medigraphic.com
ENGLISH

Revista Mexicana de Anestesiología

ISSN 3061-8142 (Digital)
ISSN 0484-7903 (Impreso)
  • Mostrar índice
  • Números disponibles
  • Información
    • Información general        
    • Directorio
  • Publicar
    • Instrucciones para autores        
  • medigraphic.com
    • Inicio
    • Índice de revistas            
    • Registro / Acceso
  • Mi perfil

2025, Número 2

<< Anterior Siguiente >>

Rev Mex Anest 2025; 48 (2)


Bloqueo de escalpe guiado por ultrasonido en neurocirugía

Hernández-Gómez, Edgar Alejandro1,2; García-Vargas, Paulina Michelle1,3
Texto completo Cómo citar este artículo 10.35366/119205

DOI

DOI: 10.35366/119205
URL: https://dx.doi.org/10.35366/119205
Artículos similares

Idioma: Español
Referencias bibliográficas: 19
Paginas: 107-110
Archivo PDF: 463.06 Kb.


PALABRAS CLAVE

bloqueo de escalpe, ultrasonido, dolor postcraneotomía, neurocirugía.

RESUMEN

El ultrasonido (USG, por sus siglas en inglés) ha innovado el campo de la anestesia regional. El bloqueo de escalpe es poco utilizado y desconocido tanto por anestesiólogos como por neurocirujanos. Presentamos el caso de un hombre de 56 años con diagnóstico de meningioma de la convexidad frontal, con alteración de funciones ejecutivas, programado para craneotomía y resección. Se colocó un bloqueo de escalpe ecoguiado bilateral. Se utilizaron 28 mL de bupivacaína isobárica 0.5%. No se infiltraron las áreas de colocación de pinchos. El paciente no requirió rescates analgésicos hasta su egreso 48 horas posteriores; con lo anterior se demuestra la bondad y viabilidad de este recurso analgésico como coadyuvante en anestesia general en neurocirugía.



ABREVIATURAS:

  • USG = ultrasonido
  • AL = anestésico local



INTRODUCCIóN

El ultrasonido (USG) ha entrado en el campo de la medicina del dolor, anestesia regional y del intervencionismo analgésico durante la última década(1). Las unidades de USG se han vuelto más móviles y asequibles, su uso rutinario se ha expandido a la cama del paciente y hoy es un estándar de nuestra práctica(1,2). En anestesiología requerimos de herramientas de diagnóstico rápidas y precisas para la gestión de emergencias quirúrgicas y el USG es ideal(3); ya que entre sus ventajas destacan ser una técnica no invasiva, bien tolerada y que permite múltiples exploraciones(4).



DOLOR POSTCRANEOTOMÍA

Después de una craneotomía supratentorial, el dolor postoperatorio se reporta entre 55 a 80%, Yanting y colaboradores(5) lo encontraron hasta en 86%, caracterizándose por un dolor de origen somático, con compromiso de tejidos blandos y músculos pericraneales. La intensidad es de moderada a severa en las primeras 24 a 48 horas, siendo un condicionante que aumenta la morbilidad postoperatoria(6,7), y que puede conducir a efectos fisiológicos adversos tales como: consumo elevado de oxígeno, liberación de catecolaminas, hipertensión arterial, hiperemia cerebral y presión intracraneal elevada. Este dolor a menudo se trata de manera insuficiente, debido al temor de que la sedación y la miosis inducidas por opioides enmascaren la patología neurológica(8-10).



BLOQUEO DE NERVIOS DEL CRÁNEO

El bloqueo de escalpe se practica en neurocirugía desde principios del siglo XX(11), utilizado por primera vez por Pinosky, comparando la efectividad de la solución salina vs bupivacaína a 0.5%, reportando que esta última proporcionaba una respuesta hemodinámica exitosa y disminución del dolor incisional durante el procedimiento(12,13); sin embargo, se convirtió en una técnica común hasta 1986, cuando J. P. Girvin introdujo una técnica anatómica dirigida específicamente a los nervios supratroclear, supraorbitario, cigomaticotemporal, auriculotemporal, occipital menor y occipital mayor (Figura 1)(14). El bloqueo de escalpe ha demostrado: a) mejorar la analgesia perioperatoria, seguridad y la comodidad del paciente(14-16); b) reducción de requerimientos de opiáceos en las primeras 24 horas del postoperatorio(14); y c) amortiguar los efectos hemodinámicos de la colocación del cabezal de Mayfield; además de ser un requisito indispensable en craneotomía consciente.



¿POR QUÉ UN BLOQUEO DE ESCALPE ECOGUIADO?

Los bloqueos de escalpe generalmente se realizan "a ciegas" acorde a puntos de referencia óseos, sin embargo, estudios informaron variaciones importantes en la posición, número de forámenes o curso de los nervios(17). Zetlaoui y colaboradores(18) publicaron que el uso de USG para bloquear los nervios del cuero cabelludo es fácil y mejora la seguridad al reducir las cantidades totales de anestésico local (AL), ya que los nervios pueden bloquearse con volúmenes bajos de 2 a 3 mL, y además se reduce el riesgo de punción vascular. Hung y su equipo(11) refieren que las aplicaciones clínicas de los bloqueos de escalpe guiados por USG pueden utilizarse como técnicas únicas en pacientes despiertos o combinada con anestesia general para efectos de ahorro de opiáceos, por lo que sería importante maximizar el papel de la anestesia regional como parte de un enfoque multimodal.



TÉCNICA GUIADA POR ULTRASONIDO

Para un bloqueo completo, se consideran siete nervios a cada lado: las ramas del nervio frontal (supraorbitario y supratroclear)(19), los nervios cigomaticotemporal, auriculotemporal, auricular mayor, occipital menor, occipital mayor y tercer nervio occipital. Un procedimiento rara vez necesita bloquear todo el cuero cabelludo. El anestesiólogo elige qué nervios bloquear, conociendo la extensión del abordaje quirúrgico y la necesidad o no de pinchado. El bloqueo se realiza en decúbito supino, con técnica aséptica, disponiendo idealmente de agujas ecogénicas de 22 de 50 mm de largo, además de contar con una sonda lineal para rastreo superficial (8-14 MHz).



CASO CLíNICO

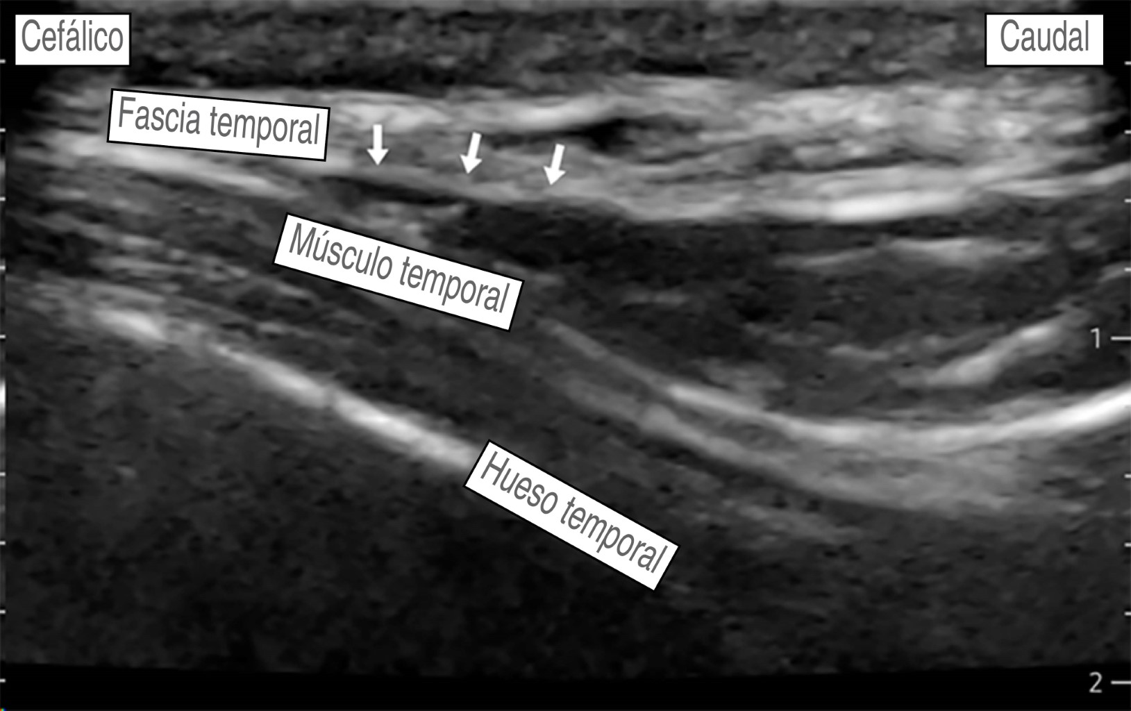
Hombre de 56 años, con diagnóstico de meningioma de la convexidad frontal, con un estado físico de la American Society of Anesthesiologists (ASA) II. Hipertensión arterial esencial en tratamiento regular con losartán 50 mg VO cada 24 horas, sin otros antecedentes. Peso: 87 kg, talla: 1.70 m. Presenta un cuadro clínico de tres meses de evolución caracterizado por cefalea holocraneana, trastornos del comportamiento (apatía, falta de motivación, indiferencia) sin datos de focalización neurológica. La imagen de resonancia magnética muestra una tumoración frontoparietal derecha de 8.2 × 5.1 cm que realza al contraste de forma homogénea, con efecto de masa significativo y desviación de la línea media de 13 mm. Ingresa a sala quirúrgica para craneotomía bifrontal y resección tumoral guiada por neuronavegación. En la sala quirúrgica bajo monitorización invasiva y anestesia total intravenosa con remifentanilo (0.15-0.2 μg/kg/min), propofol (90-120 μg/kg/min), lidocaína (1-2 mg/kg/h) y después de asegurar la vía aérea colocamos un bloqueo de escalpe guiado por USG. Se utilizó una sonda de USG lineal (10 MHz). Nervio supraorbitario y supratroclear: en situación transversal, colocamos la sonda en el hueso frontal sobre el reborde orbitario superior identificando el agujero supraorbitario (muesca). Con técnica en plano, la inyección es superficial al foramen (evitando la administración dentro del foramen), con un volumen de 1.5 mL de anestésico local, para asegurar una cobertura adecuada al nervio supratroclear colocamos otra inyección medial al supraorbitario de 1.5 mL de AL, visualizando su extensión bajo USG. No logramos identificar la arteria supraorbitaria (Figura 2). Nervio cigomático-temporal: colocamos el transductor en un plano coronal, sobre el límite anterior de la fosa temporal, posterior a la apófisis frontal del hueso cigomático, lo que nos deja visualizar tres estructuras: fascia temporal, músculo temporal y hueso temporal, colocamos dos inyecciones de 1.5 mL de AL, en dos puntos de referencia: el hueso temporal (profundo) y la fascia temporal superficial (Figura 3). Nervio auriculotemporal: en el mismo plano facial que el nervio anterior, colocando el transductor en sentido transversal entre el canto lateral del ojo y el trago, identificamos la arteria temporal superficial; el nervio corre en el mismo plano facial que la arteria y lo bloqueamos con 2 mL de AL, evitando la punción vascular (Figura 4). Nervio occipital mayor: colocamos la sonda de USG paralela a una línea que conecta el inión y la mastoides logrando identificar a la arteria occipital junto al nervio. Con inyección en plano utilizamos 2.0 mL de AL (Figura 5). Nervio auricular mayor y occipital menor: bloqueamos ambos nervios a través de un bloqueo de plexo cervical superficial, colocando la sonda transversal sobre la cara lateral del cuello, ubicando el borde posterior del músculo esternocleidomastoideo (ECM) en un punto medio entre la mastoides y la clavícula identificando el plexo como pequeños nódulos hipoecoicos profundos al borde posterior del ECM, el nervio auricular mayor se puede ver comúnmente sobre el músculo ECM. Con técnica en plano la inyección se realizó detrás del ECM, superficial a la fascia prevertebral con un volumen de 5 mL de AL (Figura 6). El bloqueo se realizó de forma bilateral utilizando 28 mL de bupivacaína isobárica a 0.5%, empleando un tiempo de 30 min, se evitó de forma efectiva la respuesta hemodinámica al pinchado, sin necesidad de aumentar la dosis de opioide, o requerir infiltración del área de colocación del pincho, se complementó la analgesia multimodal con paracetamol 1 g IV + ketoprofeno 100 mg IV, no se requirieron rescates de opioide en las 48 horas posteriores y hasta el egreso, se realizó una resección tumoral de 100% sin secuelas neurológicas, no se presentaron complicaciones asociadas al bloqueo de escalpe (punción vascular o déficit nervioso).



DISCUSIóN

El bloqueo de escalpe es una gran herramienta dentro de la analgesia multimodal en neurocirugía, sin embargo, no ha evolucionado desde su surgimiento y hoy esta técnica es desconocida por anestesiólogos y neurocirujanos. La portabilidad de sondas de USG ha cambiado esta perspectiva y aunque aún contamos con poca evidencia, su uso tiene grandes ventajas ya sea como técnica anestésica única (paciente despierto) o como adyuvante analgésico en anestesia general; permitiéndonos evitar inyecciones intraarteriales, traumatismo vascular y lesiones nerviosas, aumentando así la eficacia y seguridad en su colocación. También encontramos limitaciones potenciales como la habilidad del operador, la dificultad técnica sobre todo en bloqueos posteriores (occipital mayor) y la disponibilidad y costo del equipo. En nuestra práctica diaria, realizamos este bloqueo bajo "referencias anatómicas", con excelentes resultados en el contexto de ahorro de opioides y analgesia postoperatoria; los reportes de Zetlaoui(18), Hung(11) y colaboradores han permitido orientarnos en sonoanatomía adaptando esta técnica en nuestros pacientes. En nuestro reporte de caso clínico encontramos factibilidad y viabilidad para continuar con esta línea de investigación.



CONCLUSIóN

Nuestro reporte de caso clínico muestra factibilidad para seguir reproduciendo esta técnica, permitiendo el resurgimiento de este bloqueo ahora guiado por USG, disminuyendo así las complicaciones asociadas, expandiendo su uso.


REFERENCIAS (EN ESTE ARTÍCULO)

  1. Gutiérrez LE. Aplicaciones actuales de la ultrasonografía en anestesia. Alerta. 2023;6:61-69.

  2. Fagley RE, Haney MF, Beraud AS, Comfere T, Kohl BA, Merkel MJ, et al. Critical care basic ultrasound learning goals for american anesthesiology critical care trainees: recommendations from an expert group. Anesth Analg. 2015;120:1041-1053.

  3. Terkawi AS, Karakitsos D, Elbarbary M, Blaivas M, Durieux ME. Ultrasound for the anesthesiologists: present and future. ScientificWorldJournal. 2013;2013:683685.

  4. Núñez-Mendoza JR, Monroy-Álvarez CJ, Torres-Maldonado AS, Isais-Millán RP. Intervencionismo guiado por ultrasonido para extremidad superior en dolor postoperatorio. Rev Mex Anestesiol. 2019;42:235.

  5. Chen Y, Ni J, Li X, Zhou J, Chen G. Scalp block for postoperative pain after craniotomy: A meta-analysis of randomized control trials. Front Surg. 2022;9:1018511.

  6. Carella M, Tran G, Bonhomme VL, Franssen C. Influence of levobupivacaine regional scalp block on hemodynamic stability, intra- and postoperative opioid consumption in supratentorial craniotomies: a randomized controlled trial. Anesth Analg. 2021;132:500-511.

  7. Rodríguez Contreras R, Vega Salvador A, Reche Navarro E, Estévez Santiago J. Anestesia en tumores supratentoriales. Rev Elect AnestesiaR. 2023;15.

  8. Skutuliene J, Banevicius G, Bilskiene D, Macas A. The effect of scalp block or local wound infiltration versus systemic analgesia on post-craniotomy pain relief. Acta Neurochir. 2021;164:1375-1379.

  9. Stumpo V, Staartjes VE, Quddusi A, Corniola MV, Tessitore E, Schroder ML, et al. Enhanced recovery after surgery strategies for elective craniotomy: a systematic review. J Neurosurg. 2021;35:1857-1881.

  10. Lekprasert V, Tangjitbampenbun A, Kittiponghansa A, et al. Comparison of analgesic effect of levobupivacaine with dexmedetomidine and levobupivacaine for scalp block before supratentorial craniotomy: a randomized controlled trial. J Med Assoc Thai. 2020;103:1028-1035.

  11. Tsan SEH, Goh CH, Tan PCS. Ultrasound-guided scalp blocks for an awake craniotomy: a case report. A A Pract. 2022;16:e01618.

  12. Kulikov A, Tere V, Sergi PG, Pugliese F, Lubnin A, Bilotta F. Preoperative versus postoperative scalp block combined with incision line infiltration for pain control after supratentorial craniotomy. Clin J Pain. 2021;37:194-198.

  13. Rigamonti A, Garavaglia MM, Ma K, et al. Effect of bilateral scalp nerve blocks on postoperative pain and discharge times in patients undergoing supratentorial craniotomy and general anesthesia: a randomized-controlled trial. Can J Anaesth. 2020;67:452-461.

  14. Guilfoyle MR, Helmy A, Duane D, Hutchinson PJA. Regional scalp block for postcraniotomy analgesia: a systematic review and meta-analysis. Anesth Analg. 2013;116:1093-1102.

  15. Papangelou A, Radzik BR, Smith T, Gottschalk A. A review of scalp blockade for cranial surgery. J Clin Anaesth. 2013;25:150-159.

  16. Law-Koune JD, Szekely B, Fermanian C, Peuch C, Liu N, Fischler M. Scalp infiltration with bupivacaine plus epinephrine or plain ropivacaine reduces postoperative pain after supratentorial craniotomy. J Neurosurg Anesthesiol. 2005;17:139-143.

  17. Hussien ABM, Saleh ZT, Al Attar HAS, Nasr YM. Postoperative regional scalp block versus intravenous fentanyl for postsupratentorial craniotomy analgesia in adult patients under general anesthesia. Int J Res Pharm Sci. 2020;11:6039-6046.

  18. Zetlaoui PJ, Gauthier E, Benhamou D. Ultrasound-guided scalp nerve blocks for neurosurgery: A narrative review. Anaesth Crit Care Pain Med. 2020;39:876-882.

  19. Ha?adaj R, Polguj M, Topol M. Anatomical variations of the supraorbital and supratrochlear nerves: their intraorbital course and relation to the supraorbital margin. Med Sci Monit. 2019;25:5201-5210.



AFILIACIONES

1 Centro Médico ISSEMYM "Lic. Arturo Montiel Rojas". Toluca.

2 Neuroanestesiólogo.

3 Médico residente de tercer año de la Especialidad en Anestesiología.



CORRESPONDENCIA

Dr. Edgar Alejandro Hernández-Gómez. E-mail: alex_eahg@live.com.mx




Recibido: 04-07-2023. Aceptado: 31-01-2024.

Figura 1
Figura 2
Figura 3
Figura 4
Figura 5
Figura 6

2020     |     www.medigraphic.com

Mi perfil

C?MO CITAR (Vancouver)

Rev Mex Anest. 2025;48

ARTíCULOS SIMILARES

CARGANDO ...