medigraphic.com
ENGLISH

Acta Ortopédica Mexicana

ISSN 2992-8036 (Digital)
ISSN 2306-4102 (Impreso)
Órgano Oficial del Colegio Mexicano de Ortopedia y Traumatología
  • Mostrar índice
  • Números disponibles
  • Información
    • Información general        
    • Directorio
  • Publicar
    • Instrucciones para autores        
  • medigraphic.com
    • Inicio
    • Índice de revistas            
    • Registro / Acceso
  • Mi perfil

2025, Número 2

<< Anterior Siguiente >>

Acta Ortop Mex 2025; 39 (2)


Osteomielitis del astrágalo en lactantes tras la vacunación con bacilo de Calmette-Guérin (BCG)

Eamara P, Kohan-Fortuna-Figueira S, Halliburton C, Masquijo J, Allende V
Texto completo Cómo citar este artículo 10.35366/119391

DOI

DOI: 10.35366/119391
URL: https://dx.doi.org/10.35366/119391
Artículos similares

Idioma: Ingles.
Referencias bibliográficas: 17
Paginas: 99-103
Archivo PDF: 382.80 Kb.


PALABRAS CLAVE

osteomielitis por BCG, susceptibilidad mendeliana a enfermedades micobacterianas, Mycobacterium bovis, niños.

RESUMEN

La osteomielitis causada por el bacilo de Calmette-Guérin (BCG) es una complicación poco frecuente de la vacunación con Mycobacterium bovis. Las lesiones suelen localizarse en la metáfisis o epífisis de los huesos largos, pero rara vez afectan el pie. En este informe se describen dos casos de osteomielitis por BCG que afectaban el astrágalo en lactantes de 13 y ocho meses de edad. La osteomielitis por BCG debe sospecharse en niños menores de dos años con osteomielitis insidiosa, acompañada de hallazgos característicos en las imágenes.


REFERENCIAS (EN ESTE ARTÍCULO)

  1. Limpaphayom N, Osateerakun P, Theamboonlers A, Korkong S, Poovorawan Y. Infantile osteoarticular tuberculosis misdiagnosed as Bacillus Calmette-Guerin related osteomyelitis. SICOT J. 2015; 1: 20.

  2. Choi WJ, Han SH, Joo JH, Kim BS, Lee JW. Diagnostic dilemma of tuberculosis in the foot and ankle. Foot Ankle Int. 2008; 29(7): 711-715.

  3. Gaglio R. Terapéutica Racional en Atención Primaria de la Salud (TRAPS). Programa de capacitación. de la Nación Argentina D de EM de S, ed. 2018; 10: 19-20.

  4. Koyama A, Toida I, Nakata S. Osteitis as a complication of BCG vaccination. Kekkaku. 2009; 84(3): 125-132.

  5. Clavel G, Grados F, Lefauveau P, Fardellone P. Osteoarticular side effects of BCG therapy. Joint Bone Spine. 2006; 73(1): 24-28.

  6. Gharehdaghi M, Hassani M, Ghodsi E, Khooei A, Moayedpour A. Bacille Calmette-Guérin Osteomyelitis. Arch Bone Jt Surg. 2015; 3(4): 291-295.

  7. Choi YY, Han MS, Lee HJ, Yun KW, Shin CH, Yoo WJ, et al. Mycobacterium bovis osteitis following Immunization with Bacille Calmette-Guérin (BCG) in Korea. J Korean Med Sci. 2019; 34(1): e3.

  8. Kim SH, Kim SY, Eun BW, Yoo WJ, Park KU, Choi EH, et al. BCG osteomyelitis caused by the BCG Tokyo strain and confirmed by molecular method. Vaccine. 2008; 26(34): 4379-4381.

  9. Bustamante J, Boisson-Dupuis S, Abel L, Casanova JL. Mendelian susceptibility to mycobacterial disease: genetic, immunological, and clinical features of inborn errors of IFN-γ immunity. Semin Immunol. 2014; 26(6): 454-470.

  10. Kroger L, Korppi M, Brander E, Kroger H, Wasz-Hockert O, Backman A, et al. Osteitis caused by bacille Calmette-Guérin vaccination: a retrospective analysis of 222 cases. J Infect Dis. 1995; 172(2): 574-576.

  11. Avcu G, Sahbudak-Bal Z, Cavusoglu C, Vardar F. Osteomyelitis Caused by Bacillus Calmette-Guérin Vaccination in a Healthy Toddler. J Trop Pediatr. 2020; 66(1): 103-105.

  12. Yoo WJ, Choi IH, Yun YH, Cho TJ, Cheon JE, Song MH, et al. Primary epiphyseal osteomyelitis caused by mycobacterium species in otherwise healthy toddlers. J Bone Joint Surg Am. 2014; 96(17): e145.

  13. Agarwal A, Qureshi NA, Khan SA, Kumar P, Samaiya S. Tuberculosis of the foot and ankle in children. J Orthop Surg. 2011; 19(2): 213-217.

  14. Chen SH, Lee CH, Wong T, Feng HS. Long-term retrospective analysis of surgical treatment for irretrievable tuberculosis of the ankle. Foot Ankle Int. 2013; 34(3): 372-379.

  15. Tsujioka Y, Nozaki T, Nishimura G, Miyazaki O, Jinzaki M, Kono T. BCG osteomyelitis: tips for diagnosis. Skeletal Radiol. 2022; 51(8): 1571-1584.

  16. World Health Organization. WHO operational handbook on tuberculosis. module 5: management of tuberculosis in children and adolescents. World Health Organization; 2022. Available in: https://www.who.int/publications/i/item/9789240046832

  17. Arakaki-Sanchez D, Brito RC. Manual de recomendacoes para o controle da tuberculose no Brasil. 2011. Available in: https://www.gov.br/saude/pt-br/assuntos/saude-de-a-a-z/t/tuberculose/publicacoes/manual-de-recomendacoes-para-o-controle-da-tuberculose-no-brasil.pdf/view




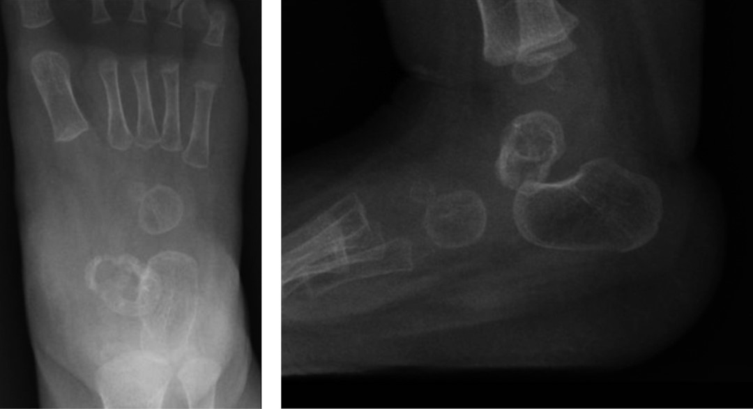
Figura 1
Figura 2
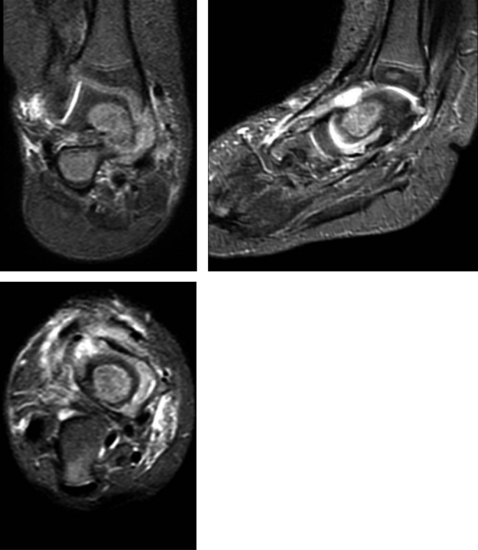
Figura 3
Figura 4
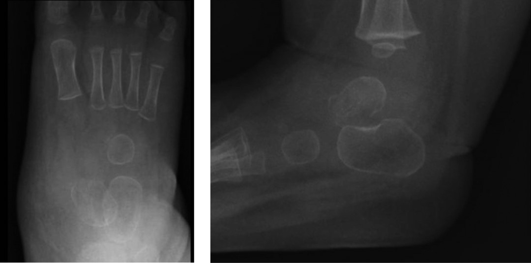
Figura 5
Figura 6
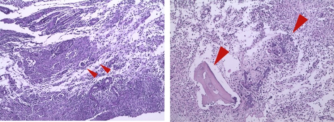
Figura 7
Tabla 1

2020     |     www.medigraphic.com

Mi perfil

C?MO CITAR (Vancouver)

Acta Ortop Mex. 2025 Mar-Abr;39

ARTíCULOS SIMILARES

CARGANDO ...