medigraphic.com
ENGLISH

Cirugía Cardiaca en México

ISSN 2448-5640 (Impreso)
Diario Oficial de la Sociedad Mexicana de Cirugía Cardiaca, A.C., y del Colegio Mexicano de Cirugía Cardiovascular y Torácica, A.C.
  • Mostrar índice
  • Números disponibles
  • Información
    • Información general        
    • Directorio
  • Publicar
    • Instrucciones para autores        
    • Envío de artículos
  • medigraphic.com
    • Inicio
    • Índice de revistas            
    • Registro / Acceso
  • Mi perfil

2025, Número 2

<< Anterior Siguiente >>

Cir Card Mex 2025; 10 (2)


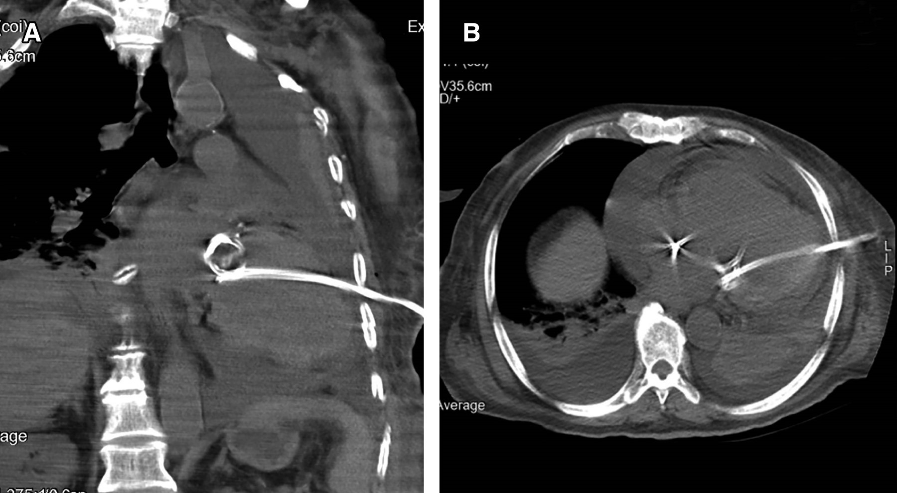
Directo al corazón: lesión ventricular por catéter torácico percutáneo

Parra-Salazar JJ, Vera-Domínguez E
Texto completo Cómo citar este artículo 10.35366/119671

DOI

DOI: 10.35366/119671
URL: https://dx.doi.org/10.35366/119671
Artículos similares

Idioma: Ingles.
Referencias bibliográficas: 9
Paginas: 51-55
Archivo PDF: 2285.30 Kb.


PALABRAS CLAVE

perforación ventricular, tubo endopleural, drenaje percutáneo, corazón, complicación.

RESUMEN

Presentamos el caso de un paciente masculino quien fue tratado en el departamento de urgencias por derrame pleural izquierdo mediante un drenaje torácico. Posterior a la colocación se obtuvo gasto hemático inmediato. Se realizó tomografía de tórax, así como ecocardiograma que evidenció posición de tubo de drenaje en ventrículo izquierdo. Se realizó intervención quirúrgica para el retiro de catéter mediante toracotomía anterior izquierda con extracción exitosa.


REFERENCIAS (EN ESTE ARTÍCULO)

  1. Vetrugno L, Guadagnin GM, Orso D, Boero E, Bignami E, Bove T. An easier and safe affair, pleural drainage with ultrasound in critical patient: a technical note. Crit Ultrasound J. 2018;10(1):18. doi: 10.1186/s13089-018-0098-z.

  2. Kwiatt M, Tarbox A, Seamon MJ, et al. Thoracostomy tubes: a comprehensive review of complications and related topics. Int J Crit Illn Inj Sci. 2014;4(2):143-155. doi: 10.4103/2229-5151.134182.

  3. Filosso PL, Sandri A, Felletti G, Ruffini E, Lausi PO, Oliaro A. Preliminary results of a new small-bore percutaneous pleural catheter used for treatment of malignant pleural effusions in ECOG PS 3-4 patients. Eur J Surg Oncol. 2011;37(12):1093-1098. doi: 10.1016/j.ejso.2011.09.037.

  4. Haron H, Rashid NA, Dimon MZ, et al. Chest tube injury to left ventricle: complication or negligence? Ann Thorac Surg. 2010;90(1):308-309. doi: 10.1016/j.athoracsur.2010.01.075.

  5. Goltz JP, Gorski A, Böhler J, Kickuth R, Hahn D, Ritter CO. Iatrogenic perforation of the left heart during placement of a chest drain. Diagn Interv Radiol. 2011;17(3):229-231. doi: 10.4261/1305-3825.DIR.3131-09.0.

  6. Kim D, Lim SH, Seo PW. Iatrogenic Perforation of the Left Ventricle during Insertion of a Chest Drain. Korean J Thorac Cardiovasc Surg. 2013;46(3):223-225. doi: 10.5090/kjtcs.2013.46.3.223.

  7. Ahn S, Moon MH, Park CB, Suh JH. A chest tube misplaced in the heart? Eur J Cardiothorac Surg. 2018;53(5):1091-1092. doi: 10.1093/ejcts/ezx412.

  8. Hromalik LR Jr, Wall MJ Jr, Mattox KL, Tsai PI. Penetrating cardiac injury: a narrative review. Mediastinum. 2023;7:15. doi: 10.21037/med-22-18.

  9. Ball CG, Lee A, Kaminsky M, Hameed SM. Technical considerations in the management of penetrating cardiac injury. Can J Surg. 2022;65(5):E580-E592. doi: 10.1503/cjs.008521.




Figura 1
Figura 2
Figura 3
Figura 4

2020     |     www.medigraphic.com

Mi perfil

C?MO CITAR (Vancouver)

Cir Card Mex. 2025;10

ARTíCULOS SIMILARES

CARGANDO ...