grupo Ángeles

Órgano Oficial del Hospital Ángeles Health System
  • Mostrar índice
  • Números disponibles
  • Información
    • Información general        
    • Directorio
  • Publicar
    • Instrucciones para autores        
    • Envío de artículos
    • Políticas
    • Nombre y afiliación del Comité Editorial
  • Nosotros
    • Plan de gestión e intercambio de datos
    • Objetivos declarados y alcance
  • medigraphic.com
    • Inicio
    • Índice de revistas            
    • Registro / Acceso
  • Mi perfil

2024, Número 5

<< Anterior Siguiente >>

Acta Med 2024; 22 (5)


Síndrome de Hamman como causa de reagudización asmática

y Cajal Calvo, Juan Ramón1,2; Pérez Abad, Laura1,3; Díaz Gordo, Enrique4
Texto completo Cómo citar este artículo 10.35366/118830

DOI

DOI: 10.35366/118830
URL: https://dx.doi.org/10.35366/118830
Artículos similares

Idioma: Español
Referencias bibliográficas: 4
Paginas: 432-434
Archivo PDF: 202.21 Kb.


PALABRAS CLAVE

asma, enfisema mediastínico, tomografía computarizada multidetector, radiología, síndrome de Hamman-Rich.

RESUMEN

Introducción: el síndrome de Hamman, o neumomediastino espontáneo, es una afección infrecuente caracterizada por presencia de aire en el mediastino. Caso clínico: joven de 20 años con disnea y dolor retroesternal, relacionados con agudización asmática. Las pruebas radiológicas manifiestan signos de neumomediastino y enfisema subcutáneo cervical. Conclusión: el neumomediastino espontáneo es una afección benigna y autolimitada que se resuelve sin necesidad de cirugía. Las pruebas radiológicas resultan fundamentales.



INTRODUCCIóN

El neumomediastino espontáneo, también conocido como síndrome de Hamman, es una afección infrecuente en la que se acumula aire en el mediastino. Aunque puede ser preocupante debido a los síntomas respiratorios y el dolor, por lo general es benigno y autolimitado.1

Presentamos el caso clínico de un paciente joven con agudización asmática, disnea y dolor torácico cuyo diagnóstico final fue neumomediastino espontáneo.



PRESENTACIóN DEL CASO

Varón de 20 años que acude por disnea y dolor retroesternal en contexto de agudización asmática. La exploración física identifica crepitación cervical a la palpación, sugestiva de enfisema subcutáneo.

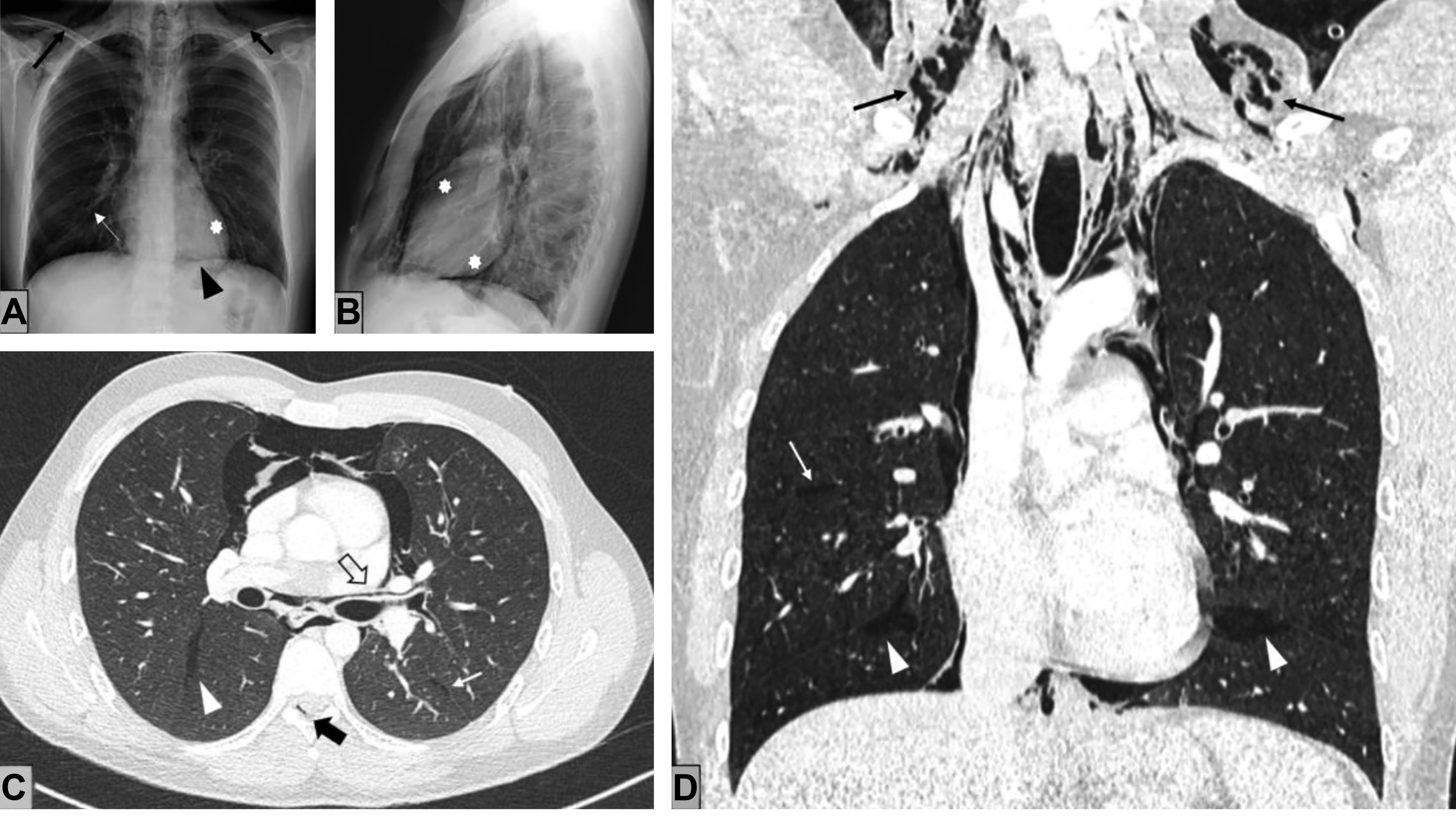
Se realiza una radiografía de tórax y se identifican signos de neumomediastino y enfisema subcutáneo cervical bilateral (Figura 1A y B). Se completa el estudio con una tomografía computarizada (TC) torácica, lo que confirma la presencia de neumomediastino con extensión a los planos cervicales profundos disecando los compartimentos mediastínicos (Figura 1C y D).

El aire ectópico se extiende desde el intersticio pulmonar hasta la región hiliar, lo que conforma múltiples colecciones en áreas peribronquiales de morfología lineal (efecto Macklin). También se identifica contenido aéreo en cisuras pleurales y en espacio epidural (neumorraquis).

Los hallazgos radiológicos y la presencia del efecto Macklin resultan compatibles con un neumomediastino espontáneo de origen respiratorio. El paciente recibió tratamiento sintomático, evolucionando favorablemente.



DISCUSIóN

El síndrome de Hamman o neumomediastino espontáneo es un cuadro clínico infrecuente, benigno y autolimitado, caracterizado por presencia de aire libre en el mediastino, sin ser este secundario a ninguna etiología evidente.

Afecta principalmente a varones jóvenes y por lo general cursa de forma asintomática, aunque puede manifestarse con disnea, dolor torácico y enfisema subcutáneo. En ocasiones, se identifica un crujido sincrónico con los latidos cardiacos durante la auscultación (signo de Hamman).1

De etiología desconocida, se han descrito una serie de factores precipitantes, todos ellos causantes de una hiperpresión en la cavidad torácica, como son la agudización asmática, el ejercicio físico, el trabajo de parto, las maniobras de Valsalva o el uso de drogas inhaladas.2

La fisiopatología del cuadro se explica a través del efecto Macklin, descrito como el cambio de presión en la cavidad torácica causante de microrrotura alveolar que favorece el paso de aire al intersticio pulmonar, lo que da lugar al enfisema intersticial.3

La primera prueba radiológica realizada suele ser la radiografía de tórax, la cual evidencia enfisema subcutáneo y neumomediastino. En la TC, la rotura alveolar no suele resultar perceptible, pudiéndose objetivar colecciones aéreas lineales en torno a las vainas broncovasculares (efecto Macklin).

En el contexto clínico compatible, y excluyendo los casos asociados a traumatismo torácico grave o a síntomas compatibles con síndrome de Boerhaave, el efecto Macklin se considera altamente sugestivo de neumomediastino espontáneo de origen respiratorio, por lo que resulta clave en la orientación etiológica del cuadro y en el diagnóstico diferencial con las formas de neumomediastino secundario.4



CONCLUSIONES

El neumomediastino espontáneo es una patología infrecuente, pero de creciente diagnóstico, típicamente desencadenada por situaciones de hiperpresión torácica. Es un cuadro autolimitado en cuyo diagnóstico resultan fundamentales las pruebas radiológicas, que pueden mostrar el efecto Macklin, un hallazgo clave en el diagnóstico diferencial con el neumomediastino secundario, derivado principalmente de roturas esofágicas o traqueales.


REFERENCIAS (EN ESTE ARTÍCULO)

  1. Murayama S, Gibo S. Spontaneous pneumomediastinum and Macklin effect: overview and appearance on computed tomography. World J Radiol. 2014; 6 (11): 850-854.

  2. Wintermark M, Schnyder P. The Macklin effect: a frequent etiology for pneumomediastinum in severe blunt chest trauma. Chest. 2001; 120 (2): 543-547.

  3. Sankar J, Uniyal M, Kumar K. Hamman syndrome. Natl Med J India. 2020; 33: 180.

  4. Hülsemann P, Vollmann D, Kulenkampff D. Spontaneous pneumomediastinum-Hamman syndrome. Dtsch Arztebl Int. 2023; 120 (31-32): 525.



AFILIACIONES

1 Graduado en Medicina por la Universidad de Zaragoza, España. Máster en Iniciación a la Investigación en Medicina por la Universidad de Zaragoza, España.

2 Médico Especialista en Radiodiagnóstico. Hospital Clínico Lozano Blesa, Zaragoza, España. Servicio de Radiodiagnóstico.

3 Médico residente en Medicina Interna. Hospital Clínico Lozano Blesa, Zaragoza, España. Servicio de Medicina Interna.

4 Médico residente en Radiodiagnóstico. Servicio de Radiodiagnóstico. Complejo Asistencial de Zamora. España. Graduado en Medicina por la Universidad de Zaragoza, España.



Conflicto de intereses: Juan Ramón y Cajal Calvo, Laura Pérez Abad y Enrique Díaz Gordo declaran que no tienen ningún conflicto de intereses.
Este artículo no contiene ningún estudio con sujetos humanos o animales realizado por ninguno de los autores.



CORRESPONDENCIA

Juan Ramón y Cajal Calvo. Correo electrónico: jramonycajalc@gmail.com




Aceptado: 22-04-2024.

Figura 1

2020     |     www.medigraphic.com

Mi perfil

C?MO CITAR (Vancouver)

Acta Med. 2024;22

ARTíCULOS SIMILARES

CARGANDO ...