medigraphic.com
ENGLISH

Acta Ortopédica Mexicana

ISSN 2992-8036 (Digital)
ISSN 2306-4102 (Impreso)
Órgano Oficial del Colegio Mexicano de Ortopedia y Traumatología
  • Mostrar índice
  • Números disponibles
  • Información
    • Información general        
    • Directorio
  • Publicar
    • Instrucciones para autores        
  • medigraphic.com
    • Inicio
    • Índice de revistas            
    • Registro / Acceso
  • Mi perfil

2025, Número 2

<< Anterior

Acta Ortop Mex 2025; 39 (2)


Osteomielitis de codo por Candida tropicalis en leucemia linfoblástica aguda. Reporte de un caso

Kohan-Fortuna-Figueira S, Latorre M, Dardanelli P, Halliburton C, Bosio S, Puigdevall M
Texto completo Cómo citar este artículo 10.35366/119394

DOI

DOI: 10.35366/119394
URL: https://dx.doi.org/10.35366/119394
Artículos similares

Idioma: Ingles.
Referencias bibliográficas: 17
Paginas: 117-120
Archivo PDF: 292.31 Kb.


PALABRAS CLAVE

osteomielitis, Candida tropicalis, leucemia linfoblástica aguda, niño.

RESUMEN

Introducción: los síntomas musculoesqueléticos en las extremidades son frecuentes en pacientes pediátricos con leucemia linfoblástica aguda. La presentación insidiosa y oligosintomática de distintas afecciones musculoesqueléticas en estos pacientes genera con frecuencia distintas sospechas diagnósticas que pueden retrasar el manejo adecuado de la patología. Las infecciones osteoarticulares por Candida no albicans son una entidad poco frecuente que puede verse en pacientes inmunocomprometidos. Se describe un caso de infección osteoarticular causada por un hongo oportunista en un paciente pediátrico con leucemia linfoblástica aguda en su segunda semana de descanso postbloqueo de consolidación. Presentación del caso: paciente de cuatro años con antecedente de leucemia linfoblástica aguda en etapa de consolidación, que desarrolla un cuadro oligosintomático de osteomielitis de codo por Candida tropicalis. Se realizaron dos procedimientos quirúrgicos de toilette y desbridamiento del codo asociado a la administración de antifúngicos y antibióticos, presentando una buena evolución a los seis meses postoperatorios sin secuelas óseas luego de tres años de seguimiento. Conclusión: la infección por C. tropicalis debe incluirse en el diagnóstico diferencial de las infecciones osteoarticulares en pacientes inmunocomprometidos. El diagnóstico y tratamiento rápido es primordial para evitar secuelas osteoarticulares.


REFERENCIAS (EN ESTE ARTÍCULO)

  1. Gallagher DJ, Phillips DJ, Heinrich SD. Orthopedic manifestations of acute pediatric leukemia. Orthop Clin North Am. 1996; 27(3): 635-44.

  2. Brumariu O, Miron I, Cernahoschi I, Maimescu L, Bradatan L, Vlad A, et al. Manifest?ri osteo-articulare în leucemii, limfoame ?i neuroblastoame la copil [Osteoarticular changes in childhood leukemia, lymphoma and neuroblastoma]. Rev Med Chir Soc Med Nat Iasi. 2000; 104(4): 67-9.

  3. Zombori L, Kovacs G, Csoka M, Derfalvi B. Rheumatic symptoms in childhood leukaemia and lymphoma-a ten-year retrospective study. Pediatr Rheumatol Online J. 2013; 11: 20.

  4. Riccio I, Marcarelli M, Del Regno N, Fusco C, Di Martino M, Savarese R, et al. Musculoskeletal problems in pediatric acute leukemia. J Pediatr Orthop B. 2013; 22(3): 264-9.

  5. Gamaletsou MN, Rammaert B, Brause B, Bueno MA, Dadwal SS, Henry MW, et al. Osteoarticular mycoses. Clin Microbiol Rev. 2022; 35(4): e0008619.

  6. Ward E, DeSantis C, Robbins A, Kohler B, Jemal A. Childhood and adolescent cancer statistics, 2014. CA Cancer J Clin. 2014; 64(2): 83-103.

  7. Sahbudak Bal Z, Yilmaz Karapinar D, Karadas N, Sen S, Onder Sivis Z, et al. Proven and probable invasive fungal infections in children with acute lymphoblastic leukaemia: results from an university hospital, 2005-2013. Mycoses. 2015; 58(4): 225-32.

  8. Wang SS, Kotecha RS, Bernard A, Blyth CC, McMullan BJ, Cann MP, et al. Invasive fungal infections in children with acute lymphoblastic leukaemia: Results from four Australian centres, 2003-2013. Pediatr Blood Cancer. 2019; 66(10): e27915.

  9. Neofytos D, Huprikar S, Reboli A, Schuster M, Azie N, Franks B, et al. Treatment and outcomes of Candida osteomyelitis: review of 53 cases from the PATH Alliance® registry. Eur J Clin Microbiol Infect Dis. 2014; 33(1): 135-41.

  10. Alvarez-Lerma F, Nolla-Salas J, León C, Palomar M, Jordá R, Carrasco N, et al. Candiduria in critically ill patients admitted to intensive care medical units. Intensive Care Med. 2003; 29(7): 1069-76.

  11. Kauffman CA, Vazquez JA, Sobel JD, Gallis HA, McKinsey DS, Karchmer AW, et al. Prospective multicenter surveillance study of funguria in hospitalized patients. The National Institute for Allergy and Infectious Diseases (NIAID) Mycoses Study Group. Clin Infect Dis. 2000; 30(1): 14-8.

  12. Kontoyiannis DP, Vaziri I, Hanna HA, Boktour M, Thornby J, Hachem R, et al. Risk factors for Candida tropicalis fungemia in patients with cancer. Clin Infect Dis. 2001; 33(10): 1676-81.

  13. Nucci M, Colombo AL. Candidemia due to Candida tropicalis: clinical, epidemiologic, and microbiologic characteristics of 188 episodes occurring in tertiary care hospitals. Diagn Microbiol Infect Dis. 2007; 58(1): 77-82.

  14. Negri M, Martins M, Henriques M, Svidzinski TI, Azeredo J, Oliveira R. Examination of potential virulence factors of Candida tropicalis clinical isolates from hospitalized patients. Mycopathologia. 2010; 169(3): 175-82.

  15. Negri M, Silva S, Henriques M, Oliveira R. Insights into Candida tropicalis nosocomial infections and virulence factors. Eur J Clin Microbiol Infect Dis. 2012; 31(7): 1399-412.

  16. Xie L, Long Q, Zhou G, Liu S, Wen FQ. Successful outcome of disseminated Candida tropicalis osteomyelitis on remission induction for childhood Philadelphia chromosome-positive acute lymphoblastic leukaemia-case report. Ital J Pediatr. 2021; 47(1): 27.

  17. Pappas PG, Kauffman CA, Andes DR, Clancy CJ, Marr KA, Ostrosky-Zeichner L, et al. Clinical practice guideline for the management of candidiasis: 2016 update by the infectious Diseases Society of America. Clin Infect Dis. 2016; 62(4): e1-50.




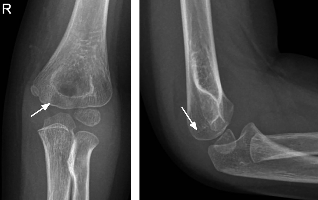
Figura 1
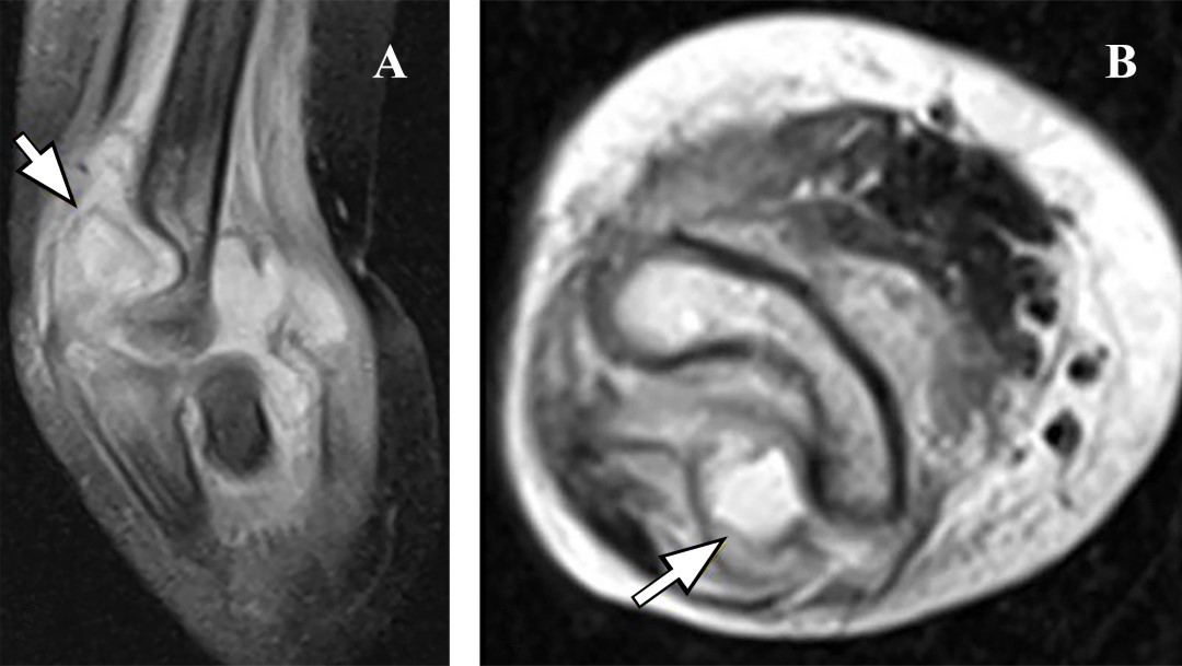
Figura 2
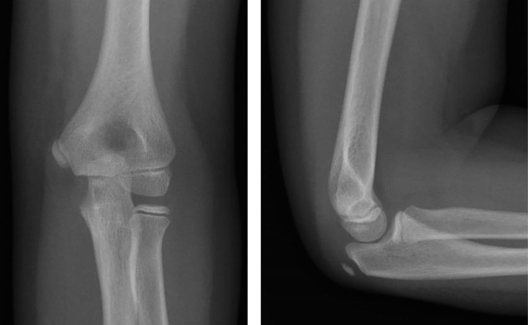
Figura 3
Figura 4

2020     |     www.medigraphic.com

Mi perfil

C?MO CITAR (Vancouver)

Acta Ortop Mex. 2025 Mar-Abr;39

ARTíCULOS SIMILARES

CARGANDO ...