medigraphic.com
ENGLISH

Archivos de Investigación Materno Infantil

ISSN 2007-3194 (Impreso)
Órgano de difusión oficial del Instituto Materno Infantil del Estado de México
  • Mostrar índice
  • Números disponibles
  • Información
    • Información general        
    • Directorio
  • Publicar
    • Instrucciones para autores        
  • medigraphic.com
    • Inicio
    • Índice de revistas            
    • Registro / Acceso
  • Mi perfil

2024, Número 1

<< Anterior Siguiente >>

Arch Inv Mat Inf 2024; 15 (1)


Manejo estomatológico de paciente pediátrico con acidosis tubular renal proximal. Reporte de un caso

Tenorio Rojas, Tayde Anabell1; Pérez Domínguez, Yesenia2; Rayón Buendía, Roberto3
Texto completo Cómo citar este artículo 10.35366/120323

DOI

DOI: 10.35366/120323
URL: https://dx.doi.org/10.35366/120323
Artículos similares

Idioma: Español
Referencias bibliográficas: 19
Paginas: 21-26
Archivo PDF: 261.21 Kb.


PALABRAS CLAVE

acidosis tubular renal proximal, caries, odontopediatría.

RESUMEN

La acidosis tubular renal proximal (ATRp) es una fisiopatología del metabolismo ácido-base por pérdida de bicarbonato debido a la reducción de su reabsorción en el túbulo proximal de la nefrona; su tratamiento involucra el uso de alcalinizantes como el bicarbonato de sodio. Entre sus manifestaciones bucales se incluyen: defectos en la mineralización de tejidos dentales, retardo en la erupción dental y cambios en la susceptibilidad a la caries. Se presenta el caso clínico de una paciente de tres años y seis meses de edad con diagnóstico sistémico de ATRp y caries temprana de la infancia, cuyo reporte es importante, ya que las condiciones orales de los pacientes con este tipo de patología tan poco frecuente pudieran complicar su condición de salud general por su impacto sistémico.



INTRODUCCIóN

Los riñones realizan funciones fundamentales para el organismo, entre ellas crear una homeostasis hidroelectrolítica; con ello regulan el pH sanguíneo a través de los mecanismos de filtración, reabsorción, secreción y excreción a nivel de la nefrona, logrando establecer un equilibrio ácido-base entre los hidrogeniones y la concentración de bicarbonato.1-3 La acidosis tubular renal es una alteración fisiopatológica del metabolismo ácido-base, por un defecto en los túbulos renales de la nefrona, caracterizada por hipercloremia y un anión gap normal.3-6

El término ATR se acuñó en 1951 y su clasificación actual considera tres de cuatro tipos que se habían reconocido; está dada por la zona del complejo tubular de la nefrona donde se localiza el defecto y la función que realiza. De modo que, la tipo 2 o ATR proximal (ATRp) obedece a la pérdida de bicarbonato por una falta de reabsorción del mismo, la tipo 1 o ATR distal (ATRd) se presenta por una falla en la excreción de hidrogeniones y la tipo 4 o ATRd hiperpotasémica debido a la resistencia al efecto de la aldosterona o a un déficit de esta hormona.1-3,6-10

La etiología de las ATR puede ser primaria, secundaria, adquirida o hereditaria; el ejemplo más popular es el síndrome de Fanconi, un trastorno muy poco frecuente de los túbulos renales que se caracteriza por una excreción excesiva de glucosa, bicarbonato, potasio, ácido úrico, aminoácidos, urea, creatinina y fosfato a través de la orina.1-3,6,7

La terapéutica para las ATR es alcalina y depende del tipo; por lo general se prescribe bicarbonato para la ATRp o bicarbonato y/o citratos para la ATRd; dependiendo de la condición ósea puede acompañarse o no de dosis de calcio y vitamina D debido a que la mineralización de los tejidos óseo y dentales se ve alterada por la función renal patológica.6

La ATRp se origina por una disfunción en el túbulo contorneado proximal de la nefrona, lo que genera orinas alcalinas por bicarbonaturia, debido a su incapacidad de retener y recuperar el anión bicarbonato, el cual debe ser reabsorbido en un intervalo de 60 a 90% del filtrado.6-9

Es menos común que la ATRd y normalmente se diagnostica al realizar el protocolo ante sospecha de síndrome de Fanconi; entre los estudios de laboratorio a valorar se incluyen: examen general de orina, gasometría arterial (con la intención de conocer el pH de la sangre venosa, así como el nivel de CO2) y un perfil de electrolitos para calcular el anión gap o la brecha aniónica.5,7,11 Esto es de destacar, puesto que ante el diagnóstico previo de ATR es importante que el clínico corrobore la indicación de los auxiliares de diagnóstico compatibles con la finalidad de no continuar con un diagnóstico y tratamiento equívocos.6

El cuadro clínico se caracteriza por un retraso en el crecimiento ponderal del paciente, hiporexia o anorexia, náuseas, vómitos y diarrea frecuentes, astenia o parálisis muscular y adinamia por la hiperpotasémica, poliuria, polidipsia, deshidratación, mareos, estreñimiento, retraso en el desarrollo psicomotor y raquitismo; cabe destacar este último, muy especialmente en el caso de la ATRp, analizando que al tratarse de un disturbio en el metabolismo de calcio y el fosfato hay una alteración en la conversión renal del calcidiol en calcitriol, lo que conllevará una deficiente calcificación de los tejidos óseo y dentales.1,5-7,11

El tratamiento para la ATRp involucra el uso de alcalinizantes como el bicarbonato de sodio cuya presentación más popular para pacientes pediátricos es oral.1,7,8

Entre las manifestaciones bucales se incluyen: defectos en la mineralización de tejidos dentales, retardo en la erupción dental, cambios en la susceptibilidad a la caries, influencias en la inflamación y en el metabolismo óseo, así como la formación de cálculo.1

Aunado a lo descrito, la hipoplasia del esmalte es un defecto en el desarrollo cuantitativo y cualitativo de éste, dando como resultado una formación incompleta con un mayor riesgo a caries; por lo que existe una asociación entre las enfermedades renales y las hipoplasias del tejido adamantino que debe considerarse.1,11,12

Por otro lado, la caries temprana de la infancia (CTI) es definida como la presencia de una o más superficies cariadas (cavitadas o no cavitadas), perdidas u obturadas (debido a caries), en cualquier diente primario de un niño menor de seis años.13-17



PRESENTACIóN DEL CASO

Se trata de paciente femenino de tres años y seis meses de edad, acude al Servicio de Odontopediatría del Centro de Especialidades Odontológicas (CEO) del Instituto Materno Infantil del Estado de México (IMIEM) e ingresa como urgencia por odontalgia del órgano dentario 62. Al interrogatorio indirecto la madre refiere inflamación previa en región nasogeniana izquierda, así como dolor provocado y espontáneo, sin predominio de horario, que no cede con medicamentos, cuya evolución es de 11 días.

A la exploración extraoral se aprecian facies álgicas, ausencia de bipedestación sin apoyo, actitud poco cooperadora con conducta hostil, peso de 6.63 kilogramos y 75 centímetros de talla, ubicándose ambos parámetros por debajo del percentil 3 para el sexo y la edad de acuerdo con las curvas de los estándares de crecimiento infantil según la Organización Mundial de la Salud (OMS).18

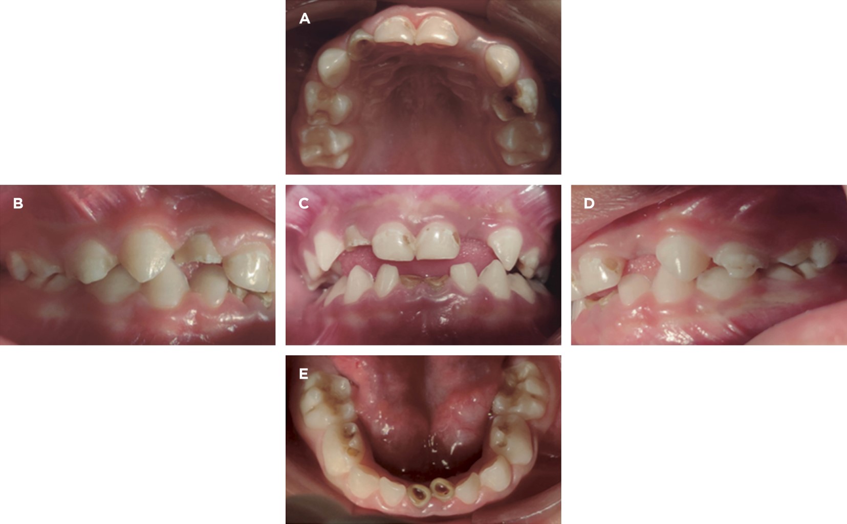
A la exploración intraoral se observa presencia de dentición temporal completa, gingivitis, múltiples lesiones cariosas en diversos grados, destrucción severa de la corona del órgano dentario (OD) 62 por caries (compatible con necrosis pulpar de la pieza) y restos radiculares de ambos incisivos centrales inferiores.

A la anamnesis, la madre indica como antecedentes personales patológicos de la menor un diagnóstico de base de ATRp, cardiopatía congénita tipo comunicación interauricular; en tratamiento actualmente con bicarbonato de sodio, espironolactona y furosemida. Es referida por el personal de cardiología pediátrica del Hospital para el Niño (HpN), IMIEM, para su atención odontológica en estricto apego al protocolo quirúrgico, toda vez que para cualquier intervención a corazón abierto se requiere eliminar focos sépticos en cavidad oral con la finalidad de evitar complicaciones. De igual forma, se obtienen datos de relevancia para establecer su diagnóstico bucal y general complementario, así como para planear la terapéutica más conveniente al caso: la madre refiere que la menor fue obtenida por cesárea ante preeclampsia y al momento del nacimiento ésta presentó bajo peso, quedándose hospitalizada durante 45 días por sepsis y realizándosele dos transfusiones sanguíneas. En cuanto al sostén cefálico, hizo mención, lo logró al año de edad y a los dos el gateo, no hay control de esfínteres todavía, emite balbuceos y monosílabos, articulando únicamente la palabra "mamá".

Se toman radiografías oclusales superior e inferior (Figura 1), por las imágenes y la clínica se determina un diagnóstico de caries temprana de la infancia con la necesidad de realizar la extracción del OD 62 durante la cita debido a la imposibilidad de restaurar y el mal pronóstico que presenta.

Posteriormente, debido a la nula cooperación de la paciente, edad, extensión del tratamiento especializado, así como por sus patologías de base, se elige efectuar la rehabilitación bucal bajo anestesia general (RBBAG) previa valoración preanestésica y profilaxis antiendocarditis infecciosa con una cefalosporina de tercera generación (Figura 2).

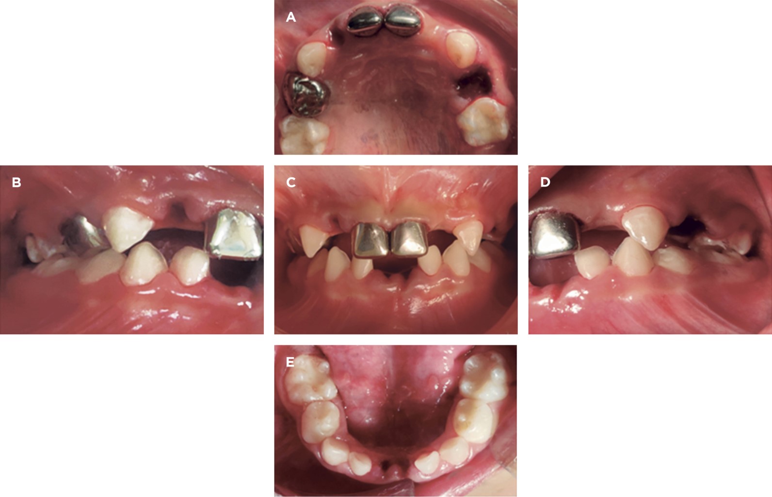
Se realizó un total de 13 tratamientos en 1 hora y 55 minutos, de los cuales cuatro fueron extracciones, tres colocaciones de coronas níquel-cromo y seis restauraciones con giómeros (Figura 3).

En la primera cita postoperatoria se procede a revisar las condiciones de los tejidos y la evolución de la paciente, así como aplicar fluoruro de sodio en barniz al 5% sobre las superficies dentales limpias y secas.

Como parte del plan de tratamiento estomatológico preventivo se instauraron acciones orientadas al control de la erupción, una dieta libre de azúcares y carbohidratos fermentables, el control de biofilm adherido con una técnica de cepillado dental asistida y gel dentífrico fluorado a 1,100 ppm.

Fueron programadas citas mensuales; en la actualidad, a los seis meses después de la RBBAG en cita de revisión se percibe que la marcha autónoma se ha alcanzado, la paciente no presenta caries reincidente ni nuevas lesiones, la higiene bucal es satisfactoria; la madre refiere que la menor ha aumentado su ingesta alimentaria y se muestra más cómoda al consumir alimentos calientes, fríos o dulces, no obstante, se observa que los valores de peso y talla no han sufrido modificaciones. Por otra parte, el seguimiento establecido por los otros especialistas del HPN se ha visto enlentecido, ya que se encuentran en espera de los resultados de los estudios realizados en aquella institución.

Su conducta a la atención odontológica continúa siendo poco cooperadora, por lo que no es viable desplegar un protocolo ortopédico para cubrir y conservar la extensión de los espacios edéntulos en pro de prevenir maloclusiones de la dentición permanente.



DISCUSIóN

Mientras Medeiros señala una prevalencia sólo de la ATRd, que es la más común (de 1:1'000,000), Morfín y Muñoz señalan que la frecuencia se desconoce y que el Instituto Nacional de Pediatría reportó una frecuencia de 35:10,000, sin embargo, aclaran que se carece de información metodológica para valorar el dato y Morfín se concreta a calcular una probabilidad de 0.6:100,000 nacidos vivos. Por su parte, Rayón coincide con el dato de Medeiros y agrega que hasta finales de 2015 se contaba con un registro de sólo 12 casos en el país. Lo anterior, confirma que se trata de una enfermedad rara o poco frecuente, sin embargo, no existen estudios enteramente fiables que permitan conocer un estimado actualizado y menos por tipo de ATR, ello por motivos de sobrediagnóstico y ausencia de registro.4-6,11

En el caso clínico presentado, en lugar de las resinas convencionales se optó por el empleo de los giómeros como material de restauración, ya que son materiales bioactivos, biomiméticos y biocompatibles, elaborados a base de una combinación de ionómero de vidrio con composites, que poseen una característica exclusiva denominada "superficie de vidrio reaccionado", inhiben la formación del biofilm neutralizando los ácidos en boca, ya que mantienen la restauración y el tejido dental remanente protegidos de los azúcares a través de la liberación constante de seis iones: fluoruro, sodio, estroncio, aluminio, silicato y borato, los cuales son recargables por el potencial de absorción de iones de estos materiales durante el uso de productos de higiene oral de diario consumo. Tienen alta resistencia al desgaste, una dureza semejante a la del tejido adamantino y adhesión específica a la dentina, características por las cuales está indicado su uso en dientes anteriores y posteriores de la dentición temporal, ofreciendo beneficios mayores a los pacientes pediátricos.19



CONCLUSIONES

Es importante destacar que, si bien el tratamiento con bicarbonato disminuye la acidez de la placa, también produce la erosión de los tejidos dentales y con ello microfracturas que fungen como depósitos de biofilm, produciendo acúmulo de sales, lo que a su vez favorece la formación de cálculo dental, por lo cual, la higiene oral adecuada es indispensable y la ATRp no es determinante para padecer caries.

La necesidad de atender el caso a través del trabajo multidisciplinario fue fundamental, ya que las condiciones de la paciente lo requieren de manera permanente; además, integrarla a la odontopediatría fue clave para plantear terapéuticas de prevención con la integración de un hogar dental para evitar la presencia de gingivitis, cálculo y lesiones de caries que pudieran complicar su condición de salud por su impacto sistémico. Ejecutar una terapia restaurativa con el uso de giómeros, que por sus propiedades ayudan a proteger el tejido remanente no permitiendo la adhesión del biofilm y ayudando a disminuir la desmineralización fisiológica, fue un acierto, pues se le otorgó a la paciente un beneficio superior con la finalidad de mejorar el pronóstico de su salud oral y general.


REFERENCIAS (EN ESTE ARTÍCULO)

  1. Almazo-Salgado D. Acidosis tubular renal. Alteración de edad dental, pH salival y manifestaciones bucales en pacientes pediátricos del Instituto Nacional de Pediatría. Informe del Servicio Social. México: Universidad Autónoma Metropolitana Unidad Xochimilco; 2019.

  2. Palmer BF, Kelepouris E, Clegg DJ. Renal tubular acidosis and management strategies: a narrative review. Adv Ther. 2021; 38 (2): 949-968.

  3. Medeiros DM, Escobar PL, Muñoz AR. Abordaje clínico y diagnóstico de la acidosis tubular renal. Acta Med. 2018; 16 (Suppl: 1): 47-52.

  4. Cendejas-Ayala ML, Orozco-Loza IL, Barajas-Salcedo G, Rosas-Cabral A. Impacto del tratamiento sobre el peso y la talla en pacientes pediátricos con acidosis tubular renal en el Centenario Hospital Miguel Hidalgo. LUX MÉDICA. 2018; 37: 3-11.

  5. Morfín-Maciel BM, García-De la Puente S, Bojórquez-Ochoa A, Huante-Anaya A, Orozco-Martínez S, Zaltzman-Girshevich S et al. Prevalencia de enfermedades alérgicas en niños con acidosis tubular renal secundaria que acudieron a un hospital pediátrico de tercer nivel. Rev Alerg Mex. 2017; 64 (2): 133-141.

  6. Muñoz-Arizpe R, Escobar L, Medeiros M. Acidosis tubular renal en niños: conceptos actuales de diagnóstico y tratamiento. Bol Med Hosp Infant Mex. 2013; 70 (3): 178-194.

  7. Kashoor I, Batlle D. Proximal renal tubular acidosis with and without Fanconi syndrome. Kidney Res Clin Pract. 2019; 38 (3): 267-281.

  8. Blánquez-Gómez CJ. Estudio evolutivo de los pacientes diagnosticados con tubulopatías primarias en la infancia. Tesis doctoral. España: Universidad de Oviedo; 2020.

  9. Frías Ordoñez JS, Urrego Díaz JA, Lozano Triana CJ, Landinez Millán G. Acidosis tubular renal distal. Reporte de serie de casos y revisión narrativa. Rev Colomb Nefrol. 2020; 7 (1): 97-112.

  10. Gómez-Conde S, García-Castaño A, Aguirre M, Herrero M, Gondra L, Castaño L et al. Acidosis tubular renal distal hereditaria: correlación genotípica, evolución a largo plazo y nuevas perspectivas terapéuticas. Nefrología. 2021; 41 (4): 383-390.

  11. Rayón-Buendía R, Sánchez-Valle G. Acidosis tubular renal distal, manejo odontológico. Reporte de caso clínico. Arch Inv Mat Inf. 2016; 8 (1): 3-6.

  12. Alfaro Alfaro A, Castejón Navas I, Magán Sánchez R, Alfaro Alfaro MJ. Síndrome de hipomineralización incisivo-molar. Rev Pediatr Aten Primaria. 2018; 20: 183-188.

  13. American Academy of Pediatric Dentistry. Policy on early childhood caries (ECC): Classifications, consequences, and preventive strategies. The Reference Manual of Pediatric Dentistry. Chicago, Ill.: American Academy of Pediatric Dentistry; 2020: 79-81.

  14. Abanto J. Odontopediatría de la gestante al bebé, enfoque transdisciplinario en el arte de cuidar. Sao Paulo, SP: Santos Publicacoes; 2024: 305-318.

  15. Pitts, N, Baez, R, Diaz-Guallory C et al. Early childhood caries: IAPD Bangkok declaration. Int J Paediatr Dent. 2019; 29: 384-386.

  16. Tinanoff N, Baez RJ, Diaz-Guillory C et al. Early childhood caries epidemiology, aetiology, risk assessment, societal burden, management, education, and policy: Global perspective. Int J Paediatr Dent. 2019; 29: 238-248.

  17. OMS. Poner fin a la caries dental en la infancia: manual de aplicación de la OMS. Ginebra: Organización Mundial de la Salud; 2021. Licencia: CC BY-NC-SA 3.0 IGO.

  18. WHO. Child growth standards: length/height-for-age, weight-for-age, weight-for-length, weight-forheight and body mass index-for-age: methods and development. World Health Organization. 2006; 60-71, 123-132.

  19. Meza-Salcedo R, Pérez-Valverde A. Giómeros en odontopediatría. Revisión narrativa. Odontol Sanmarquina. 2020; 23 (4): 445-449.



AFILIACIONES

1 Licenciada en Odontología por el Instituto Universitario del Estado de México.

2 Especialista en Odontopediatría, adscrita al Centro de Especialidades Odontológicas del Instituto Materno Infantil del Estado de México.

3 Especialista en Estomatología Pediátrica, adscrito al Centro de Especialidades Odontológicas del Instituto Materno Infantil del Estado de México.



Conflicto de intereses: los autores declaran no tener conflicto de intereses.



CORRESPONDENCIA

Tayde Anabell Tenorio Rojas. E-mail: tayde_tenorio@hotmail.com




Recibido: 06/02/2024. Aceptado: 23/02/2024.

Figura 1
Figura 2
Figura 3

2020     |     www.medigraphic.com

Mi perfil

C?MO CITAR (Vancouver)

Arch Inv Mat Inf. 2024;15

ARTíCULOS SIMILARES

CARGANDO ...