medigraphic.com
ENGLISH

Revista ADM Órgano Oficial de la Asociación Dental Mexicana

ISSN 0001-0944 (Impreso)
Órgano Oficial de la Asociación Dental Mexicana
  • Mostrar índice
  • Números disponibles
  • Información
    • Información general        
    • Directorio
  • Publicar
    • Instrucciones para autores        
    • Envío de artículos
  • medigraphic.com
    • Inicio
    • Índice de revistas            
    • Registro / Acceso
  • Mi perfil

2025, Número 2

<< Anterior Siguiente >>

Rev ADM 2025; 82 (2)


Efecto adyuvante del metronidazol más amoxicilina versus el probiótico Bifidobacterium lactis HN019 en el tratamiento de la periodontitis estadio II grado A y B.

Flores Martínez, Job Enrique1
Texto completo Cómo citar este artículo 10.35366/119878

DOI

DOI: 10.35366/119878
URL: https://dx.doi.org/10.35366/119878
Artículos similares

Idioma: Español
Referencias bibliográficas: 49
Paginas: 62-77
Archivo PDF: 1992.32 Kb.


PALABRAS CLAVE

Bifidobacterium lactis HN019, raspado y alisado radicular, periodontitis estadio II grado A y B, ganancia de inserción clínica, probiótico, metronidazol más amoxicilina.

RESUMEN

El presente trabajo buscó tener como alternativa el protocolo convencional al raspado y alisado radicular (RAR) para detener la progresión de periodontitis, que consiste en la ministración sistémica de la combinación de metronidazol más amoxicilina, considerado el estándar de oro para esta enfermedad, por el uso del probiótico Bifidobacterium lactis HN019; donde después de hacer una revisión bibliográfica se determinó que este probiótico ofrece los mismos resultados o incluso superiores en ganancia de inserción clínica, disminución de sangrado al sondeo generalizado de más de 30%, y de índice de placa dental bacteriana (biofilm) en pacientes que presentan bolsas periodontales de hasta 5 mm con diagnóstico de periodontitis estadio II grado A y B a los pacientes de la unidad de especialidades odontológicas.



ABREVIATURA:

  • RAR = raspado y alisado radicular.



INTRODUCCIóN

Este estudio evaluó la eficacia de dos terapias adyuvantes (antibióticos y probióticos) para el tratamiento periodontal en pacientes que presentan periodontitis estadio II grado A y B, el tratamiento de raspado y alisado radicular (RAR) se realizó en 36 pacientes asignados aleatoriamente en tres grupos, grupo probióticos, donde se evaluó los efectos del probiótico Bifidobacterium Lactis HN019, ya que los efectos del género Bifidobacteria sobre la periodontitis en la actualidad son poco conocidos, el probiótico fue utilizado dos veces al día durante 30 días; grupo antibióticos donde se utilizaron 500 mg de metronidazol más 500 mg de amoxicilina cada ocho horas durante siete días RAR; y el grupo control, al cual no se le dio adyuvante alguno, evaluando y comparando los parámetros clínicos de los tres grupos al término de 30 días una vez iniciado el tratamiento.



MATERIAL Y MéTODOS



PREPARACIÓN

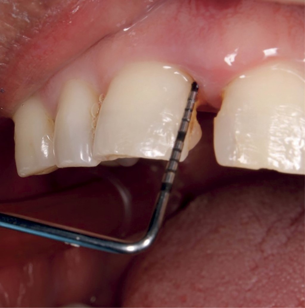
El presente estudio consiste en que una vez captado el paciente que cumpla con los criterios de inclusión, (periodontitis estadio II grado A y B), de manera general a los tres grupos de estudio se les realizó fase I periodontal, la cual incluye control de placa dental bacteriana (biofilm), raspado y alisado radicular de forma manual con curetas Gracey (Hu-Friedy, Chicago, IL, EEUU) medidas ½, ¾, y equipo ultrasónico NSK Varios 370 y puntas G4, G6 y G8, sondeo periodontal inicial con sonda periodontal universal North Carolina-15 (PCPUNC156; Hu-Friedy), registrando el sangrado al sondeo, profundidad al sondeo en el gráfico periodontal del programa en línea Periochart, posterior a ello, dar instrucciones de cuidado e higiene al paciente, así como técnica de cepillado. Posterior a 30 días se hace revaloración periodontal, la cual únicamente incluye registro en el gráfico periodontal anotando la nueva profundidad al sondeo, una vez hecho esto, teniendo periodontograma inicial y final, se hace una comparativa y se realiza la evaluación de ganancia de inserción clínica en bolsas que presentan una profundidad al sondeo de hasta 5 mm.



MEDICIÓN

Para la calibración del examinador se utilizó el coeficiente Kappa mayor o igual a 0.85. Se seleccionaron diez pacientes con al menos cinco dientes con profundidad al sondeo (PAS) y pérdida de inserción clínica (PIC) ≥ 5 mm en sitios proximales. Cada paciente fue examinado dos veces con una sonda periodontal universal North Carolina-15 (PCPUNC156; Hu-Friedy), en un intervalo de 48 horas entre la primera y la segunda evaluación.



GRUPO A: PROBIÓTICO

Doce pacientes con periodontitis estadio I grado A y B. Se realizó el protocolo en común de fase I a los 12 pacientes, se les ministró una caja de probióticos semanalmente, la cual contenía 15 cápsulas con el probiótico Bifidobacterium lactis HN019, y al término de la misma, se les entregó otra con el mismo contenido, hasta completar una dosis de 60 cápsulas por paciente al término de 30 días. El empleo de este probiótico consistió en abrir las cápsulas y consumir el probiótico directo en boca, dejando que se disuelva con la saliva, las cápsulas vacías se conservaron y de esta forma se verificó el consumo total de las 60 cápsulas por paciente (Figura 1).

Una vez concluidos los 30 días, se realizó sondeo periodontal de revaloración en el programa en línea Periochart y se registró la nueva PAS (Figuras 2 y 3).



GRUPO B: ANTIBIÓTICOS

Doce pacientes con periodontitis estadio I grado A y B. Se realizó el protocolo en común de fase I a los 12 pacientes, se les recetó metronidazol de 500 mg más amoxicilina de 500 mg, se indicaron ambas pastillas juntas cada ocho horas durante siete días, inmediato al tratamiento periodontal. Una vez concluidos los 30 días, se realizó sondeo periodontal de revaloración en el programa en línea Periochart y se registró la nueva PAS (profundidad al sondeo) PIC (pérdida de inserción clínica).



GRUPO C: GRUPO CONTROL DE ESTUDIO

Doce pacientes con periodontitis estadio I grado A y B. Se realizó el protocolo en común de fase I a los 12 pacientes, no se les recetó ningún antibiótico ni probiótico. Una vez concluidos los 30 días, se realizó sondeo periodontal de revaloración en el programa en línea Periochart y se registró la nueva PAS.



RESULTADOS

Después de haber realizado el mismo protocolo de fase I en los tres grupos control, no se encontraron diferencias estadísticamente significativas entre el grupo control de probiótico ante el grupo control antibiótico en cuanto a ganancia de inserción clínica, disminución de placa dental bacteriana y reducción de sangrado al sondeo. Se encontró diferencia estadísticamente significativa de ganancia de inserción clínica/disminución de profundidad al sondeo, disminución de placa dental bacteriana y reducción de sangrado al sondeo, de los grupos control probióticos y antibióticos posteriores a 30 días de iniciado el tratamiento, ante grupo control que únicamente recibió fase I periodontal, quienes presentaron los mimos parámetros de profundidad al sondeo inicial, de forma que se rechaza la hipótesis de trabajo esperada.



DISCUSIóN

Los resultados del presente estudio son consistentes con estudios que prueban el efecto de los probióticos y antibióticos en pacientes con periodontitis estadio II grado A y B1-3 (Figuras 4, 5, 6 y 7), como terapias complementarias al RAR,4,5 tal como se demuestran en estudios realizados desde el año 2019 por Teughels y colaboradores.6 Este estudio concuerda con estudios anteriores,7,8 como las investigaciones realizadas por Araujo y colaboradores,9 donde han explicado las ventajas del probiótico B. Lactis HN019, como terapia adyuvante en pacientes con periodontitis (Figura 8),10,11 en cuanto se ha demostrado que éstos, frente a un grupo de antibióticos y un grupo control, como terapia complementaria al RAR condujo a una reducción de todos los parámetros clínicos evaluados (Figuras 9 y 10),2,12 obteniendo resultados estadísticamente significativos a comparación de los grupos de pacientes donde no se les ministró ningún tipo de adyuvante sistémico o local.13,14 En el presente estudio se rechaza la hipótesis de trabajo, con base en los resultados, donde se arrojó que no existe diferencia estadísticamente significativa entre la ganancia de inserción clínica entre el grupo probiótico y el grupo antibiótico, estudios realizados por Cardoso y colaboradores en 2020 tampoco se obtuvieron resultados significativos en cuanto a la reducción de la profundidad al sondeo en comparación con grupos antibióticos y probióticos.15,16 Sin embargo, sí existe diferencia estadísticamente significativa ante el grupo control, por lo que es imprescindible utilizar un adyuvante en el RAR,17 citando nuevamente a Araujo y colaboradores, donde en su investigación del año 20229 sugieren su uso, ya que existen recidivas especialmente donde los instrumentos manuales y ultrasónicos no alcanzan a llegar18 a todos los sitios colonizados por bacterias,19 por lo que habrá recolonización.9,20 Cabe destacar que aunque no fue el propósito de este estudio, basados en los resultados obtenidos, se encontró diferencia estadísticamente significativa en la disminución de placa dentobacteriana (biofilm) (PDB) y sangrado al sondeo (SAS), en los grupos probióticos y antibióticos,21 tal como se demostró en estudios realizados por Ramos y colaboradores en el año 202222 y un año después en el estudio realizado por de Almeida y su equipo en el año 2023,23 mientras que el grupo control que no recibió tratamiento adyuvante24,25 no obtuvo disminución significativa de los parámetros mencionados,7 semejante a los resultados que se registraron en el estudio de Zandbergen y su grupo, donde refieren que el RAR solo no es suficiente para erradicar por completo la compleja organización y estructura de patógenos periodontales.26 Esta investigación se realizó basada en los estudios realizados por los autores ya citados,27,28 y otros tales como Faveri y colaboradores29 y Feres y su equipo30 siguiendo el mismo protocolo, se tomaron como medida el SAS inicial31,32 donde todos los pacientes presentaron porcentajes superiores a 30% en los tres grupos control al inicio del tratamiento, al término de 30 días fueron reevaluados,33 obteniendo una media de SAS 7.3% para el grupo probiótico, 6.5% para el grupo antibióticos y 12.25% para el grupo control.34,35

Se rechaza la hipótesis de trabajo y se acepta la hipótesis nula, donde el uso del probiótico Bifidobacterium Lactis HN019 no obtiene mayor disminución en la profundidad de bolsa periodontal que la combinación de metronidazol más amoxicilina,36 semejante a los resultados obtenidos por Puzhankara y colaboradores en el año 2023.6,37 En la incipiente era de resistencia a los antimicrobianos entre muchos microorganismos bucales, es sin duda importante evaluar la eficacia de alternativas viables a los antibióticos para enfermedades orales como la periodontitis.35,38 Los probióticos están surgiendo como alternativas prometedoras a los antibióticos;39 sin embargo, aún es ambiguo si pueden reemplazar completamente a los antibióticos para el tratamiento de la enfermedad periodontal,40 ya que hasta la fecha no hay estudios realizados en México que hayan comparado e informado lo mismo.8,11 Invernici y colaboradores nos indican que dada la escasez de estudios clínicos que comparen la eficacia de los probióticos con los antibióticos, todavía es demasiado pronto para concluir que los probióticos pueden reemplazar completamente a los antibióticos para controlar la periodontitis.4 Sin embargo, dentro de las limitaciones de los estudios disponibles,7,41 se afirma que tanto los probióticos como los antibióticos tienen efectos semejantes,42,43 pero una combinación de probióticos o antibióticos es mejor en comparación con tratamientos solos44 para controlar el SAS, PDB y diminución de PAS (Figura 11).45



CONCLUSIONES

En el presente estudio se obtuvo un total de 24 mujeres y 12 hombres, todos ellos derechohabientes de militares en el activo y de militares retirados en un rango de edad 26 a 73 años (Figura 12), cada uno de ellos en condiciones socioeconómicas estables, no se encontró relación de periodontitis (Tabla 1) en cuanto a factores hormonales en cuanto a pacientes del género femenino o enfermedades sistémicas (Tablas 2, 3 y 4), el origen de la periodontitis en los pacientes seleccionados fue por bacterias específicas (Figura 13).

La cepa probiótica B. Lactis HN019 demostró que desempeña un papel en la reducción de bolsas periodontales de hasta 5 mm (Figura 14), reducción del SAS y de índice de PDB (Figuras 2, 3, 11, 15, 16 y 17), semejante a los estudios realizados por Carodoso y su equipo en 2020,16 incluida la promoción de beneficios para la salud oral, cuando se administra en dosis adecuadas, confirmando que su beneficio en resultados clínicos así como también se vio reflejado en el estudio de Invernici y colaboradores4,38 Además, el uso de esta cepa en periodontitis está respaldado por datos de estudios preclínicos y ensayos clínicos la cual se considera potencialmente como adyuvante en el tratamiento con pacientes con periodontitis (Figura 18).38,46-48 Sin embargo, debido al importante potencial de esta cepa para mantener la salud oral, se necesitan más estudios sobre el beneficio que ofrece este probiótico para ampliar los hallazgos actuales y determinar la aplicación de B. Lactis HN019 en otras enfermedades periodontales, como la mucositis periimplantaria o periimplantitis (Figura 1).49


REFERENCIAS (EN ESTE ARTÍCULO)

  1. Kumar S. Evidence-based update on diagnosis and management of gingivitis and periodontitis. Dent Clin North Am. 2019; 63 (1): 69-81. Available in: https://doi.org/10.1016/j.cden.2018.08.005

  2. Caton JG, Armitage G, Berglundh T et al. A new classification scheme for periodontal and peri-implant diseases and conditions - Introduction and key changes from the 1999 classification. J Clin Periodontol. 2018; 45 Suppl 20: S1-S8.

  3. Herrera D. La nueva clasificación de las enfermedades periodontales y periimplantarias. Periodoncia Clínica. 2018; 11: 94-110.

  4. Invernici MM, Salvador SL, Silva PHF et al. Effects of Bifidobacterium probiotic on the treatment of chronic periodontitis: A randomized clinical trial. J Clin Periodontol. 2018; 45 (10): 1198-1210.

  5. Genco CA, Simpson W, Olczak T. Porphyromonas gingivalis. Iron Transport in Bacteria. 2014; 329-343. doi: 10.1128/9781555816544.ch21.

  6. Teughels W, Feres M, Oud V et al. Adjunctive effect of systemic antimicrobials in periodontitis therapy: a systematic review and meta-analysis. J Clin Periodontol. 2020; 47 Suppl 22: 257-281. Available in: https://doi.org/10.1111/jcpe.13264

  7. Groeger S, Meyle J. Oral mucosal epithelial cells. Front Immunol. 2019; 10: 208. Available in: https://doi.org/10.3389/fimmu.2019.00208

  8. Morales A, Contador R, Bravo J et al. Clinical effects of probiotic or azithromycin as an adjunct to scaling and root planning in the treatment of stage III periodontitis: a pilot randomized controlled clinical trial. BMC Oral Health. 2021; 21 (1): 12.

  9. Araujo LDC, Furlaneto FAC, da Silva LAB, Kapila YL. Use of the probiotic Bifidobacterium animalis subsp. lactis HN019 in oral diseases. Int J Mol Sci. 2022; 23 (16): 9334. Available in: https://doi.org/10.3390/ijms23169334

  10. Zheng S, Yu S, Fan X et al. Porphyromonas gingivalis survival skills: immune evasion. J Periodontal Res. 2021; 56 (6): 1007-1018. Available in: https://doi.org/10.1111/jre.12915

  11. Gheisary Z, Mahmood R, Harri Shivanantham A et al. The clinical, microbiological, and immunological effects of probiotic supplementation on prevention and treatment of periodontal diseases: a systematic review and meta-analysis. Nutrients. 2022; 14 (5): 1036. Available in: https://doi.org/10.3390/nu14051036

  12. Nguyen T, Brody H, Radaic A, Kapila Y. Probiotics for periodontal health-Current molecular findings. Periodontol 2000. 2021; 87 (1): 254-267. Available in: https://doi.org/10.1111/prd.12382

  13. Britos MR, Sin CS, Ortega SM. Porphyromonas gingivalis, patógeno de relevancia en la enfermedad periodontal. Uriunne. 2017; 42: 46-49.

  14. Araujo LDC, Segato RAB, Reis TPC et al. Effect of systemic administration of Bifidobacterium animalis subsp. lactis HN019 on apical periodontitis. Braz Oral Res. 2023; 37: e115.

  15. Mombelli A. Microbial colonization of the periodontal pocket and its significance for periodontal therapy. Periodontol 2000. 2018; 76 (1): 85-96. Available in: https://doi.org/10.1111/prd.12147 (2018).

  16. Cardoso RS, Messora MR, Silva PHF et al. Effects of Bifidobacterium animalis subsp. lactis HN019 on ligature-induced periodontitis in rats with experimental rheumatoid arthritis. Benef Microbes. 2020; 11 (1): 33-46.

  17. Silva GA, Moreira ALG, Silva PHF et al. The use of probiotics can reduce the severity of experimental periodontitis in rats with metabolic syndrome: an immunoenzymatic and microtomographic study. J Periodontol. 2022; 93 (2): e1-e12.

  18. Sutthiboonyapan P, Wang HL, Charatkulangkun O. Flowcharts for easy periodontal diagnosis based on the 2018 new periodontal classification. Clin Adv Periodontics. 2020; 10 (3): 155-160.

  19. Ricoldi MST, Furlaneto FAC, Oliveira LFF et al. Effects of the probiotic Bifidobacterium animalis subsp. lactis on the non-surgical treatment of periodontitis. A histomorphometric, microtomographic and immunohistochemical study in rats. PLoS One. 2017; 12 (6): e0179946.

  20. De Vos WM, Tilg H, Van Hul M, Cani PD. Gut microbiome and health: mechanistic insights. Gut. 2022; 71 (5): 1020-1032.

  21. Dimidi E, Christodoulides S, Fragkos KC, Scott SM, Whelan K. The effect of probiotics on functional constipation in adults: a systematic review and meta-analysis of randomized controlled trials. Am J Clin Nutr. 2014; 100 (4): 1075-1084. Available in: https://doi.org/10.3945/ajcn.114.089151

  22. Ramos TCS, Boas MLV, Nunes CMM et al. Effect of systemic antibiotic and probiotic therapies as adjuvant treatments of subgingival instrumentation for periodontitis: a randomized controlled clinical study. J Appl Oral Sci. 2022; 30: e20210583.

  23. De Almeida Silva Levi YL, Ribeiro MC, Silva PHF et al. Effects of oral administration of Bifidobacterium animalis subsp. lactis HN019 on the treatment of plaque-induced generalized gingivitis. Clin Oral Investig. 2023; 27 (1): 387-398.

  24. Huttner A, Bielicki J, Clements MN et al. Oral amoxicillin and amoxicillin-clavulanic acid: properties, indications and usage. Clin Microbiol Infect. 2020; 26 (7): 871-879. Available in: https://doi.org/10.1016/j.cmi.2019.11.028

  25. Hatz CR, Cremona M, Liu CC, Schmidlin PR, Conen A. Antibiotic prophylaxis with amoxicillin to prevent infective endocarditis in periodontitis patients reconsidered: a narrative review. Swiss Med Wkly. 2021; 151: w30078. Available in: https://doi.org/10.4414/SMW.2021.w30078

  26. Zandbergen D, Slot DE, Niederman R, Van der Weijden FA. The concomitant administration of systemic amoxicillin and metronidazole compared to scaling and root planing alone in treating periodontitis: =a systematic review=. BMC Oral Health. 2016; 16: 27.

  27. Momand P, Becktor JP, Naimi-Akbar A, Tobin G, Götrick B. Effect of antibiotic prophylaxis in dental implant surgery: A multicenter placebo-controlled double-blinded randomized clinical trial. Clin Implant Dent Relat Res. 2022; 24 (1): 116-124.

  28. Agúndez JA, Mayorga C, García-Martin E. Drug metabolism and hypersensitivity reactions to drugs. Curr Opin Allergy Clin Immunol. 2015; 15 (4): 277-284. Available in: https://doi.org/10.1097/ACI.0000000000000174

  29. Faveri M, Retamal-Valdes B, Mestnik MJ et al. Microbiological effects of amoxicillin plus metronidazole in the treatment of young patients with Stages III and IV periodontitis: A secondary analysis from a 1-year double-blinded placebo-controlled randomized clinical trial. J Periodontol. 2023; 94 (4): 498-508.

  30. Feres M, Retamal-Valdes B, Fermiano D et al. Microbiome changes in young periodontitis patients treated with adjunctive metronidazole and amoxicillin. J Periodontol. 2021; 92 (4): 467-478.

  31. Cosgarea R, Heumann C, Juncar R et al. One year results of a randomized controlled clinical study evaluating the effects of non-surgical periodontal therapy of chronic periodontitis in conjunction with three or seven days systemic administration of amoxicillin/metronidazole. PLoS One. 2017; 12 (6): e0179592.

  32. Dingsdag SA, Hunter N. Metronidazole: an update on metabolism, structure-cytotoxicity and resistance mechanisms. J Antimicrob Chemother. 2018; 73 (2): 265-279.

  33. Mtshali A, Ngcapu S, Govender K et al. In vitro effect of 5-nitroimidazole drugs against trichomonas vaginalis clinical isolates. Microbiol Spectr. 2022; 10 (4): e0091222.

  34. Zemanová N, Lnenicková K, Vavrecková M et al. Gut microbiome affects the metabolism of metronidazole in mice through regulation of hepatic cytochromes P450 expression. PLoS One. 2021; 16 (11): e0259643.

  35. Karrabi M, Baghani Z. Amoxicillin/metronidazole dose impact as an adjunctive therapy for stage II-III grade C periodontitis (aggressive periodontitis) at 3- and 6-month follow-ups: a systematic review and meta-analysis. J Oral Maxillofac Res. 2022; 13 (1): e2.

  36. Eickholz P, Koch R, Göde M et al. Clinical benefits of systemic amoxicillin/metronidazole may depend on periodontitis stage and grade: An exploratory sub-analysis of the ABPARO trial. J Clin Periodontol. 2023; 50 (9): 1239-1252.

  37. Puzhankara L, Banerjee A, Chopra A, Venkitachalam R, Kedlaya MN. Effectiveness of probiotics compared to antibiotics to treat periodontal disease: systematic review. Oral Dis. 2024; 30 (5): 2820-2837. doi: 10.1111/odi.14781.

  38. Tonetti MS, Sanz M. Implementation of the new classification of periodontal diseases: Decision-making algorithms for clinical practice and education. J Clin Periodontol. 2019; 46 (4): 398-405

  39. Liaw A, Miller C, Nimmo A. Comparing the periodontal tissue response to non-surgical scaling and root planing alone, adjunctive azithromycin, or adjunctive amoxicillin plus metronidazole in generalized chronic moderate-to-severe periodontitis: a preliminary randomized controlled trial. Aust Dent J. 2019; 64 (2): 145-152.

  40. Oliveira LF, Salvador SL, Silva PH et al. Benefits of bifidobacterium animalis subsp. lactis probiotic in experimental periodontitis. J Periodontol. 2017; 88 (2): 197-208.

  41. Martínez BKE, Bulnes LRM, González AM. Prevalencia de periodontitis crónica moderada y avanzada generalizada como factor de riesgo cardiovascular. Rev ADM, 2021; 78: 22-27.

  42. Kwon T, Lamster IB, Levin L. Current Concepts in the Management of Periodontitis. Int Dent J. 2021; 71 (6): 462-476. Available in: https://doi.org/10.1111/idj.12630

  43. Barboza EP, Arriaga PC, Luz DP, Montez C, Vianna KC. Systematic review of the effect of probiotics on experimental gingivitis in humans. Braz Oral Res. 2020; 34: e031.

  44. Ghazal M, Ahmed S, Farooqui WA et al. A placebo-controlled randomized clinical trial of antibiotics versus probiotics as an adjuvant to nonsurgical periodontal treatment among smokers with stage III, grade C generalized periodontitis. Clin Adv Periodontics. 2023; 13 (3): 197-204.

  45. Ng E, Tay JRH, Saffari SE, Lim LP, Chung KM, Ong MMA. Adjunctive probiotics after periodontal debridement versus placebo: a systematic review and meta-analysis. Acta Odontol Scand. 2022; 80 (2): 81-90. Available in: https://doi.org/10.1080/00016357.2021.1942193

  46. Ikram S, Hassan N, Baig S et al. Effect of local probiotic (Lactobacillus reuteri) vs systemic antibiotic therapy as an adjunct to non-surgical periodontal treatment in chronic periodontitis. J Investig Clin Dent. 2019; 10 (2): e12393.

  47. Invernici MM, Furlaneto FAC, Salvador SL et al. Bifidobacterium animalis subsp lactis HN019 presents antimicrobial potential against periodontopathogens and modulates the immunological response of oral mucosa in periodontitis patients. PLoS One. 2020; 15 (9): e0238425.

  48. Rabetafika HN, Razafindralambo A, Ebenso B, Razafindralambo HL. Probiotics as antibiotic alternatives for human and animal applications. Encyclopedia. 2023; 3: 561-581.

  49. Akram Z, Shafqat SS, Aati S, Kujan O, Fawzy A. Clinical efficacy of probiotics in the treatment of gingivitis: a systematic review and meta-analysis. Aust Dent J. 2020; 65 (1): 12-20. Available in: https://doi.org/10.1111/adj.12733



AFILIACIONES

1 Teniente Cirujano Dentista. Escuela Militar de Graduados de Sanidad. Unidad de Especialidades Odontológicas.



Aspectos éticos: • NORMA Oficial Mexicana NOM-004-SSA3-2012. Del expediente clínico. • NORMA Oficial Mexicana NOM-013-SSA2-2015. Para la prevención y control de enfermedades bucales. • Organización Panamericana de la Salud 1995. Para la calibración de examinadores para estudios epidemiológicos de salud oral. • NORMA Oficial Mexicana NOM-012-SSA3-2012. Que establece los criterios para la ejecución de proyectos de investigación para la salud en seres humanos. • Constancia de exposición de proyecto ante Comité Hospitalario de Bioética de la UEO.

Financiamiento: los gastos generados en esta investigación fueron cubiertos por el propio autor.



CORRESPONDENCIA

Job Enrique Flores Martínez. E-mail: jobflores762@gmail.com




Recibido: 08 de diciembre de 2024. Aceptado: 12 de febrero de 2025.

Figura 1
Figura 2
Figura 3
Figura 4
Figura 5
Figura 6
Figura 7
Figura 8
Figura 9
Figura 10
Figura 11
Figura 12
Figura 13
Figura 14
Figura 15
Figura 16
Figura 17
Figura 18
Tabla 1
Tabla 2
Tabla 3
Tabla 4

2020     |     www.medigraphic.com

Mi perfil

C?MO CITAR (Vancouver)

Rev ADM. 2025;82

ARTíCULOS SIMILARES

CARGANDO ...