medigraphic.com
ENGLISH

Revista Mexicana de Cirugía Bucal y Maxilofacial

ISSN 2007-3178 (Impreso)
Asociación Mexicana de Cirugía Bucal y Maxilofacial, Colegio Mexicano de Cirugía Bucal y Maxilofacial, A.C.
  • Mostrar índice
  • Números disponibles
  • Información
    • Información general        
    • Directorio
  • Publicar
    • Instrucciones para autores        
    • Envío de artículos
  • medigraphic.com
    • Inicio
    • Índice de revistas            
    • Registro / Acceso
  • Mi perfil

2025, Número 1

<< Anterior

Rev Mex Cir Bucal Maxilofac 2025; 21 (1)


Osteoma en ángulo mandibular de localización yuxtacortical. Presentación de un caso

Ramos-Nieto, José de Jesús1,2; Cuadra-Zelaya, Florence Juana María1,3; Salgado-Chavarría, Fabiola1,4; González-López, Gabriela1,5; Mena-Tapia, Camila Elloisa6; Martínez-Vásquez, Marco Antonio7; Neri-Peña, Josué8
Texto completo Cómo citar este artículo 10.35366/119810

DOI

DOI: 10.35366/119810
URL: https://dx.doi.org/10.35366/119810
Artículos similares

Idioma: Español
Referencias bibliográficas: 20
Paginas: 44-49
Archivo PDF: 415.13 Kb.


PALABRAS CLAVE

osteoma, yuxtacortical, lesiones óseas, patología medicina oral y maxilofacial, cirugía oral y maxilofacial.

RESUMEN

Introducción: el osteoma es una neoplasia benigna formadora de hueso constituida por hueso maduro y que está restringida casi de manera exclusiva a los maxilares, siendo la mandíbula mayormente afectada que el maxilar; representa el 11 y 1% de los tumores óseos benignos y tumores óseos en general, respectivamente. No muestra predilección de sexo y es más frecuente entre la segunda y tercera décadas de la vida. Su etiología es incierta y afecta en mayor medida a los huesos formados por osificación intramembranosa. Histológicamente se caracterizan por hueso lamelar compacto o trabecular, en el cual los osteoblastos y osteoclastos suelen ser indistinguibles. Radiográficamente se pueden presentar como lesiones circunscritas escleróticas, aunque las lesiones iniciales pueden ser radiolúcidas o mixtas. Objetivo: presentación de caso clínico y revisión narrativa. Caso clínico: se presenta el caso de un paciente masculino de 28 años, sin antecedentes patológicos de importancia. Se identifica una zona radiopaca homogénea localizada en la cortical basal de la mandíbula del lado izquierdo, próxima al ángulo mandibular; de aspecto lobulado con bordes bien definidos, que pasa desapercibida y asintomática, de tiempo de evolución desconocido. Se realiza tratamiento quirúrgico, posteriormente, el resultado histopatológico reporta un osteoma constituido por presencia de tejido óseo maduro lamelar con espacios medulares y osteocitos en sus lagunas, además de escasos osteoblastos hacia la periferia de las trabéculas óseas. En el seguimiento clínico, el paciente no presenta alteraciones.



INTRODUCCIóN

El osteoma es una neoplasia benigna formadora de hueso constituida por hueso maduro y que está restringida casi de manera exclusiva a los maxilares, siendo la mandíbula mayormente afectada que el maxilar. Respecto a los huesos craneofaciales, se presenta con mayor frecuencia en los senos frontales.1,2

Suelen detectarse en pacientes adultos, y aquellos que afectan la mandíbula se localizan con mayor frecuencia en la superficie lingual a nivel de premolares y molares. El ángulo mandibular, la rama y la apófisis coronoides son localizaciones menos frecuentes.1-3

Representa el 11 y 1% de los tumores óseos benignos y tumores óseos en general, respectivamente. No muestra predilección de sexo y es más frecuente entre la segunda y tercera décadas de la vida.4 Su etiología es incierta, se sugieren múltiples factores como los desencadenantes de su desarrollo, por ejemplo inflamación, estrés durante la masticación, predisposición genética, factores ambientales e incluso la presencia de enfermedades sistémicas.1-5

Esta lesión afecta de manera predominante a los huesos formados por osificación intramembranosa; aquellos que no son de este origen se desarrollan en los huesos largos. Los estudios de imagen son necesarios para identificar el origen, extensión del tumor y para la planificación quirúrgica, si éste lo requiere. Imagenológicamente se observa un aumento de volumen de bordes bien definidos, densidad uniforme cercana o igual a la del hueso cortical y un rasgo característico es su homogeneidad; sin embargo, en aquellos pacientes que presentan tres o más lesiones, se requiere una evaluación integral para descartar asociación con síndrome de Gardner, desorden que incluye osteomas, poliposis intestinal, múltiples quistes epidermoides y anomalías dentales.1-7

Se divide en tres tipos de acuerdo a su origen: central, periférico y extraesqueletal. Los osteomas extraesqueletales se localizan típicamente dentro del músculo o en la dermis de la piel (osteoma cutis).1-9

Radiográficamente se pueden presentar como lesiones circunscritas escleróticas, aunque las lesiones iniciales pueden ser radiolúcidas o mixtas. Las lesiones pequeñas y asintomáticas no requieren tratamiento, pero sí seguimiento a largo plazo. Para aquellos que presentan sintomatología, un tratamiento adecuado es la escisión conservadora; la recurrencia es rara y no se han reportado datos de transformación maligna.1-9

Histológicamente se caracterizan por hueso laminillar compacto o trabecular, en el cual los osteoblastos y osteoclastos suelen ser indistinguibles.

Alrededor del 40% de los osteomas sinusales y orbitales contienen áreas tipo osteoblastoma que representan un proceso de remodelado óseo activo.1 Los osteomas de los senos frontales son más comunes, seguidos de los etmoidales y maxilares. Suelen ser asintomáticos, sin embargo, algunos se presentan como lesiones dolorosas que ocasionan sinusitis con descargas nasales, desplazamiento e impactación dental y aquellas que alcanzan un gran tamaño, asimetría facial.9-12 Comparten ciertas características histopatológicas con el osteoma osteoide y el osteoblastoma, que también pertenecen al grupo de neoplasias benignas formadoras de hueso y que se diferencian uno del otro mediante el tamaño, siento el primero menor a 2 cm y el osteoblastoma mayor a 2 cm. A diferencia del osteoma, suelen presentar sintomatología dolorosa nocturna, misma que remite con antiinflamatorios no esteroideos. Estas entidades han demostrado un patrón de expresión distintivo de la proteína c-FOS, mediante inmunohistoquímica, por lo que dicho marcador es útil para su diagnóstico.13



PRESENTACIóN DEL CASO

Se trata de paciente masculino de 28 años, sin antecedentes patológicos de importancia, antecedentes heredofamiliares con padre y toda la línea paterna con hipertensión arterial esencial. Inicia padecimiento actual refiriendo disociación temporomandibular y bruxismo nocturno con signos vitales dentro de los parámetros normales.

Acude a consulta odontológica donde se solicita la toma de una ortopantomografía de control en la que se identificó una zona radiopaca homogénea de aproximadamente un centímetro de diámetro localizada en la cortical basal de la mandíbula del lado izquierdo, próxima al ángulo mandibular; de aspecto lobulado con bordes bien definidos, asintomática, que pasa desapercibida extraoralmente, de tiempo de evolución desconocido (Figura 1A). Después de tres años refirió crecimiento de la lesión previamente descrita y se realizó nuevamente la toma de estudios de imagen donde se confirmó el aumento de tamaño (Figura 1B). Ante los cambios presentados se decidió realizar la exéresis de la misma bajo el diagnóstico presuntivo de odontoma complejo (Figura 2A). El abordaje se llevó a cabo bajo anestesia general balanceada; previo marcaje quirúrgico para delimitar referencias anatómicas de importancia, infiltración de lidocaína con epinefrina 72 mg/36 μg realizando abordaje tipo Risdon, posterior disección a cuerpo y ángulo mandibular izquierdo. Se procede a la exéresis del tejido (Figura 2B), se verifica hemostasia y cierre del abordaje. Concluye procedimiento sin incidencias ni complicaciones. El espécimen consistió en un fragmento único de tejido duro de 2.5 × 2.3 × 2.2 cm, de forma oval, superficie lobulada, color café claro y consistencia dura (Figura 3).

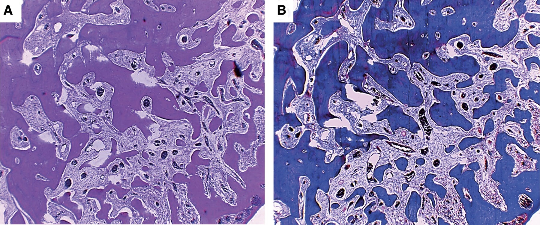
Se egresa paciente a domicilio con serratiopeptidasa 10 mg cada 8 horas, con ketorolaco 30 mg sublingual cada 8 horas por tres días con mejoría progresiva y desinflamación paulatina. Posterior a la desmineralización y procesado del tejido, los cortes histológicos examinados evidenciaron la presencia de tejido óseo maduro lamelar con espacios medulares y osteocitos en sus lagunas, además de escasos osteoblastos hacia la periferia de las trabéculas óseas. Como parte de los estudios de extensión, se realizó una tinción con tricrómico de Masson, la cual evidenció la presencia de colágena de tipo I constituyendo la matriz osteoide (Figura 4). Con base en los hallazgos imagenológicos e histopatológicos se emitió el diagnóstico final de osteoma periférico mandibular.

A la valoración postquirúrgica, después de seis meses del procedimiento, el paciente se encuentra asintomático. En la ortopantomografía de control sólo se observan cambios postquirúrgicos de la resección (Figura 5).



DISCUSIóN

El osteoma es una neoplasia benigna osteoformadora compuesta por hueso maduro, localizada casi exclusivamente en los maxilares y los huesos craneofaciales, el cual presenta una osificación intramembranosa.1,2,6

La etiología de los osteomas esporádicos es desconocida,5 aunque en un artículo recientemente publicado por Baumhoer y colaboradores (2022), mostraron que los osteomas representan neoplasias inducidas genéticamente y proporcionan evidencia de que la señalización aberrante de WNT/β-catenina juega un papel fundamental en su patogénesis, en concordancia, de que esta vía es crucial en la formación ósea y el mantenimiento de la homeostasis esquelética.1-7

De acuerdo con su localización, pueden clasificarse en periféricos o centrales, siendo esto determinado a su ubicación en el hueso afectado, aquellos que se originan a nivel de la cortical o superficie ósea son clasificados como osteomas periostiales, periféricos o exofíticos y a nivel intramedular denominados osteomas endosteales o centrales.1 La mayoría de veces es una entidad detectada radiográficamente. En el presente caso, fue detectado en un inicio por radiografía, pero con el tiempo, el aumento de tamaño de la lesión fue percibido por el paciente (Figura 1B). En relación con la localización de esta entidad, en el ángulo mandibular y periférico,8 realizaron una revisión de todos los casos de osteomas que afectan el ángulo mandibular, encontrando 32 casos reportados en la literatura inglesa y de los casos de esta revisión junto al presente caso, al realizar la estadística descriptiva, especialmente de los datos clínicos-demográficos de la población afectada (Figura 6), se muestra una mayor prevalencia en el sexo masculino, desde los ocho a los 68 años con una media de 36 años; en relación a los datos clínicos se presenta con mayor frecuencia en la zona del ángulo mandibular del lado izquierdo, con aumento de volumen o asimetría del lado afectado y asintomático; si presenta sintomatología clínica, se ha descrito dolor, disfagia y dificultad al tragar. Con lo anterior, se demuestra que el presente caso descrito posee todas las características clínico-demográficos prevalentes en esta entidad, inclusive, en el presente caso, el osteoma se presenta en el ángulo mandibular, el cual su osificación en esta parte mandibular es de tipo intramembranosa.7-9

En relación con el tratamiento, en el presente caso debido a la observación del paciente del crecimiento y junto al análisis de patología y cirugía oral y maxilofacial, se realizó una extirpación quirúrgica completa, la cual se reporta en la literatura como la terapia estándar de oro (resección quirúrgica total).7-20



CONCLUSIONES

El osteoma es una neoplasia benigna generalmente asintomática y de crecimiento lento que afecta a la región craneofacial y cuando se presenta en los huesos gnáticos, tienen predilección por el hueso mandibular. El tratamiento quirúrgico está indicado cuando el paciente presenta sintomatología y/o asimetría facial. Dicha entidad, no presenta transformación maligna y su recurrencia es poco frecuente, sin embargo, se recomienda un seguimiento radiográfico o extirpación quirúrgica para valorar recidiva de la lesión. Histopatológicamente no hay manera de diferenciar entre una variante periférica o una central, ya que ambas muestran depósito de tejido óseo maduro, ya sea compacto o esponjoso, la determinación de la variante periférica o central se debe realizar con base en la correlación clínica, imagenológica e histopatológica; por lo tanto, el clínico debe conocer bien la entidad para incluirla como diagnóstico diferencial, razón por la cual es importante el reporte de casos como el presente.


REFERENCIAS (EN ESTE ARTÍCULO)

  1. Neville BW, Damm DD, Allen CM, Chi AC. Oral and maxillofacial pathology. 5th ed. Elsevier. 2023.

  2. Consejo Editorial de la Clasificación de Tumores de la OMS. Tumores de cabeza y cuello [Internet; versión beta antes de la impresión]. Lyon (Francia): Agencia Internacional para la Investigación del Cáncer; (Serie de clasificación de tumores de la OMS, 5a ed.; 2022.

  3. Pathologyoutlines.com [Internet]. Pathologyoutlines.com. [Citado el 4 de octubre de 2023]. Disponible en: https://www.pathologyoutlines.com/

  4. Baumhoer D, Berthold R, Isfort I, Heinst L, Ameline B, Grünewald I et al. Recurrent CTNNB1 mutations in craniofacial osteomas. Mod Pathol. 2022; 35 (4): 489-494. Available in: https://doi.org/10.1038/s41379-021-00956-x

  5. Bishop JA, Chan JKC, Gale N, Helliwell T, Hyrcza MD, Lewis JSJ eds. WHO Classification of Tumours Editorial Board. Head and neck tumours. International Agency for Research on Cancer. 5th ed., 2023.

  6. Baumhoer D, Bredella MA, Sumathi VP. Osteoma. In: Nielsen GP, ed. Soft tissue and bone tumours. 5th ed., International Agency for Research on Cancer. 2020.

  7. Horikawa FK, Freitas RR, Maciel FA, Goncalves AJ. Peripheral osteoma of the maxillofacial region: a study of 10 cases. Braz J Otorhinolaryngol. 2012; 78 (5): 38-43. Available in: http://www.bjorl.org/

  8. Ozturk H, Torul D, Yuceer E, Karli R, Baris S. Peripheral osteoma of mandibular angulus: analysis of the literature and report of a new case. Odovtos. 2018; 20 (2): 61-70. Available in: https://doi.org/10.15517/ijds.v0i0.32521

  9. Parada C, Chai Y. Mandible and tongue development. Curr Top Dev Biol. 2015; 115: 31-58. doi: 10.1016/bs.ctdb.2015.07.023.

  10. Tarsitano A, Ricotta F, Spinnato P, Chiesa AM, Di Carlo M, Parmeggiani A et al. Craniofacial osteomas: from diagnosis to therapy. J Clin Med. 2021; 10 (23): 5584. Available in: https://doi.org/10.3390/jcm10235584

  11. Putro YAP, Magetsari R, Taroeno-Hariadi KW, Dwianingsih EK, Pribadi AW, Sukotjo KK. Classic and rare manifestations of multiple osteoma: a case report. Int J Surg Case Rep. 2023; 110: 108713. doi: 10.1016/j.ijscr.2023.108713.

  12. Alkurt MT, Peker I, Demirel O, Akay G, Gungor K, Ucok O. The prevalence of antral exostoses in the maxillary sinuses, evaluated by cone-beam computed tomography. J Dent Sci. 2016; 11 (3): 225-230. doi: 10.1016/j.jds.2015.10.004.

  13. Amary F, Markert E, Berisha F, Ye H, Gerrand C, Cool P et al. FOS expression in osteoid osteoma and osteoblastoma: a valuable ancillary diagnostic tool. Am J Surg Pathol. 2019; 43 (12): 1661-1667. doi: 10.1097/PAS.0000000000001355.

  14. Hansford BG, Pytel P, Moore DD, Stacy GS. Osteoma of long bone: an expanding spectrum of imaging findings. Skeletal Radiol. 2015; 44 (5): 755-761. doi: 10.1007/s00256-014-2046-8.

  15. Bartoli MM, Maciel LFO, de Alencar MGM, da Silva TCG, Vasconcellos RJH. Surgical treatment of osteoma in the basilar region of the mandible. J Craniofac Surg. 2018; 29 (3): e303-e304. doi: 10.1097/SCS.0000000000004354.

  16. Ciaramicolo ND, Junior OF, Bisson GB, Yaedú RYF, Silveira IT. Two rare cases of facial osteoma and literature review. J Bone Res. 2022; 10: 181.

  17. Toner CM, Castle AJ. Benign maxillofacial bone and cartilage tumours. In. El-Naggar AK, Chan JK, Grandis JR, Takata T, Slootweg PJ (eds.). WHO classification of head and neck tumours (4th ed.), IARC Press, Lyon, France, 2017, p. 246.

  18. Tawashi Y, Tawashi K, Beski T, Alhakeem K. Exophthalmos and hemiheadache caused by osteoma in the greater wing of sphenoid bone: an extremely rare case report. Ann Med Surg (Lond). 2023; 85 (5): 2052-2055. doi: 10.1097/MS9.0000000000000504.

  19. Mayer OC, Pampin LF, Huentequeo MC, Pinedo HF. Multiple mandibular osteomas not associated with Gardner syndrome: case report and literature review. Res Rep Oral Maxillofac Surg. 2020; 4: 038. doi: 10.23937/2643-3907/1710038

  20. Fourcade A, Salmon B, Le Pelletier F, Ejeil AL. Peripheral osteoma of the mandibular crest: a short case study. J Oral Med Oral Surg. 2018; 24: 29-32.



AFILIACIONES

1 División de Estudios de Postgrado e Investigación (DEPeI). Universidad Nacional Autónoma de México (UNAM).

2 Profesor de asignatura titular, Facultad de Odontología, Clínica de Patología y Medicina Oral.

3 Profesora, Universidad El Salvador. Patóloga bucal. Práctica privada.

4 Profesora de la especialidad de Cirugía Oral y Maxilofacial.

5 Patóloga bucal. Práctica privada.

6 Cirujana dentista. Práctica privada, UNAM.

7 Cirujano Oral y Maxilofacial. Práctica privada, Instituto Mexicano del Seguro Social (IMSS) Cuajimalpa. Universidad Autónoma del Estado de Morelos (UAEM).

8 Médico general. Práctica privada.



CORRESPONDENCIA

Fabiola Salgado-Chavarría. E-mail: cmf_fabiolasalgado@fo.odonto.unam.mx




Recibido: Febrero 2025. Aceptado: Abril 2025.

Figura 1
Figura 2
Figura 3
Figura 4
Figura 5
Figura 6

2020     |     www.medigraphic.com

Mi perfil

C?MO CITAR (Vancouver)

Rev Mex Cir Bucal Maxilofac. 2025;21

ARTíCULOS SIMILARES

CARGANDO ...