medigraphic.com
ENGLISH

Acta Médica Grupo Ángeles

Órgano Oficial del Hospital Ángeles Health System
  • Mostrar índice
  • Números disponibles
  • Información
    • Información general        
    • Directorio
  • Publicar
    • Instrucciones para autores        
    • Envío de artículos
    • Políticas
    • Nombre y afiliación del Comité Editorial
  • Nosotros
    • Plan de gestión e intercambio de datos
    • Objetivos declarados y alcance
  • medigraphic.com
    • Inicio
    • Índice de revistas            
    • Registro / Acceso
  • Mi perfil

2025, Número 1

<< Anterior Siguiente >>

Acta Med 2025; 23 (1)


Perspectivas actuales sobre la enfermedad de Kikuchi-Fujimoto recurrente y la correlación con SARS-CoV-2

Nieves Pérez, César Adolfo1,2; Morales Muñoz, Víctor1,2; Francés Frangos, Estefania1,2; Gallegos Garza, Adriana Celia1,3; Castro Quiroz, Óscar1,4; Hurtado Monroy, Rafael1,5
Texto completo Cómo citar este artículo 10.35366/119350

DOI

DOI: 10.35366/119350
URL: https://dx.doi.org/10.35366/119350
Artículos similares

Idioma: Español
Referencias bibliográficas: 18
Paginas: 47-51
Archivo PDF: 252.81 Kb.


PALABRAS CLAVE

Kikuchi, COVID-19, adenomegalia, linfadenitis, síntomas B, esteroides.

RESUMEN

La enfermedad de Kikuchi es una causa rara de linfadenitis y es más frecuente en los países del Oriente. Es autolimitada y se caracteriza por la presencia de adenomegalia acompañadas de síntomas como fiebre, pérdida de peso, astenia, adinamia, y en los estudios paraclínicos destaca leucopenia. La recurrencia de la enfermedad de Kikuchi no es habitual y cuando sucede suele presentarse con síntomas extranodales. Se informa el caso de una paciente de 27 años con antecedentes de tabaquismo (IT 18), síndrome de Gilbert, enfermedad de Kikuchi de ganglio cervical e infección leve por COVID-19 dos meses previos a su ingreso. Inicia con fiebre de 39.2 °C, diaforesis, tos no productiva, disnea, rinorrea y dolor cervical. Se automedicó con antiinflamatorios sin mejoría, por lo que acudió a valoración y se observó hipotensa, taquicárdica, diaforética e hipoxémica, lo que motivó su hospitalización. Como parte del abordaje se realizó perfil de autoinmunidad y anticuerpos para infección por Epstein-Barr que resultaron negativos, la tomografía por emisión de positrones y tomografía computarizada (PET/CT) con actividad hipermetabólica en anillo de Waldeyer y ganglios cervicales, sin evidencia de compromiso de médula ósea o esplénico. Se realizó biopsia de adenoides y resección ganglionar cervical derecha que reportó infiltración linfocitaria, abundantes macrófagos e histiocitosis, áreas de necrosis y cariorexis, lo que sugirió una recurrencia de enfermedad de Kikuchi. El objetivo de esta revisión es informar acerca de la presentación atípica de una enfermedad infrecuente con múltiples diagnósticos diferenciales de importancia.



ABREVIATURAS:

  • COVID-19 = coronavirus disease 2019 (enfermedad por coronavirus 2019).
  • LES = lupus eritematoso sistémico.
  • PET/CT = tomografía por emisión de positrones y tomografía computarizada.
  • SUL = SUV (standarized uptake value) Lean body mass corrected (valor de absorción estandarizado corregido por masa corporal magra).
  • SUV = standarized uptake value (valor de absorción estandarizado).



INTRODUCCIóN

La enfermedad de Kikuchi es una enfermedad poco frecuente que se define como una linfadenitis hiperplásica con presencia de necrosis histiocítica. Fue descrita por primera vez en 1972 en un informe titulado "Lymphadenitis showing focal reticulum cell hyperplasia with nuclear debris and phagocytosis". Simultáneamente, otro grupo de autores informó un trabajo con el título "Cervical subacute necrotising lymphadenitis. A new clinicopathological entity" por Fujimoto, Kozima y Yamaguchi y discutieron un tipo similar de linfadenitis. Por lo que actualmente se conoce como enfermedad de Kikuchi-Fujimoto o enfermedad de Kikuchi.1 En general, la enfermedad se presenta en individuos menores de 30 años de origen asiático. En términos de casos totales, 50% proviene de Asia, 27% de Europa y 7% de América.2,3 En cuanto a la recurrencia de la enfermedad de Kikuchi, está descrita con una aparición aproximada de 1-3% de los casos, en un intervalo de aparición de recurrencias de uno hasta 20 años después del primer cuadro. En un estudio efectuado en 2008 por Young Song y colaboradores en Corea, con un total de 102 pacientes, se informó una tasa de recurrencia más alta, de hasta 20.6%, lo cual es mayor a lo descrito en la literatura. Además, se observó que las recurrencias tenían un inicio promedio de nueve meses. Se propone que esta mayor tasa de recurrencia se podría atribuir a que los casos leves a menudo pasan desapercibidos en los estudios y no se informan.3,4

Se informa el caso de una paciente de 27 años con antecedentes de tabaquismo (IT 18), síndrome de Gilbert, enfermedad de Kikuchi de ganglio cervical e infección leve por COVID-19 dos meses previos a su ingreso. Inicia con fiebre de 39.2 °C, diaforesis, tos no productiva, disnea, rinorrea y dolor cervical. Se automedicó con antiinflamatorios sin mejoría, por lo que acudió a valoración y se observó hipotensa, taquicárdica, diaforética e hipoxémica, lo que motivó su hospitalización. Como parte del abordaje se realizó perfil de autoinmunidad y anticuerpos para infección por Epstein-Barr que resultaron negativos, la tomografía por emisión de positrones y tomografía computarizada (PET/CT) muestra actividad hipermetabólica en anillo de Waldeyer y ganglios cervicales, sin evidencia de compromiso de médula ósea o esplénico. Se realizó biopsia de adenoides y resección ganglionar cervical derecha que reportó infiltración linfocitaria, abundantes macrófagos e histiocitosis, áreas de necrosis y cariorrexis, lo que sugirió una recurrencia de enfermedad de Kikuchi.



ETIOLOGÍA

La etiología y los mecanismos fisiopatológicos subyacentes de la enfermedad de Kikuchi aún no se comprenden por completo; sin embargo, se discuten dos teorías principales sobre su origen: infecciosa y autoinmune.4,5 Dentro de estos dos grandes grupos se ha observado que el virus de Epstein-Barr, herpes virus 6 y 8, VIH, parvovirus B19, parainfluenza, toxoplasma y algunas bacterias se han visto implicados en el inicio de la enfermedad de Kikuchi. Es importante mencionar la reciente asociación con COVID-19, aunque la literatura no aborda explícitamente el fenómeno de recurrencia tras la infección por COVID-19, como se observa en el caso informado. Los casos documentados hasta la fecha describen pacientes que desarrollan Kikuchi-Fujimoto por primera vez como una consecuencia de la infección por COVID-19, e incluso después de la administración de la vacuna contra el COVID-19.6-8 Por otro lado, se informa una estrecha relación entre la enfermedad de Kikuchi y los trastornos autoinmunes. La enfermedad de Kikuchi-Fujimoto puede ocurrir en pacientes con lupus eritematoso sistémico (LES) preexistente, coexistir con el LES o evolucionar hacia LES. Esta relación es más frecuente en mujeres, y los pacientes con antecedentes de enfermedad autoinmune tienen un mayor riesgo de presentar recurrencia de la enfermedad de Kikuchi, con una incidencia de hasta el 38.5%, en comparación con sólo el 11.3% en aquellos sin tales antecedentes.8 Se cree que puede existir una relación entre la presencia de ciertos alelos de HLA clase 2, como DPA 101 y DPB 10202, y el desarrollo de la enfermedad. Estos alelos son más frecuentes en la población japonesa.3,4



CUADRO CLÍNICO

La presentación clínica puede variar desde casos leves hasta formas potencialmente mortales. Puede manifestarse de manera aguda o persistir en forma crónica con episodios recurrentes. Los síntomas más comunes incluyen linfadenitis unilateral dolorosa (54%), el involucro de otras cadenas ganglionares ocurre en 1-22% de los casos, fiebre (38-50%), cefalea (17%), pérdida de peso (10.3%), tos no productiva y síntomas constitucionales, los cuales pueden semejar a los síntomas B y, por tanto, confundirse con linfomas u otras patologías de origen infeccioso o autoinmune, por lo que el diagnóstico diferencial es importante.1 La adenomegalia suele medir entre 0.5-4 cm, sensibles al tacto, firmes y estáticas o móviles. Unilaterales en 75-80% y predominantemente cervicales, aunque pueden involucrar región axilar y, en ocasiones particulares, la linfadenopatía puede ser generalizada.8,9 Los síntomas menos comunes pueden incluir presencia de reacciones cutáneas, náuseas, vómito, odinofagia, calofríos, epigastralgia y poliartralgia. La hepatoesplenomegalia puede ocurrir en conjunto con manifestaciones neurológicas –la más común meningitis aséptica– y reacciones dermatológicas.8,9



DIAGNÓSTICO

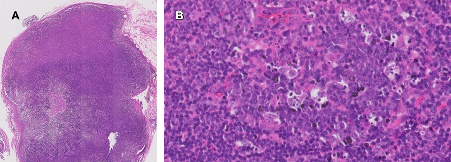
El diagnóstico se realiza mediante histopatología, por biopsia excisional de un ganglio afectado. Se observa una alteración en la arquitectura del ganglio linfático, con participación cortical y paracortical, así como necrosis coagulativa y apoptosis en el núcleo central; no se observan neutrófilos o eosinófilos.4 Se describen tres patrones histológicos: proliferativo, necrotizante y xantomatoso. El patrón proliferativo se caracteriza por una paracorteza expandida con láminas de histiocitos y células dendríticas plasmocitoides, mezcladas con linfocitos pequeños y restos nucleares cariorrécticos. La fase necrotizante exhibe necrosis, mientras que la fase xantomatosa muestra un predominio de histiocitos espumosos, independientemente de la presencia de necrosis.3 Como parte del diagnóstico, es importante diferenciar la enfermedad de Kikuchi del linfoma, ya que los síntomas como pérdida de peso, diaforesis nocturna, fiebre y otros pueden estar presentes en ambas condiciones. La histología puede ser similar, pero la expresión de la mieloperoxidasa puede ayudar en la diferenciación.10,11 No existe una prueba serológica específica para el diagnóstico. Un análisis retrospectivo realizado por Dumas y colaboradores en 91 pacientes reveló marcadores inflamatorios elevados en 44%, neutropenia en 28%, linfopenia en 53%, trombocitopenia en 12%, enzimas hepáticas elevadas en 20%, deshidrogenasa láctica (LDH) elevada en 44%, anticuerpos antinucleares (ANA) positivo en 33%, anti-DNA doble cadena positivo en 11%, y serología viral positiva en 8%, que incluyó infecciones por virus Epstein-Barr (EBV), parvovirus B19, herpes virus 6 y virus Coxsackie.12

Los estudios de imágenes, como la tomografía simple, pueden ayudar a evaluar la ubicación y extensión de la adenomegalia, y guiar la biopsia (Figuras 1 y 2). En los estudios de PET/CT, la enfermedad de Kikuchi puede imitar características del linfoma. Los estudios que informaron Tsujikawa y colaboradores,13 Kim y asociados14 y el grupo de Kim, analizaron el SUV (valor de absorción estandarizado) y el SUV corregido y encontraron que podrían ayudar a diferenciar el linfoma no Hodgkin de la enfermedad de Kikuchi. A diferencia del linfoma, la enfermedad de Kikuchi se presenta con adenomegalia generalizada sin compromiso extranodal, por lo que la PET/CT puede ser una gran herramienta para evaluar la extensión ganglionar y en diferenciación de la enfermedad de Kikuchi con linfoma.15



TRATAMIENTO

La enfermedad de Kikuchi tiende a ser benigna, autolimitada y a menudo resuelve sin un tratamiento específico en un plazo de uno a cuatro meses. En casos raros, las tasas de mortalidad varían de 0.5 a 2.1% debido a infiltración miocárdica, hemorragia cerebral por trombocitopenia y síndrome hemofagocítico.16-18 No existen pautas específicas para el manejo de la enfermedad de Kikuchi y las recomendaciones se basan en los informes de casos y opiniones de expertos. Por lo general, se recomienda la observación para todos los pacientes asintomáticos. Para los síntomas incapacitantes, el tratamiento convencional incluye antiinflamatorios no esteroideos, antipiréticos y medidas de apoyo. En casos de síntomas refractarios o graves, se pueden recomendar glucocorticoides, hidroxicloroquina e inmunoglobulina. Se informó el potencial de remisión de Anakinra, un inhibidor del receptor de interleucina-1, en un informe de caso. Se utilizó debido a síntomas clínicos recurrentes a pesar del tratamiento convencional con esteroides e hidroxicloroquina, lo que resultó en una remisión exitosa.10



DISCUSIóN

Se estima que la recurrencia de enfermedad de Kikuchi puede ocurrir hasta en 3% de los casos. En 2020, Jung y colaboradores realizaron un estudio que involucró 480 pacientes con enfermedad de Kikuchi; encontraron que hasta 11% de los pacientes tuvo una recurrencia y además se observó que en la recurrencia suelen presentarse con síntomas extranodales, linfopenia y mayor tiempo de recuperación en la cuenta de linfocitos en comparación al primer episodio.5,6 En otro estudio, publicado en 2008 por Young Song y asociados en Corea, que incluyó a 102 pacientes, se informó una tasa de recurrencia de hasta 20.6%. Esto se podría deberse a que los casos leves a menudo son pasados por alto y no se informan en los estudios.4



CONCLUSIONES

La enfermedad de Kikuchi-Fujimoto es una afección rara que afecta principalmente a individuos jóvenes de origen asiático. Representa un desafío diagnóstico para los médicos, ya que puede imitar diversas enfermedades y, en ocasiones, puede ser diagnosticada erróneamente como linfoma, a pesar de los avances en patología diagnóstica. A largo plazo, esta enfermedad tiene un pronóstico favorable y en general sólo requiere tratamiento antiinflamatorio y medidas generales. Sin embargo, es importante vigilar de cerca el progreso del paciente, ya que una pequeña proporción puede presentar recurrencias.


REFERENCIAS (EN ESTE ARTÍCULO)

  1. Kikuchi M. Lymphadenitis showing focal reticulum cell hyperplasia with nuclear debris and phagocytosis. Nippon Ketsueki Gakkai Zasshi. 1972; 35: 379-380.

  2. Gism Elseed I, Osman H, Ahmedfiqi O, Najmi F, Al-Hebshi A. Kikuchi-Fujimoto disease: a rare benign cause of lymphadenopathy that mimics malignant lymphoma. Cureus. 2022; 14 (3): e23177.

  3. Perry AM, Choi SM. Kikuchi-Fujimoto disease: a review. Arch Pathol Lab Med. 2018; 142 (11): 1341-1346.

  4. Deaver D, Horna P, Cualing H, Sokol L. Pathogenesis, diagnosis, and management of Kikuchi-Fujimoto disease. Cancer Control. 2014; 21 (4): 313-321.

  5. Racette SD, Alexiev BA, Angarone MP, Bhasin A, Lima K, Jennings LJ et al. Kikuchi-Fujimoto disease presenting in a patient with SARS-CoV-2: a case report. BMC Infect Dis. 2021; 21 (1): 740.

  6. Al Ghadeer HA, AlKadhem SM, AlMajed MS, AlAmer HM, AlHabeeb JA, Alomran SH et al. Kikuchi-Fujimoto disease following COVID-19. Cureus. 2022; 14 (1): e21049.

  7. Saito Y, Suwa Y, Kaneko Y, Tsujiwaki M, Odagawa Y. Kikuchi-Fujimoto disease following COVID-19 infection in a 7-year-old girl: a case report and literature review. Cureus. 2022; 14 (7): e26540.

  8. Cheng CY, Sheng WH, Lo YC, Chung CS, Chen YC, Chang SC. Clinical presentations, laboratory results and outcomes of patients with Kikuchi's disease: emphasis on the association between recurrent Kikuchi's disease and autoimmune diseases. J Microbiol Immunol Infect. 2010; 43 (5): 366-371.

  9. Song JY, Lee J, Park DW, Sohn JW, Suh SI, Kim IS et al. Clinical outcome and predictive factors of recurrence among patients with Kikuchi's disease. Int J Infect Dis. 2009; 13 (3): 322-326.

  10. Faheem B, Kumar V, Ashkar H, Komal F, Sultana Y. Recurrent Kikuchi-Fujimoto disease masquerading as lymphoma successfully treated by anakinra. Cureus. 2020; 12 (11): e11655.

  11. Barbat B, Jhaj R, Khurram D. Fatality in Kikuchi-Fujimoto disease: a rare phenomenon. World J Clin Cases. 2017; 5 (2): 35-39.

  12. Dumas G, Prendki V, Haroche J, Amoura Z, Cacoub P, Galicier L et al. Kikuchi-Fujimoto disease: retrospective study of 91 cases and review of the literature. Medicine (Baltimore). 2014; 93 (24): 372-382.

  13. Tsujikawa T, Tsuchida T, Imamura Y, Kobayashi M, Asahi S, Shimizu K et al. Kikuchi-Fujimoto disease: PET/CT assessment of a rare cause of cervical lymphadenopathy. Clin Nucl Med. 2011; 36 (8): 661-664.

  14. Kim JE, Lee EK, Lee JM, Bae SH, Choi KH, Lee YH et al. Kikuchi-Fujimoto disease mimicking malignant lymphoma with 2-[(18)F]fluoro-2-deoxy-D-glucose PET/CT in children. Korean J Pediatr. 2014; 57 (5): 226-231.

  15. Wang S, Du B, Li X, Li Y. Positron emission tomography/computed tomography hypermetabolism of Kikuchi-Fujimoto disease mimicking malignant lymphoma: a case report and literature review. J Int Med Res. 2021; 49 (7): 3000605211032859.

  16. Seong H, Jeong YH, Lee WJ, Kim JH, Kim JH, Ahn JY et al. Splenic uptake on FDG PET/CT correlates with Kikuchi-Fujimoto disease severity. Sci Rep. 2021; 11 (1): 10836.

  17. Jung HJ, Lee IJ, Yoon SH. Risk assessment of recurrence and autoimmune disorders in kikuchi disease. Risk Manag Healthc Policy. 2020; 13: 1687-1693.

  18. Salamat S, Chan J, Jolly K, Powell G, Harrison K, Ahanger S et al. Kikuchi-Fujimoto disease and prognostic implications. Head Neck Pathol. 2020; 14 (1): 272-275.



AFILIACIONES

1 Hospital Angeles Pedregal. Ciudad de México, México.

2 Estudiante de postgrado de Medicina Interna.

3 Jefe del Departamento de Patología Clínica.

4 Jefe del Departamento de Radiología e Imagen.

5 Jefe del Departamento de Hematología. ORCID: 0009-0003-8304-6652



CORRESPONDENCIA

Dr. Rafael Hurtado Monroy. Correo electrónico: rafahurtado@prodigy.net.mx




Aceptado: 11-03-2024.

Figura 1
Figura 2

2020     |     www.medigraphic.com

Mi perfil

C?MO CITAR (Vancouver)

Acta Med. 2025;23

ARTíCULOS SIMILARES

CARGANDO ...