medigraphic.com
ENGLISH

Revista Mexicana de Pediatría

ISSN 0035-0052 (Impreso)
  • Mostrar índice
  • Números disponibles
  • Información
    • Información general        
    • Directorio
  • Publicar
    • Instrucciones para autores        
    • Envío de artículos
  • medigraphic.com
    • Inicio
    • Índice de revistas            
    • Registro / Acceso
  • Mi perfil

2024, Número 6

<< Anterior Siguiente >>

Rev Mex Pediatr 2024; 91 (6)


Enfermedad de Erdheim-Chester en un paciente pediátrico

Moreno-Solano, Héctor Gabriel1; Toledo-Nuñez, Carlos2; Navar-Mendiola, Carlos Alberto3; Mares-Gil, José Eduardo4; Uribe-Ortiz, Leslie Valeria3; Ancona-Lezama, David Arturo3
Texto completo Cómo citar este artículo 10.35366/120539

DOI

DOI: 10.35366/120539
URL: https://dx.doi.org/10.35366/120539
Artículos similares

Idioma: Español
Referencias bibliográficas: 12
Paginas: 235-238
Archivo PDF: 884.12 Kb.


PALABRAS CLAVE

escolar, Erdheim-Chester, masa orbitaria, histiocitosis.

RESUMEN

Introducción: presentamos un caso de enfermedad de Erdheim-Chester, la cual es un tipo de histiocitosis que raramente ocurre en edad pediátrica. Presentación del caso: masculino de siete años, quien fue referido a oftalmología por una masa orbitaria supratemporal derecha persistente, de cuatro meses de evolución, acompañada de edema, eritema y ptosis temporal. El paciente mantenía agudeza visual de 20/20. Se realizó resección completa de la masa. Por estudio histopatológico se estableció el diagnóstico de esta enfermedad. Conclusiones: este caso enfatiza la necesidad de considerar la enfermedad de Erdheim-Chester en el diagnóstico diferencial de lesiones orbitarias en niños.



INTRODUCCIóN

La enfermedad de Erdheim-Chester es un tipo de histiocitosis, caracterizada por fagocitos mononucleares de células no Langerhans, que afecta múltiples sistemas del organismo, perteneciente al grupo II de la clasificación del Working Group of the Histiocyte Society de 1987.1 Esta condición fue descrita por primera vez en 1930 por Jakob Erdheim y William Chester, y sus manifestaciones se relacionan a la infiltración de histiocitos espumosos en diferentes órganos como huesos, sistema cardiovascular, sistema nervioso central, pulmones o en los ojos.2 La mayoría de los reportes son de pacientes adultos, por lo que en edad pediátrica son muy pocos los casos documentados, lo cual hace que, a esta edad, la identificación sea un reto.

Para el año 2020 se habían reportado 800 casos de esta enfermedad en todo el mundo.3 De los cuales de 5 a 10% son de pacientes pediátricos, con lo cual se estiman entre 40 y 80 casos de enfermedad de Erdheim-Chester en todo el mundo. En México, son alrededor de 20.

Los datos clínicos son variados, lo que complica su diagnóstico; su presentación más común consiste en dolor óseo. Por radiografía, pueden observarse cambios característicos en huesos largos.4 Las manifestaciones óseas ocurren en cerca de 96% de los pacientes; sin embargo, solo 50% manifiesta dolor óseo, principalmente en rodillas y tobillos. Los huesos que con mayor frecuencia se ven afectados son fémur, tibia, peroné, y menos frecuentemente el cúbito, radio y húmero. El signo radiográfico principal es la esclerosis bilateral simétrica de las zonas diafisarias y metafisarias de huesos largos.5 En las biopsias, los hallazgos típicos incluyen esclerosis ósea en huesos largos y la presencia de células CD68+ y CD1a−.6

El cuadro clínico es muy variado, desde síntomas inespecíficos como fatiga y dolor óseo hasta manifestaciones graves como insuficiencia cardiaca, diabetes insípida y neuropatía óptica.7 De ahí que el diagnóstico sea difícil debido a la superposición de síntomas con otras condiciones más comunes. En niños, las manifestaciones son aún menos específicas.

Cuando hay afección ocular, la enfermedad de Erdheim-Chester se manifiesta principalmente en la órbita, presentándose como masa orbitaria, proptosis o neuropatía óptica, lo que puede llevar a daño visual irreversible si no se identifica y trata a tiempo.8 No existen pautas de tratamiento en población pediátrica, pero existen publicaciones recientes que demuestran que algunos pacientes con mutaciones BRAF V600E responden a inhibidores de la cinasa BRAF como el vemurafenib.9

En virtud de los pocos casos reportados en edad pediátrica, el objetivo de este reporte es presentar a un paciente escolar con enfermedad de Erdheim-Chester con manifestaciones orbitarias, para que ayude a la identificación de pacientes similares de manera oportuna.



PRESENTACIóN DEL CASO

Se trata de un paciente masculino de siete años, enviado a oftalmología por la presencia de una masa indolora ubicada en el margen orbitario supratemporal derecho. Esta masa había persistido durante cuatro meses y se acompañaba de edema localizado, eritema y ptosis temporal. En el interrogatorio, no había antecedentes familiares o personales de importancia.

Durante el examen oftalmológico, la agudeza visual del paciente se conservaba en 20/20 en ambos ojos sin limitación a los movimientos extraoculares. No se observó proptosis notable ni signos de distopía. Se registraron medidas de hendidura palpebral de 8 y 10 mm, y la distancia del margen reflejo se encontraba en 2 y 3 mm (DMR1 y DMR2, respectivamente). El paciente presentaba ptosis temporal y una masa supraciliar en el lado derecho (Figura 1), caracterizada por irregularidad, inmovilidad, induración, adherida a estructuras anatómicas más profundas, bordes nítidamente definidos y ausencia de pulsación, pero sin alteraciones durante la maniobra de Valsalva.

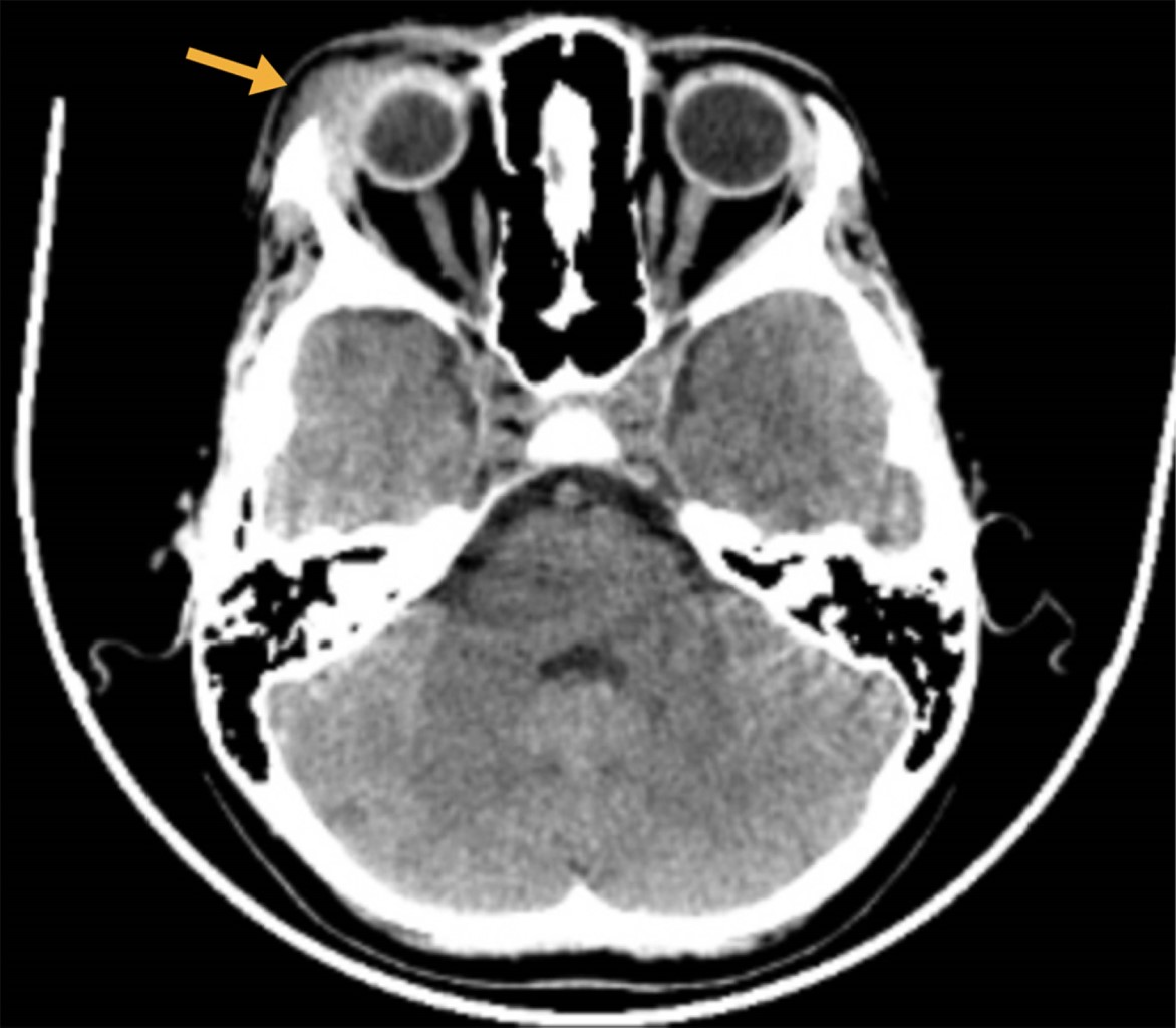
Se realizó una tomografía computarizada (TC) de la región craneal, la cual reveló una lesión lítica en la región frontoorbital, con dimensiones aproximadas de 24 × 19 × 30 mm, que incluía una porción de tejido blando (Figura 2).

Se llevó a cabo la resección completa de la masa orbitaria. En el estudio histopatológico se observó la presencia de células histiocíticas con inmunorreactividad positiva para CD68 y CD163, junto con un infiltrado linfoide-plasmocitario, sin evidencia de atipia celular. La inmunohistoquímica para CD1a resultó negativa, apoyando el diagnóstico de la enfermedad de Erdheim-Chester (Figura 3).

Con este diagnóstico, el paciente fue valorado por oncología pediátrica, recibiendo tratamiento específico. Hasta el día de hoy no presenta recidivas.



DISCUSIóN

A diferencia de las manifestaciones más típicas de la enfermedad de Erdheim-Chester, como el dolor óseo y la fatiga, este paciente presentó una masa orbitaria con crecimiento rápido, lo que indica que esta enfermedad tiene múltiples formas de presentación.

En comparación con nuestro paciente de siete años, que el compromiso se limitó a la región orbitaria sin involucrar otros órganos, Tran y colaboradores10 relatan el caso de una niña de 10 años con una enfermedad más extendida, con infiltración retroperitoneal, hepatoesplenomegalia y lesiones óseas en huesos largos, pelvis y cráneo.

Un artículo de James Brodie y colaboradores11 del 2020 reportó dos casos de Erdheim-Chester en adultos con afectación oftálmica. El primero, un paciente de 49 años presentó proptosis unilateral, dolor ocular y presión intraocular elevada; mientras que el segundo, un paciente de 70 años, mostró reducción progresiva de la visión en ambos ojos, papiledema y pliegues coroideos. Ambos casos fueron manejados inicialmente con esteroides debido a la sospecha de una enfermedad inflamatoria.

El diagnóstico de la enfermedad de Erdheim-Chester del caso que reportamos se realizó a partir de la evaluación clínica, hallazgos de imagen y análisis histopatológico. Las imágenes revelaron una lesión lítica en la región frontoorbital con un componente de tejido blando, mientras que por histopatología se demostró proliferación de histiocitos espumosos, características de esta enfermedad. Es de señalar que, en comparación a los reportes de adultos, el cuadro clínico fue menos agresivo y más localizado. Lo anterior, hace suponer que, en el ámbito pediátrico, esta enfermedad puede ser de mejor pronóstico con menor riesgo de pérdida visual.

A pesar de que los tumores orbitarios benignos son comunes en la población pediátrica, constituyendo aproximadamente 80% de los casos,12 la enfermedad de Erdheim-Chester debe ser incluida en el diagnóstico diferencial cuando se presentan masas orbitarias inusuales o cuando hay respuesta inadecuada a tratamientos iniciales, como los esteroides. En este sentido, es fundamental un enfoque proactivo para investigar etiologías menos comunes, como se evidenció en este caso, donde la biopsia proporcionó la información necesaria para establecer el diagnóstico y guiar el tratamiento.


REFERENCIAS (EN ESTE ARTÍCULO)

  1. Histiocytosis syndromes in children. Writing Group of the Histiocyte Society. Lancet. 1987; 1(8526): 208-209.

  2. Chester W. Über Lipoidgranulomatose. Virchows Arch. 1930; 279(2): 561–602. doi: 10.1007/bf01942684

  3. Goyal G, Heaney ML, Collin M, Cohen-Aubart F, Vaglio A, Durham BH et al. Erdheim-Chester disease: Consensus recommendations for evaluation, diagnosis, and treatment in the molecular era. Blood. 2020; 135(22): 1929-1945. doi: 10.1182/blood.2019003507.

  4. Diamond EL, Dagna L, Hyman DM, Cavalli G, Janku F, Estrada-Veras J et al. Consensus guidelines for the diagnosis and clinical management of Erdheim-Chester disease. Blood. 2014; 124(4): 483-492. doi: 10.1182/blood-2014-03-561381.

  5. Cives M, Simone V, Rizzo FM, Dicuonzo F, Lacalamita MC, Ingravallo G et al. Erdheim-Chester disease: a systematic review. Crit Rev Oncol Hematol. 2015; 95(1): 1-11. doi: 10.1016/j.critrevonc.2015.02.004.

  6. Weitzman S, Jaffe R. Uncommon histiocytic disorders: the non-Langerhans cell histiocytoses. Pediatr Blood Cancer. 2005; 45(3): 256-264. doi: 10.1002/pbc.20246.

  7. Cavalli G, Guglielmi B, Berti A, Campochiaro C, Sabbadini MG, Dagna L. The multifaceted clinical presentations and manifestations of Erdheim-Chester disease: comprehensive review of the literature and of 10 new cases. Ann Rheum Dis. 2013; 72(10): 1691-1695. doi: 10.1136/annrheumdis-2012-202542.

  8. Drier A, Haroche J, Savatovsky J, Godenèche G, Dormont D, Chiras J,et al. Cerebral, facial, and orbital involvement in Erdheim-Chester disease: CT and MR imaging findings. Radiology. 2010;255(2):586-94. doi: 10.1148/radiol.10090320.

  9. Aziz SN, Proano L, Cruz C, Tenemaza MG, Monteros G, Hassen G et al. Vemurafenib in the treatment of Erdheim-Chester disease: a systematic review. Cureus. 2022; 14(6): e25935. doi: 10.7759/cureus.25935.

  10. Tran TA, Fabre M, Pariente D, Craiu I, Haroche J, Charlotte F et al. Erdheim-Chester disease in childhood: a challenging diagnosis and treatment. J Pediatr Hematol Oncol. 2009; 31(10): 782-786. doi: 10.1097/MPH.0b013e3181b76827.

  11. Brodie J, Zhou S, Makkuni D, Beadsmoore C, Mukhtyar C, Saada J et al. Erdheim-Chester disease: two cases from an ophthalmic perspective. Am J Ophthalmol Case Rep. 2020; 20: 100984. doi: 10.1016/j.ajoc.2020.100984.

  12. González-Gomar MA, Tovilla-Canales JL, Villalvazo-Cordero L, Hernández-Robledo FM. Tumores orbitarios, frecuencia, distribución por edad y correlación clínica-histopatológica durante un periodo de cinco años en un centro de referencia. Rev Mex Oftalmol. 2012; 86(3): 171-176.



AFILIACIONES

1 Servicio de Oftalmología, Hospital General de Zona No. 20, IMSS Puebla

2 Fundación Hospital "Nuestra Señora de la Luz". Ciudad de México, México

3 Eye Cancer Institute. Monterrey, Nuevo León, México

4 Departamento de Pediatría, Escuela de Medicina del Tecnológico de Monterrey, Monterrey, Nuevo León, México.



Conflicto de intereses: los autores declaran que no tienen.



CORRESPONDENCIA

David Arturo Ancona-Lezama, E-mail: davidancona@eyecancerinstitute.com




Recibido: 04/06/2024. Aceptado: 10/12/2024

Figura 1
Figura 2
Figura 3

2020     |     www.medigraphic.com

Mi perfil

C?MO CITAR (Vancouver)

Rev Mex Pediatr. 2024;91

ARTíCULOS SIMILARES

CARGANDO ...